引用本文: 肖強, 李金龍, 周凱, 陵廷賢, 周宗科, 沈彬, 楊靜, 康鵬德, 裴福興. 終末期腎病患者行人工全髖關節置換術的安全性與有效性分析. 中國修復重建外科雜志, 2017, 31(12): 1418-1422. doi: 10.7507/1002-1892.201707106 復制
慢性腎臟病(chronic kidney disease,CKD)是目前嚴重危害人類健康的疾病之一,截止 2012 年我國 18 歲以上成年人中 CKD 患病率約為 10.8%,其中約有 2% 患者發展為終末期腎病(end stage renal disease,ESRD),需進行透析或腎移植治療[1]。隨著血液凈化及腎移植技術的進步,ESRD 患者的生命得以延長,但腎性骨病及腎移植后免疫抑制劑和激素使用導致的骨壞死嚴重影響患者生活質量,ESRD 患者行人工髖關節置換術比例明顯高于普通人群[2-4]。此外,ESRD 患者心血管疾病及糖尿病等慢性疾病的患病率也高于普通人群[5],人工關節置換手術風險相對增加,圍手術期處理復雜。文獻報道腎功能不全和透析是人工關節置換術后發生感染和翻修的危險因素[6-7]。為探討 ESRD 患者行人工全髖關節置換術(total hip arthroplasty,THA)的安全性和有效性,我們選取 2009 年 12 月—2016 年 5 月于四川大學華西醫院骨科接受 THA 的 28 例 ESRD 患者作為觀察對象,并以 1∶1 配對選擇行 THA 且腎功能正常患者進行對照研究。報告如下。
1 臨床資料
1.1 患者選擇標準
ESRD 患者納入標準:① 初次 THA;② 透析(移植術后)時間>1 年且病情平穩。排除標準:① 美國麻醉醫師協會(ASA)分級 Ⅲ 級以上;② 急性腎衰竭患者;③ 腹膜透析患者;④ 體內有活動性感染灶患者。2009 年 12 月—2016 年 5 月,28 例(30 髖)ESRD 患者納入研究(ESRD 組),其中腎移植患者 10 例(12 髖)、透析患者 18 例(18 髖)。
對照患者(對照組)配對條件為同期手術(手術時間±3 個月)、由同一組醫師進行關節置換、使用相同類型假體(非骨水泥型)、性別相同、年齡相近(±3 歲)、ASA 分級相同,但未合并CKD。
1.2 一般資料
ESRD 組:男 20 例,女 8 例;年齡 25~71 歲,平均 52.4 歲。單髖 26 例,左髖 9 例、右髖 17 例;雙髖 2 例。股骨頭缺血性壞死 16 例(18 髖),髖關節原發性骨關節炎 5 例(5 髖),髖關節發育不良繼發骨關節炎 2 例(2 髖),髖關節類風濕性關節炎 1 例(1 髖),股骨頸骨折 3 例(3 髖),髖關節創傷性骨關節炎 1 例(1 髖)。透析患者術前透析時間為 3.1~9.4 年,平均 6.04 年。移植患者移植手術至本次入院時間為 1.3~6.1 年,平均 3.44 年。ASA 分級 Ⅱ 級 25 例,Ⅲ 級 3 例。術前髖關節 Harris 評分為(43.9±13.1)分,血紅蛋白(hemoglobin,Hb)為(125.7±21.2)g/L。合并 2 型糖尿病 4 例,高血壓 14 例,心臟相關疾病 5 例,貧血 11 例。
對照組:男 20 例,女 8 例;年齡 28~69 歲,平均 53.6 歲。單髖 26 例,左髖 13 例、右髖 13 例;雙髖 2 例。股骨頭缺血性壞死 14 例(15 髖),髖關節原發性骨關節炎 6 例(6 髖),髖關節發育不良繼發骨關節炎 3 例(4 髖),髖關節類風濕性關節炎 1 例(1 髖),股骨頸骨折 4 例(4 髖)。ASA 分級 Ⅱ 級 25 例,Ⅲ 級 3 例。術前髖關節 Harris 評分為(48.8±10.4)分,Hb 為(133.2±10.9)g/L。合并 2 型糖尿病 3 例,高血壓 9 例,心臟相關疾病 3 例,貧血 1 例。
