引用本文: 謝玲俐, 龔勝蘭, 蒲銀, 楊曉婭, 毛輝. 表現為進展性纖維化性間質性肺疾病的過敏性肺炎一例并文獻復習. 中國呼吸與危重監護雜志, 2021, 20(3): 177-182. doi: 10.7507/1671-6205.202008028 復制
過敏性肺炎(HP)是肺實質對吸入變應原產生復雜的免疫反應。炎癥不僅累及肺泡,也累及細支氣管。已報道有超過 200 種變應原可引起過敏性肺炎[1]。變應原廣泛存在于患者的工作、生活環境[1],辨別難度非常大,多數患者變應原不清。由于變應原暴露和疾病發生關系時常難以辨別,患者的臨床表現、影像學改變缺乏特異性,加之臨床醫生對本病認識不足,很容易漏診、誤診。若能早期診斷,及時脫離變應原或進行相關治療,可顯著改善患者預后。現就本院診斷的一例過敏性肺炎患者的臨床特征及診治過程進行分析,結合文獻復習,總結過敏性肺炎的臨床特點,加強臨床醫生對本病的認識,以期早期診斷,改善患者預后。
1 臨床資料
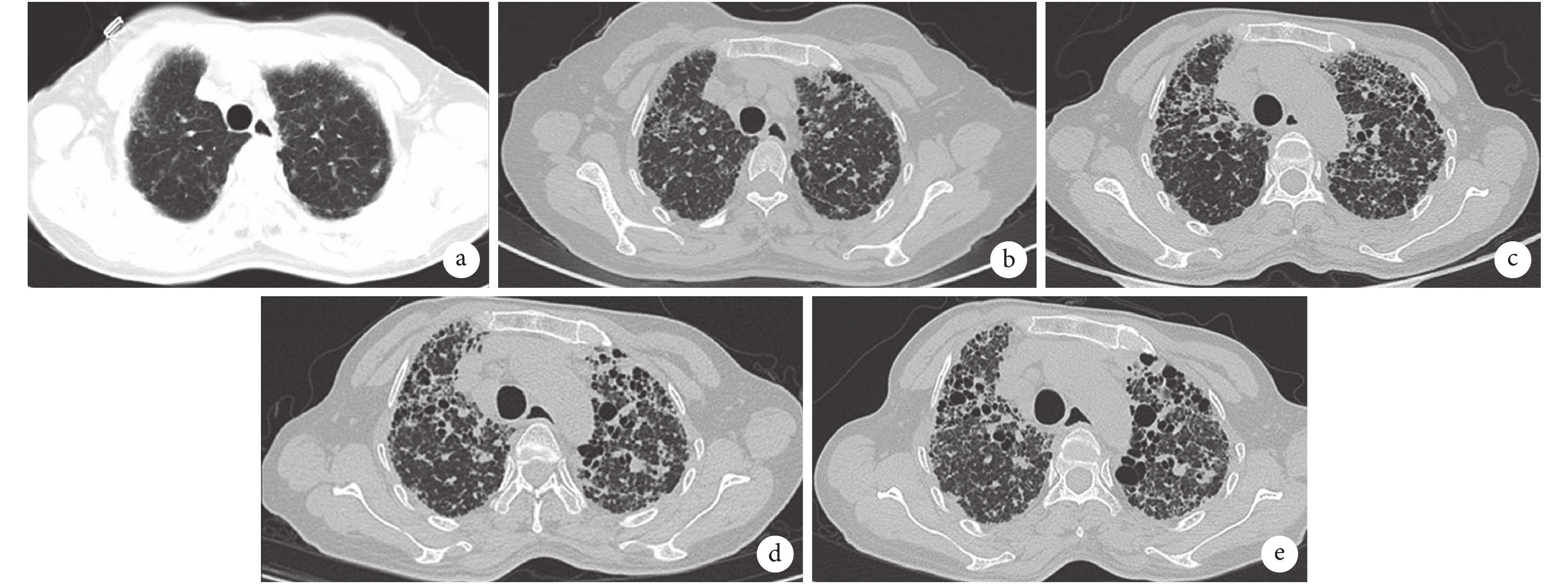
患者女,45 歲,個體經營者,因“咳嗽、咳痰 9 年,呼吸困難 6 個月余”于 2019 年 3 月 19 日入院。9 年前,患者無明顯誘因出現咳嗽,咯白色泡沫痰,我院行胸部 CT(圖 1a)示:雙肺間質性改變;散在慢性感染灶。未重視。2012 年外院肺功能示:限制性通氣功能障礙伴彌散功能減低。胸部高分辨率 CT(HRCT)示:雙肺支氣管血管束略亂,可見磨玻璃結節影及細網狀改變,以胸膜下為著。縱隔見多發淋巴結。行纖維支氣管鏡(簡稱纖支鏡)檢查,支氣管肺泡灌洗液(BALF)送檢示:細胞總數 6.6×106個,吞噬細胞 61%,淋巴細胞 39%,其中 T 細胞 88.7%,T 輔助淋巴細胞 53.4%,T 抑制淋巴細胞 29.6%,CD4+/CD8+ 比值 1.8。右下肺穿刺活檢示:少許支氣管黏膜及肺組織慢性炎癥。診斷“肺間質病”。其后曾口服強的松、中藥等,癥狀逐漸加重。6 個月余前因咳嗽加重,出現活動后呼吸困難,伴發熱,于美國某醫院予以硫唑嘌呤 50 mg 口服,1 次/d,服用 45 d 后患者自覺前述癥狀未見明顯緩解,同時出現脫發、納差而停藥,就診于我院急診科,查血常規:血紅蛋白 92 g/L,血小板計數 12×109/L,白細胞計數 1.98 ×109/L,給予頭孢曲松抗感染、升白細胞、輸注血小板等對癥治療后,病情稍緩解。患者為進一步明確診斷,遂于我科住院診治。患者否認結核、肝炎等傳染病史、手術外傷史、過敏史,家庭居住環境正常,否認飼養花草、寵物、毒物接觸史。職業為個體經營者,在南非經營一家超市,主要接觸物質為日用百貨、蔬菜等,時長約 5 年。

a. 2010-08-25,雙肺間質性改變,散在慢性感染灶;b. 2016-10-08,雙肺間質性改變,散在磨玻璃影和網格狀改變;c. 2019-03-19,雙肺間質性肺炎伴散在感染灶,胸膜粘連,蜂窩肺明顯;d. 2019-06-13,雙肺磨玻璃影、網格狀影較前無明顯改變;e. 2019-09-27,蜂窩肺。
入院查體:消瘦,胸廓對稱,呼吸急促,呼吸 28 次/min,雙肺叩診清音,雙肺底可聞及濕羅音,心腹查體未見異常。雙下肢不腫。可見杵狀指(趾)。
