引用本文: 吳莉, 趙嫻, 何波, 陳澤谷, 陸林, 魏韓笑, 張承磊, 劉流. 內皮祖細胞促進組織工程骨體內成骨. 中國修復重建外科雜志, 2016, 30(1): 95-101. doi: 10.7507/1002-1892.20160020 復制
炎癥、外傷、腫瘤切除所致大面積骨缺損修復是臨床難題,隨著組織工程技術的發展,組織工程骨為骨缺損修復提供了新方法。組織工程骨的微血管化是骨組織工程研究的核心問題[1]。目前可通過加入促血管生成因子、改造支架結構等方法促進組織工程骨血管形成[2],但效果并不理想。內皮祖細胞(endothelial progenitor cells,EPCs)在體內外可分化為血管內皮細胞生成血管,且在特定微環境下可促進MSCs成骨[3]。因此,本研究擬將自體外周血來源的EPCs與BMSCs直接共培養,體外復合至包被纖維粘連蛋白(fibronectin,FN)的部分脫蛋白生物骨(partially deproteinised bone,PDPB)支架上,并異位移植至兔四肢肌袋內,觀察EPCs微血管化能力,旨在探討EPCs在BMSCs成骨中的作用。
1 材料與方法
1.1 實驗動物及主要試劑、儀器
6月齡新西蘭大耳兔9只,體質量(2.5±0.5)kg,購自昆明醫科大學動物科。
PDPB由本課題組自制[4]。H-DMEM培養基、L-DMEM培養基、15%FBS(HyClone公司,美國);兔淋巴細胞分離液(Sigma公司,美國);胰蛋白酶、Trizol(Takara公司,日本);兔CD34、CD133、血管性血友病因子(von Willebrand factor,vWF)、CD29、CD90、CD105、緊密連接蛋白1(zonula occludens protein 1,ZO-1)一抗(北京博奧森生物科技有限公司);逆轉錄試劑盒(Thermo Fisher Scientific公司,美國);熒光定量PCR試劑盒及引物設計(大連寶生物工程有限公司);Loading Buffer、DNA ladder(Fermantas公司,立陶宛)。細胞培養箱(Thermo Fisher Scientific公司,美國);低溫離心機(北京醫用離心機廠);RT-PCR儀(Bio-Rad公司,美國);光學顯微鏡、倒置相差顯微鏡、熒光顯微鏡(Olympus公司,日本);Leica Qwin 2.3軟件(Leica公司,德國);Image-Pro plus 6.0圖像分析軟件(Media Cybernetics公司,美國)。
1.2 外周血EPCs及BMSCs共培養體系的建立
1.2.1 外周血EPCs分離培養及鑒定
全身肝素化后抽取1~9號新西蘭大耳兔耳中央動脈外周血5mL,采用兔淋巴細胞分離液分離單核細胞,密度梯度離心法及貼壁法分離EPCs[5],同時標記第1~9 號兔細胞;原代細胞生長至70%融合時,以0.25%胰蛋白酶消化,按1∶2比例傳代,倒置相差顯微鏡下觀察細胞形態變化。取第3代細胞行免疫熒光染色觀察CD34、CD133、vWF表達,DAPI染核,甘油封片,熒光顯微鏡下觀察。
1.2.2 BMSCs分離培養及鑒定
