引用本文: 林敬, 吳波, 劉鳴. 誤診為多發性硬化及膠質瘤的原發性中樞系統血管炎一例. 華西醫學, 2018, 33(6): 766-768. doi: 10.7507/1002-0179.201802072 復制
病例介紹 患者,女,39 歲,農民,漢族,右利手。因“反復全身乏力、行走不穩 1 年余,口角右歪 3 個月”于 2016 年 12 月入院。現病史:2015 年 8 月患者于“感冒”后出現全身乏力,伴全頭部脹痛、視物成雙、頭暈、進食后嘔吐、行走不穩感,無視物旋轉、發熱、感覺障礙、意識障礙等其他不適,自認為患“感冒”于當地診所治療未見好轉。2015 年 9 月患者因上述癥狀于當地醫院住院治療,查頭部 MRI 提示:雙側大小腦半球、腦干多發斑片狀及團片狀異常信號影,病灶呈明顯強化,傾向于多發性硬化活動期(圖 1a、1b);腰椎穿刺顱壓正常,腦脊液常規:有核細胞 18×106/L,單核 40%,多核 60%,余檢查未見明顯異常;診斷為“多發性硬化”,予以激素沖擊等治療后患者視物成雙、頭暈、頭疼、行走不穩明顯好轉,仍有全身乏力感。出院后停用激素約 1 個月,患者再次出現全身乏力、行走不穩感,2015 年 11 月于當地醫院就診,復查頭部 MRI 提示大小腦半球及腦干多發斑片狀病灶,新老病灶并存(圖 1c),考慮“多發性硬化復發”,予以激素沖擊等治療后癥狀緩解,能自行行走,生活自理。出院后患者自行長期口服潑尼松 30 mg、1 次/d,但病情仍有進展,分別于 2016 年 7 月及 9 月病情復發,主要表現為雙下肢乏力及行走不穩,其中 2016 年 9 月伴左側眼瞼閉合無力、口角右歪、左耳耳鳴。復查頭部 MRI 提示顱內發現新發病灶(圖 1d),診斷考慮“多發性硬化”,予以激素沖擊及康復治療后癥狀緩解。 2016 年 11 月患者仍有全身乏力及行走不穩感,于浙江某醫院住院,完善頸髓 MRI、頭部磁共振血管造影(magnetic resonance angiography,MRA)影像學檢查提示顱內多發病變,左側額頂葉占位性病變性質不明(圖 1e~1h),建議其行病理活檢明確,患者及家屬決定暫不活檢,出院后回家鄉來我院治療。患者既往史、家族史、個人史無特殊。
體格檢查(查體):生命體征平穩,慢性病容,無口腔及會陰部潰瘍,余內科查體無特殊。專科查體:神志清楚,語速稍慢,余高級神經功能無異常,左側周圍性面癱,余顱神經無異常,四肢肌張力正常,雙上肢及左下肢肌力 5 級,右下肢肌力 4 級,右上肢指鼻試驗陽性,閉目難立征陽性。四肢深淺感覺無異常,四肢腱反射亢進,雙側霍夫曼征、巴彬斯基征陽性,腦膜刺激征陰性。住院期間多次腰椎穿刺,腦脊液初壓波動在 80~200 mm H2O(1 mm H2O= 0.009 8 kPa),有核細胞數波動在 8×106/L~50×106/L;腦脊液生化:蛋白最高 0.617 g/L,寡克隆區帶、抗水通道蛋白 4 抗體陰性,免疫球蛋白(immunoglobulin,Ig)G 合成率正常。完善血常規、紅細胞沉降率、血生化、凝血常規、結核感染 T 細胞 γ 干擾素釋放試驗、類風濕因子、抗可溶性抗原抗體譜、抗核抗體、腫瘤標志物、TORCH-IgM、抗雙鏈 DNA 抗體、輸血全套、寄生蟲抗體、抗中性粒細胞胞漿抗體、甲狀腺功能、抗心磷脂抗體、大小便常規均未見明顯異常。
