引用本文: 黃可南, 丁新宇, 陳昱, 徐志飛, 唐華. 吲哚菁綠熒光胸腔鏡技術在單孔胸腔鏡下肺段切除術段間平面的識別. 中國胸心血管外科臨床雜志, 2019, 26(6): 623-624. doi: 10.7507/1007-4848.201809049 復制
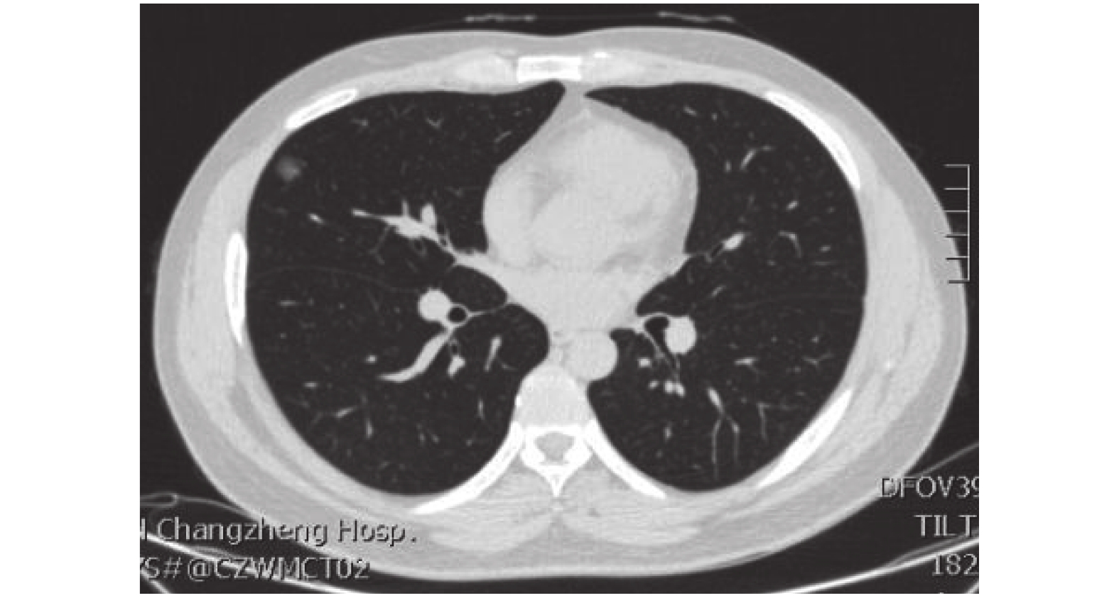
臨床資料 患者,男,30 歲,右肺中葉外側段結節,大小約 5.5 mm,見圖 1。納入標準:術前胸部 CT 提示懷疑早期肺癌,且肺結節大小在≤1 cm,術前吲哚菁綠(indocyanine green,ICG)皮試陰性,無肝腎功能不全。排除標準:既往 ICG 過敏,對碘化物過敏,甲狀腺疾病,腎臟或腎臟的過敏素質肝功能衰竭,懷孕或哺乳期。本研究經我院倫理委員會批準,患者家屬術前簽署手術知情同意書。近紅外熒光成像系統使用 easyScopy NIR/ICG 醫用熒光內窺鏡攝像系統(上海逸思醫療科技有限公司),可在白光模式和近紅外光模式下自由切換。注射用 ICG 為 25 mg/支(衛材(遼寧)制藥有限公司)。

手術方式:單孔胸腔鏡下右肺中葉外側段肺段切除術,見圖 2。全身麻醉,雙腔插管;側臥位,胸部予以沙袋墊高;胸腔鏡置于患者頭側,主刀醫師位于患者腹側,扶鏡手位于患者背側;切口選取腋中線第 4 肋間,長度約 3.5 cm;建立胸腔鏡系統,游離出段支氣管及段動脈血管后,予以直線切割閉合器切割閉合段支氣管及血管。

注射 ICG 后段平面的識別:將 25 mg 注射用 ICG 融在配套的 10 ml 滅菌注射用水中。將胸腔鏡鏡頭的標準白光模式轉換成近紅外熒光模式。一般立即通過外周靜脈注射約 3 ml 配好的 ICG 溶液一次, 約 10 s 后可見其余保留肺段呈熒光綠色(圖 3 示右肺中葉外側段未顯影,其余肺段均顯示為綠色),一般熒光顯像持續約 10~15 s(必要時可多次重復給藥,一般肺段切除術 1 支 25 mg 注射用吲哚菁綠即可)顯影后予以電刀標記段平面。予以直線切割閉合器分離目標段平面。將肺組織裝進標本取出袋中拿出胸腔。切口處放置 1 根 F 28 號胸腔引流管。

