引用本文: 袁靜, 胡兵, 張虎. 內科成功保守治療經口內鏡食管肌切開術后并發雙肺壓縮約35%氣胸患者一例. 華西醫學, 2016, 31(3): 594-595. doi: 10.7507/1002-0179.201600159 復制
1 病例介紹
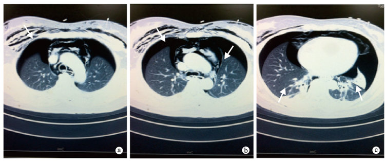
患者?女,41歲。因“惡心、嘔吐,吞咽困難2+年”于2014年5月16日入院。2+年前患者無明顯誘因出現惡心、嘔吐,嘔吐物為胃內容物,偶伴輕微吞咽困難;4+個月前患者受涼后惡心、嘔吐癥狀加重,伴食物反流,在當地醫院行食管鋇餐造影,考慮“賁門失弛緩癥”,未行氣囊擴張而轉診我院。入住我院后,經過患者及其家屬知情同意后,對患者實施經口內鏡食管肌切開術(POEM)。完善術前準備后,擇期氣管插管全身麻醉。術中應用T型海博刀從距門齒約30 cm食管處開窗,沿食管黏膜下層和環形肌之間間隙以T型海博刀潛行分離至賁門40 cm處建立黏膜下“隧道”,將距門齒30 cm至賁門10 cm食管環形肌束自上而下完全橫斷,止血后用鈦夾封閉“隧道”開口,隧道長度10 cm,肌肉切開長度10 cm,術畢賁門口開口明顯擴大。術后返回病房,患者訴胸痛明顯,伴氣緊。體格檢查:體溫、脈搏及心率正常,但呼吸稍急促,頸部及上胸部皮下捻發感明顯,指尖末梢血氧飽和度檢測為100%。考慮術后食管縱隔瘺。予安置心電監護,給予吸氧、禁飲禁食、埃索美拉唑抑酸、左氧氟沙星預防感染、卡絡磺鈉預防出血和靜脈營養支持治療。30 min后體格檢查:頸部及皮下氣腫明顯,雙肺呼吸音清晰,對稱存在,血氧飽和度正常。繼續觀察。30 min后患者訴氣緊加重,吸氣相明顯;體格檢查頸部明顯增粗,頸部及前胸皮下捻發感顯著增強,氣管居中,聽診雙肺呼吸音減低明顯但對稱。心電監護指尖血氧飽和度97%。急診行胸部CT示:食管下段管壁少許積氣,局部見致密金屬影,食管下段部分管壁欠連續;縱隔氣腫;雙側液氣胸,雙肺壓縮約35%雙肺下葉受壓不張(圖 1);掃及雙側腎周間隙、腎旁前間隙散在游離積氣;胸腹壁腫脹、皮下氣腫,雙肺散在斑片影及條索影,多系炎性病變,心臟未見增大。復測指尖末梢動脈血氧飽和度94%。密切監測生命體征及血氧飽和度,盡管患者仍訴胸悶,呼吸有憋感,但心電監護顯示患者生命體征平穩,血氧飽和度未再繼續下降。繼續保守治療,密切觀察病情變化。次日患者氣緊癥狀稍緩解,皮下氣腫無明顯減輕,3 d后皮下氣腫稍減輕,1周后患者皮下氣腫明顯消退,僅頸部皮下輕度捻發感。術后10 d好轉出院。

2 討論
賁門失弛緩癥是一種原發性食管運動障礙性疾病[1],該病的病因及發病機制至今仍未明確,其治療多以緩解癥狀為主。主要治療方法包括藥物治療、內鏡下治療及外科手術治療。內鏡下治療因微創、迅速緩解癥狀成為該病治療的首選方法。內鏡下治療的方式包括:①氣囊擴張術;②肉毒素注射術;③可回收食管支架置入術;④POEM術。POEM是一種嶄新的治療賁門失弛緩的內鏡技術[2]。其原理是在內鏡器械及內鏡技術進步基礎上巧妙利用黏膜和肌層之間的空間建立黏膜下“隧道”,摒棄了以前的直接切開黏膜,其安全性及可行性可靠,已經公認為治療賁門失弛緩癥的優選方式。但其仍可能出現以下風險:①術中、術后出血;②食管穿孔、縱隔瘺、氣腹、氣胸;③胸腹痛;④胸腔或腹腔感染;⑤食管反流等。POEM技術于2008年發明[2],我國于2010年引進該技術[3]。故其并發癥的治療正處于探索階段。特別由于穿孔致氣胸、縱隔瘺、腹膜炎等是危險的并發癥。常規思維是術后需追加做開胸或開腹手術,但臨床經驗發現,術后追加外科手術可能會帶來更大的創傷。因為POEM術后的氣胸保守治療可能有效。嚴重的氣胸需要給予胸腔閉式引流。我國POEM診治指南特別指出:POEM術后氣胸在肺壓縮<30%時可以保守治療,若>30%應當給予安置胸腔閉式引流[4]。但我們的經驗卻發現,針對POEM術后的氣胸在雙肺壓縮<35%情況時,若無明顯的進一步惡化,在密切觀察情況下可以繼續內科藥物保守治療,無需外科開胸修補或者安置胸腔閉式引流術。這可極大減輕患者的身體痛苦亦可減輕患者的醫療費用。本例進一步說明POEM術后穿孔致氣胸保守治療是比較安全有效的方式。
