引用本文: 賀逢孝, 王磊, 龔曉瑾, 齊海. 食管癌合并原發性肺血管周上皮樣細胞瘤一例. 中國胸心血管外科臨床雜志, 2017, 24(10): 818-820. doi: 10.7507/1007-4848.201603031 復制
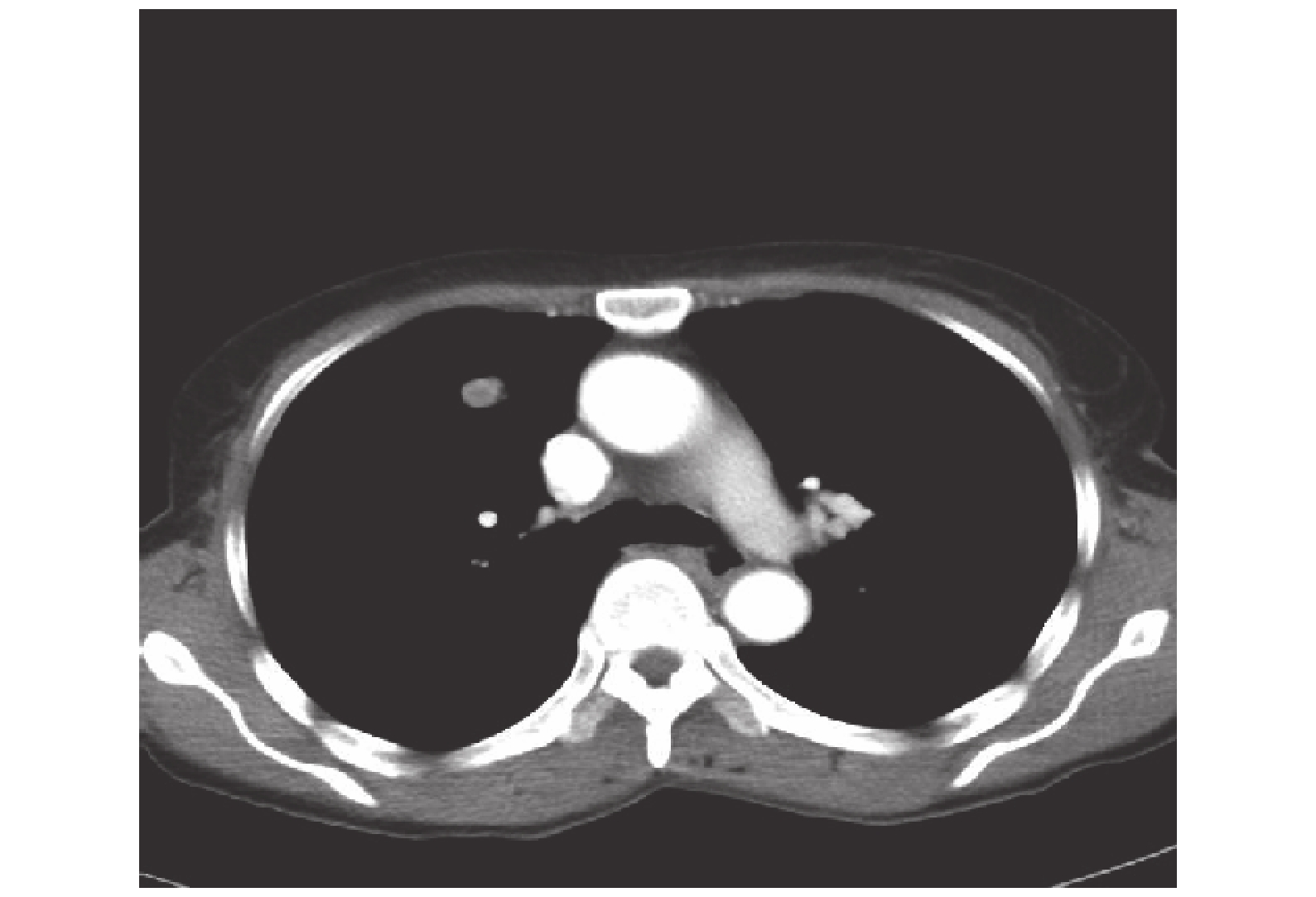
臨床資料 患者,女,60 歲,哈薩克族,既往身體健康,因“進行進咽下困難 4 周”來院就診。胸部 CT 示:右肺上葉前段可見類圓形高密度影,邊緣尚光整,可見淺分葉,所見氣管、支氣管走行通暢(肺窗,圖 1)。右肺上葉前段病灶大小約 12.9 mm×14.3 mm,CT 值 55 Hu;食管中下段管壁不均勻增厚(縱隔窗);胸部諸構成骨未見明顯骨質破壞;增強 CT 示:右肺上葉病灶呈不均勻強化(骨窗,圖 2),動脈期 CT 值 66 Hu,靜脈期 CT 值 76 Hu。食管中下段增厚管壁明顯強化,較厚處約 13 mm(圖 3),縱隔內未見明顯腫大淋巴結影,食管中下段管壁不均勻增厚,結合病史,考慮惡性;右肺上葉前段占位性病變,提示(1)轉移?(2)周圍性肺癌?胃鏡及病理活檢提示:食管中下段鱗癌(圖 4)。頭顱、腹腔、盆腔 CT 檢查及全身骨掃描未見明顯轉移灶,臨床診斷:(1)食管中下段癌(C-T2N0M0ⅠB 期);(2)右肺占位待查。行食管癌根治術(Ivor-Lewis 術式)+右肺上葉楔形切除術,術中觸及右肺上葉大小約 1.5 cm×1.5 cm×1.2 cm,實性結節,質韌,并完整切除。常規清掃胸腹腔淋巴結,術后淋巴結陰性(0/31),食管切緣未見癌組織,肺結節切緣為正常肺組織,肺結節病理大體標本示腫塊大小 1.4 cm×1.3 cm×1.0 cm,切面呈暗紅色,鏡下觀察可見:腫瘤組織與正常肺組織間邊界清,瘤細胞由透亮細胞或胞漿豐富的嗜酸性細胞,細胞多排列成斑片狀,部分圍繞血管分布,細胞核尺寸差異大、未見明顯異型及核分裂像(圖 5),診斷為原發性肺血管周上皮樣細胞瘤(perivascular epithelioid cell neoplasm,PEComa);免疫組織化學結果示雌激素受體(estrogen receptor,ER):陰性(–),孕激素受體(progestrone receptor,PR)陰性(–),CK/L:上皮陽性(+),癌胚抗原(carcino-embryonic antigen,CEA):陰性(–),Vim 陽性(+++),S-100:弱陽性(±),人黑色素 45(human melanoma black 45,HMB45)陽性(++),符合肺透明細胞瘤(clear cell tumor,CCT),屬于血管周上皮樣細胞瘤家族。術后恢復良好,1 周后出院。兩年 2 個月后患者來院復查,無明顯不適;胸部 CT 提示食管癌術后,吻合口未見明顯異常;右肺上葉高密度影,右肺門及縱隔新發腫大淋巴結,考慮肺 PEComa 復發及轉移可能(圖 6);胃鏡取吻合口周圍組織活檢未見食管癌復發,腹盆部及頭顱 CT 未見明顯異常。患者拒絕進一步診治出院。