討論 肺癌發病率居全國之首。由于胸部 CT 技術不斷更新及國民普遍體檢意識的增強,早期肺癌的診斷率不斷提高。對于早期肺癌的手術治療已逐步過渡到胸腔鏡手術(VATS),目前我國已達 80% 以上,已成為治療早期肺小細胞肺癌的標準術式。近年越來越多的外科醫生研究認為, VATS 解剖性肺段切除術不僅能夠最精準地切除早期肺腫瘤,而且可以最大限度保留患者肺功能。但由于肺葉里肺段較多,段間平面的界定對于肺段切除術至關重要,也是手術中最具挑戰的一步,尤其是對于一些慢性阻塞性肺疾病(COPD)患者,其肺葉處于過度膨脹狀態,段間平面的識別更為困難。一般來說,常見識別方法是:囑麻醉師鼓肺,然后夾閉段支氣管,待其它肺段自然痿陷,找出并標記目標肺段。這種方法操作比較復雜,延長手術時間,且對于 COPD 患者效果不明顯。
2009 年 Misaki 醫生[1]利用 ICG 靜脈給藥途徑結合近紅外成像系統對豬進行研究證實了該方法在識別段間平面具有一定的可行性。ICG 是一種近紅外熒光造影劑,由于其近紅外光譜中的低毒性和高吸收度,是 FDA 唯一允許可用于人類受試者的試劑[2]。2010 年 Misaki 醫生團隊[3-5]在開胸手術下利用該技術成功的識別了段間平面,并且研究經驗指出該技術是基于肺部血管的動脈分割而不是傳統的段支氣管分割。手術中予以靜脈注射 ICG 后通過特殊的胸腔鏡系統觀察即可,避免充氣肺葉,不僅適用于正常患者,也特別適用于肺氣腫患者。2014 年 Tarumi 醫生團隊[4,6]利用該技術成功地實施了多孔胸腔鏡下肺段切除術。同年,Pardolesi 醫生[7]在達芬奇機器人操作下利用該技術完成了解剖性肺段切除術。由于目前單孔胸腔鏡技術越來越成熟,同時也被廣大的國內外胸外科醫生所應用,此次我們利用 ICG 熒光胸腔鏡系統在單孔胸腔鏡下識別肺段平面完成肺段切除手術。
目前 ICG 已經被廣泛應用于各種外科手術中,如腦外科的腦動脈瘤、脊髓血管畸形、腦血管搭橋[8-10],普外科的解剖性肝切除術、乳腺癌的前哨淋巴結定位[11-13],胸外科的胸交感神經顯像[14-15]。
ICG 是一種水溶性分子,靜脈注射后迅速強烈地和血漿蛋白結合。ICG 在體內與高分子量的白蛋白結合,這種結合模式的代謝只能通過肝臟進行。它很快從血流中被清除,由肝臟攝取,排泄于膽汁,無腸肝循環。ICG 在體內無代謝產物,以原形排出[16]。
熒光成像原理:當 ICG 結合蛋白暴露在 750~810 nm 的激發光源下時,它發出的熒光峰值在 840 nm 左右。因為這個波長是極少會被血紅蛋白或水吸收,含有 ICG 的結構可以通過擁有敏感的紅外光和適當濾波的攝像機捕捉,但僅可視距體表 5~10 mm 的距離[17]。
對本例患者,利用 ICG 胸腔鏡技術可以較好地識別段間平面,尤其是復雜的段間平面,避免反復膨脹肺,縮短手術時間,在進行完整切除肺段的同時可以最大保留患者肺功能,該技術操作方便、安全可靠。
臨床資料 患者,男,30 歲,右肺中葉外側段結節,大小約 5.5 mm,見圖 1。納入標準:術前胸部 CT 提示懷疑早期肺癌,且肺結節大小在≤1 cm,術前吲哚菁綠(indocyanine green,ICG)皮試陰性,無肝腎功能不全。排除標準:既往 ICG 過敏,對碘化物過敏,甲狀腺疾病,腎臟或腎臟的過敏素質肝功能衰竭,懷孕或哺乳期。本研究經我院倫理委員會批準,患者家屬術前簽署手術知情同意書。近紅外熒光成像系統使用 easyScopy NIR/ICG 醫用熒光內窺鏡攝像系統(上海逸思醫療科技有限公司),可在白光模式和近紅外光模式下自由切換。注射用 ICG 為 25 mg/支(衛材(遼寧)制藥有限公司)。