抽取第1~9號新西蘭大耳兔雙側脛骨、股骨肝素抗凝骨髓血5 mL,采用密度梯度離心法及貼壁法分離BMSCs[5],同時標記第1~9號兔細胞。原代細胞生長至70%融合時,以0.25%胰蛋白酶消化,按1∶2比例傳代。取第3 代細胞行免疫熒光染色觀察CD29、CD34、CD90表達,DAPI染核,甘油封片,熒光顯微鏡下觀察。
1.2.3 外周血EPCs及BMSCs共培養體系建立
將第3代1~9號兔BMSCs加入成骨誘導分化培養基[6](含10%FBS、50 U/mL青霉素、50 mg/ mL鏈霉素、100 nmol/L地塞米松、10 mmol/L β-甘油磷酸鈉、50μmol/L 維生素C的H-DMEM培養液),2 d換液1次。誘導7 d后,均收集1×106個細胞,加入0.5×106 個相同序號的第3代EPCs,即BMSCs∶EPCs=2∶1[5],加入前述成骨誘導分化培養基及成血管誘導分化培養基[7](含10%FBS、50ng/ mL VEGF 及20μg/ mL牛腦垂體提取物的甲基纖維素半固體基礎培養基)各半進行培養,即為1~9 號外周血EPCs及BMSCs共培養體系。
1.3 組織工程骨構建
1.3.1 生物支架準備
生物支架為本課題組預先制備的包被FN的PDPB[4],大小為0.5cm×0.5cm× 0.3cm,于4℃冰箱儲存備用。
1.3.2 組織工程骨構建
分別制備3種復合不同細胞的組織工程骨。取出54塊PDPB,置于裝有DMEM的培養皿中預濕;于培養皿中分別加入混有20 μL PBS的1~9號兔來源的單純EPCs、單純BM SCs 及共培養細胞各1×106個,分別構建A、B、C 3 種組織工程骨(n=18)。于37℃、5%CO2及飽和濕度培養箱內培養4 h后,分別置于96孔板,C組加成骨及成血管誘導分化混合培養基,A、B組加成骨誘導分化培養基至總量100μL,置37℃、5%CO2及飽和濕度培養箱中培養,隔日換液。
1.4 動物體內移植實驗
1.4.1 組織工程骨兔自體異位移植
取1~9號新西蘭大耳兔,水合氯醛(2 mL/kg)腹腔注射麻醉,分別于右上肢、左上肢、右下肢剃毛、消毒,皮膚、皮下分層切開,切開肌膜,鈍性分離肌肉束,擴充1cm× 1cm×1 cm大小的肌袋。組織工程骨體外復合培養4d后,分別將1~9號兔來源的A、B、C 3種組織工程骨移植至同序號兔右上肢、左上肢、右下肢肌袋[8],每個肢體移植2塊組織工程骨。
1.4.2 大體觀察
移植后2、4、8周,隨機取3只兔,切開術區觀察各組組織工程骨生長情況。
1.4.3 組織學及免疫組織化學染色觀察
大體觀察后取各組組織工程骨,于4%多聚甲醛固定,脫鈣液脫鈣、石蠟包埋組織切片,中心部分連續切片3 張,片厚0.5 μm。常規行HE染色及CD34、CD105、ZO-1免疫組織化學染色,光鏡下觀察。每張HE染色切片隨機取3個視野,采用Leica Qwin 2.3軟件分析成骨面積,按以下公式計算骨長入率: (骨長入區域面積/植入物區域面積)×100%;采用Image-Pro Plus 6.0圖像分析軟件分析免疫組織化學染色切片,得到陽性細胞平均吸光度(A)值,比較各組CD34、CD105、ZO-1表達量變化。
1.5 統計學方法
