引用本文: 張根生, 劉瑞宇, 黨曉謙, 劉繼超, 焦海斌. miR-27a 過表達的血管內皮細胞來源外泌體改善股骨頭壞死實驗研究. 中國修復重建外科雜志, 2021, 35(3): 356-365. doi: 10.7507/1002-1892.202011026 復制
股骨頭壞死(osteonecrosis of femoral head,ONFH)是一種常見的骨科難治病,作為一種破壞性和進行性疾病,常導致股骨頭塌陷,約 70% 患者最終需要行髖關節置換術,給患者帶來沉重的經濟負擔和身心損害[1-4]。糖皮質激素(glucocorticoids,GC)引起的 ONFH(GC-ONFH)是最常見的非創傷性骨壞死類型之一[5-6]。根據既往研究,GC-ONFH 的發病機制可以歸納為血運重建困難和成骨活性減弱[7-9]。因此,增強血管生成或促進成骨是預防及早期治療 GC-ONFH 的關鍵[10-11]。
外泌體作為基因傳遞的天然納米載體,已在很多臨床研究中表現出積極治療作用,例如炎癥緩解、組織修復和再生調節[12-13]。近年,外泌體在骨組織修復和再生領域得到了廣泛關注[14-16],其依靠出色的生物相容性和靶向性,逐漸成為骨組織工程中熱門的基因治療載體[17-20]。據報道血管內皮細胞來源外泌體具有良好的骨靶向性[21],有望應用于 GC-ONFH 的基因療法。
miRNA 是一種內源性非編碼小 RNA,近年來大量研究表明部分 miRNA 在成骨分化過程中至關重要,如 miR-181a/b-1 通過介導 PTEN/PI3K/AKT 通路促進骨再生,miR-130a 對 MSCs 的成骨成脂分化平衡發揮重要作用,miR-335-5p 在小鼠體內實驗中可以促進骨形成[22-24]。此外,據報道 miR-27a 正調節 MSCs 的成骨分化,過表達 miR-27a 顯著增強其 ALP 活性和鈣沉積水平,miR-27a 在體內外均顯示出強大的成骨能力[25-26]。然而,miRNA 在體內容易被降解,這在一定程度上限制了其在骨組織工程中的應用,因此尋找 miRNA 的保護性載體一直是組織工程研究重要方向[27-28]。將血管內皮細胞來源外泌體用作 miR-27a 的運輸載體,可能是保護其避免被免疫系統降解并靶向骨組織,從而發揮促進骨再生的一種可行策略。
目前,有關 miR-27a 結合血管內皮細胞來源外泌體在 GC-ONFH 中的研究尚未見報道。因此,本研究通過構建 miR-27a 過表達的血管內皮細胞來源外泌體,驗證其體內外成骨能力,最終在大鼠 GC-ONFH 模型中驗證其保護作用,旨在為治療性 miRNA 搭載外泌體的再生療法奠定理論基礎。
1 材料與方法
1.1 實驗動物及主要材料、儀器
清潔級 2 月齡雄性 SD 大鼠 18 只,體質量約 250 g,購自西安交通大學實驗動物中心。
人臍靜脈內皮細胞(human umbilical vein endothelial cells,HUVECs;北京鼎國昌盛生物技術有限責任公司);miR-27a-3p mimics(人工合成的 miR-27a-3p 模擬物)、miR-27a-3p inhibitor(人工合成的 miR-27a-3p 抑制劑)、miR-27a-3p NC(miR-27a-3p 模擬物的陰性對照)(上海吉瑪制藥技術有限公司);MC3T3-E1 細胞、雙熒光素酶報告基因試劑盒、Dickkopf WNT 信號通路抑制劑 2(Dickkopf WNT signaling pathway inhibitor 2,DKK2)過表達慢病毒(上海吉凱基因科技有限公司);實時熒光定量 PCR(real-time fluorescent quantitative PCR,qRT-PCR)引物(北京擎科生物科技有限公司);HUVECs 專用培養基(ScienCell 生物技術公司,美國);α-MEM 培養基、FBS、青霉素-鏈霉素雙抗(Thermo Fisher Scientific 公司,美國);jetPRIME 轉染試劑盒(Polyplus-transfection?SA 公司,法國);細胞計數試劑盒 8(cell counting kit 8,CCK-8)、ALP 染色試劑盒、茜素紅染色試劑盒、蘇木素伊紅染色試劑盒(上海碧云天生物技術有限公司);DKK2 抗體、β-actin 抗體(Abcam 公司,美國);多聚甲醛、EDTA-脫鈣液、十六烷基吡啶氯化鈉、β-甘油磷酸鈉、抗壞血酸磷酸、地塞米松(Sigma 公司,日本)。酶標儀(北京天根生化科技有限公司);超速離心機(Beckman 公司,德國);HT-7700 透射電鏡(Hitachi 公司,日本);N30E 粒徑分析儀(廈門福流生物科技有限公司)。
1.2 HUVECs 的轉染及相關觀測
1.2.1 細胞培養
將凍存于液氮中的 HUVECs 于 39℃ 水浴中快速解凍,并以 1 000×g 離心 5 min;棄上清,用 HUVECs 專用培養基重懸細胞沉淀,接種于 T25 培養瓶中,37℃、5%CO2 恒溫培養箱培養。當細胞生長至約 80% 融合時,加入胰蛋白酶-EDTA 消化后按 1∶3 比例傳代培養,依據生長情況進行換液。
1.2.2 細胞轉染及分組
取第 3 代 HUVECs 以 2.5×105 個/mL 密度接種于 6 孔板,培養 12 h 后分別加入含 miR-27a NC(miR-27a NC 組)或 miR-27a mimics(miR-27a mimics 組)的轉染混合物(依照 jetPRIME 轉染試劑盒說明書配置)進行轉染,繼續培養 24 h 后更換為新鮮培養基。
1.2.3 觀測指標
① 光鏡觀察:轉染 36 h 后光鏡下觀察兩組細胞形態變化。② qRT-PCR 檢測轉染效率:轉染后 48 h 收集兩組細胞,以 Trizol 提取細胞總 RNA,將其逆轉錄成 cDNA,采用 qRT-PCR 試劑盒檢測 miR-27a 基因表達,以 U6 作為內參基因,以 2–ΔΔCt 法對數據進行分析,得出各組 miR-27a 的 mRNA 相對表達量。引物序列見表 1。③ CCK-8 法檢測細胞活力:轉染 24、72 h 后,按照 CCK-8 試劑盒說明書方法,檢測 miR-27a NC 組、miR-27a mimics 組細胞活力,以吸光度(A)值表示;以培養 24、72 h 未轉染的 HUVECs 作為對照組。

