引用本文: 王永芹, 謝曉紅. 右后下縱隔節細胞神經瘤一例. 華西醫學, 2014, 29(10): 1817-1818. doi: 10.7507/1002-0179.20140553 復制
1 病例介紹
患者?女,26歲,2013年4月20日單位體檢時發現右下縱隔包塊占位,于2013年4月30日來我院就診。患者無胸悶、氣促,無惡心、嘔吐,無腹痛、腹脹、腹瀉等不適,以“右下縱隔腫瘤”入住我院。術前全身情況良好,淺表淋巴結未捫及,血常規、生物化學檢查、腫瘤標志物等各項指標均正常。
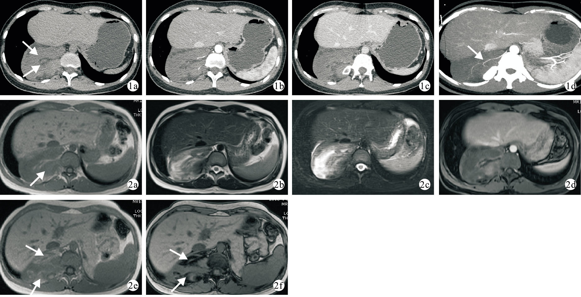
CT檢查提示:右側后下縱隔脊柱旁見混雜密度腫塊,大小約10 cm×7 cm×10 cm,平掃腫塊內部見少許脂肪密度,其余為軟組織密度(圖 1a);增強后腫塊呈輕度不均勻強化,鄰近椎間孔稍顯擴大,右側第12肋骨近段膨大并受壓彎曲(圖 1b,1c),最大密度投影(MIP)上可見腫塊供血動脈(圖 1d)。MRI平掃T1WI腫塊呈等信號(圖 2a),T2WI及T2壓脂呈不均勻高信號(圖 2b,2c),增強掃描腫塊不均勻輕度強化(圖 2d),同相位腫塊內可見條片狀高信號(圖 2e),反相位呈低信號(圖 2f),病變與椎間孔關系密切,鄰近椎間孔稍擴大,增強后期輕度不均勻強化。

患者于2013年5月6日在全身麻醉下行胸腔鏡輔助下行右后下縱膈腫瘤切除術+椎間孔探查術+胸腔閉式引流術。術中見腫塊位于右后下縱隔脊柱旁,由胸壁突入右側胸腔,大小約10 cm×7 cm×7 cm,包膜完整,位于膈肌之上;腫塊血供豐富,與壁層胸膜粘連緊密,且腫塊組織靠近脊柱面,與椎體、第11、12肋骨緊密粘連,可見多束致密連接來源于第10及11椎間孔。完整切除腫瘤主體后送冰凍病理檢查,提示梭形細胞瘤,神經來源,傾向良性病變。免疫組織化學顯示:波形蛋白(Vim)(+),CD68(-),神經元特異性烯醇化酶(NSE)(局灶+),NF(-),Des(-),S-100梭形細胞(+),Syn(+),CgA(-),CK(-),Ki-67陽性率<1%。病理結果提示:節細胞神經瘤(CN)伴脂肪化生。
2 討論
CN又稱神經節細胞瘤、節細胞神經纖維瘤,是一種罕見的良性神經源性腫瘤,起源于交感神經節原始神經嵴細胞,由分化好的神經節細胞、神經鞘細胞和神經纖維組成。常見于后縱隔、腹膜后及腎上腺等[1, 2]。發生于交感神經系統的腫瘤包括成神經細胞瘤、節細胞成神經細胞瘤和CN 3種。其中成神經細胞瘤惡性程度最高,節細胞成神經細胞瘤次之,兩者均以兒童和青少年多見,而CN為良性腫瘤,多見于青年和成年人。CN質地較軟,包膜完整光滑,切面為灰黃色,鏡下主要由大量的黏液基質、神經纖維細胞和和相對少量的節細胞組成。約10%~25%可伴有鈣化,也可有囊變和脂肪變,但很少發生出血和壞死[3, 4]。目前,在已有研究中縱隔CN大多位于后縱隔脊柱右側 [5-7],但是CN發生于脊柱兩側的發病率是否有明顯差異,需要大樣本的研究進行控索。
CN一般無明顯的臨床癥狀,生長緩慢,常無明顯臨床癥狀,即使發生于腎上腺髓質,也不分泌過多腎上腺素、去甲腎上腺素而引起高血壓,常因體檢或其他疾病檢查時被偶然發現,此時腫瘤已較大。其CT表現常為平掃時為均勻或不均勻性低密度,密度低于肌肉,部分伴有散在點狀或砂粒狀鈣化;增強掃描后腫塊強化不明顯或呈條線形強化;MRI表現為T1以等信號為主、T2以高信號為主的混雜信號,主要由其內部成份(鈣化、液化、壞死或脂肪變的程度)決定,增強掃描呈不均勻輕度強化。
CN極其少見,臨床上常無特殊表現,影像學表現有一定的特點,但有時與其他神經源性腫瘤不易鑒別。影像學檢查主要用于確定腫瘤的位置、形態、大小及其對周圍組織、器官的壓迫和侵犯,為臨床治療及手術方式提供更多的信息,以徹底切除腫瘤。但其最終診斷還需病理檢查確定。
