引用本文: 王文君, 潘曉芳, 高峰, 張博, 孫飛一, 莊熙晶, 何學志. 心肌灌注變化對冠狀動脈旁路移植術預后的預測價值. 中國胸心血管外科臨床雜志, 2020, 27(12): 1423-1428. doi: 10.7507/1007-4848.202002064 復制
冠狀動脈旁路移植術(coronary artery bypass grafting,CABG)通過移植旁路血管重建血運通路,從而改善缺血區域血流灌注,是治療冠狀動脈粥樣硬化性心臟病(冠心病)的重要方式之一[1-2]。但是即便接受了手術治療,部分患者仍然面對再發主要心血管不良事件(major adverse cardiovascular events,MACE)的風險。因此,對于 CABG 患者心肌灌注改善情況的評價顯得尤為重要。近年來,對冠心病患者心肌灌注情況評估的研究越來越多。其中心肌灌注超聲(myocardial contrast echocardiography,MCE)對于冠心病患者心肌灌注的應用評價得到了越來越多的重視[3-5]。本研究擬評估 CABG 手術前后 MCE 心肌灌注變化情況對 CABG 患者術后 MACE 的預測價值。
1 資料與方法
1.1 臨床資料和分組
分析 2017 年 1~11 月于我院完成首次單純非體外循環下 CABG 的患者臨床資料。所有患者均經冠狀動脈造影檢查,共計 85 例連續患者確認符合 CABG 手術指征[2]。排除標準:(1)最后未行 CABG 手術患者;(2)同期行其它心臟手術患者;(3)急診行 CABG 手術患者;(4)拒絕配合 MCE 檢查的患者;(5)MCE 檢查圖像質量不佳,無法判讀。共排除 15 例患者,其中 6 例患者因術后拒絕行 MCE 檢查,2 例患者因超聲圖像質量欠佳無法分析,1 例患者行急診 CABG 手術治療,1 例患者同期行心臟瓣膜手術,1 例患者術后 1 年內因腦出血死亡,4 例患者失訪。最終入組患者 70 例,以隨訪期間是否發生 MACE 為依據將入組患者進行分組,術后 1 年未出現 MACE 60 例(A 組),出現 MACE 10 例(B 組),其中 B 組 10 例患者均為再發心肌梗死。MACE 發生時間為:術后 6 個月 4 例,8 個月 2 例,10 個月 4 例。本研究中 MACE 定義參考既往文獻[6],即再發心肌梗死及心源性休克。
1.2 方法
患者入院后完善心臟超聲檢查評估心臟功能及結構情況,并完善 MCE 檢查評估患者心肌灌注情況。所有患者 CABG 手術均由同一名資深術者完成。其中動脈橋血管材料均采用左側胸廓內動脈,靜脈橋血管材料均選擇自體大隱靜脈。術中均采用內窺鏡采集大隱靜脈。所有入組患者術后 24 h 啟動雙聯抗血小板治療。予常規 CABG 術后冠心病二級預防治療[1]。于術后 2 周行 MCE 檢查,評估患者心肌灌注改善情況。術后隨訪 1 年有無 MACE 發生,并于術后 1 年復查心臟超聲。
超聲心動圖檢查使用彩色多普勒超聲診斷儀(Vivid E9 型,GE 公司),探頭型號 S5-1,取極低機械指數(very low mechanical index,VLMI)MCE 預設條件,超聲造影劑采用聲諾維(SonoVue,Bracco 公司),為第二代超聲造影劑,成份為包含惰性氣體的微泡。患者取左側臥位,取左肘正中靜脈為靜脈通路。將配置好的超聲造影劑混懸液 2.5 mL 混合 12.5 mL 生理鹽水配成 15 mL 混合溶液,首先推注 5 mL,待左室心腔顯影后于緩慢搖晃過程中繼續緩慢靜脈推注,維持推注速度約 1 mL/s 以保持心腔內造影劑濃度的穩定,推注結束后以 5 mL 生理鹽水沖洗,上述過程必要時可重復一次[7]。
