引用本文: 張宇雷, 李富平, 西信, 曾至立, 麻彬, 謝寧, 于研, 程黎明. 開放及微創經椎間孔入路椎間融合術后融合節段椎間隙高度及前凸恢復程度的比較研究. 中國修復重建外科雜志, 2020, 34(4): 422-427. doi: 10.7507/1002-1892.201910060 復制
對于保守治療無效的腰椎間盤退行性疾病,手術是治療金標準。其中,經椎間孔入路椎間融合術(transforaminal lumbar interbody fusion,TLIF)是目前國內應用較廣泛的腰椎術式之一[1-2],它可以分為開放手術(Open-TLIF)和微創手術(minimally invasive-TLIF,MIS-TLIF)。MIS-TLIF 因切口減小,減少了對椎旁肌組織的破壞,降低了手術出血及椎旁肌萎縮風險[3-5]。但是與 Open-TLIF 相比,MIS-TLIF 切口減小也限制了手術操作空間,對醫師能力要求更高,不僅手術時間延長、術中透視次數增加,也相對提高了手術風險。目前大多數研究報道 Open-TLIF 和 MIS-TLIF 早、中期療效相似[5-8],但兩種術式術后影像學改變是否存在差異及其對遠期療效的影響尚未明確。術后遠期可能出現鄰近節段退變等并發癥,一旦出現將影響患者生活質量,嚴重者需要再次手術,而且再次鄰近節段手術融合效果可能較首次手術差[9]。因此,對兩種術式術后腰椎影像學檢測指標進行比較具有重要意義。本研究以 2013 年 1 月—2016 年 2 月因腰椎退行性疾病于我院行 Open-TLIF 或 MIS-TLIF 治療患者為研究對象,測量手術前后椎間隙高度和前凸角并比較兩種術式間差異,以期為臨床選擇恰當術式提供參考。報告如下。
1 臨床資料
1.1 患者選擇標準
納入標準:① 年齡>18 歲;② 因癥狀性腰椎退行性疾病行單節段 MIS-TLIF 或 Open-TLIF 治療;③ 手術前后攝腰椎正側位 X 線片,X 線圖像 Dicom 格式資料完整且能被軟件識別;④ 隨訪 6 個月以上。排除標準:① 曾接受開放式腰椎融合術或非 TLIF 融合術,以及相鄰節段減壓或其他手術,如椎體成形術或棘突間植入裝置植入;② 存在腰椎畸形、感染、腫瘤和創傷。
2013 年 1 月—2016 年 2 月,共 300 例患者因腰椎退行性疾病于我院行 Open-TLIF 或 MIS-TLIF,其中 75 例患者符合選擇標準納入研究。41 例采用 Open-TLIF(Open-TLIF 組),34 例采用 MIS-TLIF(MIS-TLIF 組)。
1.2 一般資料
Open-TLIF 組:男 20 例,女 21 例;年齡 27~81 歲,平均 53.7 歲。體質量指數(25.53±3.55)kg/m2。疾病類型:腰椎管狹窄癥 30 例,腰椎間盤突出癥 11 例。病程 5~36 個月,平均 12.6 個月。病變節段:L3、4 5 例,L4、5 24 例,L5、S1 12 例。
MIS-TLIF 組:男 17 例,女 17 例;年齡 30~75 歲,平均 51.3 歲。體質量指數(26.36±3.35)kg/m2。疾病類型:腰椎管狹窄癥 25 例,腰椎間盤突出癥 9 例。病程 6~40 個月,平均 13.5 個月。病變節段:L1、2 1 例,L3、4 1 例,L4、5 15 例,L5、S1 17 例。
兩組患者性別、年齡、體質量指數、疾病類型、病程、病變節段等一般資料比較,差異均無統計學意義(P>0.05),具有可比性。
1.3 手術方法
