引用本文: 張文釗, 余建群. 左、右冠狀動脈瘤合并冠狀動脈-肺動脈瘺一例. 華西醫學, 2020, 35(7): 884-886. doi: 10.7507/1002-0179.201909086 復制
病例介紹 患者,女,60 歲,因“心前區搏動感 2+年,加重伴心悸 2+個月”于 2017 年 12 月 17 日就診于四川大學華西醫院(本院)。患者 2+年前無明顯誘因出現心前區搏動感,活動后加重,休息時搏動減弱,就診于當地醫院,建議密切觀察,未行特殊處理。近 2 個月來,患者自覺心前區搏動感明顯增強,影響正常活動,伴心悸,休息后改善不明顯,就診于當地醫院。2017 年 12 月 1 日患者冠狀動脈 CT 血管成像(coronary CT angiography,CCTA)示:① 左心旁低密度影,邊界清楚,最大直徑約 9.2 cm×7.5 cm,病灶邊緣見軟組織密度影,并見左冠狀動脈前降支分支血管與病灶相連,支氣管動脈于主動脈弓層面及肺動脈干層面血管迂曲增粗,部分呈瘤樣改變,并與左冠狀動脈動脈分支相吻合,右冠狀動脈分支迂曲、增粗、瘤樣改變,并于右心室前方與左冠狀動脈相吻合;② 心臟增大,心包大量積液。2017 年 12 月 13 日冠狀動脈血管成像檢查示:左心旁假性動脈瘤,右冠狀動脈分支畸形,支氣管動脈-冠狀動脈瘺,心包大量積液。當地醫院建議轉至上級醫院,患者遂就診于本院急診科,急診科以“假性動脈瘤”收入科室。入院體格檢查:體溫 36℃,脈搏 85 次/min,呼吸 19 次/min,血壓 121/77 mm Hg(1 mm Hg=0.133 kPa)。患者發病以來,精神、睡眠、飲食尚可,大小便正常,體重無明顯變化;發現血壓升高 1 周,最高 150/80 mm Hg,尚未服藥控制。患者否認川崎病病史,否認大動脈炎、先天性疾病、肝炎、結核及傳染病史。
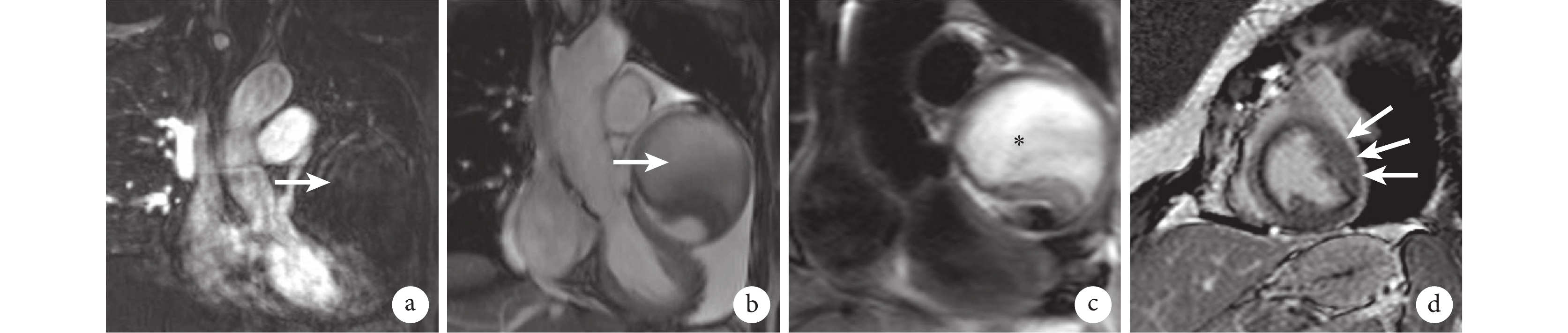
輔助檢查:入院后患者行血常規、心肌標志物、凝血常規等各項生化檢查。除纖維蛋白及纖維蛋白原降解產物稍升高(5.3 mg/L;參考值<5 mg/L)、D-二聚體稍增高(1.65 mg/L;參考值<0.55 mg/L)外,血常規及其他生化檢查各指標未見明顯異常;心肌標志物中肌紅蛋白、肌酸激酶同工酶及肌鈣蛋白-T 也均處于正常范圍內。本院冠狀動脈數字減影血管造影(digital subtraction angiography,DSA)檢查(2017 年 12 月 18 日)顯示:① 左冠狀動脈前降支粗大彎曲,遠段顯示不清,似與一造影劑涂染腫塊影連接(圖 1);② 右冠狀動脈圓錐支遠段可見瘺口至肺動脈(圖 2)。本院心臟 MRI 檢查(2017 年 12 月 26 日)顯示:① 左心室旁見混雜信號腫塊影,大小約 8.6 cm×7.2 cm×8.5 cm,左心室受壓,疑為動脈瘤;② 主肺動脈窗內見增粗迂曲血管影;③ 延遲掃描室間隔、左心室前壁及側壁散在點片狀異常強化影,合并缺血性心肌病可能(圖 3);④ 左、右心室功能未見明顯減低;⑤ 心包中量積液。

