引用本文: 呂彥萌, 陸方林. 經右心房小切口建立山羊三尖瓣反流模型. 中國胸心血管外科臨床雜志, 2019, 26(11): 1136-1140. doi: 10.7507/1007-4848.201901067 復制
近年來,三尖瓣關閉不全的潛在危害逐漸被人們重視[1]。其中,左心瓣膜術后發生三尖瓣關閉不全是臨床上較為常見的棘手問題[2-3],尤其是在嚴重肺動脈高壓、心房顫動(房顫)、心肌梗死等高危因素下,中-重度的三尖瓣反流(tricuspid regurgitation,TR)會加速失代償性右心功能不全,進而導致早期死亡率上升[4];常規的外科手術圍術期死亡率高,遠期生存率低,并且有很多患者因合并高危因素無法耐受體外循環下手術治療[5]。
經導管介入治療瓣膜技術在過去10年得到飛速發展,在眾多被認為是“高危”患者中有獨特的優勢[6-8]。令人振奮的是,國內外已經研發出多種介入治療三尖瓣關閉不全的裝置,其中少數裝置已經應用于臨床,并取得了令人滿意的早期效果[9-10]。我們小組也研究出了一種新型經導管右心房小切口途徑三尖瓣置換裝置,為了更加詳細地評估其有效性及可行性,我們設計了一種操作簡便、可重復的三尖瓣腱索切割器,以評價其對三尖瓣關閉不全的改善。
1 材料與方法
1.1 實驗動物
選取 6 只健康雄性山羊(體重 30~40 kg,年齡 12~24 個月)驅寄生蟲、免疫隔離 4 周,整個動物實驗過程遵循 GB16886.2 中有關實驗動物管理的要求,本實驗的所有動物均由匯智贏華醫療科技研發(上海)有限公司購于具有實驗動物生產資質的上海華新特種養殖中心。所有程序均經長海醫院機構動物護理和使用委員會(IACUC,CHEC2018-136)和中國上海的 GateWay 醫療創新實驗室批準。術前禁食 12 h,禁水 8 h,麻醉前用藥:肌肉注射氯胺酮 10~15 mg/kg,安定 0.2 mg/kg,阿托品 0.05 mg/kg。麻醉誘導:靜脈注射咪達唑侖 0.05 mg/kg,芬太尼 2~4 μg/kg,維庫溴銨 0.05 mg/kg。麻醉維持:芬太尼 1~4 μg/(kg·h),異丙酚 0.3 mg/(kg·h)。術中監測心電圖、血氧飽和及有創血壓。以自制喉鏡和氣管套管進行氣管插管。接呼吸機輔助呼吸,潮氣量 15 mL/kg,呼吸頻率 18~22 次/min,呼氣末正壓通氣(positive end expiratory pressure,PEEP)2~3 cm H2O,切皮前靜脈輸注頭孢拉定 25 mg/kg。
1.2 實驗方法
1.2.1 手術方法
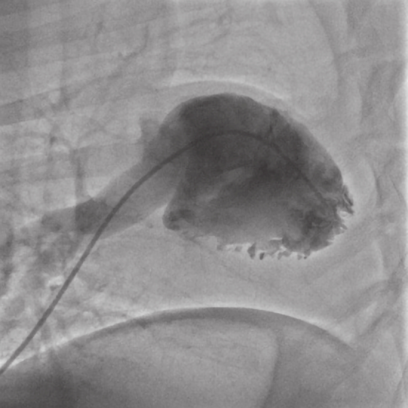
山羊左側臥位(圖 1),常規麻醉和機械通氣后,放置經食管超聲,常規消毒鋪單,沿左側股靜脈將豬尾巴導管送至右心室(圖 2);右側前外側第 4 肋間進入胸腔,懸吊心包,顯露右心房,全身肝素化(肝素 1.5 mg/kg)后,用 4-0 Prolene 線帶氈片縫雙荷包。尖刀片從荷包中心做右心房小切口,送入自制的腱索切割器(圖 3),收緊荷包線止血,造影明確三尖瓣環位置,超聲確認切割器進入三尖瓣平面;在超聲引導下,切割器尖端回拉住三尖瓣前瓣葉腱索,推送手柄使頭部尖端閉合切斷腱索,再次觀察超聲反流情況,如果沒有觀察到明顯反流,重復過程直至出現中至重度反流后,撤離切割器,結扎荷包線,止血關胸,魚精蛋白按照 1∶1 的比例中和肝素。