本研究采用雙側減壓 Open-TLIF 和單側減壓 MIS-TLIF 手術。采用 CONCORDE Bullet PEEK(DePuy Spine 公司,美國)椎間融合器,以及鈦合金材料脊柱內固定系統(DePuy Spine 公司,美國),包括椎弓根螺釘、預彎鈦棒及螺塞。兩組手術均由同一醫師完成。患者均于全麻后取俯臥位,使用體位墊維持腰椎前凸。
1.3.1 MIS-TLIF
C 臂 X 線機透視下定位擬減壓融合節段上、下 4 個椎弓根,并作體表標記。標記同一椎體的 2 個椎弓根連線時,注意使該椎體上終板與 X 線平行;標記同側上、下 2 個椎弓根連線時,盡量使椎弓根在 X 線投照下成像呈圓形。然后,依次將穿刺針刺入 4 個椎弓根,拔出穿刺針、插入導針,于患側上、下椎弓根連線作長約 4 cm 小切口,依次切開皮膚、筋膜。鈍性分離椎旁肌至小關節突,插入 Spotlight 固定通道,接入冷光源后用電刀剝離椎旁肌,顯露椎弓根間椎間隙;切除纖維環并摘除髓核;清除椎間隙上、下軟骨板。將切下的小關節突作為植骨塊,部分植入椎間融合器內,余下部分植入椎間隙。將椎間融合器植入椎間隙。沿導針攻絲、擰入椎弓根螺釘,植入并固定、加壓椎弓根釘連桿。清洗創面并止血后,置負壓引流并縫合切口。
1.3.2 Open-TLIF
C 臂 X 線機透視下定位擬減壓融合節段,沿棘突正中方向作切口,依次切開皮膚、筋膜,于患側貼棘突側壁向下用電刀完整剝離椎旁肌肉至小關節突,椎板拉鉤牽開并固定,暴露小關節突及上、下椎體橫突以及上椎體椎板。用椎板咬骨鉗作椎板切除減壓,切除黃韌帶、小關節突;暴露椎體間隙,保護神經根及硬膜,充分顯露椎弓根間的椎間隙;切除纖維環并摘除髓核;清除椎間隙上、下軟骨板。將切下的小關節突作為植骨塊,部分植入椎間融合器內,余下部分植入椎間隙。將椎間融合器植入椎間隙,植入并固定、加壓椎弓根釘連桿。清洗創面并止血后,置負壓引流并縫合切口。
1.4 療效評價指標
影像學指標:于術前及術后 6 個月 X 線片,測量融合節段椎間隙前高度(anterior disc height,ADH)、椎間隙后高度(posterior disc height,PDH)、節段前凸角(segmental lordosis,SL)[10-12]。由 2 位脊柱外科醫師獨立測量 2 遍,取均值。計算 ADH、PDH、SL 手術前后差值。
臨床評價指標:術中出血量、住院時間,手術前后腰部、腿部疼痛視覺模擬評分(VAS)以及 Oswestry 功能障礙指數(ODI)。
1.5 統計學方法
采用 SPSS21.0 統計軟件進行分析。數據以均數±標準差表示;VAS 評分組內手術前后比較采用重復測量方差分析,兩兩比較采用 LSD 檢驗;ODI、ADH、PDH、SL 組內手術前后比較采用配對 t 檢驗;兩組間比較采用獨立樣本 t 檢驗;檢驗水準 α=0.05。
2 結果
兩組均順利完成手術。Open-TLIF 組術中出血量為(189.27±26.49)mL、住院時間為(9.27±1.67)d,MIS-TLIF 組分別為(95.59±28.94)mL、(5.74±1.31)d,差異均有統計學意義(t=14.619,P=0.000;t=10.021,P=0.000)。兩組術后切口均Ⅰ期愈合,無早期并發癥發生。
兩組患者均獲隨訪,隨訪時間 Open-TLIF 組為 6~24 個月,平均 12.6 個月;MIS-TLIF 組為 6~24 個月,平均 11.5 個月。兩組組內術后腰部及腿部 VAS 評分、ODI 與術前比較,差異均有統計學意義(P<0.05);術后 2 周及 6 個月時 VAS 評分比較差異亦有統計學意義(P<0.05)。手術前后兩組間腰部及腿部 VAS 評分以及 ODI 差異均無統計學意義(P>0.05)。見表 1。



