引用本文: 易勇, 王強平, 周章明, 關俊文. 慢性硬膜下血腫鉆孔引流術中沖洗與不沖洗療效對比研究. 華西醫學, 2017, 32(2): 213-216. doi: 10.7507/1002-0179.201506056 復制
慢性硬膜下血腫(chronic subdural hematoma,CSDH)是神經外科常見疾病,發病率約為 5‰,好發于老年人,發病機制迄今尚無定論[1-2]。CSDH 的治療方法多樣,主要分為保守治療和手術治療,保守治療包括使用糖皮質激素、抗血小板和(或)抗凝藥物、他汀類藥物等,手術治療包括開顱血腫清除術、鉆孔引流術、錐孔引流術及腦膜中動脈栓塞術等[3-4]。鉆孔引流術是目前臨床應用最廣的治療方法[5],但在不同醫療機構,其操作細節上仍存在多種差異,如雙孔鉆孔與單孔鉆孔、生理鹽水沖洗與藥物沖洗、沖洗與不沖洗等,各治療方式對術后療效及并發癥的影響尚存爭議[3, 6]。本研究對比分析了 81 例因 CSDH 行鉆孔引流術沖洗或不沖洗治療患者的術后療效及并發癥發生情況。現報告如下。
1 資料與方法
1.1 一般資料
回顧性收集 2013 年 1 月—2014 年 12 月在四川大學華西醫院收治的單側 CSDH 患者住院期間臨床資料及影像學數據,應用 3D-Slicer 軟件精確測量血腫量、積氣量等參數,術后電話隨訪至少 6 個月,以明確血腫復發情況。納入標準:明確診斷的單側 CSDH 患者,并行鉆孔手術,手術方案為鉆孔引流(不沖洗)或鉆孔沖洗引流。排除標準:① 雙側 CSDH 患者;② 手術方案不確定,或采用其他手術方式,如開顱血腫清除術;③ 臨床資料不完善;④ 隨訪信息不全。符合入組標準的患者共 81 例,年齡 51~89 歲,平均(66.5±7.2)歲;術前血腫量 34.2~81.2 mL,平均(50.9±10.4)mL。根據手術方案的不同,將 81 例患者分為鉆孔沖洗引流組(沖洗組,n=46)與鉆孔引流不沖洗組(引流組,n=35),兩組患者在年齡、性別、病情程度等方面比較差異無統計學意義(P>0.05),具有可比性。見表 1。

1.2 治療方法
CSDH 現為我國臨床路徑疾病,處理流程較為規范。所有患者入院后均行頭顱 CT 檢查,CSDH 診斷及手術指征明確后,完善術前檢查排除手術禁忌,入院第 2 天安排手術治療。患者服從性較強時采取局部麻醉進行手術,對于煩躁或配合能力較差者采取基礎麻醉或全身麻醉進行手術。根據 CT 定位,選取血腫最厚層面中后 1/3 為顱骨鉆孔點,盡量將手術區域置于頭部最高平面以防止術后顱內積氣,切開頭皮后顱骨鉆孔,暴露硬腦膜,沖洗組患者剪開硬腦膜后置入引流管,緩慢注入生理鹽水沖洗血腫腔,至流出液體基本清亮后停止沖洗,留置引流管;引流組剪開腦膜置入引流管后不沖洗血腫腔,直接縫合頭皮。兩組患者引流管均接引流瓶行持續外引流,頭低位臥床休息,給予擴充血容量、擴血管藥物改善腦部供血,并預防應激性潰瘍,防止感染,同時保持水電解質平衡與營養支持,觀察患者術后引流情況。兩組患者在術后第 2 天常規進行頭部 CT 檢查,根據引流情況于術后第 3~4 天拔除頭部引流管。除特殊患者外,兩組患者均在術后第 7 天進行頭部 CT 檢查,并于術后第 8 天出院。
1.3 觀察指標
① 兩組患者血腫復發情況:電話隨訪患者術后 6 個月內有無因病情復發再次行手術治療;② 利用 3D-Slicer 軟件精確測量兩組患者鉆孔前血腫量、術后第 2 天顱內積氣量以及出院前(術后第 8 天)顱內殘留血腫量等參數;③ 手術并發癥:如死亡、感染和出血等。
1.4 統計學方法
采用 SPSS 17.0 軟件進行統計分析。計量資料采用均數±標準差表示,組間比較采用獨立樣本 t 檢驗;計數資料采用例數(百分率)表示,組間比較采用 χ2 檢驗。檢驗水準 α=0.05。
