引用本文: 羅富超, 鐘斌. 肝癌侵犯膈肌并自發性胸腔出血一例. 華西醫學, 2017, 32(10): 1647-1648. doi: 10.7507/1002-0179.201606021 復制
病例介紹 患者,男,64 歲。因“右側胸悶、胸痛 3 h”于 2016 年 2 月 23 日入院。既往有脂肪肝病史 2 年,無肝炎病史。體格檢查:體溫 36.2℃,脈搏 92 次/min,呼吸頻率 22 次/min,(多巴胺維持下)血壓 111/65 mm Hg (1 mm Hg=0.133 kPa),氧飽和度 95%。右側呼吸動度減弱,右肺叩診呈濁音,右肺呼吸音明顯降低。腹部無壓痛、肌緊張、反跳痛,肝肋下約 2 指,無明顯壓痛,肝區有叩痛,未觸及包塊。腸鳴音 4 次/min。急診 CT:右側胸腔中大量積液,右下肺實變、不張;右肺及左肺下葉后基底段感染灶;重度脂肪肝,肝臟環形病灶待定。行診斷性胸腔穿刺抽出不凝血。
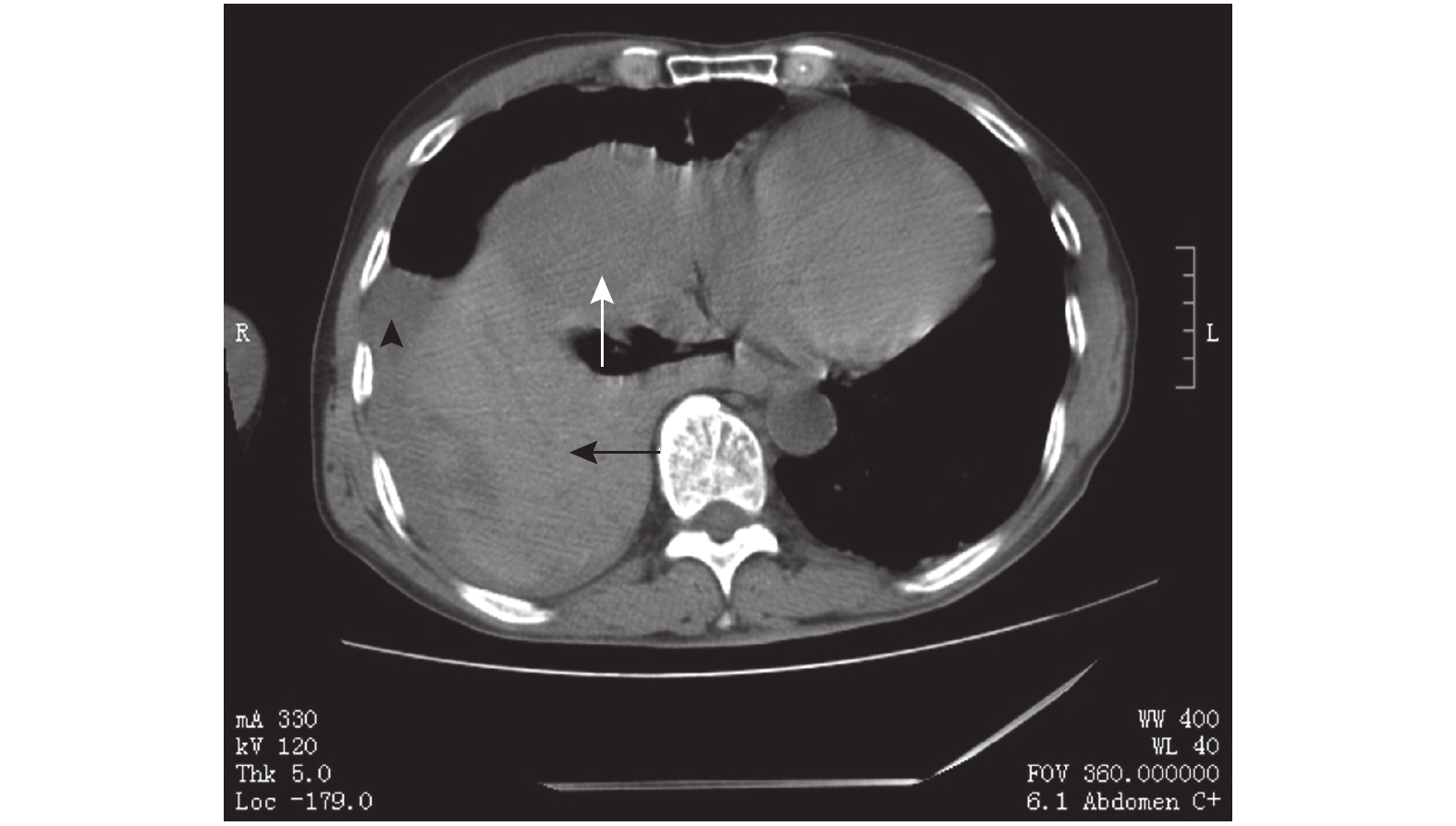
入院當天急診行剖胸探查術,以右側第 5 肋間做前外側小切口進胸,探查見:右側胸腔積血和血凝塊約 3 000 mL,右膈肌見 6 cm×5 cm 包塊外生型生長并侵犯右下肺內基底段,包塊頂端破裂伴活動性出血(圖 1),破碎組織呈黃白色、易碎,并播散于胸腔內。包塊與膈肌融合無界限,右胸、腹腔不相通。結合術前胸、腹部 CT(圖 2),考慮包塊為巨大肝癌突破肝包膜侵犯膈肌后破裂出血。術中處理:受侵犯右下肺組織行楔形切除,連同破碎腫瘤組織行冰凍病理檢查,結果示肝細胞癌侵犯肺組織。術中經右胸切口無法行肝癌切除,且術前 CT 未發現腹腔出血征象,根據損傷控制原則,決定經胸腔行肝癌出血創面微波消融止血術。術中使用一次性高功率微波針 2 根,選取功率 70 W,多點同時并行穿刺消融約 15 min 止血。術中輸血 1 500 mL,術后轉入重癥監護病房治療,2 d 后轉普通病房繼續治療。術后病理診斷:① (肝)肝細胞性肝癌(低分化);② (右肺)見癌組織轉移。

肝癌突破膈肌(黑箭),示正常膈肌(白箭頭)、肺(白箭)、微波消融針(黑箭頭)

示肝癌(白箭)、肝臟(黑箭)、胸腔積血(黑箭頭)
討論 膈肌為肝臟上方重要的毗鄰結構,其分隔胸腔與腹腔,右肝大部分表面為膈肌覆蓋。生長在肝臟表面尤其是 Ⅶ、Ⅷ 段的腫瘤常累及臨近的膈肌,其發生率為 10%~13%[1]。術前通過影像學判斷肝癌是否有膈肌侵犯較為困難,術中一旦發現膈肌受累,尤其是 Ⅶ、Ⅷ 段腫瘤,顯露困難,手術難度較大[2]。有報道采用腫瘤連同膈肌整塊切除術式安全、有效,可完整切除腫瘤并減少腫瘤播散種植的風險[3-5]。本例肝癌侵犯膈肌并引起胸腔出血的病例較罕見,手術處理有一定難度,無論是向胸腔或腹腔出血,外科處理都較為棘手。