術后影像學復查顯示椎間融合良好。兩組間術前及術后 6 個月 ADH、PDH、SL 比較,差異均無統計學意義(P>0.05);其中,Open-TLIF 組 ADH 及 SL 手術前后差值大于 MIS-TLIF 組,PDH 手術前后差值小于 MIS-TLIF 組,但差異均無統計學意義(P>0.05)。兩組組內術后 6 個月 ADH、PDH、SL 均較術前增加,差異有統計學意義(P<0.05)。見表 2 及圖 1、2。

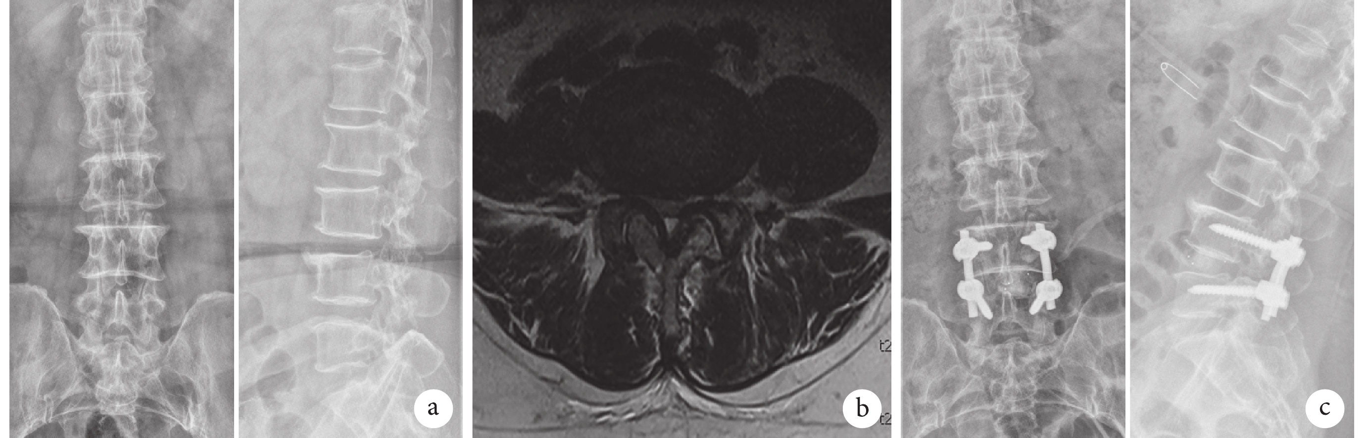
a. 術前正側位 X 線片;b. 術前 MRI;c. 術后 6 個月正側位 X 線片
Figure1. A 64-year-old female patient with lumbar spinal stenosis at L4, 5 in Open-TLIF groupa. Preoperative anteroposterior and lateral X-ray films; b. Preoperative MRI; c. Anteroposterior and lateral X-ray films at 6 months after operation




a. 術前正側位 X 線片;b. 術前 MRI;c. 術后 6 個月正側位 X 線片
Figure2. A 64-year-old female patient with lumbar spinal stenosis at L5, S1 in MIS-TLIF groupa. Preoperative anteroposterior and lateral X-ray films; b. Preoperative MRI; c. Anteroposterior and lateral X-ray films at 6 months after operation
3 討論
目前臨床普遍認為與 Open-TLIF 相比,MIS-TLIF 不僅能獲得相似療效,還具有較多優點,包括軟組織損傷較小、切口感染率更低、術中出血更少、術后疼痛程度輕、患者住院時間和恢復時間均縮短等[4-6, 13]。但是 MIS-TLIF 也存在不足之處,例如器械相關并發癥發生風險更高[14-17],包括椎間融合器錯位、神經根損傷、螺釘錯位、關節突關節損傷等;術中需多次透視[18],使患者和手術操作人員接受輻射劑量增加;對醫師手術能力要求更高,需要更長的學習時間[19]。
MIS-TLIF 及 Open-TLIF 雖然臨床效果相似[20],但是手術操作存在差異,這可能造成術后融合節段椎間隙高度和 SL 恢復程度存在差異。相比于 Open-TLIF,MIS-TLIF 切口小,切除組織量以及對肌肉破壞更少,但這可能增加釘棒加壓器械的操作難度,造成手術節段前凸恢復效果不理想。另外,相比于 Open-TLIF 打開責任節段雙側關節突關節,MIS-TLIF 常規只打開減壓側關節突關節,這可能增加撐開椎間隙的阻力,不利于恢復椎間隙高度。Pereira 等[10]及 Kim 等[12]的研究發現,MIS-TLIF 及 Open-TLIF 術后患者椎間隙高度均增加。本研究通過測量手術前后患者腰椎 X 線片,發現 Open-TLIF 組和 MIS-TLIF 組術后 ADH、PDH、SL 均較術前明顯增加,與上述研究結果一致。但在 Pereira 等[10]研究中,MIS-TLIF 術后融合節段 SL 與術前相比無明顯變化,他們認為是未切除雙側關節突關節及使用多軸螺釘導致。同時我們的研究發現兩種術式術后影像學改變差異并無統計學意義。
