引用本文: 王煥明, 胡飛, 陳俊, 熊玉波, 楊崇陽, 陳陽, 楊艷萍. 海馬硬化型顳葉癲癇的外科治療—附 42 例報告. 癲癇雜志, 2019, 5(3): 182-186. doi: 10.7507/2096-0247.20190032 復制
顳葉癲癇是指顳葉原發性病理改變引起的癲癇,常見原因有海馬硬化、腫瘤、海綿狀血管瘤、血管畸形、蛛網膜囊腫和皮層發育不良等[1]。顳葉癲癇的治療以手術治療為最佳選擇,收集 2012 年 1 月—2018 年 12 月于武漢腦科醫院行前顳葉切除術(包括大部分海馬及杏仁核)的 42 例海馬硬化型顳葉癲癇患者臨床資料,術后隨訪至少 1 年(平均 2.6 年)療效滿意,現分析報道如下。
1 資料與方法
1.1 一般資料
本組 42 例,男 30 例,女 12 例;年齡 9~60 歲,平均 26.4 歲。病程 3~10 年,平均 5.4 年。
1.2 臨床表現
42 例患者中,臨床表現為復雜部分性發作 18 例,包括幻聽 6 例,恐懼感 4 例,發作時自言自語、手不自主摸索 8 例;部分性發作繼發全身性發作 4 例;全身強直-陣攣性發作發作 20 例。10 例患者發作前有先兆,表現為頭痛、頭暈或胃內有氣體上升感。病因:腦炎腦膜炎 9 例、高熱 6 例、顱腦外傷 2 例,余 25 例未發現明確病因。所有患者均經過 2 年以上正規內科抗癲癇藥物(AEDs)治療,癲癇控制效果不佳,每月癲癇發作均在 4 次以上,且嚴重影響患者的生活和學習。
1.3 影像學檢查
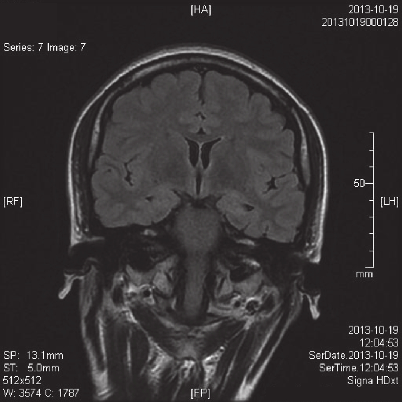
所有患者術前均行斷層掃描(CT)和核磁共振(MRI)檢查,CT 檢查均提示無明顯異常。MRI 檢查除了進行常規的 T1WI 和 T2WI 序列掃描外(圖 1),另外加行 FLAIR 序列掃描(圖 2)和雙側海馬 MRS 檢查(圖 3、4),均診斷為海馬硬化,其中左側海馬硬化 16 例,右側海馬硬化 26 例。海馬硬化 MRI 診斷標準包括:T1WI 顯示海馬體積縮小、側腦室顳角擴大、海馬區 T2WI 高信號以及 FLAIR 序列高信號,以及 MRS 檢查提示一側海馬 NAA/(Cr+Cho)<0.71 或者雙側海馬 NAA/(Cr+Cho) 差值>10%。




1.4 腦電圖檢查
所有患者術前均行常規腦電圖(EEG)和視頻腦電圖(VEEG)監測,常規 EEG 結果提示中度異常 39 例,重度異常 3 例,但均未能明確定位致癇灶。24 h VEEG 監測提示左顳異常放電 16 例,右顳異常放電 26 例。
1.5 手術方法
結合患者的臨床表現、MRI 檢查和 VEEG 監測結果,對所有患者行前顳葉切除術(包括大部分海馬和杏仁核),均在術中皮層電極(圖 5)和深部電極 EEG(圖 6)監測下進行。手術均在全麻下進行,當患者麻醉滿意后,取仰臥位,頭轉向健側并略低位固定于頭架上。采用改良翼點入路切口,咬除部分顳鱗及蝶骨嵴外 1/3 達中顱窩底,使骨窗下緣低至中顱窩底,以蝶骨嵴為中心瓣狀剪開硬膜,臨時將硬膜懸吊于骨緣的骨膜上后,先行顳葉皮層(顳上、中、下回)EEG 監測和深部電極(海馬、杏仁核)EEG 監測,然后切除前顳葉(左側 4.5~5.0 cm,右側 5~6 cm),最后切除大部分海馬和杏仁核(圖 7、8),切除完畢后再復查術中 EEG,若發現仍有異常放電,則輔以皮層熱灼術,直至監測無明顯異常放電為止。術腔徹底止血后嚴密縫合硬膜,骨瓣還納固定,逐層縫合頭皮各層,置硬膜外引流一根,術畢標本送病理檢查。