討論 食管癌合并原發性肺 PEComa 患者為食管及肺的雙原發腫瘤,未見文獻報道。我國食管癌發病率高,且呈現明顯的地域分布差異和民族聚集性,哈薩克族是食管癌的高發民族,顯著高于同地區其他民族[1-2];目前的影像學技術結合內鏡取活組織病理檢查可確定診斷,明確定位,指導治療;診治方案比較成熟。肺 PEComa 無特異的影像學表現,且肺是大部分晚期惡性腫瘤轉移的靶器官,當合并有其他器官組織惡性腫瘤時病理活檢可能是唯一鑒別手段。肺 PEComa 國內外均以個例或小系列病例報道,原發肺 PEComa 罕見,現參考相關文獻對肺 PEComa 簡要介紹,旨在提高臨床醫生對肺 PEComa 的認識,以免誤診。
PEComa 主要由血管周上皮細胞組成,組織學和免疫組化均表現為黑色素細胞相關蛋白(HMB45)陽性,又各自有獨特表現的一種異質性較大的腫瘤群,全身多種組織器官均可發生,具體發病機制不明,是 1992 年 Bonetti 等[3]首先將這些腫瘤細胞定義為血管周上皮樣細胞(perivascular epithelioid cell,PEC),1996 年 Zamboni 等[4]將來源不同但含有 PEC 細胞的腫瘤稱為血管周上皮樣細胞瘤(perivascular epithelioid cell neoplasms,PEComas)。2002 年世界衛生組織將 PEComas 定義為一組在組織學和免疫學表型上顯示血管周上皮樣細胞特征的間葉性腫瘤[5],其中包括肝腎血管平滑肌脂瘤(angiomyolipoma,AML)、淋巴管平滑肌瘤病(lymphangioleiomyomatosis,LAM)、肺的透明細胞瘤(clear cell tumor,CCT)、鐮狀韌帶、圓韌帶的透明細胞肌黑色素瘤(clear cell myomelanocytic tumors of the falciform ligament /ligamentum teres,CCMMT)及其他發生于胰腺、子宮、直腸和心臟等特殊部位的非特殊性血管周上皮樣細胞腫瘤(PEComa-not otherwise specified,PEComa-NOS)[6],國內甚至有報道發生于胸膜、縱隔和膀胱的 PEComa[7-9],其中以女性子宮最常見。報道對于 PEComa 良惡性沒有明確界定,大部分觀點偏向于良性或者潛在惡性,僅有少數病例報道惡性;2005 年,Folpe等[10]對 26 例非肺 PEComa 患者進行統計分析,結合相關文獻復習,總結提出良惡性 PEComa 暫行分類標準,對于瘤體直徑大于 5 cm、浸潤性生長、高級別的核級和高細胞密度、核分裂相≥ 1/50 HP,凝固性壞死、血管侵犯,如出現上述以上兩個或兩個以上指標時考慮惡性可能性大;惡性潛能未定的 PEComa 為瘤細胞僅顯示多形性/多核狀巨細胞,或僅為腫瘤? 5 cm;良性 PEComa 為腫瘤< 5 cm 且無其他組織學異常。關于該類腫瘤的病因仍不清楚,可能與基因相關,發病率女性高于男性。截至 2015 年 10 月 1 日前經中國知網、萬方、維普、PubMed、SpringerLink 等數據庫共檢索 PEComa 相關中文文獻 25 篇、報道患者 50 例,其中肺原發 PEComa 僅有 4 例[11-14];英文文獻報道不足 100 例,原發肺 PEComa 報道 1 例,同時合并肝 AML[15]。
