引用本文: 謝亮, 陳剛, 鄧澄, 唐繼鳴, 肖樸, 周海榆, 賁曉松, 周子浩, 葉雄, 張冬坤. 累及心臟大血管的復雜縱隔腫瘤的臨床外科處理. 中國胸心血管外科臨床雜志, 2016, 23(1): 38-43. doi: 10.7507/1007-4848.20160010 復制
手術是治療縱隔腫瘤的最主要方法,但若腫瘤累及心臟大血管,則其手術難度大、風險大[1-4]。我院1997年2月至2014年5月共行縱隔腫瘤切除手術711例,其中累及心臟大血管的復雜縱隔腫瘤38例,均經手術切除,效果良好,現總結外科手術處理的經驗報告如下。
1 資料與方法
1.1 臨床資料
回顧性分析我院38例累及心臟大血管的復雜縱隔腫瘤(胸部CT發現腫瘤累及、侵犯、包繞心包、心臟、大血管等重要臟器,甚至瘤栓形成,存在較嚴重并發癥及合并癥的縱隔腫瘤)的圍術期處理情況。其中, 男26例, 女12例, 年齡4~68 (41.3±13.6)歲。術后腫瘤組織學分類:B1~B3型胸腺瘤11例,胸腺癌3例,成熟性畸胎瘤4例,惡性畸胎瘤3例,神經纖維瘤3例,T前體淋巴細胞性淋巴瘤1例, 惡性孤立性纖維瘤1例,節細胞神經瘤2例,脂肪肉瘤1例,類癌2例,神經母細胞瘤2例,血管瘤1例,精原細胞瘤1例,巨淋巴細胞增生癥2例,心房癌肉瘤1例;腫瘤直徑4~28 cm。4例術前需氣管內插管機械通氣(其中3例合并重度全身性重癥肌無力,1例心臟壓塞),4例有嚴重上腔靜脈阻塞綜合征的臨床表現,2例心臟壓塞,其他癥狀包括胸痛、呼吸困難、手臂無力、眼瞼下垂、吞咽困難等。
1.2 方法
1.2.1 圍術期處理方法
腫瘤較大,而且累及侵犯重要的大血管甚至心臟的估計手術切除困難或無法徹底切除者,先行術前穿刺活檢,明確診斷(本組有10例),若為胸腺瘤、胸腺癌、惡性畸胎瘤等對放化療敏感的縱隔腫瘤,則先行術前輔助治療,包括:術前化療、放療、同步放化療等。術前合并明顯上腔靜脈綜合征無法平臥進行麻醉者,術前可先行介入置入血管支架緩解癥狀再行手術(本組有1例)[5]。術前檢查見腫瘤血管豐富,估計術中出血多者,術前可行介入腫瘤供血血管栓塞,以減少術中出血(本組有2例)[6],如巨淋巴細胞增生癥。心包積液明顯,有心臟壓塞癥狀者可先行心包穿刺引流,減輕癥狀(本組有2例)。合并重癥肌無力者,術前需盡量控制好癥狀,包括:溴吡斯的明、糖皮質激素藥物的調整,免疫球蛋白的應用,血漿置換等[7]。其他術前一般情況的準備:感染控制,血壓、血糖的調控,貧血及低蛋白血癥的糾正,心肺功能和肝腎功能的調整等也同樣重要。術后根據病理及切除的徹底性可予術后化療及放療,提高生存率[4, 8]。
1.2.2 手術方法