2 結果
2.1 術中情況
所有患者術中皮層電極 EEG 和深部電極 EEG 均發現顳葉皮層和海馬、杏仁核有異常放電,在行前顳葉切除(包括大部分海馬和杏仁核)術后,有 10 例復查皮層電極 EEG 仍提示有少許異常放電,予手術側術腔周圍皮層熱灼后,直至異常放電消失,波幅明顯下降,僅見部分慢波發放。
2.2 術后結果
42 例患者術后均出現發熱,但經過抗炎、腰椎穿刺及對癥支持治療后漸好轉。所有患者術后均無明顯功能障礙。
所有患者術后 6~8 h 均復查 CT,術后 1 年復查 MRI(圖 9、10),均提示前顳葉切除術后改變。所有患者術后兩周行常規 EEG 復查,均見手術側有慢波改變。術后病理檢查發現,顳葉皮層、海馬和杏仁核神經元顯著減少、廣泛萎縮、嗜酸性改變,膠質細胞彌漫增生,有衛星現象。


2.3 隨訪結果
所有患者進行 1 年以上的門診隨訪,平均隨訪時間 2.6 年。42 例患者堅持繼續服用 AEDs,有 8 例癲癇無發作,AEDs 為卡馬西平、丙戊酸鈉、奧卡西平或(和)苯巴比妥鈉等;4 例術后較術前顯著改善,僅偶有癲癇發作,且發作頻率和發作程度均較術前明顯減輕。所有患者術后均能正常學習和生活。
3 討論
顳葉癲癇占藥物難治性癲癇的 60%~80%,其中 60%~90% 可通過手術治療[2]。海馬硬化是難治性顳葉癲癇最常見的病理學類型,典型可見海馬結構的神經細胞脫失和膠質細胞增生,其病理特征主要是 CA1、CA3 區和齒狀回顆粒細胞層神經元丟失和膠質細胞增生,CA1 區最敏感,而 CA2 區一般不受累[3]。統計顯示海馬硬化占顳葉癲癇手術病例的 60%~80% 以上,其中 90% 的患者可以通過前顳葉切除術達到良好的療效[4]。
顳葉癲癇有其特征性臨床表現[5]:① 癲癇發作的起始和結束均較緩慢,持續時間常>1 min;② 常常有植物神經或精神先兆,發作時常表現為行動停頓、凝視、口消化道自動癥等;③ 與額葉癲癇的突發突止和過度運動自動癥形成鮮明對比,對致癇灶的定位有較大參考價值。本組 10 例患者發作前有先兆表現,如頭痛、頭暈或胃內有氣體上升感,強烈提示致癇灶位于顳葉。
常規 MRI 檢查難治性顳葉癲癇患者通常應用的掃描序列包括 T1WI、T2WI、FLAIR 和 3D 容積采集序列[6]。在診斷海馬硬化方面,FLAIR 序列較 T2WI 更為準確,主要是由于 FLAIR 序列影像可獲得比 T2WI 更重的 T2 加權像,同時抑制了海馬周圍的腦脊液信號,提高了海馬與周圍信號的對比,易于顯示海馬硬化信號的增高,因此結合 T2WI 序列能夠提高海馬硬化診斷的敏感性和準確性[7]。
海馬硬化 MRI 診斷標準包括:T1WI 顯示海馬體積縮小、側腦室顳角擴大、海馬區 T2WI 高信號以及 FLAIR 序列高信號。海馬硬化最常見的 MRI 表現是海馬萎縮和 T2WI 海馬信號增高,目前已經證實海馬的體積可反映神經元的數量,因此海馬萎縮是神經元丟失在 MRI 的反映。其他研究也表明[8],海馬體積縮小、T2WI 信號彌漫性增高是海馬硬化萎縮的直接征象,與病變嚴重程度、致癇灶在顳葉的部位有關;前顳葉萎縮和顳角、環池增寬是海馬硬化的輔助征象。海馬頭部淺溝消失也是診斷海馬硬化的一個可靠征象,有報道稱海馬頭部淺溝消失對海馬硬化診斷的敏感度為 88.9%,特異度為 100%,結合患側海馬有萎縮性改變和 T2WI 信號增高,可肯定海馬硬化的診斷[9]。