1.3 HUVECs 外泌體的提取及鑒定
1.3.1 外泌體的提取
采用超速離心法提取 miR-27a NC 組和 miR-27a mimics 組的外泌體并對應分為 exo(NC)組和 exo(miR-27a)組。具體方法:分別取 miR-27a NC 組和 miR-27a mimics 組轉染 48 h 后的上清,以 300×g 離心 10 min 去除殘留細胞;取上清,以 2 000×g 離心 10 min 去除細胞碎片;取上清,以 10 000×g 離心 30 min 去除大的囊泡和某些細胞器;取上清,以 10 000×g 離心 90 min 提取外泌體;棄上清,用 PBS 清洗外泌體沉淀去除雜蛋白,再以 10 000×g 離心 90 min 提取純化的外泌體。
1.3.2 外泌體的鑒定
① 透射電鏡觀察:取 exo(miR-27a)組外泌體,透射電鏡觀察外泌體形態。② 納米顆粒跟蹤分析:取 exo(miR-27a)組外泌體,采用納米顆粒跟蹤分析法分析外泌體的粒徑分布。③ Western blot 檢測:取 exo(NC)組和 exo(miR-27a)組外泌體,用 RIPA 裂解液提取各組總蛋白,BCA 試劑盒檢測蛋白濃度,依照蛋白濃度調整蛋白上樣量,行 SDS-PAGE 電泳,100 V 下濕轉,5% 脫脂奶粉封閉過夜,孵育相應蛋白一抗和二抗,包括外泌體陽性蛋白標志物[外泌體膜蛋白(CD9)和外泌體內蛋白(Alix)]和內質網特異性蛋白標志物(Calnexin),采用 ECL 化學發光法進行成像。以單純 HUVECs 為對照。④ qRT-PCR 檢測:分別取 exo(NC)組和 exo(miR-27a)組外泌體,同 1.2.3 方法檢測 miR-27a mRNA 相對表達量。引物序列見表 1。
1.4 過表達 miR-27a 的 HUVECs 外泌體對 MC3T3-E1 細胞成骨分化的影響
1.4.1 細胞培養及實驗分組
同 HUVECs 方法復蘇 MC3T3-E1 細胞,采用 α-MEM 完全培養基(含 10%FBS 及 1% 青霉素-鏈霉素)進行復蘇及傳代培養,依據細胞生長狀況進行換液。取復蘇后第 3 代 MC3T3-E1 細胞,分別與外泌體 exo(NC)和 exo(miR-27a)共培養(外泌體濃度為 5 μg/mL),設為 EXO(NC)組和 EXO(miR-27a)組,以單純 MC3T3-E1 細胞為空白對照組。
1.4.2 觀測指標
① ALP 染色和茜素紅染色:取各組 MC3T3-E1 細胞,更換為成骨誘導培養基(含 10 mmol/L β-甘油磷酸鈉、0.05 mmol/L 抗壞血酸磷酸、100 nmol/L 地塞米松的 α-MEM 完全培養基)培養,誘導 7 d 行 ALP 染色,拍照后采用 Image J 軟件檢測 ALP 染色陽性面積百分比;誘導 14 d 行茜素紅染色,將礦化結節溶于 100 mmol/L 十六烷基吡啶氯化鈉中 30 min,測定 562 nm 波長下 A 值。② qRT-PCR 檢測:首先,取 EXO(NC)組和 EXO(miR-27a)組 MC3T3-E1 細胞,同 1.2.3 方法檢測 miR-27a mRNA 相對表達量,以驗證 miR-27a 過表達的 HUVECs 外泌體是否將 miR-27a 成功遞送至 MC3T3-E1 細胞中。然后,取 EXO(NC)組、EXO(miR-27a)組和空白對照組 MC3T3-E1 細胞,同法檢測成骨相關基因骨鈣素(osteocalcin,OCN)、Ⅰ型膠原 alpha 1 鏈(collagen type Ⅰalpha 1 chain,COL1A1)、RUNX 家族轉錄因子 2(RUNX family transcription factor 2,RUNX2)mRNA 相對表達量,以 GADPH 為內參基因。引物序列見表 1。
1.5 驗證 miR-27a 是否通過靶向 DKK2 促進成骨分化
1.5.1 雙熒光素酶報告基因實驗及靶細胞內驗證實驗
實驗分 6 組:NC(空質粒)+miR-27a mimics 組、NC+miR-27a NC 組、WT(野生型)+miR-27a mimics 組、WT+miR-27a NC 組、MUT(突變型)+miR-27a mimics 組、MUT+miR-27a NC 組。2 個 NC 組用于驗證本實驗體系是否正常,WT 和 MUT 組用于驗證 miR-27a-3p 是否直接靶向 DKK2 的 3’UTR 區域。按照雙熒光素酶報告基因檢測試劑盒說明書進行實驗,記錄各組相對熒光強度。
在靶細胞內進一步驗證 miR-27a 是否可以靶向 DDK2 并降低其表達水平。取 MC3T3-E1 細胞,分別用 miR-27a mimics、miR-27a inhibitor 及 miR-27a NC 轉染,轉染方法同 1.2.2;轉染后 72 h 分別采用 qRT-PCR 和 Western blot 法檢測 DKK2 的 mRNA 和蛋白表達水平。
1.5.2 驗證 miR-27a 靶向 DKK2 對 MC3T3-E1 細胞礦化水平的影響
構建過表達 DKK2 的 MC3T3-E1 細胞系:制備濃度為 5×104 個/mL 的 MC3T3-E1 細胞懸液并接種于 6 孔板中,培養 12 h 后更換含 5 μg/mL 聚凝胺的新鮮培養基,加入適量 DKK2 過表達慢病毒,保證感染復數為 100(依據慢病毒公司技術指導的推薦量);培養 12 h 后更換為普通培養基,繼續培養 72 h 并密切觀察細胞狀態和熒光強度,細胞長滿后(約 90%)進行傳代培養,并用 10 μg/mL 嘌呤霉素篩選出穩定表達 DDK2 的 MC3T3-E1 細胞系。向過表達 DKK2 的 MC3T3-E1 細胞以及正常 MC3T3-E1 細胞分別轉染 miR-27a mimics 和 miR-27a NC,故實驗分成 4 組:DKK2(?)+miR-27a NC 組(陰性對照組)、DKK2(+)+miR-27a NC 組(DKK2 過表達組)、DKK2(?)+miR-27a mimics 組(miR-27a 過表達組)、DKK2(+)+miR-27a mimics 組(挽救組)。成骨誘導培養 14 d 同 1.4.2 方法行茜素紅染色,酶標儀測定 562 nm 波長下 A 值。
1.6 過表達 miR-27a 的 HUVECs 外泌體對大鼠 GC-ONFH 的影響
1.6.1 實驗分組及方法
取適應性喂養 1 周的 SD 大鼠 18 只,隨機分為正常對照組、模型組和干預組,每組 6 只。取模型組和干預組動物,按照文獻[29]方法制備大鼠 GC-ONFH 模型,正常對照組大鼠不造模。干預組于 GC 注射第 1 天同時開始每天尾靜脈注射過表達 miR-27a 的 HUVECs 外泌體 (100 μg/只)。模型組造模過程中不作特殊處理。造模過程中每只大鼠每天肌肉注射 10 萬 U 青霉素以防止感染發生,如動物死亡及時予以補充。
1.6.2 Micro-CT 觀測
造模后 4 周取大鼠雙側股骨頭,4% 多聚甲醛固定 24 h。取一側股骨頭行 Micro-CT 掃描,使用 Mimics Medical 21.0 軟件生成每組代表性樣品的橫截面和矢狀面。測量相對骨體積(bone?volume/tissue volume,BV/TV)、骨小梁厚度(trabecular?thickness,Tb.Th)、骨小梁數目(trabecular?number,Tb.N)和骨小梁分離度(trabecular?thickness,Tb.Sp)。
1.6.3 HE 染色觀察
取另一側股骨頭,用 10%EDTA 脫鈣 4 周(期間每 3 天更換 1 次脫鈣液)。石蠟包埋、切片(片厚 5 μm)、二甲苯梯度脫蠟、梯度乙醇水化、蒸餾水沖洗,常規行 HE 染色并觀察股骨頭組織形態。
1.7 統計學方法
采用 GraphPad Prism8 統計軟件進行分析。數據以均數±標準差表示,多組間比較采用單因素方差分析,兩兩比較采用 SNK 檢驗;兩組間比較采用獨立樣本 t 檢驗;檢驗水準 α=0.05。
2 結果
2.1 HUVECs 的轉染及相關觀測
光鏡觀察示,miR-27a NC 組與 miR-27a mimics 組的 HUVECs 形態一致,均呈鋪路狀鵝卵石樣且形態飽滿清晰(圖 1)。qRT-PCR 檢測示,miR-27a mimics 組 miR-27a mRNA 相對表達量為 254.037±19.576,顯著高于 miR-27a NC 組的 1.004±0.017,差異有統計學意義(t=22.390,P=0.002)。CCK-8 檢測示,miR-27a NC 組、miR-27a mimics 組及對照組轉染 24 h 時 A 值分別為 0.611±0.035、0.618±0.030、0.613±0.015,72 h 時分別為 1.953±0.240、1.994±0.186、1.913±0.130;3 組細胞活力隨培養時間延長均顯著增加,3 組間比較差異無統計學意義(P>0.05)。說明成功構建 miR-27a 過表達的 HUVECs。

