引用本文: 周勇, 何曉峰, 朱燕萍, 郝艷鵬, 王立, 王志強. 人源腫瘤異種移植(PDTX)模型建立及藥效學檢測初步探討. 中國胸心血管外科臨床雜志, 2018, 25(9): 804-808. doi: 10.7507/1007-4848.201709019 復制
腫瘤動物模型一直以來是抗腫瘤藥物臨床前療效預測和毒性評價的有效工具。近年來,越來越多的研究小組利用患者手術中切除的腫瘤組織接種到免疫缺陷小鼠身上,在小鼠體內重建了患者自身的人源腫瘤異種移植(patient-derived tumor xenografts,PDTX)模型,該模型能較好地保持腫瘤細胞生長環境不變,腫瘤細胞間基質、成纖維細胞等均予保存,保持腫瘤的基本形態不變,保持腫瘤內部血管網絡結構不變,整個腫瘤模型三維空間結構與患者腫瘤高度一致[1-2]。該研究利用 NOD-Prkdcem26Il2rgem26Nju(NCG)小鼠作為人原發性肺癌和食管癌組織異種移植的宿主,建立了多例能傳代和復蘇并能保持原腫瘤臨床組織特征的實驗動物模型,即 PDTX 模型,并對這些模型的組織結構及某些特定蛋白表達進行評價。
1 材料與方法
1.1 實驗動物
雌性 NCG 小鼠 96 只,SPF(specific pathogen free)級,6~8 周齡,體質量(20±2)g,購自南京大學南京生物醫藥研究院,飼養于 SPF 級動物房(25±2)℃,40%~70% 濕度,12 h∶12 h 晝夜交替,自由飲食。開始實驗前小鼠適應性飼養 3 d 以上。
1.2 試劑與耗材
leibovitz’s L15 組織保存液(含 L-谷氨酰胺,GIBCO),10% 中性甲醛,青鏈雙抗,一次性手術器材、紗布等。
1.3 腫瘤標本來源與處理
新鮮腫瘤組織收集于 2015 年 4~12 月南京鼓樓醫院胸心外科行手術切除的 7 例胸部腫瘤患者,其中男 5 例、女 2 例,年齡 61~71 歲;見表 1。手術切除后的腫瘤組織,立即放入組織保存液中,運至實驗室。在超凈工作臺內清除組織表面的壞死物并洗凈血液。部分腫瘤接種時同一塊組織一分為二,一半在取樣后 4 h 內完成,另一半 0℃~8℃ 保留 15 h 后接種。

1.4 腫瘤移植方法與傳代
臨床手術切除的新鮮腫瘤組織,選擇腫瘤活力較好的組織,在含有 1% 雙抗的培養基中用組織剪將腫瘤組織剪成約 2 mm×2 mm×2 mm 的小塊,將小鼠兩側前肢邊側皮膚酒精消毒備皮,將套管針刺入背部皮下,腫瘤組織快速注入皮下,穿刺針旋轉拔出,用酒精棉簽將滲血處理干凈,以防止殘留血液引起老鼠噬咬。對側做同樣處理,每例依標本大小分別接種 3~12 只小鼠。每周稱量動物體重 2 次,當成瘤后,每周測量腫瘤的長徑和寬徑 2 次,并計算相對腫瘤的體積(相對腫瘤體積=0.5×長徑×短徑2)。當 P1 代腫瘤生長至 500 mm3 時進行 P2 傳代、凍存(對照組及給藥組,每組 10 只小鼠傳代)。
1.5 模型監測指標
(1)每天觀察小鼠的一般狀態(包括毛色、精神狀態、活動力、飲食等);(2)觀察并記錄局部皮下移植瘤的生長情況;(3)觀察并記錄小鼠的成瘤率、存活率及死亡率;(4)處死小鼠后取出移植瘤,觀察移植瘤外觀,將患者腫瘤標本及每代移植瘤分別做常規病理切片蘇木精-伊紅染色(HE 染色),觀察腫瘤的組織形態學特征。
1.6 藥效學檢測
選取建模成功的編號 020020 和 020025 樣本進行藥效學檢測。待 P2 代小鼠腫瘤生長至 100~150 mm3 時,剔除生長情況差異明顯的小鼠后進行隨機分組(每組≥5 只)給藥。其中 020020 分為 2 組:對照組和順鉑+5-Fu 治療組。020025 分為 3 組:對照組,順鉑治療組和吉西他濱治療組。給藥 21 d 后結束實驗,繪制各組小鼠生長曲線。
