引用本文: 鄒弋華, 季迅達, 李家愷, 彭婕, 趙培泉. 視網膜母細胞瘤合并肝豆狀核變性患兒一例. 中華眼底病雜志, 2021, 37(12): 960-961. doi: 10.3760/cma.j.cn511434-20210506-00231 復制
患兒男,2歲5個月。因白瞳癥在外院診斷為“疑似視網膜母細胞瘤”,為求進一步診治于2020年5月26日到上海交通大學醫學院附屬新華醫院眼科就診。患兒為第一胎,第一產,出生史正常。無家族遺傳病史及近親結婚史。患兒6個月時于外院診斷為“智力及運動發育落后”,并接受康復治療。2歲時于外院診斷為“肝豆狀核變性(WD)”,并給予口服葡萄糖酸鋅35 mg(2次/d)排銅治療。眼科檢查:視力、眼壓檢查患兒不配合。左眼眼前節及眼底檢查未見明顯異常。右眼角膜輕度水腫,Kayser-Fleischer(K-F)環(?),前房清,可見虹膜新生血管,晶狀體透明;眼底見黃白色病灶,占據大部分玻璃體腔,伴視網膜脫離(圖1A)。眼眶磁共振成像(MRI)檢查,右眼球內異常信號灶,大小約1.9 cm×2.1 cm,呈T1WI略強T2WI不均勻稍弱信號,DWI明顯強信號,增強后明顯不均勻強化,視盤受累,視神經近段增粗伴強化,受累長度約9.8 mm(圖1B)。輔助檢查:谷丙轉氨酶值237 μ/L(正常值范圍:21~72 μ/L),天門冬氨酸氨基轉移酶值118 μ/L(正常值范圍:17~59 μ/L),堿性磷酸酶值301 μ/L(正常值范圍:38~126 μ/L),血銅藍蛋白值0.03 g/L(正常值范圍:0.2~0.6 g/L)。診斷:(1)右眼視網膜母細胞瘤(RB)國際眼內RB分期E期;(2)WD;(3)運動發育遲緩。

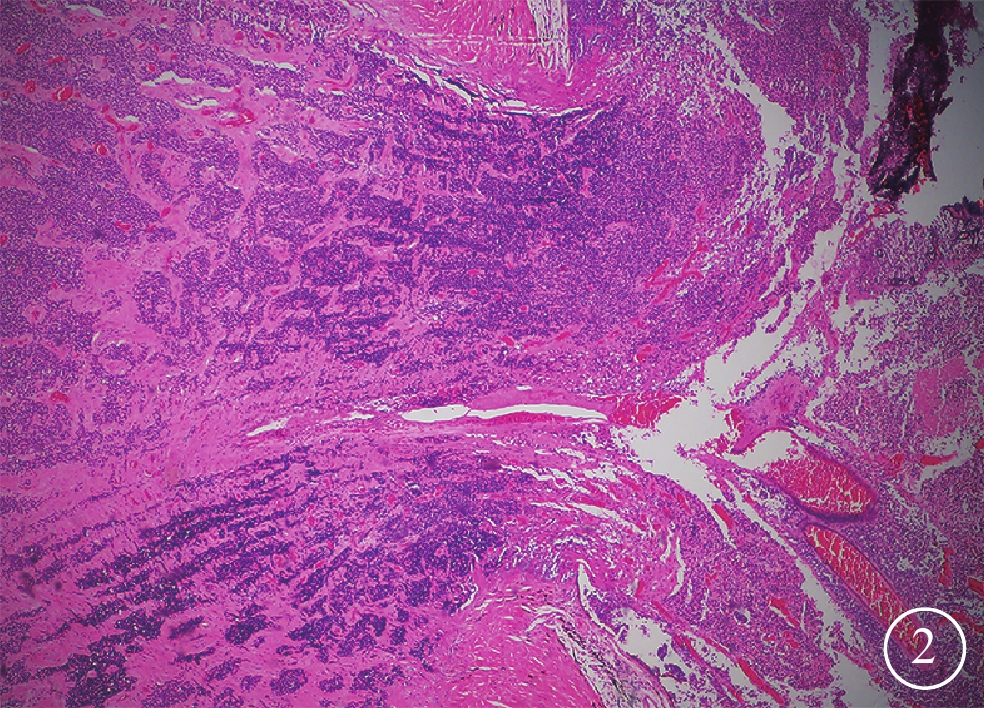
將患兒收入院行右眼眼球摘除手術。冰凍切片病理檢查,患眼腫瘤組織廣泛變性、壞死和鈣化,侵犯并穿透篩板9 mm(圖2);免疫組織化學染色觀察發現,膠質纖維酸性蛋白(部分+),Ki67(病灶70%+),增生細胞核抗原(+),Survinin(散在+),VIM(部分+),SYN(+),CD56(+),INI-1(+);視神經斷端未見腫瘤。手術后建議患兒接受預防性化學藥物治療(以下簡稱為化療),但其家屬因擔心化療后不良反應而拒絕;故手術治療后,每3個月定期隨訪,觀察患兒手術眼眼眶MRI及對側眼眼底情況。一直隨訪至手術后9個月,未見患兒腫瘤復發或全身轉移,對側眼未見明顯異常。獲得患兒家屬知情同意后,抽取患兒及其父母5 ml靜脈血送至基因檢測公司(北京邁基諾醫學檢驗所)行二代測序基因檢測。全外顯子基因檢測結果顯示,患兒存在ATP7B基因位點純合突變:chr13:52532469(NM_00053;exon8),c.2333G>T(p.R778L)(圖3)。該突變在正常人中的頻率為0.011 4,3種生物信息學軟件SIFT、PolyPhen_2、REVEL均預測該基因突變為有害。患兒父親該基因位點無變異。患兒母親該基因位點有雜合變異:chr13:52532469 (NM_00053;exon8), c.2333G>T, p.R778L,初步判定為致病性變異。全基因組基因拷貝數變異檢查發現,患兒基因13q13.1-q21.1片段(chr13:33561561-59357251)缺失(圖4),其中包括RB1、ATP7B等多個基因,目前染色體多態性數據庫不覆蓋該區域,Decipher致病數據庫中未報道過該基因突變,dbvar病例數據庫已有該基因區域缺失的病例報道;患兒父母該基因位點變異檢測結果為陰性,初步判定為疑似致病性變異。