a. miR-27a NC 組;b. miR-27a mimics 組
Figure1. Cell morphology observation at 36 hours after transfection (×100)a. miR-27a NC group; b. miR-27a mimics group
2.2 HUVECs 外泌體的提取及鑒定
透射電鏡觀察示,exo(miR-27a)組外泌體呈盤狀或杯狀(圖 2a),與文獻報道[12]一致。納米顆粒跟蹤分析表明,exo(miR-27a)組 90.62% 外泌體粒徑分布在 30~150 nm 范圍(圖 2b),與其他研究中外泌體粒徑參數[13]相似。Western blot 檢測示,exo(NC)組和 exo(miR-27a)組 CD9 和 Alix 蛋白表達均呈陽性,幾乎未見 Calnexin 蛋白表達;單純 HUVECs 則相反(圖 2c)。上述檢測結果說明外泌體提取成功。

a. exo(miR-27a)組透射電鏡觀察(×50 k) 箭頭示外泌體;b. exo(miR-27a)組納米顆粒跟蹤分析;c. Western blot 檢測 1:單純 HUVECs 2:exo(NC)組 3:exo(miR-27a)組
Figure2. Exosome identificationa. Transmission electron microscopy observation (×50 k) Arrow indicated exosome; b. Nanoparticle tracking analysis; c. Western blot assay 1: HUVECs 2: exo (NC) group 3: exo (miR-27a) group
qRT-PCR 檢測示,exo(miR-27a)組外泌體中 miR-27a mRNA 相對表達量為 26.560±1.498,顯著高于 exo(NC)組的 1.004±0.113,差異有統計學意義(t=29.470,P=0.001)。表明 miR-27a 過表達的 HUVECs 外泌體成功獲取。
2.3 過表達 miR-27a 的 HUVECs 外泌體對 MC3T3-E1 細胞成骨分化的影響
2.3.1 ALP 染色和茜素紅染色
EXO(NC)組、EXO(miR-27a)組和空白對照組 ALP 染色陽性面積百分比分別為 17.903%±1.343%、33.199%±2.305%,5.911%±1.639%,A 值分別為 4.051±0.255、8.729±0.432、1.789±0.221,EXO(NC)組和 EXO(miR-27a)組顯著高于空白對照組,EXO(miR-27a)組顯著高于 EXO(NC)組,差異均有統計學意義(P<0.05)。見圖 3。

從左至右依次為空白對照組、EXO(NC)組、EXO(miR-27a)組 a. ALP 染色;b. 茜素紅染色
Figure3. ALP staining and alizarin red staining observations in each group (×40)From left to right for blank control group, EXO (NC) group, EXO (miR-27a) group, respectively a. ALP staining; b. Alizarin red staining
2.3.2 qRT-PCR 檢測
EXO(miR-27a)組 MC3T3-E1 細胞中 miR-27a mRNA 相對表達量顯著高于 EXO(NC)組,差異有統計學意義(t=70.090,P=0.000)。表明 miR-27a 過表達的 HUVECs 外泌體將 miR-27a 成功遞送至 MC3T3-E1 細胞中。見圖 4a。

a. miR-27a;b. COL1A1;c. OCN;d. RUNX2
Figure4. qRT-PCR detection of related gene expressiona. miR-27a; b. COL1A1; c. OCN; d. RUNX2
成骨相關基因表達檢測示,EXO(miR-27a)組 OCN 和 COL1A1 mRNA 相對表達量顯著高于 EXO(NC)組和空白對照組,差異有統計學意義(P<0.05),EXO(NC)組和空白對照組間差異無統計學意義(P>0.05);EXO(miR-27a)組和 EXO(NC)組 RUNX2 mRNA 相對表達量顯著高于空白對照組,差異有統計學意義(P<0.05),EXO(miR-27a)組和 EXO(NC)組間差異無統計學意義(P>0.05)。見圖 4b~d。
2.4 miR-27a 是否通過靶向 DKK2 促進成骨分化
2.4.1 雙熒光素酶報告基因實驗及靶細胞內驗證實驗
雙熒光素酶報告基因實驗結果顯示,WT+miR-27a NC 組、WT+miR-27a mimics 組、MUT+miR-27a NC 組、MUT+miR-27a mimics 組的相對熒光強度分別為 98.111±2.239、57.715±2.594、100.288±2.621、106.527±3.029。提示 miR-27a mimics 可以抑制包含野生型 DKK2 3’UTR 的熒光素酶活性,但對包含突變型 DKK2 3’UTR 的熒光素酶活性無影響,表明 miR-27a 可以直接靶向 DDK2 基因的 3’UTR 區域發揮抑制作用。見圖 5。

藍色示野生型序列,紅色示突變型對應序列
Figure5. Sequence design of DLRTM assayBlue for wild-type sequences, red for mutant sequences
靶細胞內驗證實驗顯示,與 miR-27a NC 組比較,miR-27a inhibitor 組 DKK2 的 mRNA 和蛋白相對表達量顯著升高,miR-27a mimics 組顯著降低,差異均有統計學意義(P<0.05)。見圖 6。表明 miR-27a 在 MC3T3-E1 細胞內可以靶向 DDK2 并降低其表達水平。

a. 各組 DKK2 mRNA 相對表達量;b. 各組 DKK2 蛋白相對表達量;c. Western blot 電泳圖1:miR-27a NC 組 2:miR-27a inhibitor 組 3:miR-27a mimics 組
Figure6. Intracellular validation experiments on target cellsa. Relative expression of DKK2 mRNA in each group; b. Relative expression level of DKK2 protein in each group; c. Western blot electropherogram 1: miR-27a NC group 2: miR-27a inhibitor group 3: miR-27a mimics group
2.4.2 miR-27a 靶向 DKK2 對 MC3T3-E1 細胞礦化水平的影響
茜素紅染色示,DKK2 過表達組礦化結節數顯著降低,miR-27a mimics 組礦化結節數顯著增加,而兩者對礦化水平的影響可在一定程度上相互抵消。見圖 7。陰性對照組、DKK2 過表達組、miR-27a 過表達組、挽救組 A 值分別為 2.892±0.157、0.693±0.08、8.679±0.409、2.925±0.081,除陰性對照組和挽救組比較差異無統計學意義(P>0.05)外,其余各組間比較差異均有統計學意義(P<0.05)。

a. 陰性對照組;b. DKK2 過表達組; c. miR-27a 過表達組;d. 挽救組
Figure7. Alizarin red staining to observe the miR-27a targeting DKK2 affected the mineralization level of MC3T3-E1 cells (×40)a. Negative control group; b. DKK2 overexpression group; c. MiR-27a overexpression group; d. Rescue group2.5 過表達 miR-27a 的 HUVECs 外泌體對大鼠 GC-ONFH 的影響
2.5.1 Micro-CT 觀測
Micro-CT 觀察示,與正常對照組比較,模型組在股骨頭軟骨下區域觀察到更多骨質損失和囊性變,骨小梁變得稀疏且結構松散紊亂;而干預組上述情況均得到改善,但仍未達到正常對照組水平。見圖 8。定量分析示,模型組 BV/TV、Tb.Th、Tb.N 顯著低于正常對照組和干預組,Tb.Sp 顯著高于正常對照組和干預組,差異均有統計學意義(P<0.05)。見圖 9。

