引用本文: 曾繼莎, 任倩, 李健, 賈永前. 伴顯著血小板增多的難治性環鐵幼粒細胞性貧血一例. 華西醫學, 2014, 29(5): 995-996. doi: 10.7507/1002-0179.20140303 復制
1 病例介紹
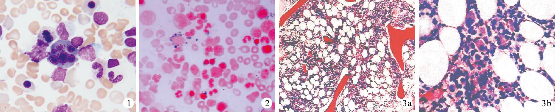
患者?女,61歲。因“乏力3個月,加重1周”于2012年6月5日入院。入院前3個月患者因全身酸痛、乏力就診于我院門診,血常規示:血小板計數(PLT)升高達965×109/L,血紅蛋白(Hb)106 g/L,白細胞計數(WBC)9×109/L,中性粒細胞比例 64%,淋巴細胞比例 36%;外周血JAK2 V617F基因突變呈陽性;診斷為“原發性血小板增多癥(ET)”。給予阿司匹林,口服100 mg ,1次/d;干擾素300萬U,3次/周,肌肉注射治療,半個月后患者自行停藥。入院前1周患者乏力加重伴貧血。入院后查體:貧血貌,全身淺表淋巴結未觸及腫大,肝臟肋下未觸及,脾臟肋下0.5 cm可觸及。血常規示:網織紅細胞 0.044 3×109/L,PLT 1 601×109/L,WBC 1.88×109/L,Hb 69 g/L,平均紅細胞體積(MCV)85.1 fL,平均紅細胞血紅蛋白含量(MCH)24.5 pg,平均紅細胞血紅蛋白濃度(MCHC)288 g/L;血清鐵蛋白1 412 ng/mL。給予羥基脲降血小板,先后輸注紅細胞懸液4 U,以及降尿酸、升白細胞、刺激紅細胞造血等支持治療,患者血小板逐漸下降至正常,但貧血無改善,Hb波動在60~70 g/L之間。復查骨髓涂片檢查示:骨髓增生活躍;紅細胞系占54%,少數幼紅細胞可見巨幼樣變,可見雙核、多核、花瓣樣晚幼紅細胞;粒細胞系占21.5%,其中查見原始粒細胞,比例占9%;全片可見巨核細胞300個,單圓核巨核細胞、多圓核巨核細胞均易見,成堆、成片、成簇血小板易見。骨髓組織化學染色檢查示:環形鐵粒幼紅細胞占19%。骨髓活檢示:骨髓造血組織增生活躍,與脂肪比例為1︰1;有核細胞增生明顯活躍,粒紅比約4︰1,形態未見明顯異常;每個高倍鏡視野可見巨核系細胞18~19個,多形性變明顯,巨大多核或多葉核巨核細胞易見,部分為小巨核細胞,網狀纖維增生(+)。本例患者骨髓穿刺涂片、骨髓組織化學染色及骨髓活檢的組織病理學改變見圖 1~3。骨髓流式細胞學檢查未見異常表型細胞群。骨髓細胞染色體核型分析:46XX。JAK2 V617F基因突變呈陽性,BCR-ABL基因突變呈陰性。結合患者臨床和實驗室檢查資料,診斷為“伴顯著血小板增多的難治性環鐵幼粒細胞性貧血(RARS-T)”。給予三氧化二砷10 mg靜脈滴注,1次/d;氨磷汀(商品名:阿米福汀)0.4 g靜脈滴注,1次/d,連用14 d。此方案共治療2個療程。療程結束后復查血常規示:Hb 83 g/L,WBC 3.77×109/L,PLT 471×109/L;骨髓涂片示:原始粒細胞4.5%;流式細胞學檢查:原始細胞占有核細胞4%。患者病情好轉后出院,后因經濟原因未在我院繼續治療。隨訪至第14個月,患者因感染入住當地醫院,半個月后死亡。在當地醫院住院期間,行骨髓檢查發現“骨髓纖維化”。該例患者總生存期21個月。

2 討論
RARS-T是一種極為少見的,且同時具有骨髓增殖性腫瘤(MPN)與骨髓增生異常綜合征(MDS)兩種疾病特征的疾病,最早由Gupta等[1]在1999年提出,至今未見國內有公開的文獻報道。由于對本病的起源及疾病轉歸和預后尚存有分歧,2008版WHO造血與淋巴組織腫瘤分類將其作為臨時性的疾病實體歸類于MDS/MPN,未分類型(MDS/MPN-U)中的一種[2]。其診斷標準一般應符合以下幾點:① 外周血血小板持續≥450×109/L;② 骨髓活檢見巨核細胞增生明顯,可伴形態異常;③ 難治性貧血,骨髓見紅系病態增生造血,環鐵幼粒細胞≥有核紅細胞15%;④ 骨髓原始細胞<5%;⑤ 無下列細胞遺傳學改變:Ph1染色體或BCR/ABL融合基因、del (5q)、inv (3)(q21;q26)或t(3;3)(q21;q26)。