引用本文: 辛興, 張媛, 高志. 甲狀腺轉錄因子-1陰性的原發性肺印戒細胞癌一例. 中國胸心血管外科臨床雜志, 2014, 21(2): 278-278. doi: 10.7507/1007-4848.20140080 復制
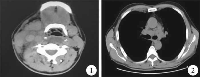
臨床資料 患者,男,48歲。以肺大泡、頸部、縱隔淋巴結腫大收入院。患者入院前4 d無明顯誘因出現右頸部及鎖骨上區腫脹,伴高熱(體溫最高38.8 ℃),有明顯壓痛,頸部活動受限。頸部CT示:右頸部血管間隙內、兩側鎖骨上窩多發性異常密度灶;右側頸靜脈增粗(圖 1)。胸部X線片示:不除外右上肺肺大泡、右上肺結節。胸部CT示:肺氣腫、肺大泡;右肺上葉斑片狀高密度影;縱隔內有多發增大的淋巴結(圖 2)。患者入院后持續低熱,但多次查血常規及生化檢查未見明顯異常,更換多種抗生素均未能控制發熱,后行右側頸部淋巴結穿刺,病理報告示腺癌,消化道轉移的可能性大。進一步復查消化道腫瘤標記物、腹部CT、胃鏡及鋇灌腸,均未見明顯異常。再次行左側頸部淋巴結穿刺,并行免疫組織化學及專科醫院會診為印戒細胞癌,免疫組織化學檢查結果不支持消化道來源,肺腺癌標記物甲狀腺轉錄因子-1 (TTF-1)陰性。結合患者影像學檢查,臨床診斷為肺原發性印戒細胞癌,縱隔、鎖骨上區及頸部多發性淋巴結轉移。明確診斷后,給予4個周期化療,方案為培美曲塞二鈉+順鉑,化療結束后,復查胸腹部CT等檢查,癌瘤進展,肺內原發結節增長并出現肺內轉移結節及腦轉移結節,患者因肺部炎癥、持續發熱再次入院,給予抗炎、抗腫瘤及增強免疫力等治療,2個月后因呼吸衰竭死亡。

討論 印戒細胞癌(signet-ring cell carcinoma ,SRCC)多見于胃腸道腫瘤,原發于肺的印戒細胞癌為肺腺癌中極少見的亞型,約占肺腺癌的0.14%~1.90% [1]。主要臨床表現為刺激性咳嗽、咳痰、咯血、發熱、胸悶、胸痛或無臨床癥狀。影像學表現為邊界清晰的圓形腫物影、大片狀陰影、肺葉不張,可見肺門及縱隔淋巴結腫大,部分合并胸腔積液。周圍型多見,其臨床表現與影像學缺乏特異性,與普通肺癌無法鑒別,診斷主要依靠病理組織學檢查[2]。
TTF-1是一種38 kD的Nk基因家族細胞核轉錄蛋白,它在調節肺泡表面蛋白和Clara細胞分泌蛋白基因的表達上起著關鍵的作用[3]。TTF-1在大多數肺腺癌中表達,特別是分化好的肺腺癌,TTF-1陽性支持肺腺癌,但陰性不能排除肺腺癌。有文獻報道TTF-1在肺腺癌的陽性率>70%,而在原發性肺SRCC陽性率可達100%。因原發性肺SRCC與肺外SRCC鏡下細胞形態幾乎相同,而TTF-1除在肺及甲狀腺腫瘤表達多見,其他臟器的腫瘤很少表達,故TTF-1可用于病理學上原發性肺內外SRCC的鑒別診斷[4]。
由于印戒細胞癌最常見于消化道,肺是腫瘤最常見的轉移器官,在確定肺部病變是否為原發性時,應首先排除原發于身體其他部位腫瘤的可能性。該例在排除消化道及其他部位原發灶后,雖病理檢查顯示TTF-1陰性,但結合臨床輔助檢查,最終診斷為原發性肺SRCC。
臨床資料 患者,男,48歲。以肺大泡、頸部、縱隔淋巴結腫大收入院。患者入院前4 d無明顯誘因出現右頸部及鎖骨上區腫脹,伴高熱(體溫最高38.8 ℃),有明顯壓痛,頸部活動受限。頸部CT示:右頸部血管間隙內、兩側鎖骨上窩多發性異常密度灶;右側頸靜脈增粗(圖 1)。胸部X線片示:不除外右上肺肺大泡、右上肺結節。胸部CT示:肺氣腫、肺大泡;右肺上葉斑片狀高密度影;縱隔內有多發增大的淋巴結(圖 2)。患者入院后持續低熱,但多次查血常規及生化檢查未見明顯異常,更換多種抗生素均未能控制發熱,后行右側頸部淋巴結穿刺,病理報告示腺癌,消化道轉移的可能性大。進一步復查消化道腫瘤標記物、腹部CT、胃鏡及鋇灌腸,均未見明顯異常。再次行左側頸部淋巴結穿刺,并行免疫組織化學及專科醫院會診為印戒細胞癌,免疫組織化學檢查結果不支持消化道來源,肺腺癌標記物甲狀腺轉錄因子-1 (TTF-1)陰性。結合患者影像學檢查,臨床診斷為肺原發性印戒細胞癌,縱隔、鎖骨上區及頸部多發性淋巴結轉移。明確診斷后,給予4個周期化療,方案為培美曲塞二鈉+順鉑,化療結束后,復查胸腹部CT等檢查,癌瘤進展,肺內原發結節增長并出現肺內轉移結節及腦轉移結節,患者因肺部炎癥、持續發熱再次入院,給予抗炎、抗腫瘤及增強免疫力等治療,2個月后因呼吸衰竭死亡。

討論 印戒細胞癌(signet-ring cell carcinoma ,SRCC)多見于胃腸道腫瘤,原發于肺的印戒細胞癌為肺腺癌中極少見的亞型,約占肺腺癌的0.14%~1.90% [1]。主要臨床表現為刺激性咳嗽、咳痰、咯血、發熱、胸悶、胸痛或無臨床癥狀。影像學表現為邊界清晰的圓形腫物影、大片狀陰影、肺葉不張,可見肺門及縱隔淋巴結腫大,部分合并胸腔積液。周圍型多見,其臨床表現與影像學缺乏特異性,與普通肺癌無法鑒別,診斷主要依靠病理組織學檢查[2]。
TTF-1是一種38 kD的Nk基因家族細胞核轉錄蛋白,它在調節肺泡表面蛋白和Clara細胞分泌蛋白基因的表達上起著關鍵的作用[3]。TTF-1在大多數肺腺癌中表達,特別是分化好的肺腺癌,TTF-1陽性支持肺腺癌,但陰性不能排除肺腺癌。有文獻報道TTF-1在肺腺癌的陽性率>70%,而在原發性肺SRCC陽性率可達100%。因原發性肺SRCC與肺外SRCC鏡下細胞形態幾乎相同,而TTF-1除在肺及甲狀腺腫瘤表達多見,其他臟器的腫瘤很少表達,故TTF-1可用于病理學上原發性肺內外SRCC的鑒別診斷[4]。
由于印戒細胞癌最常見于消化道,肺是腫瘤最常見的轉移器官,在確定肺部病變是否為原發性時,應首先排除原發于身體其他部位腫瘤的可能性。該例在排除消化道及其他部位原發灶后,雖病理檢查顯示TTF-1陰性,但結合臨床輔助檢查,最終診斷為原發性肺SRCC。