引用本文: 胡霜, 沈國華, 郭佳, 吉婷, 劉斌, 匡安仁. 氟代脫氧葡萄糖正電子發射斷層掃描/CT顯像在不明原因發熱病因診斷的價值. 華西醫學, 2015, 30(5): 919-924. doi: 10.7507/1002-0179.20150261 復制
不明原因發熱(FUO) 為發熱持續3周以上,體溫多次超過38.3℃,經過至少 1 周住院檢查仍不能確診的一組疾病[1]。我國目前普遍使用的是1998年全國發熱性疾病學術研討會制定的定義:體溫>38.5℃,發熱持續2~3周以上,經詳細的病史詢問、體格檢查、常規實驗室檢查仍不能明確病因診斷[2]。導致FUO的疾病較多,對1995年-2004年發表的關于FUO的文章的分析結果顯示,多于200種疾病可導致FUO,其中感染性疾病占36.6%,非感染性炎癥占15.9%,腫瘤占11.2%,其他疾病占約10%,有約25%的患者無法明確診斷[3]。另有一項統計結果顯示感染性疾病、非感染性炎癥、腫瘤及其他疾病分別占所有FUO病因的40%~57%、20%~25%、15%~20及10%[4]。
FUO的病因診斷在臨床上成為一個棘手的問題,而準確的病因診斷對患者的治療及預后有至關重要的影響。與傳統影像學方法相比,氟代脫氧葡萄糖(18F-FDG)正電子發射斷層掃描(PET)/CT顯像能同時提供病灶的代謝信息和解剖結構信息;且導致FUO的主要的三大類疾病(感染性疾病、非感染性炎癥和腫瘤)的病灶攝取18F-FDG都可能增高;一次顯像可提供全身的信息。這些因素都有利于發現病灶和協助明確診斷。
1 資料與方法
1.1 一般資料
回顧性收集我科2011年1月-2013年10月臨床診斷為FUO行18F-FDG PET/CT顯像患者32例,其中男17例,女15例;年齡17~88歲,平均(49.9±21.5)歲。FUO診斷采用全國發熱性疾病學術研討會制定的診斷標準[2]。
1.2 18F-FDG PET/CT顯像
所有受檢者均禁食6 h以上,血糖水平控制在11.1 mmol/L以下,按體質量5.6 MBq/kg確定18F-FDG 劑量,經前臂淺靜脈推注18F-FDG;注射后囑受檢者平靜休息50~60 min,排尿后行PET/CT顯像,顯像范圍為顱底至股骨上段;全身掃描結束后采用響應線圖像重建(LOR)方法進行圖像處理獲得PET、CT的橫斷面、冠狀面及矢狀面圖像,并使用CT數據對PET圖像進行衰減校正,PET/CT融合圖像通過Syntegra軟件合成。
由2位具有豐富診斷經驗醫師采用雙盲法閱片。最終金標準為病理學診斷、微生物血清學診斷、特殊影像學診斷和其他公認的綜合臨床標準。
1.3 數據分析及處理
隨訪至診斷明確或觀察時間>6個月,真陽性:局限性的18F-FDG攝取灶被證實為FUO患者的發熱原因。假陽性:18F-FDG PET/CT顯像出現高代謝的區域但與發熱無相關。真陰性:18F-FDG在全身僅為生理性分布,至不再發熱沒有找到病因。假陰性:得到PET陰性結果30 d內查明病因。靈敏度:真陽性/(真陽性+假陽性);特異度:真陰性/(假陽性+真陰性)。
2 結果
