引用本文: 王萌, 史建國, 耿貴富, 孟堯, 陳葉紅, 羅俊霞, 王廣宇, 高在芬. 狹顱癥合并嬰兒痙攣癥一例治療及預后. 癲癇雜志, 2020, 6(3): 199-204. doi: 10.7507/2096-0247.20200035 復制
嬰兒痙攣(Infantile spasms,IS)又名 West 綜合征,是一種嚴重的、與年齡相關的隱源性或癥狀性、全身性綜合征[1]。據統計,IS 在每 1 000 名活產兒中的發病率約為 0.25%~0.60%,大多數患兒在 1 歲以內發病,高峰為 4~6 個月[2]。臨床表現為痙攣發作、腦電圖(EEG)顯示高度失律、精神運動發育遲滯或減退三大特點[3]。狹顱癥(Craniosynostosis)又被稱為顱縫早閉,是由一條或多條顱縫過早閉合或骨化所致顱骨發育障礙而引起的先天畸形,發病率居先天性頜面畸形的第二位,約為 1/2 500,僅次于唇腭裂畸形[4]。不同的顱縫早閉可導致不同的頭顱畸形,額縫早閉可導致三角頭畸形、矢狀縫早閉可導致舟狀顱畸形、單側的冠狀縫早閉可導致斜頭畸形、雙側冠狀縫早閉可表現為短頭畸形、人字縫早閉可導致頭顱呈現一個梯形[5]。根據 Virchow 的理論,顱縫早閉后,平行于早閉顱縫的顱腔徑線代償性延長,垂直于早閉顱縫的顱腔徑線延長受限,從而導致各種頭顱畸形。
本探究運用 EEG 結合臨床表現確診 IS,通過 EEG、影像學及三維打印技術等手段確診并治療狹顱癥,詳細描述了 2017 年 12 月山東大學齊魯兒童醫院收治的一例狹顱癥合并 IS 患兒確診及治療的案例,探究狹顱癥與 IS 之間的相關性。
1 病例介紹
先證者 男,6 月齡 11 天。母孕 2 產 2,出生后無窒息,智力、體格發育落后于正常嬰兒。因“點頭樣發作 20 余天”入院。患兒于入院前 20 天,無明顯誘因出現點頭屈曲樣發作,呈抱團樣,成串發作,每串發作 10 余下,持續 5~6 min,每日發作串不等,發作后患兒精神欠佳。見圖 1。

1.1 入院查體
發育落后,不能獨坐,持物不能,無法逗笑,兒童生長發育里程均未能達標。營養良好,精神欠佳,反應一般。全身未見皮疹,枕部皮膚可見血管痣,無脫屑,皮膚彈性良好。頭顱畸形,額部前凸,枕部扁平,頭顱無包快,前囟未閉、平軟,約 1.00 cm×1.00 cm,頭圍 42.5 cm,雙肺呼吸音粗糙。
1.2 神經專科查體
神智意識清楚,雙眼瞼無下垂,眼球各方向運動好,無眼球震顫,雙瞳孔等大、等圓,雙側鼻唇溝對稱,口角無歪斜。伸舌無偏斜,四肢肌力Ⅴ級,肌張力正常。肱二頭肌反射(++),肱三頭肌反射(++),膝反射(++),跟腱反射(++)。
2 診療經過
2.1 視頻腦電圖
入院后,由于患兒無明顯誘因出現點頭屈曲樣發作。首先患兒接受視頻腦電圖(VEEG)檢查,應用 9200K視頻腦電圖儀(日本光電公司),按照國際 10-20 系統安放 32 導記錄電極,對患兒進行 4 h 清醒、睡眠期 VEEG 檢測。檢測前患兒禁睡 4 h,不使用誘導睡眠的藥物。患兒的發作形式除通過 VEEG 記錄外,還由小兒臨床神經科醫生加以觀察,對監測結果回放閱圖,同步分析發作間期的 EEG 改變。
監測結果示,發作間期異常波:清醒及睡眠狀態下,彌漫性大量不規則 3~4 Hz、高波幅 θ、δ 活動,夾雜大量不規則高幅尖波、棘波、尖慢、棘慢綜合波,雜亂無序,呈高峰節律紊亂。發作期監測記錄到三種發作形式:① 10 余次表現為:睡眠中睜眼、凝視,同期 EEG 表現為各導聯 10~20 Hz 低波幅快波、雙側后頭部著;② 一串痙攣發作,表現為四肢擁抱、點頭樣發作,同期 EEG 表現為:各導聯彌漫性 20~40 Hz 棘波節律,持續 1.5~2.0 s,有時伴有肌電爆發(約 1 s);③ 一串強直痙攣發作,表現為:雙上肢上抬,雙下肢屈曲,同期 EEG 表現為:彌漫性高幅慢波,持續 1.0~1.5 s→16~20 Hz 低幅快活動,持續 4 s,伴有短暫的肌電爆發約 4 s,左上肢著。印象:異常嬰兒 EEG。高峰失律檢測到三種發作形式:① 10 余次強直發作;② 1 串痙攣發作(數十次);③ 1 串強直痙攣發作(數十次)。EEG 提示:IS。見圖 2。分析一次痙攣發作的高頻放電:彌漫性的高波幅慢波復合低波幅 80~140 Hz 的高頻放電,見圖 3。