完善實驗室檢查:血氣分析(吸氧濃度 33%):pH 7.433,PaO2 106.4 mm Hg(1 mm Hg=0.133 kPa),PaCO2 41.6 mm Hg。血沉 111.0 mm/1 h。血常規、降鈣素原、肝腎功能、電解質、凝血功能常規、尿鈉素、心肌標志物、輸血前全套、腫瘤標志物、甲功、糖化血紅蛋白、尿常規、大便常規未見明顯異常。感染相關指標:肺炎支原體抗體 IgG 70.42 RU/mL(參考值<20 RU/mL),肺炎衣原體 IgG 53.63 RU/mL(參考值<20 RU/mL);EBV-DNA、CMV-DNA、TORCH-IgM、痰涂片、痰培養、G 試驗、GM 試驗未見明顯異常。免疫相關指標:外周血 T 細胞亞群:CD3+ 細胞亞群 42.40%,CD4+ 細胞亞群 29.00%,CD8+ 細胞亞群 11.50%,CD4+/CD8+ 比值 2.52(參考值 0.97~2.31);抗核抗體譜:抗核抗體(ANA)+1∶100(斑點型);免疫全套、抗 CCP 抗體、抗角蛋白抗體、ANCA、冷凝集素試驗未見明顯異常。胸部 CT 示:雙肺間質性肺炎伴散在感染灶,部分區域呈蜂窩肺樣改變,胸膜粘連;肺門及縱隔淋巴結部分增大(圖 1c)。肺功能示:極重度限制性通氣功能障礙,中度肺氣腫,通氣儲備功能重度下降,過度通氣,肺通氣功能極重度受損。患者配合欠佳,彌散功能無法檢測。經支氣管鏡冷凍肺活檢(TBLC)病理示:細支氣管擴張伴黏液栓形成,其周見較多細支氣管化生;肺組織結構破壞,間質增寬伴淋巴細胞浸潤及聚集,腔內見少量嗜酸性粒細胞及中性粒細胞浸潤;目前未見肉芽腫,未見纖維母細胞灶(圖 2)。免疫組織化學示:P63(基底細胞+)、CK5/6(上皮+)、WT-1(間皮+)、D2-40(間皮+)。綜上,傾向慢性過敏性肺泡炎。綜上,明確診斷過敏性肺炎,給予強的松 30 mg/次,1 次/d,此后門診隨訪。2019 年 6 月 13 日(服用強的松 3 個月余),患者自覺咳嗽、呼吸困難癥狀加重,復查胸部 CT 提示雙肺磨玻璃影、網格狀影較前無明顯改善(圖 1d),遂建議強的松逐漸減量至停用,其后給予吡非尼酮 100 mg/次,3 次/d,逐漸加量至 300 mg/次,3 次/d,服用 2 個月余,患者呼吸困難癥狀仍未見好轉,自行停用吡非尼酮。建議行肺移植,患者及家屬拒絕。規律隨訪 6 個月,現失訪。

a. ×25;b. ×40;c. ×200;d. ×400。示間質增寬伴淋巴細胞浸潤及聚集。
2 文獻復習
以“過敏性肺炎、過敏性肺泡炎、慢性過敏性肺炎”檢索中國知網、萬方數據庫 2000 年 1 月至 2020 年 5 月的中文文獻,共檢索到 282 篇文獻,其中病例報道 69 篇,涉及病例 87 例。搜集其人口學特征及臨床特征,包括男 39 例(44.82%),女 48 例(55.18%),平均年齡(47.0±18.4)歲。70 例(80.46%)有明確變應原,85 例(97.70%)有影像學資料,19 例(21.84%)行活檢。明確的變應原包括鴿 23 例,鳥 1 例,雞或鴨 2 例,寵物 1 例,羊毛衫加工 2 例,皮毛加工 1 例,蘑菇 4 例,發霉的玉米秸稈 1 例,油菜花 1 例,中草藥 1 例,裝修或新居 3 例,空調或濕化器 4 例,油漆 2 例,塑料瓶蓋加工 1 例,水泥加工 2 例,機械加工 1 例,硅膠 1 例,倉庫 1 例,高溫溶解鋁粉 1 例,爆炸藥煙霧 1 例,精液 1 例,胺碘酮、紅霉素各 2 例,羅紅霉素、氨芐西林、呋喃妥因、左氧氟沙星、克咳膠囊、別嘌醇、吲達帕胺、依巴斯汀、來氟米特各 1 例,狂犬疫苗 1 例,百蟲靈 1 例。