顯示左冠狀動脈前降支粗大彎曲,遠段顯示不清,似與一造影劑涂染的腫塊影相連(白箭)

顯示右冠狀動脈圓錐支-肺動脈瘺形成,瘺口處可見血流噴射(a、b)(白箭)及未噴射時(c、d)(白箭)

a. 增強掃描顯示左冠狀動脈前降支近段處巨型冠狀動脈瘤形成(白箭);b. T2 加權像顯示左冠狀動脈前降支近段處巨型冠狀動脈瘤形成(白箭);c. 黑血序列顯示瘤內大量陳舊性血栓形成,呈混雜高信號影(*);d. 延遲強化示左心室游離壁少許小片狀強化影(白箭)
患者在我院于 2017 年 12 月 28 日行左前降支動脈瘤縫扎+右冠狀動脈瘤縫扎+冠狀動脈-肺動脈瘺矯治術。術中所見:① 左心室旁巨大動脈瘤,約 9 cm×9 cm,內可見大量陳舊性血栓,并與前降支遠端分支相通;② 左冠狀動脈于主動脈弓層面與肺動脈干層面血管迂曲增粗,部分呈瘤樣改變,并在肺動脈根部形成破口漏入肺動脈;③ 右冠狀動脈分支增粗、迂曲,局部呈瘤樣,大小約 3 cm×3 cm。
患者冠狀動脈瘤術后第 6 日行 CCTA 檢查(2018 年 1 月 3 日),結果顯示:① 右冠狀動脈近段擴張,前分支向前縱隔迂曲走行,于肺動脈干左側呈瘤樣擴張;② 左冠狀動脈前降支近中遠段擴張(圖 4)。

a. 重建圖像顯示右冠狀動脈近段擴張,前分支向前迂曲走行,于肺動脈干左側呈瘤樣擴張;b. 斷層圖像顯示右冠狀動脈近段擴張,前分支向前迂曲走行,于肺動脈干左側呈瘤樣擴張;c、d. 不同角度圖像顯示左冠狀動脈前降支近中遠段擴張,遠段未見確切瘤樣擴張。RCA:右冠狀動脈;LAD:左冠狀動脈
患者術后恢復好,復查胸部 X 線片、心臟彩色多普勒超聲、CT 無明顯異常,手術切口愈合良好,于 2018 年 1 月 4 日出院,出院時患者一般情況可,無胸悶、氣緊、心悸等不適。出院后 2 年行電話隨訪,患者基本情況良好,無心血管相關癥狀,無相應術后并發癥。
討論 冠狀動脈瘤樣擴張(coronary artery ectasia,CAE)是指冠狀動脈的局限或彌漫性擴張,瘤樣擴張的冠狀動脈直徑超過相鄰正常冠狀動脈的 1.5 倍,其發病率為 0.3%~4.9%[1]。CAE 主要是由于動脈粥樣硬化累及血管中膜造成肌-彈力纖維成分破壞,薄弱的管壁在管內壓力的作用下向外膨出而導致冠狀動脈局限性擴張[2]。依據 CAE 的類型及累及范圍,將其分為 4 型:Ⅰ 型,2 支或 2 支以上冠狀動脈彌漫性擴張;Ⅱ 型,1 支冠狀動脈彌漫性擴張,同時合并其他冠狀動脈的局限性擴張;Ⅲ 型,1 支冠狀動脈彌漫性擴張;Ⅳ 型,1 支冠狀動脈節段性或局限性擴張[3]。當冠狀動脈擴張直徑大于 5 cm 時,我們稱之為“巨型冠狀動脈瘤”。據文獻報道,巨型冠狀動脈瘤發病率僅為 0.02%[4]。目前研究發現:在已確診的巨型 CAE 病例中,右冠狀動脈的發病率遠高于左冠狀動脈,右冠狀動脈的發病率接近 90%(其中在其近端部分的發病率為 85.7%),僅有極少數發生在左冠狀動脈[5]。