a.發作間期的高峰失律;b. 強直痙攣;c. 痙攣發作;d. 快節律
Figure2. The first EEGa. Peak-to-peakarrhythmia; b. tetanic spasm; c. spasms; d. the fast rhythm

a. 原圖;b. 高頻分析;c. 時頻分析
Figure3. High frequency discharge analysisa. mastermap; b. High frequency discharge analysis; c. time-frequency analysis
2.2 內科治療
EEG 結果提示 IS,給予促腎上腺皮質激素(Adreno-cortico-tropic-hormone,ACTH)治療,25 U/d,療程 14 天,隨后給予托吡酯(16.67 mg,口服);潑尼松(10 mg 口服,2 周),2 周后復查。經藥物治療后,患兒病情明顯好轉。
2.3 視頻腦電圖(復診 1)
患兒出院后,未再有癲癇發作,2 周后再次來院復查 VEEG 示:發作間期異常波:睡眠狀態下,雙側額、中央、頂、枕、頂中線區大量低中幅尖波、棘波同步/非同步發放。發作期:監測記錄中無特殊事件發生。印象:EEG 異常嬰兒雙側枕、后顳區慢波發放雙側額、中央、頂、枕、頂中線區同步/非同步放電。EEG 提示:局灶性放電,見圖 4。

a. 清醒期背景;b. 睡眠期背景;c. 后頭部放電;d. 前頭部放電
Figure4. The second EEGa. lucid interval background; b. NREM background; c. occiput discharge; d. forward head discharge
2.4 外科治療
患兒經過激素沖擊治療后,病情好轉,運用 3D 打印技術行外科手術整形治療,首先運用斷層掃描(CT)技術獲得頭顱圖像,接著通過使用圖像處理軟件 Mimics18.0 和 3-matic10.0 進行三維圖像建模和術前的手術模擬,重建的顱骨模型保存為 STL 格式,并通過數字接口輸入 3D 打印機。手術計劃采用顱蓋重建術式,一是將患兒畸形的顱骨全部拆卸,松解被壓迫的大腦;二是對顱骨進行分割,逐個塑成需要的形狀,再重新拼接(圖 5、6、7)。