32例患者基本特征及18F-FDG PET/CT顯像結果見表 1。21例患者顯像陽性,11例陰性。共有20例(62.5%)患者明確診斷,其中感染性炎癥8例,非感染性炎癥2例,惡性腫瘤8例,其他2例;惡性腫瘤中5例為血液系統腫瘤。其中17例(53.1%)例顯像陽性并對明確診斷有幫助,對6例患者提出可能診斷并引導穿刺,最終被病理活體組織檢查(活檢)證實,3例為淋巴瘤,胃癌、肺癌和宮頸癌復發各1例;5例患者提示活檢位置,最終診斷為嗜血細胞綜合征2例,多發骨髓瘤、白血病、成人Still病各1例;有6例患者18F-FDG PET/CT顯像直接明確診斷,肺結核2例,腸結核1例,肺炎3例,并被臨床證實。

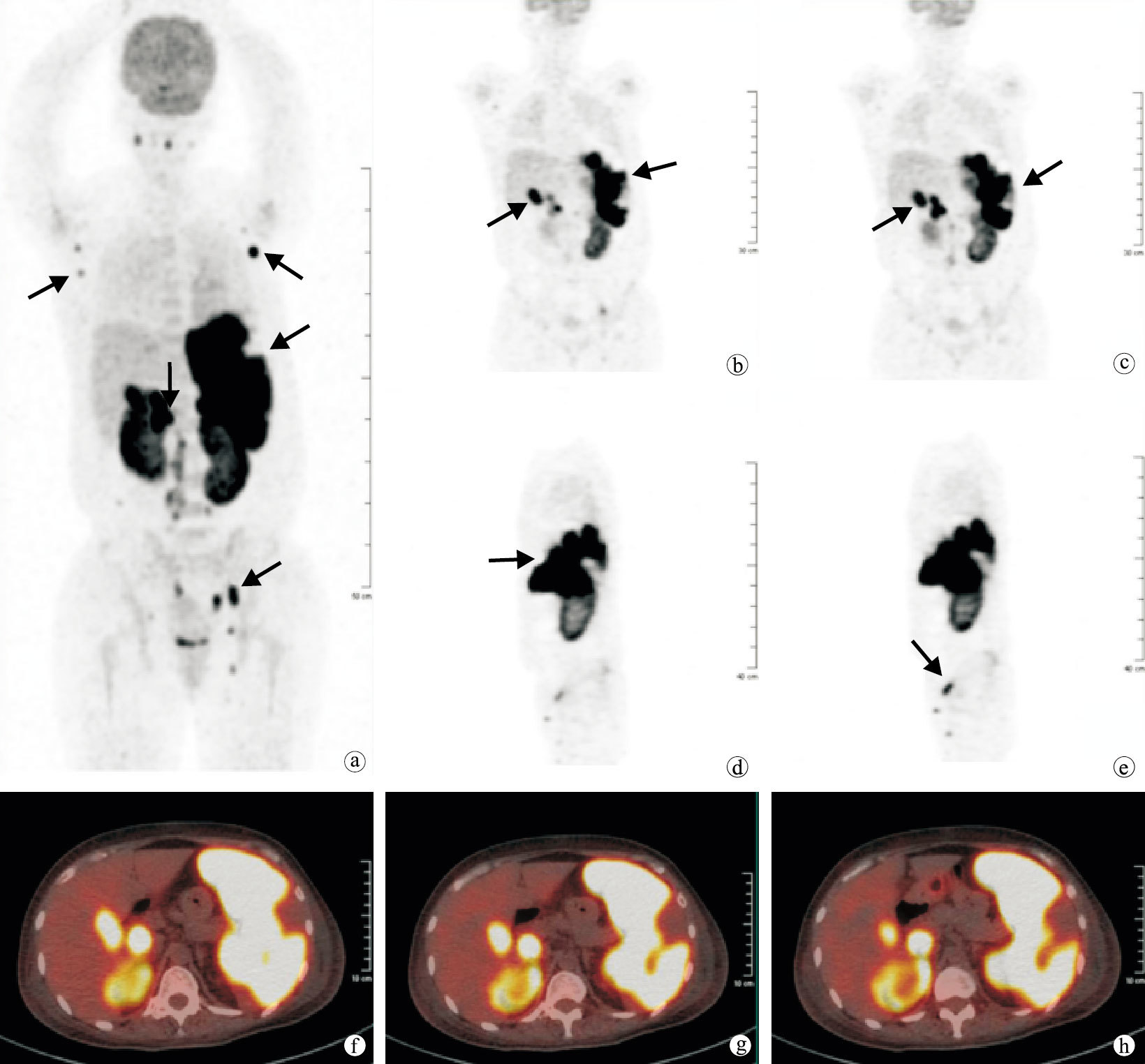
另有3例明確診斷的患者顯像為陰性,其診斷分別為盆腔炎癥、下尿路感染和干燥綜合征各1例。有8例患者為真陰性,雖然18F-FDG PET/CT顯像未得到確定診斷,但顯像至少排除了一些可能病因,所以18F-FDG PET/CT顯像對這類患者的診斷也是有幫助的。18F-FDG PET/CT顯像對25例(78.1%)患者的診斷具有幫助,在尋找FUO病因的靈敏度85.0%,特異度66.7%。典型患者18F-PDG PET/CT圖像見圖 1。

PET/CT圖像發熱1+個月,PET的最大密度投影(a),冠狀位(b、c),矢狀位(d、e)圖顯示雙側腋窩及左側腹股溝淋巴結、膽囊、肝總管、膽總管、脾臟及雙側腎臟攝取18F-FDG增高(黑箭)。PET/CT斷層融合圖像(f~h)示脾臟地圖狀攝取18F-FDG增高
3 討論
FUO的概念最初由Petersdorf等[1]在1961年提出,定義為發熱持續3周以上,體溫多次超過38.3℃,經過至少1周住院檢查仍不能確診的一組疾病。1991年Durak等[5]對以上定義進行修訂,其中最大的變動之一為將1周住院檢查改為至少住院3 d或3次門診的檢查。我國目前普遍采用的是1998年全國發熱性疾病學術研討會的定義,即體溫>38.5℃,發熱持續2~3周以上,且經詳細的病史詢問、體格檢查、常規實驗室檢查仍不能明確病因的診斷[2]。
普通實驗室檢查、傳統影像檢查,如超聲、CT、MRI等在FUO患者原發疾病的診斷中尤其是早期診斷的靈敏度和特異度均較低[6-7]。本研究中18F-FDG PET/CT顯像在FUO患者病因診斷的靈敏度、特異度分別為85.0%、66.7%。這主要是因為PET/CT顯像能同時提供解剖結構和功能改變的信息[8-9]。
本組中例12患者,主要以發熱、疲乏、食欲不佳及體質量減輕等非特異癥狀就診,住院1周仍未查明發熱原因,18F-FDG PET/CT顯像結果(圖 1)示雙側腋窩淋巴結、肝臟、膽總管、脾臟、雙側腎臟攝取18F-FDG增高,根據顯像結果引導行腋窩淋巴結活檢,病理示非霍奇金淋巴瘤。當淋巴瘤未導致組織器官發生解剖結構改變時或者僅累及深部淋巴結時,在臨床上不易引起重視,其他的影像學檢查中也易漏診這些病灶[10]。18F-FDG PET/CT顯像在對這類淋巴瘤患者的診斷有重要意義。