1.3 隨訪與指標評價
MCE 指標評價采用左心室 17 段劃分法[8]。(1)左冠狀動脈前降支(left anterior descending,LAD)供血區域:前壁基底段(basal anterior,BA)、前間隔基底段(basal anteroseptal,BAS)、前壁中段(mid anterior,MA)、前間隔中段(mid anteroseptal,MAS)、前壁心尖段(apical anterior,AA)、間隔心尖段(apical septal,AS)、心尖帽(apex cap,AP);(2)左冠狀動脈回旋支(left circumflex,LCX)供血區域:下側壁基底段(basal inferolateral,BI)、前側壁基底段(basal anterolateral,BAL)、下側壁中段(mid inferolateral,MIL)、前側壁中段(mid anterolateral)、側壁心尖段(apical lateral,AL);(3)右冠狀動脈(right coronary artery,RCA)供血區域:下間隔基底段(basal inferoseptal,BIS)、下壁基底段(basal inferior,BI)、下間隔中段(mid inferoseptal,MIS)、下壁中段(mid inferior,MI)、心尖部下壁(apical inferior,AI)。心肌灌注計分(MCES):0 分為灌注良好,造影劑均勻充盈;1 分為灌注輕微減弱,造影劑濃淡不均;2 分為灌注嚴重減弱;3 分為充盈缺損或瘢痕心肌[9-10]。由 2 名具備豐富心臟超聲經驗及 MCE 檢查經驗的心臟超聲醫生進行分析,診斷不一致時加入另 1 名醫師討論。
其余觀測指標:(1)患者術中橋血管情況;(2)術前經胸心臟超聲左心房、左心室結構情況及左心室射血分數(LVEF);(3)術后 1 年經胸心臟超聲左心房、左心室結構情況及 LVEF。
1.4 觀察者間變異度
幾個月后,由相同 2 名超聲醫生隨機選擇 10 例入組患者,對其術前或術后 MCE 圖像隨機進行重復 MCE 圖像分析及評分。Cohen's κ 系數和組內相關系數用于確定觀察者內和觀察者間變異性。
1.5 統計學分析
采用 SPSS 19.0 統計軟件進行統計學處理。計量資料以均數±標準差(
±s)表示,資料符合正態分布及方差齊性者采用 t 檢驗,配對數據采用配對樣本 t 檢驗,不符合正態分布者采用 Mann-Whitney U 檢驗。計數資料以頻數表示,采用 χ2 檢驗,對于超過 20% 期望頻數<5 的計數資料采用 Fisher 確切概率法。P<0.05 為差異有統計學意義。
1.6 倫理審查
本研究經大連市中心醫院醫學倫理委員會審批,批準號:YN2019-004-07。
2 結果
2.1 患者一般資料
)
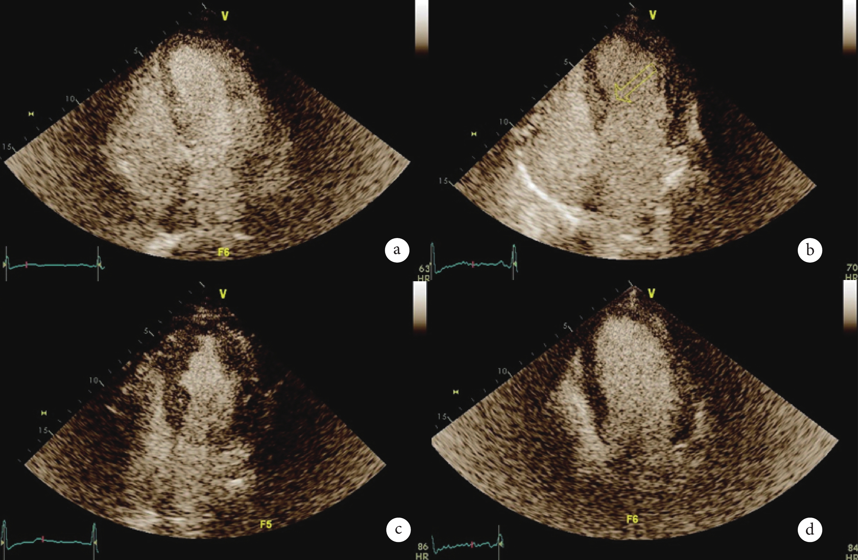
圖1
心肌灌注超聲檢查心肌灌注經典圖像
a:心肌灌注良好,灌注均勻;b:心肌灌注減弱,造影劑濃淡不均;c:心肌灌注嚴重減弱;d:充盈缺損
2.2 患者術中橋血管情況及術后 MCE 情況比較
兩組患者術中橋血管情況、術前及術后 MCE 情況差異無統計學意義(P>0.05);見表 2。
