引用本文: 向超, 蔣科, 陳騫, 李毓靈, 柏翰林, 陳路. mini-Swashbuckler 入路治療股骨遠端C 型骨折的早期療效. 中國修復重建外科雜志, 2019, 33(9): 1127-1132. doi: 10.7507/1002-1892.201902073 復制
股骨遠端骨折通常指股骨遠端距離關節面 15 cm 左右處的骨折,約占全身骨折的 1%,占股骨骨折的 4%~7%[1]。多發于年輕男性及老年女性人群,呈雙峰分布。前者多因交通事故、高處墜落等高能量損傷導致,后者則因絕經后骨密度降低多由低能量創傷導致[2]。股骨遠端骨折 AO 分型主要分為 3 型,A 型為髁上、干骺端骨折,B 型為累及部分關節面骨折,C 型為累及整個關節面骨折[3]。
股骨遠端 C 型骨折多主張手術治療,解剖復位骨折塊并堅強內固定,以滿足患者能夠早期進行膝關節功能鍛煉,最大程度恢復膝關節功能的要求[4-5]。由于累及關節面,因此直視下解剖復位內固定仍是這類骨折治療的金標準[6]。目前臨床主要采用 Swashbuckler 入路來處理復雜的股骨遠端骨折[7-8],但該入路軟組織損傷較大。隨著對骨折治療認識的加深,軟組織保護越來越受到重視。Beltran 等[9]對 Swashbuckler 入路進行改良,稱為 mini-Swashbuckler 入路,該手術入路創傷相對較小,且不影響復位時關鍵解剖點的暴露。為明確該改良入路用于治療股骨遠端 C 型骨折的療效,我們對收治的患者臨床資料進行回顧分析,比較 mini-Swashbuckler 入路和 Swashbuckler 入路行股骨外側微創內固定系統(less invasive stabilization system,LISS)鋼板內固定治療的早期療效差異。報告如下。
1 臨床資料
1.1 患者選擇標準
納入標準:① 患者年齡>20 歲;② 單側股骨遠端 C 型閉合性骨折;③ 采用手術復位內固定治療,受傷至手術時間不超過 3 周;④ 術前患肢膝關節功能正常。排除標準:① 病理性骨折;② 合并同側肢體其他部位骨折;③ 患者臨床資料不全。2014 年 1 月—2018 年 6 月,共 43 例患者符合選擇標準納入研究,其中 22 例采用 mini-Swashbuckler 入路聯合股骨外側 LISS 鋼板治療(改良組),21 例采用 Swashbuckler 入路聯合股骨外側 LISS 鋼板治療(傳統組)。
1.2 一般資料
改良組:男 15 例,女 7 例;年齡 27~65 歲,平均 44.5 歲。致傷原因:交通事故傷 16 例,高處墜落傷 4 例,重物砸傷 2 例。左側 13 例,右側 9 例。骨折分型:C1 型 8 例,C2 型 10 例,C3 型 4 例。合并心腦血管疾病、內分泌疾病、呼吸系統疾病等慢性疾病 3 例。原發性骨質疏松癥 2 例。受傷至手術時間 3~15 d,平均 7.95 d。
傳統組:男 13 例,女 8 例;年齡 23~67 歲,平均 41.6 歲。致傷原因:交通事故傷 18 例,高處墜落傷 2 例,重物砸傷 1 例。左側 10 例,右側 11 例。骨折分型:C1 型 7 例,C2 型 11 例,C3 型 3 例。合并心腦血管疾病、內分泌疾病、呼吸系統疾病等慢性疾病 2 例。原發性骨質疏松癥 1 例,繼發甲狀旁腺功能亢進骨質疏松癥 1 例。受傷至手術時間 3~14 d,平均 7.52 d。
兩組患者年齡、性別、致傷原因、骨折分型、骨折側別、受傷至手術時間、合并癥等一般資料比較,差異均無統計學意義(P>0.05)。
1.3 術前準備