18F-FDG PET/CT顯像還能定位活檢部位,提高檢出率[11]。本文中例11及例16患者表現為多處骨髓局限性攝取18F-FDG稍增高,最大標準攝取值得分別為4.1和4.7,最終在代謝增高處骨髓活檢見嗜血現象,診斷為嗜血細胞綜合征。Kim等[8]報道18F-FDG PET/CT顯像診斷嗜血細胞綜合征原發疾病的靈敏度、特異度和準確度分別為83.0%、62.5%和71.4%,18F-FDG PET/CT顯像可以提示最佳的穿刺活檢位置[12]。
3例患者顯像結果為假陰性,分別為盆腔炎癥、下尿路感染和干燥綜合征,這可能由于顯像劑18F-FDG主要從泌尿系統排除,在膀胱及腸道停留可能影響盆腔病灶的判斷[13-14]。再者,2例盆腔或者下尿路的感染灶彌散。對于干燥綜合征,它是主要累及外分泌腺體的慢性炎癥性自身免疫病,可能其病灶的糖代謝增高不明顯,故18F-FDG PET/CT顯像不能顯示病灶,所以18F-FDG PET/CT顯像在此類疾病的應用價值有限。4例假陽性患者在淋巴結、骨髓或脾臟攝取18F-FDG均僅僅稍高于肝臟且呈彌漫性,考慮上述部位可能為非特異性攝取,與發熱無相關。最終4例假陽性患者在隨訪中仍未明確診斷且發熱癥狀均消失。
本研究中8F-FDG-PET/CT顯像在32例FUO患者診斷中的靈敏度、特異度均較高,這與已經發表的其他文獻[15-19]的結果基本一致。18F-FDG-PET/CT顯像在協助FUO患者明確病因診斷具有重要價值。
綜上所述,18F-FDG-PET/CT顯像用于協助明確FUO患者的發熱原因具有較高的臨床價值,可以指導穿刺,提供疾病診斷方向或直接得出診斷,對不FUO患者在其他常規檢查皆無法找到或確定病因,且病情經臨床處理未見好轉時,可行18F-FDG-PET/CT顯像。
不明原因發熱(FUO) 為發熱持續3周以上,體溫多次超過38.3℃,經過至少 1 周住院檢查仍不能確診的一組疾病[1]。我國目前普遍使用的是1998年全國發熱性疾病學術研討會制定的定義:體溫>38.5℃,發熱持續2~3周以上,經詳細的病史詢問、體格檢查、常規實驗室檢查仍不能明確病因診斷[2]。導致FUO的疾病較多,對1995年-2004年發表的關于FUO的文章的分析結果顯示,多于200種疾病可導致FUO,其中感染性疾病占36.6%,非感染性炎癥占15.9%,腫瘤占11.2%,其他疾病占約10%,有約25%的患者無法明確診斷[3]。另有一項統計結果顯示感染性疾病、非感染性炎癥、腫瘤及其他疾病分別占所有FUO病因的40%~57%、20%~25%、15%~20及10%[4]。
FUO的病因診斷在臨床上成為一個棘手的問題,而準確的病因診斷對患者的治療及預后有至關重要的影響。與傳統影像學方法相比,氟代脫氧葡萄糖(18F-FDG)正電子發射斷層掃描(PET)/CT顯像能同時提供病灶的代謝信息和解剖結構信息;且導致FUO的主要的三大類疾病(感染性疾病、非感染性炎癥和腫瘤)的病灶攝取18F-FDG都可能增高;一次顯像可提供全身的信息。這些因素都有利于發現病灶和協助明確診斷。
1 資料與方法
1.1 一般資料
