引用本文: 宋陽陽, 朱淵, 丁淳. 原發性食管惡性黑色素瘤三例. 中國胸心血管外科臨床雜志, 2019, 26(2): 192-194. doi: 10.7507/1007-4848.201804003 復制
病例資料 病例 1:患者,女,50 歲,因“進食哽咽不適 2 月”入我院,外院食管鏡檢查提示:距門齒 28~30 cm 腫物,考慮食管中段惡性腫瘤,雙側鎖骨上未及腫大淋巴結,胃鏡示食管中段腫瘤,術后病理結果顯示:食管內腫塊 3.6 mm×2.5 mm×1.7 mm,惡性黑色素瘤,CD68 蛋白(+)、細胞角蛋白(CK)(–)、S-100 蛋白(+)、Vimtin 蛋白(–)、黑色素瘤抗原肽(Melan-A)(+)、CD117 蛋白(+)、CD56 蛋白(+)、P40 蛋白(–)、CK5/6(–)。患者于全身麻醉下行食管內膜切除術,手術順利,術后 12 d,停胃腸減壓,進食后生命體征平穩。術后 15 d 出院。病理示惡性黑色素瘤,食管惡性黑色素瘤,惡性程度高,且已發生早期轉移。患者術后 6 個月因胃部不適胃鏡示胃黏膜病變,進一步行正電子發射計算機斷層顯像(PET-CT)檢查考慮惡性腫瘤轉移,鎖骨上可捫及腫大淋巴結,無外科手術指征。患者術后無輔助治療,2 年后于我院查氣管鏡,報告示氣管下段黏膜隆起,侵及隆突及左右組織開口,后繼續隨訪家屬不配合。由于患者于外院檢查,本院缺少相關影像學資料。
病例 2:患者,女,71 歲,以“進食哽咽感 1 年余”入院,起始吞咽干硬食物無不順,無嘔血,無前胸及后背部疼痛不適,入院時只能進半流質飲食。影像學顯示:吞服造影劑見食管胸下段充盈缺損表現,管腔未見明顯狹窄,管壁僵硬,余段食管未見異常改變,賁門通過良好(圖 1);食管鏡顯示:食管腫瘤、黑色素瘤可能,距門齒 33~36 cm 見新生物,占 1/2 周,位于后壁,肉芽狀隆起,腫瘤及周邊有黑色素存留,38 cm 處賁門張閉佳,交界黏膜清晰,胃各壁柔軟,光滑,幽門口圓,球部光滑(圖 2)。患者在全身麻醉下行胸腔鏡下食管癌切除術。病理報告示:腫瘤大小 3.1 mm×1.6 mm×1.5 mm,腫瘤侵犯黏膜層,黑色素瘤抗體(HMB45)(+)、S-100 蛋白(+)、Melan-A(+)、人源葡萄糖轉運蛋白(GLUT-1)(–)、增殖細胞核抗原(Ki-67)(60%+)、CK(局部弱+)、CD117 蛋白(+)、轉錄因子 GATA-3(–)、VIM 蛋白(+)、EMA 蛋白(局部弱+)。術后恢復良好,可以進食后出院,術后 3 個月隨訪生存狀況良好無轉移。


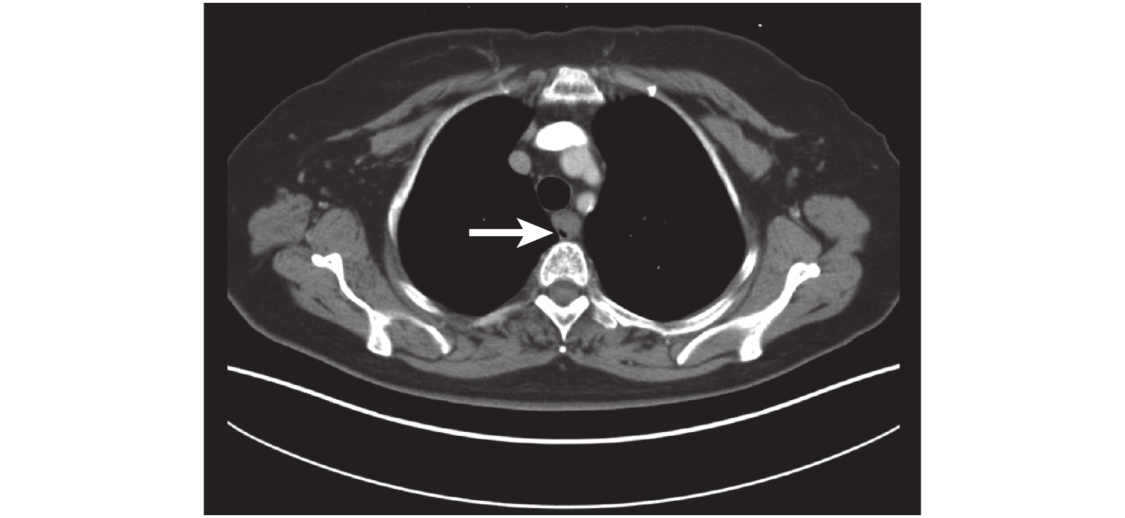
病例 3:患者,女,72 歲,患者進食梗阻感 1 個月為主訴入院治療,外院胃鏡示:距門齒 20 cm,占位 5 mm×4 mm,PET-CT:食管腔內占位,CT 顯示食管上中段局部管壁不規則增厚,最大層面 2.3 mm×2.0 mm,侵及長度為 4.5 cm,局部管腔狹窄,狹窄以上食管輕度擴張,CT 值為 29~47 Hu,結論為食管上中段癌可能(圖 3)。食管鏡顯示:距門齒 20~23 cm,見左壁占位性病變,傘形,窄蒂,診斷為食管占位性病變(圖 4)。吞鋇餐見食管胸中段長約 1~2 個椎體充盈缺損,診斷為食管胸中段癌。患者于全身麻醉下行食管腫瘤套切術,術后 3 個月隨訪,生活質量良好,術后 2 年隨訪患者腫瘤復發死亡。