)
術后 MCE 下兩組患者各供血區域評分較術前變化情況如下:(1)LAD 供血區域:A 組變化(1.68±1.83)分,B 組變化(?0.1±0.99)分;(2)LCX 供血區域:A 組變化(0.60±1.50)分,B 組變化(0.00±1.56)分;(3)RCA 供血區域:A 組變化(0.70±1.41)分,B 組變化(?0.30±1.63)分;A 組 MCE 下灌注總分較術前變化(2.00±5.90)分,B 組變化(?0.40±2.37)分。
2.3 術后 1 年心臟結構情況比較
A 組患者術后 LVEF 為 54.35%±12.3%,左心房收縮期末內徑為(43.60±9.14)mm,左心室舒張期末內徑為(51.48±6.48)mm。B 組患者術后 LVEF 為 51.60%±8.98%,左心房收縮期末內徑(44.40±10.35)mm,左心室舒張期末內徑為(51.80±5.35)mm。A 組及 B 組術后 LVEF(t=0.672,P=0.504)、左心房收縮期末內徑(t=0.252,P=0.802)、左心室舒張期末內徑(t=0.146,P=0.84)差異無統計學意義。在術前及術后心臟結構比較方面,術后 A 組左心房收縮期末內徑較術前減小(1.41±6.06)mm,B 組左心房收縮期末內徑較術前增加(2.60±4.50)mm;術后 A 組左心室舒張期末內徑較術前減小(2.08±4.14)mm,B 組左心室舒張期末內徑較術前增加(2.60±4.50)mm;術后 A 組 LVEF 較術前增加 4.38%±5.07%,B 組 LVEF 較術前增加 0.50%±4.58%。
2.4 術前和術后 MCE 情況比較
采用配對 t 檢驗比較 A 組及 B 組術前和術后 MCE 情況。結果發現,A 組術前及術后各冠狀動脈支配區域灌注 MCES 及心肌灌注總 MCES 和術前差異有統計學意義(P<0.05),B 組術前及術后 MCE 各項分值差異無統計學意義(P>0.05);見表 3。
)
2.5 術前及術后 1 年心臟超聲情況比較
A 組術前及術后 1 年心臟超聲結果顯示左心室大小及 LVEF 值差異有統計學意義(P<0.001),左心房大小差異無統計學意義(P=0.075);B 組術前及術后 1 年心臟結構及 LVEF 值差異均無統計學意義(P>0.05);見表 4。
)
2.6 觀察者變異度
觀察者內變異性分析顯示,觀察者內一致性為 87.05%(κ=0.790),觀察者間一致性為 82.94%(κ=0.735)。觀察者內的類內相關系數為 0.955(95%CI 0.939~0.967),觀察者間的類內相關系數為 0.869(95%CI 0.925~0.959)。
3 討論
CABG 通過移植橋血管為缺血心肌重建血運,從而改善心肌血流灌注達到改善癥狀和遠期預后的目的。但是在 CABG 術后,仍有一部分患者面臨 MACE 發作的風險[2]。心肌灌注異常往往與心血管缺血性癥狀相關,近年來心肌灌注也得到了越來越多學者的關注[11-13]。
MCE 是從外周靜脈注入微泡類造影劑,而微泡類造影劑具備與紅細胞類似的血流動力學,故可作為紅細胞流動的示蹤劑,可隨血液循環到達心肌微循環水平,通過觀察微氣泡在心肌內的再充盈過程了解心肌灌注情況,能夠實現真正意義上的心肌微循環動態顯示[14-15]。該方法可以用于評價冠心病患者心肌灌注情況[16-18],并可用于冠心病血運重建后心肌灌注情況評估[19-20]。