冠狀動脈瘺是一種少見的血管畸形,表現為冠狀動脈與心腔、體循環或肺循環的任何部分的異常血管瘺道[6]。冠狀動脈瘺的發病率占總人口的 0.002%,其病因可分為先天性或后天性,其中超過 90% 的冠狀動脈瘺屬于先天性發育畸形,后天獲得性冠狀動脈瘺多由醫源性造成,如冠狀動脈支架置入、冠狀動脈搭橋手術、創傷和胸部照射等[7]。在常規心血管造影中其發現率為 0.1%~0.2%[8],而在 CCTA 檢查中發現率約為 0.9%[9]。約 50% 的異常血管起源于右冠狀動脈,42% 起源于左冠狀動脈,5% 起源于雙側冠狀動脈,3% 起源于其他動脈;瘺入右心室的患者占絕大多數,約為 41%,瘺入右心房約為 26%,瘺入肺動脈約為 17%,其他瘺入途徑相對較少[10]。其中單支冠狀動脈瘺的發生率遠高于雙側冠狀動脈瘺,后者的發生率僅占冠狀動脈瘺發生率的 10.0%~16.0%。冠狀動脈-肺動脈瘺的發生率占所有冠狀動脈瘺的 15.0%~30.0%[11]。冠狀動脈-肺動脈瘺一般沒有明顯的臨床癥狀和異常血流動力學改變,常常為偶然發現,因此也無需特殊處理;極少數嚴重患者會因血流動力學改變引起心肌缺血,此時需要進行手術或介入治療[12]。當存在嚴重的左向右分流時,可能繼發肺動脈高壓、充血性心力衰竭或相關動脈瘤的破裂及血栓形成[13]。
本例患者左右冠狀動脈均有動脈瘤,屬于 Ⅱ 型 CAE,冠狀動脈巨型動脈瘤發生在左冠狀動脈,為少見病例,再合并雙側冠狀動脈-肺動脈瘺,實為罕見。目前研究認為 CAE 的常見病因為動脈粥樣硬化、川崎病等,可能與血管炎癥損傷、基質降解等相關[5, 14-15]。然而該患者無長期高血壓病史,也無動脈粥樣硬化、川崎病、大動脈炎、先天性疾病和感染性疾病。目前來說原因不明。患者左右冠狀動脈均有動脈瘤,由于左冠狀動脈-肺動脈瘺的存在,筆者推測冠狀動脈-肺動脈瘺有可能是左冠巨型動脈瘤的成因。
大多情況下,冠狀動脈-肺動脈瘺及單純 CAE 較少引起臨床癥狀,若出現臨床癥狀,其嚴重程度與瘺口直徑及患者年齡呈正相關,部分患者可出現呼吸困難、充血性心力衰竭等癥狀[16]。本例患者以心悸和心前區搏動感增強就診于急診科,休息無法緩解癥狀,反映了冠狀動脈-肺動脈瘺分流較明顯,由于巨大冠狀動脈瘤壓迫近段左冠狀動脈、左心室,致左冠狀動脈灌注功能減低,左冠狀動脈血流不能有效供應心肌,因此出現心肌缺血。
在本例患者的心臟 MRI 檢查結果中未見左、右心室收縮舒張功能異常,同時通過文獻復習也發現大多數 CAE 不會引起患者死亡,但 CAE 血管內膜的病理性改變及局部血流動力學異常極易使瘤內發生血栓[17]。本例患者左冠狀動脈瘤內合并大量陳舊性血栓,并壓迫左心室,其誘發心肌梗死的風險大大提高,且其心臟 MRI 可觀察到左心室室前壁及側壁局灶性的延遲強化的出現也提示了左心室已出現局灶性心肌缺血,又因合并大量心包積液,導致其癥狀較一般 CAE 患者癥狀明顯。采取積極的手術治療,可有效提高患者生存質量,應作為首選治療方案。
綜上,在術前評估檢查手段中,多種影像學檢查手段可提供不同的參考信息,冠狀動脈造影是診斷冠狀動脈瘺的金標準,能有效顯示病灶位置、大小及血流動力學改變;CCTA 能無創地顯示冠狀動脈起源、走行及管徑大小,為術前評估提供有效而精確的影像學信息;而進一步結合超聲心動圖、心臟 MRI 及核素顯像等能更加全面評估患者心臟結構及心肌組織特征等,可幫助臨床制定及時有效的治療手段及處理方案,對減少或避免急性心臟不良事件發生起到決定性的作用。