入院后診療經過:入院后完善輔助檢查。實驗室檢查:血漿乳酸 4.59 mmol/L,余實驗室檢查無異常。視覺誘發電位、腦干誘發電位未見異常,心臟、腹部、泌尿系統彩色多普勒超聲(彩超)未見異常。頸部淋巴結彩超:淋巴結稍增大。婦科彩超:宮內環、子宮多發肌瘤。胸部 CT:右肺中葉外側段、右肺下葉胸膜下小結節,多系炎性結節。頭部 MRI:腦白質多發異常信號,部分強化,考慮多發性硬化。左側半卵圓中心強化結節,瘤樣脫髓鞘改變?腫瘤性病變?(圖 1i、1j)。完善上述檢查患者顱內強化結節診斷不明確,請神經外科會診完善病理活檢,會診后考慮顱內病變膠質瘤不排除,與患者家屬溝通后決定予以手術切除病灶。術后病理:腦組織廣泛壞死,部分小血管管腔閉塞,中等大小的小血管壁內見一些淋巴細胞浸潤,部分可疑纖維素樣壞死(圖 2),考慮為原發性中樞系統血管炎(primary angiitis of the central nervous system,PACNS)。術后予以潑尼松片 60 mg、1 次/d,復方環磷酰胺片 50 mg、2 次/d,口服治療,患者右下肢無力及行走不穩逐漸好轉,于 2017 年 1 月出院。出院后 1 年隨訪患者,患者未再訴行走不穩及右下肢乏力,生活自理,無服藥副作用,預后良好,但患者有癇性發作 1 次,目前加用丙戊酸鈉緩釋片對癥治療,繼續隨訪患者病情變化。

a、b. 2015 年 9 月頭部 MRI 增強掃描顯示顱內多發點狀強化灶,水抑制成像可見大小腦半球及腦干多發斑片狀高信號;c. 2015 年 11 月頭部 MRI T2 加權像顯示顱內新發斑片狀長 T2 高信號病灶;d. 2016 年 9 月頭部 MRI 水抑制成像示左側尾狀核、基底節區、皮質下新發高信號病灶;e~h. 2016 年 11 月頭部 MRA、頸椎 MRI 未見異常,MRI 增強掃描可見左側半卵圓區環形強化病灶伴大片水腫,水抑制成像提示胼胝體及雙側大腦半球點狀及大片狀高信號病灶;i、j. 2016 年 12 月頭部 MRI 水抑制成像顯示左側大腦半球為主的多發高信號病灶,強化掃描可見左側半卵圓中心強化病灶伴大片水腫

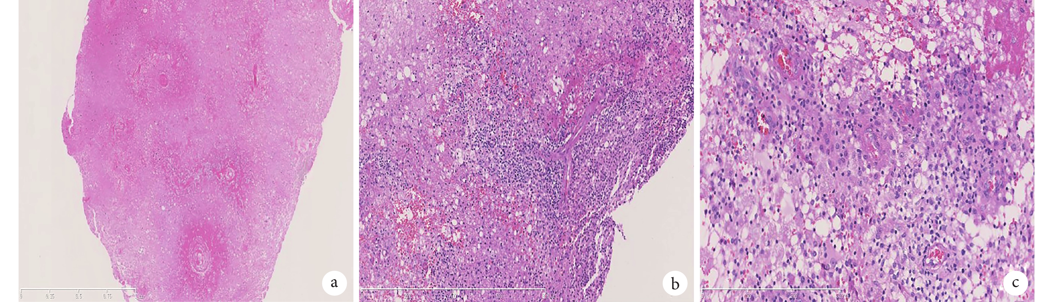
HE 染色示所檢組織內大片壞死;小血管周圍可見大量淋巴細胞浸潤;部分血管壁纖維素樣壞死;a. HE ×50;b. HE ×100;c. HE×200
討論 PACNS 是一種以僅累及中樞神經系統中小血管為特征的免疫性血管炎,發病率約為 2.4/100 萬[1]。該病病情重、易復發,病死率為 6%~15%,復發率為 25%~33%,早期明確診斷及治療可降低其不良預后的發生,但該病臨床表現、影像學、實驗室檢查均無特異性,診斷困難[2]。PACNS 由 Harbite 在 1922 年首次報道,由于發病率極低及缺乏大樣本量的研究,PACNS 的病因及發病機制仍然不明,目前主要認為與自身免疫異常、病毒感染誘導、載脂蛋白等位基因突變誘發的免疫攻擊等機制有關[3]。近期梅奧診所回顧性分析了近 29 年在該院就診的 158 例 PACNS 及淋巴瘤患者,發現其中 10 例患者合并淋巴瘤及 PACNS,提示 PACNS 的發病可能存在免疫副腫瘤機制[4]。