采用SPSS19.0統計軟件進行分析。數據以均數±標準差表示,組間比較及組內各時間點間比較采用單因素方差分析,兩兩比較采用SNK檢驗;檢驗水準α=0.05。
2 結果
2.1 外周血EPCs、BMSCs形態學觀察及鑒定
倒置相差顯微鏡觀察示,外周血EPCs培養14d呈典型“鋪路石”樣外觀,21 d細胞連接成片。第3 代細胞CD34、CD133、vWF免疫熒光染色均為陽性。見圖 1。BMSCs培養7 d形成小型細胞集落;9d細胞集落數目增多,雙核、梭形、紡錘形細胞螺旋狀聚攏。第3代BMSCs免疫熒光染色CD29、CD90呈陽性,CD34呈陰性。見圖 2。

2.2 動物體內移植實驗
2.2.1 大體觀察
移植后2周,各組組織工程骨均被周圍軟組織包繞,C組較A、B組包繞緊密,局部不可分開;切開后各組切緣銳利,切面均可見組織工程骨原有孔隙,C組切面邊緣見少許鮮紅軟組織長入。4周,各組包繞組織工程骨的軟組織增多、增厚,C組切緣見鮮紅軟組織進一步向孔隙內填充,B組長入組織工程骨內鮮紅軟組織較少,A組更少,各組均未見明確血管長入組織工程骨內。8周,各組周圍軟組織與組織工程骨分界不清,組織工程骨邊緣圓潤;C組切面大部分組織工程骨原有孔隙由鮮紅軟組織填充,可見迂曲小血管網長入組織工程骨中心,A、B組組織工程骨中心仍有未被填充的原有孔隙。見圖 3。
2.2.2 組織學觀察
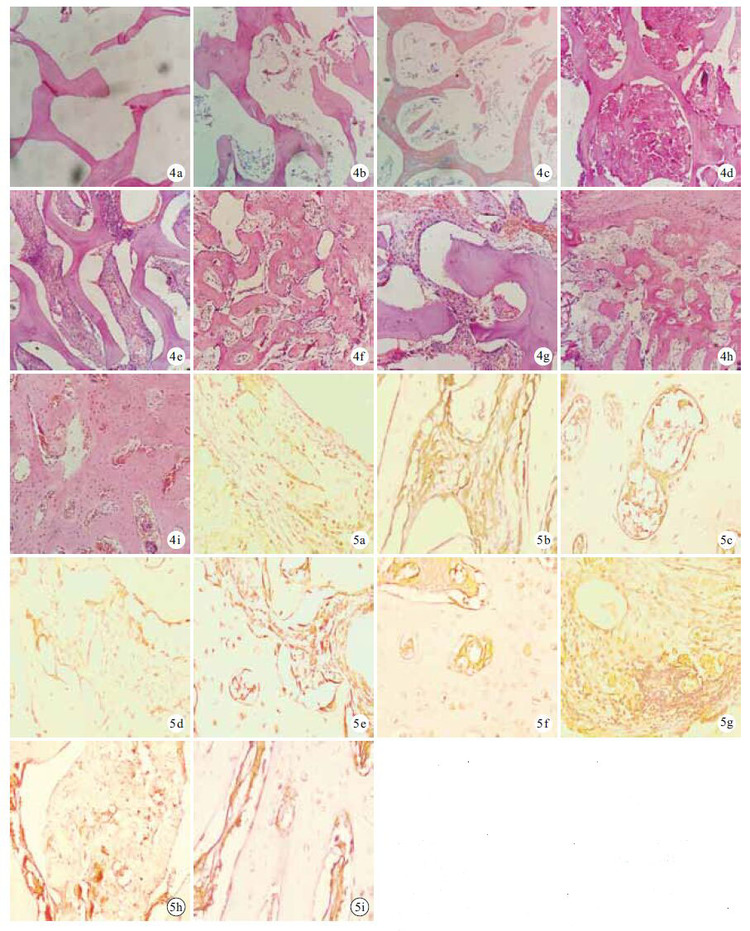
移植后2周,各組組織工程骨內均見少量血管,管腔形成不明顯,未見明顯骨組織長入。4周,各組組織工程骨內毛細血管逐漸形成管腔,A、C組較明顯;B、C組可見膠原纖維生長,C組更明顯。8周,各組可見毛細血管明顯增多,管腔內出現紅細胞,膠原纖維增多,可見骨小梁和新生骨,以C組明顯,其次為B組。見圖 4。移植后4、8 周,C組骨長入率顯著高于A、B組,B組高于A組,差異均有統計學意義(P<0.05)。見表 1。


2.2.3 免疫組織化學染色觀察
移植后2、4、8周,隨時間延長,3組組織工程骨CD34、CD105、ZO-1表達量均逐漸增多,組內各時間點間比較差異均有統計學意義(P<0.05)。見表 2。組間比較:移植后2周,A、C組見少許陽性細胞,B組未見陽性細胞;僅CD105表達量3組間兩兩比較差異有統計學意義(F=9.854,P=0.000);4、8周,3組間CD34、CD105、ZO-1表達量兩兩比較差異均有統計學意義(P<0.05),C組最多,B組最少。4周,A、C組新生內皮細胞逐漸圍成管腔形成新生血管,少量管腔內可見紅細胞,B組管腔形成不明顯;8周,C組見明顯新生血管管腔且部分與宿主血管溝通,A組新生血管增多,B組少許新生血管。見圖 5。

3 討論
組織工程支架上的種子細胞只有在有氧代謝、細胞灌注充足、合理營養物質供應和代謝產物及時排出時才能存活[9-10];然而,種子細胞與支架材料復合移植后,周圍宿主血管內營養物質的擴散深度僅約150 μm/h[11]。因此,尋找有效方法及時建立組織工程骨與宿主之間的有效血液循環,保證干細胞有持續營養物質供應,是干細胞存活的關鍵。