2 結果
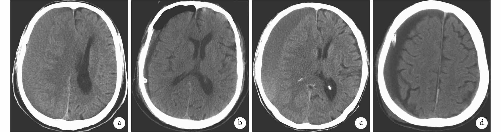
兩組患者預后較為良好,均未發生顱內感染及死亡并發癥。兩組各 3 例患者于隨訪期內血腫復發再次行手術治療,僅 1 例患者(沖洗組)發生傷口感染。術后 1 d 沖洗組患者顱內積氣量高于引流組患者,差異有統計學意義(P<0.05);兩組出院前殘余血腫量、術后出血率和血腫復發再次手術率比較差異均無統計學意義(P>0.05),見表 2。兩組典型患者 CT 影像顯示,沖洗組患者術后血腫清除較為快速、徹底,但顱內積氣量明顯高于引流組患者,見圖 1。


3 討論
CSDH 是臨床常見疾病,好發于老年人群,發病前多有頭部外傷病史,其確切發病機制目前尚無定論,為大家所廣泛接受的有“血腫外膜持續滲血”“局部炎癥反應”“局部纖維蛋白溶解亢進”等學說[7-11]。血腫量小、癥狀輕微者一般采取保守治療,而血腫量大、癥狀明顯者一般需要手術治療[12]。傳統手術方式主要包括開顱血腫清除術與鉆孔引流術兩種,目前亦有介入栓塞腦膜中動脈成功治愈該病報道,但尚缺乏大規模臨床研究證實其療效[13]。鉆孔引流術是目前公認的首選手術方法,多項研究結果表明鉆孔引流術在 CSDH 患者的復發率與并發癥之間達到了完美的平衡[14]。由于醫療機構、手術醫師習慣差異,鉆孔引流術的操作細節選擇多種多樣,如雙孔或單孔鉆孔,生理鹽水、凝血酶液體或人工腦脊液沖洗或不沖洗等。Meta 分析結果表明,單孔鉆孔引流術與雙孔鉆孔引流術療效相當,且復發率無明顯差異[3]。沖洗液的選擇以及是否沖洗與預后的關系目前研究較少,結果尚存爭議。
本研究分別采用徹底沖洗引流與不沖洗引流兩種不同手術操作方法治療 CSDH 患者。該病最重要療效指標為血腫是否復發再次行手術治療,本研究兩組患者采用不同方式手術后復發率差異無統計學意義(P>0.05)。此外,沖洗組患者術后出血率(6.5%)高于引流組(2.9%),原因是沖洗可能會造成顱內血管損傷、原出血點再次破裂出血而增加出血風險,但兩組術后出血率差異亦無統計學意義(P>0.05)。沖洗組術后第 2 天顱內積氣量明顯高于引流組,差異有統計學意義(P<0.05)。沖洗過程中向血腫腔內注入生理鹽水稀釋并置換出積血,空氣很容易進入創腔填充腦組織尚未復位所造成的空腔。雖然通過體位設置、術中科學操作能減少術后顱內積氣量,但顱內積氣仍是鉆孔引流術較為常見的并發癥,幾乎每例患者可見該并發癥。
3D-Slicer 軟件是近年來廣泛應用于醫學領域的一款智能圖像處理軟件,可以對患者 CT 或 MRI 等圖像數據進行 3D 重建并精確計算目標區域容積。本研究首次將 3D-Slicer 軟件應用在 CSDH 研究中,精確測量患者顱內血腫量及積氣量等參數,研究數據更為精確。目前僅有 Ishibashi 等[15]報道沖洗與不沖洗兩種不同手術操作方法對 CSDH 患者預后的影響,該研究表明沖洗組患者術后復發率(10.3%)明顯高于引流組(2.9%),本研究結果與其存在一定偏差。我們分析認為該研究與本研究一樣,均為回顧性收集資料,且樣本量較小,研究結果存在一定局限性,因此,該問題還有待大樣本隨機對照試驗作進一步研究。
綜上所述,本研究結果表明,沖洗組與不沖洗組患者遠期療效無明顯差異,但沖洗組患者術后顱內積氣量明顯增多,因此,我們認為鉆孔引流術可不必沖洗。首先,沖洗導致的術后顱內大量積氣可能引起患者煩躁等癥狀,延緩腦組織復張,并可能增加感染率;其次,沖洗過程中向顱內注入生理鹽水(特別是快速注入)易引起顱內血管(如橋靜脈)損傷、原出血點再次破裂而增加術后出血風險,繼而增加血腫復發的可能性;最后,反復沖洗可能污染創腔及創面,增加術后顱內感染及傷口感染風險,患者一旦發生顱內感染,治療周期、費用、預后等各方面將不容樂觀。
? 消息 ?
