引用本文: 賴軍, 葉麗娟, 楊雪, 羅鈺, 鄢秀英. 上腔靜脈綜合征行右頸內靜脈-右股靜脈體外轉流腫瘤切除術后護理一例. 華西醫學, 2016, 31(5): 998-1000. doi: 10.7507/1002-0179.201600269 復制
1 病例介紹
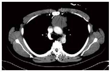
患者?男,30歲。因“顏面腫脹2周”于2014年7月23日入院,神志清楚,情緒穩定,精神差,活動后感氣緊。體格檢查:顏面部腫脹,頸靜脈怒張,雙上肢輕度腫脹。胸、腹部增強CT示:前縱隔團塊狀軟組織腫塊影,大小約 4.8 cm×5.8 cm,輪廓欠光整,密度欠均勻,增強后不均勻性強化,腫塊和升主動脈、主肺動脈干分界不清,頭臂干動脈周圍見軟組織影環繞,左頭臂靜脈被包埋或推移,該血管顯示不清,左胸壁多數側支血管開放,上腔靜脈及右頭臂靜脈見明顯受累征象(圖 1)。輔助檢查:血液常規、生物化學、凝血、輸血全套未見異常。心、肝、脾、胰、腎及腎上腺形態、結構未見異常。診斷結果:①縱隔腫瘤侵犯左右無名靜脈、左右鎖骨下靜脈及右頸內靜脈血栓形成;②上腔靜脈綜合征(SVCS)。
圖1
患者胸部增強掃描像
經積極完善術前準備后,患者一般情況可,診斷明確,有手術指征,無絕對手術禁忌證;全科醫師討論后,于2014年7月31日在全身麻醉下采用正中開胸加頸部橫切口并右頸內靜脈-股靜脈體外轉流下,對患者行前縱隔腫瘤切除術、左右無名靜脈和上腔靜脈切除術并人造血管置換術(右頸內靜脈-上腔靜脈人造血管移植重建術,左鎖骨下靜脈-右心房人工血管重建術)。因術中失血過多,術后患者血壓一直不穩定,且患者自訴感心累,反復出現心律不齊,心率最高180次/min左右,且傷口疼痛難忍,期間先后經靜脈輸入紅細胞懸液、血漿補血,靜脈泵入鹽酸多巴胺注射液、重酒石酸間羥胺注射液升壓,靜脈推入去乙酰毛花苷注射液(商品名:西地蘭)、鹽酸胺碘酮注射液(商品名:可達龍)、呋塞米注射液(商品名:速尿),肌肉注射鹽酸哌替啶注射液(商品名:杜冷丁)。針對患者行人造血管置換術行相關處理,同時經靜脈輸入亞胺培南西司他丁鈉(商品名:泰能)500 mg+生理鹽水50 mL,8 h/次;注射用泮托拉唑鈉(商品名:韋迪)40 mg+生理鹽水50 mL,2次/d;注射用鹽酸氨溴索(商品名:沐舒坦)90 mg+生理鹽水50 mL,3次/d;霧化吸入布地奈德混懸液(商品名:普米克會舒)2 mL+硫酸特布他林(商品名:博利康尼)2 mL,3次/d等。出院前復查血常規、生物化學未見異常,凝血常規示凝血酶原時間(PT)16.5 s;胸部增強掃描示:胸骨及胸壁術后改變,前縱隔未見確切軟組織腫塊影,縱隔脂肪間隙模糊,右靜脈動脈至上腔靜脈、左鎖骨下靜脈至上腔靜脈見人工血管影,人工血管內未見明顯造影劑充盈。右肺散在斑片影,右肺下葉部分不張,左肺上舌段條索影。氣管及葉、段支氣管未見狹窄、閉塞及擴大,肺門大小、位置未見異常。肺門及縱隔淋巴結稍大,縱隔未見移位。雙側胸腔少量積液較前減少。心影未見明顯增大,心包少量積液。患者住院1個月后,病情好轉出院。
2 護理
2.1 術前呼吸訓練
本例患者術前1周開始呼吸訓練:①指導患者深呼吸:分別練習坐位胸式深呼吸和平臥腹式深呼吸,2~3次/d,15 min/次。②指導有效的咳嗽方法:深吸氣后,用胸腹部的力量作最大咳嗽,咳嗽的聲音應以胸部震動而發出,練習3次/d,10~15 min/次。③指導患者使用肺功能擴充器訓練:坐位或半臥位深呼氣后用嘴含住肺功能擴充器的口含管,作最大吸氣,每日早晚各1次,15 min/次。