Martin等[10]將EPCs和BMSCs采用Transwell小室間接共培養及兩種細胞直接接觸共培養進行比較,結果顯示直接接觸共培養的兩種細胞成骨更明顯,認為可能由于兩種細胞的直接接觸改變了共培養環境,促進了兩種細胞之間的信號交流及生長因子分泌,從而促進了成骨。因此,本研究采用直接接觸共培養方法,將按1∶2比例共培養的自體外周血來源EPCs-BMSCs及單純培養的EPCs、BMSCs分別復合于PDPB上,同時自體移植至兔四肢肌袋內行異位體內誘導成骨培養,觀察組織工程骨及周圍組織的變化。移植8周后,3組組織工程骨支架均未出現排斥反應,且逐步降解,由膠原、骨小梁及新生骨替代。其中C組組織工程骨成血管及成骨趨勢最好,隨時間延長至8周時骨長入率為1.47%±0.21%,明顯高于其余兩組,與文獻報道一致[12]。免疫組織化學染色觀察示,移植后8周C組組織工程骨內新生血管明顯增多,且部分與宿主血管溝通,見大量表達CD34、CD105、ZO-1的血管內皮細胞,C組各因子表達量均顯著高于A、B組。
本研究結果顯示,將EPCs與BMSCs按1∶2比例共培養具有協同作用,促進了組織工程骨微血管化進程,增強了BMSCs的成骨活性,與國外研究結果一致[13]。BMSCs有高度自我更新及多向分化潛能,在體內外不同微環境下均可誘導分化為成骨細胞、成軟骨細胞和破骨細胞[14],其在成骨過程中旁分泌多種可溶性細胞因子,如VEGF、粒細胞集落刺激因子(granulocyte colony-stimulating factor,G-CSF)、BMP-2等,其中VEGF可與EPCs上的VEGF受體特異性結合,活化受體細胞內段偶聯的絡氨酸激酶,催化下游信號蛋白,促使EPCs增殖并定向內皮細胞分化,促進新生血管管腔形成[15],因此VEGF是EPCs促進血管生成的最重要因子[16]。G-CSF可通過提高VEGF表達,提高外周血EPCs增殖能力及歸巢能力[17]。BMP-2可由BMSCs分泌,亦是EPCs分泌的重要生長因子[18],可在移植后15min內促進MSCs成骨分化[19]。而EPCs可明顯提高BMSCs的干性功能、增殖能力及成骨分化能力,溫麗[20]研究表明在EPCs旁分泌因子的作用下,EPCs還可提高BMSCs分泌VEGF及BMP-2等成骨、成血管因子,從而促進新生血管形成及新骨形成。
本研究采用免疫組織化學染色檢測了各組組織工程骨中CD34、CD105、ZO-1陽性細胞的表達,結果顯示C組組織工程骨移植后4周即形成了血管管腔結構,并逐漸與周圍軟組織內血管溝通,形成功能性微血管(ZO-1陽性),促進了營養物質輸送,增加BMSCs存活數量,提高其增殖和成骨分化能力。CD34是血管內皮細胞特異性的標記物,能突出顯示較小的不成熟微血管和單個內皮細胞,但成熟的血管內皮細胞CD34也可表現為陽性;CD105是新生血管特異性標記物,能突出顯示新生血管,在研究腫瘤、組織工程移植物時廣泛應用;ZO-1是緊密連接蛋白,其表達表示血管為功能性血管,同時可見血管內紅細胞,ZO-1與CD105同時表達即可認為新生血管為功能性血管,具有攜帶營養物質并帶走代謝產物的功能[21]。本研究結果顯示,移植2周時3組間ZO-1表達量比較差異均無統計學意義,說明此時3組均未生成功能性微血管,而移植后4、8周,C組ZO-1表達量較其余兩組均明顯增加,生成了功能性微血管。