病例介紹 患者,女,60 歲,因“心前區搏動感 2+年,加重伴心悸 2+個月”于 2017 年 12 月 17 日就診于四川大學華西醫院(本院)。患者 2+年前無明顯誘因出現心前區搏動感,活動后加重,休息時搏動減弱,就診于當地醫院,建議密切觀察,未行特殊處理。近 2 個月來,患者自覺心前區搏動感明顯增強,影響正常活動,伴心悸,休息后改善不明顯,就診于當地醫院。2017 年 12 月 1 日患者冠狀動脈 CT 血管成像(coronary CT angiography,CCTA)示:① 左心旁低密度影,邊界清楚,最大直徑約 9.2 cm×7.5 cm,病灶邊緣見軟組織密度影,并見左冠狀動脈前降支分支血管與病灶相連,支氣管動脈于主動脈弓層面及肺動脈干層面血管迂曲增粗,部分呈瘤樣改變,并與左冠狀動脈動脈分支相吻合,右冠狀動脈分支迂曲、增粗、瘤樣改變,并于右心室前方與左冠狀動脈相吻合;② 心臟增大,心包大量積液。2017 年 12 月 13 日冠狀動脈血管成像檢查示:左心旁假性動脈瘤,右冠狀動脈分支畸形,支氣管動脈-冠狀動脈瘺,心包大量積液。當地醫院建議轉至上級醫院,患者遂就診于本院急診科,急診科以“假性動脈瘤”收入科室。入院體格檢查:體溫 36℃,脈搏 85 次/min,呼吸 19 次/min,血壓 121/77 mm Hg(1 mm Hg=0.133 kPa)。患者發病以來,精神、睡眠、飲食尚可,大小便正常,體重無明顯變化;發現血壓升高 1 周,最高 150/80 mm Hg,尚未服藥控制。患者否認川崎病病史,否認大動脈炎、先天性疾病、肝炎、結核及傳染病史。
輔助檢查:入院后患者行血常規、心肌標志物、凝血常規等各項生化檢查。除纖維蛋白及纖維蛋白原降解產物稍升高(5.3 mg/L;參考值<5 mg/L)、D-二聚體稍增高(1.65 mg/L;參考值<0.55 mg/L)外,血常規及其他生化檢查各指標未見明顯異常;心肌標志物中肌紅蛋白、肌酸激酶同工酶及肌鈣蛋白-T 也均處于正常范圍內。本院冠狀動脈數字減影血管造影(digital subtraction angiography,DSA)檢查(2017 年 12 月 18 日)顯示:① 左冠狀動脈前降支粗大彎曲,遠段顯示不清,似與一造影劑涂染腫塊影連接(圖 1);② 右冠狀動脈圓錐支遠段可見瘺口至肺動脈(圖 2)。本院心臟 MRI 檢查(2017 年 12 月 26 日)顯示:① 左心室旁見混雜信號腫塊影,大小約 8.6 cm×7.2 cm×8.5 cm,左心室受壓,疑為動脈瘤;② 主肺動脈窗內見增粗迂曲血管影;③ 延遲掃描室間隔、左心室前壁及側壁散在點片狀異常強化影,合并缺血性心肌病可能(圖 3);④ 左、右心室功能未見明顯減低;⑤ 心包中量積液。

顯示左冠狀動脈前降支粗大彎曲,遠段顯示不清,似與一造影劑涂染的腫塊影相連(白箭)

顯示右冠狀動脈圓錐支-肺動脈瘺形成,瘺口處可見血流噴射(a、b)(白箭)及未噴射時(c、d)(白箭)