既往研究認為,與 Open-TLIF 相比,MIS-TLIF 具有降低鄰近節段退變風險的優勢[14],原因可能是 MIS-TLIF 對周圍軟組織及神經破壞小,術后椎旁肌發生萎縮的風險更小,更有利于脊柱穩定性的恢復。最近,有研究發現手術節段 SL 對整體脊柱矢狀序列平衡有影響,充分恢復椎間隙高度和 SL 有利于減少鄰近節段退變[21]。因此結合既往研究,我們認為 MIS-TLIF 可能需要在手術器械和操作方面進行改進,以利于恢復椎間隙高度和 SL。研究表明,MIS-TLIF 術中應用可擴張椎間融合器有利于恢復椎間隙高度和 SL[22-23],且不增加相關并發癥。目前研究認為 MIS-TLIF 術中切除雙側關節突關節對臨床結果無影響[24],因此術中可常規切除雙側關節突關節,以利于恢復椎間隙高度。此外,手術節段椎間隙高度及 SL 的恢復程度對術后康復及生物力學穩定性影響的研究較少,有待后續隨訪研究。
綜上述,Open-TLIF 和 MIS-TLIF 治療腰椎退行性疾病臨床療效及影像學改變相似,術后椎間隙高度和 SL 均較術前增加,但 MIS-TLIF 能明顯縮短患者住院時間和減少術中出血。
作者貢獻:張宇雷、李富平負責數據收集、整理及統計分析,文章撰寫等;西信、曾至立、麻彬、謝寧負責科研設計、既往研究成果收集;于研、程黎明負責文章整體設計與內容修改、審閱。
利益沖突:所有作者聲明,在課題研究和文章撰寫過程中不存在利益沖突。課題經費支持沒有影響文章觀點和對研究數據客觀結果的統計分析及其報道。
機構倫理問題:研究方案經同濟大學附屬同濟醫院倫理委員會批準[(同)倫審 K-2017-008]。
對于保守治療無效的腰椎間盤退行性疾病,手術是治療金標準。其中,經椎間孔入路椎間融合術(transforaminal lumbar interbody fusion,TLIF)是目前國內應用較廣泛的腰椎術式之一[1-2],它可以分為開放手術(Open-TLIF)和微創手術(minimally invasive-TLIF,MIS-TLIF)。MIS-TLIF 因切口減小,減少了對椎旁肌組織的破壞,降低了手術出血及椎旁肌萎縮風險[3-5]。但是與 Open-TLIF 相比,MIS-TLIF 切口減小也限制了手術操作空間,對醫師能力要求更高,不僅手術時間延長、術中透視次數增加,也相對提高了手術風險。目前大多數研究報道 Open-TLIF 和 MIS-TLIF 早、中期療效相似[5-8],但兩種術式術后影像學改變是否存在差異及其對遠期療效的影響尚未明確。術后遠期可能出現鄰近節段退變等并發癥,一旦出現將影響患者生活質量,嚴重者需要再次手術,而且再次鄰近節段手術融合效果可能較首次手術差[9]。因此,對兩種術式術后腰椎影像學檢測指標進行比較具有重要意義。本研究以 2013 年 1 月—2016 年 2 月因腰椎退行性疾病于我院行 Open-TLIF 或 MIS-TLIF 治療患者為研究對象,測量手術前后椎間隙高度和前凸角并比較兩種術式間差異,以期為臨床選擇恰當術式提供參考。報告如下。
1 臨床資料
1.1 患者選擇標準