磁共振波譜(Magnetic resonance spectroscopy,MRS)是近年來應用于癲癇定位診斷的新技術,在中樞神經系統主要測定 NAA、Cho 和 Cr 三種化學成分。NAA 反映神經元數量,Cr 和 Cho 則主要反映膠質細胞數量。海馬硬化主要病理改變為海馬神經元細胞減少伴不同程度膠質增生。故其主要 MRS 表現為 NAA 峰降低和 Cr、Cho 峰升高[10]。目前國內外均以 NAA/(Cr+Cho) 值作為診斷標準,因 NAA/(Cr+Cho) 正常值國內尚無統一標準,一般將對照組 NAA/(Cr+Cho) 平均值下限 (0.68) 作為病變組 NAA/(Cr +Cho) 值降低的診斷標準,將雙側 NAA/(Cr+Cho) 差值>10% 作為判斷病變組 NAA/(Cr+Cho) 值降低嚴重側的診斷標準[11]。本組 42 例患者行 MRI 檢查時除了進行常規的 T1WI 和 T2WI 序列掃描外,另外加行 FLAIR 序列掃描和 MRS,均診斷為海馬硬化,其中左側海馬硬化 16 例,右側海馬硬化 26 例。
如果 MRI 提示有一側海馬硬化,同時 VEEG 又發現有同側顳葉癇樣放電,則強烈提示該側顳葉為致癇灶,若在顯微鏡下行該側前顳葉切除,就能使癲癇發作得到滿意控制。本組 42 例患者行 MRI 均診斷為海馬硬化,同時 24h VEEG 監測也提示放電在海馬硬化的同側顳葉,故我們對這組患者行前顳葉切除術(包括大部分海馬和杏仁核),術中皮層電極和深部電極腦電圖監測也證實異常放電的存在,術后病理也提示為海馬硬化,術后隨訪 1 年以上,結果發現 38 例癲癇發作完全消失,4 例術后較術前顯著改善,手術療效滿意。這與國內外的研究基本類似,但遠期效果尚待進一步觀察。高翔等[12]對 15 例顳葉癲癇并考慮海馬硬化的病例實施選擇性海馬杏仁核切除,結果全部病例術中在皮質 EEG 及深部 EEG 均發現顳葉內側癇樣放電,手術切除硬化海馬后癲癇得到有效控制,術后患者神經心理檢查正常。段寶奇等[13]對 26 例海馬硬化型顳葉癲癇患者術后的癲癇發作和韋氏智力量表進行回顧性分析,結果在 26 例患者中 EngelⅠ級 20 例,Ⅱ級 4 例,Ⅲ級 2 例,且總智商和操作智商均優于術前,而 EngelⅠ級的患者的總智商、操作智商和言語智商優于其他患者,提示手術治療海馬硬化型顳葉癲癇有助于控制癲癇發作和改善認知功能。錢海燕等[14]采用 Meta 分析比較了前顳葉切除和選擇性海馬杏仁核切除治療海馬硬化性顳葉內側癲癇療效,其中行前顳葉切除 200 例,術后 Engle I 級者 156 例;選擇性海馬杏仁核 299 例,術后 Engle I 級者 222 例,提示前顳葉切除和選擇性海馬杏仁核切除在治療海馬硬化性顳葉內側癲癇療效相近。董芳艷等[15]對 13 例內側顳葉海馬癲癇患者實施了前顳葉、海馬、杏仁核切除手術,在最長 2 年的隨訪期內,顯效 10 例,好轉 3 例,提示只要海馬硬化型顳葉癲癇選擇病例恰當、診斷明確就可以實施標準前顳葉、海馬、杏仁核切除術,這是目前治療顳葉內側癲癇的理想選擇。