回顧性收集我科2011年1月-2013年10月臨床診斷為FUO行18F-FDG PET/CT顯像患者32例,其中男17例,女15例;年齡17~88歲,平均(49.9±21.5)歲。FUO診斷采用全國發熱性疾病學術研討會制定的診斷標準[2]。
1.2 18F-FDG PET/CT顯像
所有受檢者均禁食6 h以上,血糖水平控制在11.1 mmol/L以下,按體質量5.6 MBq/kg確定18F-FDG 劑量,經前臂淺靜脈推注18F-FDG;注射后囑受檢者平靜休息50~60 min,排尿后行PET/CT顯像,顯像范圍為顱底至股骨上段;全身掃描結束后采用響應線圖像重建(LOR)方法進行圖像處理獲得PET、CT的橫斷面、冠狀面及矢狀面圖像,并使用CT數據對PET圖像進行衰減校正,PET/CT融合圖像通過Syntegra軟件合成。
由2位具有豐富診斷經驗醫師采用雙盲法閱片。最終金標準為病理學診斷、微生物血清學診斷、特殊影像學診斷和其他公認的綜合臨床標準。
1.3 數據分析及處理
隨訪至診斷明確或觀察時間>6個月,真陽性:局限性的18F-FDG攝取灶被證實為FUO患者的發熱原因。假陽性:18F-FDG PET/CT顯像出現高代謝的區域但與發熱無相關。真陰性:18F-FDG在全身僅為生理性分布,至不再發熱沒有找到病因。假陰性:得到PET陰性結果30 d內查明病因。靈敏度:真陽性/(真陽性+假陽性);特異度:真陰性/(假陽性+真陰性)。
2 結果
32例患者基本特征及18F-FDG PET/CT顯像結果見表 1。21例患者顯像陽性,11例陰性。共有20例(62.5%)患者明確診斷,其中感染性炎癥8例,非感染性炎癥2例,惡性腫瘤8例,其他2例;惡性腫瘤中5例為血液系統腫瘤。其中17例(53.1%)例顯像陽性并對明確診斷有幫助,對6例患者提出可能診斷并引導穿刺,最終被病理活體組織檢查(活檢)證實,3例為淋巴瘤,胃癌、肺癌和宮頸癌復發各1例;5例患者提示活檢位置,最終診斷為嗜血細胞綜合征2例,多發骨髓瘤、白血病、成人Still病各1例;有6例患者18F-FDG PET/CT顯像直接明確診斷,肺結核2例,腸結核1例,肺炎3例,并被臨床證實。

另有3例明確診斷的患者顯像為陰性,其診斷分別為盆腔炎癥、下尿路感染和干燥綜合征各1例。有8例患者為真陰性,雖然18F-FDG PET/CT顯像未得到確定診斷,但顯像至少排除了一些可能病因,所以18F-FDG PET/CT顯像對這類患者的診斷也是有幫助的。18F-FDG PET/CT顯像對25例(78.1%)患者的診斷具有幫助,在尋找FUO病因的靈敏度85.0%,特異度66.7%。典型患者18F-PDG PET/CT圖像見圖 1。

PET/CT圖像發熱1+個月,PET的最大密度投影(a),冠狀位(b、c),矢狀位(d、e)圖顯示雙側腋窩及左側腹股溝淋巴結、膽囊、肝總管、膽總管、脾臟及雙側腎臟攝取18F-FDG增高(黑箭)。PET/CT斷層融合圖像(f~h)示脾臟地圖狀攝取18F-FDG增高
3 討論