37 例有 BALF 資料,其中,6 例(6.89%)未記錄淋巴細胞百分比,1 例(1.15%)淋巴細胞百分比<20%,3 例(3.45%)淋巴細胞百分比介于 20%~39%,17 例(19.54%)淋巴細胞百分比≥40%。以 2020 年 ATS 成人過敏性肺炎診斷臨床實踐指南[2]為參考,經由 3 名研究者根據指南確立診斷分型、分級,意見分歧時由小組討論決定,結果詳見表 1。治療及預后方面,4 例(4.60%)通過脫離變應原獲得緩解;76 例(87.36%)接受糖皮質激素治療,其中 62 例(71.27%)獲得緩解,13 例(14.94%)好轉,1 例(1.15%)死亡;6 例(6.89%)接受抗過敏治療并均緩解;1 例(1.15%)未記錄治療及預后。

3 討論
過敏性肺炎是易感人群反復吸入具有抗原性的有機粉塵或化學物質,引起肺部的變態反應性炎癥反應。通常,接觸不耐受的變應原 4~12 h 后,過敏性肺炎患者可出現發熱、寒戰、干咳、呼吸困難、全身不適等癥狀,數小時內緩解。及時發現致病變應原,停止吸入,可自行痊愈。長期反復吸入不耐受的變應原會導致肺部出現明顯的結構受損,影響肺功能,患者表現為進行性呼吸困難、干咳、乏力、體重減輕[3]。本例患者病程長達 9 年,以干咳為主要表現,胸部影像學提示起病初期以結節、磨玻璃及斑片為主,隨著病情進展,部分區域呈蜂窩肺改變。由于患者在國內居家期間發病,其本人無特殊不良嗜好,也未飼養寵物,整個病程中未發現確切的變應原物質。
過敏性肺炎患者典型 HRCT 表現為以中上肺為主的彌漫小葉中心結節、斑片影或磨玻璃影、馬賽克征[4]。典型病理改變為三聯征,即以支氣管為中心的淋巴細胞性間質性肺炎、細支氣管炎、形成不良的肉芽腫[5]。BALF 中可見淋巴細胞比例升高[6]。若未及時脫離變應原,疾病緩慢進展,HRCT 表現常為明顯的纖維化,呈斑片狀或圍繞支氣管血管,常伴有牽拉性支氣管擴張,可有蜂窩肺改變、小葉間隔增厚等表現[7-8]。典型病理學改變為以氣道為中心的間質纖維化及形成不良的非壞死性肉芽腫,可伴有細支氣管周圍化生、機化性肺炎等表現[9]。本例患者 BALF 淋巴細胞比例高達 39%,TBLC 肺組織病理提示細支氣管周圍化生、間質增寬伴淋巴細胞浸潤,未見肉芽腫及纖維母細胞灶,與文獻報道基本一致。Salisbury 等[10]和 Wang 等[11]的研究表明影像學出現蜂窩肺、網格狀改變及牽拉性支氣管擴張與過敏性肺炎患者的生存期縮短相關。這能解釋本例患者在確診后接受糖皮質激素抗炎治療及吡非尼酮抗纖維化治療后反應差,病情仍然進展。
過敏性肺炎的診斷主要參考 2020 年 ATS 成人過敏性肺炎診斷臨床實踐指南[2],指南建議對于新發不明原因的間質性肺病患者,HRCT 改變、變應原接觸史、BALF 淋巴細胞比例分析、肺組織病理學改變在診斷中起關鍵作用。該指南將過敏性肺炎分為非纖維化型、纖維化型兩種類型,分為確診、很可能診斷、可能診斷、低度可能診斷及不排除診斷五種級別。變應原的搜集對診斷意義重大,但多數患者無法追蹤到變應原[12]。此外,目前尚無適用于所有區域的標準化問卷,Delphi 暴露評估工具可作為參考[4]。本例患者未發現確切的變應原,根據該指南,其符合纖維化型過敏性肺炎(很可能)診斷。