納入標準:① 年齡>18 歲;② 因癥狀性腰椎退行性疾病行單節段 MIS-TLIF 或 Open-TLIF 治療;③ 手術前后攝腰椎正側位 X 線片,X 線圖像 Dicom 格式資料完整且能被軟件識別;④ 隨訪 6 個月以上。排除標準:① 曾接受開放式腰椎融合術或非 TLIF 融合術,以及相鄰節段減壓或其他手術,如椎體成形術或棘突間植入裝置植入;② 存在腰椎畸形、感染、腫瘤和創傷。
2013 年 1 月—2016 年 2 月,共 300 例患者因腰椎退行性疾病于我院行 Open-TLIF 或 MIS-TLIF,其中 75 例患者符合選擇標準納入研究。41 例采用 Open-TLIF(Open-TLIF 組),34 例采用 MIS-TLIF(MIS-TLIF 組)。
1.2 一般資料
Open-TLIF 組:男 20 例,女 21 例;年齡 27~81 歲,平均 53.7 歲。體質量指數(25.53±3.55)kg/m2。疾病類型:腰椎管狹窄癥 30 例,腰椎間盤突出癥 11 例。病程 5~36 個月,平均 12.6 個月。病變節段:L3、4 5 例,L4、5 24 例,L5、S1 12 例。
MIS-TLIF 組:男 17 例,女 17 例;年齡 30~75 歲,平均 51.3 歲。體質量指數(26.36±3.35)kg/m2。疾病類型:腰椎管狹窄癥 25 例,腰椎間盤突出癥 9 例。病程 6~40 個月,平均 13.5 個月。病變節段:L1、2 1 例,L3、4 1 例,L4、5 15 例,L5、S1 17 例。
兩組患者性別、年齡、體質量指數、疾病類型、病程、病變節段等一般資料比較,差異均無統計學意義(P>0.05),具有可比性。
1.3 手術方法
本研究采用雙側減壓 Open-TLIF 和單側減壓 MIS-TLIF 手術。采用 CONCORDE Bullet PEEK(DePuy Spine 公司,美國)椎間融合器,以及鈦合金材料脊柱內固定系統(DePuy Spine 公司,美國),包括椎弓根螺釘、預彎鈦棒及螺塞。兩組手術均由同一醫師完成。患者均于全麻后取俯臥位,使用體位墊維持腰椎前凸。
1.3.1 MIS-TLIF
C 臂 X 線機透視下定位擬減壓融合節段上、下 4 個椎弓根,并作體表標記。標記同一椎體的 2 個椎弓根連線時,注意使該椎體上終板與 X 線平行;標記同側上、下 2 個椎弓根連線時,盡量使椎弓根在 X 線投照下成像呈圓形。然后,依次將穿刺針刺入 4 個椎弓根,拔出穿刺針、插入導針,于患側上、下椎弓根連線作長約 4 cm 小切口,依次切開皮膚、筋膜。鈍性分離椎旁肌至小關節突,插入 Spotlight 固定通道,接入冷光源后用電刀剝離椎旁肌,顯露椎弓根間椎間隙;切除纖維環并摘除髓核;清除椎間隙上、下軟骨板。將切下的小關節突作為植骨塊,部分植入椎間融合器內,余下部分植入椎間隙。將椎間融合器植入椎間隙。沿導針攻絲、擰入椎弓根螺釘,植入并固定、加壓椎弓根釘連桿。清洗創面并止血后,置負壓引流并縫合切口。
1.3.2 Open-TLIF
C 臂 X 線機透視下定位擬減壓融合節段,沿棘突正中方向作切口,依次切開皮膚、筋膜,于患側貼棘突側壁向下用電刀完整剝離椎旁肌肉至小關節突,椎板拉鉤牽開并固定,暴露小關節突及上、下椎體橫突以及上椎體椎板。用椎板咬骨鉗作椎板切除減壓,切除黃韌帶、小關節突;暴露椎體間隙,保護神經根及硬膜,充分顯露椎弓根間的椎間隙;切除纖維環并摘除髓核;清除椎間隙上、下軟骨板。將切下的小關節突作為植骨塊,部分植入椎間融合器內,余下部分植入椎間隙。將椎間融合器植入椎間隙,植入并固定、加壓椎弓根釘連桿。清洗創面并止血后,置負壓引流并縫合切口。