入院后兩組患者均行患肢脛骨結節牽引術,牽引質量為患者體質量 1/8。完善相關輔助檢查,對排除出血風險及下肢深靜脈血栓形成患者,常規使用下肢充氣靜脈泵聯合低分子肝素,預防下肢深靜脈血栓形成。傳統組 2 例周圍型下肢深靜脈血栓,改良組 1 例周圍型、1 例混合型下肢深靜脈血栓,于骨折手術前行下腔靜脈濾器植入術,并抗血栓治療。術前 1 d 停用抗凝藥物。皮下注射促紅細胞生成素進行圍術期紅細胞動員。常規使用 COX-2 抑制劑鎮痛,阿片類藥物補救鎮痛;預防性使用抗生素。同時請相關科室會診,積極治療基礎疾病。待患者病情穩定后手術。
1.4 手術方法
兩組手術均由同一治療組醫師完成。采用氣管插管全麻或持續硬膜外麻醉,患者取仰臥位,患側腘窩下棉墊墊高,使膝關節稍屈曲。
傳統組:在大腿前方骨折斷端處向遠端、經過髕骨外側作切口,切開股四頭肌筋膜,向外側銳性分開股四頭肌筋膜至與髂脛束融合處。切開外側髕旁支持帶,將其與股外側肌分開,切開外側髕旁關節囊顯露股骨髁,在股外側肌和股內側肌下放置拉鉤,使髕骨向內側移位,顯露股骨遠端關節面。清理骨折斷端血痂及淤血,直視下充分復位關節面,克氏針臨時固定骨折塊,使用空心埋頭拉力螺釘固定內、外側髁及后髁。膝關節屈曲狀態下牽引恢復股骨長度,糾正旋轉、成角、短縮畸形,于股骨外側肌肉下逆行插入 LISS 鋼板,透視復位及鋼板、螺釘位置滿意后進行鎖定。對于干骺端粉碎嚴重及股骨內側皮質缺損嚴重患者(本組 3 例),行同側自體髂骨移植術。沖洗切口,切口周圍注射氨甲環酸 2 g 及羅哌卡因 100 mg 混合液,放置引流管并夾閉,逐層關閉切口。見圖 1a。

a. 傳統組;b. 改良組
Figure1. Incision appearance and exposure during operation in the two groupsa. Traditional group; b. Modified group
改良組:于脛骨結節沿髕骨外側緣至髕骨外上角作切口,切口長度為 12~15 cm。銳性分離膝關節周圍皮瓣至髕韌帶,于髕腱脛骨止點外側,沿髕骨邊緣髕韌帶延伸至股外側肌肌腹,作一梯形切口,鈍性分離髕腱與髕后脂肪墊,切除髕后脂肪囊和滑囊至半月板水平,使髕韌帶脛骨結節止點松解,最后松解髕韌帶上方,使髕骨向內側移位。其余操作步驟同傳統組。本組 2 例行同側自體髂骨移植術。見圖 1b。
1.5 術后處理
兩組術后處理方法相同。患肢墊高,引流管夾閉 4 h 后行負壓引流,待引流量少于 20 mL(最長不超過 72 h)時拔除引流管。常規給予抗生素預防感染;術后第 1 天開始使用低分子肝素抗凝,直至出院;術后鎮痛方案同術前。術后第 1 天開始行股四頭肌等長收縮,拔除引流管后在 CPM 輔助下行被動膝關節屈伸活動(屈曲 30° 開始),術后 2~3 周開始患肢不負重功能鍛煉,每月復查 X 線片,待骨折線模糊后開始部分負重功能鍛煉。
1.6 療效評價指標
記錄兩組患者手術時間、術中失血量、術中透視次數、住院時間、骨折愈合時間及術后 3、6 個月膝關節功能美國特種外科醫院(HSS)評分。術中失血量計算公式:血容量×(術前紅細胞比容–術后紅細胞比容)+術中輸血量。記錄術后并發癥發生情況,包括切口感染、重要神經血管損傷、關節畸形、膝關節功能障礙、下肢深靜脈血栓形成、內固定物失效。
1.7 統計學方法
采用 SPSS23.0 統計軟件進行分析。計量資料以均數±標準差表示,組間比較采用獨立樣本 t 檢驗;計數資料以率表示,組間比較采用 χ2 檢驗或 Fisher 確切概率法;檢驗水準 α=0.05。
2 結果
兩組均順利完成手術,術中均無重要神經血管損傷。改良組手術時間較傳統組明顯延長,術中透視次數增加,失血量減少,差異均有統計學意義(P<0.05);兩組住院時間差異無統計學意義(t=0.277,P=0.783)。見表 1。兩組患者均獲隨訪,隨訪時間 6~8 個月,平均 7.2 個月。兩組骨折均愈合,愈合時間差異無統計學意義(t=0.861,P=0.394)。見表 1。傳統組 12 例、改良組 10 例患者于骨折愈合后取出內固定物。患者術后關節功能均逐漸恢復,改良組術后 3、6 個月 HSS 評分分別為(82.91±2.88)、(89.28±3.63)分,均優于傳統組的(74.62±3.64)、(81.48±4.55)分,差異均有統計學意義(t=8.306,P=0.000;t=6.231,P=0.000)。見圖 2。