1.2.2 術后處理
在手術后的最初 12 h 內對所有山羊進行密切監測。術后前 5 d 予以頭孢拉定 12 h 一次肌肉注射(25 mg/kg)抗感染處理,術后 10 d 拆線,拆線后送回農場喂養,每天監測生命體征。
1.2.3 檢查安排
在術前、術后即刻行右心導管測定右心房壓力,術前、術后即刻及術后 3 個月行山羊左側臥位超聲檢查及血常規、肝腎功能、腦鈉肽(brain natriuretic peptide,BNP)等檢查,記錄三尖瓣瓣環直徑、平均跨瓣壓差及流速,三尖瓣關閉不全程度[TRA(三尖瓣反流束面積)/RAA(右心房面積)]。其中 10%~40% 為中度 TR,40%~70% 為重度 TR,>70% 為極重度 TR。經過 3 個月的隨訪,全部山羊被安樂死,仔細觀察三尖瓣瓣葉受損情況,乳頭肌及腱索損傷情況。
1.3 統計學分析
使用 SPSS 22.0 軟件進行數據分析。計量資料采用均數±標準差()表示;右心房壓力通過多次測量取平均值,所有數據使用配對 t 檢驗與基線數據比較。P<0.05 為差異有統計學意義。
2 結果
所有山羊 TR 模型成功建立(圖 4、圖 5);在術后及隨訪沒有山羊死亡,所有山羊術前超聲及造影提示無任何反流,在手術期間均出現短暫的房室早搏,心率由術前(83.7±8.3)次/min 上升至(146.0±35.6)次/min;術后即刻右心房壓力從 5.1 mm Hg 升高至 9.2 mm Hg(P<0.05),三尖瓣跨瓣壓差(P=0.281)、流速(P=0.129)及直徑(P=0.175)無明顯改變,TRA/RAA 均在 40% 以上提示重度反流的成功建立;見表 1。術后隨訪 3 個月,無山羊死亡,2 例出現輕度腹部膨隆,山羊跨瓣壓差(P=0.224)及流速(P=0.204)均值與術前基線比增大,但差異均無統計學意義,TRA/RAA 較術后即刻增大(P=0.003),提示 TR 程度持續性增加;三尖瓣瓣環直徑由(2.15±0.23)cm 增加至(2.65±0.20)cm (P=0.002),實驗室檢查如肌酐、膽紅素、BNP 等與術前無明顯改變;整個隨訪期間左心功能及肺動脈壓力無明顯改變,解剖發現 5 例前瓣葉腱索損傷,1 例前后瓣葉腱索均損傷。



3 討論
過去三尖瓣被稱為“被遺忘的瓣膜”,隨著研究的深入,不良的預后和較低的遠期生存率逐漸被人們重視[11],TR 的嚴重程度是影響生存率的獨立因素[1];遺憾的是三尖瓣疾病一旦發現癥狀較重,存在外科手術禁忌證或死亡率較高,部分原因歸結于不可逆的右心室重塑[12];隨著經導管二尖瓣及主動脈瓣裝置逐漸應用于臨床,使經導管介入治療三尖瓣裝置也逐漸成為一項可供選擇的替代治療方案,所以通過合適的動物模型來研究及改善三尖瓣裝置是必不可少的。