采用氣管內插管全麻,人工血管置換,心房、腔靜脈切開者需體外循環下手術,累及上腔靜脈、頭臂干血管者可腔內建立旁路或腔外頸、股-股轉流[5, 9-10]。根據腫瘤部位、受累的血管及心臟情況選擇不同的手術切口入路[11]:經胸骨正中切口、頸部橫切口、側胸切口等,見表 1。

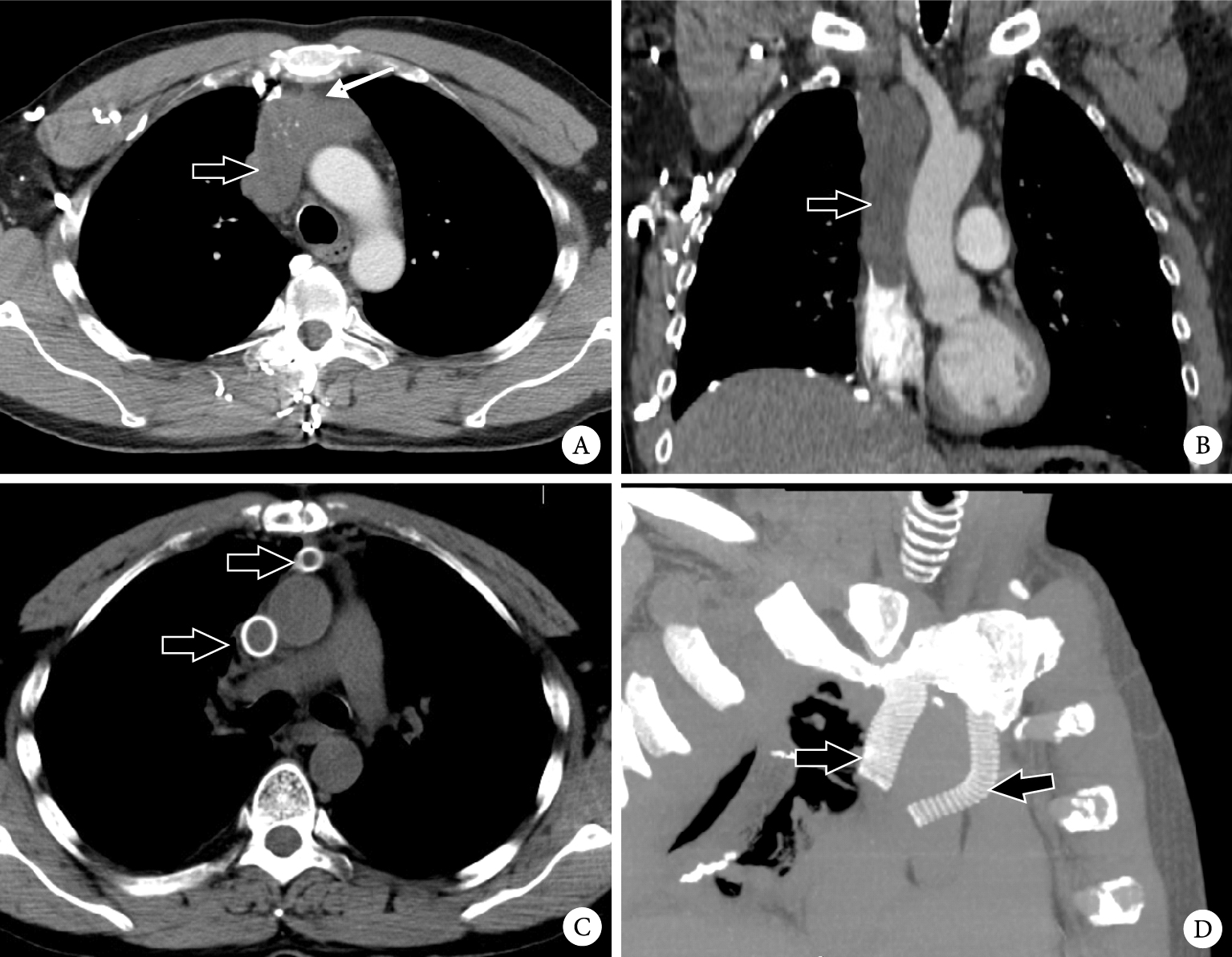
手術盡量完整切除腫瘤,累及心臟血管的處理包括:上腔靜脈+左無名靜脈人工血管置換+右無名靜脈、右心房切開取瘤栓+右房部分切除1例,為胸腺瘤B1型,術前行30 Gy放療縮小腫瘤并減輕上腔靜脈阻塞綜合征的癥狀后再行手術,見圖 1。

注:AB為術前CT,粗箭頭示上腔靜脈瘤栓完全栓塞,細箭頭示腫瘤阻塞左頭臂靜脈;CD為術后CT,粗箭頭示人工血管。
上腔靜脈人工血管置換1例,為胸腺癌侵犯上腔靜脈,建立右房與右無名靜脈的旁路人工血管橋,切除腫瘤及上腔靜脈置換為人工血管。右房部分切除3例,其中一例為右心房癌肉,體外循環下挖除腫瘤,右心房部分切除后縫合。上腔靜脈成形5例,其中1例為胸腺瘤B3型,腫瘤完全堵塞無名靜脈,長15 cm,直徑3 cm的巨大瘤栓填塞在上腔靜脈與3/4的右心房內,在體外循環下,心臟不停跳,無深低溫,切除右無名靜脈顯露瘤栓,剪開上腔靜脈全程至右心房,剝離取出瘤栓,再縫合上腔靜脈,見圖 2。

注:A為術前CT,箭頭示上腔靜脈瘤栓;B為PET顯像,箭頭示瘤栓代謝增高;C為術后CT,箭頭示上腔靜脈取栓后充盈良好;D為術后標本,白色箭頭示腫瘤瘤體,黑色箭頭示上腔靜脈瘤栓。
另1例為分化較差的未成熟畸胎瘤,術前予6周期化療后腫瘤縮小,β-HCG明顯下降,手術切除右無名靜脈,無創血管鉗夾閉右無名靜脈匯入上腔靜脈處,放松血管鉗自上腔靜脈內拉出長13 cm,直徑0.5 cm的瘤栓,再縫合上腔靜脈側壁缺口行血管成形術。無名靜脈切除4例,無名靜脈成形5例,心包部分切除修補10例,其中1例囊性畸胎瘤破裂進入心包,導致心臟壓塞,予心包穿刺引流后手術切除大部分心包;肺楔形切除8例,肺葉切除2例。
2 結果
全組病例無圍手術期死亡。術后住院時間11.2 (5~22)d,術后需到ICU的患者18例,占47.4%,ICU住院時間1.8 (0.5~5.0)d。術后并發癥包括中量以上的胸腔積液3例,喉返神經損傷2例,胸內出血再次開胸止血2例,切口感染1例,復張性肺水腫1例,經治療均獲痊愈。術后并發癥發生率23.7% (9/38)。
術后隨訪通過電話及門診隨訪,隨訪時間6個月至10年,1例失訪,隨訪率97.4%。6例死于術后癌、瘤復發轉移,4例死于非腫瘤相關疾病,3例肺及胸膜腫瘤轉移再手術,4例帶瘤生存,18例至今無瘤生存,1例失訪,隨訪達到終點或滿5年的患者5年生存率57.0%。