心肌灌注情況惡化是冠心病患者不良事件發生的重要因素[21]。而 CABG 雖然可以重建血運通路,卻無法改善已病變微血管灌注情況,冠狀動脈微循環的異常也會導致冠狀動脈血流的降低,引發心肌缺血癥狀[18]。在本研究中發現,術后新發 MACE 組患者較術前相比,術后 MCE 灌注情況未見明顯改善,而無 MACE 發作組患者術后 MCE 灌注情況較術前顯著改善,提示術前及術后 MCE 改善情況,可能為 CABG 術后新發 MACE 的預測因素。
國外學者[11]研究發現心肌灌注情況與 CABG 術后左心室內徑改變有關。既往研究[2]表明,CABG 在改善患者心肌灌注及心臟功能的同時,可改善左心室重構情況。本研究發現術后無 MACE 發作組患者術后左心室較術前減小而術后新發 MACE 組未見此改變。CABG 患者術后左心室內徑的變化同樣會對 CABG 患者預后產生影響,術后左心室內徑增大,心室重構進展,提示預后較差;反之,左心室內徑減小,心室重構逆轉,提示預后較好[20]。
在心功能情況方面,心肌灌注情況與 CABG 術后左心室內徑轉歸情況及 LVEF 改變情況相關[11]。本研究發現術后無 MACE 發作組患者術后 LVEF 值較術前改善,而術后新發 MACE 組未見此改變,提示心肌灌注情況變化可能與 LVEF 值變化有關,而冠心病患者 LVEF 情況與心肌梗死等不良事件有直接關系[20-21]。
綜上所述,CABG 患者術后心肌灌注改善情況可能與患者術后 MACE 相關。CABG 術前及術后完善心肌灌注評估,對于評估患者預后有著重要意義。本研究為單中心研究,有待擴大樣本量及延長隨訪時間后做進一步研究。
利益沖突:無。
作者貢獻:王文君負責數據整理與分析、論文初稿撰寫;潘曉芳、張博、孫飛一負責實施研究及影像結果判讀;高峰負責論文設計、論文修改;莊熙晶負責論文審閱與修改;何學志負責論文審閱與修改、試驗設計和監督。
冠狀動脈旁路移植術(coronary artery bypass grafting,CABG)通過移植旁路血管重建血運通路,從而改善缺血區域血流灌注,是治療冠狀動脈粥樣硬化性心臟病(冠心病)的重要方式之一[1-2]。但是即便接受了手術治療,部分患者仍然面對再發主要心血管不良事件(major adverse cardiovascular events,MACE)的風險。因此,對于 CABG 患者心肌灌注改善情況的評價顯得尤為重要。近年來,對冠心病患者心肌灌注情況評估的研究越來越多。其中心肌灌注超聲(myocardial contrast echocardiography,MCE)對于冠心病患者心肌灌注的應用評價得到了越來越多的重視[3-5]。本研究擬評估 CABG 手術前后 MCE 心肌灌注變化情況對 CABG 患者術后 MACE 的預測價值。
1 資料與方法
1.1 臨床資料和分組
分析 2017 年 1~11 月于我院完成首次單純非體外循環下 CABG 的患者臨床資料。所有患者均經冠狀動脈造影檢查,共計 85 例連續患者確認符合 CABG 手術指征[2]。排除標準:(1)最后未行 CABG 手術患者;(2)同期行其它心臟手術患者;(3)急診行 CABG 手術患者;(4)拒絕配合 MCE 檢查的患者;(5)MCE 檢查圖像質量不佳,無法判讀。共排除 15 例患者,其中 6 例患者因術后拒絕行 MCE 檢查,2 例患者因超聲圖像質量欠佳無法分析,1 例患者行急診 CABG 手術治療,1 例患者同期行心臟瓣膜手術,1 例患者術后 1 年內因腦出血死亡,4 例患者失訪。