1.4 療效評價指標
影像學指標:于術前及術后 6 個月 X 線片,測量融合節段椎間隙前高度(anterior disc height,ADH)、椎間隙后高度(posterior disc height,PDH)、節段前凸角(segmental lordosis,SL)[10-12]。由 2 位脊柱外科醫師獨立測量 2 遍,取均值。計算 ADH、PDH、SL 手術前后差值。
臨床評價指標:術中出血量、住院時間,手術前后腰部、腿部疼痛視覺模擬評分(VAS)以及 Oswestry 功能障礙指數(ODI)。
1.5 統計學方法
采用 SPSS21.0 統計軟件進行分析。數據以均數±標準差表示;VAS 評分組內手術前后比較采用重復測量方差分析,兩兩比較采用 LSD 檢驗;ODI、ADH、PDH、SL 組內手術前后比較采用配對 t 檢驗;兩組間比較采用獨立樣本 t 檢驗;檢驗水準 α=0.05。
2 結果
兩組均順利完成手術。Open-TLIF 組術中出血量為(189.27±26.49)mL、住院時間為(9.27±1.67)d,MIS-TLIF 組分別為(95.59±28.94)mL、(5.74±1.31)d,差異均有統計學意義(t=14.619,P=0.000;t=10.021,P=0.000)。兩組術后切口均Ⅰ期愈合,無早期并發癥發生。
兩組患者均獲隨訪,隨訪時間 Open-TLIF 組為 6~24 個月,平均 12.6 個月;MIS-TLIF 組為 6~24 個月,平均 11.5 個月。兩組組內術后腰部及腿部 VAS 評分、ODI 與術前比較,差異均有統計學意義(P<0.05);術后 2 周及 6 個月時 VAS 評分比較差異亦有統計學意義(P<0.05)。手術前后兩組間腰部及腿部 VAS 評分以及 ODI 差異均無統計學意義(P>0.05)。見表 1。



術后影像學復查顯示椎間融合良好。兩組間術前及術后 6 個月 ADH、PDH、SL 比較,差異均無統計學意義(P>0.05);其中,Open-TLIF 組 ADH 及 SL 手術前后差值大于 MIS-TLIF 組,PDH 手術前后差值小于 MIS-TLIF 組,但差異均無統計學意義(P>0.05)。兩組組內術后 6 個月 ADH、PDH、SL 均較術前增加,差異有統計學意義(P<0.05)。見表 2 及圖 1、2。

a. 術前正側位 X 線片;b. 術前 MRI;c. 術后 6 個月正側位 X 線片
Figure1. A 64-year-old female patient with lumbar spinal stenosis at L4, 5 in Open-TLIF groupa. Preoperative anteroposterior and lateral X-ray films; b. Preoperative MRI; c. Anteroposterior and lateral X-ray films at 6 months after operation




a. 術前正側位 X 線片;b. 術前 MRI;c. 術后 6 個月正側位 X 線片
Figure2. A 64-year-old female patient with lumbar spinal stenosis at L5, S1 in MIS-TLIF groupa. Preoperative anteroposterior and lateral X-ray films; b. Preoperative MRI; c. Anteroposterior and lateral X-ray films at 6 months after operation