兩組患者性別、年齡、髖關節側別、ASA 分級以及術前 Harris 評分、Hb 比較,差異均無統計學意義(P>0.05)。
1.3 圍手術期處理及手術方法
ESRD 組:腎移植患者術前維持原免疫抑制治療方案,并監測血藥濃度。透析患者術前 1 d 行有肝素血液透析,術后第 2 天開始隔天 1 次無肝素血液透析。積極控制合并疾病,高血壓患者給予鈣離子拮抗劑和血管緊張素轉換酶抑制劑,控制收縮壓<140 mm Hg(1 mm Hg=0.133 kPa)。貧血患者給予人類重組紅細胞生成素和多糖鐵復合物,術前 Hb<70 g/L 患者同時給予少量紅細胞懸液,Hb 為 70~100 g/L 患者視全身情況決定是否輸血。術前請麻醉科及腎內科會診評估手術風險,并根據其他合并疾病情況請相關科室會診。選用腎毒性較小的二代頭孢抗生素預防切口感染。入院后即指導患者行患肢屈髖、直腿抬高、外展功能鍛煉及咳嗽鍛煉肺功能。全麻下,采用后外側入路行常規 THA。術中常規安置尿管,維持血壓穩定,視出血情況行自體血回輸和引流管放置。術后第 1 天患者可扶拐下地行走,常規監測生命體征,避免低血壓,記錄患者每小時尿量、24 h 出入量,維持每小時尿量>50 mL,術后 24 h 內拔除尿管和引流管,必要時延長留置尿管時間。對照組:除腎臟疾病以外的合并疾病處理、手術方法及康復鍛煉,均與 ESRD 組相同,但術中不安置尿管。
1.4 觀測指標
記錄兩組患者住院期間并發癥、Hb 變化值、圍手術期輸血率、住院時間、住院費用、出院后 90 d 內再入院患者例數,ESRD 組透析患者記錄肌酐變化情況。術后 1、2、3、6 個月定期隨訪,之后每半年隨訪 1 次,隨訪內容包括 X 線片(假體周圍感染、假體無菌性松動)、髖關節 Harris 評分及隨訪期間死亡事件。
1.5 統計學方法
采用 SPSS22.0 統計軟件進行分析。計量資料以均數±標準差表示,組內手術前后比較采用配對 t 檢驗,組間比較采用獨立樣本 t 檢驗;計數資料采用百分比表示,組間比較采用 χ2 檢驗;檢驗水準 α=0.05。
2 結果
術后兩組患者均獲隨訪;ESRD 組隨訪時間 1.0~7.4 年,平均 3.4 年;對照組隨訪時間 1.0~7.4 年,平均 3.5 年。ESRD 組住院時間為(11.2±4.0)d,對照組為(9.9±3.6)d,組間比較差異無統計學意義(t=1.271,P=0.209)。ESRD 組住院費用為(61 491.4±5 106.9)元,相比于對照組的(55 162.3±6 081.3)元明顯增高,比較差異有統計學意義(t=4.303,P=0.000)。ESRD 組出院時 Hb 為(102.2±18.0)g/L,對照組為(105.7±11.6)g/L,比較差異無統計學意義(t=–0.874,P=0.386);ESRD 組出院時 Hb 較術前下降(23.5±16.6)g/L,對照組下降(27.5±10.6)g/L,組間比較差異無統計學意義(t=–1.095,P=0.278);但 ESRD 組圍手術期輸血率(28.6%)明顯高于對照組(3.6%),比較差異有統計學意義(χ2=4.766,P=0.029)。ESRD 組透析患者術前肌酐(650.0±137.8)μmol /L,出院時(589.8±89.4)μmol /L,比較差異無統計學意義(t=1.084,P=0.089)。末次隨訪,ESRD 組 Harris 評分為(89.0±5.3)分,對照組為(90.3±4.6)分,兩組評分均明顯高于術前(t=–19.004,P=0.000;t=–25.028,P=0.000);ESRD 組末次隨訪時Harris 評分較術前增加(45.2±13.0)分,對照組增加(41.5±8.8)分,兩組間比較差異無統計學意義(t=1.278,P=0.207)。