2 結果
2.1 小鼠生長情況
接種后第 2 d,精神狀態恢復良好,活動力較好,飲食正常,毛色正常。
2.2 小鼠成瘤及生長情況
腫瘤組織移植后 2~4 周左右于接種部位可看到突出于皮膚的質地稍硬的實體腫塊,隨后腫瘤結節迅速增大。其中 1 例患者(編號:020020)瘤塊在接種時一分為二,保留 15 h 接種后仍可以建模成功。待腫瘤體積≥800 mm3 時,進行傳代,傳代后約 3 周左右腫瘤體積達 100~150 mm3。
2.3 小鼠成瘤率和腫瘤生長速度
7 例患者腫瘤標本進行 NCG 小鼠的原代移植(其中 1 例術后病理顯示為良性)。4 例建模成功,原代移植成瘤率為 66.7%。P1 代接種在平均 2~4 周后腫瘤體積>100 mm3,腫瘤生長后無自然消退情況。
2.4 患者標本及移植瘤組織病理學檢查
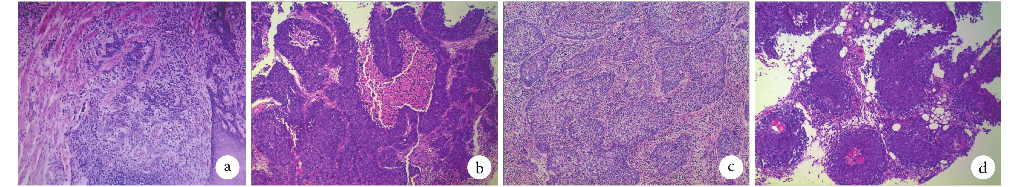
待荷瘤鼠腫瘤長至 800 mm3 左右時,將小鼠安樂死,取出移植瘤,可見移植瘤表面光滑,為圓形或類圓形實體瘤,質地稍硬,將該瘤體按 P1 代接種方法切割,重新接種到 P2 代小鼠體內。模型各臟器表面無轉移瘤結節,亦無其他組織或器官浸潤現象。將患者標本及傳代剩余 P1 代移植瘤做病理切片,HE 染色,400 倍光鏡下觀察。020020 及 020025 的 PDTX 模型小鼠腫瘤與原患者腫瘤病理的一致性進行對比;見圖 1、圖 2。

a:020020 患者 P0;b:020020 患者 P1;c:020025 患者 P0;d:020025 患者 P1

a:020020 患者 P0 的 Vim 表達;b:020020 患者 P1 的 Vim 表達;c:020020 患者 P0 的 Ki-67 表達;d:020020 患者 P1 的 Ki-67 表達;e:020025 患者 P0 的 EGFR 表達;f:020025 患者 P1 的 EGFR 表達;g:020025 患者 P0 的 Ki-67 表達;h:020025 患者 P1 的 Ki-67 表達
2.5 藥效學檢測
選取建模成功的 020020 和 020025 樣本進行藥效學檢測;見表 2。給藥 21 d 后結束實驗,結果顯示順鉑+5-Fu 治療組能夠明顯抑制 020020 模型的腫瘤的生長(P<0.05)。020025 模型中順鉑和吉西他濱均能抑制腫瘤生長(P<0.01),其中吉西他濱效果更好(P<0.01)。


3 討論
目前我國肺癌的發病率及病死率都高居惡性腫瘤首位。當前治療仍以手術、放化療為主。大量的醫學研究表明:由于患者存在個體差異性,每例腫瘤患者的腫瘤組織的生物學特征和對藥物的敏感性都不一樣,即使同一種癌癥在不同的患者中存在巨大的個體化差異。肺癌的精準治療基本上是基于肺癌的臨床特征,分子特征和組織學類型的綜合診療,而對于肺鱗癌患者,由于其分子標志物很少,精準治療的手段較匱乏。而食管癌是世界范圍內常見的惡性腫瘤,中國的食管癌患者以鱗癌為主,治療也比較棘手。目前抗腫瘤新藥研發及臨床化療選擇常基于腫瘤細胞體外培養藥敏測試、基因檢測及傳代腫瘤細胞移植的體內模型等,具有一定的研究價值,但是并不能真正反映個體對于化療藥物的敏感性,故預測性較差,無臨床實用性[1-2]。而目前國外有學者應用的 PDTX 模型進行藥效學檢測指導臨床個體化治療,為腫瘤個體化治療提供了新思路。
本研究 7 例患者 PDTX 模型建立成功 4 例,建模成功率為 66.7%,對建模成功的 PDTX 模型小鼠腫瘤組織進行病理、免疫組化檢測,與原患者腫瘤對比,證明其 PDTX 模型與原患者的腫瘤組織病理特征 HE 染色,免疫組化基本一致。這與其他研究者對不同腫瘤的研究結果相一致,如胃癌、肝癌、肺癌、結直腸癌、黑色素瘤、食管癌等也同樣證實了 PDTX 模型保持了原代腫瘤的生物學特性,是一個穩定、可靠的癌癥研究模型,為研究癌癥提供了很好的動物模型[3-6]。