3 討論
目前臨床普遍認為與 Open-TLIF 相比,MIS-TLIF 不僅能獲得相似療效,還具有較多優點,包括軟組織損傷較小、切口感染率更低、術中出血更少、術后疼痛程度輕、患者住院時間和恢復時間均縮短等[4-6, 13]。但是 MIS-TLIF 也存在不足之處,例如器械相關并發癥發生風險更高[14-17],包括椎間融合器錯位、神經根損傷、螺釘錯位、關節突關節損傷等;術中需多次透視[18],使患者和手術操作人員接受輻射劑量增加;對醫師手術能力要求更高,需要更長的學習時間[19]。
MIS-TLIF 及 Open-TLIF 雖然臨床效果相似[20],但是手術操作存在差異,這可能造成術后融合節段椎間隙高度和 SL 恢復程度存在差異。相比于 Open-TLIF,MIS-TLIF 切口小,切除組織量以及對肌肉破壞更少,但這可能增加釘棒加壓器械的操作難度,造成手術節段前凸恢復效果不理想。另外,相比于 Open-TLIF 打開責任節段雙側關節突關節,MIS-TLIF 常規只打開減壓側關節突關節,這可能增加撐開椎間隙的阻力,不利于恢復椎間隙高度。Pereira 等[10]及 Kim 等[12]的研究發現,MIS-TLIF 及 Open-TLIF 術后患者椎間隙高度均增加。本研究通過測量手術前后患者腰椎 X 線片,發現 Open-TLIF 組和 MIS-TLIF 組術后 ADH、PDH、SL 均較術前明顯增加,與上述研究結果一致。但在 Pereira 等[10]研究中,MIS-TLIF 術后融合節段 SL 與術前相比無明顯變化,他們認為是未切除雙側關節突關節及使用多軸螺釘導致。同時我們的研究發現兩種術式術后影像學改變差異并無統計學意義。
既往研究認為,與 Open-TLIF 相比,MIS-TLIF 具有降低鄰近節段退變風險的優勢[14],原因可能是 MIS-TLIF 對周圍軟組織及神經破壞小,術后椎旁肌發生萎縮的風險更小,更有利于脊柱穩定性的恢復。最近,有研究發現手術節段 SL 對整體脊柱矢狀序列平衡有影響,充分恢復椎間隙高度和 SL 有利于減少鄰近節段退變[21]。因此結合既往研究,我們認為 MIS-TLIF 可能需要在手術器械和操作方面進行改進,以利于恢復椎間隙高度和 SL。研究表明,MIS-TLIF 術中應用可擴張椎間融合器有利于恢復椎間隙高度和 SL[22-23],且不增加相關并發癥。目前研究認為 MIS-TLIF 術中切除雙側關節突關節對臨床結果無影響[24],因此術中可常規切除雙側關節突關節,以利于恢復椎間隙高度。此外,手術節段椎間隙高度及 SL 的恢復程度對術后康復及生物力學穩定性影響的研究較少,有待后續隨訪研究。
綜上述,Open-TLIF 和 MIS-TLIF 治療腰椎退行性疾病臨床療效及影像學改變相似,術后椎間隙高度和 SL 均較術前增加,但 MIS-TLIF 能明顯縮短患者住院時間和減少術中出血。
作者貢獻:張宇雷、李富平負責數據收集、整理及統計分析,文章撰寫等;西信、曾至立、麻彬、謝寧負責科研設計、既往研究成果收集;于研、程黎明負責文章整體設計與內容修改、審閱。
利益沖突:所有作者聲明,在課題研究和文章撰寫過程中不存在利益沖突。課題經費支持沒有影響文章觀點和對研究數據客觀結果的統計分析及其報道。
機構倫理問題:研究方案經同濟大學附屬同濟醫院倫理委員會批準[(同)倫審 K-2017-008]。