引用本文: 程奕喆, 陳春麗, 呼風, 彭曉燕. 結核性匍行性脈絡膜炎. 中華眼底病雜志, 2022, 38(2): 161-162. doi: 10.3760/cma.j.cn511434-20210903-00490 復制
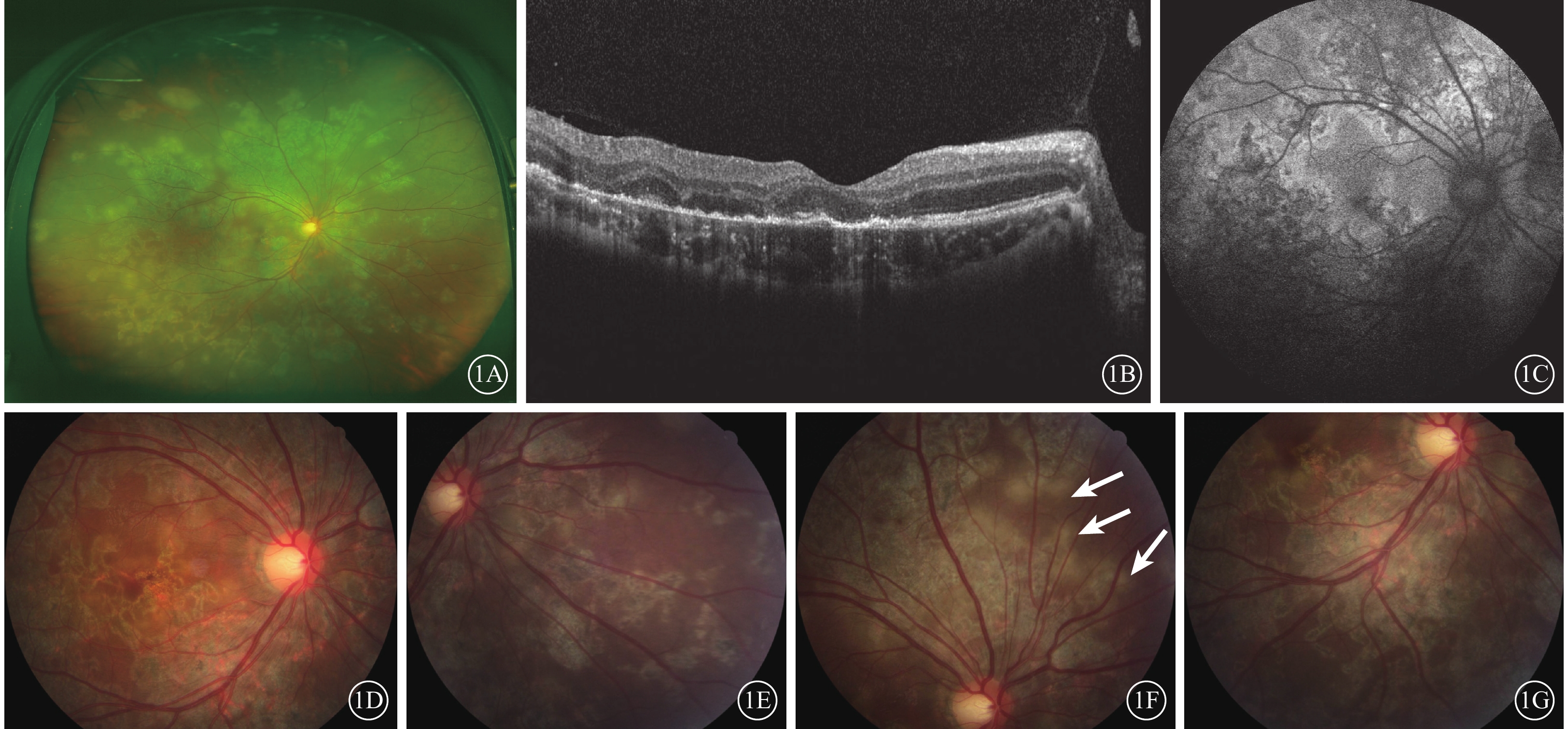
患者女,26歲。因右眼視力下降6個月就診于北京同仁醫院眼科。眼部檢查:右眼、左眼視力分別為0.1、0.8;右眼、左眼眼壓分別為16.8、18.9 mm Hg(1 mm Hg=0.133 kPa)。雙眼眼前節無明顯異常表現。左眼眼底正常。超廣角眼底照相檢查,右眼視盤周圍、后極部及中周部視網膜大片質地不均、邊界不清的病灶(圖1A)。頻域光相干斷層掃描檢查,右眼視網膜外層結構破壞,外層疣狀隆起,脈絡膜基質間點狀強反射,伴有脈絡膜血管擴張(圖1B)。55°藍光自身熒光檢查,右眼病灶邊緣可見強弱程度不等的強自身熒光改變(圖1C)。眼底彩色照相檢查,右眼后極部、鼻下、顳上和顳下視網膜大片青灰色或黃白色病灶,呈匍行樣,部分病灶伴有少量色素增生(圖1D~1G)。患者否認結核病史及結核患者接觸史。C反應蛋白、紅細胞沉降系數、抗核抗體、類風濕因子、ANCA、ANA、免疫八項(乙肝五項、丙肝、梅毒、艾滋)、結核菌素釋放試驗檢測結果均為陰性。胸部CT檢查未發現活動及陳舊病灶。診斷:匍行性脈絡膜炎。

