引用本文: 曹紅, 何秋連, 馬春蓉. 系統性紅斑狼瘡患者骨髓病態造血的臨床分析. 華西醫學, 2015, 30(6): 1109-1111. doi: 10.7507/1002-0179.20150317 復制
血細胞減少是系統性紅斑狼瘡(SLE)常見的系統損害。部分患者以血細胞減少為起病首發癥狀。對血細胞減少的患者進行骨髓形態學檢查是明確血細胞減少原因的重要手段。骨髓細胞是否有病態造血是骨髓形態學檢查中重要的內容。病態造血是骨髓增生異常綜合征(MDS)重要的形態學特點,是診斷MDS的重要指標之一。然而,病態造血并不是MDS特異性的骨髓形態學改變,也不僅僅出現在MDS中。其他的非克隆性疾病,如風濕性疾病、病毒及結核的感染、金屬代謝障礙都可以出現骨髓病態造血。早前有SLE患者出現病態造血的個案報道,但目前還缺乏對SLE患者骨髓形態學研究的較大病例數的縱向研究[1-2]。我們對32例伴發血細胞減少的SLE患者的資料進行了回顧性分析,現報告如下。
1 資料與方法
1.1 一般資料
回顧性分析2010年1月-2013年6月在我院就診的32例伴外周血細胞減少的SLE患者的骨髓涂片以及其他臨床資料。32例患者中,男7例,女25例;年齡16~47歲,平均(32.3±10.6)歲;病程均>2年;均符合美國風濕病學會1997年SLE分類標準,均在疾病診斷初期及治療過程中發現血細胞減少,完善了骨髓涂片檢查以明確血細胞減少的原因。
1.2 方法
骨髓病態造血的評價:骨髓涂片計數200個有核細胞,某系異常細胞超過該系細胞的10%判定為該系存在病態造血,異常細胞包括:紅系核出芽、核間橋、核碎裂、多核、核分葉多以及巨幼樣變,紅系細胞質空泡,環鐵粒幼細胞;粒系核分葉減少,假Pelger-Huet畸形,不規則核分葉,粒系細胞質顆粒減少,胞體小或異常增大;巨核系有小巨核細胞、核分葉減少、多核。所有患者都通過檢查排除了巨細胞病毒、Epstein-Barr病毒及結核現癥感染。
SLE病情活動性評估:SLE疾病的活動度根據SLEDAI標準(SLE Sledal評分系統)評估,總分≥10分為疾病活動。
1.3 統計學方法
采用SPSS 13.0 軟件進行統計分析。SLE疾病活動度評分采用均數±標準差表示,組間比較采用t'檢驗。檢驗水準α=0.05。
2 結果
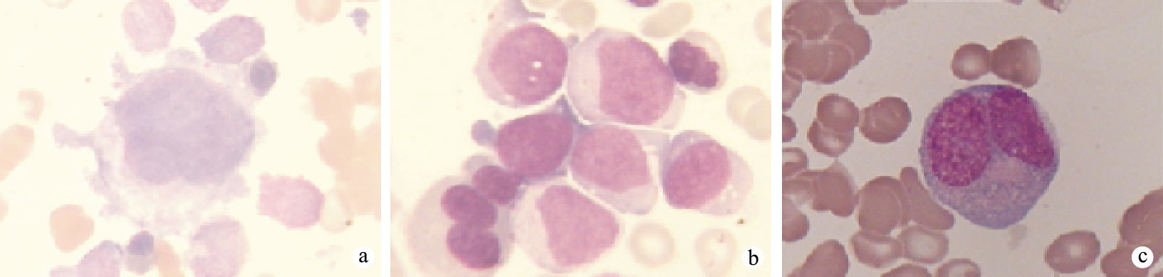
32例伴發血細胞減少的SLE患者中有15例(46.9%)骨髓發現病態造血,其中紅系單系病態造血5例,粒系單系病態造血4例,巨核系單系病態造血2例,粒紅兩系病態造血4例,以粒紅兩系的巨幼樣變及粒系顆粒減少最多。32例患者中有8例是以全血細胞下降或兩系下降為疾病的首發癥狀,該8例患者均完善了染色體檢查,未發現異常改變。典型病態造血患者骨髓涂片見圖 1。

a. 小巨核細胞 b. 紅系三核 c. 假Pelger-Huet 畸形
11例患者在SLE診斷時發現骨髓病態造血,4例患者在確診SLE后評估病情時行骨髓檢查發現病態造血。出現病態造血的患者其疾病活動度[(38.5±10.3)分]較未出現病態造血的患者[(7.6±4.6)分]嚴重,差異有統計學意義(t'=10.714,P<0.001)。出現病態造血的SLE患者往往有較嚴重的重要臟器損害,比如狼瘡腎炎、狼瘡腦病以及指端血管炎。有3例患者在狼瘡控制后復查了骨髓涂片,其病態造血均消失。
3 討論
本組資料研究發現,SLE伴發血細胞減少的患者可以出現多系的病態造血,其中以紅系和粒系為主,分別占33.3%和26.7%。雖然病態造血的種類以粒、紅兩系的巨幼樣變以及粒系顆粒減少為主,假性Pelger-huet畸形、三核或出芽的紅細胞核淋巴樣、小巨核細胞等被認為是診斷MDS相對更有價值的病態造血,也會出現在SLE患者中。所以,對于全血細胞下降的患者在骨髓涂片中即便出現Pelger-huet畸形、小巨核細胞等病態造血,非血液系統疾病SLE也需要列入排除診斷。從以上資料看,SLE伴發血細胞減少的患者即便存在病態造血,其骨髓也沒有發現細胞遺傳學的改變。提示骨髓是否有細胞遺傳學的異常是鑒別克隆性疾病的病態造血和非克隆性疾病病態造血的重要手段。