綜上述,將EPCs與BMSCs聯合培養可增加組織工程骨微血管網的形成及促進成骨,為自體細胞復合構建血管化組織工程骨提供了理論依據。但這兩種細胞相互作用的確切分子機制尚未完全明確,有待于進一步研究。
炎癥、外傷、腫瘤切除所致大面積骨缺損修復是臨床難題,隨著組織工程技術的發展,組織工程骨為骨缺損修復提供了新方法。組織工程骨的微血管化是骨組織工程研究的核心問題[1]。目前可通過加入促血管生成因子、改造支架結構等方法促進組織工程骨血管形成[2],但效果并不理想。內皮祖細胞(endothelial progenitor cells,EPCs)在體內外可分化為血管內皮細胞生成血管,且在特定微環境下可促進MSCs成骨[3]。因此,本研究擬將自體外周血來源的EPCs與BMSCs直接共培養,體外復合至包被纖維粘連蛋白(fibronectin,FN)的部分脫蛋白生物骨(partially deproteinised bone,PDPB)支架上,并異位移植至兔四肢肌袋內,觀察EPCs微血管化能力,旨在探討EPCs在BMSCs成骨中的作用。
1 材料與方法
1.1 實驗動物及主要試劑、儀器
6月齡新西蘭大耳兔9只,體質量(2.5±0.5)kg,購自昆明醫科大學動物科。
PDPB由本課題組自制[4]。H-DMEM培養基、L-DMEM培養基、15%FBS(HyClone公司,美國);兔淋巴細胞分離液(Sigma公司,美國);胰蛋白酶、Trizol(Takara公司,日本);兔CD34、CD133、血管性血友病因子(von Willebrand factor,vWF)、CD29、CD90、CD105、緊密連接蛋白1(zonula occludens protein 1,ZO-1)一抗(北京博奧森生物科技有限公司);逆轉錄試劑盒(Thermo Fisher Scientific公司,美國);熒光定量PCR試劑盒及引物設計(大連寶生物工程有限公司);Loading Buffer、DNA ladder(Fermantas公司,立陶宛)。細胞培養箱(Thermo Fisher Scientific公司,美國);低溫離心機(北京醫用離心機廠);RT-PCR儀(Bio-Rad公司,美國);光學顯微鏡、倒置相差顯微鏡、熒光顯微鏡(Olympus公司,日本);Leica Qwin 2.3軟件(Leica公司,德國);Image-Pro plus 6.0圖像分析軟件(Media Cybernetics公司,美國)。
1.2 外周血EPCs及BMSCs共培養體系的建立
1.2.1 外周血EPCs分離培養及鑒定
全身肝素化后抽取1~9號新西蘭大耳兔耳中央動脈外周血5mL,采用兔淋巴細胞分離液分離單核細胞,密度梯度離心法及貼壁法分離EPCs[5],同時標記第1~9 號兔細胞;原代細胞生長至70%融合時,以0.25%胰蛋白酶消化,按1∶2比例傳代,倒置相差顯微鏡下觀察細胞形態變化。取第3代細胞行免疫熒光染色觀察CD34、CD133、vWF表達,DAPI染核,甘油封片,熒光顯微鏡下觀察。
1.2.2 BMSCs分離培養及鑒定