獲取肺組織的方法有外科肺活檢、經纖支鏡肺活檢(TBLB)和 TBLC。對于影像學改變提示非纖維化型的患者,建議選擇 TBLB;對于懷疑纖維化型的患者,建議選擇 TBLC[2];外科肺活檢常在其他相關檢查完善后仍不能確診時考慮[13]。本例患者就診時肺纖維化明顯,因此選擇 TBLC 獲取病理學證據。
急性發作的過敏性肺炎需注意與病毒或細菌感染、有機粉塵中毒綜合征等鑒別,主要依據影像學改變、肺功能改變來鑒別[14];病情逐步進展但纖維化改變不明顯時需與肉芽腫性疾病如結節病、肺結核等鑒別;晚期臨床表現及影像學表現與特發性肺纖維化(IPF)類似,甚至組織病理學也可表現為尋常性間質性肺炎或非特異性間質性肺炎模式[2],鑒別困難。但仍需要盡可能的追蹤變應原,必要時可考慮行抗原吸入刺激試驗等鑒別[15]。
過敏性肺炎治療的關鍵是脫離變應原,但由于識別變應原難度大,常需藥物輔助治療,主要藥物包括糖皮質激素、免疫抑制劑、抗纖維化藥物等。全身用糖皮質激素的有效性尚未得到證實,但仍然是臨床治療的主要藥物,用藥方案暫無國際統一的標準,一般以 0.5~1.0 mg·kg–·d–1起始(不超過 60 mg/d),病情穩定后逐漸減量,維持數月甚至數年[16]。是否使用免疫抑制劑尚存爭議。臨床上可選用硫唑嘌呤作為進展期的輔助用藥[17-18],劑量通常為 2 mg·kg–1·d–1(不超過 150 mg/d);硫唑嘌呤不耐受時可考慮使用霉酚酸酯[16, 19]。對于進展性纖維化的過敏性肺炎患者,可考慮使用抗纖維化藥物尼達尼布和吡非尼酮[20-21]。本例患者確診前曾短時間使用糖皮質激素治療,療效不肯定,自行停藥;診治過程中曾加用硫唑嘌呤,由于出現嚴重的血小板減少等不良反應,未能堅持使用;確診后給予足量糖皮質激素治療 3 個月,病情仍呈漸進進展。文獻報道進展性慢性過敏性肺炎可行肺移植,相較 IPF 而言,慢性過敏性肺炎患者具有更低的死亡風險及更高的移植后中期存活率[22]。
過敏性肺炎早期若未及時診治,預后通常較差,主要與能否避免接觸變應原[23]及是否已有纖維化改變[11, 24-25]相關。既往曾根據病程長短,以 24 周為界,將過敏性肺炎分為急性、慢性過敏性肺炎。Ojanguren 等[26]研究顯示慢性過敏性肺炎的 5 年死亡率為 31.5%。Fernandez 等[12]研究顯示無明確變應原的慢性過敏性肺炎患者平均生存期為 4.88 年,有明確變應原的患者的平均生存期為 8.75 年。Sahin 等[27]研究報道合并纖維化性改變的患者 5 年死亡率為 61%。其他與預后不良相關的因素包括老齡、肺一氧化碳彌散量降低、BALF 淋巴細胞比例低、尋常性間質性肺炎樣病理改變等。本例患者影像學提示肺內合并纖維化性改變,無法追蹤變應原,根據文獻報道,預計預后不佳。
綜上,過敏性肺炎系少見病,由于急性發作時患者癥狀多自行緩解而較少就診,但若患者反復接觸變應原,疾病逐漸進展,至肺內出現纖維化改變時,臨床醫生易根據 HRCT 改變誤診為 IPF。在臨床工作中,如遇不明原因的、病變僅局限于肺部的彌漫間質性肺炎患者,條件允許情況下,應盡早行經纖支鏡肺泡灌洗以及冷凍肺活檢,這是早期明確診斷的可行手段,以期改善預后。肺內已經出現纖維化改變的長病程過敏性肺炎患者對糖皮質激素等經典治療反應欠佳,多數預后差。