第五屆“華西急診國際學術論壇”征文通知
第五屆“華西急診國際學術論壇”將于2017年5月18日—21日在四川省成都市召開。本屆論壇以急診學科發展的創意創新為主題,旨在探索在萬眾創新和醫改進入深水區的大背景下急診醫學各亞專業的發展方向。論壇將邀請國內外著名急診專家作專題報告與口頭交流,同時舉辦急診模擬技能培訓。
本次論壇接收中、英文論文摘要投稿,錄用的論文將收錄在《華西急診國際學術論壇論文集》中,優秀論文將被推薦到《華西醫學》期刊發表。
一、征文范圍 急診學科發展與創新創意之路、急診管理、心肺復蘇、緊急救援醫學、急性中毒、急性創傷、危重癥醫學、院前急救、急診護理、科研與教學、急診人才培養、人文與法律或其他與急診急救相關方面的內容均可投稿。
二、征文要求
1. 僅需論文摘要,不需要全文。
2. 論文未被其他會議、期刊錄用或發表。
3. 要求電子投稿(Word 格式)。
4. 論文包含:題目、作者與聯系方式、摘要、關鍵詞。
5. 論文格式:① 題目(五號宋體字,居中,加粗),作者(五號宋體字,居中),作者單位(五號宋體字,居中),關鍵詞(五號宋體字,靠左排列);② 摘要格式要求:論著形式的摘要應包括目的、方法、結果、結論4個方面,其中“結果”部分請附上重要的圖表(五號宋體字,靠左排列)。論著形式的摘要字數不限,非論著形式的摘要限500 字內。
6. 投稿者請務必在論文摘要的 Word 文檔最后寫清姓名、單位、通信地址、電話及 Email 地址。
三、征文截止日期
2017年5月7日。
四、投稿方式
請將符合征文要求的文章摘要以 Word 文檔形式投遞到論文征稿郵箱:huaxiyixue@163.com,郵件主題命名為“2017急診會議投稿”。
五、聯系方式
征文秘書:張海宏 13880627221。
華西急診國際學術論壇組委會
華西醫學編輯部
2017年1月
慢性硬膜下血腫(chronic subdural hematoma,CSDH)是神經外科常見疾病,發病率約為 5‰,好發于老年人,發病機制迄今尚無定論[1-2]。CSDH 的治療方法多樣,主要分為保守治療和手術治療,保守治療包括使用糖皮質激素、抗血小板和(或)抗凝藥物、他汀類藥物等,手術治療包括開顱血腫清除術、鉆孔引流術、錐孔引流術及腦膜中動脈栓塞術等[3-4]。鉆孔引流術是目前臨床應用最廣的治療方法[5],但在不同醫療機構,其操作細節上仍存在多種差異,如雙孔鉆孔與單孔鉆孔、生理鹽水沖洗與藥物沖洗、沖洗與不沖洗等,各治療方式對術后療效及并發癥的影響尚存爭議[3, 6]。本研究對比分析了 81 例因 CSDH 行鉆孔引流術沖洗或不沖洗治療患者的術后療效及并發癥發生情況。現報告如下。
1 資料與方法
1.1 一般資料
回顧性收集 2013 年 1 月—2014 年 12 月在四川大學華西醫院收治的單側 CSDH 患者住院期間臨床資料及影像學數據,應用 3D-Slicer 軟件精確測量血腫量、積氣量等參數,術后電話隨訪至少 6 個月,以明確血腫復發情況。納入標準:明確診斷的單側 CSDH 患者,并行鉆孔手術,手術方案為鉆孔引流(不沖洗)或鉆孔沖洗引流。排除標準:① 雙側 CSDH 患者;② 手術方案不確定,或采用其他手術方式,如開顱血腫清除術;③ 臨床資料不完善;④ 隨訪信息不全。符合入組標準的患者共 81 例,年齡 51~89 歲,平均(66.5±7.2)歲;術前血腫量 34.2~81.2 mL,平均(50.9±10.4)mL。根據手術方案的不同,將 81 例患者分為鉆孔沖洗引流組(沖洗組,n=46)與鉆孔引流不沖洗組(引流組,n=35),兩組患者在年齡、性別、病情程度等方面比較差異無統計學意義(P>0.05),具有可比性。見表 1。