從左至右依次為正常對照組、模型組、干預組 a. 橫截面;b. 矢狀面
Figure8. Micro-CT observation of femoral head microstructure in each group of ratsFrom left to right for normal control group, model group, intervention group, respectively a. Cross-section; b. Sagittal plane

a. BV/TV;b. Tb.Th;c. Tb.N;d. Tb.Sp
Figure9. Micro-CT quantitative detection of the bone tissue parameters of femoral head in each group of ratsa. BV/TV; b. Tb.Th; c. Tb.N; d. Tb.Sp
2.5.2 HE 染色觀察
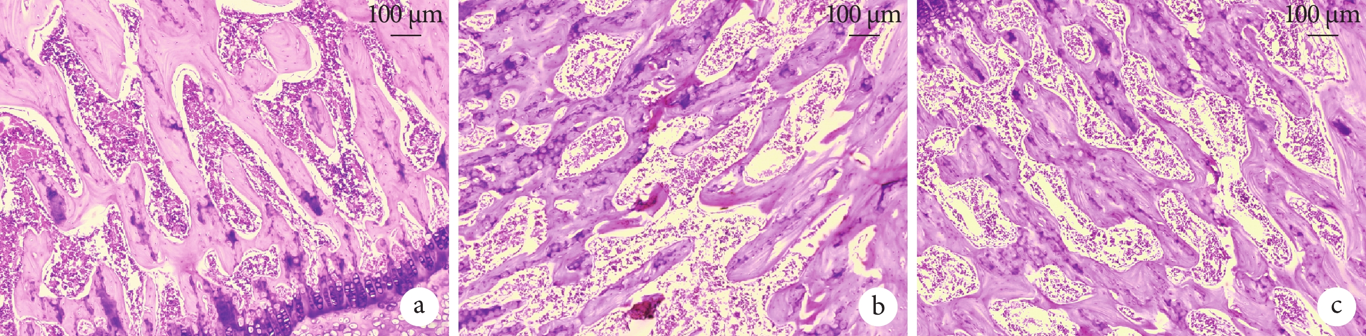
與正常對照組比較,模型組觀察到明顯骨壞死現象,表現為骨小梁結構紊亂,骨小梁周圍存在許多成纖維細胞,空骨陷窩增多,骨髓腔內充滿大量脂肪空泡,髓質造血細胞退化或壞死明顯。而干預組骨壞死程度較輕微,骨小梁雖然有僵化稀疏表現,但結構較完整,空骨陷窩形成較少,髓腔內脂肪空泡較少,造血系細胞輕度退化或壞死,但仍未達到正常對照組水平。見圖 10。