原發性肺 PEComa 影像學上常表現為類圓形軟組織影,邊緣較光滑,本例患者可見淺分葉,可強化,也有文獻報道病灶規整,無分葉和強化者,需與肺部炎性假瘤、錯構瘤等鑒別。本例患者同時合并食管癌,應考慮食管癌肺轉移可能。由于原發性肺 PEComa 極其罕見,可統計分析病例數極少,暫無法根據目前的文獻報道總結出此類疾病的特異臨床癥狀、體征和影像學特點,本例患者亦無特異性表現。明確診斷只能依靠病理學和免疫組織化學,顯微鏡下肺 PEComa 常由巢狀、腺泡狀或斑片狀排列的透明細胞組成,部分圍繞血管分布或者呈血管周放射狀排列,瘤細胞巢之間可有豐富、纖細的血管網;瘤細胞呈圓形或多邊形,胞質豐富透亮、嗜酸性;血管壁或腫瘤間質可發生玻璃樣變性[16-17]。免疫組織化學顯示腫瘤細胞特征性表達黑色素瘤抗體 HMB-45、肌源性抗體平滑肌抗體(smooth muscle antibody,SMA),腫瘤細胞波形蛋白(vimentin)陽性表達;肌漿蛋白(myogenic)、S-100 少部分陽性表達[13];嗜鉻粒蛋白(chromogranin)、突觸泡蛋白(synaptophysin)一般不表達。病理方面需與肺原發透明細胞癌、腎臟轉移的透明細胞癌、轉移性黑色素瘤及女性肺部子宮內膜異位相鑒別;本例患者病理活檢結果提示 CCT,或稱糖瘤(sugar tumor),同時合并食管癌,極易誤診;鑒別診斷主要依靠免疫組織化學染色法。原發性肺 PEComa 報道極少可能與漏診和誤診有關,該病的確診對病理科的設施、醫師的經驗及知識面要求均較高,對于 PEComa 患者,須行全身檢查,此類疾病可同時原發于多個部位,而且肺是肺外 PEComa 最常轉移部位[18]。
原發性肺 PEComa 的治療方法尚未統一,對于良性、潛在惡性及惡性尚未發生其他組織和器官轉移的患者,手術完整切除是目前已知可靠有效的治療方法。由于病例少、不集中,故目前無標準的放化療方案。根據文獻報道發生在其他組織器官的 PEComa 或轉移性肺 PEComa 治療觀察,選擇對軟組織腫瘤和黑色素瘤均有效的藥物如丙卡巴肼、多柔比星、異環磷酰胺用于輔助或新輔助化療可能有效,也有國外報道哺乳動物雷帕霉素靶蛋白(mTOR)抑制劑西羅莫司對 PEComa 有效[19-20],有望成為 PEComa 的靶向治療藥物,但尚需更多的臨床試驗。原發性肺 PEComa 的預后可根據 Folpe 的分類方法預測,但不可盲目套用,本例患者根據良惡性 PEComa 暫行分類標準雖達不到惡性診斷標準,但胸部 CT 提示病灶似有分葉,與另1例文獻報道類似[13],可能提示預后不良,兩例患者術后都出現原位復發及縱隔淋巴結轉移,食管癌與肺 PEComa 是否相互影響暫無法確定,術后定期檢查,長期隨訪非常重要。
