引用本文: 王文戰, 宋德弓, 李龍, 鄧先明, 石徑. 手術中光相干斷層掃描下周邊視網膜病變. 中華眼底病雜志, 2023, 39(4): 318-323. doi: 10.3760/cma.j.cn511434-20220706-00394 復制
科技的進步不斷為臨床提供更加實用的診斷和治療手段[1]。常規光相干斷層掃描(OCT)能提供視網膜尤其是后極部視網膜疾病的組織學結構改變。但由于受入射光線和屈光間質的限制,周邊部視網膜病變常難以呈現。文獻報道,屈光間質清晰的受檢者,周邊視網膜尤其是遠周邊視網膜病變的OCT檢查往往需要受檢者眼位的調整配合及操作者重復多次掃描方可完成[2-4]。但屈光間質不清及配合度欠佳的受檢者,常規OCT對周邊視網膜的檢查往往受到制約。手術中OCT(iOCT)通過對傳統OCT的改進克服了檢查時對患者體位的限制,可以在手術過程中即時觀察眼底視網膜組織的形態變化,并已在黃斑疾病手術治療中發揮了重要作用[5-6]。同時,也為屈光間質混濁的患者手術中探查診斷和周邊部病變組織病理學研究提供了幫助[7-9]。目前國內iOCT應用于周邊視網膜病變的研究鮮見報道。我們觀察了一組不同眼底疾病患眼玻璃體視網膜手術中周邊視網膜病變的iOCT檢查結果,以期為周邊視網膜病變的進一步認識和處理提供幫助。現將結果報道如下。
1 對象和方法
回顧性病例研究。本研究經過鄭州大學第一附屬醫院醫學倫理委員會審批(批準號:2022-KY-0388-005);遵循《赫爾辛基宣言》原則,患者或家屬均簽署書面知情同意書。
2021年10月至2022年5月于鄭州大學第一附屬醫院東院區眼科行玻璃體視網膜手術的88例患者94只眼納入本研究。其中,男性49例,女性39例;年齡(50.93±17.55)(6~81)歲。
患眼均行視力、眼壓、裂隙燈顯微鏡、眼底彩色照相、B型超聲、OCT檢查。94只眼中,視網膜脫離32只眼;增生型糖尿病視網膜病變6只眼;玻璃體積血28只眼;眼外傷8只眼;黃斑病變14只眼;葡萄膜炎1只眼;家族性滲出性玻璃體視網膜病變(FEVR)1只眼;急性視網膜壞死(ARN)1只眼;晶狀體脫位3只眼。
患眼均行標準經睫狀體平坦部三通道23G微創玻璃體切割手術,聯合或不聯合白內障超聲乳化人工晶狀體(IOL)植入。充分切除病變玻璃體至眼底圖像清晰后,采用德國Zeiss公司Rescan 700 OCT儀分別對后極部和周邊病變進行iOCT掃描,周邊掃描時輔以鞏膜外頂壓及OCT自動或人工調焦處理,依據不同眼底疾病特點,對赤道前及鋸齒緣前后視網膜進行掃描。記錄各種異常的眼底表現。充分切除周邊部玻璃體,局部病變給予剝膜和(或)激光光凝治療。
2 結果
94只眼中,周邊視網膜存在不同類型視網膜病變53只眼(56.38%,53/94)。其中,視網膜囊樣變性7只眼(7.45%);格子樣變性19只眼(20.21%);色素變性8只眼(占8.51%);“鋪路石樣”變性9只眼(9.57%);細小隱蔽性裂孔7只眼(7.45%);FEVR周邊視網膜鋸齒緣“堤壩樣”增生變性1只眼(1.06%);玻璃體和視網膜病變粘附4只眼(4.26%);視網膜壞死1只眼(1.06%)。各種分類周邊視網膜病變在同一眼別中的數量未分別統計。
視網膜囊樣變性、鋸齒緣前囊樣變性表現為囊壁厚度均勻、形態近規則(圖1A);周邊囊樣改變與附著玻璃體之間聯系較為密切(圖1B)。