a. 正常對照組;b. 模型組;c. 干預組
Figure10. HE staining to observe the histomorphology of the femoral head in each group of rats (×100)a. Normal control group; b. Model group; c. Intervention group
3 討論
生物材料結合細胞療法是再生醫學的熱門研究方向[30-31],但部分生物材料的潛在毒性和慢性炎癥問題仍然存在[32],而細胞療法與腫瘤和栓塞形成密切相關[33],目前解決這些問題仍面臨巨大挑戰。因此適當做減法可能是另一個可行思路。外泌體作為天然納米級生物材料兼具優良生物活性,成為重點研究對象[34],在再生醫學中的治療作用已被廣泛驗證。如與誘導多能干細胞相比,其衍生的外泌體能更安全、有效地用于心肌梗死修復,人臍帶 MSCs 來源外泌體可通過激活自噬防止順鉑誘導的腎毒性,MSCs 來源外泌體可通過抑制肺血管重塑改善肺動脈高壓,以及巨噬細胞來源外泌體能促進神經再生等[35-38]。在骨再生領域外泌體同樣有重要作用,例如在轉染 miR-26a 的人 CD34+ 造血干細胞中提取的外泌體可促進 MSCs 成骨分化,攜帶 miR-122-5p 的 BMSCs 來源外泌體能促進 ONFH 中成骨細胞增殖,人前列腺癌細胞 PC-3 來源外泌體通過下調 miR-214 和阻斷 NF-κB 信號通路抑制破骨細胞成熟,HIF-1α 可增強 MSCs 衍生外泌體對 Jagged1 介導的骨組織血管再生等[39-42]。這些研究顯示,運用改性外泌體促進骨再生可能是保護 GC-ONFH 的可行策略[43]。因此本研究選擇將促進骨再生的 miR-27a 加載于內皮細胞來源外泌體,以應用于早期 GC-ONFH 的保護研究。
將治療性 microRNA 加載于外泌體主要包括源細胞的基因修飾和外泌體的直接加載(如混合、電穿孔或超聲干預)[44],由于后者效率不穩定,因此源細胞的基因修飾是主流選擇[45]。本研究通過 miR-27a mimics 修飾 HUVECs,最終獲得 miR-27a 過表達的外泌體;而 qRT-PCR 結果顯示,外泌體將 miR-27a 成功遞送至 MC3T3-E1 細胞中,表明將治療性 miR-27a 加載到外泌體并遞送至靶細胞的策略可行。據報道,在不同目的細胞中 miR-27a 可通過不同靶點來促進成骨分化,如肌細胞增強因子 2C(Mef2c)、Sp7 轉錄因子、分泌型卷曲相關蛋白 1(SFRP1)、WNT 信號通路 APC 調節劑和 PRDM16 等[26]。此外,miR-27a 通過靶向過氧化物酶體增殖物激活受體 γ(PPARγ)和 BMP 拮抗劑(GREM1)調節 MSCs 的成骨和成脂分化平衡,從而在類固醇誘導的 ONFH 大鼠模型中起治療作用[25]。本實驗表明,miR-27a 可以在體外促進成骨細胞前體細胞 MC3T3-E1 的成骨分化,過表達的 miR-27a 顯著增強 ALP 活性和鈣沉積以及成骨相關基因(RUNX2、COL1A1 和 OCN)的表達,這與其他報道一致。此外,本研究雙熒光素酶報道顯示 DKK2 為 miR-27a 的靶標;挽救實驗顯示,過表達 DKK2 可有效抵消(挽救)miR- 27a mimics 的促成骨作用,即 miR-27a 通過直接靶向 DKK2 來促進成骨。已知 Wnt 信號通路是骨骼形成的重要調節途徑,而 DKK2 是 Wnt 通路的天然拮抗劑[26, 46]。因此本研究結果表明,富含 miR-27a 的外泌體可以將 miR-27a 遞送至 MC3T3-E1 細胞,從而解除 DKK2 對 Wnt 通路的抑制作用來促進成骨。
很多研究表明血管生成促進成骨進程,而該過程中血管內皮細胞與成骨細胞的通訊至關重要[47-48],外泌體又是細胞間通訊的重要方式,因此可以推測血管內皮細胞來源外泌體在成骨過程中扮演了重要角色。故本實驗選擇 HUVECs 來源外泌體作為促成骨 miRNA 的載體,希望能達到更好的促成骨效果。體外實驗的 ALP 染色和茜素紅染色顯示,盡管單純 HUVECs 來源外泌體沒有 miR-27a 過表達的 HUVECs 外泌體效果顯著,但其在一定程度上也能促進 MC3T3-E1 細胞成骨,基本達到實驗預期。此外,有研究表明血管內皮細胞來源外泌體是高度生物相容性的骨靶向納米顆粒[21, 49],本研究的動物實驗結果也與之相符。通過尾靜脈注射外泌體的方式進行干預,HE 染色和 Micro-CT 檢測顯示 miR-27a 過表達的 HUVECs 來源外泌體緩解了大鼠 GC-ONFH 壞死程度,表現出一定保護作用。說明 miR-27a 過表達的 HUVECs 來源外泌體成功到達股骨頭損傷部位,展示出其可靶向骨損傷部位的良好應用前景。
綜上述,將 miR-27a 加載于血管內皮細胞來源外泌體顯示出良好的促成骨活性,并能一定程度緩解 GC-ONFH 進展,為外泌體的骨修復再生研究提供了一定參考。但仍有一些問題,如明確治療機制、進一步提高骨靶向性能的方案、miRNA 的選擇以及加載方式優化等,有待進一步研究明確。
作者貢獻:張根生、劉瑞宇、黨曉謙負責實驗設計、實施及文章撰寫;劉繼超、焦海斌負責數據收集整理、統計分析;焦海斌、黨曉謙負責對文章的知識性內容作批評性審閱。
利益沖突:所有作者聲明,在課題研究和文章撰寫過程中不存在利益沖突。課題經費支持沒有影響文章觀點和對研究數據客觀結果的統計分析及其報道。
機構倫理問題:研究方案經西安交通大學實驗動物中心倫理委員會批準(XJTULAC2019-1284)。實驗動物使用許可證號:SYXK(陜)-2020-005。
股骨頭壞死(osteonecrosis of femoral head,ONFH)是一種常見的骨科難治病,作為一種破壞性和進行性疾病,常導致股骨頭塌陷,約 70% 患者最終需要行髖關節置換術,給患者帶來沉重的經濟負擔和身心損害[1-4]。糖皮質激素(glucocorticoids,GC)引起的 ONFH(GC-ONFH)是最常見的非創傷性骨壞死類型之一[5-6]。根據既往研究,GC-ONFH 的發病機制可以歸納為血運重建困難和成骨活性減弱[7-9]。因此,增強血管生成或促進成骨是預防及早期治療 GC-ONFH 的關鍵[10-11]。
外泌體作為基因傳遞的天然納米載體,已在很多臨床研究中表現出積極治療作用,例如炎癥緩解、組織修復和再生調節[12-13]。近年,外泌體在骨組織修復和再生領域得到了廣泛關注[14-16],其依靠出色的生物相容性和靶向性,逐漸成為骨組織工程中熱門的基因治療載體[17-20]。據報道血管內皮細胞來源外泌體具有良好的骨靶向性[21],有望應用于 GC-ONFH 的基因療法。
miRNA 是一種內源性非編碼小 RNA,近年來大量研究表明部分 miRNA 在成骨分化過程中至關重要,如 miR-181a/b-1 通過介導 PTEN/PI3K/AKT 通路促進骨再生,miR-130a 對 MSCs 的成骨成脂分化平衡發揮重要作用,miR-335-5p 在小鼠體內實驗中可以促進骨形成[22-24]。此外,據報道 miR-27a 正調節 MSCs 的成骨分化,過表達 miR-27a 顯著增強其 ALP 活性和鈣沉積水平,miR-27a 在體內外均顯示出強大的成骨能力[25-26]。然而,miRNA 在體內容易被降解,這在一定程度上限制了其在骨組織工程中的應用,因此尋找 miRNA 的保護性載體一直是組織工程研究重要方向[27-28]。將血管內皮細胞來源外泌體用作 miR-27a 的運輸載體,可能是保護其避免被免疫系統降解并靶向骨組織,從而發揮促進骨再生的一種可行策略。
目前,有關 miR-27a 結合血管內皮細胞來源外泌體在 GC-ONFH 中的研究尚未見報道。因此,本研究通過構建 miR-27a 過表達的血管內皮細胞來源外泌體,驗證其體內外成骨能力,最終在大鼠 GC-ONFH 模型中驗證其保護作用,旨在為治療性 miRNA 搭載外泌體的再生療法奠定理論基礎。
1 材料與方法
1.1 實驗動物及主要材料、儀器
清潔級 2 月齡雄性 SD 大鼠 18 只,體質量約 250 g,購自西安交通大學實驗動物中心。
人臍靜脈內皮細胞(human umbilical vein endothelial cells,HUVECs;北京鼎國昌盛生物技術有限責任公司);miR-27a-3p mimics(人工合成的 miR-27a-3p 模擬物)、miR-27a-3p inhibitor(人工合成的 miR-27a-3p 抑制劑)、miR-27a-3p NC(miR-27a-3p 模擬物的陰性對照)(上海吉瑪制藥技術有限公司);MC3T3-E1 細胞、雙熒光素酶報告基因試劑盒、Dickkopf WNT 信號通路抑制劑 2(Dickkopf WNT signaling pathway inhibitor 2,DKK2)過表達慢病毒(上海吉凱基因科技有限公司);實時熒光定量 PCR(real-time fluorescent quantitative PCR,qRT-PCR)引物(北京擎科生物科技有限公司);HUVECs 專用培養基(ScienCell 生物技術公司,美國);α-MEM 培養基、FBS、青霉素-鏈霉素雙抗(Thermo Fisher Scientific 公司,美國);jetPRIME 轉染試劑盒(Polyplus-transfection?SA 公司,法國);細胞計數試劑盒 8(cell counting kit 8,CCK-8)、ALP 染色試劑盒、茜素紅染色試劑盒、蘇木素伊紅染色試劑盒(上海碧云天生物技術有限公司);DKK2 抗體、β-actin 抗體(Abcam 公司,美國);多聚甲醛、EDTA-脫鈣液、十六烷基吡啶氯化鈉、β-甘油磷酸鈉、抗壞血酸磷酸、地塞米松(Sigma 公司,日本)。酶標儀(北京天根生化科技有限公司);超速離心機(Beckman 公司,德國);HT-7700 透射電鏡(Hitachi 公司,日本);N30E 粒徑分析儀(廈門福流生物科技有限公司)。
1.2 HUVECs 的轉染及相關觀測
1.2.1 細胞培養
將凍存于液氮中的 HUVECs 于 39℃ 水浴中快速解凍,并以 1 000×g 離心 5 min;棄上清,用 HUVECs 專用培養基重懸細胞沉淀,接種于 T25 培養瓶中,37℃、5%CO2 恒溫培養箱培養。當細胞生長至約 80% 融合時,加入胰蛋白酶-EDTA 消化后按 1∶3 比例傳代培養,依據生長情況進行換液。
1.2.2 細胞轉染及分組
取第 3 代 HUVECs 以 2.5×105 個/mL 密度接種于 6 孔板,培養 12 h 后分別加入含 miR-27a NC(miR-27a NC 組)或 miR-27a mimics(miR-27a mimics 組)的轉染混合物(依照 jetPRIME 轉染試劑盒說明書配置)進行轉染,繼續培養 24 h 后更換為新鮮培養基。
1.2.3 觀測指標
① 光鏡觀察:轉染 36 h 后光鏡下觀察兩組細胞形態變化。② qRT-PCR 檢測轉染效率:轉染后 48 h 收集兩組細胞,以 Trizol 提取細胞總 RNA,將其逆轉錄成 cDNA,采用 qRT-PCR 試劑盒檢測 miR-27a 基因表達,以 U6 作為內參基因,以 2–ΔΔCt 法對數據進行分析,得出各組 miR-27a 的 mRNA 相對表達量。引物序列見表 1。③ CCK-8 法檢測細胞活力:轉染 24、72 h 后,按照 CCK-8 試劑盒說明書方法,檢測 miR-27a NC 組、miR-27a mimics 組細胞活力,以吸光度(A)值表示;以培養 24、72 h 未轉染的 HUVECs 作為對照組。