3 討論
縱隔腫瘤治療中,手術切除具有不可替代的重要地位[1]。即使是累及心臟大血管的手術的腫瘤,其手術難度較大、風險較高,但隨著麻醉、體外循環和血管外科技術的進步,也可通過手術達到根治性切除獲得良好的效果。有報道指出惡性胸腺瘤侵犯大血管置換術后的5年生存率達50%[12-13]。本組的患者也獲得很好的療效,5年生存率達57%,遠高于累及心臟大血管的局部晚期肺癌的手術治療效果。因此,盡管縱隔腫瘤累及心臟大血管的手術風險高,尤其是需血管置換者,但其惡性程度一般較低, 手術切除腫瘤后, 均能取得較好的療效[4]。因此,爭取通過手術根治性切除,是提高生存率和生活質量以及解除腫瘤壓迫癥狀的關鍵。但必須遵循一定的原則,方能降低風險提高切除率,減少并發癥,我們根據此類腫瘤的特點[14],總結了外科處理的流程圖,便于快速掌握處理原則,選擇合適的檢查及治療方案,提高療效;見圖 3。

術前應通過全面的檢查充分了解病變,術前檢查包括:胸部增強螺旋CT及三維重建、核磁共振成像(magnetic resonance imaging,MRI)、經食管超聲心動圖(transesophageal echocardiography,TEE)、介入血管造影、心臟彩超、纖維支氣管鏡、食管造影等,充分了解腫瘤的大小、性質、邊界、與周圍臟器尤其是神經血管、心臟的關系。CT特別是CT三維重建可顯示腫瘤與心臟大血管間的關系及累及侵犯程度,若兩者間的脂肪線消失及腫瘤累及包繞血管超過1/3,血管腔或心房受壓變扁,則提示手術分離腫瘤困難,需作血管成形或置換的準備。MRI對評估腫瘤與心臟大血管的關系幫助較大,尤其可清楚顯示胸廓入口處神經、血管的關系,對腫瘤累及大血管且形成瘤栓的可行血管造影檢查。全面評價患者身體狀況,包括心肺功能、肝腎功能,排除及治療各系統疾病:糖尿病、高血壓,了解手術的耐受性,排除禁忌征。術前相關多學科討論,制定完善手術方案,便于術中術后密切配合。
制定具體手術方案,包括切口選擇、血管替代物選擇及體外循環備用。手術切口的選擇遵循的原則是:腫瘤位于前縱隔,與心臟大血管關系密切的多選擇胸正中切口;若腫瘤延伸至頸部或胸廓入口處則增加頸部切口或橫斷胸骨;胸頂、胸廓入口的腫瘤可選擇經第4肋間后外側切口或前入路半劈胸骨+橫斷+頸部橫切口;偏向一側的前縱隔腫瘤還可選擇前外側切口[15-16]。術前準備包括:上腔靜脈阻塞綜合征明顯的行術前血管支架置入,心包積液明顯填塞者行心包穿刺引流,腫瘤血供豐富者行介入血管栓塞、術前放化療縮小腫瘤、脫水治療減輕癥狀。目的是爭取手術機會,保證手術安全,便于手術操作及徹底切除。