本例患者在病程中出現周圍性面癱,提示病毒感染介導的可能性,有待進一步研究。而本病例最初診斷考慮的多發性硬化主要為中樞神經系統炎性脫髓鞘,鞘氨醇激酶/1-磷酸鞘氨醇上調反應性星型膠質細胞可能參與了其神經炎癥的發展和維持[5]。PACNS 主要為慢性或亞急性起病,可呈復發緩解及進行性加重病程,臨床表現與受累的血管部位、受累血管的病理分型有關,無典型的癥狀和體征,最常見的臨床表現是頭疼、局灶性神經功能缺損及認知功能障礙,部分患者可有癇性發作、腦病及脊髓損害表現[2, 6]。PACNS 患者的實驗室、影像學檢查均無特異性,主要為 PACNS 的鑒別診斷提供依據,目前針對病變部位腦實質及腦膜組織活檢仍是診斷 PACNS 的金標準[7]。經病理確診的患者中有約 90% 的腦脊液檢查結果異常,常見的是蛋白含量增加及細胞數升高;一般血生化檢查無特異性,紅細胞沉降率可高于正常值的 2~3 倍,血清自身免疫抗體多為陰性,個別患者可抗中性粒細胞胞漿抗體弱陽性[2, 8]。影像學檢查中以頭部 MRI 參考價值最大,PACNS 的 MRI 表現為病變同時累及灰質和白質,以白質為主,可伴有腦回狀或斑片狀強化,呈多發性病灶,新舊病灶并存或呈瘤樣病變;彌散加權成像能顯示新舊缺血病灶;磁敏感加權成像可以發現血管炎周圍代償增粗的血管影及微出血;全腦血管造影可發現局灶性、節段性顱內中小動脈狹窄,可呈典型的串珠樣改變[7, 9];根據 Birnbaum 等[7]在 2009 年更新的診斷標準,出現以上臨床、實驗室及影像學表現,不能用其他疾病解釋時,可疑診 PACNS;若病理活檢表現為原發的血管透壁性損害及血管破壞性炎性反應,便可確診 PACNS。
PACNS 的癥狀、體征、輔助檢查不具特異性,確診需依據病理活檢。因此,PACNS 需與繼發性中樞系統血管炎、炎性脫髓鞘性疾病、腫瘤類疾病、遺傳代謝性疾病等相鑒別[8]。除了與本例誤診的多發性硬化及膠質瘤相鑒別外還應注意和以下疾病相鑒別。繼發性中樞系統血管炎是繼發于免疫性疾病、系統性血管炎或感染性血管炎的累及中樞系統的血管炎,通常合并免疫性疾病或感染性疾病,如結節性多動脈炎、巨細胞動脈炎、神經白塞病、過敏性紫癜、韋格納肉芽腫、系統性紅斑狼瘡、結核感染、水痘-帶狀皰疹感染等[8],常具有特異的體征或免疫指標、感染指標改變,有助于鑒別診斷。PACNS 可通過反復的雷擊樣頭疼和典型的頭部血管成像串珠樣改變與可逆性腦血管收縮綜合征相鑒別;可通過家族史、皮膚活檢及基因檢查與伴皮質下梗死和白質腦病的常染色體顯性遺傳性腦動脈病鑒別[8]。總之 PACNS 的鑒別診斷繁多,診斷時需先排除其他疾病。
PACNS 初始治療為靜脈使用甲潑尼龍 1 g/d 沖擊治療 3~5 d,后改為潑尼松 1 mg/(kg·d)口服約 1 周,逐漸減量至最小有效劑量維持;病情嚴重者可加用環磷酰胺 1~2 mg/(kg·d)口服或每月靜脈使用環磷酰胺 1 g/m2 體表面積,連續 6 個月。初始治療 6 個月后,通常可換為低毒性的免疫抑制劑如硫唑嘌呤、麥考酚酸莫酯等藥物治療 6~12 個月[8, 10]。本病大多數患者預后差,但早期應用糖皮質激素等藥物治療可改善 PACNS 的預后。總之,目前 PACNS 仍是個臨床難題,其病因、病理、臨床表現、診斷及治療等方面尚需要進一步的研究。