本研究中15例存在病態造血的患者中11例在SLE疾病診斷初期就發現有骨髓病態造血,而且有病態造血的患者狼瘡疾病活動度明顯高于無病態造血的患者,但是隨著病情的控制,骨髓病態造血會好轉。提示狼瘡的疾病活動度與病態造血可能有相關性。
SLE患者骨髓出現病態造血在其他的研究中也有報道[3-4],但機制還不清楚。有研究發現,SLE患者高表達干擾素-γ并且CD34+細胞高表達Fas配體[5],活動性SLE患者的骨髓CD34水平是下降的。推測這些異常的細胞因子可能是造成SLE患者造血干/祖細胞受損的原因,還有學者認為SLE患者異常高細胞因子血癥導致骨髓病態造血的可能性較小,而自身反應性T淋巴細胞針對造血細胞的直接損傷以及對造血微環境的影響可能是SLE發生骨髓病態造血的機制[3, 6]。總之,無論是細胞因子還是自身反應性T細胞,SLE患者出現的病態造血是自身免疫紊亂導致血液系統繼發改變,是血液系統受到免疫損傷的表現形式之一。
既然SLE可以出現全血細胞下降伴有病態造血,有病態造血的MDS患者也會出現一些自身免疫疾病的表現,那么MDS與SLE的鑒別診斷就很重要,骨髓造血細胞是否有克隆性是診斷的重要依據。那么MDS的病態造血細胞是否是克隆來源?有學者通過熒光原位雜交技術研究了MDS患者典型的病態造血細胞的核型,結果發現MDS骨髓中的病態造血細胞并非是有克隆改變的細胞,而是殘存的正常造血細胞出現的形態學變化[7-10]。MDS的過度凋亡發生在非克隆性的造血細胞。該研究提示MDS惡性克隆細胞似乎具有某種能力(通過細胞本身或產生負性細胞因子)抑制正常造血細胞,從而形成優勢增殖[8]。上述資料提示MDS的骨髓病態造血細胞不是克隆來源。也進一步說明病態造血不是血液系統克隆性演變的特異性改變,而是多種因素(包含克隆性細胞及非克隆性的因素)對正常造血細胞造成損傷的結果。本組資料的研究發現SLE伴發全血細胞下降的患者骨髓發生病態造血的概率不低,造血細胞的病態造血可能是自身免疫異常對造血細胞損傷的表現形式之一[11]。因此提示臨床實踐中,對于以全血細胞下降的患者在骨髓中發現病態造血除了要考慮MDS外,還要注意自身免疫性疾病的可能[12]。
血細胞減少是系統性紅斑狼瘡(SLE)常見的系統損害。部分患者以血細胞減少為起病首發癥狀。對血細胞減少的患者進行骨髓形態學檢查是明確血細胞減少原因的重要手段。骨髓細胞是否有病態造血是骨髓形態學檢查中重要的內容。病態造血是骨髓增生異常綜合征(MDS)重要的形態學特點,是診斷MDS的重要指標之一。然而,病態造血并不是MDS特異性的骨髓形態學改變,也不僅僅出現在MDS中。其他的非克隆性疾病,如風濕性疾病、病毒及結核的感染、金屬代謝障礙都可以出現骨髓病態造血。早前有SLE患者出現病態造血的個案報道,但目前還缺乏對SLE患者骨髓形態學研究的較大病例數的縱向研究[1-2]。我們對32例伴發血細胞減少的SLE患者的資料進行了回顧性分析,現報告如下。
1 資料與方法
1.1 一般資料
回顧性分析2010年1月-2013年6月在我院就診的32例伴外周血細胞減少的SLE患者的骨髓涂片以及其他臨床資料。32例患者中,男7例,女25例;年齡16~47歲,平均(32.3±10.6)歲;病程均>2年;均符合美國風濕病學會1997年SLE分類標準,均在疾病診斷初期及治療過程中發現血細胞減少,完善了骨髓涂片檢查以明確血細胞減少的原因。
1.2 方法
骨髓病態造血的評價:骨髓涂片計數200個有核細胞,某系異常細胞超過該系細胞的10%判定為該系存在病態造血,異常細胞包括:紅系核出芽、核間橋、核碎裂、多核、核分葉多以及巨幼樣變,紅系細胞質空泡,環鐵粒幼細胞;粒系核分葉減少,假Pelger-Huet畸形,不規則核分葉,粒系細胞質顆粒減少,胞體小或異常增大;巨核系有小巨核細胞、核分葉減少、多核。所有患者都通過檢查排除了巨細胞病毒、Epstein-Barr病毒及結核現癥感染。
SLE病情活動性評估:SLE疾病的活動度根據SLEDAI標準(SLE Sledal評分系統)評估,總分≥10分為疾病活動。