臨床資料 患者,女,60 歲,哈薩克族,既往身體健康,因“進行進咽下困難 4 周”來院就診。胸部 CT 示:右肺上葉前段可見類圓形高密度影,邊緣尚光整,可見淺分葉,所見氣管、支氣管走行通暢(肺窗,圖 1)。右肺上葉前段病灶大小約 12.9 mm×14.3 mm,CT 值 55 Hu;食管中下段管壁不均勻增厚(縱隔窗);胸部諸構成骨未見明顯骨質破壞;增強 CT 示:右肺上葉病灶呈不均勻強化(骨窗,圖 2),動脈期 CT 值 66 Hu,靜脈期 CT 值 76 Hu。食管中下段增厚管壁明顯強化,較厚處約 13 mm(圖 3),縱隔內未見明顯腫大淋巴結影,食管中下段管壁不均勻增厚,結合病史,考慮惡性;右肺上葉前段占位性病變,提示(1)轉移?(2)周圍性肺癌?胃鏡及病理活檢提示:食管中下段鱗癌(圖 4)。頭顱、腹腔、盆腔 CT 檢查及全身骨掃描未見明顯轉移灶,臨床診斷:(1)食管中下段癌(C-T2N0M0ⅠB 期);(2)右肺占位待查。行食管癌根治術(Ivor-Lewis 術式)+右肺上葉楔形切除術,術中觸及右肺上葉大小約 1.5 cm×1.5 cm×1.2 cm,實性結節,質韌,并完整切除。常規清掃胸腹腔淋巴結,術后淋巴結陰性(0/31),食管切緣未見癌組織,肺結節切緣為正常肺組織,肺結節病理大體標本示腫塊大小 1.4 cm×1.3 cm×1.0 cm,切面呈暗紅色,鏡下觀察可見:腫瘤組織與正常肺組織間邊界清,瘤細胞由透亮細胞或胞漿豐富的嗜酸性細胞,細胞多排列成斑片狀,部分圍繞血管分布,細胞核尺寸差異大、未見明顯異型及核分裂像(圖 5),診斷為原發性肺血管周上皮樣細胞瘤(perivascular epithelioid cell neoplasm,PEComa);免疫組織化學結果示雌激素受體(estrogen receptor,ER):陰性(–),孕激素受體(progestrone receptor,PR)陰性(–),CK/L:上皮陽性(+),癌胚抗原(carcino-embryonic antigen,CEA):陰性(–),Vim 陽性(+++),S-100:弱陽性(±),人黑色素 45(human melanoma black 45,HMB45)陽性(++),符合肺透明細胞瘤(clear cell tumor,CCT),屬于血管周上皮樣細胞瘤家族。術后恢復良好,1 周后出院。兩年 2 個月后患者來院復查,無明顯不適;胸部 CT 提示食管癌術后,吻合口未見明顯異常;右肺上葉高密度影,右肺門及縱隔新發腫大淋巴結,考慮肺 PEComa 復發及轉移可能(圖 6);胃鏡取吻合口周圍組織活檢未見食管癌復發,腹盆部及頭顱 CT 未見明顯異常。患者拒絕進一步診治出院。