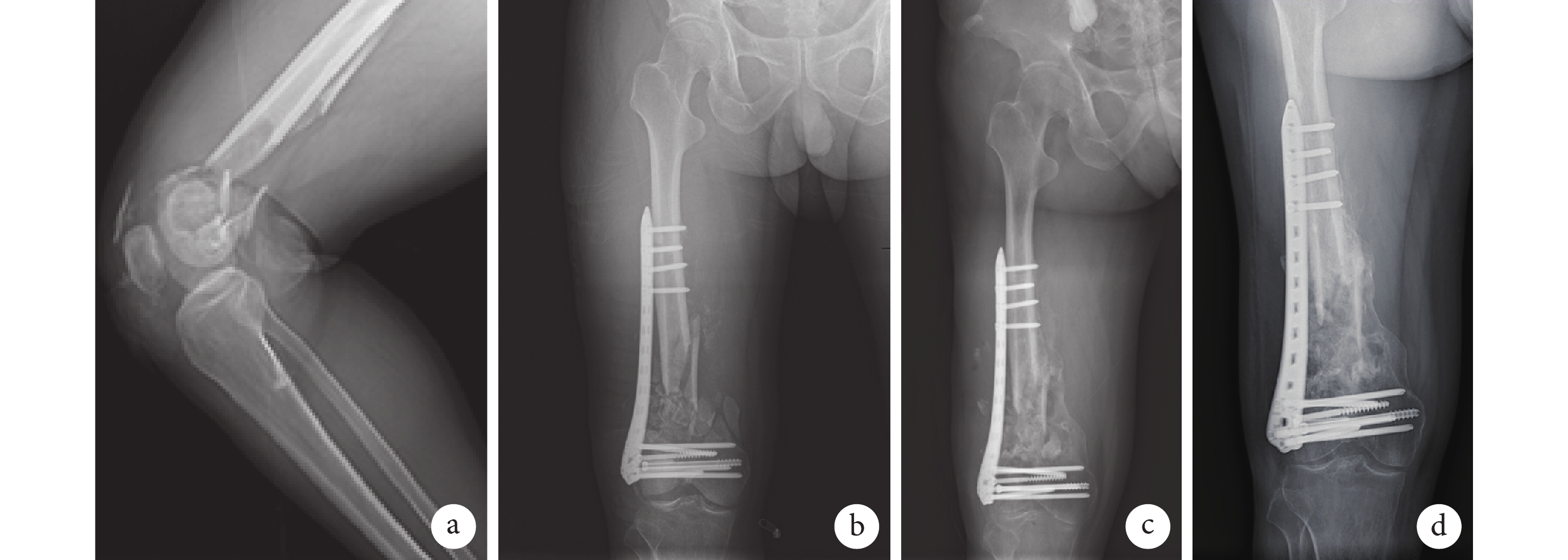
a. 術前;b. 術后第 3 天;c. 術后 3 個月;d. 術后 5 個月
Figure2. X-ray films of a 38-year-old male patient with right distal femoral type C3 fracturea. Before operation; b. At 3 days after operation; c. At 3 months after operation; d. At 5 months after operation
術后傳統組 1 例發生切口感染,經加強切口換藥、抗感染等治療后感染得到控制。兩組各 1 例發生下肢深靜脈血栓形成,患肢明顯腫脹,經過溶栓治療后癥狀好轉。改良組 1 例發生膝關節內翻畸形,行二期截骨矯形術。傳統組 2 例發生膝關節屈伸功能障礙,骨折愈合后取內固定物時行膝關節松解術,術后加強功能鍛煉,膝關節功能得到改善。改良組 1 例發生內固定物松動,該患者為重度骨質疏松,因骨折無明顯移位,未手術翻修,予外固定支具保護下行功能鍛煉及抗骨質疏松治療后骨折愈合。兩組上述并發癥發生率差異均無統計學意義(P=0.488;P=1.000;P=1.000;P=0.233;P=1.000)。
3 討論
股骨遠端骨折一直是臨床治療難點,尤其是累及關節面骨折,由于股骨遠端解剖結構復雜,術中暴露不充分會導致關節面復位困難,特別是累及內側髁及后髁骨折。同時,這類骨折往往伴有較嚴重軟組織損傷,而術中為充分暴露骨折斷端和關節面,會進一步加重軟組織損傷。軟組織損傷后瘢痕愈合會嚴重影響膝關節屈伸功能,存在致殘、致畸的風險[10-11]。因此,手術應力求在軟組織損傷最小情況下進行骨折塊解剖復位、堅強內固定,使患者能夠早期功能鍛煉、最大程度恢復膝關節功能。
3.1 手術入路探討
股骨遠端骨折經典手術入路為股骨遠端外側入路及前外側入路。其中,前外側入路是從股直肌與股外側肌間隙進入,鈍性剝離股中間肌,造成股中間肌撕裂,軟組織損傷較嚴重[12]。而外側入路是通過切開髂脛束經股外側肌進入,其關節面暴露面積有限,難以顯露內側髁及后髁。而良好顯露是骨折良好復位前提,復雜的股骨遠端骨折易殘留關節面不平整,導致術后創傷性骨關節炎發生風險高,因此外側入路僅用于簡單股骨遠端骨折。
Swashbuckler 入路為改良的前方入路,目前多用于復雜股骨遠端骨折的治療。該入路通過廣泛剝離,使得髁上、干骺端及關節面均有較好顯露,同時對伸膝結構損傷小,如后期患者因發生創傷性關節炎等并發癥必須進行關節置換術,該切口不影響置換術操作[8]。Khalil 等[13]應用 Swashbuckler 入路治療 9 例股骨遠端復雜關節內骨折,術后早期患者均進行功能鍛煉,獲得了較好療效。但是,Swashbuckler 入路由于剝離廣泛,軟組織損傷較重,不符合生物學內固定原則,臨床應用受到一定限制。為此,Beltran 等在其基礎上提出了 mini-Swashbuckler 入路,并通過尸體解剖測量關節面暴露面積,證實 mini-Swashbuckler 入路關節面暴露面積達 Swashbuckler 入路 80% 以上,關鍵解剖點均可顯露[9]。