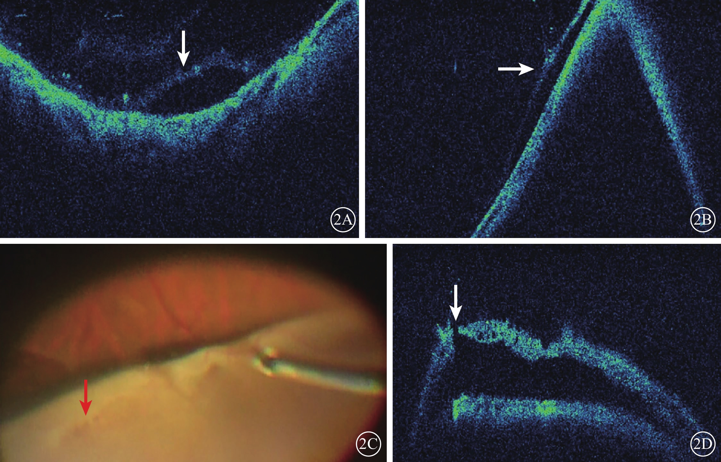
周邊視網膜格子樣變性,手術顯微鏡下可見其表面結構粗糙不均勻,中央結構稀疏,iOCT可見變性區存在淺脫離(圖2A~2C),有時伴較明顯的裂孔或細小裂孔(圖2D)。

周邊視網膜色素變性呈點片狀黑色,視網膜結構未見明顯異常(圖3A,3B)。其異常局部塊狀增生可見增生位于視網膜色素上皮層,視網膜神經上皮層結構未見明顯異常(圖3C,3D)。