討論 人類13號染色體長臂包括RB1、ATP7B、BRCA2等多個重要基因,其部分片段缺失可導致各種出生缺陷,包括發育遲緩、腫瘤發生等,稱為13號染色體缺失綜合征[1]。本例患兒出生后智力及運動發育落后,且伴有RB,符合該綜合征表現。此外,本例患兒同時合并WD。WD是一種罕見的代謝性疾病,由于患者體內銅沉積導致肝功能受損、神經系統受累、K-F環陽性等一系列臨床表現。不同分型的WD患者K-F環陽性率差異較大,神經型和成人肝型患者較多見,兒童肝型患者則常常難以發現[2]。本例患兒亦未發現K-F環陽性。
WD為ATP7B基因突變導致的常染色體隱性遺傳病[3]。RB主要為RB1基因突變導致的常染色體顯性遺傳病[4]。ATP7B基因和RB1基因均位于13號染色體長臂上且位置相近,使得兩種疾病可能同時發生。臨床上,同時出現RB合并WD的病例十分罕見。Riley等[5]曾報道1例患兒4歲時確診為左眼RB,11歲時確診為WD。而本例患兒2歲時確診為WD,半年后因白瞳癥確診為RB。二者基因檢測均提示攜帶13號染色體長臂大片段缺失及ATP7B等位基因突變。
RB的治療方法目前主要包括冷凍、激光光凝、玻璃體腔化療、靜脈化療、眼動脈介入化療和眼球摘除等,其目的是在保證患者生命的前提下保存眼球和視功能[6]。本例患兒首診時已處于RB晚期,影像學檢查顯示患眼視盤近端受累,符合眼球摘除的手術指征。手術后病理檢查顯示其腫瘤已侵犯并穿透篩板,具有組織病理學高危因素,原則上應予以預防性化療,以預防復發或病灶全身轉移。但由于家屬不能接受化療后不良反應,遂每3個月定期隨訪患兒手術眼MRI和對側眼眼底情況,至手術后9個月,未見腫瘤復發或全身轉移,對側眼也未見明顯異常。
對于RB,基因診斷和早期篩查對其早期診治具有重要意義。對于檢測到攜帶RB1基因突變的先證者,基因診斷可指導其規律隨訪并關注第二腫瘤的發生[7]。所有可能攜帶突變基因的家族成員均應進行基因檢測[6]。對于未發病的RB1基因突變攜帶者,基因診斷可指導其規律隨訪及指導其優生優育[7]。
患兒男,2歲5個月。因白瞳癥在外院診斷為“疑似視網膜母細胞瘤”,為求進一步診治于2020年5月26日到上海交通大學醫學院附屬新華醫院眼科就診。患兒為第一胎,第一產,出生史正常。無家族遺傳病史及近親結婚史。患兒6個月時于外院診斷為“智力及運動發育落后”,并接受康復治療。2歲時于外院診斷為“肝豆狀核變性(WD)”,并給予口服葡萄糖酸鋅35 mg(2次/d)排銅治療。眼科檢查:視力、眼壓檢查患兒不配合。左眼眼前節及眼底檢查未見明顯異常。右眼角膜輕度水腫,Kayser-Fleischer(K-F)環(?),前房清,可見虹膜新生血管,晶狀體透明;眼底見黃白色病灶,占據大部分玻璃體腔,伴視網膜脫離(圖1A)。眼眶磁共振成像(MRI)檢查,右眼球內異常信號灶,大小約1.9 cm×2.1 cm,呈T1WI略強T2WI不均勻稍弱信號,DWI明顯強信號,增強后明顯不均勻強化,視盤受累,視神經近段增粗伴強化,受累長度約9.8 mm(圖1B)。輔助檢查:谷丙轉氨酶值237 μ/L(正常值范圍:21~72 μ/L),天門冬氨酸氨基轉移酶值118 μ/L(正常值范圍:17~59 μ/L),堿性磷酸酶值301 μ/L(正常值范圍:38~126 μ/L),血銅藍蛋白值0.03 g/L(正常值范圍:0.2~0.6 g/L)。診斷:(1)右眼視網膜母細胞瘤(RB)國際眼內RB分期E期;(2)WD;(3)運動發育遲緩。