總之,對于存在海馬硬化的顳葉癲癇患者,如果同時 EEG 又發現有同側顳葉癇樣放電,則可以考慮行該側前顳葉切除術(包括大部分海馬和杏仁核),手術必須在術中皮層電極和深部電極 EEG 監測下進行,且術后療效也較滿意,因此值得積極穩妥的開展。
顳葉癲癇是指顳葉原發性病理改變引起的癲癇,常見原因有海馬硬化、腫瘤、海綿狀血管瘤、血管畸形、蛛網膜囊腫和皮層發育不良等[1]。顳葉癲癇的治療以手術治療為最佳選擇,收集 2012 年 1 月—2018 年 12 月于武漢腦科醫院行前顳葉切除術(包括大部分海馬及杏仁核)的 42 例海馬硬化型顳葉癲癇患者臨床資料,術后隨訪至少 1 年(平均 2.6 年)療效滿意,現分析報道如下。
1 資料與方法
1.1 一般資料
本組 42 例,男 30 例,女 12 例;年齡 9~60 歲,平均 26.4 歲。病程 3~10 年,平均 5.4 年。
1.2 臨床表現
42 例患者中,臨床表現為復雜部分性發作 18 例,包括幻聽 6 例,恐懼感 4 例,發作時自言自語、手不自主摸索 8 例;部分性發作繼發全身性發作 4 例;全身強直-陣攣性發作發作 20 例。10 例患者發作前有先兆,表現為頭痛、頭暈或胃內有氣體上升感。病因:腦炎腦膜炎 9 例、高熱 6 例、顱腦外傷 2 例,余 25 例未發現明確病因。所有患者均經過 2 年以上正規內科抗癲癇藥物(AEDs)治療,癲癇控制效果不佳,每月癲癇發作均在 4 次以上,且嚴重影響患者的生活和學習。
1.3 影像學檢查
所有患者術前均行斷層掃描(CT)和核磁共振(MRI)檢查,CT 檢查均提示無明顯異常。MRI 檢查除了進行常規的 T1WI 和 T2WI 序列掃描外(圖 1),另外加行 FLAIR 序列掃描(圖 2)和雙側海馬 MRS 檢查(圖 3、4),均診斷為海馬硬化,其中左側海馬硬化 16 例,右側海馬硬化 26 例。海馬硬化 MRI 診斷標準包括:T1WI 顯示海馬體積縮小、側腦室顳角擴大、海馬區 T2WI 高信號以及 FLAIR 序列高信號,以及 MRS 檢查提示一側海馬 NAA/(Cr+Cho)<0.71 或者雙側海馬 NAA/(Cr+Cho) 差值>10%。




1.4 腦電圖檢查
所有患者術前均行常規腦電圖(EEG)和視頻腦電圖(VEEG)監測,常規 EEG 結果提示中度異常 39 例,重度異常 3 例,但均未能明確定位致癇灶。24 h VEEG 監測提示左顳異常放電 16 例,右顳異常放電 26 例。
1.5 手術方法
結合患者的臨床表現、MRI 檢查和 VEEG 監測結果,對所有患者行前顳葉切除術(包括大部分海馬和杏仁核),均在術中皮層電極(圖 5)和深部電極 EEG(圖 6)監測下進行。手術均在全麻下進行,當患者麻醉滿意后,取仰臥位,頭轉向健側并略低位固定于頭架上。采用改良翼點入路切口,咬除部分顳鱗及蝶骨嵴外 1/3 達中顱窩底,使骨窗下緣低至中顱窩底,以蝶骨嵴為中心瓣狀剪開硬膜,臨時將硬膜懸吊于骨緣的骨膜上后,先行顳葉皮層(顳上、中、下回)EEG 監測和深部電極(海馬、杏仁核)EEG 監測,然后切除前顳葉(左側 4.5~5.0 cm,右側 5~6 cm),最后切除大部分海馬和杏仁核(圖 7、8),切除完畢后再復查術中 EEG,若發現仍有異常放電,則輔以皮層熱灼術,直至監測無明顯異常放電為止。術腔徹底止血后嚴密縫合硬膜,骨瓣還納固定,逐層縫合頭皮各層,置硬膜外引流一根,術畢標本送病理檢查。




2 結果