2.2 術后護理
2.2.1 臥位
患者術后清醒前,取去枕平臥位,頭偏向一側;清醒后半臥位,床頭抬高30~45°。
2.2.2 密切觀察病情
①呼吸及神經系統:本例患者術后使用有創呼吸機輔助呼吸,保持呼吸道通暢,每30分鐘聽診雙肺呼吸音,及時吸痰;根據動脈血氣分析調整呼吸機各項參數,保持血氧飽和度(SpO2)在95%以上;在術后7 h清醒,17 h呼吸平穩、病情穩定,雙側瞳孔等大等圓,對光反射靈敏,拔除氣管插管,停用有創呼吸機,改為鼻導管給氧 5 L/min,SpO2波動在98%左右。且無顱腦定位體征,患者未訴頭痛、嘔吐等不適。術后返回病房無神經系統并發癥。
②心電及血壓監測:本例患者行右頸內靜脈-右股靜脈體外轉流腫瘤切除和上腔靜脈人造血管置換術,術后反復出現心動過速,偶發心房顫動,給予毛花苷丙0.4 mg+生理鹽水20 mL靜脈推入及鹽酸胺碘酮0.1 mg/kg微泵泵入,據患者心率調整微泵速度,患者心率逐漸由150次/min 下降至110次/min。發生心房顫動時,予生理鹽水20 mL+毛花苷丙0.2 mg靜脈緩推后無效后予5%葡萄糖注射液 46 mL+鹽酸胺碘酮300 mg以1.0~2.0 mL/h微泵泵入,患者心律恢復為竇性,心率逐漸降至100~110次/min,改為鹽酸胺碘酮片口服,200 mg/次,3次/d,患者心率控制正常范圍后,再改為口服琥珀酸美托洛爾緩釋片(商品名:倍他樂克)1/4片/次,1次/d和單硝酸異山梨酯緩釋片(商品名:索尼特)1片/次,1次/d。
③出血的觀察及引流管護理:本例患者術后抗凝治療,密切觀察有無出血傾向,如牙齦出血、鼻出血、皮下出血及血尿甚至顱內出血等。在進行各種護理操作時動作輕柔,進行有創操作時(靜脈穿刺、肌肉注射等)應延長按壓局部時間,以防止皮下出血。本例患者僅在術后進行監測血壓時,發現患者雙上肢前臂出現散在瘀斑,及時改用腕式血壓計測量血壓后,瘀斑逐漸消散。患者術后安置有胸腔閉式引流管,引流瓶低于床面60 cm,水柱沒入水中2 cm;觀察水柱波動;準確記錄胸腔引流量和顏色變化。該患者術后胸腔引流出少量淡血性液體,無胸腔內活動性出血,術后第3天拔除胸腔引流管。
2.2.3 疼痛的護理
本例患者為SVCS行血管置換術,手術大,術后患者存在明顯疼痛。采用視覺模擬評分法(VAS)[1]對患者進行疼痛評分,患者疼痛評分一般都在5~8分,遵醫囑予地佐辛5 mg靜脈注射3次/d,必要時予鹽酸布桂嗪(商品名:強痛定)100 mg肌肉注射;并給予心理治療,如深呼吸、松弛鍛煉、轉移和分散患者注意力。告知患者有節奏地在疼痛部位作環形按摩以緩解疼痛。通過采用以上方法,再次對患者進行VAS評分,疼痛評分為1~3分,患者的疼痛得到明顯緩解。
2.2.4 預防和控制感染
本例患者行右頸內靜脈-右股靜脈體外轉流腫瘤切除和上腔靜脈人造血管置換術,術后需密切觀察體溫變化,本例患者術后體溫波動在37.2~39.2℃之間,偶有咳嗽、咳痰,為少量黃色黏液樣痰;體格檢查雙肺可聞及痰鳴音;血常規示:白細胞計數14.00×109/L,中性分葉核粒細胞百分率88.1%;胸部CT示:雙側胸腔少量積液,右肺散在炎癥。給予口服退熱藥,并先后靜脈輸入抗感染(注射用亞胺培南西司他丁鈉、左氧氟沙星氯化鈉)治療;靜脈滴注鹽酸氨溴索90 mg,3次/d及霧化吸入布地奈德混懸液2 mL和硫酸特布他林2 mL,3次/d祛痰治療;且指導患者進行有效排痰,配合術前肺功能擴充器的訓練;術后患者盡早下床活動;且加強病房空氣消毒,保持適宜的溫濕度。保持傷口敷料清潔、干燥,嚴格執行無菌技術;術后5 d后,患者體溫恢復正常范圍內。