最終入組患者 70 例,以隨訪期間是否發生 MACE 為依據將入組患者進行分組,術后 1 年未出現 MACE 60 例(A 組),出現 MACE 10 例(B 組),其中 B 組 10 例患者均為再發心肌梗死。MACE 發生時間為:術后 6 個月 4 例,8 個月 2 例,10 個月 4 例。本研究中 MACE 定義參考既往文獻[6],即再發心肌梗死及心源性休克。
1.2 方法
患者入院后完善心臟超聲檢查評估心臟功能及結構情況,并完善 MCE 檢查評估患者心肌灌注情況。所有患者 CABG 手術均由同一名資深術者完成。其中動脈橋血管材料均采用左側胸廓內動脈,靜脈橋血管材料均選擇自體大隱靜脈。術中均采用內窺鏡采集大隱靜脈。所有入組患者術后 24 h 啟動雙聯抗血小板治療。予常規 CABG 術后冠心病二級預防治療[1]。于術后 2 周行 MCE 檢查,評估患者心肌灌注改善情況。術后隨訪 1 年有無 MACE 發生,并于術后 1 年復查心臟超聲。
超聲心動圖檢查使用彩色多普勒超聲診斷儀(Vivid E9 型,GE 公司),探頭型號 S5-1,取極低機械指數(very low mechanical index,VLMI)MCE 預設條件,超聲造影劑采用聲諾維(SonoVue,Bracco 公司),為第二代超聲造影劑,成份為包含惰性氣體的微泡。患者取左側臥位,取左肘正中靜脈為靜脈通路。將配置好的超聲造影劑混懸液 2.5 mL 混合 12.5 mL 生理鹽水配成 15 mL 混合溶液,首先推注 5 mL,待左室心腔顯影后于緩慢搖晃過程中繼續緩慢靜脈推注,維持推注速度約 1 mL/s 以保持心腔內造影劑濃度的穩定,推注結束后以 5 mL 生理鹽水沖洗,上述過程必要時可重復一次[7]。
1.3 隨訪與指標評價
MCE 指標評價采用左心室 17 段劃分法[8]。(1)左冠狀動脈前降支(left anterior descending,LAD)供血區域:前壁基底段(basal anterior,BA)、前間隔基底段(basal anteroseptal,BAS)、前壁中段(mid anterior,MA)、前間隔中段(mid anteroseptal,MAS)、前壁心尖段(apical anterior,AA)、間隔心尖段(apical septal,AS)、心尖帽(apex cap,AP);(2)左冠狀動脈回旋支(left circumflex,LCX)供血區域:下側壁基底段(basal inferolateral,BI)、前側壁基底段(basal anterolateral,BAL)、下側壁中段(mid inferolateral,MIL)、前側壁中段(mid anterolateral)、側壁心尖段(apical lateral,AL);(3)右冠狀動脈(right coronary artery,RCA)供血區域:下間隔基底段(basal inferoseptal,BIS)、下壁基底段(basal inferior,BI)、下間隔中段(mid inferoseptal,MIS)、下壁中段(mid inferior,MI)、心尖部下壁(apical inferior,AI)。心肌灌注計分(MCES):0 分為灌注良好,造影劑均勻充盈;1 分為灌注輕微減弱,造影劑濃淡不均;2 分為灌注嚴重減弱;3 分為充盈缺損或瘢痕心肌[9-10]。由 2 名具備豐富心臟超聲經驗及 MCE 檢查經驗的心臟超聲醫生進行分析,診斷不一致時加入另 1 名醫師討論。