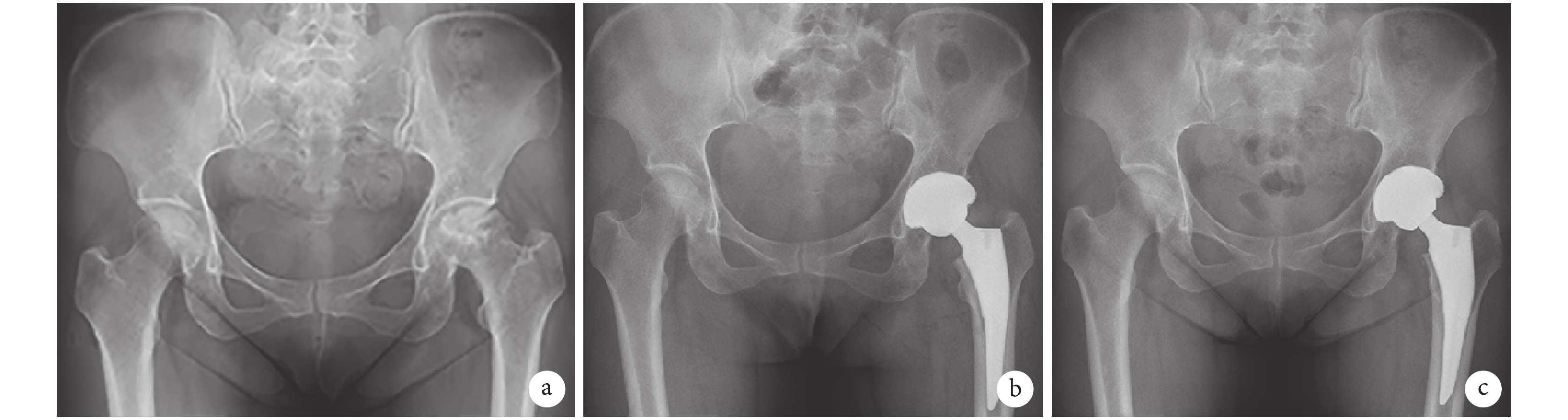
ESRD 組:住院期間出現心力衰竭加重 1 例,給予利尿、控制血壓、限制液體入量后病情好轉,出院至心內科門診繼續隨訪治療;肺部感染 1 例,急性上呼吸道感染 1 例,均經抗感染治療后痊愈;下肢深靜脈血栓形成 2 例,抗凝治療后痊愈;出院 20 d 后 1 例因出現切口淺表感染再次入院,給予引流、紅外線烤燈治療及切口換藥后痊愈。住院期間無死亡患者,隨訪期間透析患者死亡 2 例,分別為術后 3 年死于肺癌、術后 2.5 年死于肺部感染并發呼吸衰竭。對照組:住院期間出現肺部感染和下肢深靜脈血栓形成 1 例,經抗感染和抗凝治療后痊愈,無出院后 90 d 內再入院患者,隨訪期間無死亡患者。隨訪期間兩組患者均未出現假體松動及假體周圍感染,假體位置良好,假體周圍未見透光線。見圖 1。

a. 術前; b. 術后即刻;c. 術后 3.8 年
Figure1. X-ray films of 44-year-old female patient with left femoral head necrosis in ESRD groupa. Before operation; b. At immediate after operation; c. At 3.8 years after operation
3 討論
3.1 圍手術期并發癥
文獻報道,腎移植及 CKD 患者人工關節置換術圍手術期發生急性腎功能不全、下肢深靜脈血栓形成、切口感染、心臟相關并發癥及呼吸系統并發癥風險明顯增加,并認為圍手術期并發癥的發生與手術應激、腎毒性藥物的使用、免疫抑制劑的使用及合并糖尿病和心臟疾病等多方面原因有關[7-12]。圍手術期并發癥會延長此類患者住院時間[13]。故圍手術期應盡量避免使用腎臟毒性藥物;術前應全面評估患者全身情況,選擇腎病病情平穩患者,對于 ASA 分級超過Ⅲ級患者不考慮手術;患者入院后即應積極控制糖尿病和高血壓等合并疾病,維持圍手術期血壓、血糖平穩,但應避免低血壓導致的腎臟灌注不足;術中操作應輕柔、迅速;術后應規律監測患者腎臟功能、電解質及液體出入量,以早期發現病情變化并及時處理;術后盡早開始功能鍛煉和下地活動,對改善患者心肺功能,預防心臟、呼吸系統并發癥和下肢深靜脈血栓形成具有重要意義。此外,有學者認為腎移植患者行人工關節置換術的安全性比未進行腎移植的 CKD 患者高,并建議等待腎移植的 CKD 患者進行腎移植后再行人工關節置換術[6, 14]。
3.2 輸血率
Augustin 等[15]的一項病例對照研究顯示,CKD 患者的輸血率(55.6%)高于對照組(22.7%),該作者認為 CKD 組的高輸血率與術前貧血、圍手術期失血量及較高的心血管疾病比例等因素有關。同樣地,Lizaur-Utrilla 等[11]和 Cavanaugh 等[14]也得出了類似的研究結果。本病例對照研究結果顯示,ESRD 組輸血率(28.6%)高于對照組(3.6%)。圍手術期重組人紅細胞生成素及鐵劑的使用有助于提升 Hb 水平[16],氨甲環酸的使用可減少圍手術期失血[17]。此外,手術技巧、術中自體血回輸、術后冰敷及加壓包扎等均有利于降低輸血率[18]。