利益沖突:本研究不涉及任何利益沖突。
過敏性肺炎(HP)是肺實質對吸入變應原產生復雜的免疫反應。炎癥不僅累及肺泡,也累及細支氣管。已報道有超過 200 種變應原可引起過敏性肺炎[1]。變應原廣泛存在于患者的工作、生活環境[1],辨別難度非常大,多數患者變應原不清。由于變應原暴露和疾病發生關系時常難以辨別,患者的臨床表現、影像學改變缺乏特異性,加之臨床醫生對本病認識不足,很容易漏診、誤診。若能早期診斷,及時脫離變應原或進行相關治療,可顯著改善患者預后。現就本院診斷的一例過敏性肺炎患者的臨床特征及診治過程進行分析,結合文獻復習,總結過敏性肺炎的臨床特點,加強臨床醫生對本病的認識,以期早期診斷,改善患者預后。
1 臨床資料
患者女,45 歲,個體經營者,因“咳嗽、咳痰 9 年,呼吸困難 6 個月余”于 2019 年 3 月 19 日入院。9 年前,患者無明顯誘因出現咳嗽,咯白色泡沫痰,我院行胸部 CT(圖 1a)示:雙肺間質性改變;散在慢性感染灶。未重視。2012 年外院肺功能示:限制性通氣功能障礙伴彌散功能減低。胸部高分辨率 CT(HRCT)示:雙肺支氣管血管束略亂,可見磨玻璃結節影及細網狀改變,以胸膜下為著。縱隔見多發淋巴結。行纖維支氣管鏡(簡稱纖支鏡)檢查,支氣管肺泡灌洗液(BALF)送檢示:細胞總數 6.6×106個,吞噬細胞 61%,淋巴細胞 39%,其中 T 細胞 88.7%,T 輔助淋巴細胞 53.4%,T 抑制淋巴細胞 29.6%,CD4+/CD8+ 比值 1.8。右下肺穿刺活檢示:少許支氣管黏膜及肺組織慢性炎癥。診斷“肺間質病”。其后曾口服強的松、中藥等,癥狀逐漸加重。6 個月余前因咳嗽加重,出現活動后呼吸困難,伴發熱,于美國某醫院予以硫唑嘌呤 50 mg 口服,1 次/d,服用 45 d 后患者自覺前述癥狀未見明顯緩解,同時出現脫發、納差而停藥,就診于我院急診科,查血常規:血紅蛋白 92 g/L,血小板計數 12×109/L,白細胞計數 1.98 ×109/L,給予頭孢曲松抗感染、升白細胞、輸注血小板等對癥治療后,病情稍緩解。患者為進一步明確診斷,遂于我科住院診治。患者否認結核、肝炎等傳染病史、手術外傷史、過敏史,家庭居住環境正常,否認飼養花草、寵物、毒物接觸史。職業為個體經營者,在南非經營一家超市,主要接觸物質為日用百貨、蔬菜等,時長約 5 年。

a. 2010-08-25,雙肺間質性改變,散在慢性感染灶;b. 2016-10-08,雙肺間質性改變,散在磨玻璃影和網格狀改變;c. 2019-03-19,雙肺間質性肺炎伴散在感染灶,胸膜粘連,蜂窩肺明顯;d. 2019-06-13,雙肺磨玻璃影、網格狀影較前無明顯改變;e. 2019-09-27,蜂窩肺。
入院查體:消瘦,胸廓對稱,呼吸急促,呼吸 28 次/min,雙肺叩診清音,雙肺底可聞及濕羅音,心腹查體未見異常。雙下肢不腫。可見杵狀指(趾)。