我們術中比較發現,mini-Swashbuckler 入路雖然手術視野暴露不如 Swashbuckler 入路,但仍然可以直視整個關節面,在膝關節屈曲狀態下,由于術者視野可以移動,兩種入路暴露的關節面范圍無明顯差異,不影響關節面解剖復位。但對于股骨髁上顯露差,不能直視骨折斷端,由于骨折塊無需解剖復位,可通過LISS 鋼板采用橋接方式固定。因為LISS 鋼板根據股骨遠端解剖形態設計,不依靠鋼板與骨之間的摩擦力提供穩定,鋼板螺釘間具有成角穩定性,通過肌肉下建立通道、插入鋼板,通過導向器植入螺釘即可,因此無需過多暴露骨折斷端[14-15]。但需要術者熟練掌握間接復位技術,通過經皮鉗夾、撬撥等間接復位技術來復位骨折塊,糾正旋轉、成角及短縮畸形,一定程度增加了手術難度。
另外,對于股骨遠端骨折手術入路,如何既能減少軟組織及伸膝結構損傷,又不影響骨折復位,有學者還提出了其他改良入路。駱松等提出的新型股骨遠端前外側入路已獲得較好療效。該入路切口為 S 形設計,股四頭肌損傷小,關節面及股骨遠端均暴露良好,可直視下復位骨折,縫合切口后張力小,利于術后康復,患者術后膝關節功能得到了較好恢復[16-17]。
3.2 術后膝關節功能恢復的探討
由于 mini-Swashbuckler 入路切口小、軟組織損傷小,術中及術后失血量相對于 Swashbuckler 入路明顯減少。因此,患者術后能較早拔除引流管,更早地進行膝關節功能鍛煉。而且關節腔積血機化后會引起關節內粘連,影響膝關節功能,減少失血量可以一定程度減少關節腔內粘連。同時,失血多也意味著術后出現貧血的風險增加,而圍術期貧血會增加術后感染風險、延緩術后康復、增加致殘率和死亡風險[18]。有研究證明術后血紅蛋白水平與患者生活質量成正相關[19]。
Swashbuckler 入路雖然對股四頭肌肌腹損傷小,但切開了股四頭肌肌腱、剝離股中間肌。股四頭肌是伸膝裝置中最重要結構,切開后的修復主要依靠彈性較差的瘢痕組織,因而導致股四頭肌與周圍結構及骨折斷端形成瘢痕粘連,加上術后膝關節長時間處于伸直位,進而造成股四頭肌攣縮,嚴重限制伸膝結構滑動,使膝關節活動受限[20-22]。而 mini-Swashbuckler 入路是通過松解髕韌帶以及切除部分脂肪墊使髕骨向內側移位以暴露關節面,對股四頭肌損傷較小,因而術后瘢痕粘連相對較輕,為術后膝關節功能恢復奠定了解剖學基礎。本研究兩組患者術后膝關節功能均逐漸恢復,但改良組術后關節功能評分均顯著優于傳統組。
3.3 術后并發癥探討
骨折愈合離不開良好的軟組織條件,mini-Swashbuckler 入路軟組織損傷小,骨折部位血供破壞小,理論上有利于骨折愈合,本研究改良組骨折愈合時間較傳統組縮短,但差異無統計學意義。
雖然 mini-Swashbuckler 軟組織損傷小,不影響關節面暴露及復位,有利于術后膝關節功能恢復,但由于不能較好的顯露股骨髁上,不能直視下復位髁上骨折塊,增加了復位難度,導致手術時間延長和透視次數增加。長時間暴露會增加切口感染風險,本次研究兩組術后感染差異無統計學意義,可能與樣本量小有關,有待擴大樣本量進行比較分析。
另外,由于股骨髁上骨折斷端暴露不充分,通過間接復位骨折,存在術后骨折畸形愈合風險,因而該手術入路對術者經驗要求更高,并需要選擇合適的手術器械。本研究兩組關節畸形等并發癥發生無統計學差異,下肢深靜脈血栓形成、內固定物松動、膝關節障礙等并發癥差異也無統計學意義。
綜上述,mini-Swashbuckler 入路切口小,在不影響復位關節面關鍵解剖點暴露同時,對膝關節韌帶及肌肉的損傷較少,有利于患者術后康復,其聯合 LISS 鋼板在治療股骨遠端骨折術后早期療效方面顯示出一定優勢,但是對術者及手術器械要求較高。此外,本研究隨訪時間短,樣本量小且存在一定偏倚,術后遠期并發癥發生情況及膝關節功能恢復,均有待擴大樣本量進一步隨訪。
作者貢獻:向超負責數據統計分析及論文寫作;蔣科負責手術實施;陳騫協助論文寫作;李毓靈協助手術實施;柏翰林負責病例收集;陳路負責課題設計及具體實施,指導論文寫作。