抽取第1~9號新西蘭大耳兔雙側脛骨、股骨肝素抗凝骨髓血5 mL,采用密度梯度離心法及貼壁法分離BMSCs[5],同時標記第1~9號兔細胞。原代細胞生長至70%融合時,以0.25%胰蛋白酶消化,按1∶2比例傳代。取第3 代細胞行免疫熒光染色觀察CD29、CD34、CD90表達,DAPI染核,甘油封片,熒光顯微鏡下觀察。
1.2.3 外周血EPCs及BMSCs共培養體系建立
將第3代1~9號兔BMSCs加入成骨誘導分化培養基[6](含10%FBS、50 U/mL青霉素、50 mg/ mL鏈霉素、100 nmol/L地塞米松、10 mmol/L β-甘油磷酸鈉、50μmol/L 維生素C的H-DMEM培養液),2 d換液1次。誘導7 d后,均收集1×106個細胞,加入0.5×106 個相同序號的第3代EPCs,即BMSCs∶EPCs=2∶1[5],加入前述成骨誘導分化培養基及成血管誘導分化培養基[7](含10%FBS、50ng/ mL VEGF 及20μg/ mL牛腦垂體提取物的甲基纖維素半固體基礎培養基)各半進行培養,即為1~9 號外周血EPCs及BMSCs共培養體系。
1.3 組織工程骨構建
1.3.1 生物支架準備
生物支架為本課題組預先制備的包被FN的PDPB[4],大小為0.5cm×0.5cm× 0.3cm,于4℃冰箱儲存備用。
1.3.2 組織工程骨構建
分別制備3種復合不同細胞的組織工程骨。取出54塊PDPB,置于裝有DMEM的培養皿中預濕;于培養皿中分別加入混有20 μL PBS的1~9號兔來源的單純EPCs、單純BM SCs 及共培養細胞各1×106個,分別構建A、B、C 3 種組織工程骨(n=18)。于37℃、5%CO2及飽和濕度培養箱內培養4 h后,分別置于96孔板,C組加成骨及成血管誘導分化混合培養基,A、B組加成骨誘導分化培養基至總量100μL,置37℃、5%CO2及飽和濕度培養箱中培養,隔日換液。
1.4 動物體內移植實驗
1.4.1 組織工程骨兔自體異位移植
取1~9號新西蘭大耳兔,水合氯醛(2 mL/kg)腹腔注射麻醉,分別于右上肢、左上肢、右下肢剃毛、消毒,皮膚、皮下分層切開,切開肌膜,鈍性分離肌肉束,擴充1cm× 1cm×1 cm大小的肌袋。組織工程骨體外復合培養4d后,分別將1~9號兔來源的A、B、C 3種組織工程骨移植至同序號兔右上肢、左上肢、右下肢肌袋[8],每個肢體移植2塊組織工程骨。
1.4.2 大體觀察
移植后2、4、8周,隨機取3只兔,切開術區觀察各組組織工程骨生長情況。
1.4.3 組織學及免疫組織化學染色觀察
大體觀察后取各組組織工程骨,于4%多聚甲醛固定,脫鈣液脫鈣、石蠟包埋組織切片,中心部分連續切片3 張,片厚0.5 μm。常規行HE染色及CD34、CD105、ZO-1免疫組織化學染色,光鏡下觀察。每張HE染色切片隨機取3個視野,采用Leica Qwin 2.3軟件分析成骨面積,按以下公式計算骨長入率: (骨長入區域面積/植入物區域面積)×100%;采用Image-Pro Plus 6.0圖像分析軟件分析免疫組織化學染色切片,得到陽性細胞平均吸光度(A)值,比較各組CD34、CD105、ZO-1表達量變化。
1.5 統計學方法
采用SPSS19.0統計軟件進行分析。數據以均數±標準差表示,組間比較及組內各時間點間比較采用單因素方差分析,兩兩比較采用SNK檢驗;檢驗水準α=0.05。