給予患者足量糖皮質激素治療6個月合并環孢素治療5個月,期間病灶仍在擴大并有活動性病灶出現(圖2)。結核γ干擾素釋放試驗檢測結果陽性。囑患者于呼吸科進行抗結核治療。眼底彩色照相檢查,治療后3個月,右眼視盤周圍、后極部及中周部視網膜大片質地不均、邊界不清的病灶,范圍較治療前擴大(圖2A);治療后6個月,右眼后極部視網膜大片邊界清晰的匍行樣青灰色病灶,伴有大量色素增生(圖2B);治療后9個月,右眼大片陳舊的纖維化萎縮病灶,伴有色素增生(圖2C)。55°藍光自身熒光檢查,治療后3個月,右眼邊界不清的弱自身熒光改變中伴有強弱程度不等的強自身熒光改變(圖2D);治療后6、9個月,右眼大片匍行樣弱自身熒光病灶(圖2E,2F)。患者半年至一年定期復查,病情穩定,無新發活動性病灶;雙眼視力0.7。修正診斷:結核性匍行性脈絡膜炎。

患者女,26歲。因右眼視力下降6個月就診于北京同仁醫院眼科。眼部檢查:右眼、左眼視力分別為0.1、0.8;右眼、左眼眼壓分別為16.8、18.9 mm Hg(1 mm Hg=0.133 kPa)。雙眼眼前節無明顯異常表現。左眼眼底正常。超廣角眼底照相檢查,右眼視盤周圍、后極部及中周部視網膜大片質地不均、邊界不清的病灶(圖1A)。頻域光相干斷層掃描檢查,右眼視網膜外層結構破壞,外層疣狀隆起,脈絡膜基質間點狀強反射,伴有脈絡膜血管擴張(圖1B)。55°藍光自身熒光檢查,右眼病灶邊緣可見強弱程度不等的強自身熒光改變(圖1C)。眼底彩色照相檢查,右眼后極部、鼻下、顳上和顳下視網膜大片青灰色或黃白色病灶,呈匍行樣,部分病灶伴有少量色素增生(圖1D~1G)。患者否認結核病史及結核患者接觸史。C反應蛋白、紅細胞沉降系數、抗核抗體、類風濕因子、ANCA、ANA、免疫八項(乙肝五項、丙肝、梅毒、艾滋)、結核菌素釋放試驗檢測結果均為陰性。胸部CT檢查未發現活動及陳舊病灶。診斷:匍行性脈絡膜炎。

給予患者足量糖皮質激素治療6個月合并環孢素治療5個月,期間病灶仍在擴大并有活動性病灶出現(圖2)。結核γ干擾素釋放試驗檢測結果陽性。囑患者于呼吸科進行抗結核治療。眼底彩色照相檢查,治療后3個月,右眼視盤周圍、后極部及中周部視網膜大片質地不均、邊界不清的病灶,范圍較治療前擴大(圖2A);治療后6個月,右眼后極部視網膜大片邊界清晰的匍行樣青灰色病灶,伴有大量色素增生(圖2B);治療后9個月,右眼大片陳舊的纖維化萎縮病灶,伴有色素增生(圖2C)。55°藍光自身熒光檢查,治療后3個月,右眼邊界不清的弱自身熒光改變中伴有強弱程度不等的強自身熒光改變(圖2D);治療后6、9個月,右眼大片匍行樣弱自身熒光病灶(圖2E,2F)。患者半年至一年定期復查,病情穩定,無新發活動性病灶;雙眼視力0.7。修正診斷:結核性匍行性脈絡膜炎。