1.3 HUVECs 外泌體的提取及鑒定
1.3.1 外泌體的提取
采用超速離心法提取 miR-27a NC 組和 miR-27a mimics 組的外泌體并對應分為 exo(NC)組和 exo(miR-27a)組。具體方法:分別取 miR-27a NC 組和 miR-27a mimics 組轉染 48 h 后的上清,以 300×g 離心 10 min 去除殘留細胞;取上清,以 2 000×g 離心 10 min 去除細胞碎片;取上清,以 10 000×g 離心 30 min 去除大的囊泡和某些細胞器;取上清,以 10 000×g 離心 90 min 提取外泌體;棄上清,用 PBS 清洗外泌體沉淀去除雜蛋白,再以 10 000×g 離心 90 min 提取純化的外泌體。
1.3.2 外泌體的鑒定
① 透射電鏡觀察:取 exo(miR-27a)組外泌體,透射電鏡觀察外泌體形態。② 納米顆粒跟蹤分析:取 exo(miR-27a)組外泌體,采用納米顆粒跟蹤分析法分析外泌體的粒徑分布。③ Western blot 檢測:取 exo(NC)組和 exo(miR-27a)組外泌體,用 RIPA 裂解液提取各組總蛋白,BCA 試劑盒檢測蛋白濃度,依照蛋白濃度調整蛋白上樣量,行 SDS-PAGE 電泳,100 V 下濕轉,5% 脫脂奶粉封閉過夜,孵育相應蛋白一抗和二抗,包括外泌體陽性蛋白標志物[外泌體膜蛋白(CD9)和外泌體內蛋白(Alix)]和內質網特異性蛋白標志物(Calnexin),采用 ECL 化學發光法進行成像。以單純 HUVECs 為對照。④ qRT-PCR 檢測:分別取 exo(NC)組和 exo(miR-27a)組外泌體,同 1.2.3 方法檢測 miR-27a mRNA 相對表達量。引物序列見表 1。
1.4 過表達 miR-27a 的 HUVECs 外泌體對 MC3T3-E1 細胞成骨分化的影響
1.4.1 細胞培養及實驗分組
同 HUVECs 方法復蘇 MC3T3-E1 細胞,采用 α-MEM 完全培養基(含 10%FBS 及 1% 青霉素-鏈霉素)進行復蘇及傳代培養,依據細胞生長狀況進行換液。取復蘇后第 3 代 MC3T3-E1 細胞,分別與外泌體 exo(NC)和 exo(miR-27a)共培養(外泌體濃度為 5 μg/mL),設為 EXO(NC)組和 EXO(miR-27a)組,以單純 MC3T3-E1 細胞為空白對照組。
1.4.2 觀測指標
① ALP 染色和茜素紅染色:取各組 MC3T3-E1 細胞,更換為成骨誘導培養基(含 10 mmol/L β-甘油磷酸鈉、0.05 mmol/L 抗壞血酸磷酸、100 nmol/L 地塞米松的 α-MEM 完全培養基)培養,誘導 7 d 行 ALP 染色,拍照后采用 Image J 軟件檢測 ALP 染色陽性面積百分比;誘導 14 d 行茜素紅染色,將礦化結節溶于 100 mmol/L 十六烷基吡啶氯化鈉中 30 min,測定 562 nm 波長下 A 值。② qRT-PCR 檢測:首先,取 EXO(NC)組和 EXO(miR-27a)組 MC3T3-E1 細胞,同 1.2.3 方法檢測 miR-27a mRNA 相對表達量,以驗證 miR-27a 過表達的 HUVECs 外泌體是否將 miR-27a 成功遞送至 MC3T3-E1 細胞中。然后,取 EXO(NC)組、EXO(miR-27a)組和空白對照組 MC3T3-E1 細胞,同法檢測成骨相關基因骨鈣素(osteocalcin,OCN)、Ⅰ型膠原 alpha 1 鏈(collagen type Ⅰalpha 1 chain,COL1A1)、RUNX 家族轉錄因子 2(RUNX family transcription factor 2,RUNX2)mRNA 相對表達量,以 GADPH 為內參基因。引物序列見表 1。
1.5 驗證 miR-27a 是否通過靶向 DKK2 促進成骨分化
1.5.1 雙熒光素酶報告基因實驗及靶細胞內驗證實驗
實驗分 6 組:NC(空質粒)+miR-27a mimics 組、NC+miR-27a NC 組、WT(野生型)+miR-27a mimics 組、WT+miR-27a NC 組、MUT(突變型)+miR-27a mimics 組、MUT+miR-27a NC 組。2 個 NC 組用于驗證本實驗體系是否正常,WT 和 MUT 組用于驗證 miR-27a-3p 是否直接靶向 DKK2 的 3’UTR 區域。按照雙熒光素酶報告基因檢測試劑盒說明書進行實驗,記錄各組相對熒光強度。
在靶細胞內進一步驗證 miR-27a 是否可以靶向 DDK2 并降低其表達水平。取 MC3T3-E1 細胞,分別用 miR-27a mimics、miR-27a inhibitor 及 miR-27a NC 轉染,轉染方法同 1.2.2;轉染后 72 h 分別采用 qRT-PCR 和 Western blot 法檢測 DKK2 的 mRNA 和蛋白表達水平。
1.5.2 驗證 miR-27a 靶向 DKK2 對 MC3T3-E1 細胞礦化水平的影響
構建過表達 DKK2 的 MC3T3-E1 細胞系:制備濃度為 5×104 個/mL 的 MC3T3-E1 細胞懸液并接種于 6 孔板中,培養 12 h 后更換含 5 μg/mL 聚凝胺的新鮮培養基,加入適量 DKK2 過表達慢病毒,保證感染復數為 100(依據慢病毒公司技術指導的推薦量);培養 12 h 后更換為普通培養基,繼續培養 72 h 并密切觀察細胞狀態和熒光強度,細胞長滿后(約 90%)進行傳代培養,并用 10 μg/mL 嘌呤霉素篩選出穩定表達 DDK2 的 MC3T3-E1 細胞系。向過表達 DKK2 的 MC3T3-E1 細胞以及正常 MC3T3-E1 細胞分別轉染 miR-27a mimics 和 miR-27a NC,故實驗分成 4 組:DKK2(?)+miR-27a NC 組(陰性對照組)、DKK2(+)+miR-27a NC 組(DKK2 過表達組)、DKK2(?)+miR-27a mimics 組(miR-27a 過表達組)、DKK2(+)+miR-27a mimics 組(挽救組)。成骨誘導培養 14 d 同 1.4.2 方法行茜素紅染色,酶標儀測定 562 nm 波長下 A 值。
1.6 過表達 miR-27a 的 HUVECs 外泌體對大鼠 GC-ONFH 的影響
1.6.1 實驗分組及方法
取適應性喂養 1 周的 SD 大鼠 18 只,隨機分為正常對照組、模型組和干預組,每組 6 只。取模型組和干預組動物,按照文獻[29]方法制備大鼠 GC-ONFH 模型,正常對照組大鼠不造模。干預組于 GC 注射第 1 天同時開始每天尾靜脈注射過表達 miR-27a 的 HUVECs 外泌體 (100 μg/只)。模型組造模過程中不作特殊處理。造模過程中每只大鼠每天肌肉注射 10 萬 U 青霉素以防止感染發生,如動物死亡及時予以補充。
1.6.2 Micro-CT 觀測
造模后 4 周取大鼠雙側股骨頭,4% 多聚甲醛固定 24 h。取一側股骨頭行 Micro-CT 掃描,使用 Mimics Medical 21.0 軟件生成每組代表性樣品的橫截面和矢狀面。測量相對骨體積(bone?volume/tissue volume,BV/TV)、骨小梁厚度(trabecular?thickness,Tb.Th)、骨小梁數目(trabecular?number,Tb.N)和骨小梁分離度(trabecular?thickness,Tb.Sp)。
1.6.3 HE 染色觀察
取另一側股骨頭,用 10%EDTA 脫鈣 4 周(期間每 3 天更換 1 次脫鈣液)。石蠟包埋、切片(片厚 5 μm)、二甲苯梯度脫蠟、梯度乙醇水化、蒸餾水沖洗,常規行 HE 染色并觀察股骨頭組織形態。
1.7 統計學方法
采用 GraphPad Prism8 統計軟件進行分析。數據以均數±標準差表示,多組間比較采用單因素方差分析,兩兩比較采用 SNK 檢驗;兩組間比較采用獨立樣本 t 檢驗;檢驗水準 α=0.05。
2 結果
2.1 HUVECs 的轉染及相關觀測
光鏡觀察示,miR-27a NC 組與 miR-27a mimics 組的 HUVECs 形態一致,均呈鋪路狀鵝卵石樣且形態飽滿清晰(圖 1)。qRT-PCR 檢測示,miR-27a mimics 組 miR-27a mRNA 相對表達量為 254.037±19.576,顯著高于 miR-27a NC 組的 1.004±0.017,差異有統計學意義(t=22.390,P=0.002)。CCK-8 檢測示,miR-27a NC 組、miR-27a mimics 組及對照組轉染 24 h 時 A 值分別為 0.611±0.035、0.618±0.030、0.613±0.015,72 h 時分別為 1.953±0.240、1.994±0.186、1.913±0.130;3 組細胞活力隨培養時間延長均顯著增加,3 組間比較差異無統計學意義(P>0.05)。說明成功構建 miR-27a 過表達的 HUVECs。