利益沖突:所有作者聲明,在課題研究和文章撰寫過程中不存在利益沖突。基金項目經費支持沒有影響文章觀點和對研究數據客觀結果的統計分析及其報道。
機構倫理問題:研究方案經川北醫學院附屬醫院醫學倫理委員會審查批準[2017ER(A)034]。
股骨遠端骨折通常指股骨遠端距離關節面 15 cm 左右處的骨折,約占全身骨折的 1%,占股骨骨折的 4%~7%[1]。多發于年輕男性及老年女性人群,呈雙峰分布。前者多因交通事故、高處墜落等高能量損傷導致,后者則因絕經后骨密度降低多由低能量創傷導致[2]。股骨遠端骨折 AO 分型主要分為 3 型,A 型為髁上、干骺端骨折,B 型為累及部分關節面骨折,C 型為累及整個關節面骨折[3]。
股骨遠端 C 型骨折多主張手術治療,解剖復位骨折塊并堅強內固定,以滿足患者能夠早期進行膝關節功能鍛煉,最大程度恢復膝關節功能的要求[4-5]。由于累及關節面,因此直視下解剖復位內固定仍是這類骨折治療的金標準[6]。目前臨床主要采用 Swashbuckler 入路來處理復雜的股骨遠端骨折[7-8],但該入路軟組織損傷較大。隨著對骨折治療認識的加深,軟組織保護越來越受到重視。Beltran 等[9]對 Swashbuckler 入路進行改良,稱為 mini-Swashbuckler 入路,該手術入路創傷相對較小,且不影響復位時關鍵解剖點的暴露。為明確該改良入路用于治療股骨遠端 C 型骨折的療效,我們對收治的患者臨床資料進行回顧分析,比較 mini-Swashbuckler 入路和 Swashbuckler 入路行股骨外側微創內固定系統(less invasive stabilization system,LISS)鋼板內固定治療的早期療效差異。報告如下。
1 臨床資料
1.1 患者選擇標準
納入標準:① 患者年齡>20 歲;② 單側股骨遠端 C 型閉合性骨折;③ 采用手術復位內固定治療,受傷至手術時間不超過 3 周;④ 術前患肢膝關節功能正常。排除標準:① 病理性骨折;② 合并同側肢體其他部位骨折;③ 患者臨床資料不全。2014 年 1 月—2018 年 6 月,共 43 例患者符合選擇標準納入研究,其中 22 例采用 mini-Swashbuckler 入路聯合股骨外側 LISS 鋼板治療(改良組),21 例采用 Swashbuckler 入路聯合股骨外側 LISS 鋼板治療(傳統組)。
1.2 一般資料
改良組:男 15 例,女 7 例;年齡 27~65 歲,平均 44.5 歲。致傷原因:交通事故傷 16 例,高處墜落傷 4 例,重物砸傷 2 例。左側 13 例,右側 9 例。骨折分型:C1 型 8 例,C2 型 10 例,C3 型 4 例。合并心腦血管疾病、內分泌疾病、呼吸系統疾病等慢性疾病 3 例。原發性骨質疏松癥 2 例。受傷至手術時間 3~15 d,平均 7.95 d。
傳統組:男 13 例,女 8 例;年齡 23~67 歲,平均 41.6 歲。致傷原因:交通事故傷 18 例,高處墜落傷 2 例,重物砸傷 1 例。左側 10 例,右側 11 例。骨折分型:C1 型 7 例,C2 型 11 例,C3 型 3 例。合并心腦血管疾病、內分泌疾病、呼吸系統疾病等慢性疾病 2 例。原發性骨質疏松癥 1 例,繼發甲狀旁腺功能亢進骨質疏松癥 1 例。受傷至手術時間 3~14 d,平均 7.52 d。
兩組患者年齡、性別、致傷原因、骨折分型、骨折側別、受傷至手術時間、合并癥等一般資料比較,差異均無統計學意義(P>0.05)。
1.3 術前準備
入院后兩組患者均行患肢脛骨結節牽引術,牽引質量為患者體質量 1/8。完善相關輔助檢查,對排除出血風險及下肢深靜脈血栓形成患者,常規使用下肢充氣靜脈泵聯合低分子肝素,預防下肢深靜脈血栓形成。傳統組 2 例周圍型下肢深靜脈血栓,改良組 1 例周圍型、1 例混合型下肢深靜脈血栓,于骨折手術前行下腔靜脈濾器植入術,并抗血栓治療。術前 1 d 停用抗凝藥物。皮下注射促紅細胞生成素進行圍術期紅細胞動員。常規使用 COX-2 抑制劑鎮痛,阿片類藥物補救鎮痛;預防性使用抗生素。同時請相關科室會診,積極治療基礎疾病。待患者病情穩定后手術。