目前文獻記載的大部分創立三尖瓣反流模型的方法,都是通過外科手術正中開胸或經導管介入途徑,如使用縫線固定瓣葉[13],撕裂瓣葉[14],破壞乳頭肌或腱索(工具牽拉或乙醇注射損傷)[15-16]、阻擋瓣葉接合建立可逆的三尖瓣功能不全[17]、三尖瓣瓣環做小切口等[18]。來自美國的 Eva Maria Delmo Walter 博士同樣通過右側肋間小切口途徑,在超聲和內鏡直視成像的引導下,通過在三尖瓣瓣環上做多個小切口引起反流,同時多個切口逐漸導致了瓣環環形擴張,從而在隨訪期間 TR 嚴重程度進行性加重[19];其優勢可以避免瓣葉及瓣下組織損傷,在內鏡直視下可以控制產生反流的程度,但需要研究急性 TR 的病理生理改變,仍較切割腱索有一定的劣勢,成本也較高。而且與臨床實際情況有出入,大部分三尖瓣關閉不全是由于瓣葉正常接合受限引起[20],同時也加重了右心系統的擴張,右心室擴張反過來又加重三尖瓣環狀擴張和右心室乳頭肌移位,所以容量負荷早于壓力負荷,因此該模型并不適用于研究容量負荷轉變為右心衰竭引起的右心室重構機制[21]。
前期我們自行研制了一種經導管右心房途徑三尖瓣原位置換的裝置,所以我們延續了這種經皮小切口途徑的三尖瓣反流模型的建立模式;相比于正中開胸,此途徑創傷小,避免體外循環,降低術后護理的風險及成本;相比經導管模式,不用考慮外周血管的因素,血管及冠狀動脈的損傷可能性降低;如果出現意外情況可立即開胸建立體外循環,降低死亡率;同時可以避免持續透視,降低實驗復雜的過程。本實驗中我們采用經食管超聲而不是右心室造影明確 TR 產生程度,考慮到右室造影時導管與三尖瓣口交叉時會擠壓三尖瓣原瓣葉,對三尖瓣反流程度有一定影響[22]。
本實驗中我們選取前瓣葉腱索切割,考慮實際生理情況,前瓣葉較隔瓣容易撕裂;從解剖來看,前瓣葉比其他瓣葉大,同時與隔瓣相比,從中心纖維三角環獲得支持力較小[23],有助于 TR 模型的成功建立。
術后及整個隨訪期間沒有山羊的死亡,術后即刻右心房壓力由 5.2 mm Hg 升高至 9.2 mm Hg,對于研究急性三尖瓣關閉不全提供了幫助;3 個月隨訪跨瓣壓差及流速等血流動力學無明顯改變,與右心系統容量負荷的順應性及代償功能有關,短期內維持了正常的心功能;尸檢結果提示三尖瓣前瓣葉腱索在所有山羊中成功斷裂,影響了瓣葉正常接合,加速右心室擴張,進一步導致瓣環擴大及乳頭肌移位,加重了 TR 嚴重程度,隨訪期間三尖瓣環直徑及 TRA/RAA 的增大也證明了這項機制。
本實驗中樣本數量少,隨訪時間較短,低發生率并發癥可能被避免;其次,本實驗目的是為經導管介入治療提供合適的反流模型,相比于左心室,右心系統對容量負荷有較強的順應性,所以在血生化、BNP 等實驗室檢查中未做詳細比較,沒有深入研究慢性 TR 的病理發展過程;第三,建立三尖瓣反流的程度控制不滿意,這項限制在大部分已發表反流模型的建立中普遍存在。同時,臨床上的患者在基礎疾病及長期代償下,原瓣葉會出現撕裂、不完整、血管翳或鈣化等情況,所以動物模型無法很好地模擬實際臨床患者的 TR 病理解剖,需要進一步長期隨訪,結合血流動力學及病理學檢查,為介入裝置提供更為理想的三尖瓣模型,但用動物反流模型測試三尖瓣介入裝置是可行的。