本組2例術前腫瘤供血血管介入血管栓塞,可減少術中出血[6]。其中一例為巨淋巴細胞增生癥,腫瘤從前縱隔到后縱隔呈啞鈴狀包繞上腔靜脈。此類腫瘤往往血供豐富,分離時極易出血,故術前先行腫瘤外周滋養血管的介入栓塞,再于胸腔鏡輔助小切口切除腫瘤,可保證手術安全完整的切除腫瘤。對于合并重癥肌無力的胸腺腫瘤,術前必須控制好肌無力癥狀,調控好吡啶斯的明的最佳藥量,甚至加用激素,必要時術前可行血漿置換減輕肌無力癥狀,防止圍術期內出現肌無力危象,術中應盡量避免損傷膈神經,若腫瘤已侵犯膈神經必須切除者,或雙側膈神經損傷者,則需行膈肌折疊術,以防止術后出現膈肌反常運動,影響呼吸,導致呼吸機脫機困難[9, 12]。本組3例爆發型重癥肌無力合并胸腺腫瘤,術前均需機械通氣,經手術切除腫瘤后均順利停機拔管康復出院。其中1例合并右上肺癌,采用胸正中切口行胸腺瘤擴大切除、心包部分切除、右上肺葉切除術。
術中需與麻醉師、體外循環師充分配合,仔細操作,避免損傷血管及神經。若術中無法根治性切除,或患者不能耐受,可行腫瘤大部分切除,累及大血管心臟的殘留部分腫瘤予標記,作術后放化療。腫瘤為良性,若根治性切除風險過高,腫瘤少許殘留是允許的。對于腫瘤巨大又累及重要血管或心臟的,可逐步分次切除腫物, 最后留下累及心臟大血管處的小塊腫瘤可仔細切除干凈,可避免因腫瘤體積大阻擋視線,造成操作困難,這雖然有違于腫瘤整塊切除的原則,但對于此類手術,可明顯減低大出血的風險[17]。
縱隔腫瘤累及了主動脈弓及三支血管是手術治療的難點。因為此處需要置換吻合的血管多,且直接影響腦部的供血,極易造成術后腦部并發癥,風險較高[9, 18]。我院就有3例患者因擔心手術風險而放棄手術,行腫瘤放化療。但有日本有學者采用選擇性腦灌注的方法置換了右頭臂干動脈及左頸總動脈,獲得成功[19]。
術后一般需嚴密監護,但若手術操作仔細,術后病人在ICU監護的時間一般不長,本組最長時間為5 d,兩例人工血管置換的患者在監護室只停留1~2 d。術后處理:良性腫瘤完全性切除者無需后續治療,惡性腫瘤及術中無法根治性切除,腫瘤有殘留,可予標記,術后予放化療,可提高療效[12]。人工血管置換者,術后長期口服小劑量阿斯匹林、華法令等抗凝劑,可預防血管栓塞的發生[20]。
縱隔腫瘤病理類型繁雜,生物學特性不一,對各種治療的敏感性有較大差別,治療原則應有差異。目前尚無各瘤種的治療指南,本文未就此方面深入探討,但外科手術切除是縱隔腫瘤多學科綜合治療中的最重要手段,在完整切除腫瘤、解除腫瘤占位壓迫癥狀、防治腫瘤栓塞并發癥以及改善預后等方面有著不可替代的作用。尤其對于放化療效果不佳的瘤種,通過各種處理方式提高手術切除率,具有重要的預后價值。