患兒在術后獲得了理想的頭型。通過 CT 檢查驗證,手術結果與模擬術后頭顱模型一致,術后患兒顱骨 CT 圖像見圖 8。

2.5 視頻腦電圖(復診 2)
術后 5 個月患兒第三次復查,VEEG 示:正常幼兒 EEG。見圖 9。

a. 清醒期背景;b. 睡眠期背景
Figure9. The third EEGa. lucid interval background; b. NREM background
2.6 預后
患兒經內外科綜合治療,病情好轉,頭顱畸形恢復正常,2020 年 4 月 25 日通過電話隨訪,自手術之后 2 年內,癲癇未再發作。EEG(最后一次腦電 2019 年 5 月)提示正常幼兒 EEG。患兒可以逗笑,兒童生長發育里程碑基本達到正常水平。
3 討論
本例患兒表現出來狹顱癥和 IS 并存,同時伴有智力障礙,當運用激素沖擊治療后,患兒的 IS 控制,復查 EEG 提示腦部還有大量放電,隨后行顱縫早閉手術治療,術后,患兒智力水平明顯好轉,再次復查 EEG 提示無放電。鮮有病例報道描述患兒同時合并狹顱癥和 IS,在 2011 年,Mohamm ad-Ali 報道了一例病歷,描述了一 6 周的嬰兒出現嬰兒痙攣,該患兒在 2.5 個月時,接受了右半球切除術。術后 3 個月,患兒出現左側冠狀縫早閉。隨后對其進行顱骨重建,手術后果良好。術后 4 年,患兒仍沒有抽搐癥狀,無需運用抗癲癇藥物[6]。早在 2003 年,Mytinger 等[7]報道了一例 6 月齡患兒,同時患有 IS 和顱縫早閉,并接受了顱縫早閉手術和激素沖擊治療,但是在這次報道中,顱縫早閉手術并沒有影響癲癇發作。而在本文報道的病例中,顱縫早閉手術治療后,患兒的腦部異常放電消失,且患兒的智力發育水平明顯得到改善。首次提出 IS 合并顱腦畸形的患兒應首先進行激素沖擊治療控制癲癇發作,對患兒的預后較好,手術時機是在激素沖擊治療之后,更有利于患兒的智力恢復及癲癇的控制。
IS 屬于大腦皮層和皮層下多發病灶性癲癇,因此,VEEG 改變多為廣泛性,以高峰失律型為主,這與既往報道類似[7]。本研究通過多次對患兒進行 EEG 檢測,并隨訪了患兒的臨床預征,了解臨床預后及腦功能變化的情況,結果表明,患兒的 EEG 變化與其臨床預后密切相關。
IS 是一種嚴重影響患兒生活治療的疾病,早期控制發作對改善患兒的預后具有十分重要的意義,由于作為 IS 的首選藥物 ACTH(有效率 54.5%~78.6%)[8],本病例對 IS 的治療首先采用了 ACTH 沖擊治療后,口服潑尼松半年具有很好的效果。IS 的發病機制有兩種重要的原因,一種研究較為深入的是促腎上腺皮質激素釋放激素(Corticotropin releasing hormone,CRH)過度增高假說;另一種是免疫系統缺陷[9],ACTH 因同時可調節下丘腦-垂體-腎上腺軸而抑制 CRH 的釋放和參與免疫調節的作用,因此可用以治療 IS[10]。
患兒在發病后出現了全面智力障礙,在經過激素沖擊治療和手術治療后,運動發育和智力障礙明顯改善。最近一項關于 IS 發作前后智力發育的前瞻性縱向研究結果顯示,IS 患兒均有明顯的智力障礙,但其發病機制尚不明確,需進一步研究[10]。
綜上,IS 是一種癲癇型腦病,治療方法較多,目前還有許多問題尚未完全清楚,如發病后智力與精神運動發育落后的機制;神經功能預后的判斷指標;促進精神運動發育的康復模式等。因此,臨床和基礎兩方面的大樣本量前瞻性隨機對照研究有待深入進行。
嬰兒痙攣(Infantile spasms,IS)又名 West 綜合征,是一種嚴重的、與年齡相關的隱源性或癥狀性、全身性綜合征[1]。據統計,IS 在每 1 000 名活產兒中的發病率約為 0.25%~0.60%,大多數患兒在 1 歲以內發病,高峰為 4~6 個月[2]。臨床表現為痙攣發作、腦電圖(EEG)顯示高度失律、精神運動發育遲滯或減退三大特點[3]。狹顱癥(Craniosynostosis)又被稱為顱縫早閉,是由一條或多條顱縫過早閉合或骨化所致顱骨發育障礙而引起的先天畸形,發病率居先天性頜面畸形的第二位,約為 1/2 500,僅次于唇腭裂畸形[4]。不同的顱縫早閉可導致不同的頭顱畸形,額縫早閉可導致三角頭畸形、矢狀縫早閉可導致舟狀顱畸形、單側的冠狀縫早閉可導致斜頭畸形、雙側冠狀縫早閉可表現為短頭畸形、人字縫早閉可導致頭顱呈現一個梯形[5]。根據 Virchow 的理論,顱縫早閉后,平行于早閉顱縫的顱腔徑線代償性延長,垂直于早閉顱縫的顱腔徑線延長受限,從而導致各種頭顱畸形。
本探究運用 EEG 結合臨床表現確診 IS,通過 EEG、影像學及三維打印技術等手段確診并治療狹顱癥,詳細描述了 2017 年 12 月山東大學齊魯兒童醫院收治的一例狹顱癥合并 IS 患兒確診及治療的案例,探究狹顱癥與 IS 之間的相關性。
1 病例介紹
先證者 男,6 月齡 11 天。母孕 2 產 2,出生后無窒息,智力、體格發育落后于正常嬰兒。因“點頭樣發作 20 余天”入院。患兒于入院前 20 天,無明顯誘因出現點頭屈曲樣發作,呈抱團樣,成串發作,每串發作 10 余下,持續 5~6 min,每日發作串不等,發作后患兒精神欠佳。見圖 1。