其余觀測指標:(1)患者術中橋血管情況;(2)術前經胸心臟超聲左心房、左心室結構情況及左心室射血分數(LVEF);(3)術后 1 年經胸心臟超聲左心房、左心室結構情況及 LVEF。
1.4 觀察者間變異度
幾個月后,由相同 2 名超聲醫生隨機選擇 10 例入組患者,對其術前或術后 MCE 圖像隨機進行重復 MCE 圖像分析及評分。Cohen's κ 系數和組內相關系數用于確定觀察者內和觀察者間變異性。
1.5 統計學分析
采用 SPSS 19.0 統計軟件進行統計學處理。計量資料以均數±標準差(
±s)表示,資料符合正態分布及方差齊性者采用 t 檢驗,配對數據采用配對樣本 t 檢驗,不符合正態分布者采用 Mann-Whitney U 檢驗。計數資料以頻數表示,采用 χ2 檢驗,對于超過 20% 期望頻數<5 的計數資料采用 Fisher 確切概率法。P<0.05 為差異有統計學意義。
1.6 倫理審查
本研究經大連市中心醫院醫學倫理委員會審批,批準號:YN2019-004-07。
2 結果
2.1 患者一般資料
)
圖1
心肌灌注超聲檢查心肌灌注經典圖像
a:心肌灌注良好,灌注均勻;b:心肌灌注減弱,造影劑濃淡不均;c:心肌灌注嚴重減弱;d:充盈缺損
2.2 患者術中橋血管情況及術后 MCE 情況比較
兩組患者術中橋血管情況、術前及術后 MCE 情況差異無統計學意義(P>0.05);見表 2。
)
術后 MCE 下兩組患者各供血區域評分較術前變化情況如下:(1)LAD 供血區域:A 組變化(1.68±1.83)分,B 組變化(?0.1±0.99)分;(2)LCX 供血區域:A 組變化(0.60±1.50)分,B 組變化(0.00±1.56)分;(3)RCA 供血區域:A 組變化(0.70±1.41)分,B 組變化(?0.30±1.63)分;A 組 MCE 下灌注總分較術前變化(2.00±5.90)分,B 組變化(?0.40±2.37)分。
2.3 術后 1 年心臟結構情況比較
A 組患者術后 LVEF 為 54.35%±12.3%,左心房收縮期末內徑為(43.60±9.14)mm,左心室舒張期末內徑為(51.48±6.48)mm。B 組患者術后 LVEF 為 51.60%±8.98%,左心房收縮期末內徑(44.40±10.35)mm,左心室舒張期末內徑為(51.80±5.35)mm。A 組及 B 組術后 LVEF(t=0.672,P=0.504)、左心房收縮期末內徑(t=0.252,P=0.802)、左心室舒張期末內徑(t=0.146,P=0.84)差異無統計學意義。在術前及術后心臟結構比較方面,術后 A 組左心房收縮期末內徑較術前減小(1.41±6.06)mm,B 組左心房收縮期末內徑較術前增加(2.60±4.50)mm;術后 A 組左心室舒張期末內徑較術前減小(2.08±4.14)mm,B 組左心室舒張期末內徑較術前增加(2.60±4.50)mm;術后 A 組 LVEF 較術前增加 4.38%±5.07%,B 組 LVEF 較術前增加 0.50%±4.58%。
2.4 術前和術后 MCE 情況比較
采用配對 t 檢驗比較 A 組及 B 組術前和術后 MCE 情況。結果發現,A 組術前及術后各冠狀動脈支配區域灌注 MCES 及心肌灌注總 MCES 和術前差異有統計學意義(P<0.05),B 組術前及術后 MCE 各項分值差異無統計學意義(P>0.05);見表 3。