1.4 手術方法
兩組手術均由同一治療組醫師完成。采用氣管插管全麻或持續硬膜外麻醉,患者取仰臥位,患側腘窩下棉墊墊高,使膝關節稍屈曲。
傳統組:在大腿前方骨折斷端處向遠端、經過髕骨外側作切口,切開股四頭肌筋膜,向外側銳性分開股四頭肌筋膜至與髂脛束融合處。切開外側髕旁支持帶,將其與股外側肌分開,切開外側髕旁關節囊顯露股骨髁,在股外側肌和股內側肌下放置拉鉤,使髕骨向內側移位,顯露股骨遠端關節面。清理骨折斷端血痂及淤血,直視下充分復位關節面,克氏針臨時固定骨折塊,使用空心埋頭拉力螺釘固定內、外側髁及后髁。膝關節屈曲狀態下牽引恢復股骨長度,糾正旋轉、成角、短縮畸形,于股骨外側肌肉下逆行插入 LISS 鋼板,透視復位及鋼板、螺釘位置滿意后進行鎖定。對于干骺端粉碎嚴重及股骨內側皮質缺損嚴重患者(本組 3 例),行同側自體髂骨移植術。沖洗切口,切口周圍注射氨甲環酸 2 g 及羅哌卡因 100 mg 混合液,放置引流管并夾閉,逐層關閉切口。見圖 1a。

a. 傳統組;b. 改良組
Figure1. Incision appearance and exposure during operation in the two groupsa. Traditional group; b. Modified group
改良組:于脛骨結節沿髕骨外側緣至髕骨外上角作切口,切口長度為 12~15 cm。銳性分離膝關節周圍皮瓣至髕韌帶,于髕腱脛骨止點外側,沿髕骨邊緣髕韌帶延伸至股外側肌肌腹,作一梯形切口,鈍性分離髕腱與髕后脂肪墊,切除髕后脂肪囊和滑囊至半月板水平,使髕韌帶脛骨結節止點松解,最后松解髕韌帶上方,使髕骨向內側移位。其余操作步驟同傳統組。本組 2 例行同側自體髂骨移植術。見圖 1b。
1.5 術后處理
兩組術后處理方法相同。患肢墊高,引流管夾閉 4 h 后行負壓引流,待引流量少于 20 mL(最長不超過 72 h)時拔除引流管。常規給予抗生素預防感染;術后第 1 天開始使用低分子肝素抗凝,直至出院;術后鎮痛方案同術前。術后第 1 天開始行股四頭肌等長收縮,拔除引流管后在 CPM 輔助下行被動膝關節屈伸活動(屈曲 30° 開始),術后 2~3 周開始患肢不負重功能鍛煉,每月復查 X 線片,待骨折線模糊后開始部分負重功能鍛煉。
1.6 療效評價指標
記錄兩組患者手術時間、術中失血量、術中透視次數、住院時間、骨折愈合時間及術后 3、6 個月膝關節功能美國特種外科醫院(HSS)評分。術中失血量計算公式:血容量×(術前紅細胞比容–術后紅細胞比容)+術中輸血量。記錄術后并發癥發生情況,包括切口感染、重要神經血管損傷、關節畸形、膝關節功能障礙、下肢深靜脈血栓形成、內固定物失效。
1.7 統計學方法
采用 SPSS23.0 統計軟件進行分析。計量資料以均數±標準差表示,組間比較采用獨立樣本 t 檢驗;計數資料以率表示,組間比較采用 χ2 檢驗或 Fisher 確切概率法;檢驗水準 α=0.05。
2 結果
兩組均順利完成手術,術中均無重要神經血管損傷。改良組手術時間較傳統組明顯延長,術中透視次數增加,失血量減少,差異均有統計學意義(P<0.05);兩組住院時間差異無統計學意義(t=0.277,P=0.783)。見表 1。兩組患者均獲隨訪,隨訪時間 6~8 個月,平均 7.2 個月。兩組骨折均愈合,愈合時間差異無統計學意義(t=0.861,P=0.394)。見表 1。傳統組 12 例、改良組 10 例患者于骨折愈合后取出內固定物。患者術后關節功能均逐漸恢復,改良組術后 3、6 個月 HSS 評分分別為(82.91±2.88)、(89.28±3.63)分,均優于傳統組的(74.62±3.64)、(81.48±4.55)分,差異均有統計學意義(t=8.306,P=0.000;t=6.231,P=0.000)。見圖 2。