1.1 入院查體
發育落后,不能獨坐,持物不能,無法逗笑,兒童生長發育里程均未能達標。營養良好,精神欠佳,反應一般。全身未見皮疹,枕部皮膚可見血管痣,無脫屑,皮膚彈性良好。頭顱畸形,額部前凸,枕部扁平,頭顱無包快,前囟未閉、平軟,約 1.00 cm×1.00 cm,頭圍 42.5 cm,雙肺呼吸音粗糙。
1.2 神經專科查體
神智意識清楚,雙眼瞼無下垂,眼球各方向運動好,無眼球震顫,雙瞳孔等大、等圓,雙側鼻唇溝對稱,口角無歪斜。伸舌無偏斜,四肢肌力Ⅴ級,肌張力正常。肱二頭肌反射(++),肱三頭肌反射(++),膝反射(++),跟腱反射(++)。
2 診療經過
2.1 視頻腦電圖
入院后,由于患兒無明顯誘因出現點頭屈曲樣發作。首先患兒接受視頻腦電圖(VEEG)檢查,應用 9200K視頻腦電圖儀(日本光電公司),按照國際 10-20 系統安放 32 導記錄電極,對患兒進行 4 h 清醒、睡眠期 VEEG 檢測。檢測前患兒禁睡 4 h,不使用誘導睡眠的藥物。患兒的發作形式除通過 VEEG 記錄外,還由小兒臨床神經科醫生加以觀察,對監測結果回放閱圖,同步分析發作間期的 EEG 改變。
監測結果示,發作間期異常波:清醒及睡眠狀態下,彌漫性大量不規則 3~4 Hz、高波幅 θ、δ 活動,夾雜大量不規則高幅尖波、棘波、尖慢、棘慢綜合波,雜亂無序,呈高峰節律紊亂。發作期監測記錄到三種發作形式:① 10 余次表現為:睡眠中睜眼、凝視,同期 EEG 表現為各導聯 10~20 Hz 低波幅快波、雙側后頭部著;② 一串痙攣發作,表現為四肢擁抱、點頭樣發作,同期 EEG 表現為:各導聯彌漫性 20~40 Hz 棘波節律,持續 1.5~2.0 s,有時伴有肌電爆發(約 1 s);③ 一串強直痙攣發作,表現為:雙上肢上抬,雙下肢屈曲,同期 EEG 表現為:彌漫性高幅慢波,持續 1.0~1.5 s→16~20 Hz 低幅快活動,持續 4 s,伴有短暫的肌電爆發約 4 s,左上肢著。印象:異常嬰兒 EEG。高峰失律檢測到三種發作形式:① 10 余次強直發作;② 1 串痙攣發作(數十次);③ 1 串強直痙攣發作(數十次)。EEG 提示:IS。見圖 2。分析一次痙攣發作的高頻放電:彌漫性的高波幅慢波復合低波幅 80~140 Hz 的高頻放電,見圖 3。