手術方式:單孔胸腔鏡下右肺中葉外側段肺段切除術,見圖 2。全身麻醉,雙腔插管;側臥位,胸部予以沙袋墊高;胸腔鏡置于患者頭側,主刀醫師位于患者腹側,扶鏡手位于患者背側;切口選取腋中線第 4 肋間,長度約 3.5 cm;建立胸腔鏡系統,游離出段支氣管及段動脈血管后,予以直線切割閉合器切割閉合段支氣管及血管。

注射 ICG 后段平面的識別:將 25 mg 注射用 ICG 融在配套的 10 ml 滅菌注射用水中。將胸腔鏡鏡頭的標準白光模式轉換成近紅外熒光模式。一般立即通過外周靜脈注射約 3 ml 配好的 ICG 溶液一次, 約 10 s 后可見其余保留肺段呈熒光綠色(圖 3 示右肺中葉外側段未顯影,其余肺段均顯示為綠色),一般熒光顯像持續約 10~15 s(必要時可多次重復給藥,一般肺段切除術 1 支 25 mg 注射用吲哚菁綠即可)顯影后予以電刀標記段平面。予以直線切割閉合器分離目標段平面。將肺組織裝進標本取出袋中拿出胸腔。切口處放置 1 根 F 28 號胸腔引流管。

討論 肺癌發病率居全國之首。由于胸部 CT 技術不斷更新及國民普遍體檢意識的增強,早期肺癌的診斷率不斷提高。對于早期肺癌的手術治療已逐步過渡到胸腔鏡手術(VATS),目前我國已達 80% 以上,已成為治療早期肺小細胞肺癌的標準術式。近年越來越多的外科醫生研究認為, VATS 解剖性肺段切除術不僅能夠最精準地切除早期肺腫瘤,而且可以最大限度保留患者肺功能。但由于肺葉里肺段較多,段間平面的界定對于肺段切除術至關重要,也是手術中最具挑戰的一步,尤其是對于一些慢性阻塞性肺疾病(COPD)患者,其肺葉處于過度膨脹狀態,段間平面的識別更為困難。一般來說,常見識別方法是:囑麻醉師鼓肺,然后夾閉段支氣管,待其它肺段自然痿陷,找出并標記目標肺段。這種方法操作比較復雜,延長手術時間,且對于 COPD 患者效果不明顯。
2009 年 Misaki 醫生[1]利用 ICG 靜脈給藥途徑結合近紅外成像系統對豬進行研究證實了該方法在識別段間平面具有一定的可行性。ICG 是一種近紅外熒光造影劑,由于其近紅外光譜中的低毒性和高吸收度,是 FDA 唯一允許可用于人類受試者的試劑[2]。2010 年 Misaki 醫生團隊[3-5]在開胸手術下利用該技術成功的識別了段間平面,并且研究經驗指出該技術是基于肺部血管的動脈分割而不是傳統的段支氣管分割。手術中予以靜脈注射 ICG 后通過特殊的胸腔鏡系統觀察即可,避免充氣肺葉,不僅適用于正常患者,也特別適用于肺氣腫患者。2014 年 Tarumi 醫生團隊[4,6]利用該技術成功地實施了多孔胸腔鏡下肺段切除術。同年,Pardolesi 醫生[7]在達芬奇機器人操作下利用該技術完成了解剖性肺段切除術。由于目前單孔胸腔鏡技術越來越成熟,同時也被廣大的國內外胸外科醫生所應用,此次我們利用 ICG 熒光胸腔鏡系統在單孔胸腔鏡下識別肺段平面完成肺段切除手術。
目前 ICG 已經被廣泛應用于各種外科手術中,如腦外科的腦動脈瘤、脊髓血管畸形、腦血管搭橋[8-10],普外科的解剖性肝切除術、乳腺癌的前哨淋巴結定位[11-13],胸外科的胸交感神經顯像[14-15]。
ICG 是一種水溶性分子,靜脈注射后迅速強烈地和血漿蛋白結合。ICG 在體內與高分子量的白蛋白結合,這種結合模式的代謝只能通過肝臟進行。它很快從血流中被清除,由肝臟攝取,排泄于膽汁,無腸肝循環。ICG 在體內無代謝產物,以原形排出[16]。
熒光成像原理:當 ICG 結合蛋白暴露在 750~810 nm 的激發光源下時,它發出的熒光峰值在 840 nm 左右。因為這個波長是極少會被血紅蛋白或水吸收,含有 ICG 的結構可以通過擁有敏感的紅外光和適當濾波的攝像機捕捉,但僅可視距體表 5~10 mm 的距離[17]。
對本例患者,利用 ICG 胸腔鏡技術可以較好地識別段間平面,尤其是復雜的段間平面,避免反復膨脹肺,縮短手術時間,在進行完整切除肺段的同時可以最大保留患者肺功能,該技術操作方便、安全可靠。