總之,CN是一種少見的良性神經源性腫瘤,發生于縱隔時常見于后縱隔脊柱右側,CT及MRI檢查有上述影像學表現時,應考慮到CN的可能。CT和MRI有助于辨別腫瘤內部成分特點,為診斷提供更多線索,并為臨床治療方案的選擇提供更多參考價值。
1 病例介紹
患者?女,26歲,2013年4月20日單位體檢時發現右下縱隔包塊占位,于2013年4月30日來我院就診。患者無胸悶、氣促,無惡心、嘔吐,無腹痛、腹脹、腹瀉等不適,以“右下縱隔腫瘤”入住我院。術前全身情況良好,淺表淋巴結未捫及,血常規、生物化學檢查、腫瘤標志物等各項指標均正常。
CT檢查提示:右側后下縱隔脊柱旁見混雜密度腫塊,大小約10 cm×7 cm×10 cm,平掃腫塊內部見少許脂肪密度,其余為軟組織密度(圖 1a);增強后腫塊呈輕度不均勻強化,鄰近椎間孔稍顯擴大,右側第12肋骨近段膨大并受壓彎曲(圖 1b,1c),最大密度投影(MIP)上可見腫塊供血動脈(圖 1d)。MRI平掃T1WI腫塊呈等信號(圖 2a),T2WI及T2壓脂呈不均勻高信號(圖 2b,2c),增強掃描腫塊不均勻輕度強化(圖 2d),同相位腫塊內可見條片狀高信號(圖 2e),反相位呈低信號(圖 2f),病變與椎間孔關系密切,鄰近椎間孔稍擴大,增強后期輕度不均勻強化。

患者于2013年5月6日在全身麻醉下行胸腔鏡輔助下行右后下縱膈腫瘤切除術+椎間孔探查術+胸腔閉式引流術。術中見腫塊位于右后下縱隔脊柱旁,由胸壁突入右側胸腔,大小約10 cm×7 cm×7 cm,包膜完整,位于膈肌之上;腫塊血供豐富,與壁層胸膜粘連緊密,且腫塊組織靠近脊柱面,與椎體、第11、12肋骨緊密粘連,可見多束致密連接來源于第10及11椎間孔。完整切除腫瘤主體后送冰凍病理檢查,提示梭形細胞瘤,神經來源,傾向良性病變。免疫組織化學顯示:波形蛋白(Vim)(+),CD68(-),神經元特異性烯醇化酶(NSE)(局灶+),NF(-),Des(-),S-100梭形細胞(+),Syn(+),CgA(-),CK(-),Ki-67陽性率<1%。病理結果提示:節細胞神經瘤(CN)伴脂肪化生。
2 討論
CN又稱神經節細胞瘤、節細胞神經纖維瘤,是一種罕見的良性神經源性腫瘤,起源于交感神經節原始神經嵴細胞,由分化好的神經節細胞、神經鞘細胞和神經纖維組成。常見于后縱隔、腹膜后及腎上腺等[1, 2]。發生于交感神經系統的腫瘤包括成神經細胞瘤、節細胞成神經細胞瘤和CN 3種。其中成神經細胞瘤惡性程度最高,節細胞成神經細胞瘤次之,兩者均以兒童和青少年多見,而CN為良性腫瘤,多見于青年和成年人。CN質地較軟,包膜完整光滑,切面為灰黃色,鏡下主要由大量的黏液基質、神經纖維細胞和和相對少量的節細胞組成。約10%~25%可伴有鈣化,也可有囊變和脂肪變,但很少發生出血和壞死[3, 4]。目前,在已有研究中縱隔CN大多位于后縱隔脊柱右側 [5-7],但是CN發生于脊柱兩側的發病率是否有明顯差異,需要大樣本的研究進行控索。
CN一般無明顯的臨床癥狀,生長緩慢,常無明顯臨床癥狀,即使發生于腎上腺髓質,也不分泌過多腎上腺素、去甲腎上腺素而引起高血壓,常因體檢或其他疾病檢查時被偶然發現,此時腫瘤已較大。其CT表現常為平掃時為均勻或不均勻性低密度,密度低于肌肉,部分伴有散在點狀或砂粒狀鈣化;增強掃描后腫塊強化不明顯或呈條線形強化;MRI表現為T1以等信號為主、T2以高信號為主的混雜信號,主要由其內部成份(鈣化、液化、壞死或脂肪變的程度)決定,增強掃描呈不均勻輕度強化。
CN極其少見,臨床上常無特殊表現,影像學表現有一定的特點,但有時與其他神經源性腫瘤不易鑒別。影像學檢查主要用于確定腫瘤的位置、形態、大小及其對周圍組織、器官的壓迫和侵犯,為臨床治療及手術方式提供更多的信息,以徹底切除腫瘤。但其最終診斷還需病理檢查確定。
總之,CN是一種少見的良性神經源性腫瘤,發生于縱隔時常見于后縱隔脊柱右側,CT及MRI檢查有上述影像學表現時,應考慮到CN的可能。CT和MRI有助于辨別腫瘤內部成分特點,為診斷提供更多線索,并為臨床治療方案的選擇提供更多參考價值。