)
2.5 術前及術后 1 年心臟超聲情況比較
A 組術前及術后 1 年心臟超聲結果顯示左心室大小及 LVEF 值差異有統計學意義(P<0.001),左心房大小差異無統計學意義(P=0.075);B 組術前及術后 1 年心臟結構及 LVEF 值差異均無統計學意義(P>0.05);見表 4。
)
2.6 觀察者變異度
觀察者內變異性分析顯示,觀察者內一致性為 87.05%(κ=0.790),觀察者間一致性為 82.94%(κ=0.735)。觀察者內的類內相關系數為 0.955(95%CI 0.939~0.967),觀察者間的類內相關系數為 0.869(95%CI 0.925~0.959)。
3 討論
CABG 通過移植橋血管為缺血心肌重建血運,從而改善心肌血流灌注達到改善癥狀和遠期預后的目的。但是在 CABG 術后,仍有一部分患者面臨 MACE 發作的風險[2]。心肌灌注異常往往與心血管缺血性癥狀相關,近年來心肌灌注也得到了越來越多學者的關注[11-13]。
MCE 是從外周靜脈注入微泡類造影劑,而微泡類造影劑具備與紅細胞類似的血流動力學,故可作為紅細胞流動的示蹤劑,可隨血液循環到達心肌微循環水平,通過觀察微氣泡在心肌內的再充盈過程了解心肌灌注情況,能夠實現真正意義上的心肌微循環動態顯示[14-15]。該方法可以用于評價冠心病患者心肌灌注情況[16-18],并可用于冠心病血運重建后心肌灌注情況評估[19-20]。
心肌灌注情況惡化是冠心病患者不良事件發生的重要因素[21]。而 CABG 雖然可以重建血運通路,卻無法改善已病變微血管灌注情況,冠狀動脈微循環的異常也會導致冠狀動脈血流的降低,引發心肌缺血癥狀[18]。在本研究中發現,術后新發 MACE 組患者較術前相比,術后 MCE 灌注情況未見明顯改善,而無 MACE 發作組患者術后 MCE 灌注情況較術前顯著改善,提示術前及術后 MCE 改善情況,可能為 CABG 術后新發 MACE 的預測因素。
國外學者[11]研究發現心肌灌注情況與 CABG 術后左心室內徑改變有關。既往研究[2]表明,CABG 在改善患者心肌灌注及心臟功能的同時,可改善左心室重構情況。本研究發現術后無 MACE 發作組患者術后左心室較術前減小而術后新發 MACE 組未見此改變。CABG 患者術后左心室內徑的變化同樣會對 CABG 患者預后產生影響,術后左心室內徑增大,心室重構進展,提示預后較差;反之,左心室內徑減小,心室重構逆轉,提示預后較好[20]。
在心功能情況方面,心肌灌注情況與 CABG 術后左心室內徑轉歸情況及 LVEF 改變情況相關[11]。本研究發現術后無 MACE 發作組患者術后 LVEF 值較術前改善,而術后新發 MACE 組未見此改變,提示心肌灌注情況變化可能與 LVEF 值變化有關,而冠心病患者 LVEF 情況與心肌梗死等不良事件有直接關系[20-21]。
綜上所述,CABG 患者術后心肌灌注改善情況可能與患者術后 MACE 相關。CABG 術前及術后完善心肌灌注評估,對于評估患者預后有著重要意義。本研究為單中心研究,有待擴大樣本量及延長隨訪時間后做進一步研究。
利益沖突:無。
作者貢獻:王文君負責數據整理與分析、論文初稿撰寫;潘曉芳、張博、孫飛一負責實施研究及影像結果判讀;高峰負責論文設計、論文修改;莊熙晶負責論文審閱與修改;何學志負責論文審閱與修改、試驗設計和監督。