a. 術前;b. 術后第 3 天;c. 術后 3 個月;d. 術后 5 個月
Figure2. X-ray films of a 38-year-old male patient with right distal femoral type C3 fracturea. Before operation; b. At 3 days after operation; c. At 3 months after operation; d. At 5 months after operation
術后傳統組 1 例發生切口感染,經加強切口換藥、抗感染等治療后感染得到控制。兩組各 1 例發生下肢深靜脈血栓形成,患肢明顯腫脹,經過溶栓治療后癥狀好轉。改良組 1 例發生膝關節內翻畸形,行二期截骨矯形術。傳統組 2 例發生膝關節屈伸功能障礙,骨折愈合后取內固定物時行膝關節松解術,術后加強功能鍛煉,膝關節功能得到改善。改良組 1 例發生內固定物松動,該患者為重度骨質疏松,因骨折無明顯移位,未手術翻修,予外固定支具保護下行功能鍛煉及抗骨質疏松治療后骨折愈合。兩組上述并發癥發生率差異均無統計學意義(P=0.488;P=1.000;P=1.000;P=0.233;P=1.000)。
3 討論
股骨遠端骨折一直是臨床治療難點,尤其是累及關節面骨折,由于股骨遠端解剖結構復雜,術中暴露不充分會導致關節面復位困難,特別是累及內側髁及后髁骨折。同時,這類骨折往往伴有較嚴重軟組織損傷,而術中為充分暴露骨折斷端和關節面,會進一步加重軟組織損傷。軟組織損傷后瘢痕愈合會嚴重影響膝關節屈伸功能,存在致殘、致畸的風險[10-11]。因此,手術應力求在軟組織損傷最小情況下進行骨折塊解剖復位、堅強內固定,使患者能夠早期功能鍛煉、最大程度恢復膝關節功能。
3.1 手術入路探討
股骨遠端骨折經典手術入路為股骨遠端外側入路及前外側入路。其中,前外側入路是從股直肌與股外側肌間隙進入,鈍性剝離股中間肌,造成股中間肌撕裂,軟組織損傷較嚴重[12]。而外側入路是通過切開髂脛束經股外側肌進入,其關節面暴露面積有限,難以顯露內側髁及后髁。而良好顯露是骨折良好復位前提,復雜的股骨遠端骨折易殘留關節面不平整,導致術后創傷性骨關節炎發生風險高,因此外側入路僅用于簡單股骨遠端骨折。
Swashbuckler 入路為改良的前方入路,目前多用于復雜股骨遠端骨折的治療。該入路通過廣泛剝離,使得髁上、干骺端及關節面均有較好顯露,同時對伸膝結構損傷小,如后期患者因發生創傷性關節炎等并發癥必須進行關節置換術,該切口不影響置換術操作[8]。Khalil 等[13]應用 Swashbuckler 入路治療 9 例股骨遠端復雜關節內骨折,術后早期患者均進行功能鍛煉,獲得了較好療效。但是,Swashbuckler 入路由于剝離廣泛,軟組織損傷較重,不符合生物學內固定原則,臨床應用受到一定限制。為此,Beltran 等在其基礎上提出了 mini-Swashbuckler 入路,并通過尸體解剖測量關節面暴露面積,證實 mini-Swashbuckler 入路關節面暴露面積達 Swashbuckler 入路 80% 以上,關鍵解剖點均可顯露[9]。
我們術中比較發現,mini-Swashbuckler 入路雖然手術視野暴露不如 Swashbuckler 入路,但仍然可以直視整個關節面,在膝關節屈曲狀態下,由于術者視野可以移動,兩種入路暴露的關節面范圍無明顯差異,不影響關節面解剖復位。但對于股骨髁上顯露差,不能直視骨折斷端,由于骨折塊無需解剖復位,可通過LISS 鋼板采用橋接方式固定。因為LISS 鋼板根據股骨遠端解剖形態設計,不依靠鋼板與骨之間的摩擦力提供穩定,鋼板螺釘間具有成角穩定性,通過肌肉下建立通道、插入鋼板,通過導向器植入螺釘即可,因此無需過多暴露骨折斷端[14-15]。但需要術者熟練掌握間接復位技術,通過經皮鉗夾、撬撥等間接復位技術來復位骨折塊,糾正旋轉、成角及短縮畸形,一定程度增加了手術難度。