討論 黑色素瘤是由異常黑色素細胞過度增生引發的常見的皮膚腫瘤,惡性程度極高,15% 的黑色素瘤發生在非皮膚的部位,其中 0.5% 原發于食管[1]。原發性食管惡性黑色素瘤(primary malignancy melanoma of esophagus,PMME)屬于罕見疾病,經報道的 PMME 病例有 350 例,50 歲以上為好發人群,男女比例約為 2∶1[2]。對非暴露區發生的惡性黑色素瘤,可能是由于日光作用于暴露區,皮膚釋放一種物質進入循環血中,循環因子再作用于人體非暴露部位皮膚或黏膜的黑色素母細胞導致。
目前關于該疾病的診斷仍沒有指南及明確的治療方法,普遍認為非其他部位轉移的腫瘤即是黑色素瘤。常見的 Allen 診斷標準主要針對原位黑色素瘤和沒有皮膚黑色素瘤史的衛星腫瘤[3]:① 具有黑色素瘤的特征性結構并含有黑色素沉著;② 鄰近上皮可見黑色素細胞;③ 腫瘤呈息肉狀;④ 起源于位于鱗狀上皮內的交界性活動區域,診斷的同時還必須排除皮膚、眼、肛門、直腸等處病變轉移來的可能。在診斷時應該與一些食管發生的腫瘤相鑒別,如低分化癌、肉瘤和轉移性惡性黑色素瘤等,PMME 的確診仍需要系統全面的檢查[4]。
PMME 內鏡檢查顯示為邊界清楚、隆起性、腔內息肉樣腫物,不只黑色,10%~25%的患者會有其他顏色包括棕色、紅色等[5],該病起源于黏膜層,極少侵犯黏膜下和肌層,引起梗阻癥狀晚。病變主要發生于食管下段,其次位于食管中段,極易發展為惡性黑色素瘤。在確診前患者通常會經歷近 3~5 個月系統的癥狀史[5],臨床表現為吞咽不暢及進食胸骨后疼痛(79.8%)、反酸(33.1%)、乏力和消瘦(7%),體重下降(37.5%)等,部分患者出現嘔血、黑便[3]。
CT 可以明確腫瘤的大小及與周圍組織之間的關系,從而為手術提供依據,協助醫生進行初步判斷[6]。PMME 影像學檢查表現為輪廓比較光滑規則的充盈缺損及局部食管擴張,常表現為凸向管腔的結節狀腫塊,區別其他疾病,如平滑肌肉瘤顯示為一種異質化的腫塊,有壞死的區域,而卡波西肉瘤顯示為多發性的黏膜下腫塊或息肉樣病變。其他惡性腫瘤如食管腺癌或食管鱗狀細胞癌很少表現為息肉狀腫塊。但在腫瘤類型的診斷上,CT 特異性并不強。Sahoo 等[7]建議組織學檢查可以準確地確認結果,磁共振、CT 以及 CT 增強也十分重要,尤其 PET-CT 在其中的作用不容小覷[8],可以實現全身成像,對術前評估、術后隨訪都有重要參考價值。對于無癥狀的患者,建議采用組織學的檢查方法,利用 HMB45 和 S-100 蛋白建立完整的判斷[4]。
PMME 早期臨床癥狀一般表現不明顯,發現時一般為晚期,且容易被誤診。曾有報道原發性食管瘤首次胃鏡被誤診為血管性病變,明確淋巴結轉移后生存期僅剩幾個月[9]。PMME 診斷后中位數生存期僅為 11 個月,在世界范圍內生存時間將近 13.4 個月,30%的患者生存期長于 1 年,但 5 年生存率只有 4.2%[10]。目前分析預后差原因可能為:① 該腫瘤生長速度快,侵襲性強,易發生血道或淋巴道轉移;② 腫瘤隱蔽性大,不易早期發現;而 PET-CT 可以進一步輔助診斷;③ 腫瘤對放療和化療不敏感。大部分患者死于淋巴結的轉移,常見的轉移器官為肝臟(31%)、縱隔(29%)、肺(18%)、大腦(13%)[11]。