a.發作間期的高峰失律;b. 強直痙攣;c. 痙攣發作;d. 快節律
Figure2. The first EEGa. Peak-to-peakarrhythmia; b. tetanic spasm; c. spasms; d. the fast rhythm

a. 原圖;b. 高頻分析;c. 時頻分析
Figure3. High frequency discharge analysisa. mastermap; b. High frequency discharge analysis; c. time-frequency analysis
2.2 內科治療
EEG 結果提示 IS,給予促腎上腺皮質激素(Adreno-cortico-tropic-hormone,ACTH)治療,25 U/d,療程 14 天,隨后給予托吡酯(16.67 mg,口服);潑尼松(10 mg 口服,2 周),2 周后復查。經藥物治療后,患兒病情明顯好轉。
2.3 視頻腦電圖(復診 1)
患兒出院后,未再有癲癇發作,2 周后再次來院復查 VEEG 示:發作間期異常波:睡眠狀態下,雙側額、中央、頂、枕、頂中線區大量低中幅尖波、棘波同步/非同步發放。發作期:監測記錄中無特殊事件發生。印象:EEG 異常嬰兒雙側枕、后顳區慢波發放雙側額、中央、頂、枕、頂中線區同步/非同步放電。EEG 提示:局灶性放電,見圖 4。

a. 清醒期背景;b. 睡眠期背景;c. 后頭部放電;d. 前頭部放電
Figure4. The second EEGa. lucid interval background; b. NREM background; c. occiput discharge; d. forward head discharge
2.4 外科治療
患兒經過激素沖擊治療后,病情好轉,運用 3D 打印技術行外科手術整形治療,首先運用斷層掃描(CT)技術獲得頭顱圖像,接著通過使用圖像處理軟件 Mimics18.0 和 3-matic10.0 進行三維圖像建模和術前的手術模擬,重建的顱骨模型保存為 STL 格式,并通過數字接口輸入 3D 打印機。手術計劃采用顱蓋重建術式,一是將患兒畸形的顱骨全部拆卸,松解被壓迫的大腦;二是對顱骨進行分割,逐個塑成需要的形狀,再重新拼接(圖 5、6、7)。



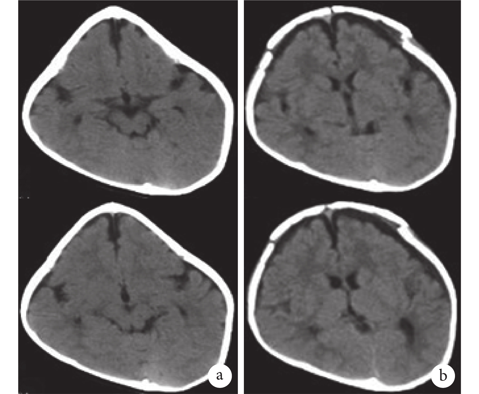
患兒在術后獲得了理想的頭型。通過 CT 檢查驗證,手術結果與模擬術后頭顱模型一致,術后患兒顱骨 CT 圖像見圖 8。