本例患者為青年女性,“感冒”后起病,病情多次復發、緩解,并有進行性加重趨勢,主要臨床表現有全身乏力、復視、頭疼、頭暈、行走不穩、面癱等,腰椎穿刺腦脊液細胞數及蛋白均有升高,寡克隆區帶、抗水通道蛋白 4 抗體陰性,頭部 MRI 提示顱內大小腦半球多發病灶,新舊病灶并存,有點片狀強化,腦血管檢查未見異常,病灶具有時間及空間多發的特點,激素能緩解病情進展,多次誤診為“多發性硬化”,反映了本病診斷的困難,以上有 2 點經驗值得總結:① 糖皮質激素可使多種疾病的癥狀緩解,故治療有效并不能反證診斷正確,臨床上應警惕因濫用糖皮質激素導致的誤診[11];② 患者寡克隆區帶陰性,IgG 合成率不高,缺乏對“多發性硬化”診斷的更多實驗室支持,這提示在診斷多發性硬化這一類相對常見的疾病時,如治療效果不理想且診斷依據不是特別充分時,應考慮到少見的鑒別診斷。后期患者左側額頂葉出現占位性病變并伴有強化,診斷為“膠質瘤”予以手術切除,術后病理證實為 PACNS,這提示病理活檢在本病診斷中的重要作用;同時提醒在診斷疾病時病史的重要性,不能僅依靠影像學作出診斷,本例患者若回顧病史便會因膠質瘤很少由多發的點片狀病灶發展而來而否定膠質瘤的診斷,且膠質瘤對激素的治療并不敏感[12]。本例患者由局灶性神經功能受損及頭疼起病,病程復發緩解并進行性加重,與既往報道類似;本病例病程及隨訪時間長,其顱內病灶 MRI 表現由最初的散在點片狀病灶發展為合并腫瘤樣病變的病灶,尚未見類似報告;故當患者出現局灶性中樞神經系統癥狀,影像學表現類似多發性硬化,后期又合并腫瘤樣影像學改變時,若無法用其他疾病解釋,應考慮 PACNS 的可能,可進一步完善相應實驗室、影像學等檢查,必要時完善病理活檢明確診斷,以免延誤病情。
病例介紹 患者,女,39 歲,農民,漢族,右利手。因“反復全身乏力、行走不穩 1 年余,口角右歪 3 個月”于 2016 年 12 月入院。現病史:2015 年 8 月患者于“感冒”后出現全身乏力,伴全頭部脹痛、視物成雙、頭暈、進食后嘔吐、行走不穩感,無視物旋轉、發熱、感覺障礙、意識障礙等其他不適,自認為患“感冒”于當地診所治療未見好轉。2015 年 9 月患者因上述癥狀于當地醫院住院治療,查頭部 MRI 提示:雙側大小腦半球、腦干多發斑片狀及團片狀異常信號影,病灶呈明顯強化,傾向于多發性硬化活動期(圖 1a、1b);腰椎穿刺顱壓正常,腦脊液常規:有核細胞 18×106/L,單核 40%,多核 60%,余檢查未見明顯異常;診斷為“多發性硬化”,予以激素沖擊等治療后患者視物成雙、頭暈、頭疼、行走不穩明顯好轉,仍有全身乏力感。出院后停用激素約 1 個月,患者再次出現全身乏力、行走不穩感,2015 年 11 月于當地醫院就診,復查頭部 MRI 提示大小腦半球及腦干多發斑片狀病灶,新老病灶并存(圖 1c),考慮“多發性硬化復發”,予以激素沖擊等治療后癥狀緩解,能自行行走,生活自理。出院后患者自行長期口服潑尼松 30 mg、1 次/d,但病情仍有進展,分別于 2016 年 7 月及 9 月病情復發,主要表現為雙下肢乏力及行走不穩,其中 2016 年 9 月伴左側眼瞼閉合無力、口角右歪、左耳耳鳴。