a. miR-27a NC 組;b. miR-27a mimics 組
Figure1. Cell morphology observation at 36 hours after transfection (×100)a. miR-27a NC group; b. miR-27a mimics group
2.2 HUVECs 外泌體的提取及鑒定
透射電鏡觀察示,exo(miR-27a)組外泌體呈盤狀或杯狀(圖 2a),與文獻報道[12]一致。納米顆粒跟蹤分析表明,exo(miR-27a)組 90.62% 外泌體粒徑分布在 30~150 nm 范圍(圖 2b),與其他研究中外泌體粒徑參數[13]相似。Western blot 檢測示,exo(NC)組和 exo(miR-27a)組 CD9 和 Alix 蛋白表達均呈陽性,幾乎未見 Calnexin 蛋白表達;單純 HUVECs 則相反(圖 2c)。上述檢測結果說明外泌體提取成功。

a. exo(miR-27a)組透射電鏡觀察(×50 k) 箭頭示外泌體;b. exo(miR-27a)組納米顆粒跟蹤分析;c. Western blot 檢測 1:單純 HUVECs 2:exo(NC)組 3:exo(miR-27a)組
Figure2. Exosome identificationa. Transmission electron microscopy observation (×50 k) Arrow indicated exosome; b. Nanoparticle tracking analysis; c. Western blot assay 1: HUVECs 2: exo (NC) group 3: exo (miR-27a) group
qRT-PCR 檢測示,exo(miR-27a)組外泌體中 miR-27a mRNA 相對表達量為 26.560±1.498,顯著高于 exo(NC)組的 1.004±0.113,差異有統計學意義(t=29.470,P=0.001)。表明 miR-27a 過表達的 HUVECs 外泌體成功獲取。
2.3 過表達 miR-27a 的 HUVECs 外泌體對 MC3T3-E1 細胞成骨分化的影響
2.3.1 ALP 染色和茜素紅染色
EXO(NC)組、EXO(miR-27a)組和空白對照組 ALP 染色陽性面積百分比分別為 17.903%±1.343%、33.199%±2.305%,5.911%±1.639%,A 值分別為 4.051±0.255、8.729±0.432、1.789±0.221,EXO(NC)組和 EXO(miR-27a)組顯著高于空白對照組,EXO(miR-27a)組顯著高于 EXO(NC)組,差異均有統計學意義(P<0.05)。見圖 3。

從左至右依次為空白對照組、EXO(NC)組、EXO(miR-27a)組 a. ALP 染色;b. 茜素紅染色
Figure3. ALP staining and alizarin red staining observations in each group (×40)From left to right for blank control group, EXO (NC) group, EXO (miR-27a) group, respectively a. ALP staining; b. Alizarin red staining
2.3.2 qRT-PCR 檢測
EXO(miR-27a)組 MC3T3-E1 細胞中 miR-27a mRNA 相對表達量顯著高于 EXO(NC)組,差異有統計學意義(t=70.090,P=0.000)。表明 miR-27a 過表達的 HUVECs 外泌體將 miR-27a 成功遞送至 MC3T3-E1 細胞中。見圖 4a。

a. miR-27a;b. COL1A1;c. OCN;d. RUNX2
Figure4. qRT-PCR detection of related gene expressiona. miR-27a; b. COL1A1; c. OCN; d. RUNX2
成骨相關基因表達檢測示,EXO(miR-27a)組 OCN 和 COL1A1 mRNA 相對表達量顯著高于 EXO(NC)組和空白對照組,差異有統計學意義(P<0.05),EXO(NC)組和空白對照組間差異無統計學意義(P>0.05);EXO(miR-27a)組和 EXO(NC)組 RUNX2 mRNA 相對表達量顯著高于空白對照組,差異有統計學意義(P<0.05),EXO(miR-27a)組和 EXO(NC)組間差異無統計學意義(P>0.05)。見圖 4b~d。
2.4 miR-27a 是否通過靶向 DKK2 促進成骨分化
2.4.1 雙熒光素酶報告基因實驗及靶細胞內驗證實驗
雙熒光素酶報告基因實驗結果顯示,WT+miR-27a NC 組、WT+miR-27a mimics 組、MUT+miR-27a NC 組、MUT+miR-27a mimics 組的相對熒光強度分別為 98.111±2.239、57.715±2.594、100.288±2.621、106.527±3.029。提示 miR-27a mimics 可以抑制包含野生型 DKK2 3’UTR 的熒光素酶活性,但對包含突變型 DKK2 3’UTR 的熒光素酶活性無影響,表明 miR-27a 可以直接靶向 DDK2 基因的 3’UTR 區域發揮抑制作用。見圖 5。

藍色示野生型序列,紅色示突變型對應序列
Figure5. Sequence design of DLRTM assayBlue for wild-type sequences, red for mutant sequences
靶細胞內驗證實驗顯示,與 miR-27a NC 組比較,miR-27a inhibitor 組 DKK2 的 mRNA 和蛋白相對表達量顯著升高,miR-27a mimics 組顯著降低,差異均有統計學意義(P<0.05)。見圖 6。表明 miR-27a 在 MC3T3-E1 細胞內可以靶向 DDK2 并降低其表達水平。

a. 各組 DKK2 mRNA 相對表達量;b. 各組 DKK2 蛋白相對表達量;c. Western blot 電泳圖1:miR-27a NC 組 2:miR-27a inhibitor 組 3:miR-27a mimics 組
Figure6. Intracellular validation experiments on target cellsa. Relative expression of DKK2 mRNA in each group; b. Relative expression level of DKK2 protein in each group; c. Western blot electropherogram 1: miR-27a NC group 2: miR-27a inhibitor group 3: miR-27a mimics group
2.4.2 miR-27a 靶向 DKK2 對 MC3T3-E1 細胞礦化水平的影響
茜素紅染色示,DKK2 過表達組礦化結節數顯著降低,miR-27a mimics 組礦化結節數顯著增加,而兩者對礦化水平的影響可在一定程度上相互抵消。見圖 7。陰性對照組、DKK2 過表達組、miR-27a 過表達組、挽救組 A 值分別為 2.892±0.157、0.693±0.08、8.679±0.409、2.925±0.081,除陰性對照組和挽救組比較差異無統計學意義(P>0.05)外,其余各組間比較差異均有統計學意義(P<0.05)。

a. 陰性對照組;b. DKK2 過表達組; c. miR-27a 過表達組;d. 挽救組
Figure7. Alizarin red staining to observe the miR-27a targeting DKK2 affected the mineralization level of MC3T3-E1 cells (×40)a. Negative control group; b. DKK2 overexpression group; c. MiR-27a overexpression group; d. Rescue group2.5 過表達 miR-27a 的 HUVECs 外泌體對大鼠 GC-ONFH 的影響
2.5.1 Micro-CT 觀測
Micro-CT 觀察示,與正常對照組比較,模型組在股骨頭軟骨下區域觀察到更多骨質損失和囊性變,骨小梁變得稀疏且結構松散紊亂;而干預組上述情況均得到改善,但仍未達到正常對照組水平。見圖 8。定量分析示,模型組 BV/TV、Tb.Th、Tb.N 顯著低于正常對照組和干預組,Tb.Sp 顯著高于正常對照組和干預組,差異均有統計學意義(P<0.05)。見圖 9。