彭淑牖等[6]報道 1 例經腹腔應用繞肝帶提拉肝臟法處理巨大右肝癌粘連膈肌破裂出血,手術成功切除右半肝。朱玉生[7]報道 2 例肝癌向胸腔破裂出血,患者均短期內死亡,其中 1 例經尸檢證實肝癌侵犯膈肌破裂出血。本例患者因進行性血胸行開胸探查發現為肝癌向胸腔破裂出血,結合 CT 考慮肝臟腫瘤大,胸腔大量失血后患者難以承受肝癌根治術,根據損傷控制原則首先需對肝癌出血創面進行止血,為后期肝癌切除創造條件。由于腫瘤破裂采用常規止血方法處理困難,術中采用高功率微波消融術,選取功率 70 W、多點同時穿刺消融,創面迅速止血。
肝癌侵犯膈肌伴出血往往提示已組織學侵犯膈肌,制定治療方案前首先要了解肝內腫瘤情況以及膈肌侵犯范圍以判斷肝癌是否可切除,如肝癌可切除則應積極行根治性切除術,將受累膈肌連同腫瘤整塊切除,切緣距離受累膈肌至少 1 cm[5]。肝癌侵犯膈肌伴出血均為急診病例,手術切口要能獲得充分暴露,既能快速控制出血又便于腫瘤切除,若出血部位在腹腔可采用右側肋緣下斜切口或反“L”型切口;出血部位在胸腔病例實屬罕見,可采用胸腹聯合切口(經右胸第 7、8 肋前外側切口橫斷肋弓+肋緣下斜切口)可同時處理胸腔出血及腹腔情況,獲得良好暴露。術中常規在肝十二指腸韌帶套阻斷帶以備在出血較大時阻斷入肝血流。膈肌缺損不大者直接采用絲線間斷縫合,缺損大者采用滌綸補片修補。如術前判斷肝內腫瘤無法切除或患者難以承受大手術則僅行姑息止血術,以便后期行綜合治療。微波消融止血法對肝癌破裂出血是有效的止血方法。
病例介紹 患者,男,64 歲。因“右側胸悶、胸痛 3 h”于 2016 年 2 月 23 日入院。既往有脂肪肝病史 2 年,無肝炎病史。體格檢查:體溫 36.2℃,脈搏 92 次/min,呼吸頻率 22 次/min,(多巴胺維持下)血壓 111/65 mm Hg (1 mm Hg=0.133 kPa),氧飽和度 95%。右側呼吸動度減弱,右肺叩診呈濁音,右肺呼吸音明顯降低。腹部無壓痛、肌緊張、反跳痛,肝肋下約 2 指,無明顯壓痛,肝區有叩痛,未觸及包塊。腸鳴音 4 次/min。急診 CT:右側胸腔中大量積液,右下肺實變、不張;右肺及左肺下葉后基底段感染灶;重度脂肪肝,肝臟環形病灶待定。行診斷性胸腔穿刺抽出不凝血。
入院當天急診行剖胸探查術,以右側第 5 肋間做前外側小切口進胸,探查見:右側胸腔積血和血凝塊約 3 000 mL,右膈肌見 6 cm×5 cm 包塊外生型生長并侵犯右下肺內基底段,包塊頂端破裂伴活動性出血(圖 1),破碎組織呈黃白色、易碎,并播散于胸腔內。包塊與膈肌融合無界限,右胸、腹腔不相通。結合術前胸、腹部 CT(圖 2),考慮包塊為巨大肝癌突破肝包膜侵犯膈肌后破裂出血。