討論 食管癌合并原發性肺 PEComa 患者為食管及肺的雙原發腫瘤,未見文獻報道。我國食管癌發病率高,且呈現明顯的地域分布差異和民族聚集性,哈薩克族是食管癌的高發民族,顯著高于同地區其他民族[1-2];目前的影像學技術結合內鏡取活組織病理檢查可確定診斷,明確定位,指導治療;診治方案比較成熟。肺 PEComa 無特異的影像學表現,且肺是大部分晚期惡性腫瘤轉移的靶器官,當合并有其他器官組織惡性腫瘤時病理活檢可能是唯一鑒別手段。肺 PEComa 國內外均以個例或小系列病例報道,原發肺 PEComa 罕見,現參考相關文獻對肺 PEComa 簡要介紹,旨在提高臨床醫生對肺 PEComa 的認識,以免誤診。
PEComa 主要由血管周上皮細胞組成,組織學和免疫組化均表現為黑色素細胞相關蛋白(HMB45)陽性,又各自有獨特表現的一種異質性較大的腫瘤群,全身多種組織器官均可發生,具體發病機制不明,是 1992 年 Bonetti 等[3]首先將這些腫瘤細胞定義為血管周上皮樣細胞(perivascular epithelioid cell,PEC),1996 年 Zamboni 等[4]將來源不同但含有 PEC 細胞的腫瘤稱為血管周上皮樣細胞瘤(perivascular epithelioid cell neoplasms,PEComas)。2002 年世界衛生組織將 PEComas 定義為一組在組織學和免疫學表型上顯示血管周上皮樣細胞特征的間葉性腫瘤[5],其中包括肝腎血管平滑肌脂瘤(angiomyolipoma,AML)、淋巴管平滑肌瘤病(lymphangioleiomyomatosis,LAM)、肺的透明細胞瘤(clear cell tumor,CCT)、鐮狀韌帶、圓韌帶的透明細胞肌黑色素瘤(clear cell myomelanocytic tumors of the falciform ligament /ligamentum teres,CCMMT)及其他發生于胰腺、子宮、直腸和心臟等特殊部位的非特殊性血管周上皮樣細胞腫瘤(PEComa-not otherwise specified,PEComa-NOS)[6],國內甚至有報道發生于胸膜、縱隔和膀胱的 PEComa[7-9],其中以女性子宮最常見。報道對于 PEComa 良惡性沒有明確界定,大部分觀點偏向于良性或者潛在惡性,僅有少數病例報道惡性;2005 年,Folpe等[10]對 26 例非肺 PEComa 患者進行統計分析,結合相關文獻復習,總結提出良惡性 PEComa 暫行分類標準,對于瘤體直徑大于 5 cm、浸潤性生長、高級別的核級和高細胞密度、核分裂相≥ 1/50 HP,凝固性壞死、血管侵犯,如出現上述以上兩個或兩個以上指標時考慮惡性可能性大;惡性潛能未定的 PEComa 為瘤細胞僅顯示多形性/多核狀巨細胞,或僅為腫瘤? 5 cm;良性 PEComa 為腫瘤< 5 cm 且無其他組織學異常。關于該類腫瘤的病因仍不清楚,可能與基因相關,發病率女性高于男性。截至 2015 年 10 月 1 日前經中國知網、萬方、維普、PubMed、SpringerLink 等數據庫共檢索 PEComa 相關中文文獻 25 篇、報道患者 50 例,其中肺原發 PEComa 僅有 4 例[11-14];英文文獻報道不足 100 例,原發肺 PEComa 報道 1 例,同時合并肝 AML[15]。