綜上所述,對于累及心臟大血管的復雜縱隔腫瘤,在明確其腫瘤類型和相應治療原則、把握多學科綜合治療原則的基礎上,術前完善檢查及準備,術中嚴密配合,術后加強監護,便可順利完成手術切除,取得良好療效。
手術是治療縱隔腫瘤的最主要方法,但若腫瘤累及心臟大血管,則其手術難度大、風險大[1-4]。我院1997年2月至2014年5月共行縱隔腫瘤切除手術711例,其中累及心臟大血管的復雜縱隔腫瘤38例,均經手術切除,效果良好,現總結外科手術處理的經驗報告如下。
1 資料與方法
1.1 臨床資料
回顧性分析我院38例累及心臟大血管的復雜縱隔腫瘤(胸部CT發現腫瘤累及、侵犯、包繞心包、心臟、大血管等重要臟器,甚至瘤栓形成,存在較嚴重并發癥及合并癥的縱隔腫瘤)的圍術期處理情況。其中, 男26例, 女12例, 年齡4~68 (41.3±13.6)歲。術后腫瘤組織學分類:B1~B3型胸腺瘤11例,胸腺癌3例,成熟性畸胎瘤4例,惡性畸胎瘤3例,神經纖維瘤3例,T前體淋巴細胞性淋巴瘤1例, 惡性孤立性纖維瘤1例,節細胞神經瘤2例,脂肪肉瘤1例,類癌2例,神經母細胞瘤2例,血管瘤1例,精原細胞瘤1例,巨淋巴細胞增生癥2例,心房癌肉瘤1例;腫瘤直徑4~28 cm。4例術前需氣管內插管機械通氣(其中3例合并重度全身性重癥肌無力,1例心臟壓塞),4例有嚴重上腔靜脈阻塞綜合征的臨床表現,2例心臟壓塞,其他癥狀包括胸痛、呼吸困難、手臂無力、眼瞼下垂、吞咽困難等。
1.2 方法
1.2.1 圍術期處理方法
腫瘤較大,而且累及侵犯重要的大血管甚至心臟的估計手術切除困難或無法徹底切除者,先行術前穿刺活檢,明確診斷(本組有10例),若為胸腺瘤、胸腺癌、惡性畸胎瘤等對放化療敏感的縱隔腫瘤,則先行術前輔助治療,包括:術前化療、放療、同步放化療等。術前合并明顯上腔靜脈綜合征無法平臥進行麻醉者,術前可先行介入置入血管支架緩解癥狀再行手術(本組有1例)[5]。術前檢查見腫瘤血管豐富,估計術中出血多者,術前可行介入腫瘤供血血管栓塞,以減少術中出血(本組有2例)[6],如巨淋巴細胞增生癥。心包積液明顯,有心臟壓塞癥狀者可先行心包穿刺引流,減輕癥狀(本組有2例)。合并重癥肌無力者,術前需盡量控制好癥狀,包括:溴吡斯的明、糖皮質激素藥物的調整,免疫球蛋白的應用,血漿置換等[7]。其他術前一般情況的準備:感染控制,血壓、血糖的調控,貧血及低蛋白血癥的糾正,心肺功能和肝腎功能的調整等也同樣重要。術后根據病理及切除的徹底性可予術后化療及放療,提高生存率[4, 8]。
1.2.2 手術方法