3.3 再入院率及死亡率
本研究 ESRD 組中有 1 例患者出院后 20 d 因切口淺表感染再入院,住院期間兩組均未出現死亡事件,ESRD 組隨訪期間出現 2 例與手術無關的死亡事件。文獻報道[19],CKD、糖尿病、貧血及充血性心力衰竭均是增加 THA 術后再入院率的危險因素,而 CKD 患者中后 3 種疾病患病率較高。ESRD 組再入院患者系出院后切口護理不當,提示良好的出院教育及出院后長期規律門診隨訪可降低再入院風險。Cavanaugh 等[14]及 Ponnusamy 等[20]指出接受人工關節置換術的透析患者住院期間死亡率明顯高于腎功能正常患者,考慮這與透析患者合并疾病較多、體質更差有關。本研究 ESRD 組未出現住院期間死亡患者,住院期間相關學科聯合診治及上述合理的圍手術期處理可降低手術風險及住院期間患者死亡率。
3.4 遠期并發癥
Erkocak 等[21]發現透析患者中假體周圍感染發生率高達 8%。此前對于腎移植和透析患者 THA 的文獻回顧也指出,此類患者發生假體周圍感染、無菌性松動和翻修的風險更大[22]。至末次隨訪時,本研究兩組均無假體周圍感染及假體松動發生。術前嚴格排除體內存在活動性感染灶的患者,手術過程中嚴格無菌操作、良好的手術技巧,術后針對可能引起感染的情況預防用藥均能降低感染風險;術中選用合適種類、型號的假體以及骨質疏松的預防和治療可減少無菌性松動的發生。
本研究為回顧性、描述性研究,樣本量小,循證等級低。此外,因樣本量較小,未對腎移植患者和透析患者進行分組比較。而且本研究結果只能代表至隨訪終點時各觀察指標的情況,更遠期的結果仍需繼續隨訪。
綜上述,本研究結果顯示,ESRD 患者行 THA 可以改善關節功能,提高生活質量,但手術風險、圍手術期并發癥、輸血率及醫療費用較高,術前需與患者及家屬充分溝通。經正確術前評估和個體化圍手術期處理,ESRD 患者可安全度過圍手術期。
慢性腎臟病(chronic kidney disease,CKD)是目前嚴重危害人類健康的疾病之一,截止 2012 年我國 18 歲以上成年人中 CKD 患病率約為 10.8%,其中約有 2% 患者發展為終末期腎病(end stage renal disease,ESRD),需進行透析或腎移植治療[1]。隨著血液凈化及腎移植技術的進步,ESRD 患者的生命得以延長,但腎性骨病及腎移植后免疫抑制劑和激素使用導致的骨壞死嚴重影響患者生活質量,ESRD 患者行人工髖關節置換術比例明顯高于普通人群[2-4]。此外,ESRD 患者心血管疾病及糖尿病等慢性疾病的患病率也高于普通人群[5],人工關節置換手術風險相對增加,圍手術期處理復雜。文獻報道腎功能不全和透析是人工關節置換術后發生感染和翻修的危險因素[6-7]。為探討 ESRD 患者行人工全髖關節置換術(total hip arthroplasty,THA)的安全性和有效性,我們選取 2009 年 12 月—2016 年 5 月于四川大學華西醫院骨科接受 THA 的 28 例 ESRD 患者作為觀察對象,并以 1∶1 配對選擇行 THA 且腎功能正常患者進行對照研究。報告如下。
1 臨床資料
1.1 患者選擇標準
ESRD 患者納入標準:① 初次 THA;② 透析(移植術后)時間>1 年且病情平穩。排除標準:① 美國麻醉醫師協會(ASA)分級 Ⅲ 級以上;② 急性腎衰竭患者;③ 腹膜透析患者;④ 體內有活動性感染灶患者。2009 年 12 月—2016 年 5 月,28 例(30 髖)ESRD 患者納入研究(ESRD 組),其中腎移植患者 10 例(12 髖)、透析患者 18 例(18 髖)。