綜上所述,經右心房途徑小切口三尖瓣模型的建立是安全、有效,并且具有可重復、創傷小的優勢,為測試及改善經導管介入三尖瓣裝置提供了合適動物模型。下一步的研究重點是將介入三尖瓣裝置用于反流模型,觀察對于 TR 的改善,同時延長隨訪時間,進一步研究慢性三尖瓣反流的演變發展過程。
利益沖突:無。
近年來,三尖瓣關閉不全的潛在危害逐漸被人們重視[1]。其中,左心瓣膜術后發生三尖瓣關閉不全是臨床上較為常見的棘手問題[2-3],尤其是在嚴重肺動脈高壓、心房顫動(房顫)、心肌梗死等高危因素下,中-重度的三尖瓣反流(tricuspid regurgitation,TR)會加速失代償性右心功能不全,進而導致早期死亡率上升[4];常規的外科手術圍術期死亡率高,遠期生存率低,并且有很多患者因合并高危因素無法耐受體外循環下手術治療[5]。
經導管介入治療瓣膜技術在過去10年得到飛速發展,在眾多被認為是“高危”患者中有獨特的優勢[6-8]。令人振奮的是,國內外已經研發出多種介入治療三尖瓣關閉不全的裝置,其中少數裝置已經應用于臨床,并取得了令人滿意的早期效果[9-10]。我們小組也研究出了一種新型經導管右心房小切口途徑三尖瓣置換裝置,為了更加詳細地評估其有效性及可行性,我們設計了一種操作簡便、可重復的三尖瓣腱索切割器,以評價其對三尖瓣關閉不全的改善。
1 材料與方法
1.1 實驗動物
選取 6 只健康雄性山羊(體重 30~40 kg,年齡 12~24 個月)驅寄生蟲、免疫隔離 4 周,整個動物實驗過程遵循 GB16886.2 中有關實驗動物管理的要求,本實驗的所有動物均由匯智贏華醫療科技研發(上海)有限公司購于具有實驗動物生產資質的上海華新特種養殖中心。所有程序均經長海醫院機構動物護理和使用委員會(IACUC,CHEC2018-136)和中國上海的 GateWay 醫療創新實驗室批準。術前禁食 12 h,禁水 8 h,麻醉前用藥:肌肉注射氯胺酮 10~15 mg/kg,安定 0.2 mg/kg,阿托品 0.05 mg/kg。麻醉誘導:靜脈注射咪達唑侖 0.05 mg/kg,芬太尼 2~4 μg/kg,維庫溴銨 0.05 mg/kg。麻醉維持:芬太尼 1~4 μg/(kg·h),異丙酚 0.3 mg/(kg·h)。術中監測心電圖、血氧飽和及有創血壓。以自制喉鏡和氣管套管進行氣管插管。接呼吸機輔助呼吸,潮氣量 15 mL/kg,呼吸頻率 18~22 次/min,呼氣末正壓通氣(positive end expiratory pressure,PEEP)2~3 cm H2O,切皮前靜脈輸注頭孢拉定 25 mg/kg。
1.2 實驗方法
1.2.1 手術方法
山羊左側臥位(圖 1),常規麻醉和機械通氣后,放置經食管超聲,常規消毒鋪單,沿左側股靜脈將豬尾巴導管送至右心室(圖 2);右側前外側第 4 肋間進入胸腔,懸吊心包,顯露右心房,全身肝素化(肝素 1.5 mg/kg)后,用 4-0 Prolene 線帶氈片縫雙荷包。尖刀片從荷包中心做右心房小切口,送入自制的腱索切割器(圖 3),收緊荷包線止血,造影明確三尖瓣環位置,超聲確認切割器進入三尖瓣平面;在超聲引導下,切割器尖端回拉住三尖瓣前瓣葉腱索,推送手柄使頭部尖端閉合切斷腱索,再次觀察超聲反流情況,如果沒有觀察到明顯反流,重復過程直至出現中至重度反流后,撤離切割器,結扎荷包線,止血關胸,魚精蛋白按照 1∶1 的比例中和肝素。