約60%以上的RARS-T患者常伴有JAK2 V617F基因突變陽性,少數患者伴有MPL W515K/L基因突變陽性[2]。本例患者具有ET的臨床及分子遺傳學特征(JAK2 V617F基因突變陽性),同時也具有MDS的難治性貧血的臨床特征及紅系細胞病態造血的骨髓形態學特征,且鐵染色發現環型鐵幼粒細胞占19%,因此符合RARS-T的診斷標準。雖本例患者初次骨髓涂片查見9%的原始粒細胞,與標準有所出入,但該患者同時檢查的骨髓流式細胞分析卻未能查見原始粒細胞,且其后多次復查骨髓涂片及流式細胞學檢查其原始粒細胞均<5%,因此可認為此例患者仍滿足RARS-T的診斷標準。
目前有關RARS-T治療方案的相關文獻報道較少,Huls等[3]報道了2例使用低劑量來那度胺(5~10 mg,1次/d)治療RARS-T取得成功的案例。Kim等[4]報道了1例使用去甲基化藥物地西他濱治療伴有dup(2)(p15;p22)的RARS-T患者取得成功的案例。本例患者在診斷初期針對MPN血小板顯著增高即給予了干擾素、阿司匹林、羥基脲降血小板治療,血小板逐漸控制在正常范圍內。但患者貧血逐漸加重,嚴重影響其生活質量,其后按照MDS的治療策略給予患者三氧化二砷聯合氨磷汀連用14 d的治療方案。經2個療程的治療,復查血常規Hb水平有一定提高(83 g/L),骨髓涂片及骨髓流式細胞學檢查原始細胞維持在正常范圍,提示該方案對RARS-T這類疾病治療可能具有一定價值。
一般認為RARS-T患者長期預后較ET患者差。Broseus等[5]報道,RARS-T患者的中位生存期(76個月)短于ET患者(115個月),且PLT>600×109/L與PLT<600×109/L對RARS-T患者中位生存期無明顯影響。但本例患者在疾病后期較快進展為“骨髓纖維化”,后死于感染,其總生存期僅為21個月,與文獻報道差別較大[5]。這可能提示,較單純MDS或MPN而言,RARS-T患者中可能存在更復雜的生物學行為,導致疾病進展較快,預后相對較差。因此,提高對RARS-T疾病的認識,做到早期診斷、早期治療,探索新的治療方案十分必要。
1 病例介紹
患者?女,61歲。因“乏力3個月,加重1周”于2012年6月5日入院。入院前3個月患者因全身酸痛、乏力就診于我院門診,血常規示:血小板計數(PLT)升高達965×109/L,血紅蛋白(Hb)106 g/L,白細胞計數(WBC)9×109/L,中性粒細胞比例 64%,淋巴細胞比例 36%;外周血JAK2 V617F基因突變呈陽性;診斷為“原發性血小板增多癥(ET)”。給予阿司匹林,口服100 mg ,1次/d;干擾素300萬U,3次/周,肌肉注射治療,半個月后患者自行停藥。入院前1周患者乏力加重伴貧血。入院后查體:貧血貌,全身淺表淋巴結未觸及腫大,肝臟肋下未觸及,脾臟肋下0.5 cm可觸及。血常規示:網織紅細胞 0.044 3×109/L,PLT 1 601×109/L,WBC 1.88×109/L,Hb 69 g/L,平均紅細胞體積(MCV)85.1 fL,平均紅細胞血紅蛋白含量(MCH)24.5 pg,平均紅細胞血紅蛋白濃度(MCHC)288 g/L;血清鐵蛋白1 412 ng/mL。給予羥基脲降血小板,先后輸注紅細胞懸液4 U,以及降尿酸、升白細胞、刺激紅細胞造血等支持治療,患者血小板逐漸下降至正常,但貧血無改善,Hb波動在60~70 g/L之間。復查骨髓涂片檢查示:骨髓增生活躍;紅細胞系占54%,少數幼紅細胞可見巨幼樣變,可見雙核、多核、花瓣樣晚幼紅細胞;粒細胞系占21.5%,其中查見原始粒細胞,比例占9%;全片可見巨核細胞300個,單圓核巨核細胞、多圓核巨核細胞均易見,成堆、成片、成簇血小板易見。骨髓組織化學染色檢查示:環形鐵粒幼紅細胞占19%。骨髓活檢示:骨髓造血組織增生活躍,與脂肪比例為1︰1;有核細胞增生明顯活躍,粒紅比約4︰1,形態未見明顯異常;每個高倍鏡視野可見巨核系細胞18~19個,多形性變明顯,巨大多核或多葉核巨核細胞易見,部分為小巨核細胞,網狀纖維增生(+)。