FUO的概念最初由Petersdorf等[1]在1961年提出,定義為發熱持續3周以上,體溫多次超過38.3℃,經過至少1周住院檢查仍不能確診的一組疾病。1991年Durak等[5]對以上定義進行修訂,其中最大的變動之一為將1周住院檢查改為至少住院3 d或3次門診的檢查。我國目前普遍采用的是1998年全國發熱性疾病學術研討會的定義,即體溫>38.5℃,發熱持續2~3周以上,且經詳細的病史詢問、體格檢查、常規實驗室檢查仍不能明確病因的診斷[2]。
普通實驗室檢查、傳統影像檢查,如超聲、CT、MRI等在FUO患者原發疾病的診斷中尤其是早期診斷的靈敏度和特異度均較低[6-7]。本研究中18F-FDG PET/CT顯像在FUO患者病因診斷的靈敏度、特異度分別為85.0%、66.7%。這主要是因為PET/CT顯像能同時提供解剖結構和功能改變的信息[8-9]。
本組中例12患者,主要以發熱、疲乏、食欲不佳及體質量減輕等非特異癥狀就診,住院1周仍未查明發熱原因,18F-FDG PET/CT顯像結果(圖 1)示雙側腋窩淋巴結、肝臟、膽總管、脾臟、雙側腎臟攝取18F-FDG增高,根據顯像結果引導行腋窩淋巴結活檢,病理示非霍奇金淋巴瘤。當淋巴瘤未導致組織器官發生解剖結構改變時或者僅累及深部淋巴結時,在臨床上不易引起重視,其他的影像學檢查中也易漏診這些病灶[10]。18F-FDG PET/CT顯像在對這類淋巴瘤患者的診斷有重要意義。
18F-FDG PET/CT顯像還能定位活檢部位,提高檢出率[11]。本文中例11及例16患者表現為多處骨髓局限性攝取18F-FDG稍增高,最大標準攝取值得分別為4.1和4.7,最終在代謝增高處骨髓活檢見嗜血現象,診斷為嗜血細胞綜合征。Kim等[8]報道18F-FDG PET/CT顯像診斷嗜血細胞綜合征原發疾病的靈敏度、特異度和準確度分別為83.0%、62.5%和71.4%,18F-FDG PET/CT顯像可以提示最佳的穿刺活檢位置[12]。
3例患者顯像結果為假陰性,分別為盆腔炎癥、下尿路感染和干燥綜合征,這可能由于顯像劑18F-FDG主要從泌尿系統排除,在膀胱及腸道停留可能影響盆腔病灶的判斷[13-14]。再者,2例盆腔或者下尿路的感染灶彌散。對于干燥綜合征,它是主要累及外分泌腺體的慢性炎癥性自身免疫病,可能其病灶的糖代謝增高不明顯,故18F-FDG PET/CT顯像不能顯示病灶,所以18F-FDG PET/CT顯像在此類疾病的應用價值有限。4例假陽性患者在淋巴結、骨髓或脾臟攝取18F-FDG均僅僅稍高于肝臟且呈彌漫性,考慮上述部位可能為非特異性攝取,與發熱無相關。最終4例假陽性患者在隨訪中仍未明確診斷且發熱癥狀均消失。
本研究中8F-FDG-PET/CT顯像在32例FUO患者診斷中的靈敏度、特異度均較高,這與已經發表的其他文獻[15-19]的結果基本一致。18F-FDG-PET/CT顯像在協助FUO患者明確病因診斷具有重要價值。
綜上所述,18F-FDG-PET/CT顯像用于協助明確FUO患者的發熱原因具有較高的臨床價值,可以指導穿刺,提供疾病診斷方向或直接得出診斷,對不FUO患者在其他常規檢查皆無法找到或確定病因,且病情經臨床處理未見好轉時,可行18F-FDG-PET/CT顯像。