a. 增強掃描顯示左冠狀動脈前降支近段處巨型冠狀動脈瘤形成(白箭);b. T2 加權像顯示左冠狀動脈前降支近段處巨型冠狀動脈瘤形成(白箭);c. 黑血序列顯示瘤內大量陳舊性血栓形成,呈混雜高信號影(*);d. 延遲強化示左心室游離壁少許小片狀強化影(白箭)
患者在我院于 2017 年 12 月 28 日行左前降支動脈瘤縫扎+右冠狀動脈瘤縫扎+冠狀動脈-肺動脈瘺矯治術。術中所見:① 左心室旁巨大動脈瘤,約 9 cm×9 cm,內可見大量陳舊性血栓,并與前降支遠端分支相通;② 左冠狀動脈于主動脈弓層面與肺動脈干層面血管迂曲增粗,部分呈瘤樣改變,并在肺動脈根部形成破口漏入肺動脈;③ 右冠狀動脈分支增粗、迂曲,局部呈瘤樣,大小約 3 cm×3 cm。
患者冠狀動脈瘤術后第 6 日行 CCTA 檢查(2018 年 1 月 3 日),結果顯示:① 右冠狀動脈近段擴張,前分支向前縱隔迂曲走行,于肺動脈干左側呈瘤樣擴張;② 左冠狀動脈前降支近中遠段擴張(圖 4)。

a. 重建圖像顯示右冠狀動脈近段擴張,前分支向前迂曲走行,于肺動脈干左側呈瘤樣擴張;b. 斷層圖像顯示右冠狀動脈近段擴張,前分支向前迂曲走行,于肺動脈干左側呈瘤樣擴張;c、d. 不同角度圖像顯示左冠狀動脈前降支近中遠段擴張,遠段未見確切瘤樣擴張。RCA:右冠狀動脈;LAD:左冠狀動脈
患者術后恢復好,復查胸部 X 線片、心臟彩色多普勒超聲、CT 無明顯異常,手術切口愈合良好,于 2018 年 1 月 4 日出院,出院時患者一般情況可,無胸悶、氣緊、心悸等不適。出院后 2 年行電話隨訪,患者基本情況良好,無心血管相關癥狀,無相應術后并發癥。
討論 冠狀動脈瘤樣擴張(coronary artery ectasia,CAE)是指冠狀動脈的局限或彌漫性擴張,瘤樣擴張的冠狀動脈直徑超過相鄰正常冠狀動脈的 1.5 倍,其發病率為 0.3%~4.9%[1]。CAE 主要是由于動脈粥樣硬化累及血管中膜造成肌-彈力纖維成分破壞,薄弱的管壁在管內壓力的作用下向外膨出而導致冠狀動脈局限性擴張[2]。依據 CAE 的類型及累及范圍,將其分為 4 型:Ⅰ 型,2 支或 2 支以上冠狀動脈彌漫性擴張;Ⅱ 型,1 支冠狀動脈彌漫性擴張,同時合并其他冠狀動脈的局限性擴張;Ⅲ 型,1 支冠狀動脈彌漫性擴張;Ⅳ 型,1 支冠狀動脈節段性或局限性擴張[3]。當冠狀動脈擴張直徑大于 5 cm 時,我們稱之為“巨型冠狀動脈瘤”。據文獻報道,巨型冠狀動脈瘤發病率僅為 0.02%[4]。目前研究發現:在已確診的巨型 CAE 病例中,右冠狀動脈的發病率遠高于左冠狀動脈,右冠狀動脈的發病率接近 90%(其中在其近端部分的發病率為 85.7%),僅有極少數發生在左冠狀動脈[5]。