1.2.2 術后處理
在手術后的最初 12 h 內對所有山羊進行密切監測。術后前 5 d 予以頭孢拉定 12 h 一次肌肉注射(25 mg/kg)抗感染處理,術后 10 d 拆線,拆線后送回農場喂養,每天監測生命體征。
1.2.3 檢查安排
在術前、術后即刻行右心導管測定右心房壓力,術前、術后即刻及術后 3 個月行山羊左側臥位超聲檢查及血常規、肝腎功能、腦鈉肽(brain natriuretic peptide,BNP)等檢查,記錄三尖瓣瓣環直徑、平均跨瓣壓差及流速,三尖瓣關閉不全程度[TRA(三尖瓣反流束面積)/RAA(右心房面積)]。其中 10%~40% 為中度 TR,40%~70% 為重度 TR,>70% 為極重度 TR。經過 3 個月的隨訪,全部山羊被安樂死,仔細觀察三尖瓣瓣葉受損情況,乳頭肌及腱索損傷情況。
1.3 統計學分析
使用 SPSS 22.0 軟件進行數據分析。計量資料采用均數±標準差()表示;右心房壓力通過多次測量取平均值,所有數據使用配對 t 檢驗與基線數據比較。P<0.05 為差異有統計學意義。
2 結果
所有山羊 TR 模型成功建立(圖 4、圖 5);在術后及隨訪沒有山羊死亡,所有山羊術前超聲及造影提示無任何反流,在手術期間均出現短暫的房室早搏,心率由術前(83.7±8.3)次/min 上升至(146.0±35.6)次/min;術后即刻右心房壓力從 5.1 mm Hg 升高至 9.2 mm Hg(P<0.05),三尖瓣跨瓣壓差(P=0.281)、流速(P=0.129)及直徑(P=0.175)無明顯改變,TRA/RAA 均在 40% 以上提示重度反流的成功建立;見表 1。術后隨訪 3 個月,無山羊死亡,2 例出現輕度腹部膨隆,山羊跨瓣壓差(P=0.224)及流速(P=0.204)均值與術前基線比增大,但差異均無統計學意義,TRA/RAA 較術后即刻增大(P=0.003),提示 TR 程度持續性增加;三尖瓣瓣環直徑由(2.15±0.23)cm 增加至(2.65±0.20)cm (P=0.002),實驗室檢查如肌酐、膽紅素、BNP 等與術前無明顯改變;整個隨訪期間左心功能及肺動脈壓力無明顯改變,解剖發現 5 例前瓣葉腱索損傷,1 例前后瓣葉腱索均損傷。



3 討論
過去三尖瓣被稱為“被遺忘的瓣膜”,隨著研究的深入,不良的預后和較低的遠期生存率逐漸被人們重視[11],TR 的嚴重程度是影響生存率的獨立因素[1];遺憾的是三尖瓣疾病一旦發現癥狀較重,存在外科手術禁忌證或死亡率較高,部分原因歸結于不可逆的右心室重塑[12];隨著經導管二尖瓣及主動脈瓣裝置逐漸應用于臨床,使經導管介入治療三尖瓣裝置也逐漸成為一項可供選擇的替代治療方案,所以通過合適的動物模型來研究及改善三尖瓣裝置是必不可少的。