另外,對于股骨遠端骨折手術入路,如何既能減少軟組織及伸膝結構損傷,又不影響骨折復位,有學者還提出了其他改良入路。駱松等提出的新型股骨遠端前外側入路已獲得較好療效。該入路切口為 S 形設計,股四頭肌損傷小,關節面及股骨遠端均暴露良好,可直視下復位骨折,縫合切口后張力小,利于術后康復,患者術后膝關節功能得到了較好恢復[16-17]。
3.2 術后膝關節功能恢復的探討
由于 mini-Swashbuckler 入路切口小、軟組織損傷小,術中及術后失血量相對于 Swashbuckler 入路明顯減少。因此,患者術后能較早拔除引流管,更早地進行膝關節功能鍛煉。而且關節腔積血機化后會引起關節內粘連,影響膝關節功能,減少失血量可以一定程度減少關節腔內粘連。同時,失血多也意味著術后出現貧血的風險增加,而圍術期貧血會增加術后感染風險、延緩術后康復、增加致殘率和死亡風險[18]。有研究證明術后血紅蛋白水平與患者生活質量成正相關[19]。
Swashbuckler 入路雖然對股四頭肌肌腹損傷小,但切開了股四頭肌肌腱、剝離股中間肌。股四頭肌是伸膝裝置中最重要結構,切開后的修復主要依靠彈性較差的瘢痕組織,因而導致股四頭肌與周圍結構及骨折斷端形成瘢痕粘連,加上術后膝關節長時間處于伸直位,進而造成股四頭肌攣縮,嚴重限制伸膝結構滑動,使膝關節活動受限[20-22]。而 mini-Swashbuckler 入路是通過松解髕韌帶以及切除部分脂肪墊使髕骨向內側移位以暴露關節面,對股四頭肌損傷較小,因而術后瘢痕粘連相對較輕,為術后膝關節功能恢復奠定了解剖學基礎。本研究兩組患者術后膝關節功能均逐漸恢復,但改良組術后關節功能評分均顯著優于傳統組。
3.3 術后并發癥探討
骨折愈合離不開良好的軟組織條件,mini-Swashbuckler 入路軟組織損傷小,骨折部位血供破壞小,理論上有利于骨折愈合,本研究改良組骨折愈合時間較傳統組縮短,但差異無統計學意義。
雖然 mini-Swashbuckler 軟組織損傷小,不影響關節面暴露及復位,有利于術后膝關節功能恢復,但由于不能較好的顯露股骨髁上,不能直視下復位髁上骨折塊,增加了復位難度,導致手術時間延長和透視次數增加。長時間暴露會增加切口感染風險,本次研究兩組術后感染差異無統計學意義,可能與樣本量小有關,有待擴大樣本量進行比較分析。
另外,由于股骨髁上骨折斷端暴露不充分,通過間接復位骨折,存在術后骨折畸形愈合風險,因而該手術入路對術者經驗要求更高,并需要選擇合適的手術器械。本研究兩組關節畸形等并發癥發生無統計學差異,下肢深靜脈血栓形成、內固定物松動、膝關節障礙等并發癥差異也無統計學意義。
綜上述,mini-Swashbuckler 入路切口小,在不影響復位關節面關鍵解剖點暴露同時,對膝關節韌帶及肌肉的損傷較少,有利于患者術后康復,其聯合 LISS 鋼板在治療股骨遠端骨折術后早期療效方面顯示出一定優勢,但是對術者及手術器械要求較高。此外,本研究隨訪時間短,樣本量小且存在一定偏倚,術后遠期并發癥發生情況及膝關節功能恢復,均有待擴大樣本量進一步隨訪。
作者貢獻:向超負責數據統計分析及論文寫作;蔣科負責手術實施;陳騫協助論文寫作;李毓靈協助手術實施;柏翰林負責病例收集;陳路負責課題設計及具體實施,指導論文寫作。
利益沖突:所有作者聲明,在課題研究和文章撰寫過程中不存在利益沖突。基金項目經費支持沒有影響文章觀點和對研究數據客觀結果的統計分析及其報道。
機構倫理問題:研究方案經川北醫學院附屬醫院醫學倫理委員會審查批準[2017ER(A)034]。