采用氣管內插管全麻,人工血管置換,心房、腔靜脈切開者需體外循環下手術,累及上腔靜脈、頭臂干血管者可腔內建立旁路或腔外頸、股-股轉流[5, 9-10]。根據腫瘤部位、受累的血管及心臟情況選擇不同的手術切口入路[11]:經胸骨正中切口、頸部橫切口、側胸切口等,見表 1。

手術盡量完整切除腫瘤,累及心臟血管的處理包括:上腔靜脈+左無名靜脈人工血管置換+右無名靜脈、右心房切開取瘤栓+右房部分切除1例,為胸腺瘤B1型,術前行30 Gy放療縮小腫瘤并減輕上腔靜脈阻塞綜合征的癥狀后再行手術,見圖 1。

注:AB為術前CT,粗箭頭示上腔靜脈瘤栓完全栓塞,細箭頭示腫瘤阻塞左頭臂靜脈;CD為術后CT,粗箭頭示人工血管。
上腔靜脈人工血管置換1例,為胸腺癌侵犯上腔靜脈,建立右房與右無名靜脈的旁路人工血管橋,切除腫瘤及上腔靜脈置換為人工血管。右房部分切除3例,其中一例為右心房癌肉,體外循環下挖除腫瘤,右心房部分切除后縫合。上腔靜脈成形5例,其中1例為胸腺瘤B3型,腫瘤完全堵塞無名靜脈,長15 cm,直徑3 cm的巨大瘤栓填塞在上腔靜脈與3/4的右心房內,在體外循環下,心臟不停跳,無深低溫,切除右無名靜脈顯露瘤栓,剪開上腔靜脈全程至右心房,剝離取出瘤栓,再縫合上腔靜脈,見圖 2。

注:A為術前CT,箭頭示上腔靜脈瘤栓;B為PET顯像,箭頭示瘤栓代謝增高;C為術后CT,箭頭示上腔靜脈取栓后充盈良好;D為術后標本,白色箭頭示腫瘤瘤體,黑色箭頭示上腔靜脈瘤栓。
另1例為分化較差的未成熟畸胎瘤,術前予6周期化療后腫瘤縮小,β-HCG明顯下降,手術切除右無名靜脈,無創血管鉗夾閉右無名靜脈匯入上腔靜脈處,放松血管鉗自上腔靜脈內拉出長13 cm,直徑0.5 cm的瘤栓,再縫合上腔靜脈側壁缺口行血管成形術。無名靜脈切除4例,無名靜脈成形5例,心包部分切除修補10例,其中1例囊性畸胎瘤破裂進入心包,導致心臟壓塞,予心包穿刺引流后手術切除大部分心包;肺楔形切除8例,肺葉切除2例。
2 結果
全組病例無圍手術期死亡。術后住院時間11.2 (5~22)d,術后需到ICU的患者18例,占47.4%,ICU住院時間1.8 (0.5~5.0)d。術后并發癥包括中量以上的胸腔積液3例,喉返神經損傷2例,胸內出血再次開胸止血2例,切口感染1例,復張性肺水腫1例,經治療均獲痊愈。術后并發癥發生率23.7% (9/38)。
術后隨訪通過電話及門診隨訪,隨訪時間6個月至10年,1例失訪,隨訪率97.4%。6例死于術后癌、瘤復發轉移,4例死于非腫瘤相關疾病,3例肺及胸膜腫瘤轉移再手術,4例帶瘤生存,18例至今無瘤生存,1例失訪,隨訪達到終點或滿5年的患者5年生存率57.0%。
3 討論