冠狀動脈瘺是一種少見的血管畸形,表現為冠狀動脈與心腔、體循環或肺循環的任何部分的異常血管瘺道[6]。冠狀動脈瘺的發病率占總人口的 0.002%,其病因可分為先天性或后天性,其中超過 90% 的冠狀動脈瘺屬于先天性發育畸形,后天獲得性冠狀動脈瘺多由醫源性造成,如冠狀動脈支架置入、冠狀動脈搭橋手術、創傷和胸部照射等[7]。在常規心血管造影中其發現率為 0.1%~0.2%[8],而在 CCTA 檢查中發現率約為 0.9%[9]。約 50% 的異常血管起源于右冠狀動脈,42% 起源于左冠狀動脈,5% 起源于雙側冠狀動脈,3% 起源于其他動脈;瘺入右心室的患者占絕大多數,約為 41%,瘺入右心房約為 26%,瘺入肺動脈約為 17%,其他瘺入途徑相對較少[10]。其中單支冠狀動脈瘺的發生率遠高于雙側冠狀動脈瘺,后者的發生率僅占冠狀動脈瘺發生率的 10.0%~16.0%。冠狀動脈-肺動脈瘺的發生率占所有冠狀動脈瘺的 15.0%~30.0%[11]。冠狀動脈-肺動脈瘺一般沒有明顯的臨床癥狀和異常血流動力學改變,常常為偶然發現,因此也無需特殊處理;極少數嚴重患者會因血流動力學改變引起心肌缺血,此時需要進行手術或介入治療[12]。當存在嚴重的左向右分流時,可能繼發肺動脈高壓、充血性心力衰竭或相關動脈瘤的破裂及血栓形成[13]。
本例患者左右冠狀動脈均有動脈瘤,屬于 Ⅱ 型 CAE,冠狀動脈巨型動脈瘤發生在左冠狀動脈,為少見病例,再合并雙側冠狀動脈-肺動脈瘺,實為罕見。目前研究認為 CAE 的常見病因為動脈粥樣硬化、川崎病等,可能與血管炎癥損傷、基質降解等相關[5, 14-15]。然而該患者無長期高血壓病史,也無動脈粥樣硬化、川崎病、大動脈炎、先天性疾病和感染性疾病。目前來說原因不明。患者左右冠狀動脈均有動脈瘤,由于左冠狀動脈-肺動脈瘺的存在,筆者推測冠狀動脈-肺動脈瘺有可能是左冠巨型動脈瘤的成因。
大多情況下,冠狀動脈-肺動脈瘺及單純 CAE 較少引起臨床癥狀,若出現臨床癥狀,其嚴重程度與瘺口直徑及患者年齡呈正相關,部分患者可出現呼吸困難、充血性心力衰竭等癥狀[16]。本例患者以心悸和心前區搏動感增強就診于急診科,休息無法緩解癥狀,反映了冠狀動脈-肺動脈瘺分流較明顯,由于巨大冠狀動脈瘤壓迫近段左冠狀動脈、左心室,致左冠狀動脈灌注功能減低,左冠狀動脈血流不能有效供應心肌,因此出現心肌缺血。
在本例患者的心臟 MRI 檢查結果中未見左、右心室收縮舒張功能異常,同時通過文獻復習也發現大多數 CAE 不會引起患者死亡,但 CAE 血管內膜的病理性改變及局部血流動力學異常極易使瘤內發生血栓[17]。本例患者左冠狀動脈瘤內合并大量陳舊性血栓,并壓迫左心室,其誘發心肌梗死的風險大大提高,且其心臟 MRI 可觀察到左心室室前壁及側壁局灶性的延遲強化的出現也提示了左心室已出現局灶性心肌缺血,又因合并大量心包積液,導致其癥狀較一般 CAE 患者癥狀明顯。采取積極的手術治療,可有效提高患者生存質量,應作為首選治療方案。
綜上,在術前評估檢查手段中,多種影像學檢查手段可提供不同的參考信息,冠狀動脈造影是診斷冠狀動脈瘺的金標準,能有效顯示病灶位置、大小及血流動力學改變;CCTA 能無創地顯示冠狀動脈起源、走行及管徑大小,為術前評估提供有效而精確的影像學信息;而進一步結合超聲心動圖、心臟 MRI 及核素顯像等能更加全面評估患者心臟結構及心肌組織特征等,可幫助臨床制定及時有效的治療手段及處理方案,對減少或避免急性心臟不良事件發生起到決定性的作用。