將患兒收入院行右眼眼球摘除手術。冰凍切片病理檢查,患眼腫瘤組織廣泛變性、壞死和鈣化,侵犯并穿透篩板9 mm(圖2);免疫組織化學染色觀察發現,膠質纖維酸性蛋白(部分+),Ki67(病灶70%+),增生細胞核抗原(+),Survinin(散在+),VIM(部分+),SYN(+),CD56(+),INI-1(+);視神經斷端未見腫瘤。手術后建議患兒接受預防性化學藥物治療(以下簡稱為化療),但其家屬因擔心化療后不良反應而拒絕;故手術治療后,每3個月定期隨訪,觀察患兒手術眼眼眶MRI及對側眼眼底情況。一直隨訪至手術后9個月,未見患兒腫瘤復發或全身轉移,對側眼未見明顯異常。獲得患兒家屬知情同意后,抽取患兒及其父母5 ml靜脈血送至基因檢測公司(北京邁基諾醫學檢驗所)行二代測序基因檢測。全外顯子基因檢測結果顯示,患兒存在ATP7B基因位點純合突變:chr13:52532469(NM_00053;exon8),c.2333G>T(p.R778L)(圖3)。該突變在正常人中的頻率為0.011 4,3種生物信息學軟件SIFT、PolyPhen_2、REVEL均預測該基因突變為有害。患兒父親該基因位點無變異。患兒母親該基因位點有雜合變異:chr13:52532469 (NM_00053;exon8), c.2333G>T, p.R778L,初步判定為致病性變異。全基因組基因拷貝數變異檢查發現,患兒基因13q13.1-q21.1片段(chr13:33561561-59357251)缺失(圖4),其中包括RB1、ATP7B等多個基因,目前染色體多態性數據庫不覆蓋該區域,Decipher致病數據庫中未報道過該基因突變,dbvar病例數據庫已有該基因區域缺失的病例報道;患兒父母該基因位點變異檢測結果為陰性,初步判定為疑似致病性變異。



討論 人類13號染色體長臂包括RB1、ATP7B、BRCA2等多個重要基因,其部分片段缺失可導致各種出生缺陷,包括發育遲緩、腫瘤發生等,稱為13號染色體缺失綜合征[1]。本例患兒出生后智力及運動發育落后,且伴有RB,符合該綜合征表現。此外,本例患兒同時合并WD。WD是一種罕見的代謝性疾病,由于患者體內銅沉積導致肝功能受損、神經系統受累、K-F環陽性等一系列臨床表現。不同分型的WD患者K-F環陽性率差異較大,神經型和成人肝型患者較多見,兒童肝型患者則常常難以發現[2]。本例患兒亦未發現K-F環陽性。
WD為ATP7B基因突變導致的常染色體隱性遺傳病[3]。RB主要為RB1基因突變導致的常染色體顯性遺傳病[4]。ATP7B基因和RB1基因均位于13號染色體長臂上且位置相近,使得兩種疾病可能同時發生。臨床上,同時出現RB合并WD的病例十分罕見。Riley等[5]曾報道1例患兒4歲時確診為左眼RB,11歲時確診為WD。而本例患兒2歲時確診為WD,半年后因白瞳癥確診為RB。二者基因檢測均提示攜帶13號染色體長臂大片段缺失及ATP7B等位基因突變。
RB的治療方法目前主要包括冷凍、激光光凝、玻璃體腔化療、靜脈化療、眼動脈介入化療和眼球摘除等,其目的是在保證患者生命的前提下保存眼球和視功能[6]。本例患兒首診時已處于RB晚期,影像學檢查顯示患眼視盤近端受累,符合眼球摘除的手術指征。手術后病理檢查顯示其腫瘤已侵犯并穿透篩板,具有組織病理學高危因素,原則上應予以預防性化療,以預防復發或病灶全身轉移。但由于家屬不能接受化療后不良反應,遂每3個月定期隨訪患兒手術眼MRI和對側眼眼底情況,至手術后9個月,未見腫瘤復發或全身轉移,對側眼也未見明顯異常。
對于RB,基因診斷和早期篩查對其早期診治具有重要意義。對于檢測到攜帶RB1基因突變的先證者,基因診斷可指導其規律隨訪并關注第二腫瘤的發生[7]。所有可能攜帶突變基因的家族成員均應進行基因檢測[6]。對于未發病的RB1基因突變攜帶者,基因診斷可指導其規律隨訪及指導其優生優育[7]。