本例患者骨髓穿刺涂片、骨髓組織化學染色及骨髓活檢的組織病理學改變見圖 1~3。骨髓流式細胞學檢查未見異常表型細胞群。骨髓細胞染色體核型分析:46XX。JAK2 V617F基因突變呈陽性,BCR-ABL基因突變呈陰性。結合患者臨床和實驗室檢查資料,診斷為“伴顯著血小板增多的難治性環鐵幼粒細胞性貧血(RARS-T)”。給予三氧化二砷10 mg靜脈滴注,1次/d;氨磷汀(商品名:阿米福汀)0.4 g靜脈滴注,1次/d,連用14 d。此方案共治療2個療程。療程結束后復查血常規示:Hb 83 g/L,WBC 3.77×109/L,PLT 471×109/L;骨髓涂片示:原始粒細胞4.5%;流式細胞學檢查:原始細胞占有核細胞4%。患者病情好轉后出院,后因經濟原因未在我院繼續治療。隨訪至第14個月,患者因感染入住當地醫院,半個月后死亡。在當地醫院住院期間,行骨髓檢查發現“骨髓纖維化”。該例患者總生存期21個月。

2 討論
RARS-T是一種極為少見的,且同時具有骨髓增殖性腫瘤(MPN)與骨髓增生異常綜合征(MDS)兩種疾病特征的疾病,最早由Gupta等[1]在1999年提出,至今未見國內有公開的文獻報道。由于對本病的起源及疾病轉歸和預后尚存有分歧,2008版WHO造血與淋巴組織腫瘤分類將其作為臨時性的疾病實體歸類于MDS/MPN,未分類型(MDS/MPN-U)中的一種[2]。其診斷標準一般應符合以下幾點:① 外周血血小板持續≥450×109/L;② 骨髓活檢見巨核細胞增生明顯,可伴形態異常;③ 難治性貧血,骨髓見紅系病態增生造血,環鐵幼粒細胞≥有核紅細胞15%;④ 骨髓原始細胞<5%;⑤ 無下列細胞遺傳學改變:Ph1染色體或BCR/ABL融合基因、del (5q)、inv (3)(q21;q26)或t(3;3)(q21;q26)。約60%以上的RARS-T患者常伴有JAK2 V617F基因突變陽性,少數患者伴有MPL W515K/L基因突變陽性[2]。本例患者具有ET的臨床及分子遺傳學特征(JAK2 V617F基因突變陽性),同時也具有MDS的難治性貧血的臨床特征及紅系細胞病態造血的骨髓形態學特征,且鐵染色發現環型鐵幼粒細胞占19%,因此符合RARS-T的診斷標準。雖本例患者初次骨髓涂片查見9%的原始粒細胞,與標準有所出入,但該患者同時檢查的骨髓流式細胞分析卻未能查見原始粒細胞,且其后多次復查骨髓涂片及流式細胞學檢查其原始粒細胞均<5%,因此可認為此例患者仍滿足RARS-T的診斷標準。
目前有關RARS-T治療方案的相關文獻報道較少,Huls等[3]報道了2例使用低劑量來那度胺(5~10 mg,1次/d)治療RARS-T取得成功的案例。Kim等[4]報道了1例使用去甲基化藥物地西他濱治療伴有dup(2)(p15;p22)的RARS-T患者取得成功的案例。本例患者在診斷初期針對MPN血小板顯著增高即給予了干擾素、阿司匹林、羥基脲降血小板治療,血小板逐漸控制在正常范圍內。但患者貧血逐漸加重,嚴重影響其生活質量,其后按照MDS的治療策略給予患者三氧化二砷聯合氨磷汀連用14 d的治療方案。經2個療程的治療,復查血常規Hb水平有一定提高(83 g/L),骨髓涂片及骨髓流式細胞學檢查原始細胞維持在正常范圍,提示該方案對RARS-T這類疾病治療可能具有一定價值。
一般認為RARS-T患者長期預后較ET患者差。Broseus等[5]報道,RARS-T患者的中位生存期(76個月)短于ET患者(115個月),且PLT>600×109/L與PLT<600×109/L對RARS-T患者中位生存期無明顯影響。但本例患者在疾病后期較快進展為“骨髓纖維化”,后死于感染,其總生存期僅為21個月,與文獻報道差別較大[5]。這可能提示,較單純MDS或MPN而言,RARS-T患者中可能存在更復雜的生物學行為,導致疾病進展較快,預后相對較差。因此,提高對RARS-T疾病的認識,做到早期診斷、早期治療,探索新的治療方案十分必要。