從左至右依次為正常對照組、模型組、干預組 a. 橫截面;b. 矢狀面
Figure8. Micro-CT observation of femoral head microstructure in each group of ratsFrom left to right for normal control group, model group, intervention group, respectively a. Cross-section; b. Sagittal plane

a. BV/TV;b. Tb.Th;c. Tb.N;d. Tb.Sp
Figure9. Micro-CT quantitative detection of the bone tissue parameters of femoral head in each group of ratsa. BV/TV; b. Tb.Th; c. Tb.N; d. Tb.Sp
2.5.2 HE 染色觀察
與正常對照組比較,模型組觀察到明顯骨壞死現象,表現為骨小梁結構紊亂,骨小梁周圍存在許多成纖維細胞,空骨陷窩增多,骨髓腔內充滿大量脂肪空泡,髓質造血細胞退化或壞死明顯。而干預組骨壞死程度較輕微,骨小梁雖然有僵化稀疏表現,但結構較完整,空骨陷窩形成較少,髓腔內脂肪空泡較少,造血系細胞輕度退化或壞死,但仍未達到正常對照組水平。見圖 10。

a. 正常對照組;b. 模型組;c. 干預組
Figure10. HE staining to observe the histomorphology of the femoral head in each group of rats (×100)a. Normal control group; b. Model group; c. Intervention group
3 討論
生物材料結合細胞療法是再生醫學的熱門研究方向[30-31],但部分生物材料的潛在毒性和慢性炎癥問題仍然存在[32],而細胞療法與腫瘤和栓塞形成密切相關[33],目前解決這些問題仍面臨巨大挑戰。因此適當做減法可能是另一個可行思路。外泌體作為天然納米級生物材料兼具優良生物活性,成為重點研究對象[34],在再生醫學中的治療作用已被廣泛驗證。如與誘導多能干細胞相比,其衍生的外泌體能更安全、有效地用于心肌梗死修復,人臍帶 MSCs 來源外泌體可通過激活自噬防止順鉑誘導的腎毒性,MSCs 來源外泌體可通過抑制肺血管重塑改善肺動脈高壓,以及巨噬細胞來源外泌體能促進神經再生等[35-38]。在骨再生領域外泌體同樣有重要作用,例如在轉染 miR-26a 的人 CD34+ 造血干細胞中提取的外泌體可促進 MSCs 成骨分化,攜帶 miR-122-5p 的 BMSCs 來源外泌體能促進 ONFH 中成骨細胞增殖,人前列腺癌細胞 PC-3 來源外泌體通過下調 miR-214 和阻斷 NF-κB 信號通路抑制破骨細胞成熟,HIF-1α 可增強 MSCs 衍生外泌體對 Jagged1 介導的骨組織血管再生等[39-42]。這些研究顯示,運用改性外泌體促進骨再生可能是保護 GC-ONFH 的可行策略[43]。因此本研究選擇將促進骨再生的 miR-27a 加載于內皮細胞來源外泌體,以應用于早期 GC-ONFH 的保護研究。
將治療性 microRNA 加載于外泌體主要包括源細胞的基因修飾和外泌體的直接加載(如混合、電穿孔或超聲干預)[44],由于后者效率不穩定,因此源細胞的基因修飾是主流選擇[45]。本研究通過 miR-27a mimics 修飾 HUVECs,最終獲得 miR-27a 過表達的外泌體;而 qRT-PCR 結果顯示,外泌體將 miR-27a 成功遞送至 MC3T3-E1 細胞中,表明將治療性 miR-27a 加載到外泌體并遞送至靶細胞的策略可行。據報道,在不同目的細胞中 miR-27a 可通過不同靶點來促進成骨分化,如肌細胞增強因子 2C(Mef2c)、Sp7 轉錄因子、分泌型卷曲相關蛋白 1(SFRP1)、WNT 信號通路 APC 調節劑和 PRDM16 等[26]。此外,miR-27a 通過靶向過氧化物酶體增殖物激活受體 γ(PPARγ)和 BMP 拮抗劑(GREM1)調節 MSCs 的成骨和成脂分化平衡,從而在類固醇誘導的 ONFH 大鼠模型中起治療作用[25]。本實驗表明,miR-27a 可以在體外促進成骨細胞前體細胞 MC3T3-E1 的成骨分化,過表達的 miR-27a 顯著增強 ALP 活性和鈣沉積以及成骨相關基因(RUNX2、COL1A1 和 OCN)的表達,這與其他報道一致。此外,本研究雙熒光素酶報道顯示 DKK2 為 miR-27a 的靶標;挽救實驗顯示,過表達 DKK2 可有效抵消(挽救)miR- 27a mimics 的促成骨作用,即 miR-27a 通過直接靶向 DKK2 來促進成骨。已知 Wnt 信號通路是骨骼形成的重要調節途徑,而 DKK2 是 Wnt 通路的天然拮抗劑[26, 46]。因此本研究結果表明,富含 miR-27a 的外泌體可以將 miR-27a 遞送至 MC3T3-E1 細胞,從而解除 DKK2 對 Wnt 通路的抑制作用來促進成骨。
很多研究表明血管生成促進成骨進程,而該過程中血管內皮細胞與成骨細胞的通訊至關重要[47-48],外泌體又是細胞間通訊的重要方式,因此可以推測血管內皮細胞來源外泌體在成骨過程中扮演了重要角色。故本實驗選擇 HUVECs 來源外泌體作為促成骨 miRNA 的載體,希望能達到更好的促成骨效果。體外實驗的 ALP 染色和茜素紅染色顯示,盡管單純 HUVECs 來源外泌體沒有 miR-27a 過表達的 HUVECs 外泌體效果顯著,但其在一定程度上也能促進 MC3T3-E1 細胞成骨,基本達到實驗預期。此外,有研究表明血管內皮細胞來源外泌體是高度生物相容性的骨靶向納米顆粒[21, 49],本研究的動物實驗結果也與之相符。通過尾靜脈注射外泌體的方式進行干預,HE 染色和 Micro-CT 檢測顯示 miR-27a 過表達的 HUVECs 來源外泌體緩解了大鼠 GC-ONFH 壞死程度,表現出一定保護作用。說明 miR-27a 過表達的 HUVECs 來源外泌體成功到達股骨頭損傷部位,展示出其可靶向骨損傷部位的良好應用前景。
綜上述,將 miR-27a 加載于血管內皮細胞來源外泌體顯示出良好的促成骨活性,并能一定程度緩解 GC-ONFH 進展,為外泌體的骨修復再生研究提供了一定參考。但仍有一些問題,如明確治療機制、進一步提高骨靶向性能的方案、miRNA 的選擇以及加載方式優化等,有待進一步研究明確。
作者貢獻:張根生、劉瑞宇、黨曉謙負責實驗設計、實施及文章撰寫;劉繼超、焦海斌負責數據收集整理、統計分析;焦海斌、黨曉謙負責對文章的知識性內容作批評性審閱。
利益沖突:所有作者聲明,在課題研究和文章撰寫過程中不存在利益沖突。課題經費支持沒有影響文章觀點和對研究數據客觀結果的統計分析及其報道。
機構倫理問題:研究方案經西安交通大學實驗動物中心倫理委員會批準(XJTULAC2019-1284)。實驗動物使用許可證號:SYXK(陜)-2020-005。