復查頭部 MRI 提示顱內發現新發病灶(圖 1d),診斷考慮“多發性硬化”,予以激素沖擊及康復治療后癥狀緩解。 2016 年 11 月患者仍有全身乏力及行走不穩感,于浙江某醫院住院,完善頸髓 MRI、頭部磁共振血管造影(magnetic resonance angiography,MRA)影像學檢查提示顱內多發病變,左側額頂葉占位性病變性質不明(圖 1e~1h),建議其行病理活檢明確,患者及家屬決定暫不活檢,出院后回家鄉來我院治療。患者既往史、家族史、個人史無特殊。
體格檢查(查體):生命體征平穩,慢性病容,無口腔及會陰部潰瘍,余內科查體無特殊。專科查體:神志清楚,語速稍慢,余高級神經功能無異常,左側周圍性面癱,余顱神經無異常,四肢肌張力正常,雙上肢及左下肢肌力 5 級,右下肢肌力 4 級,右上肢指鼻試驗陽性,閉目難立征陽性。四肢深淺感覺無異常,四肢腱反射亢進,雙側霍夫曼征、巴彬斯基征陽性,腦膜刺激征陰性。住院期間多次腰椎穿刺,腦脊液初壓波動在 80~200 mm H2O(1 mm H2O= 0.009 8 kPa),有核細胞數波動在 8×106/L~50×106/L;腦脊液生化:蛋白最高 0.617 g/L,寡克隆區帶、抗水通道蛋白 4 抗體陰性,免疫球蛋白(immunoglobulin,Ig)G 合成率正常。完善血常規、紅細胞沉降率、血生化、凝血常規、結核感染 T 細胞 γ 干擾素釋放試驗、類風濕因子、抗可溶性抗原抗體譜、抗核抗體、腫瘤標志物、TORCH-IgM、抗雙鏈 DNA 抗體、輸血全套、寄生蟲抗體、抗中性粒細胞胞漿抗體、甲狀腺功能、抗心磷脂抗體、大小便常規均未見明顯異常。
入院后診療經過:入院后完善輔助檢查。實驗室檢查:血漿乳酸 4.59 mmol/L,余實驗室檢查無異常。視覺誘發電位、腦干誘發電位未見異常,心臟、腹部、泌尿系統彩色多普勒超聲(彩超)未見異常。頸部淋巴結彩超:淋巴結稍增大。婦科彩超:宮內環、子宮多發肌瘤。胸部 CT:右肺中葉外側段、右肺下葉胸膜下小結節,多系炎性結節。頭部 MRI:腦白質多發異常信號,部分強化,考慮多發性硬化。左側半卵圓中心強化結節,瘤樣脫髓鞘改變?腫瘤性病變?(圖 1i、1j)。完善上述檢查患者顱內強化結節診斷不明確,請神經外科會診完善病理活檢,會診后考慮顱內病變膠質瘤不排除,與患者家屬溝通后決定予以手術切除病灶。術后病理:腦組織廣泛壞死,部分小血管管腔閉塞,中等大小的小血管壁內見一些淋巴細胞浸潤,部分可疑纖維素樣壞死(圖 2),考慮為原發性中樞系統血管炎(primary angiitis of the central nervous system,PACNS)。術后予以潑尼松片 60 mg、1 次/d,復方環磷酰胺片 50 mg、2 次/d,口服治療,患者右下肢無力及行走不穩逐漸好轉,于 2017 年 1 月出院。出院后 1 年隨訪患者,患者未再訴行走不穩及右下肢乏力,生活自理,無服藥副作用,預后良好,但患者有癇性發作 1 次,目前加用丙戊酸鈉緩釋片對癥治療,繼續隨訪患者病情變化。