2.1 術中情況
所有患者術中皮層電極 EEG 和深部電極 EEG 均發現顳葉皮層和海馬、杏仁核有異常放電,在行前顳葉切除(包括大部分海馬和杏仁核)術后,有 10 例復查皮層電極 EEG 仍提示有少許異常放電,予手術側術腔周圍皮層熱灼后,直至異常放電消失,波幅明顯下降,僅見部分慢波發放。
2.2 術后結果
42 例患者術后均出現發熱,但經過抗炎、腰椎穿刺及對癥支持治療后漸好轉。所有患者術后均無明顯功能障礙。
所有患者術后 6~8 h 均復查 CT,術后 1 年復查 MRI(圖 9、10),均提示前顳葉切除術后改變。所有患者術后兩周行常規 EEG 復查,均見手術側有慢波改變。術后病理檢查發現,顳葉皮層、海馬和杏仁核神經元顯著減少、廣泛萎縮、嗜酸性改變,膠質細胞彌漫增生,有衛星現象。


2.3 隨訪結果
所有患者進行 1 年以上的門診隨訪,平均隨訪時間 2.6 年。42 例患者堅持繼續服用 AEDs,有 8 例癲癇無發作,AEDs 為卡馬西平、丙戊酸鈉、奧卡西平或(和)苯巴比妥鈉等;4 例術后較術前顯著改善,僅偶有癲癇發作,且發作頻率和發作程度均較術前明顯減輕。所有患者術后均能正常學習和生活。
3 討論
顳葉癲癇占藥物難治性癲癇的 60%~80%,其中 60%~90% 可通過手術治療[2]。海馬硬化是難治性顳葉癲癇最常見的病理學類型,典型可見海馬結構的神經細胞脫失和膠質細胞增生,其病理特征主要是 CA1、CA3 區和齒狀回顆粒細胞層神經元丟失和膠質細胞增生,CA1 區最敏感,而 CA2 區一般不受累[3]。統計顯示海馬硬化占顳葉癲癇手術病例的 60%~80% 以上,其中 90% 的患者可以通過前顳葉切除術達到良好的療效[4]。
顳葉癲癇有其特征性臨床表現[5]:① 癲癇發作的起始和結束均較緩慢,持續時間常>1 min;② 常常有植物神經或精神先兆,發作時常表現為行動停頓、凝視、口消化道自動癥等;③ 與額葉癲癇的突發突止和過度運動自動癥形成鮮明對比,對致癇灶的定位有較大參考價值。本組 10 例患者發作前有先兆表現,如頭痛、頭暈或胃內有氣體上升感,強烈提示致癇灶位于顳葉。
常規 MRI 檢查難治性顳葉癲癇患者通常應用的掃描序列包括 T1WI、T2WI、FLAIR 和 3D 容積采集序列[6]。在診斷海馬硬化方面,FLAIR 序列較 T2WI 更為準確,主要是由于 FLAIR 序列影像可獲得比 T2WI 更重的 T2 加權像,同時抑制了海馬周圍的腦脊液信號,提高了海馬與周圍信號的對比,易于顯示海馬硬化信號的增高,因此結合 T2WI 序列能夠提高海馬硬化診斷的敏感性和準確性[7]。
海馬硬化 MRI 診斷標準包括:T1WI 顯示海馬體積縮小、側腦室顳角擴大、海馬區 T2WI 高信號以及 FLAIR 序列高信號。海馬硬化最常見的 MRI 表現是海馬萎縮和 T2WI 海馬信號增高,目前已經證實海馬的體積可反映神經元的數量,因此海馬萎縮是神經元丟失在 MRI 的反映。其他研究也表明[8],海馬體積縮小、T2WI 信號彌漫性增高是海馬硬化萎縮的直接征象,與病變嚴重程度、致癇灶在顳葉的部位有關;前顳葉萎縮和顳角、環池增寬是海馬硬化的輔助征象。海馬頭部淺溝消失也是診斷海馬硬化的一個可靠征象,有報道稱海馬頭部淺溝消失對海馬硬化診斷的敏感度為 88.9%,特異度為 100%,結合患側海馬有萎縮性改變和 T2WI 信號增高,可肯定海馬硬化的診斷[9]。