2.2.5 出院指導
本例患者行人造血管重建術后需終身抗凝治療,出院時告知患者及其家屬抗凝藥物的重要性及服用注意事項,出院后每日睡前口服華法林鈉片1.875 mg,并3~4 d到當地醫院復查PT,PT維持在正常參考值的1.2~1.5倍[2]。告知藥物配伍對抗凝影響[3],如增強華法林抗凝作用的常用藥有:乙醇、廣譜抗生素、阿司匹林、各種退熱藥;而維生素K、維生素C、雌激素、口服避孕藥及催眠藥會減弱抗凝作用。囑患者服華法林時必須與其他藥物分開服用,如出現腹瀉、嘔吐、感染、發熱、牙齦出血、鼻腔出血、皮下出血等癥狀,及時告知復診,必要時暫停服用或調整藥物劑量。飲食指導:進食高蛋白、高纖維素、含鐵易消化的食物,少食高脂和富含維生素K的飲食,如卷心菜、菜花、菠菜、肝等,以免影響抗凝效果。
3 討論
SVCS是由各種病因引起的完全性或不完全性上腔靜脈阻塞,導致上腔靜脈系統血液回流受阻,出現上肢、頸和顏面部發紺、水腫以及上半身表淺靜脈曲張的一組臨床綜合征,是臨床危及生命的急癥[4-5]。引起SVCS最主要的原因是肺癌癌腫壓迫所致,其次是縱隔占位、淋巴瘤等[6]。患者癥狀重,病情變化快,可出現呼吸困難、胸痛、吞咽困難、浮腫、低熱等癥狀。常規放射、化學治療效果差,外科旁路手術或經皮穿刺放置血管內支架,雖能暫時緩解上腔靜脈梗阻,但患者多在短期內因上腔靜脈梗阻加重或腫瘤轉移死亡。目前外科手術及血管再造是治療此病的有效方法[2, 7]。
本例患者為SVCS行血管置換術,手術難度大,且是臨床危急癥,對護理要求高。本例患者在術前進行有效的呼吸訓練,讓患者以最佳狀態配合手術,且為術后順利排痰及控制肺部感染打下很好的基礎;在術后密切觀察病情變化,并及時處理,使患者病情恢復良好,也體現了優質護理。本例患者進行相關健康宣教,患者的依從性好,并能堅持遵醫囑服藥,且建立良好的生活習慣。本案例的成功護理,值得在臨床上推廣。
1 病例介紹
患者?男,30歲。因“顏面腫脹2周”于2014年7月23日入院,神志清楚,情緒穩定,精神差,活動后感氣緊。體格檢查:顏面部腫脹,頸靜脈怒張,雙上肢輕度腫脹。胸、腹部增強CT示:前縱隔團塊狀軟組織腫塊影,大小約 4.8 cm×5.8 cm,輪廓欠光整,密度欠均勻,增強后不均勻性強化,腫塊和升主動脈、主肺動脈干分界不清,頭臂干動脈周圍見軟組織影環繞,左頭臂靜脈被包埋或推移,該血管顯示不清,左胸壁多數側支血管開放,上腔靜脈及右頭臂靜脈見明顯受累征象(圖 1)。輔助檢查:血液常規、生物化學、凝血、輸血全套未見異常。心、肝、脾、胰、腎及腎上腺形態、結構未見異常。診斷結果:①縱隔腫瘤侵犯左右無名靜脈、左右鎖骨下靜脈及右頸內靜脈血栓形成;②上腔靜脈綜合征(SVCS)。
圖1
患者胸部增強掃描像
經積極完善術前準備后,患者一般情況可,診斷明確,有手術指征,無絕對手術禁忌證;全科醫師討論后,于2014年7月31日在全身麻醉下采用正中開胸加頸部橫切口并右頸內靜脈-股靜脈體外轉流下,對患者行前縱隔腫瘤切除術、左右無名靜脈和上腔靜脈切除術并人造血管置換術(右頸內靜脈-上腔靜脈人造血管移植重建術,左鎖骨下靜脈-右心房人工血管重建術)。因術中失血過多,術后患者血壓一直不穩定,且患者自訴感心累,反復出現心律不齊,心率最高180次/min左右,且傷口疼痛難忍,期間先后經靜脈輸入紅細胞懸液、血漿補血,靜脈泵入鹽酸多巴胺注射液、重酒石酸間羥胺注射液升壓,靜脈推入去乙酰毛花苷注射液(商品名:西地蘭)、鹽酸胺碘酮注射液(商品名:可達龍)、呋塞米注射液(商品名:速尿),肌肉注射鹽酸哌替啶注射液(商品名:杜冷丁)。