對照患者(對照組)配對條件為同期手術(手術時間±3 個月)、由同一組醫師進行關節置換、使用相同類型假體(非骨水泥型)、性別相同、年齡相近(±3 歲)、ASA 分級相同,但未合并CKD。
1.2 一般資料
ESRD 組:男 20 例,女 8 例;年齡 25~71 歲,平均 52.4 歲。單髖 26 例,左髖 9 例、右髖 17 例;雙髖 2 例。股骨頭缺血性壞死 16 例(18 髖),髖關節原發性骨關節炎 5 例(5 髖),髖關節發育不良繼發骨關節炎 2 例(2 髖),髖關節類風濕性關節炎 1 例(1 髖),股骨頸骨折 3 例(3 髖),髖關節創傷性骨關節炎 1 例(1 髖)。透析患者術前透析時間為 3.1~9.4 年,平均 6.04 年。移植患者移植手術至本次入院時間為 1.3~6.1 年,平均 3.44 年。ASA 分級 Ⅱ 級 25 例,Ⅲ 級 3 例。術前髖關節 Harris 評分為(43.9±13.1)分,血紅蛋白(hemoglobin,Hb)為(125.7±21.2)g/L。合并 2 型糖尿病 4 例,高血壓 14 例,心臟相關疾病 5 例,貧血 11 例。
對照組:男 20 例,女 8 例;年齡 28~69 歲,平均 53.6 歲。單髖 26 例,左髖 13 例、右髖 13 例;雙髖 2 例。股骨頭缺血性壞死 14 例(15 髖),髖關節原發性骨關節炎 6 例(6 髖),髖關節發育不良繼發骨關節炎 3 例(4 髖),髖關節類風濕性關節炎 1 例(1 髖),股骨頸骨折 4 例(4 髖)。ASA 分級 Ⅱ 級 25 例,Ⅲ 級 3 例。術前髖關節 Harris 評分為(48.8±10.4)分,Hb 為(133.2±10.9)g/L。合并 2 型糖尿病 3 例,高血壓 9 例,心臟相關疾病 3 例,貧血 1 例。
兩組患者性別、年齡、髖關節側別、ASA 分級以及術前 Harris 評分、Hb 比較,差異均無統計學意義(P>0.05)。
1.3 圍手術期處理及手術方法
ESRD 組:腎移植患者術前維持原免疫抑制治療方案,并監測血藥濃度。透析患者術前 1 d 行有肝素血液透析,術后第 2 天開始隔天 1 次無肝素血液透析。積極控制合并疾病,高血壓患者給予鈣離子拮抗劑和血管緊張素轉換酶抑制劑,控制收縮壓<140 mm Hg(1 mm Hg=0.133 kPa)。貧血患者給予人類重組紅細胞生成素和多糖鐵復合物,術前 Hb<70 g/L 患者同時給予少量紅細胞懸液,Hb 為 70~100 g/L 患者視全身情況決定是否輸血。術前請麻醉科及腎內科會診評估手術風險,并根據其他合并疾病情況請相關科室會診。選用腎毒性較小的二代頭孢抗生素預防切口感染。入院后即指導患者行患肢屈髖、直腿抬高、外展功能鍛煉及咳嗽鍛煉肺功能。全麻下,采用后外側入路行常規 THA。術中常規安置尿管,維持血壓穩定,視出血情況行自體血回輸和引流管放置。術后第 1 天患者可扶拐下地行走,常規監測生命體征,避免低血壓,記錄患者每小時尿量、24 h 出入量,維持每小時尿量>50 mL,術后 24 h 內拔除尿管和引流管,必要時延長留置尿管時間。對照組:除腎臟疾病以外的合并疾病處理、手術方法及康復鍛煉,均與 ESRD 組相同,但術中不安置尿管。
1.4 觀測指標
記錄兩組患者住院期間并發癥、Hb 變化值、圍手術期輸血率、住院時間、住院費用、出院后 90 d 內再入院患者例數,ESRD 組透析患者記錄肌酐變化情況。術后 1、2、3、6 個月定期隨訪,之后每半年隨訪 1 次,隨訪內容包括 X 線片(假體周圍感染、假體無菌性松動)、髖關節 Harris 評分及隨訪期間死亡事件。