2.5 視頻腦電圖(復診 2)
術后 5 個月患兒第三次復查,VEEG 示:正常幼兒 EEG。見圖 9。

a. 清醒期背景;b. 睡眠期背景
Figure9. The third EEGa. lucid interval background; b. NREM background
2.6 預后
患兒經內外科綜合治療,病情好轉,頭顱畸形恢復正常,2020 年 4 月 25 日通過電話隨訪,自手術之后 2 年內,癲癇未再發作。EEG(最后一次腦電 2019 年 5 月)提示正常幼兒 EEG。患兒可以逗笑,兒童生長發育里程碑基本達到正常水平。
3 討論
本例患兒表現出來狹顱癥和 IS 并存,同時伴有智力障礙,當運用激素沖擊治療后,患兒的 IS 控制,復查 EEG 提示腦部還有大量放電,隨后行顱縫早閉手術治療,術后,患兒智力水平明顯好轉,再次復查 EEG 提示無放電。鮮有病例報道描述患兒同時合并狹顱癥和 IS,在 2011 年,Mohamm ad-Ali 報道了一例病歷,描述了一 6 周的嬰兒出現嬰兒痙攣,該患兒在 2.5 個月時,接受了右半球切除術。術后 3 個月,患兒出現左側冠狀縫早閉。隨后對其進行顱骨重建,手術后果良好。術后 4 年,患兒仍沒有抽搐癥狀,無需運用抗癲癇藥物[6]。早在 2003 年,Mytinger 等[7]報道了一例 6 月齡患兒,同時患有 IS 和顱縫早閉,并接受了顱縫早閉手術和激素沖擊治療,但是在這次報道中,顱縫早閉手術并沒有影響癲癇發作。而在本文報道的病例中,顱縫早閉手術治療后,患兒的腦部異常放電消失,且患兒的智力發育水平明顯得到改善。首次提出 IS 合并顱腦畸形的患兒應首先進行激素沖擊治療控制癲癇發作,對患兒的預后較好,手術時機是在激素沖擊治療之后,更有利于患兒的智力恢復及癲癇的控制。
IS 屬于大腦皮層和皮層下多發病灶性癲癇,因此,VEEG 改變多為廣泛性,以高峰失律型為主,這與既往報道類似[7]。本研究通過多次對患兒進行 EEG 檢測,并隨訪了患兒的臨床預征,了解臨床預后及腦功能變化的情況,結果表明,患兒的 EEG 變化與其臨床預后密切相關。
IS 是一種嚴重影響患兒生活治療的疾病,早期控制發作對改善患兒的預后具有十分重要的意義,由于作為 IS 的首選藥物 ACTH(有效率 54.5%~78.6%)[8],本病例對 IS 的治療首先采用了 ACTH 沖擊治療后,口服潑尼松半年具有很好的效果。IS 的發病機制有兩種重要的原因,一種研究較為深入的是促腎上腺皮質激素釋放激素(Corticotropin releasing hormone,CRH)過度增高假說;另一種是免疫系統缺陷[9],ACTH 因同時可調節下丘腦-垂體-腎上腺軸而抑制 CRH 的釋放和參與免疫調節的作用,因此可用以治療 IS[10]。
患兒在發病后出現了全面智力障礙,在經過激素沖擊治療和手術治療后,運動發育和智力障礙明顯改善。最近一項關于 IS 發作前后智力發育的前瞻性縱向研究結果顯示,IS 患兒均有明顯的智力障礙,但其發病機制尚不明確,需進一步研究[10]。
綜上,IS 是一種癲癇型腦病,治療方法較多,目前還有許多問題尚未完全清楚,如發病后智力與精神運動發育落后的機制;神經功能預后的判斷指標;促進精神運動發育的康復模式等。因此,臨床和基礎兩方面的大樣本量前瞻性隨機對照研究有待深入進行。