完善實驗室檢查:血氣分析(吸氧濃度 33%):pH 7.433,PaO2 106.4 mm Hg(1 mm Hg=0.133 kPa),PaCO2 41.6 mm Hg。血沉 111.0 mm/1 h。血常規、降鈣素原、肝腎功能、電解質、凝血功能常規、尿鈉素、心肌標志物、輸血前全套、腫瘤標志物、甲功、糖化血紅蛋白、尿常規、大便常規未見明顯異常。感染相關指標:肺炎支原體抗體 IgG 70.42 RU/mL(參考值<20 RU/mL),肺炎衣原體 IgG 53.63 RU/mL(參考值<20 RU/mL);EBV-DNA、CMV-DNA、TORCH-IgM、痰涂片、痰培養、G 試驗、GM 試驗未見明顯異常。免疫相關指標:外周血 T 細胞亞群:CD3+ 細胞亞群 42.40%,CD4+ 細胞亞群 29.00%,CD8+ 細胞亞群 11.50%,CD4+/CD8+ 比值 2.52(參考值 0.97~2.31);抗核抗體譜:抗核抗體(ANA)+1∶100(斑點型);免疫全套、抗 CCP 抗體、抗角蛋白抗體、ANCA、冷凝集素試驗未見明顯異常。胸部 CT 示:雙肺間質性肺炎伴散在感染灶,部分區域呈蜂窩肺樣改變,胸膜粘連;肺門及縱隔淋巴結部分增大(圖 1c)。肺功能示:極重度限制性通氣功能障礙,中度肺氣腫,通氣儲備功能重度下降,過度通氣,肺通氣功能極重度受損。患者配合欠佳,彌散功能無法檢測。經支氣管鏡冷凍肺活檢(TBLC)病理示:細支氣管擴張伴黏液栓形成,其周見較多細支氣管化生;肺組織結構破壞,間質增寬伴淋巴細胞浸潤及聚集,腔內見少量嗜酸性粒細胞及中性粒細胞浸潤;目前未見肉芽腫,未見纖維母細胞灶(圖 2)。免疫組織化學示:P63(基底細胞+)、CK5/6(上皮+)、WT-1(間皮+)、D2-40(間皮+)。綜上,傾向慢性過敏性肺泡炎。綜上,明確診斷過敏性肺炎,給予強的松 30 mg/次,1 次/d,此后門診隨訪。2019 年 6 月 13 日(服用強的松 3 個月余),患者自覺咳嗽、呼吸困難癥狀加重,復查胸部 CT 提示雙肺磨玻璃影、網格狀影較前無明顯改善(圖 1d),遂建議強的松逐漸減量至停用,其后給予吡非尼酮 100 mg/次,3 次/d,逐漸加量至 300 mg/次,3 次/d,服用 2 個月余,患者呼吸困難癥狀仍未見好轉,自行停用吡非尼酮。建議行肺移植,患者及家屬拒絕。規律隨訪 6 個月,現失訪。

a. ×25;b. ×40;c. ×200;d. ×400。示間質增寬伴淋巴細胞浸潤及聚集。
2 文獻復習
以“過敏性肺炎、過敏性肺泡炎、慢性過敏性肺炎”檢索中國知網、萬方數據庫 2000 年 1 月至 2020 年 5 月的中文文獻,共檢索到 282 篇文獻,其中病例報道 69 篇,涉及病例 87 例。搜集其人口學特征及臨床特征,包括男 39 例(44.82%),女 48 例(55.18%),平均年齡(47.0±18.4)歲。70 例(80.46%)有明確變應原,85 例(97.70%)有影像學資料,19 例(21.84%)行活檢。明確的變應原包括鴿 23 例,鳥 1 例,雞或鴨 2 例,寵物 1 例,羊毛衫加工 2 例,皮毛加工 1 例,蘑菇 4 例,發霉的玉米秸稈 1 例,油菜花 1 例,中草藥 1 例,裝修或新居 3 例,空調或濕化器 4 例,油漆 2 例,塑料瓶蓋加工 1 例,水泥加工 2 例,機械加工 1 例,硅膠 1 例,倉庫 1 例,高溫溶解鋁粉 1 例,爆炸藥煙霧 1 例,精液 1 例,胺碘酮、紅霉素各 2 例,羅紅霉素、氨芐西林、呋喃妥因、左氧氟沙星、克咳膠囊、別嘌醇、吲達帕胺、依巴斯汀、來氟米特各 1 例,狂犬疫苗 1 例,百蟲靈 1 例。