縱隔腫瘤治療中,手術切除具有不可替代的重要地位[1]。即使是累及心臟大血管的手術的腫瘤,其手術難度較大、風險較高,但隨著麻醉、體外循環和血管外科技術的進步,也可通過手術達到根治性切除獲得良好的效果。有報道指出惡性胸腺瘤侵犯大血管置換術后的5年生存率達50%[12-13]。本組的患者也獲得很好的療效,5年生存率達57%,遠高于累及心臟大血管的局部晚期肺癌的手術治療效果。因此,盡管縱隔腫瘤累及心臟大血管的手術風險高,尤其是需血管置換者,但其惡性程度一般較低, 手術切除腫瘤后, 均能取得較好的療效[4]。因此,爭取通過手術根治性切除,是提高生存率和生活質量以及解除腫瘤壓迫癥狀的關鍵。但必須遵循一定的原則,方能降低風險提高切除率,減少并發癥,我們根據此類腫瘤的特點[14],總結了外科處理的流程圖,便于快速掌握處理原則,選擇合適的檢查及治療方案,提高療效;見圖 3。

術前應通過全面的檢查充分了解病變,術前檢查包括:胸部增強螺旋CT及三維重建、核磁共振成像(magnetic resonance imaging,MRI)、經食管超聲心動圖(transesophageal echocardiography,TEE)、介入血管造影、心臟彩超、纖維支氣管鏡、食管造影等,充分了解腫瘤的大小、性質、邊界、與周圍臟器尤其是神經血管、心臟的關系。CT特別是CT三維重建可顯示腫瘤與心臟大血管間的關系及累及侵犯程度,若兩者間的脂肪線消失及腫瘤累及包繞血管超過1/3,血管腔或心房受壓變扁,則提示手術分離腫瘤困難,需作血管成形或置換的準備。MRI對評估腫瘤與心臟大血管的關系幫助較大,尤其可清楚顯示胸廓入口處神經、血管的關系,對腫瘤累及大血管且形成瘤栓的可行血管造影檢查。全面評價患者身體狀況,包括心肺功能、肝腎功能,排除及治療各系統疾病:糖尿病、高血壓,了解手術的耐受性,排除禁忌征。術前相關多學科討論,制定完善手術方案,便于術中術后密切配合。
制定具體手術方案,包括切口選擇、血管替代物選擇及體外循環備用。手術切口的選擇遵循的原則是:腫瘤位于前縱隔,與心臟大血管關系密切的多選擇胸正中切口;若腫瘤延伸至頸部或胸廓入口處則增加頸部切口或橫斷胸骨;胸頂、胸廓入口的腫瘤可選擇經第4肋間后外側切口或前入路半劈胸骨+橫斷+頸部橫切口;偏向一側的前縱隔腫瘤還可選擇前外側切口[15-16]。術前準備包括:上腔靜脈阻塞綜合征明顯的行術前血管支架置入,心包積液明顯填塞者行心包穿刺引流,腫瘤血供豐富者行介入血管栓塞、術前放化療縮小腫瘤、脫水治療減輕癥狀。目的是爭取手術機會,保證手術安全,便于手術操作及徹底切除。