PDTX 模型保持了腫瘤細胞的分化程度、形態特征、結構特點以及分子特性。在某種程度上,移植后小鼠腫瘤的血運特點、基質特征、生長情況、壞死狀況等與人本身的腫瘤特點是一致的,這就為腫瘤的藥物治療提供了一個重要的且高度一致的體內模型。目前 PDTX 造模的組織來源主要是腫瘤擴大手術切除的組織,但是很多晚期腫瘤患者不適合進行手術治療,無法獲取腫瘤組織同樣限制了 PDTX 的臨床應用。有研究報道手術標本 PDTX 建模成功率為 25%~40%[7-9],也有小細胞肺癌針吸穿刺成功率 75% 的報告[10]。
通過參考相關文獻及結合本研究中實際操作過程,我們分析影響建模成功率的主要因素可能包括以下幾個方面:(1)腫瘤類型及其惡性程度:腫瘤分級、分期,分化程度,惡性程度越高其建模成功率相對越高;(2)組織運輸及接種操作流程:標本離體后到移植之間的時間跨度,時間越短,組織活力保留越好,建模成功率越高。接種前的預處理,沖洗剔除周圍血跡、脂肪等雜質,挑選剪取活力較好的組織,選擇接種在血供較豐富的腹股溝、后側面及前腋窩處皮下,以提高建模成功率,也便于觀察和測量;(3)近期化療史:對于初治患者,其是否在取樣前接受術前新輔助,據 Dodbiba 等[11]報道取樣前患者接受新輔助化療的建模成功率為 22%,而未做新輔助化療的建模成功率為 78%。而對于復發患者,其距取樣時最近一次化療結束間隔時間越長,建模成功率越高。
總之,利用新鮮腫瘤組織建立 PDTX 模型,有利于臨床活的生物樣本庫的建立。PDTX 模型是腫瘤患者的可靠的“替身”[12],PDTX 模型較好地保留了患者原發腫瘤組織的生物學特征及其對藥物的反應特征[13-17],可以在體內對多種藥物和/或方案進行檢測,提供優先順序,減少了臨床用藥的盲目性,可以有效地指導腫瘤患者的個體化治療,以獲得最佳的臨床療效,具有廣泛的應用前景[18],為進一步了解腫瘤疾病發展及臨床個體化治療提供了一種實用的工具。
腫瘤動物模型一直以來是抗腫瘤藥物臨床前療效預測和毒性評價的有效工具。近年來,越來越多的研究小組利用患者手術中切除的腫瘤組織接種到免疫缺陷小鼠身上,在小鼠體內重建了患者自身的人源腫瘤異種移植(patient-derived tumor xenografts,PDTX)模型,該模型能較好地保持腫瘤細胞生長環境不變,腫瘤細胞間基質、成纖維細胞等均予保存,保持腫瘤的基本形態不變,保持腫瘤內部血管網絡結構不變,整個腫瘤模型三維空間結構與患者腫瘤高度一致[1-2]。該研究利用 NOD-Prkdcem26Il2rgem26Nju(NCG)小鼠作為人原發性肺癌和食管癌組織異種移植的宿主,建立了多例能傳代和復蘇并能保持原腫瘤臨床組織特征的實驗動物模型,即 PDTX 模型,并對這些模型的組織結構及某些特定蛋白表達進行評價。
1 材料與方法
1.1 實驗動物
雌性 NCG 小鼠 96 只,SPF(specific pathogen free)級,6~8 周齡,體質量(20±2)g,購自南京大學南京生物醫藥研究院,飼養于 SPF 級動物房(25±2)℃,40%~70% 濕度,12 h∶12 h 晝夜交替,自由飲食。開始實驗前小鼠適應性飼養 3 d 以上。
1.2 試劑與耗材
leibovitz’s L15 組織保存液(含 L-谷氨酰胺,GIBCO),10% 中性甲醛,青鏈雙抗,一次性手術器材、紗布等。
1.3 腫瘤標本來源與處理
新鮮腫瘤組織收集于 2015 年 4~12 月南京鼓樓醫院胸心外科行手術切除的 7 例胸部腫瘤患者,其中男 5 例、女 2 例,年齡 61~71 歲;見表 1。手術切除后的腫瘤組織,立即放入組織保存液中,運至實驗室。在超凈工作臺內清除組織表面的壞死物并洗凈血液。部分腫瘤接種時同一塊組織一分為二,一半在取樣后 4 h 內完成,另一半 0℃~8℃ 保留 15 h 后接種。