1.2 治療方法
CSDH 現為我國臨床路徑疾病,處理流程較為規范。所有患者入院后均行頭顱 CT 檢查,CSDH 診斷及手術指征明確后,完善術前檢查排除手術禁忌,入院第 2 天安排手術治療。患者服從性較強時采取局部麻醉進行手術,對于煩躁或配合能力較差者采取基礎麻醉或全身麻醉進行手術。根據 CT 定位,選取血腫最厚層面中后 1/3 為顱骨鉆孔點,盡量將手術區域置于頭部最高平面以防止術后顱內積氣,切開頭皮后顱骨鉆孔,暴露硬腦膜,沖洗組患者剪開硬腦膜后置入引流管,緩慢注入生理鹽水沖洗血腫腔,至流出液體基本清亮后停止沖洗,留置引流管;引流組剪開腦膜置入引流管后不沖洗血腫腔,直接縫合頭皮。兩組患者引流管均接引流瓶行持續外引流,頭低位臥床休息,給予擴充血容量、擴血管藥物改善腦部供血,并預防應激性潰瘍,防止感染,同時保持水電解質平衡與營養支持,觀察患者術后引流情況。兩組患者在術后第 2 天常規進行頭部 CT 檢查,根據引流情況于術后第 3~4 天拔除頭部引流管。除特殊患者外,兩組患者均在術后第 7 天進行頭部 CT 檢查,并于術后第 8 天出院。
1.3 觀察指標
① 兩組患者血腫復發情況:電話隨訪患者術后 6 個月內有無因病情復發再次行手術治療;② 利用 3D-Slicer 軟件精確測量兩組患者鉆孔前血腫量、術后第 2 天顱內積氣量以及出院前(術后第 8 天)顱內殘留血腫量等參數;③ 手術并發癥:如死亡、感染和出血等。
1.4 統計學方法
采用 SPSS 17.0 軟件進行統計分析。計量資料采用均數±標準差表示,組間比較采用獨立樣本 t 檢驗;計數資料采用例數(百分率)表示,組間比較采用 χ2 檢驗。檢驗水準 α=0.05。
2 結果
兩組患者預后較為良好,均未發生顱內感染及死亡并發癥。兩組各 3 例患者于隨訪期內血腫復發再次行手術治療,僅 1 例患者(沖洗組)發生傷口感染。術后 1 d 沖洗組患者顱內積氣量高于引流組患者,差異有統計學意義(P<0.05);兩組出院前殘余血腫量、術后出血率和血腫復發再次手術率比較差異均無統計學意義(P>0.05),見表 2。兩組典型患者 CT 影像顯示,沖洗組患者術后血腫清除較為快速、徹底,但顱內積氣量明顯高于引流組患者,見圖 1。


3 討論
CSDH 是臨床常見疾病,好發于老年人群,發病前多有頭部外傷病史,其確切發病機制目前尚無定論,為大家所廣泛接受的有“血腫外膜持續滲血”“局部炎癥反應”“局部纖維蛋白溶解亢進”等學說[7-11]。血腫量小、癥狀輕微者一般采取保守治療,而血腫量大、癥狀明顯者一般需要手術治療[12]。傳統手術方式主要包括開顱血腫清除術與鉆孔引流術兩種,目前亦有介入栓塞腦膜中動脈成功治愈該病報道,但尚缺乏大規模臨床研究證實其療效[13]。鉆孔引流術是目前公認的首選手術方法,多項研究結果表明鉆孔引流術在 CSDH 患者的復發率與并發癥之間達到了完美的平衡[14]。由于醫療機構、手術醫師習慣差異,鉆孔引流術的操作細節選擇多種多樣,如雙孔或單孔鉆孔,生理鹽水、凝血酶液體或人工腦脊液沖洗或不沖洗等。Meta 分析結果表明,單孔鉆孔引流術與雙孔鉆孔引流術療效相當,且復發率無明顯差異[3]。沖洗液的選擇以及是否沖洗與預后的關系目前研究較少,結果尚存爭議。