手術切除可以緩解食管惡性黑色素瘤的臨床癥狀,但不能提高生存率,輔助放化療是否有效仍需進一步討論[4]。PMME 患者手術后 1 年和 5 年生存率分別為 51% 和 10%,腫瘤分期是重要影響因素[12]。但與長期生存狀況相比,一經發現或確診,即需要全食管的手術切除,對患者生活質量造成很大的影響[13]。文獻報道 1 例食管黑色素瘤患者術后結合放化療生存時間達 8 年[14]。另 1 例食管原發性黑色素瘤經手術治療后未進行化療,術后 6 個月未出現轉移,遠期生存狀況比較好[4]。
對于不能手術切除的患者,放化療、免疫可能起到一定的姑息治療作用。2010 年報道的 2 例患者由于年齡和基礎疾病比較復雜未采用手術治療,僅采用放療和熱療,治療結果為 1 例患者在治療后 11 個月出現快速的轉移,但另1 例患者則完全恢復,治療 15 個月后仍未出現任何轉移的征兆[15]。靶向治療藥物為食管黑色素瘤的治療帶來了新希望,近年來一項關于易普利姆瑪與達卡巴嗪聯合治療包括 502 例黑色素瘤的隨機臨床Ⅲ期試驗,將患者分為伊匹單抗組以及伊匹單抗與氮烯咪胺聯用組,結果顯示,聯用組的總體生存期為 11.2 個月,伊匹單抗單用組為 9.1 個月,表明兩個藥物聯用能夠提高轉移性黑色素瘤患者的預防[16]。
由于 PMME 的危險因素尚不清楚,預防似乎是不可能的,因此發生在黏膜交界處的著色皮損都值得注意。Mehra 等[17]研究顯示腫瘤厚度是 PMME 的腫瘤的重要標記,且存活時間主要取決于診斷初期腫瘤 T 分期結果,患者既往健康狀況等因素也對預后有一定影響。治療應根據腫瘤大小、位置、淋巴轉移情況和患者自身狀況綜合考慮,選擇合適的治療方案。
綜上所述,原發性食管癌惡性黑色素瘤病例十分罕見,尤其女性案例,因早期臨床癥狀不明顯,易發生血行轉移,預后極差,正確的診斷需綜合檢查結果,然而早期識別并規范化治療仍面臨著巨大的挑戰。
病例資料 病例 1:患者,女,50 歲,因“進食哽咽不適 2 月”入我院,外院食管鏡檢查提示:距門齒 28~30 cm 腫物,考慮食管中段惡性腫瘤,雙側鎖骨上未及腫大淋巴結,胃鏡示食管中段腫瘤,術后病理結果顯示:食管內腫塊 3.6 mm×2.5 mm×1.7 mm,惡性黑色素瘤,CD68 蛋白(+)、細胞角蛋白(CK)(–)、S-100 蛋白(+)、Vimtin 蛋白(–)、黑色素瘤抗原肽(Melan-A)(+)、CD117 蛋白(+)、CD56 蛋白(+)、P40 蛋白(–)、CK5/6(–)。患者于全身麻醉下行食管內膜切除術,手術順利,術后 12 d,停胃腸減壓,進食后生命體征平穩。術后 15 d 出院。病理示惡性黑色素瘤,食管惡性黑色素瘤,惡性程度高,且已發生早期轉移。患者術后 6 個月因胃部不適胃鏡示胃黏膜病變,進一步行正電子發射計算機斷層顯像(PET-CT)檢查考慮惡性腫瘤轉移,鎖骨上可捫及腫大淋巴結,無外科手術指征。患者術后無輔助治療,2 年后于我院查氣管鏡,報告示氣管下段黏膜隆起,侵及隆突及左右組織開口,后繼續隨訪家屬不配合。由于患者于外院檢查,本院缺少相關影像學資料。