周邊視網膜“鋪路石樣”變性,病變處視網膜結構疏松、表面欠光滑(圖4)。

周邊視網膜細小裂孔,手術者顯微鏡下未查見明顯異常(圖5A),iOCT下局部視網膜連續性中斷及視網膜表面的游離組織瓣(圖5B)。

FEVR周邊視網膜鋸齒緣“堤壩樣”增生變性,手術者顯微鏡可見鋸齒緣部白色增生(圖6A);iOCT可見鋸齒緣結構“堤壩樣”增厚增生伴空泡樣變性(圖6B)。

玻璃體和視網膜病變粘附,周邊玻璃體緊密附著在視網膜上并具有一定牽拉張力,視網膜結構發生異常改變(圖7)。

周邊視網膜壞死,為ARN患者,手術者顯微鏡下可見灰白色壞死區;iOCT可見壞死灶邊緣視網膜泡狀脫離伴水腫、局部視網膜壞死后溶解(圖8)。

3 討論
集成式iOCT可在手術中隨時對病變區進行實時掃描,從而全面徹底了解疾病的組織病理改變和病變范圍,也可以證實既往對某些疾病的推測,發現以往常規檢查較難發現的病變,豐富了對周邊視網膜病變的認知,也為周邊視網膜病變研究提供了一種有效方法[8, 10-13]。本研究對玻璃體視網膜手術患眼的周邊視網膜所見病變或可疑病灶進行iOCT檢查,發現不同疾病中各種周邊視網膜病變的組織病理改變,對疾病加深了理解,拓展了臨床實踐和研究思路。
本組94只眼中,iOCT檢查發現周邊視網膜存在病變者53只眼,分別為周邊細小隱蔽性裂孔、格子樣變性、周邊色素變性、周邊囊樣視網膜變性、“鋪路石樣”變性、周邊鋸齒緣“堤壩樣”增生變性(FEVR病例)、周邊視網膜壞死(ARN病例)、周邊玻璃體視網膜牽拉等。我們發現,周邊囊樣視網膜變性不僅位于鋸齒緣后,也可以發生于鋸齒緣前病理改變,通過對囊壁厚度的掃描可以大致了解其對視網膜是否構成潛在的危害。本研究觀察到的遠周邊視網膜囊樣變性,囊壁厚度均勻,密度均一,手術中未給予激光光凝處理。
常見周邊視網膜格子樣變性為視網膜結構發生明顯組織結構紊亂和空泡化變性,其表面呈不均勻粗糙改變,其間偶有夾雜的萎縮裂孔。本研究對手術者顯微鏡不易發現的微小裂孔,經iOCT確認后,均及時給予激光光凝封閉治療。色素變性和“鋪路石樣”變性通常被認為是視網膜結構未受到明顯影響的病變,無需處理。本組色素變性患眼的周邊視網膜未發生明顯病理改變,未給予處理,與既往觀點一致[14-15]。而“鋪路石樣”變性除色素上皮粗糙外,對應部位視網膜也有不同程度組織結構疏松改變,且表面粗糙與玻璃體關系密切,對其表面附著的玻璃體予以充分切除后,未行其他治療。
FEVR是一類周邊視網膜血管發育不完全的疾病[16-17],對于鋸齒緣部視網膜的影像鮮見報道。本組FEVR患眼iOCT發現周邊鋸齒緣結構發生了明顯的“堤壩樣”增厚增生伴空泡樣變性,推測可能與視網膜脫離的發生有關,手術中給予相應激光光凝處理。急性視網膜壞死的周邊壞死灶,手術者的顯微鏡僅可見灰白色壞死區和色澤近似正常的附近視網膜,無法分辯病灶附近視網膜的組織病理改變,但iOCT可清晰見到壞死溶解的視網膜組織呈無結構形態,以及壞死灶邊緣視網膜的泡狀隆起脫離和水腫,由此推測這種脫離可能是以滲出性脫離為主,激光光凝處理時需要對能量給予適當的調整,以達到治療目的。
iOCT可以明確顯示周邊部玻璃體和視網膜之間的密切聯系程度及相關病變[8, 13, 18]。本組中周邊視網膜變性者視網膜表面可以明顯見到濃密的玻璃體附著,且呈垂直牽拉樣外觀,提示該病變可能與玻璃體牽拉有關。