2 結果
2.1 外周血EPCs、BMSCs形態學觀察及鑒定
倒置相差顯微鏡觀察示,外周血EPCs培養14d呈典型“鋪路石”樣外觀,21 d細胞連接成片。第3 代細胞CD34、CD133、vWF免疫熒光染色均為陽性。見圖 1。BMSCs培養7 d形成小型細胞集落;9d細胞集落數目增多,雙核、梭形、紡錘形細胞螺旋狀聚攏。第3代BMSCs免疫熒光染色CD29、CD90呈陽性,CD34呈陰性。見圖 2。

2.2 動物體內移植實驗
2.2.1 大體觀察
移植后2周,各組組織工程骨均被周圍軟組織包繞,C組較A、B組包繞緊密,局部不可分開;切開后各組切緣銳利,切面均可見組織工程骨原有孔隙,C組切面邊緣見少許鮮紅軟組織長入。4周,各組包繞組織工程骨的軟組織增多、增厚,C組切緣見鮮紅軟組織進一步向孔隙內填充,B組長入組織工程骨內鮮紅軟組織較少,A組更少,各組均未見明確血管長入組織工程骨內。8周,各組周圍軟組織與組織工程骨分界不清,組織工程骨邊緣圓潤;C組切面大部分組織工程骨原有孔隙由鮮紅軟組織填充,可見迂曲小血管網長入組織工程骨中心,A、B組組織工程骨中心仍有未被填充的原有孔隙。見圖 3。
2.2.2 組織學觀察
移植后2周,各組組織工程骨內均見少量血管,管腔形成不明顯,未見明顯骨組織長入。4周,各組組織工程骨內毛細血管逐漸形成管腔,A、C組較明顯;B、C組可見膠原纖維生長,C組更明顯。8周,各組可見毛細血管明顯增多,管腔內出現紅細胞,膠原纖維增多,可見骨小梁和新生骨,以C組明顯,其次為B組。見圖 4。移植后4、8 周,C組骨長入率顯著高于A、B組,B組高于A組,差異均有統計學意義(P<0.05)。見表 1。


2.2.3 免疫組織化學染色觀察
移植后2、4、8周,隨時間延長,3組組織工程骨CD34、CD105、ZO-1表達量均逐漸增多,組內各時間點間比較差異均有統計學意義(P<0.05)。見表 2。組間比較:移植后2周,A、C組見少許陽性細胞,B組未見陽性細胞;僅CD105表達量3組間兩兩比較差異有統計學意義(F=9.854,P=0.000);4、8周,3組間CD34、CD105、ZO-1表達量兩兩比較差異均有統計學意義(P<0.05),C組最多,B組最少。4周,A、C組新生內皮細胞逐漸圍成管腔形成新生血管,少量管腔內可見紅細胞,B組管腔形成不明顯;8周,C組見明顯新生血管管腔且部分與宿主血管溝通,A組新生血管增多,B組少許新生血管。見圖 5。

3 討論
組織工程支架上的種子細胞只有在有氧代謝、細胞灌注充足、合理營養物質供應和代謝產物及時排出時才能存活[9-10];然而,種子細胞與支架材料復合移植后,周圍宿主血管內營養物質的擴散深度僅約150 μm/h[11]。因此,尋找有效方法及時建立組織工程骨與宿主之間的有效血液循環,保證干細胞有持續營養物質供應,是干細胞存活的關鍵。