1.4 腫瘤移植方法與傳代
臨床手術切除的新鮮腫瘤組織,選擇腫瘤活力較好的組織,在含有 1% 雙抗的培養基中用組織剪將腫瘤組織剪成約 2 mm×2 mm×2 mm 的小塊,將小鼠兩側前肢邊側皮膚酒精消毒備皮,將套管針刺入背部皮下,腫瘤組織快速注入皮下,穿刺針旋轉拔出,用酒精棉簽將滲血處理干凈,以防止殘留血液引起老鼠噬咬。對側做同樣處理,每例依標本大小分別接種 3~12 只小鼠。每周稱量動物體重 2 次,當成瘤后,每周測量腫瘤的長徑和寬徑 2 次,并計算相對腫瘤的體積(相對腫瘤體積=0.5×長徑×短徑2)。當 P1 代腫瘤生長至 500 mm3 時進行 P2 傳代、凍存(對照組及給藥組,每組 10 只小鼠傳代)。
1.5 模型監測指標
(1)每天觀察小鼠的一般狀態(包括毛色、精神狀態、活動力、飲食等);(2)觀察并記錄局部皮下移植瘤的生長情況;(3)觀察并記錄小鼠的成瘤率、存活率及死亡率;(4)處死小鼠后取出移植瘤,觀察移植瘤外觀,將患者腫瘤標本及每代移植瘤分別做常規病理切片蘇木精-伊紅染色(HE 染色),觀察腫瘤的組織形態學特征。
1.6 藥效學檢測
選取建模成功的編號 020020 和 020025 樣本進行藥效學檢測。待 P2 代小鼠腫瘤生長至 100~150 mm3 時,剔除生長情況差異明顯的小鼠后進行隨機分組(每組≥5 只)給藥。其中 020020 分為 2 組:對照組和順鉑+5-Fu 治療組。020025 分為 3 組:對照組,順鉑治療組和吉西他濱治療組。給藥 21 d 后結束實驗,繪制各組小鼠生長曲線。
2 結果
2.1 小鼠生長情況
接種后第 2 d,精神狀態恢復良好,活動力較好,飲食正常,毛色正常。
2.2 小鼠成瘤及生長情況
腫瘤組織移植后 2~4 周左右于接種部位可看到突出于皮膚的質地稍硬的實體腫塊,隨后腫瘤結節迅速增大。其中 1 例患者(編號:020020)瘤塊在接種時一分為二,保留 15 h 接種后仍可以建模成功。待腫瘤體積≥800 mm3 時,進行傳代,傳代后約 3 周左右腫瘤體積達 100~150 mm3。
2.3 小鼠成瘤率和腫瘤生長速度
7 例患者腫瘤標本進行 NCG 小鼠的原代移植(其中 1 例術后病理顯示為良性)。4 例建模成功,原代移植成瘤率為 66.7%。P1 代接種在平均 2~4 周后腫瘤體積>100 mm3,腫瘤生長后無自然消退情況。
2.4 患者標本及移植瘤組織病理學檢查
待荷瘤鼠腫瘤長至 800 mm3 左右時,將小鼠安樂死,取出移植瘤,可見移植瘤表面光滑,為圓形或類圓形實體瘤,質地稍硬,將該瘤體按 P1 代接種方法切割,重新接種到 P2 代小鼠體內。模型各臟器表面無轉移瘤結節,亦無其他組織或器官浸潤現象。將患者標本及傳代剩余 P1 代移植瘤做病理切片,HE 染色,400 倍光鏡下觀察。020020 及 020025 的 PDTX 模型小鼠腫瘤與原患者腫瘤病理的一致性進行對比;見圖 1、圖 2。

a:020020 患者 P0;b:020020 患者 P1;c:020025 患者 P0;d:020025 患者 P1

a:020020 患者 P0 的 Vim 表達;b:020020 患者 P1 的 Vim 表達;c:020020 患者 P0 的 Ki-67 表達;d:020020 患者 P1 的 Ki-67 表達;e:020025 患者 P0 的 EGFR 表達;f:020025 患者 P1 的 EGFR 表達;g:020025 患者 P0 的 Ki-67 表達;h:020025 患者 P1 的 Ki-67 表達
2.5 藥效學檢測