目前文獻記載的大部分創立三尖瓣反流模型的方法,都是通過外科手術正中開胸或經導管介入途徑,如使用縫線固定瓣葉[13],撕裂瓣葉[14],破壞乳頭肌或腱索(工具牽拉或乙醇注射損傷)[15-16]、阻擋瓣葉接合建立可逆的三尖瓣功能不全[17]、三尖瓣瓣環做小切口等[18]。來自美國的 Eva Maria Delmo Walter 博士同樣通過右側肋間小切口途徑,在超聲和內鏡直視成像的引導下,通過在三尖瓣瓣環上做多個小切口引起反流,同時多個切口逐漸導致了瓣環環形擴張,從而在隨訪期間 TR 嚴重程度進行性加重[19];其優勢可以避免瓣葉及瓣下組織損傷,在內鏡直視下可以控制產生反流的程度,但需要研究急性 TR 的病理生理改變,仍較切割腱索有一定的劣勢,成本也較高。而且與臨床實際情況有出入,大部分三尖瓣關閉不全是由于瓣葉正常接合受限引起[20],同時也加重了右心系統的擴張,右心室擴張反過來又加重三尖瓣環狀擴張和右心室乳頭肌移位,所以容量負荷早于壓力負荷,因此該模型并不適用于研究容量負荷轉變為右心衰竭引起的右心室重構機制[21]。
前期我們自行研制了一種經導管右心房途徑三尖瓣原位置換的裝置,所以我們延續了這種經皮小切口途徑的三尖瓣反流模型的建立模式;相比于正中開胸,此途徑創傷小,避免體外循環,降低術后護理的風險及成本;相比經導管模式,不用考慮外周血管的因素,血管及冠狀動脈的損傷可能性降低;如果出現意外情況可立即開胸建立體外循環,降低死亡率;同時可以避免持續透視,降低實驗復雜的過程。本實驗中我們采用經食管超聲而不是右心室造影明確 TR 產生程度,考慮到右室造影時導管與三尖瓣口交叉時會擠壓三尖瓣原瓣葉,對三尖瓣反流程度有一定影響[22]。
本實驗中我們選取前瓣葉腱索切割,考慮實際生理情況,前瓣葉較隔瓣容易撕裂;從解剖來看,前瓣葉比其他瓣葉大,同時與隔瓣相比,從中心纖維三角環獲得支持力較小[23],有助于 TR 模型的成功建立。
術后及整個隨訪期間沒有山羊的死亡,術后即刻右心房壓力由 5.2 mm Hg 升高至 9.2 mm Hg,對于研究急性三尖瓣關閉不全提供了幫助;3 個月隨訪跨瓣壓差及流速等血流動力學無明顯改變,與右心系統容量負荷的順應性及代償功能有關,短期內維持了正常的心功能;尸檢結果提示三尖瓣前瓣葉腱索在所有山羊中成功斷裂,影響了瓣葉正常接合,加速右心室擴張,進一步導致瓣環擴大及乳頭肌移位,加重了 TR 嚴重程度,隨訪期間三尖瓣環直徑及 TRA/RAA 的增大也證明了這項機制。
本實驗中樣本數量少,隨訪時間較短,低發生率并發癥可能被避免;其次,本實驗目的是為經導管介入治療提供合適的反流模型,相比于左心室,右心系統對容量負荷有較強的順應性,所以在血生化、BNP 等實驗室檢查中未做詳細比較,沒有深入研究慢性 TR 的病理發展過程;第三,建立三尖瓣反流的程度控制不滿意,這項限制在大部分已發表反流模型的建立中普遍存在。同時,臨床上的患者在基礎疾病及長期代償下,原瓣葉會出現撕裂、不完整、血管翳或鈣化等情況,所以動物模型無法很好地模擬實際臨床患者的 TR 病理解剖,需要進一步長期隨訪,結合血流動力學及病理學檢查,為介入裝置提供更為理想的三尖瓣模型,但用動物反流模型測試三尖瓣介入裝置是可行的。
綜上所述,經右心房途徑小切口三尖瓣模型的建立是安全、有效,并且具有可重復、創傷小的優勢,為測試及改善經導管介入三尖瓣裝置提供了合適動物模型。下一步的研究重點是將介入三尖瓣裝置用于反流模型,觀察對于 TR 的改善,同時延長隨訪時間,進一步研究慢性三尖瓣反流的演變發展過程。
利益沖突:無。