37 例有 BALF 資料,其中,6 例(6.89%)未記錄淋巴細胞百分比,1 例(1.15%)淋巴細胞百分比<20%,3 例(3.45%)淋巴細胞百分比介于 20%~39%,17 例(19.54%)淋巴細胞百分比≥40%。以 2020 年 ATS 成人過敏性肺炎診斷臨床實踐指南[2]為參考,經由 3 名研究者根據指南確立診斷分型、分級,意見分歧時由小組討論決定,結果詳見表 1。治療及預后方面,4 例(4.60%)通過脫離變應原獲得緩解;76 例(87.36%)接受糖皮質激素治療,其中 62 例(71.27%)獲得緩解,13 例(14.94%)好轉,1 例(1.15%)死亡;6 例(6.89%)接受抗過敏治療并均緩解;1 例(1.15%)未記錄治療及預后。

3 討論
過敏性肺炎是易感人群反復吸入具有抗原性的有機粉塵或化學物質,引起肺部的變態反應性炎癥反應。通常,接觸不耐受的變應原 4~12 h 后,過敏性肺炎患者可出現發熱、寒戰、干咳、呼吸困難、全身不適等癥狀,數小時內緩解。及時發現致病變應原,停止吸入,可自行痊愈。長期反復吸入不耐受的變應原會導致肺部出現明顯的結構受損,影響肺功能,患者表現為進行性呼吸困難、干咳、乏力、體重減輕[3]。本例患者病程長達 9 年,以干咳為主要表現,胸部影像學提示起病初期以結節、磨玻璃及斑片為主,隨著病情進展,部分區域呈蜂窩肺改變。由于患者在國內居家期間發病,其本人無特殊不良嗜好,也未飼養寵物,整個病程中未發現確切的變應原物質。
過敏性肺炎患者典型 HRCT 表現為以中上肺為主的彌漫小葉中心結節、斑片影或磨玻璃影、馬賽克征[4]。典型病理改變為三聯征,即以支氣管為中心的淋巴細胞性間質性肺炎、細支氣管炎、形成不良的肉芽腫[5]。BALF 中可見淋巴細胞比例升高[6]。若未及時脫離變應原,疾病緩慢進展,HRCT 表現常為明顯的纖維化,呈斑片狀或圍繞支氣管血管,常伴有牽拉性支氣管擴張,可有蜂窩肺改變、小葉間隔增厚等表現[7-8]。典型病理學改變為以氣道為中心的間質纖維化及形成不良的非壞死性肉芽腫,可伴有細支氣管周圍化生、機化性肺炎等表現[9]。本例患者 BALF 淋巴細胞比例高達 39%,TBLC 肺組織病理提示細支氣管周圍化生、間質增寬伴淋巴細胞浸潤,未見肉芽腫及纖維母細胞灶,與文獻報道基本一致。Salisbury 等[10]和 Wang 等[11]的研究表明影像學出現蜂窩肺、網格狀改變及牽拉性支氣管擴張與過敏性肺炎患者的生存期縮短相關。這能解釋本例患者在確診后接受糖皮質激素抗炎治療及吡非尼酮抗纖維化治療后反應差,病情仍然進展。
過敏性肺炎的診斷主要參考 2020 年 ATS 成人過敏性肺炎診斷臨床實踐指南[2],指南建議對于新發不明原因的間質性肺病患者,HRCT 改變、變應原接觸史、BALF 淋巴細胞比例分析、肺組織病理學改變在診斷中起關鍵作用。該指南將過敏性肺炎分為非纖維化型、纖維化型兩種類型,分為確診、很可能診斷、可能診斷、低度可能診斷及不排除診斷五種級別。變應原的搜集對診斷意義重大,但多數患者無法追蹤到變應原[12]。此外,目前尚無適用于所有區域的標準化問卷,Delphi 暴露評估工具可作為參考[4]。本例患者未發現確切的變應原,根據該指南,其符合纖維化型過敏性肺炎(很可能)診斷。