1.5 統計學方法
采用 SPSS22.0 統計軟件進行分析。計量資料以均數±標準差表示,組內手術前后比較采用配對 t 檢驗,組間比較采用獨立樣本 t 檢驗;計數資料采用百分比表示,組間比較采用 χ2 檢驗;檢驗水準 α=0.05。
2 結果
術后兩組患者均獲隨訪;ESRD 組隨訪時間 1.0~7.4 年,平均 3.4 年;對照組隨訪時間 1.0~7.4 年,平均 3.5 年。ESRD 組住院時間為(11.2±4.0)d,對照組為(9.9±3.6)d,組間比較差異無統計學意義(t=1.271,P=0.209)。ESRD 組住院費用為(61 491.4±5 106.9)元,相比于對照組的(55 162.3±6 081.3)元明顯增高,比較差異有統計學意義(t=4.303,P=0.000)。ESRD 組出院時 Hb 為(102.2±18.0)g/L,對照組為(105.7±11.6)g/L,比較差異無統計學意義(t=–0.874,P=0.386);ESRD 組出院時 Hb 較術前下降(23.5±16.6)g/L,對照組下降(27.5±10.6)g/L,組間比較差異無統計學意義(t=–1.095,P=0.278);但 ESRD 組圍手術期輸血率(28.6%)明顯高于對照組(3.6%),比較差異有統計學意義(χ2=4.766,P=0.029)。ESRD 組透析患者術前肌酐(650.0±137.8)μmol /L,出院時(589.8±89.4)μmol /L,比較差異無統計學意義(t=1.084,P=0.089)。末次隨訪,ESRD 組 Harris 評分為(89.0±5.3)分,對照組為(90.3±4.6)分,兩組評分均明顯高于術前(t=–19.004,P=0.000;t=–25.028,P=0.000);ESRD 組末次隨訪時Harris 評分較術前增加(45.2±13.0)分,對照組增加(41.5±8.8)分,兩組間比較差異無統計學意義(t=1.278,P=0.207)。
ESRD 組:住院期間出現心力衰竭加重 1 例,給予利尿、控制血壓、限制液體入量后病情好轉,出院至心內科門診繼續隨訪治療;肺部感染 1 例,急性上呼吸道感染 1 例,均經抗感染治療后痊愈;下肢深靜脈血栓形成 2 例,抗凝治療后痊愈;出院 20 d 后 1 例因出現切口淺表感染再次入院,給予引流、紅外線烤燈治療及切口換藥后痊愈。住院期間無死亡患者,隨訪期間透析患者死亡 2 例,分別為術后 3 年死于肺癌、術后 2.5 年死于肺部感染并發呼吸衰竭。對照組:住院期間出現肺部感染和下肢深靜脈血栓形成 1 例,經抗感染和抗凝治療后痊愈,無出院后 90 d 內再入院患者,隨訪期間無死亡患者。隨訪期間兩組患者均未出現假體松動及假體周圍感染,假體位置良好,假體周圍未見透光線。見圖 1。

a. 術前; b. 術后即刻;c. 術后 3.8 年
Figure1. X-ray films of 44-year-old female patient with left femoral head necrosis in ESRD groupa. Before operation; b. At immediate after operation; c. At 3.8 years after operation
3 討論
3.1 圍手術期并發癥