Martin等[10]將EPCs和BMSCs采用Transwell小室間接共培養及兩種細胞直接接觸共培養進行比較,結果顯示直接接觸共培養的兩種細胞成骨更明顯,認為可能由于兩種細胞的直接接觸改變了共培養環境,促進了兩種細胞之間的信號交流及生長因子分泌,從而促進了成骨。因此,本研究采用直接接觸共培養方法,將按1∶2比例共培養的自體外周血來源EPCs-BMSCs及單純培養的EPCs、BMSCs分別復合于PDPB上,同時自體移植至兔四肢肌袋內行異位體內誘導成骨培養,觀察組織工程骨及周圍組織的變化。移植8周后,3組組織工程骨支架均未出現排斥反應,且逐步降解,由膠原、骨小梁及新生骨替代。其中C組組織工程骨成血管及成骨趨勢最好,隨時間延長至8周時骨長入率為1.47%±0.21%,明顯高于其余兩組,與文獻報道一致[12]。免疫組織化學染色觀察示,移植后8周C組組織工程骨內新生血管明顯增多,且部分與宿主血管溝通,見大量表達CD34、CD105、ZO-1的血管內皮細胞,C組各因子表達量均顯著高于A、B組。
本研究結果顯示,將EPCs與BMSCs按1∶2比例共培養具有協同作用,促進了組織工程骨微血管化進程,增強了BMSCs的成骨活性,與國外研究結果一致[13]。BMSCs有高度自我更新及多向分化潛能,在體內外不同微環境下均可誘導分化為成骨細胞、成軟骨細胞和破骨細胞[14],其在成骨過程中旁分泌多種可溶性細胞因子,如VEGF、粒細胞集落刺激因子(granulocyte colony-stimulating factor,G-CSF)、BMP-2等,其中VEGF可與EPCs上的VEGF受體特異性結合,活化受體細胞內段偶聯的絡氨酸激酶,催化下游信號蛋白,促使EPCs增殖并定向內皮細胞分化,促進新生血管管腔形成[15],因此VEGF是EPCs促進血管生成的最重要因子[16]。G-CSF可通過提高VEGF表達,提高外周血EPCs增殖能力及歸巢能力[17]。BMP-2可由BMSCs分泌,亦是EPCs分泌的重要生長因子[18],可在移植后15min內促進MSCs成骨分化[19]。而EPCs可明顯提高BMSCs的干性功能、增殖能力及成骨分化能力,溫麗[20]研究表明在EPCs旁分泌因子的作用下,EPCs還可提高BMSCs分泌VEGF及BMP-2等成骨、成血管因子,從而促進新生血管形成及新骨形成。
本研究采用免疫組織化學染色檢測了各組組織工程骨中CD34、CD105、ZO-1陽性細胞的表達,結果顯示C組組織工程骨移植后4周即形成了血管管腔結構,并逐漸與周圍軟組織內血管溝通,形成功能性微血管(ZO-1陽性),促進了營養物質輸送,增加BMSCs存活數量,提高其增殖和成骨分化能力。CD34是血管內皮細胞特異性的標記物,能突出顯示較小的不成熟微血管和單個內皮細胞,但成熟的血管內皮細胞CD34也可表現為陽性;CD105是新生血管特異性標記物,能突出顯示新生血管,在研究腫瘤、組織工程移植物時廣泛應用;ZO-1是緊密連接蛋白,其表達表示血管為功能性血管,同時可見血管內紅細胞,ZO-1與CD105同時表達即可認為新生血管為功能性血管,具有攜帶營養物質并帶走代謝產物的功能[21]。本研究結果顯示,移植2周時3組間ZO-1表達量比較差異均無統計學意義,說明此時3組均未生成功能性微血管,而移植后4、8周,C組ZO-1表達量較其余兩組均明顯增加,生成了功能性微血管。
綜上述,將EPCs與BMSCs聯合培養可增加組織工程骨微血管網的形成及促進成骨,為自體細胞復合構建血管化組織工程骨提供了理論依據。但這兩種細胞相互作用的確切分子機制尚未完全明確,有待于進一步研究。