引用本文: 郝昕蕾, 袁滿, 武麗娜, 金瑋, 楊安懷. 腎移植手術后應用他克莫司引發巨細胞病毒性視網膜炎一例. 中華眼底病雜志, 2021, 37(4): 309-310. doi: 10.3760/cma.j.cn511434-20200722-00349 復制
患者男,43歲。因右眼鼻下方黑影伴視物模糊3周余于2019年6月27日至武漢大學人民醫院眼科中心就診。既往史:2017年9月15日因慢性腎衰竭(尿毒癥期)于我院行腎移植手術,手術后服用他克莫司、米芙等免疫抑制劑抗排斥反應和輔助升白細胞藥物[手術前巨細胞病毒(CMV)血清陽性];2018年7月因免疫缺陷導致雙肺部感染;腎性高血壓(口服降壓藥物控制)。眼科檢查:右眼、左眼最佳矯正視力(BCVA)分別為0.8、1.0。雙眼眼壓正常。右眼結膜稍充血;角膜后沉著物(+),房水閃輝(+);前房深度可,房角開放;瞳孔圓,對光反射靈敏;晶狀體透明;玻璃體稍混濁。眼底視盤顏色紅潤,邊界清楚;顳上方周邊部視網膜不規則白色片狀病灶并散在小片狀出血點,呈“衛星灶”樣改變(圖1A);左眼眼前節及眼底未見明顯異常。因患者腎功能不全,未行眼底血管造影檢查。房水檢查,CMV-DNA 8.05×103拷貝/ml;白細胞介素(IL)-6、IL-8含量分別為574.8、169.2 pg/ml;血管細胞黏附分子-1(VCAM-1)含量為4946.6 pg/ml。全身檢查:血清他克莫司濃度10.3 ng/ml,肌酐(Cr)水平237 μmol/L,二氧化碳總量(TCO2)9.4 mmol/L,CMV-DNA 7.70×104拷貝/ml,CD4+T淋巴細胞計數及比例正常。移植腎超聲檢查無異常。入院診斷:右眼CMV性視網膜炎(CMVR);慢性腎衰竭,腎移植手術后,代謝性酸中毒;腎性高血壓。

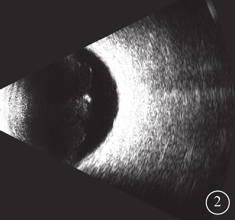
明確診斷后,給予患者右眼玻璃體腔注射更昔洛韋0.1 ml(含更昔洛韋400 μg)1次,其后患者拒絕定期玻璃體腔注射更昔洛韋。未行眼底病灶激光光凝以及全身抗病毒治療。器官移植科會診結果,調整他克莫司用藥劑量,維持他克莫司濃度為6 pg/ml。3個月后復查,患者主訴右眼眼前黑影消失,BCVA 1.0。房水CMV病毒載量降至0;血CMV-DNA低于最低檢出限。隨訪期間,患者右眼顳上方白色病灶逐漸消退(圖1B,1C)。1年后,患者主訴右眼飛蚊癥明顯,眼底復查無明顯異常。B型超聲檢查,右眼玻璃體嚴重混濁(圖2)。血他克莫司濃度于5~6 pg/ml穩定波動。對患者進行密切隨訪,至2021年3月右眼眼底情況穩定,未出現視網膜脫離等并發癥。

討論 器官移植手術后常應用免疫抑制劑以減少排斥反應,但全身應用免疫抑制劑可導致白內障、青光眼、角膜感染性疾病、中心性漿液性脈絡膜視網膜病變、黃斑水腫、CMVR等眼部并發癥。CMVR作為腎移植手術后最常見的眼部機會性感染,國內外均有報道,但發病率尚不明確[1-2]。
腎移植手術后并發CMVR可能繼發于移植供體原發性感染或長期應用免疫抑制藥物致受體內病毒的再激活[2-4]。他克莫司作為腎移植手術后免疫抑制劑的常用藥,其治療范圍窄,藥代動力學個體差異大,移植后不同時期需要維持的血藥濃度不同[5]。本例患者為腎移植手術后相對穩定期,根據指南和個體差異,目標血藥濃度為6 pg/ml,患者血他克莫司濃度長期高于10 ng/ml,易發生機會性感染,2018年雙肺感染病史可佐證此結論。患者腎移植前血清CMV抗體陽性,眼部發病為移植手術后21個月,排除繼發于供體的原發性感染可能。
根據眼底表現,CMVR分為中心型(“番茄奶酪”樣改變)、周邊型、“霜枝”樣3種。患者病灶局限于顳上方,符合周邊型特點,亦有CMV-DNA(+)眼內液結果,診斷明確。患者長期使用免疫抑制劑,為防感染,拒絕定期玻璃體腔注射等侵入性操作;更昔洛韋具有骨髓抑制等副作用并經腎臟排泄,患者因腎衰竭和用藥種類多,藥物間相互作用未知,未全身使用抗病毒藥物。患者局部僅進行1次更昔洛韋玻璃體腔注射,全身治療為調節他克莫司用量,調整血藥濃度。對患者密切隨訪,3個月后,其主訴眼前黑影逐漸消失,視力恢復,顳上方病灶逐漸消退,出血點逐漸吸收;病毒核酸降為0。這提示全身抗病毒藥物對CMVR病灶恢復非必需[6]。1年后,患者右眼飛蚊癥明顯,眼底檢查玻璃體腔炎性反應重,B型超聲檢查提示嚴重玻璃體混濁。這可能與患者調整他克莫司劑量有關,免疫功能重建,啟動機體對CMV的自身免疫反應而表現出明顯的玻璃體炎癥[7]。
本例患者的診治經驗提示,對于長期使用免疫抑制劑患者,需高度警惕CMVR可能,定期監測血藥濃度。早期診斷且可能情況下盡早停用或減少免疫抑制劑的用量,早期給予治療可挽救患者視力。
患者男,43歲。因右眼鼻下方黑影伴視物模糊3周余于2019年6月27日至武漢大學人民醫院眼科中心就診。既往史:2017年9月15日因慢性腎衰竭(尿毒癥期)于我院行腎移植手術,手術后服用他克莫司、米芙等免疫抑制劑抗排斥反應和輔助升白細胞藥物[手術前巨細胞病毒(CMV)血清陽性];2018年7月因免疫缺陷導致雙肺部感染;腎性高血壓(口服降壓藥物控制)。眼科檢查:右眼、左眼最佳矯正視力(BCVA)分別為0.8、1.0。雙眼眼壓正常。右眼結膜稍充血;角膜后沉著物(+),房水閃輝(+);前房深度可,房角開放;瞳孔圓,對光反射靈敏;晶狀體透明;玻璃體稍混濁。眼底視盤顏色紅潤,邊界清楚;顳上方周邊部視網膜不規則白色片狀病灶并散在小片狀出血點,呈“衛星灶”樣改變(圖1A);左眼眼前節及眼底未見明顯異常。因患者腎功能不全,未行眼底血管造影檢查。房水檢查,CMV-DNA 8.05×103拷貝/ml;白細胞介素(IL)-6、IL-8含量分別為574.8、169.2 pg/ml;血管細胞黏附分子-1(VCAM-1)含量為4946.6 pg/ml。全身檢查:血清他克莫司濃度10.3 ng/ml,肌酐(Cr)水平237 μmol/L,二氧化碳總量(TCO2)9.4 mmol/L,CMV-DNA 7.70×104拷貝/ml,CD4+T淋巴細胞計數及比例正常。移植腎超聲檢查無異常。入院診斷:右眼CMV性視網膜炎(CMVR);慢性腎衰竭,腎移植手術后,代謝性酸中毒;腎性高血壓。