a、b. 2015 年 9 月頭部 MRI 增強掃描顯示顱內多發點狀強化灶,水抑制成像可見大小腦半球及腦干多發斑片狀高信號;c. 2015 年 11 月頭部 MRI T2 加權像顯示顱內新發斑片狀長 T2 高信號病灶;d. 2016 年 9 月頭部 MRI 水抑制成像示左側尾狀核、基底節區、皮質下新發高信號病灶;e~h. 2016 年 11 月頭部 MRA、頸椎 MRI 未見異常,MRI 增強掃描可見左側半卵圓區環形強化病灶伴大片水腫,水抑制成像提示胼胝體及雙側大腦半球點狀及大片狀高信號病灶;i、j. 2016 年 12 月頭部 MRI 水抑制成像顯示左側大腦半球為主的多發高信號病灶,強化掃描可見左側半卵圓中心強化病灶伴大片水腫

HE 染色示所檢組織內大片壞死;小血管周圍可見大量淋巴細胞浸潤;部分血管壁纖維素樣壞死;a. HE ×50;b. HE ×100;c. HE×200
討論 PACNS 是一種以僅累及中樞神經系統中小血管為特征的免疫性血管炎,發病率約為 2.4/100 萬[1]。該病病情重、易復發,病死率為 6%~15%,復發率為 25%~33%,早期明確診斷及治療可降低其不良預后的發生,但該病臨床表現、影像學、實驗室檢查均無特異性,診斷困難[2]。PACNS 由 Harbite 在 1922 年首次報道,由于發病率極低及缺乏大樣本量的研究,PACNS 的病因及發病機制仍然不明,目前主要認為與自身免疫異常、病毒感染誘導、載脂蛋白等位基因突變誘發的免疫攻擊等機制有關[3]。近期梅奧診所回顧性分析了近 29 年在該院就診的 158 例 PACNS 及淋巴瘤患者,發現其中 10 例患者合并淋巴瘤及 PACNS,提示 PACNS 的發病可能存在免疫副腫瘤機制[4]。本例患者在病程中出現周圍性面癱,提示病毒感染介導的可能性,有待進一步研究。而本病例最初診斷考慮的多發性硬化主要為中樞神經系統炎性脫髓鞘,鞘氨醇激酶/1-磷酸鞘氨醇上調反應性星型膠質細胞可能參與了其神經炎癥的發展和維持[5]。PACNS 主要為慢性或亞急性起病,可呈復發緩解及進行性加重病程,臨床表現與受累的血管部位、受累血管的病理分型有關,無典型的癥狀和體征,最常見的臨床表現是頭疼、局灶性神經功能缺損及認知功能障礙,部分患者可有癇性發作、腦病及脊髓損害表現[2, 6]。PACNS 患者的實驗室、影像學檢查均無特異性,主要為 PACNS 的鑒別診斷提供依據,目前針對病變部位腦實質及腦膜組織活檢仍是診斷 PACNS 的金標準[7]。經病理確診的患者中有約 90% 的腦脊液檢查結果異常,常見的是蛋白含量增加及細胞數升高;一般血生化檢查無特異性,紅細胞沉降率可高于正常值的 2~3 倍,血清自身免疫抗體多為陰性,個別患者可抗中性粒細胞胞漿抗體弱陽性[2, 8]。影像學檢查中以頭部 MRI 參考價值最大,PACNS 的 MRI 表現為病變同時累及灰質和白質,以白質為主,可伴有腦回狀或斑片狀強化,呈多發性病灶,新舊病灶并存或呈瘤樣病變;彌散加權成像能顯示新舊缺血病灶;磁敏感加權成像可以發現血管炎周圍代償增粗的血管影及微出血;全腦血管造影可發現局灶性、節段性顱內中小動脈狹窄,可呈典型的串珠樣改變[7, 9];根據 Birnbaum 等[7]在 2009 年更新的診斷標準,出現以上臨床、實驗室及影像學表現,不能用其他疾病解釋時,可疑診 PACNS;若病理活檢表現為原發的血管透壁性損害及血管破壞性炎性反應,便可確診 PACNS。