原發性肺 PEComa 影像學上常表現為類圓形軟組織影,邊緣較光滑,本例患者可見淺分葉,可強化,也有文獻報道病灶規整,無分葉和強化者,需與肺部炎性假瘤、錯構瘤等鑒別。本例患者同時合并食管癌,應考慮食管癌肺轉移可能。由于原發性肺 PEComa 極其罕見,可統計分析病例數極少,暫無法根據目前的文獻報道總結出此類疾病的特異臨床癥狀、體征和影像學特點,本例患者亦無特異性表現。明確診斷只能依靠病理學和免疫組織化學,顯微鏡下肺 PEComa 常由巢狀、腺泡狀或斑片狀排列的透明細胞組成,部分圍繞血管分布或者呈血管周放射狀排列,瘤細胞巢之間可有豐富、纖細的血管網;瘤細胞呈圓形或多邊形,胞質豐富透亮、嗜酸性;血管壁或腫瘤間質可發生玻璃樣變性[16-17]。免疫組織化學顯示腫瘤細胞特征性表達黑色素瘤抗體 HMB-45、肌源性抗體平滑肌抗體(smooth muscle antibody,SMA),腫瘤細胞波形蛋白(vimentin)陽性表達;肌漿蛋白(myogenic)、S-100 少部分陽性表達[13];嗜鉻粒蛋白(chromogranin)、突觸泡蛋白(synaptophysin)一般不表達。病理方面需與肺原發透明細胞癌、腎臟轉移的透明細胞癌、轉移性黑色素瘤及女性肺部子宮內膜異位相鑒別;本例患者病理活檢結果提示 CCT,或稱糖瘤(sugar tumor),同時合并食管癌,極易誤診;鑒別診斷主要依靠免疫組織化學染色法。原發性肺 PEComa 報道極少可能與漏診和誤診有關,該病的確診對病理科的設施、醫師的經驗及知識面要求均較高,對于 PEComa 患者,須行全身檢查,此類疾病可同時原發于多個部位,而且肺是肺外 PEComa 最常轉移部位[18]。
原發性肺 PEComa 的治療方法尚未統一,對于良性、潛在惡性及惡性尚未發生其他組織和器官轉移的患者,手術完整切除是目前已知可靠有效的治療方法。由于病例少、不集中,故目前無標準的放化療方案。根據文獻報道發生在其他組織器官的 PEComa 或轉移性肺 PEComa 治療觀察,選擇對軟組織腫瘤和黑色素瘤均有效的藥物如丙卡巴肼、多柔比星、異環磷酰胺用于輔助或新輔助化療可能有效,也有國外報道哺乳動物雷帕霉素靶蛋白(mTOR)抑制劑西羅莫司對 PEComa 有效[19-20],有望成為 PEComa 的靶向治療藥物,但尚需更多的臨床試驗。原發性肺 PEComa 的預后可根據 Folpe 的分類方法預測,但不可盲目套用,本例患者根據良惡性 PEComa 暫行分類標準雖達不到惡性診斷標準,但胸部 CT 提示病灶似有分葉,與另1例文獻報道類似[13],可能提示預后不良,兩例患者術后都出現原位復發及縱隔淋巴結轉移,食管癌與肺 PEComa 是否相互影響暫無法確定,術后定期檢查,長期隨訪非常重要。