病例 2:患者,女,71 歲,以“進食哽咽感 1 年余”入院,起始吞咽干硬食物無不順,無嘔血,無前胸及后背部疼痛不適,入院時只能進半流質飲食。影像學顯示:吞服造影劑見食管胸下段充盈缺損表現,管腔未見明顯狹窄,管壁僵硬,余段食管未見異常改變,賁門通過良好(圖 1);食管鏡顯示:食管腫瘤、黑色素瘤可能,距門齒 33~36 cm 見新生物,占 1/2 周,位于后壁,肉芽狀隆起,腫瘤及周邊有黑色素存留,38 cm 處賁門張閉佳,交界黏膜清晰,胃各壁柔軟,光滑,幽門口圓,球部光滑(圖 2)。患者在全身麻醉下行胸腔鏡下食管癌切除術。病理報告示:腫瘤大小 3.1 mm×1.6 mm×1.5 mm,腫瘤侵犯黏膜層,黑色素瘤抗體(HMB45)(+)、S-100 蛋白(+)、Melan-A(+)、人源葡萄糖轉運蛋白(GLUT-1)(–)、增殖細胞核抗原(Ki-67)(60%+)、CK(局部弱+)、CD117 蛋白(+)、轉錄因子 GATA-3(–)、VIM 蛋白(+)、EMA 蛋白(局部弱+)。術后恢復良好,可以進食后出院,術后 3 個月隨訪生存狀況良好無轉移。


病例 3:患者,女,72 歲,患者進食梗阻感 1 個月為主訴入院治療,外院胃鏡示:距門齒 20 cm,占位 5 mm×4 mm,PET-CT:食管腔內占位,CT 顯示食管上中段局部管壁不規則增厚,最大層面 2.3 mm×2.0 mm,侵及長度為 4.5 cm,局部管腔狹窄,狹窄以上食管輕度擴張,CT 值為 29~47 Hu,結論為食管上中段癌可能(圖 3)。食管鏡顯示:距門齒 20~23 cm,見左壁占位性病變,傘形,窄蒂,診斷為食管占位性病變(圖 4)。吞鋇餐見食管胸中段長約 1~2 個椎體充盈缺損,診斷為食管胸中段癌。患者于全身麻醉下行食管腫瘤套切術,術后 3 個月隨訪,生活質量良好,術后 2 年隨訪患者腫瘤復發死亡。


討論 黑色素瘤是由異常黑色素細胞過度增生引發的常見的皮膚腫瘤,惡性程度極高,15% 的黑色素瘤發生在非皮膚的部位,其中 0.5% 原發于食管[1]。原發性食管惡性黑色素瘤(primary malignancy melanoma of esophagus,PMME)屬于罕見疾病,經報道的 PMME 病例有 350 例,50 歲以上為好發人群,男女比例約為 2∶1[2]。對非暴露區發生的惡性黑色素瘤,可能是由于日光作用于暴露區,皮膚釋放一種物質進入循環血中,循環因子再作用于人體非暴露部位皮膚或黏膜的黑色素母細胞導致。
目前關于該疾病的診斷仍沒有指南及明確的治療方法,普遍認為非其他部位轉移的腫瘤即是黑色素瘤。常見的 Allen 診斷標準主要針對原位黑色素瘤和沒有皮膚黑色素瘤史的衛星腫瘤[3]:① 具有黑色素瘤的特征性結構并含有黑色素沉著;② 鄰近上皮可見黑色素細胞;③ 腫瘤呈息肉狀;④ 起源于位于鱗狀上皮內的交界性活動區域,診斷的同時還必須排除皮膚、眼、肛門、直腸等處病變轉移來的可能。在診斷時應該與一些食管發生的腫瘤相鑒別,如低分化癌、肉瘤和轉移性惡性黑色素瘤等,PMME 的確診仍需要系統全面的檢查[4]。
PMME 內鏡檢查顯示為邊界清楚、隆起性、腔內息肉樣腫物,不只黑色,10%~25%的患者會有其他顏色包括棕色、紅色等[5],該病起源于黏膜層,極少侵犯黏膜下和肌層,引起梗阻癥狀晚。病變主要發生于食管下段,其次位于食管中段,極易發展為惡性黑色素瘤。在確診前患者通常會經歷近 3~5 個月系統的癥狀史[5],臨床表現為吞咽不暢及進食胸骨后疼痛(79.8%)、反酸(33.1%)、乏力和消瘦(7%),體重下降(37.5%)等,部分患者出現嘔血、黑便[3]。