針對患者行人造血管置換術行相關處理,同時經靜脈輸入亞胺培南西司他丁鈉(商品名:泰能)500 mg+生理鹽水50 mL,8 h/次;注射用泮托拉唑鈉(商品名:韋迪)40 mg+生理鹽水50 mL,2次/d;注射用鹽酸氨溴索(商品名:沐舒坦)90 mg+生理鹽水50 mL,3次/d;霧化吸入布地奈德混懸液(商品名:普米克會舒)2 mL+硫酸特布他林(商品名:博利康尼)2 mL,3次/d等。出院前復查血常規、生物化學未見異常,凝血常規示凝血酶原時間(PT)16.5 s;胸部增強掃描示:胸骨及胸壁術后改變,前縱隔未見確切軟組織腫塊影,縱隔脂肪間隙模糊,右靜脈動脈至上腔靜脈、左鎖骨下靜脈至上腔靜脈見人工血管影,人工血管內未見明顯造影劑充盈。右肺散在斑片影,右肺下葉部分不張,左肺上舌段條索影。氣管及葉、段支氣管未見狹窄、閉塞及擴大,肺門大小、位置未見異常。肺門及縱隔淋巴結稍大,縱隔未見移位。雙側胸腔少量積液較前減少。心影未見明顯增大,心包少量積液。患者住院1個月后,病情好轉出院。
2 護理
2.1 術前呼吸訓練
本例患者術前1周開始呼吸訓練:①指導患者深呼吸:分別練習坐位胸式深呼吸和平臥腹式深呼吸,2~3次/d,15 min/次。②指導有效的咳嗽方法:深吸氣后,用胸腹部的力量作最大咳嗽,咳嗽的聲音應以胸部震動而發出,練習3次/d,10~15 min/次。③指導患者使用肺功能擴充器訓練:坐位或半臥位深呼氣后用嘴含住肺功能擴充器的口含管,作最大吸氣,每日早晚各1次,15 min/次。
2.2 術后護理
2.2.1 臥位
患者術后清醒前,取去枕平臥位,頭偏向一側;清醒后半臥位,床頭抬高30~45°。
2.2.2 密切觀察病情
①呼吸及神經系統:本例患者術后使用有創呼吸機輔助呼吸,保持呼吸道通暢,每30分鐘聽診雙肺呼吸音,及時吸痰;根據動脈血氣分析調整呼吸機各項參數,保持血氧飽和度(SpO2)在95%以上;在術后7 h清醒,17 h呼吸平穩、病情穩定,雙側瞳孔等大等圓,對光反射靈敏,拔除氣管插管,停用有創呼吸機,改為鼻導管給氧 5 L/min,SpO2波動在98%左右。且無顱腦定位體征,患者未訴頭痛、嘔吐等不適。術后返回病房無神經系統并發癥。
②心電及血壓監測:本例患者行右頸內靜脈-右股靜脈體外轉流腫瘤切除和上腔靜脈人造血管置換術,術后反復出現心動過速,偶發心房顫動,給予毛花苷丙0.4 mg+生理鹽水20 mL靜脈推入及鹽酸胺碘酮0.1 mg/kg微泵泵入,據患者心率調整微泵速度,患者心率逐漸由150次/min 下降至110次/min。發生心房顫動時,予生理鹽水20 mL+毛花苷丙0.2 mg靜脈緩推后無效后予5%葡萄糖注射液 46 mL+鹽酸胺碘酮300 mg以1.0~2.0 mL/h微泵泵入,患者心律恢復為竇性,心率逐漸降至100~110次/min,改為鹽酸胺碘酮片口服,200 mg/次,3次/d,患者心率控制正常范圍后,再改為口服琥珀酸美托洛爾緩釋片(商品名:倍他樂克)1/4片/次,1次/d和單硝酸異山梨酯緩釋片(商品名:索尼特)1片/次,1次/d。
③出血的觀察及引流管護理:本例患者術后抗凝治療,密切觀察有無出血傾向,如牙齦出血、鼻出血、皮下出血及血尿甚至顱內出血等。在進行各種護理操作時動作輕柔,進行有創操作時(靜脈穿刺、肌肉注射等)應延長按壓局部時間,以防止皮下出血。本例患者僅在術后進行監測血壓時,發現患者雙上肢前臂出現散在瘀斑,及時改用腕式血壓計測量血壓后,瘀斑逐漸消散。患者術后安置有胸腔閉式引流管,引流瓶低于床面60 cm,水柱沒入水中2 cm;觀察水柱波動;準確記錄胸腔引流量和顏色變化。該患者術后胸腔引流出少量淡血性液體,無胸腔內活動性出血,術后第3天拔除胸腔引流管。