明確診斷后,給予患者右眼玻璃體腔注射更昔洛韋0.1 ml(含更昔洛韋400 μg)1次,其后患者拒絕定期玻璃體腔注射更昔洛韋。未行眼底病灶激光光凝以及全身抗病毒治療。器官移植科會診結果,調整他克莫司用藥劑量,維持他克莫司濃度為6 pg/ml。3個月后復查,患者主訴右眼眼前黑影消失,BCVA 1.0。房水CMV病毒載量降至0;血CMV-DNA低于最低檢出限。隨訪期間,患者右眼顳上方白色病灶逐漸消退(圖1B,1C)。1年后,患者主訴右眼飛蚊癥明顯,眼底復查無明顯異常。B型超聲檢查,右眼玻璃體嚴重混濁(圖2)。血他克莫司濃度于5~6 pg/ml穩定波動。對患者進行密切隨訪,至2021年3月右眼眼底情況穩定,未出現視網膜脫離等并發癥。

討論 器官移植手術后常應用免疫抑制劑以減少排斥反應,但全身應用免疫抑制劑可導致白內障、青光眼、角膜感染性疾病、中心性漿液性脈絡膜視網膜病變、黃斑水腫、CMVR等眼部并發癥。CMVR作為腎移植手術后最常見的眼部機會性感染,國內外均有報道,但發病率尚不明確[1-2]。
腎移植手術后并發CMVR可能繼發于移植供體原發性感染或長期應用免疫抑制藥物致受體內病毒的再激活[2-4]。他克莫司作為腎移植手術后免疫抑制劑的常用藥,其治療范圍窄,藥代動力學個體差異大,移植后不同時期需要維持的血藥濃度不同[5]。本例患者為腎移植手術后相對穩定期,根據指南和個體差異,目標血藥濃度為6 pg/ml,患者血他克莫司濃度長期高于10 ng/ml,易發生機會性感染,2018年雙肺感染病史可佐證此結論。患者腎移植前血清CMV抗體陽性,眼部發病為移植手術后21個月,排除繼發于供體的原發性感染可能。
根據眼底表現,CMVR分為中心型(“番茄奶酪”樣改變)、周邊型、“霜枝”樣3種。患者病灶局限于顳上方,符合周邊型特點,亦有CMV-DNA(+)眼內液結果,診斷明確。患者長期使用免疫抑制劑,為防感染,拒絕定期玻璃體腔注射等侵入性操作;更昔洛韋具有骨髓抑制等副作用并經腎臟排泄,患者因腎衰竭和用藥種類多,藥物間相互作用未知,未全身使用抗病毒藥物。患者局部僅進行1次更昔洛韋玻璃體腔注射,全身治療為調節他克莫司用量,調整血藥濃度。對患者密切隨訪,3個月后,其主訴眼前黑影逐漸消失,視力恢復,顳上方病灶逐漸消退,出血點逐漸吸收;病毒核酸降為0。這提示全身抗病毒藥物對CMVR病灶恢復非必需[6]。1年后,患者右眼飛蚊癥明顯,眼底檢查玻璃體腔炎性反應重,B型超聲檢查提示嚴重玻璃體混濁。這可能與患者調整他克莫司劑量有關,免疫功能重建,啟動機體對CMV的自身免疫反應而表現出明顯的玻璃體炎癥[7]。
本例患者的診治經驗提示,對于長期使用免疫抑制劑患者,需高度警惕CMVR可能,定期監測血藥濃度。早期診斷且可能情況下盡早停用或減少免疫抑制劑的用量,早期給予治療可挽救患者視力。