CT 可以明確腫瘤的大小及與周圍組織之間的關系,從而為手術提供依據,協助醫生進行初步判斷[6]。PMME 影像學檢查表現為輪廓比較光滑規則的充盈缺損及局部食管擴張,常表現為凸向管腔的結節狀腫塊,區別其他疾病,如平滑肌肉瘤顯示為一種異質化的腫塊,有壞死的區域,而卡波西肉瘤顯示為多發性的黏膜下腫塊或息肉樣病變。其他惡性腫瘤如食管腺癌或食管鱗狀細胞癌很少表現為息肉狀腫塊。但在腫瘤類型的診斷上,CT 特異性并不強。Sahoo 等[7]建議組織學檢查可以準確地確認結果,磁共振、CT 以及 CT 增強也十分重要,尤其 PET-CT 在其中的作用不容小覷[8],可以實現全身成像,對術前評估、術后隨訪都有重要參考價值。對于無癥狀的患者,建議采用組織學的檢查方法,利用 HMB45 和 S-100 蛋白建立完整的判斷[4]。
PMME 早期臨床癥狀一般表現不明顯,發現時一般為晚期,且容易被誤診。曾有報道原發性食管瘤首次胃鏡被誤診為血管性病變,明確淋巴結轉移后生存期僅剩幾個月[9]。PMME 診斷后中位數生存期僅為 11 個月,在世界范圍內生存時間將近 13.4 個月,30%的患者生存期長于 1 年,但 5 年生存率只有 4.2%[10]。目前分析預后差原因可能為:① 該腫瘤生長速度快,侵襲性強,易發生血道或淋巴道轉移;② 腫瘤隱蔽性大,不易早期發現;而 PET-CT 可以進一步輔助診斷;③ 腫瘤對放療和化療不敏感。大部分患者死于淋巴結的轉移,常見的轉移器官為肝臟(31%)、縱隔(29%)、肺(18%)、大腦(13%)[11]。
手術切除可以緩解食管惡性黑色素瘤的臨床癥狀,但不能提高生存率,輔助放化療是否有效仍需進一步討論[4]。PMME 患者手術后 1 年和 5 年生存率分別為 51% 和 10%,腫瘤分期是重要影響因素[12]。但與長期生存狀況相比,一經發現或確診,即需要全食管的手術切除,對患者生活質量造成很大的影響[13]。文獻報道 1 例食管黑色素瘤患者術后結合放化療生存時間達 8 年[14]。另 1 例食管原發性黑色素瘤經手術治療后未進行化療,術后 6 個月未出現轉移,遠期生存狀況比較好[4]。
對于不能手術切除的患者,放化療、免疫可能起到一定的姑息治療作用。2010 年報道的 2 例患者由于年齡和基礎疾病比較復雜未采用手術治療,僅采用放療和熱療,治療結果為 1 例患者在治療后 11 個月出現快速的轉移,但另1 例患者則完全恢復,治療 15 個月后仍未出現任何轉移的征兆[15]。靶向治療藥物為食管黑色素瘤的治療帶來了新希望,近年來一項關于易普利姆瑪與達卡巴嗪聯合治療包括 502 例黑色素瘤的隨機臨床Ⅲ期試驗,將患者分為伊匹單抗組以及伊匹單抗與氮烯咪胺聯用組,結果顯示,聯用組的總體生存期為 11.2 個月,伊匹單抗單用組為 9.1 個月,表明兩個藥物聯用能夠提高轉移性黑色素瘤患者的預防[16]。
由于 PMME 的危險因素尚不清楚,預防似乎是不可能的,因此發生在黏膜交界處的著色皮損都值得注意。Mehra 等[17]研究顯示腫瘤厚度是 PMME 的腫瘤的重要標記,且存活時間主要取決于診斷初期腫瘤 T 分期結果,患者既往健康狀況等因素也對預后有一定影響。治療應根據腫瘤大小、位置、淋巴轉移情況和患者自身狀況綜合考慮,選擇合適的治療方案。
綜上所述,原發性食管癌惡性黑色素瘤病例十分罕見,尤其女性案例,因早期臨床癥狀不明顯,易發生血行轉移,預后極差,正確的診斷需綜合檢查結果,然而早期識別并規范化治療仍面臨著巨大的挑戰。