本組2例術前腫瘤供血血管介入血管栓塞,可減少術中出血[6]。其中一例為巨淋巴細胞增生癥,腫瘤從前縱隔到后縱隔呈啞鈴狀包繞上腔靜脈。此類腫瘤往往血供豐富,分離時極易出血,故術前先行腫瘤外周滋養血管的介入栓塞,再于胸腔鏡輔助小切口切除腫瘤,可保證手術安全完整的切除腫瘤。對于合并重癥肌無力的胸腺腫瘤,術前必須控制好肌無力癥狀,調控好吡啶斯的明的最佳藥量,甚至加用激素,必要時術前可行血漿置換減輕肌無力癥狀,防止圍術期內出現肌無力危象,術中應盡量避免損傷膈神經,若腫瘤已侵犯膈神經必須切除者,或雙側膈神經損傷者,則需行膈肌折疊術,以防止術后出現膈肌反常運動,影響呼吸,導致呼吸機脫機困難[9, 12]。本組3例爆發型重癥肌無力合并胸腺腫瘤,術前均需機械通氣,經手術切除腫瘤后均順利停機拔管康復出院。其中1例合并右上肺癌,采用胸正中切口行胸腺瘤擴大切除、心包部分切除、右上肺葉切除術。
術中需與麻醉師、體外循環師充分配合,仔細操作,避免損傷血管及神經。若術中無法根治性切除,或患者不能耐受,可行腫瘤大部分切除,累及大血管心臟的殘留部分腫瘤予標記,作術后放化療。腫瘤為良性,若根治性切除風險過高,腫瘤少許殘留是允許的。對于腫瘤巨大又累及重要血管或心臟的,可逐步分次切除腫物, 最后留下累及心臟大血管處的小塊腫瘤可仔細切除干凈,可避免因腫瘤體積大阻擋視線,造成操作困難,這雖然有違于腫瘤整塊切除的原則,但對于此類手術,可明顯減低大出血的風險[17]。
縱隔腫瘤累及了主動脈弓及三支血管是手術治療的難點。因為此處需要置換吻合的血管多,且直接影響腦部的供血,極易造成術后腦部并發癥,風險較高[9, 18]。我院就有3例患者因擔心手術風險而放棄手術,行腫瘤放化療。但有日本有學者采用選擇性腦灌注的方法置換了右頭臂干動脈及左頸總動脈,獲得成功[19]。
術后一般需嚴密監護,但若手術操作仔細,術后病人在ICU監護的時間一般不長,本組最長時間為5 d,兩例人工血管置換的患者在監護室只停留1~2 d。術后處理:良性腫瘤完全性切除者無需后續治療,惡性腫瘤及術中無法根治性切除,腫瘤有殘留,可予標記,術后予放化療,可提高療效[12]。人工血管置換者,術后長期口服小劑量阿斯匹林、華法令等抗凝劑,可預防血管栓塞的發生[20]。
縱隔腫瘤病理類型繁雜,生物學特性不一,對各種治療的敏感性有較大差別,治療原則應有差異。目前尚無各瘤種的治療指南,本文未就此方面深入探討,但外科手術切除是縱隔腫瘤多學科綜合治療中的最重要手段,在完整切除腫瘤、解除腫瘤占位壓迫癥狀、防治腫瘤栓塞并發癥以及改善預后等方面有著不可替代的作用。尤其對于放化療效果不佳的瘤種,通過各種處理方式提高手術切除率,具有重要的預后價值。
綜上所述,對于累及心臟大血管的復雜縱隔腫瘤,在明確其腫瘤類型和相應治療原則、把握多學科綜合治療原則的基礎上,術前完善檢查及準備,術中嚴密配合,術后加強監護,便可順利完成手術切除,取得良好療效。