周邊視網膜病變在許多眼底疾病的發生和發展過程中常起著一定作用,在玻璃體視網膜疾病治療過程中需要關注多發部位[3],若處理不當,則有可能手術后出現并發癥。本組因各類眼底疾病行玻璃體視網膜手術的患眼中,iOCT發現56.38%(53/94)的患眼存在不同周邊視網膜病變。正確全面認識周邊視網膜組織結構改變,并予以恰當而充分的處理,是對眼底病手術醫生的基本要求。iOCT的開發和臨床應用,正是基于這種方便手術中實時了解手術野中的病變,以使手術過程趨于精細準確且更加詳盡,以盡可能避免遺留后遺癥,有效縮短治療周期,真正達到精準化微創化治療的目的。
科技的進步不斷為臨床提供更加實用的診斷和治療手段[1]。常規光相干斷層掃描(OCT)能提供視網膜尤其是后極部視網膜疾病的組織學結構改變。但由于受入射光線和屈光間質的限制,周邊部視網膜病變常難以呈現。文獻報道,屈光間質清晰的受檢者,周邊視網膜尤其是遠周邊視網膜病變的OCT檢查往往需要受檢者眼位的調整配合及操作者重復多次掃描方可完成[2-4]。但屈光間質不清及配合度欠佳的受檢者,常規OCT對周邊視網膜的檢查往往受到制約。手術中OCT(iOCT)通過對傳統OCT的改進克服了檢查時對患者體位的限制,可以在手術過程中即時觀察眼底視網膜組織的形態變化,并已在黃斑疾病手術治療中發揮了重要作用[5-6]。同時,也為屈光間質混濁的患者手術中探查診斷和周邊部病變組織病理學研究提供了幫助[7-9]。目前國內iOCT應用于周邊視網膜病變的研究鮮見報道。我們觀察了一組不同眼底疾病患眼玻璃體視網膜手術中周邊視網膜病變的iOCT檢查結果,以期為周邊視網膜病變的進一步認識和處理提供幫助。現將結果報道如下。
1 對象和方法
回顧性病例研究。本研究經過鄭州大學第一附屬醫院醫學倫理委員會審批(批準號:2022-KY-0388-005);遵循《赫爾辛基宣言》原則,患者或家屬均簽署書面知情同意書。
2021年10月至2022年5月于鄭州大學第一附屬醫院東院區眼科行玻璃體視網膜手術的88例患者94只眼納入本研究。其中,男性49例,女性39例;年齡(50.93±17.55)(6~81)歲。
患眼均行視力、眼壓、裂隙燈顯微鏡、眼底彩色照相、B型超聲、OCT檢查。94只眼中,視網膜脫離32只眼;增生型糖尿病視網膜病變6只眼;玻璃體積血28只眼;眼外傷8只眼;黃斑病變14只眼;葡萄膜炎1只眼;家族性滲出性玻璃體視網膜病變(FEVR)1只眼;急性視網膜壞死(ARN)1只眼;晶狀體脫位3只眼。
患眼均行標準經睫狀體平坦部三通道23G微創玻璃體切割手術,聯合或不聯合白內障超聲乳化人工晶狀體(IOL)植入。充分切除病變玻璃體至眼底圖像清晰后,采用德國Zeiss公司Rescan 700 OCT儀分別對后極部和周邊病變進行iOCT掃描,周邊掃描時輔以鞏膜外頂壓及OCT自動或人工調焦處理,依據不同眼底疾病特點,對赤道前及鋸齒緣前后視網膜進行掃描。記錄各種異常的眼底表現。充分切除周邊部玻璃體,局部病變給予剝膜和(或)激光光凝治療。
2 結果
94只眼中,周邊視網膜存在不同類型視網膜病變53只眼(56.38%,53/94)。其中,視網膜囊樣變性7只眼(7.45%);格子樣變性19只眼(20.21%);色素變性8只眼(占8.51%);“鋪路石樣”變性9只眼(9.57%);細小隱蔽性裂孔7只眼(7.45%);FEVR周邊視網膜鋸齒緣“堤壩樣”增生變性1只眼(1.06%);玻璃體和視網膜病變粘附4只眼(4.26%);視網膜壞死1只眼(1.06%)。各種分類周邊視網膜病變在同一眼別中的數量未分別統計。
視網膜囊樣變性、鋸齒緣前囊樣變性表現為囊壁厚度均勻、形態近規則(圖1A);周邊囊樣改變與附著玻璃體之間聯系較為密切(圖1B)。