1.3 統計學方法
采用SPSS 13.0 軟件進行統計分析。SLE疾病活動度評分采用均數±標準差表示,組間比較采用t'檢驗。檢驗水準α=0.05。
2 結果
32例伴發血細胞減少的SLE患者中有15例(46.9%)骨髓發現病態造血,其中紅系單系病態造血5例,粒系單系病態造血4例,巨核系單系病態造血2例,粒紅兩系病態造血4例,以粒紅兩系的巨幼樣變及粒系顆粒減少最多。32例患者中有8例是以全血細胞下降或兩系下降為疾病的首發癥狀,該8例患者均完善了染色體檢查,未發現異常改變。典型病態造血患者骨髓涂片見圖 1。

a. 小巨核細胞 b. 紅系三核 c. 假Pelger-Huet 畸形
11例患者在SLE診斷時發現骨髓病態造血,4例患者在確診SLE后評估病情時行骨髓檢查發現病態造血。出現病態造血的患者其疾病活動度[(38.5±10.3)分]較未出現病態造血的患者[(7.6±4.6)分]嚴重,差異有統計學意義(t'=10.714,P<0.001)。出現病態造血的SLE患者往往有較嚴重的重要臟器損害,比如狼瘡腎炎、狼瘡腦病以及指端血管炎。有3例患者在狼瘡控制后復查了骨髓涂片,其病態造血均消失。
3 討論
本組資料研究發現,SLE伴發血細胞減少的患者可以出現多系的病態造血,其中以紅系和粒系為主,分別占33.3%和26.7%。雖然病態造血的種類以粒、紅兩系的巨幼樣變以及粒系顆粒減少為主,假性Pelger-huet畸形、三核或出芽的紅細胞核淋巴樣、小巨核細胞等被認為是診斷MDS相對更有價值的病態造血,也會出現在SLE患者中。所以,對于全血細胞下降的患者在骨髓涂片中即便出現Pelger-huet畸形、小巨核細胞等病態造血,非血液系統疾病SLE也需要列入排除診斷。從以上資料看,SLE伴發血細胞減少的患者即便存在病態造血,其骨髓也沒有發現細胞遺傳學的改變。提示骨髓是否有細胞遺傳學的異常是鑒別克隆性疾病的病態造血和非克隆性疾病病態造血的重要手段。
本研究中15例存在病態造血的患者中11例在SLE疾病診斷初期就發現有骨髓病態造血,而且有病態造血的患者狼瘡疾病活動度明顯高于無病態造血的患者,但是隨著病情的控制,骨髓病態造血會好轉。提示狼瘡的疾病活動度與病態造血可能有相關性。
SLE患者骨髓出現病態造血在其他的研究中也有報道[3-4],但機制還不清楚。有研究發現,SLE患者高表達干擾素-γ并且CD34+細胞高表達Fas配體[5],活動性SLE患者的骨髓CD34水平是下降的。推測這些異常的細胞因子可能是造成SLE患者造血干/祖細胞受損的原因,還有學者認為SLE患者異常高細胞因子血癥導致骨髓病態造血的可能性較小,而自身反應性T淋巴細胞針對造血細胞的直接損傷以及對造血微環境的影響可能是SLE發生骨髓病態造血的機制[3, 6]。總之,無論是細胞因子還是自身反應性T細胞,SLE患者出現的病態造血是自身免疫紊亂導致血液系統繼發改變,是血液系統受到免疫損傷的表現形式之一。
既然SLE可以出現全血細胞下降伴有病態造血,有病態造血的MDS患者也會出現一些自身免疫疾病的表現,那么MDS與SLE的鑒別診斷就很重要,骨髓造血細胞是否有克隆性是診斷的重要依據。那么MDS的病態造血細胞是否是克隆來源?有學者通過熒光原位雜交技術研究了MDS患者典型的病態造血細胞的核型,結果發現MDS骨髓中的病態造血細胞并非是有克隆改變的細胞,而是殘存的正常造血細胞出現的形態學變化[7-10]。MDS的過度凋亡發生在非克隆性的造血細胞。該研究提示MDS惡性克隆細胞似乎具有某種能力(通過細胞本身或產生負性細胞因子)抑制正常造血細胞,從而形成優勢增殖[8]。上述資料提示MDS的骨髓病態造血細胞不是克隆來源。也進一步說明病態造血不是血液系統克隆性演變的特異性改變,而是多種因素(包含克隆性細胞及非克隆性的因素)對正常造血細胞造成損傷的結果。本組資料的研究發現SLE伴發全血細胞下降的患者骨髓發生病態造血的概率不低,造血細胞的病態造血可能是自身免疫異常對造血細胞損傷的表現形式之一[11]。因此提示臨床實踐中,對于以全血細胞下降的患者在骨髓中發現病態造血除了要考慮MDS外,還要注意自身免疫性疾病的可能[12]。