選取建模成功的 020020 和 020025 樣本進行藥效學檢測;見表 2。給藥 21 d 后結束實驗,結果顯示順鉑+5-Fu 治療組能夠明顯抑制 020020 模型的腫瘤的生長(P<0.05)。020025 模型中順鉑和吉西他濱均能抑制腫瘤生長(P<0.01),其中吉西他濱效果更好(P<0.01)。


3 討論
目前我國肺癌的發病率及病死率都高居惡性腫瘤首位。當前治療仍以手術、放化療為主。大量的醫學研究表明:由于患者存在個體差異性,每例腫瘤患者的腫瘤組織的生物學特征和對藥物的敏感性都不一樣,即使同一種癌癥在不同的患者中存在巨大的個體化差異。肺癌的精準治療基本上是基于肺癌的臨床特征,分子特征和組織學類型的綜合診療,而對于肺鱗癌患者,由于其分子標志物很少,精準治療的手段較匱乏。而食管癌是世界范圍內常見的惡性腫瘤,中國的食管癌患者以鱗癌為主,治療也比較棘手。目前抗腫瘤新藥研發及臨床化療選擇常基于腫瘤細胞體外培養藥敏測試、基因檢測及傳代腫瘤細胞移植的體內模型等,具有一定的研究價值,但是并不能真正反映個體對于化療藥物的敏感性,故預測性較差,無臨床實用性[1-2]。而目前國外有學者應用的 PDTX 模型進行藥效學檢測指導臨床個體化治療,為腫瘤個體化治療提供了新思路。
本研究 7 例患者 PDTX 模型建立成功 4 例,建模成功率為 66.7%,對建模成功的 PDTX 模型小鼠腫瘤組織進行病理、免疫組化檢測,與原患者腫瘤對比,證明其 PDTX 模型與原患者的腫瘤組織病理特征 HE 染色,免疫組化基本一致。這與其他研究者對不同腫瘤的研究結果相一致,如胃癌、肝癌、肺癌、結直腸癌、黑色素瘤、食管癌等也同樣證實了 PDTX 模型保持了原代腫瘤的生物學特性,是一個穩定、可靠的癌癥研究模型,為研究癌癥提供了很好的動物模型[3-6]。
PDTX 模型保持了腫瘤細胞的分化程度、形態特征、結構特點以及分子特性。在某種程度上,移植后小鼠腫瘤的血運特點、基質特征、生長情況、壞死狀況等與人本身的腫瘤特點是一致的,這就為腫瘤的藥物治療提供了一個重要的且高度一致的體內模型。目前 PDTX 造模的組織來源主要是腫瘤擴大手術切除的組織,但是很多晚期腫瘤患者不適合進行手術治療,無法獲取腫瘤組織同樣限制了 PDTX 的臨床應用。有研究報道手術標本 PDTX 建模成功率為 25%~40%[7-9],也有小細胞肺癌針吸穿刺成功率 75% 的報告[10]。
通過參考相關文獻及結合本研究中實際操作過程,我們分析影響建模成功率的主要因素可能包括以下幾個方面:(1)腫瘤類型及其惡性程度:腫瘤分級、分期,分化程度,惡性程度越高其建模成功率相對越高;(2)組織運輸及接種操作流程:標本離體后到移植之間的時間跨度,時間越短,組織活力保留越好,建模成功率越高。接種前的預處理,沖洗剔除周圍血跡、脂肪等雜質,挑選剪取活力較好的組織,選擇接種在血供較豐富的腹股溝、后側面及前腋窩處皮下,以提高建模成功率,也便于觀察和測量;(3)近期化療史:對于初治患者,其是否在取樣前接受術前新輔助,據 Dodbiba 等[11]報道取樣前患者接受新輔助化療的建模成功率為 22%,而未做新輔助化療的建模成功率為 78%。而對于復發患者,其距取樣時最近一次化療結束間隔時間越長,建模成功率越高。
總之,利用新鮮腫瘤組織建立 PDTX 模型,有利于臨床活的生物樣本庫的建立。PDTX 模型是腫瘤患者的可靠的“替身”[12],PDTX 模型較好地保留了患者原發腫瘤組織的生物學特征及其對藥物的反應特征[13-17],可以在體內對多種藥物和/或方案進行檢測,提供優先順序,減少了臨床用藥的盲目性,可以有效地指導腫瘤患者的個體化治療,以獲得最佳的臨床療效,具有廣泛的應用前景[18],為進一步了解腫瘤疾病發展及臨床個體化治療提供了一種實用的工具。