周邊視網膜格子樣變性,手術顯微鏡下可見其表面結構粗糙不均勻,中央結構稀疏,iOCT可見變性區存在淺脫離(圖2A~2C),有時伴較明顯的裂孔或細小裂孔(圖2D)。

周邊視網膜色素變性呈點片狀黑色,視網膜結構未見明顯異常(圖3A,3B)。其異常局部塊狀增生可見增生位于視網膜色素上皮層,視網膜神經上皮層結構未見明顯異常(圖3C,3D)。

周邊視網膜“鋪路石樣”變性,病變處視網膜結構疏松、表面欠光滑(圖4)。

周邊視網膜細小裂孔,手術者顯微鏡下未查見明顯異常(圖5A),iOCT下局部視網膜連續性中斷及視網膜表面的游離組織瓣(圖5B)。

FEVR周邊視網膜鋸齒緣“堤壩樣”增生變性,手術者顯微鏡可見鋸齒緣部白色增生(圖6A);iOCT可見鋸齒緣結構“堤壩樣”增厚增生伴空泡樣變性(圖6B)。

玻璃體和視網膜病變粘附,周邊玻璃體緊密附著在視網膜上并具有一定牽拉張力,視網膜結構發生異常改變(圖7)。

周邊視網膜壞死,為ARN患者,手術者顯微鏡下可見灰白色壞死區;iOCT可見壞死灶邊緣視網膜泡狀脫離伴水腫、局部視網膜壞死后溶解(圖8)。

3 討論
集成式iOCT可在手術中隨時對病變區進行實時掃描,從而全面徹底了解疾病的組織病理改變和病變范圍,也可以證實既往對某些疾病的推測,發現以往常規檢查較難發現的病變,豐富了對周邊視網膜病變的認知,也為周邊視網膜病變研究提供了一種有效方法[8, 10-13]。本研究對玻璃體視網膜手術患眼的周邊視網膜所見病變或可疑病灶進行iOCT檢查,發現不同疾病中各種周邊視網膜病變的組織病理改變,對疾病加深了理解,拓展了臨床實踐和研究思路。
本組94只眼中,iOCT檢查發現周邊視網膜存在病變者53只眼,分別為周邊細小隱蔽性裂孔、格子樣變性、周邊色素變性、周邊囊樣視網膜變性、“鋪路石樣”變性、周邊鋸齒緣“堤壩樣”增生變性(FEVR病例)、周邊視網膜壞死(ARN病例)、周邊玻璃體視網膜牽拉等。我們發現,周邊囊樣視網膜變性不僅位于鋸齒緣后,也可以發生于鋸齒緣前病理改變,通過對囊壁厚度的掃描可以大致了解其對視網膜是否構成潛在的危害。本研究觀察到的遠周邊視網膜囊樣變性,囊壁厚度均勻,密度均一,手術中未給予激光光凝處理。
常見周邊視網膜格子樣變性為視網膜結構發生明顯組織結構紊亂和空泡化變性,其表面呈不均勻粗糙改變,其間偶有夾雜的萎縮裂孔。本研究對手術者顯微鏡不易發現的微小裂孔,經iOCT確認后,均及時給予激光光凝封閉治療。色素變性和“鋪路石樣”變性通常被認為是視網膜結構未受到明顯影響的病變,無需處理。本組色素變性患眼的周邊視網膜未發生明顯病理改變,未給予處理,與既往觀點一致[14-15]。而“鋪路石樣”變性除色素上皮粗糙外,對應部位視網膜也有不同程度組織結構疏松改變,且表面粗糙與玻璃體關系密切,對其表面附著的玻璃體予以充分切除后,未行其他治療。
FEVR是一類周邊視網膜血管發育不完全的疾病[16-17],對于鋸齒緣部視網膜的影像鮮見報道。本組FEVR患眼iOCT發現周邊鋸齒緣結構發生了明顯的“堤壩樣”增厚增生伴空泡樣變性,推測可能與視網膜脫離的發生有關,手術中給予相應激光光凝處理。急性視網膜壞死的周邊壞死灶,手術者的顯微鏡僅可見灰白色壞死區和色澤近似正常的附近視網膜,無法分辯病灶附近視網膜的組織病理改變,但iOCT可清晰見到壞死溶解的視網膜組織呈無結構形態,以及壞死灶邊緣視網膜的泡狀隆起脫離和水腫,由此推測這種脫離可能是以滲出性脫離為主,激光光凝處理時需要對能量給予適當的調整,以達到治療目的。
iOCT可以明確顯示周邊部玻璃體和視網膜之間的密切聯系程度及相關病變[8, 13, 18]。本組中周邊視網膜變性者視網膜表面可以明顯見到濃密的玻璃體附著,且呈垂直牽拉樣外觀,提示該病變可能與玻璃體牽拉有關。
周邊視網膜病變在許多眼底疾病的發生和發展過程中常起著一定作用,在玻璃體視網膜疾病治療過程中需要關注多發部位[3],若處理不當,則有可能手術后出現并發癥。本組因各類眼底疾病行玻璃體視網膜手術的患眼中,iOCT發現56.38%(53/94)的患眼存在不同周邊視網膜病變。正確全面認識周邊視網膜組織結構改變,并予以恰當而充分的處理,是對眼底病手術醫生的基本要求。iOCT的開發和臨床應用,正是基于這種方便手術中實時了解手術野中的病變,以使手術過程趨于精細準確且更加詳盡,以盡可能避免遺留后遺癥,有效縮短治療周期,真正達到精準化微創化治療的目的。