文獻報道,腎移植及 CKD 患者人工關節置換術圍手術期發生急性腎功能不全、下肢深靜脈血栓形成、切口感染、心臟相關并發癥及呼吸系統并發癥風險明顯增加,并認為圍手術期并發癥的發生與手術應激、腎毒性藥物的使用、免疫抑制劑的使用及合并糖尿病和心臟疾病等多方面原因有關[7-12]。圍手術期并發癥會延長此類患者住院時間[13]。故圍手術期應盡量避免使用腎臟毒性藥物;術前應全面評估患者全身情況,選擇腎病病情平穩患者,對于 ASA 分級超過Ⅲ級患者不考慮手術;患者入院后即應積極控制糖尿病和高血壓等合并疾病,維持圍手術期血壓、血糖平穩,但應避免低血壓導致的腎臟灌注不足;術中操作應輕柔、迅速;術后應規律監測患者腎臟功能、電解質及液體出入量,以早期發現病情變化并及時處理;術后盡早開始功能鍛煉和下地活動,對改善患者心肺功能,預防心臟、呼吸系統并發癥和下肢深靜脈血栓形成具有重要意義。此外,有學者認為腎移植患者行人工關節置換術的安全性比未進行腎移植的 CKD 患者高,并建議等待腎移植的 CKD 患者進行腎移植后再行人工關節置換術[6, 14]。
3.2 輸血率
Augustin 等[15]的一項病例對照研究顯示,CKD 患者的輸血率(55.6%)高于對照組(22.7%),該作者認為 CKD 組的高輸血率與術前貧血、圍手術期失血量及較高的心血管疾病比例等因素有關。同樣地,Lizaur-Utrilla 等[11]和 Cavanaugh 等[14]也得出了類似的研究結果。本病例對照研究結果顯示,ESRD 組輸血率(28.6%)高于對照組(3.6%)。圍手術期重組人紅細胞生成素及鐵劑的使用有助于提升 Hb 水平[16],氨甲環酸的使用可減少圍手術期失血[17]。此外,手術技巧、術中自體血回輸、術后冰敷及加壓包扎等均有利于降低輸血率[18]。
3.3 再入院率及死亡率
本研究 ESRD 組中有 1 例患者出院后 20 d 因切口淺表感染再入院,住院期間兩組均未出現死亡事件,ESRD 組隨訪期間出現 2 例與手術無關的死亡事件。文獻報道[19],CKD、糖尿病、貧血及充血性心力衰竭均是增加 THA 術后再入院率的危險因素,而 CKD 患者中后 3 種疾病患病率較高。ESRD 組再入院患者系出院后切口護理不當,提示良好的出院教育及出院后長期規律門診隨訪可降低再入院風險。Cavanaugh 等[14]及 Ponnusamy 等[20]指出接受人工關節置換術的透析患者住院期間死亡率明顯高于腎功能正常患者,考慮這與透析患者合并疾病較多、體質更差有關。本研究 ESRD 組未出現住院期間死亡患者,住院期間相關學科聯合診治及上述合理的圍手術期處理可降低手術風險及住院期間患者死亡率。
3.4 遠期并發癥
Erkocak 等[21]發現透析患者中假體周圍感染發生率高達 8%。此前對于腎移植和透析患者 THA 的文獻回顧也指出,此類患者發生假體周圍感染、無菌性松動和翻修的風險更大[22]。至末次隨訪時,本研究兩組均無假體周圍感染及假體松動發生。術前嚴格排除體內存在活動性感染灶的患者,手術過程中嚴格無菌操作、良好的手術技巧,術后針對可能引起感染的情況預防用藥均能降低感染風險;術中選用合適種類、型號的假體以及骨質疏松的預防和治療可減少無菌性松動的發生。
本研究為回顧性、描述性研究,樣本量小,循證等級低。此外,因樣本量較小,未對腎移植患者和透析患者進行分組比較。而且本研究結果只能代表至隨訪終點時各觀察指標的情況,更遠期的結果仍需繼續隨訪。
綜上述,本研究結果顯示,ESRD 患者行 THA 可以改善關節功能,提高生活質量,但手術風險、圍手術期并發癥、輸血率及醫療費用較高,術前需與患者及家屬充分溝通。經正確術前評估和個體化圍手術期處理,ESRD 患者可安全度過圍手術期。