PACNS 的癥狀、體征、輔助檢查不具特異性,確診需依據病理活檢。因此,PACNS 需與繼發性中樞系統血管炎、炎性脫髓鞘性疾病、腫瘤類疾病、遺傳代謝性疾病等相鑒別[8]。除了與本例誤診的多發性硬化及膠質瘤相鑒別外還應注意和以下疾病相鑒別。繼發性中樞系統血管炎是繼發于免疫性疾病、系統性血管炎或感染性血管炎的累及中樞系統的血管炎,通常合并免疫性疾病或感染性疾病,如結節性多動脈炎、巨細胞動脈炎、神經白塞病、過敏性紫癜、韋格納肉芽腫、系統性紅斑狼瘡、結核感染、水痘-帶狀皰疹感染等[8],常具有特異的體征或免疫指標、感染指標改變,有助于鑒別診斷。PACNS 可通過反復的雷擊樣頭疼和典型的頭部血管成像串珠樣改變與可逆性腦血管收縮綜合征相鑒別;可通過家族史、皮膚活檢及基因檢查與伴皮質下梗死和白質腦病的常染色體顯性遺傳性腦動脈病鑒別[8]。總之 PACNS 的鑒別診斷繁多,診斷時需先排除其他疾病。
PACNS 初始治療為靜脈使用甲潑尼龍 1 g/d 沖擊治療 3~5 d,后改為潑尼松 1 mg/(kg·d)口服約 1 周,逐漸減量至最小有效劑量維持;病情嚴重者可加用環磷酰胺 1~2 mg/(kg·d)口服或每月靜脈使用環磷酰胺 1 g/m2 體表面積,連續 6 個月。初始治療 6 個月后,通常可換為低毒性的免疫抑制劑如硫唑嘌呤、麥考酚酸莫酯等藥物治療 6~12 個月[8, 10]。本病大多數患者預后差,但早期應用糖皮質激素等藥物治療可改善 PACNS 的預后。總之,目前 PACNS 仍是個臨床難題,其病因、病理、臨床表現、診斷及治療等方面尚需要進一步的研究。
本例患者為青年女性,“感冒”后起病,病情多次復發、緩解,并有進行性加重趨勢,主要臨床表現有全身乏力、復視、頭疼、頭暈、行走不穩、面癱等,腰椎穿刺腦脊液細胞數及蛋白均有升高,寡克隆區帶、抗水通道蛋白 4 抗體陰性,頭部 MRI 提示顱內大小腦半球多發病灶,新舊病灶并存,有點片狀強化,腦血管檢查未見異常,病灶具有時間及空間多發的特點,激素能緩解病情進展,多次誤診為“多發性硬化”,反映了本病診斷的困難,以上有 2 點經驗值得總結:① 糖皮質激素可使多種疾病的癥狀緩解,故治療有效并不能反證診斷正確,臨床上應警惕因濫用糖皮質激素導致的誤診[11];② 患者寡克隆區帶陰性,IgG 合成率不高,缺乏對“多發性硬化”診斷的更多實驗室支持,這提示在診斷多發性硬化這一類相對常見的疾病時,如治療效果不理想且診斷依據不是特別充分時,應考慮到少見的鑒別診斷。后期患者左側額頂葉出現占位性病變并伴有強化,診斷為“膠質瘤”予以手術切除,術后病理證實為 PACNS,這提示病理活檢在本病診斷中的重要作用;同時提醒在診斷疾病時病史的重要性,不能僅依靠影像學作出診斷,本例患者若回顧病史便會因膠質瘤很少由多發的點片狀病灶發展而來而否定膠質瘤的診斷,且膠質瘤對激素的治療并不敏感[12]。本例患者由局灶性神經功能受損及頭疼起病,病程復發緩解并進行性加重,與既往報道類似;本病例病程及隨訪時間長,其顱內病灶 MRI 表現由最初的散在點片狀病灶發展為合并腫瘤樣病變的病灶,尚未見類似報告;故當患者出現局灶性中樞神經系統癥狀,影像學表現類似多發性硬化,后期又合并腫瘤樣影像學改變時,若無法用其他疾病解釋,應考慮 PACNS 的可能,可進一步完善相應實驗室、影像學等檢查,必要時完善病理活檢明確診斷,以免延誤病情。