獲取肺組織的方法有外科肺活檢、經纖支鏡肺活檢(TBLB)和 TBLC。對于影像學改變提示非纖維化型的患者,建議選擇 TBLB;對于懷疑纖維化型的患者,建議選擇 TBLC[2];外科肺活檢常在其他相關檢查完善后仍不能確診時考慮[13]。本例患者就診時肺纖維化明顯,因此選擇 TBLC 獲取病理學證據。
急性發作的過敏性肺炎需注意與病毒或細菌感染、有機粉塵中毒綜合征等鑒別,主要依據影像學改變、肺功能改變來鑒別[14];病情逐步進展但纖維化改變不明顯時需與肉芽腫性疾病如結節病、肺結核等鑒別;晚期臨床表現及影像學表現與特發性肺纖維化(IPF)類似,甚至組織病理學也可表現為尋常性間質性肺炎或非特異性間質性肺炎模式[2],鑒別困難。但仍需要盡可能的追蹤變應原,必要時可考慮行抗原吸入刺激試驗等鑒別[15]。
過敏性肺炎治療的關鍵是脫離變應原,但由于識別變應原難度大,常需藥物輔助治療,主要藥物包括糖皮質激素、免疫抑制劑、抗纖維化藥物等。全身用糖皮質激素的有效性尚未得到證實,但仍然是臨床治療的主要藥物,用藥方案暫無國際統一的標準,一般以 0.5~1.0 mg·kg–·d–1起始(不超過 60 mg/d),病情穩定后逐漸減量,維持數月甚至數年[16]。是否使用免疫抑制劑尚存爭議。臨床上可選用硫唑嘌呤作為進展期的輔助用藥[17-18],劑量通常為 2 mg·kg–1·d–1(不超過 150 mg/d);硫唑嘌呤不耐受時可考慮使用霉酚酸酯[16, 19]。對于進展性纖維化的過敏性肺炎患者,可考慮使用抗纖維化藥物尼達尼布和吡非尼酮[20-21]。本例患者確診前曾短時間使用糖皮質激素治療,療效不肯定,自行停藥;診治過程中曾加用硫唑嘌呤,由于出現嚴重的血小板減少等不良反應,未能堅持使用;確診后給予足量糖皮質激素治療 3 個月,病情仍呈漸進進展。文獻報道進展性慢性過敏性肺炎可行肺移植,相較 IPF 而言,慢性過敏性肺炎患者具有更低的死亡風險及更高的移植后中期存活率[22]。
過敏性肺炎早期若未及時診治,預后通常較差,主要與能否避免接觸變應原[23]及是否已有纖維化改變[11, 24-25]相關。既往曾根據病程長短,以 24 周為界,將過敏性肺炎分為急性、慢性過敏性肺炎。Ojanguren 等[26]研究顯示慢性過敏性肺炎的 5 年死亡率為 31.5%。Fernandez 等[12]研究顯示無明確變應原的慢性過敏性肺炎患者平均生存期為 4.88 年,有明確變應原的患者的平均生存期為 8.75 年。Sahin 等[27]研究報道合并纖維化性改變的患者 5 年死亡率為 61%。其他與預后不良相關的因素包括老齡、肺一氧化碳彌散量降低、BALF 淋巴細胞比例低、尋常性間質性肺炎樣病理改變等。本例患者影像學提示肺內合并纖維化性改變,無法追蹤變應原,根據文獻報道,預計預后不佳。
綜上,過敏性肺炎系少見病,由于急性發作時患者癥狀多自行緩解而較少就診,但若患者反復接觸變應原,疾病逐漸進展,至肺內出現纖維化改變時,臨床醫生易根據 HRCT 改變誤診為 IPF。在臨床工作中,如遇不明原因的、病變僅局限于肺部的彌漫間質性肺炎患者,條件允許情況下,應盡早行經纖支鏡肺泡灌洗以及冷凍肺活檢,這是早期明確診斷的可行手段,以期改善預后。肺內已經出現纖維化改變的長病程過敏性肺炎患者對糖皮質激素等經典治療反應欠佳,多數預后差。
利益沖突:本研究不涉及任何利益沖突。