術中處理:受侵犯右下肺組織行楔形切除,連同破碎腫瘤組織行冰凍病理檢查,結果示肝細胞癌侵犯肺組織。術中經右胸切口無法行肝癌切除,且術前 CT 未發現腹腔出血征象,根據損傷控制原則,決定經胸腔行肝癌出血創面微波消融止血術。術中使用一次性高功率微波針 2 根,選取功率 70 W,多點同時并行穿刺消融約 15 min 止血。術中輸血 1 500 mL,術后轉入重癥監護病房治療,2 d 后轉普通病房繼續治療。術后病理診斷:① (肝)肝細胞性肝癌(低分化);② (右肺)見癌組織轉移。

肝癌突破膈肌(黑箭),示正常膈肌(白箭頭)、肺(白箭)、微波消融針(黑箭頭)

示肝癌(白箭)、肝臟(黑箭)、胸腔積血(黑箭頭)
討論 膈肌為肝臟上方重要的毗鄰結構,其分隔胸腔與腹腔,右肝大部分表面為膈肌覆蓋。生長在肝臟表面尤其是 Ⅶ、Ⅷ 段的腫瘤常累及臨近的膈肌,其發生率為 10%~13%[1]。術前通過影像學判斷肝癌是否有膈肌侵犯較為困難,術中一旦發現膈肌受累,尤其是 Ⅶ、Ⅷ 段腫瘤,顯露困難,手術難度較大[2]。有報道采用腫瘤連同膈肌整塊切除術式安全、有效,可完整切除腫瘤并減少腫瘤播散種植的風險[3-5]。本例肝癌侵犯膈肌并引起胸腔出血的病例較罕見,手術處理有一定難度,無論是向胸腔或腹腔出血,外科處理都較為棘手。彭淑牖等[6]報道 1 例經腹腔應用繞肝帶提拉肝臟法處理巨大右肝癌粘連膈肌破裂出血,手術成功切除右半肝。朱玉生[7]報道 2 例肝癌向胸腔破裂出血,患者均短期內死亡,其中 1 例經尸檢證實肝癌侵犯膈肌破裂出血。本例患者因進行性血胸行開胸探查發現為肝癌向胸腔破裂出血,結合 CT 考慮肝臟腫瘤大,胸腔大量失血后患者難以承受肝癌根治術,根據損傷控制原則首先需對肝癌出血創面進行止血,為后期肝癌切除創造條件。由于腫瘤破裂采用常規止血方法處理困難,術中采用高功率微波消融術,選取功率 70 W、多點同時穿刺消融,創面迅速止血。
肝癌侵犯膈肌伴出血往往提示已組織學侵犯膈肌,制定治療方案前首先要了解肝內腫瘤情況以及膈肌侵犯范圍以判斷肝癌是否可切除,如肝癌可切除則應積極行根治性切除術,將受累膈肌連同腫瘤整塊切除,切緣距離受累膈肌至少 1 cm[5]。肝癌侵犯膈肌伴出血均為急診病例,手術切口要能獲得充分暴露,既能快速控制出血又便于腫瘤切除,若出血部位在腹腔可采用右側肋緣下斜切口或反“L”型切口;出血部位在胸腔病例實屬罕見,可采用胸腹聯合切口(經右胸第 7、8 肋前外側切口橫斷肋弓+肋緣下斜切口)可同時處理胸腔出血及腹腔情況,獲得良好暴露。術中常規在肝十二指腸韌帶套阻斷帶以備在出血較大時阻斷入肝血流。膈肌缺損不大者直接采用絲線間斷縫合,缺損大者采用滌綸補片修補。如術前判斷肝內腫瘤無法切除或患者難以承受大手術則僅行姑息止血術,以便后期行綜合治療。微波消融止血法對肝癌破裂出血是有效的止血方法。