2.2.3 疼痛的護理
本例患者為SVCS行血管置換術,手術大,術后患者存在明顯疼痛。采用視覺模擬評分法(VAS)[1]對患者進行疼痛評分,患者疼痛評分一般都在5~8分,遵醫囑予地佐辛5 mg靜脈注射3次/d,必要時予鹽酸布桂嗪(商品名:強痛定)100 mg肌肉注射;并給予心理治療,如深呼吸、松弛鍛煉、轉移和分散患者注意力。告知患者有節奏地在疼痛部位作環形按摩以緩解疼痛。通過采用以上方法,再次對患者進行VAS評分,疼痛評分為1~3分,患者的疼痛得到明顯緩解。
2.2.4 預防和控制感染
本例患者行右頸內靜脈-右股靜脈體外轉流腫瘤切除和上腔靜脈人造血管置換術,術后需密切觀察體溫變化,本例患者術后體溫波動在37.2~39.2℃之間,偶有咳嗽、咳痰,為少量黃色黏液樣痰;體格檢查雙肺可聞及痰鳴音;血常規示:白細胞計數14.00×109/L,中性分葉核粒細胞百分率88.1%;胸部CT示:雙側胸腔少量積液,右肺散在炎癥。給予口服退熱藥,并先后靜脈輸入抗感染(注射用亞胺培南西司他丁鈉、左氧氟沙星氯化鈉)治療;靜脈滴注鹽酸氨溴索90 mg,3次/d及霧化吸入布地奈德混懸液2 mL和硫酸特布他林2 mL,3次/d祛痰治療;且指導患者進行有效排痰,配合術前肺功能擴充器的訓練;術后患者盡早下床活動;且加強病房空氣消毒,保持適宜的溫濕度。保持傷口敷料清潔、干燥,嚴格執行無菌技術;術后5 d后,患者體溫恢復正常范圍內。
2.2.5 出院指導
本例患者行人造血管重建術后需終身抗凝治療,出院時告知患者及其家屬抗凝藥物的重要性及服用注意事項,出院后每日睡前口服華法林鈉片1.875 mg,并3~4 d到當地醫院復查PT,PT維持在正常參考值的1.2~1.5倍[2]。告知藥物配伍對抗凝影響[3],如增強華法林抗凝作用的常用藥有:乙醇、廣譜抗生素、阿司匹林、各種退熱藥;而維生素K、維生素C、雌激素、口服避孕藥及催眠藥會減弱抗凝作用。囑患者服華法林時必須與其他藥物分開服用,如出現腹瀉、嘔吐、感染、發熱、牙齦出血、鼻腔出血、皮下出血等癥狀,及時告知復診,必要時暫停服用或調整藥物劑量。飲食指導:進食高蛋白、高纖維素、含鐵易消化的食物,少食高脂和富含維生素K的飲食,如卷心菜、菜花、菠菜、肝等,以免影響抗凝效果。
3 討論
SVCS是由各種病因引起的完全性或不完全性上腔靜脈阻塞,導致上腔靜脈系統血液回流受阻,出現上肢、頸和顏面部發紺、水腫以及上半身表淺靜脈曲張的一組臨床綜合征,是臨床危及生命的急癥[4-5]。引起SVCS最主要的原因是肺癌癌腫壓迫所致,其次是縱隔占位、淋巴瘤等[6]。患者癥狀重,病情變化快,可出現呼吸困難、胸痛、吞咽困難、浮腫、低熱等癥狀。常規放射、化學治療效果差,外科旁路手術或經皮穿刺放置血管內支架,雖能暫時緩解上腔靜脈梗阻,但患者多在短期內因上腔靜脈梗阻加重或腫瘤轉移死亡。目前外科手術及血管再造是治療此病的有效方法[2, 7]。
本例患者為SVCS行血管置換術,手術難度大,且是臨床危急癥,對護理要求高。本例患者在術前進行有效的呼吸訓練,讓患者以最佳狀態配合手術,且為術后順利排痰及控制肺部感染打下很好的基礎;在術后密切觀察病情變化,并及時處理,使患者病情恢復良好,也體現了優質護理。本例患者進行相關健康宣教,患者的依從性好,并能堅持遵醫囑服藥,且建立良好的生活習慣。本案例的成功護理,值得在臨床上推廣。