1 病例介紹
患者?女,41歲。因“惡心、嘔吐,吞咽困難2+年”于2014年5月16日入院。2+年前患者無明顯誘因出現惡心、嘔吐,嘔吐物為胃內容物,偶伴輕微吞咽困難;4+個月前患者受涼后惡心、嘔吐癥狀加重,伴食物反流,在當地醫院行食管鋇餐造影,考慮“賁門失弛緩癥”,未行氣囊擴張而轉診我院。入住我院后,經過患者及其家屬知情同意后,對患者實施經口內鏡食管肌切開術(POEM)。完善術前準備后,擇期氣管插管全身麻醉。術中應用T型海博刀從距門齒約30 cm食管處開窗,沿食管黏膜下層和環形肌之間間隙以T型海博刀潛行分離至賁門40 cm處建立黏膜下“隧道”,將距門齒30 cm至賁門10 cm食管環形肌束自上而下完全橫斷,止血后用鈦夾封閉“隧道”開口,隧道長度10 cm,肌肉切開長度10 cm,術畢賁門口開口明顯擴大。術后返回病房,患者訴胸痛明顯,伴氣緊。體格檢查:體溫、脈搏及心率正常,但呼吸稍急促,頸部及上胸部皮下捻發感明顯,指尖末梢血氧飽和度檢測為100%。考慮術后食管縱隔瘺。予安置心電監護,給予吸氧、禁飲禁食、埃索美拉唑抑酸、左氧氟沙星預防感染、卡絡磺鈉預防出血和靜脈營養支持治療。30 min后體格檢查:頸部及皮下氣腫明顯,雙肺呼吸音清晰,對稱存在,血氧飽和度正常。繼續觀察。30 min后患者訴氣緊加重,吸氣相明顯;體格檢查頸部明顯增粗,頸部及前胸皮下捻發感顯著增強,氣管居中,聽診雙肺呼吸音減低明顯但對稱。心電監護指尖血氧飽和度97%。急診行胸部CT示:食管下段管壁少許積氣,局部見致密金屬影,食管下段部分管壁欠連續;縱隔氣腫;雙側液氣胸,雙肺壓縮約35%雙肺下葉受壓不張(圖 1);掃及雙側腎周間隙、腎旁前間隙散在游離積氣;胸腹壁腫脹、皮下氣腫,雙肺散在斑片影及條索影,多系炎性病變,心臟未見增大。復測指尖末梢動脈血氧飽和度94%。密切監測生命體征及血氧飽和度,盡管患者仍訴胸悶,呼吸有憋感,但心電監護顯示患者生命體征平穩,血氧飽和度未再繼續下降。繼續保守治療,密切觀察病情變化。次日患者氣緊癥狀稍緩解,皮下氣腫無明顯減輕,3 d后皮下氣腫稍減輕,1周后患者皮下氣腫明顯消退,僅頸部皮下輕度捻發感。術后10 d好轉出院。

2 討論
賁門失弛緩癥是一種原發性食管運動障礙性疾病[1],該病的病因及發病機制至今仍未明確,其治療多以緩解癥狀為主。主要治療方法包括藥物治療、內鏡下治療及外科手術治療。內鏡下治療因微創、迅速緩解癥狀成為該病治療的首選方法。內鏡下治療的方式包括:①氣囊擴張術;②肉毒素注射術;③可回收食管支架置入術;④POEM術。POEM是一種嶄新的治療賁門失弛緩的內鏡技術[2]。其原理是在內鏡器械及內鏡技術進步基礎上巧妙利用黏膜和肌層之間的空間建立黏膜下“隧道”,摒棄了以前的直接切開黏膜,其安全性及可行性可靠,已經公認為治療賁門失弛緩癥的優選方式。但其仍可能出現以下風險:①術中、術后出血;②食管穿孔、縱隔瘺、氣腹、氣胸;③胸腹痛;④胸腔或腹腔感染;⑤食管反流等。POEM技術于2008年發明[2],我國于2010年引進該技術[3]。故其并發癥的治療正處于探索階段。特別由于穿孔致氣胸、縱隔瘺、腹膜炎等是危險的并發癥。常規思維是術后需追加做開胸或開腹手術,但臨床經驗發現,術后追加外科手術可能會帶來更大的創傷。因為POEM術后的氣胸保守治療可能有效。嚴重的氣胸需要給予胸腔閉式引流。我國POEM診治指南特別指出:POEM術后氣胸在肺壓縮<30%時可以保守治療,若>30%應當給予安置胸腔閉式引流[4]。但我們的經驗卻發現,針對POEM術后的氣胸在雙肺壓縮<35%情況時,若無明顯的進一步惡化,在密切觀察情況下可以繼續內科藥物保守治療,無需外科開胸修補或者安置胸腔閉式引流術。這可極大減輕患者的身體痛苦亦可減輕患者的醫療費用。本例進一步說明POEM術后穿孔致氣胸保守治療是比較安全有效的方式。