磁共振波譜(Magnetic resonance spectroscopy,MRS)是近年來應用于癲癇定位診斷的新技術,在中樞神經系統主要測定 NAA、Cho 和 Cr 三種化學成分。NAA 反映神經元數量,Cr 和 Cho 則主要反映膠質細胞數量。海馬硬化主要病理改變為海馬神經元細胞減少伴不同程度膠質增生。故其主要 MRS 表現為 NAA 峰降低和 Cr、Cho 峰升高[10]。目前國內外均以 NAA/(Cr+Cho) 值作為診斷標準,因 NAA/(Cr+Cho) 正常值國內尚無統一標準,一般將對照組 NAA/(Cr+Cho) 平均值下限 (0.68) 作為病變組 NAA/(Cr +Cho) 值降低的診斷標準,將雙側 NAA/(Cr+Cho) 差值>10% 作為判斷病變組 NAA/(Cr+Cho) 值降低嚴重側的診斷標準[11]。本組 42 例患者行 MRI 檢查時除了進行常規的 T1WI 和 T2WI 序列掃描外,另外加行 FLAIR 序列掃描和 MRS,均診斷為海馬硬化,其中左側海馬硬化 16 例,右側海馬硬化 26 例。
如果 MRI 提示有一側海馬硬化,同時 VEEG 又發現有同側顳葉癇樣放電,則強烈提示該側顳葉為致癇灶,若在顯微鏡下行該側前顳葉切除,就能使癲癇發作得到滿意控制。本組 42 例患者行 MRI 均診斷為海馬硬化,同時 24h VEEG 監測也提示放電在海馬硬化的同側顳葉,故我們對這組患者行前顳葉切除術(包括大部分海馬和杏仁核),術中皮層電極和深部電極腦電圖監測也證實異常放電的存在,術后病理也提示為海馬硬化,術后隨訪 1 年以上,結果發現 38 例癲癇發作完全消失,4 例術后較術前顯著改善,手術療效滿意。這與國內外的研究基本類似,但遠期效果尚待進一步觀察。高翔等[12]對 15 例顳葉癲癇并考慮海馬硬化的病例實施選擇性海馬杏仁核切除,結果全部病例術中在皮質 EEG 及深部 EEG 均發現顳葉內側癇樣放電,手術切除硬化海馬后癲癇得到有效控制,術后患者神經心理檢查正常。段寶奇等[13]對 26 例海馬硬化型顳葉癲癇患者術后的癲癇發作和韋氏智力量表進行回顧性分析,結果在 26 例患者中 EngelⅠ級 20 例,Ⅱ級 4 例,Ⅲ級 2 例,且總智商和操作智商均優于術前,而 EngelⅠ級的患者的總智商、操作智商和言語智商優于其他患者,提示手術治療海馬硬化型顳葉癲癇有助于控制癲癇發作和改善認知功能。錢海燕等[14]采用 Meta 分析比較了前顳葉切除和選擇性海馬杏仁核切除治療海馬硬化性顳葉內側癲癇療效,其中行前顳葉切除 200 例,術后 Engle I 級者 156 例;選擇性海馬杏仁核 299 例,術后 Engle I 級者 222 例,提示前顳葉切除和選擇性海馬杏仁核切除在治療海馬硬化性顳葉內側癲癇療效相近。董芳艷等[15]對 13 例內側顳葉海馬癲癇患者實施了前顳葉、海馬、杏仁核切除手術,在最長 2 年的隨訪期內,顯效 10 例,好轉 3 例,提示只要海馬硬化型顳葉癲癇選擇病例恰當、診斷明確就可以實施標準前顳葉、海馬、杏仁核切除術,這是目前治療顳葉內側癲癇的理想選擇。
總之,對于存在海馬硬化的顳葉癲癇患者,如果同時 EEG 又發現有同側顳葉癇樣放電,則可以考慮行該側前顳葉切除術(包括大部分海馬和杏仁核),手術必須在術中皮層電極和深部電極 EEG 監測下進行,且術后療效也較滿意,因此值得積極穩妥的開展。