本研究分別采用徹底沖洗引流與不沖洗引流兩種不同手術操作方法治療 CSDH 患者。該病最重要療效指標為血腫是否復發再次行手術治療,本研究兩組患者采用不同方式手術后復發率差異無統計學意義(P>0.05)。此外,沖洗組患者術后出血率(6.5%)高于引流組(2.9%),原因是沖洗可能會造成顱內血管損傷、原出血點再次破裂出血而增加出血風險,但兩組術后出血率差異亦無統計學意義(P>0.05)。沖洗組術后第 2 天顱內積氣量明顯高于引流組,差異有統計學意義(P<0.05)。沖洗過程中向血腫腔內注入生理鹽水稀釋并置換出積血,空氣很容易進入創腔填充腦組織尚未復位所造成的空腔。雖然通過體位設置、術中科學操作能減少術后顱內積氣量,但顱內積氣仍是鉆孔引流術較為常見的并發癥,幾乎每例患者可見該并發癥。
3D-Slicer 軟件是近年來廣泛應用于醫學領域的一款智能圖像處理軟件,可以對患者 CT 或 MRI 等圖像數據進行 3D 重建并精確計算目標區域容積。本研究首次將 3D-Slicer 軟件應用在 CSDH 研究中,精確測量患者顱內血腫量及積氣量等參數,研究數據更為精確。目前僅有 Ishibashi 等[15]報道沖洗與不沖洗兩種不同手術操作方法對 CSDH 患者預后的影響,該研究表明沖洗組患者術后復發率(10.3%)明顯高于引流組(2.9%),本研究結果與其存在一定偏差。我們分析認為該研究與本研究一樣,均為回顧性收集資料,且樣本量較小,研究結果存在一定局限性,因此,該問題還有待大樣本隨機對照試驗作進一步研究。
綜上所述,本研究結果表明,沖洗組與不沖洗組患者遠期療效無明顯差異,但沖洗組患者術后顱內積氣量明顯增多,因此,我們認為鉆孔引流術可不必沖洗。首先,沖洗導致的術后顱內大量積氣可能引起患者煩躁等癥狀,延緩腦組織復張,并可能增加感染率;其次,沖洗過程中向顱內注入生理鹽水(特別是快速注入)易引起顱內血管(如橋靜脈)損傷、原出血點再次破裂而增加術后出血風險,繼而增加血腫復發的可能性;最后,反復沖洗可能污染創腔及創面,增加術后顱內感染及傷口感染風險,患者一旦發生顱內感染,治療周期、費用、預后等各方面將不容樂觀。
? 消息 ?
第五屆“華西急診國際學術論壇”征文通知
第五屆“華西急診國際學術論壇”將于2017年5月18日—21日在四川省成都市召開。本屆論壇以急診學科發展的創意創新為主題,旨在探索在萬眾創新和醫改進入深水區的大背景下急診醫學各亞專業的發展方向。論壇將邀請國內外著名急診專家作專題報告與口頭交流,同時舉辦急診模擬技能培訓。
本次論壇接收中、英文論文摘要投稿,錄用的論文將收錄在《華西急診國際學術論壇論文集》中,優秀論文將被推薦到《華西醫學》期刊發表。
一、征文范圍 急診學科發展與創新創意之路、急診管理、心肺復蘇、緊急救援醫學、急性中毒、急性創傷、危重癥醫學、院前急救、急診護理、科研與教學、急診人才培養、人文與法律或其他與急診急救相關方面的內容均可投稿。
二、征文要求
1. 僅需論文摘要,不需要全文。
2. 論文未被其他會議、期刊錄用或發表。
3. 要求電子投稿(Word 格式)。
4. 論文包含:題目、作者與聯系方式、摘要、關鍵詞。
5. 論文格式:① 題目(五號宋體字,居中,加粗),作者(五號宋體字,居中),作者單位(五號宋體字,居中),關鍵詞(五號宋體字,靠左排列);② 摘要格式要求:論著形式的摘要應包括目的、方法、結果、結論4個方面,其中“結果”部分請附上重要的圖表(五號宋體字,靠左排列)。論著形式的摘要字數不限,非論著形式的摘要限500 字內。
6. 投稿者請務必在論文摘要的 Word 文檔最后寫清姓名、單位、通信地址、電話及 Email 地址。
三、征文截止日期
2017年5月7日。
四、投稿方式
請將符合征文要求的文章摘要以 Word 文檔形式投遞到論文征稿郵箱:huaxiyixue@163.com,郵件主題命名為“2017急診會議投稿”。
五、聯系方式
征文秘書:張海宏 13880627221。
華西急診國際學術論壇組委會
華西醫學編輯部
2017年1月