引用本文: 王欣燕, 黃坤, 康小文, 李兆國, 陽成成, 吳曉梅. 激動素通過抑制纖溶酶原激活物抑制因子1減輕博萊霉素誘導的大鼠肺纖維化. 中國呼吸與危重監護雜志, 2014, 13(1): 44-48. doi: 10.7507/1671-6205.2014011 復制
肺間質纖維化是多種間質性肺疾病的共同結局,皮質激素、免疫抑制劑、細胞毒藥物仍是其主要的治療藥物,但不足30%的患者有治療反應,且不良反應大[1-2],因此尋找新的、效果好、不良反應小的治療肺間質纖維化的藥物一直是呼吸學界的研究熱點。探索治療肺間質纖維化的新藥依賴于對其發病機制的認識,近年研究發現肺纖維化的形成是肺臟損傷與修復反應失衡的結果,其中凝血纖溶系統異常起重要作用,凝血活性增強或纖溶活性降低都可導致纖維蛋白異常沉積和降解抑制,促進肺纖維化形成[3-4]。激動素(Kinetin)是一種植物激素,體外及體內研究證實激動素具有抗凝作用[5],提示激動素可能對肺纖維化有治療作用。我們利用博萊霉素A5(BLM-A5)建立大鼠肺纖維化模型,觀察激動素對肺纖維化的治療效果及可能作用機制,以期尋求一種治療肺纖維化的途徑。
對象與方法
一 材料
實驗動物Wistar大鼠由哈爾濱醫科大學第二臨床醫學院動物中心提供。博萊霉素A5(BLM-A5,哈爾濱博萊制藥有限公司),羥脯氨酸試劑盒(HYP,南京建成生物工程研究所),尿激酶型纖溶酶原激活物(u-PA)、組織型纖溶酶原激活物(t-PA)、纖溶酶原激活物抑制因子1(PAI-1)相關ELISA試劑盒由上海裕平生物科技有限公司提供。
二 方法
1.實驗動物及分組:雌性Wistar大鼠60只,體重170~220 g,隨機分為對照組、模型組和治療組,每組20只。肺纖維化造模方法參考文獻[6]。10%水合氯醛腹腔內注射麻醉后將大鼠仰位固定于操作臺,備皮,無菌條件下縱向剪開頸部皮膚分離肌肉,暴露氣管;模型組與治療組大鼠經穿刺向氣管內注入BLM-A5(5 mg/kg),對照組在相同條件下注入等體積生理鹽水;注藥后立即將動物直立旋轉1~2 min,使藥液在肺內均勻分布;治療組于灌注BLM-A5的第1 d開始腹腔注入0.5%激動素(0.5 mL/100 g),每日1次。
2.檢測指標:各組動物分別于實驗第3、7、14、28 d抽取靜脈血分離血漿行相關檢測,經腹主動脈放血法隨機處死5只,取材測定下述指標。
(1)肺組織勻漿中各項指標檢測:取大鼠右肺用組織勻漿器在冰浴下制成10%勻漿,3000 r/min離心10 min,取上清分別測定HYP、u-PA、t-PA、PAI-1含量,檢測方法按相關試劑盒說明進行。
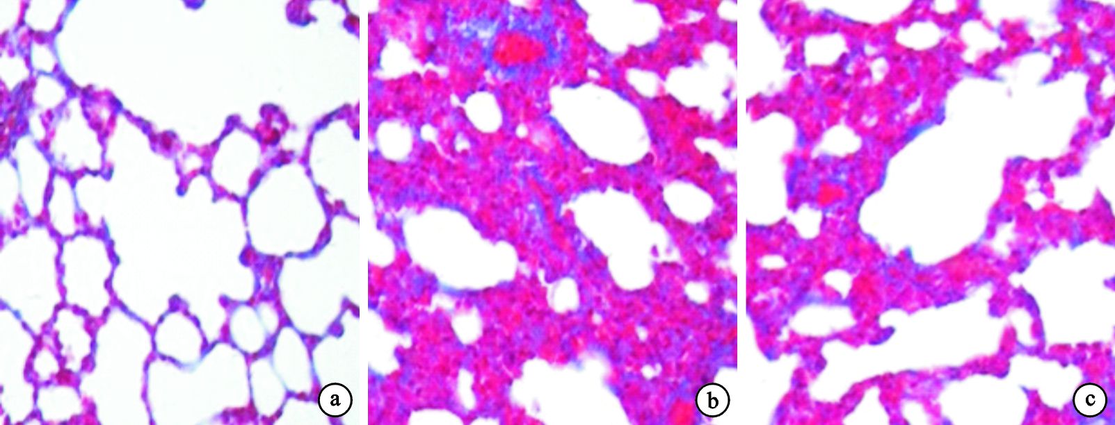
(2)組織病理學觀察:取實驗鼠左肺置于10%甲醛中固定,制備石蠟切片,分別進行蘇木精-伊紅(HE)及猩紅(Masson)染色,在光學顯微鏡下依據Szapiel等[7]的方法確定肺泡炎及肺纖維化程度。采用雙盲法,由2名經驗豐富的病理學專家進行觀察和評價。肺泡炎及肺纖維化程度均分為4級,無肺泡炎或無纖維化(-);輕度肺泡炎或纖維化(+),受累面積少于全20%;中度肺泡炎或肺纖維化(),受累面積占全肺20%~50%;重度肺泡炎或纖維化(),受累面積大于全肺50%;分別記為1、2、3、4分。
三 統計學處理
用SPSS 13.0統計軟件包進行統計分析,計量數據以
結果
一 肺組織病理學變化
肺組織病理切片經HE染色、Masson染色半定量結果分析。對照組肺泡結構基本正常,肺泡間隔可見少量藍染的膠原纖維。模型組于第3 d肺泡炎已很明顯,肺泡腔內可見大量的炎癥細胞浸潤;至第7 d最嚴重,肺泡腔已被炎細胞充滿,肺泡基本結構消失;至14 d肺泡炎較前減輕,但藍染的膠原纖維增多,肺泡間隔增寬,肺纖維化開始明顯,在28 d最重;與對照組比較各時點肺泡炎與肺纖維化評分均顯著提高。治療組肺泡結構存在,但肺泡間隔增寬,肺泡間隔及肺泡腔內有少量炎細胞浸潤,肺泡間隔藍染的膠原纖維與對照組比較顯著增多,但明顯少于模型組;肺泡炎、肺纖維化評分較對照組明顯,較模型組減輕(P<0.05)。結果見表 1和圖 1、圖 2。



二 肺組織勻漿HYP水平的變化
與對照組比較,模型組肺組織勻漿的HYP含量于BLM-A5注射后第7 d開始上升,第28 d時最高。治療組肺組織勻漿HYP水平較對照組高,但較模型組明顯減低,各組之間比較差異均有統計學意義(P<0.01或P<0.05),與形態學肺纖維化觀察結果相一致。結果見表 2。

三 肺組織勻漿及血漿中u-PA、t-PA、PAI-1的變化
u-PA含量在模型組肺組織勻漿及血漿中均逐漸減少,于第7 d降至最低,于28 d時有所恢復。在治療組肺組織勻漿及血漿中u-PA含量亦下降,較對照組低,但較模型組高。各組之間于第3、7、14 d時比較差異有統計學意義(P<0.05)。結果見表 3。

t-PA含量在模型組肺組織勻漿及血漿中均逐漸減少,于第7 d降至最低,于28 d時有所恢復。治療組肺組織勻漿及血漿中t-PA含量亦下降,較對照組低,但較模型組高。各組之間于第3、7、14 d時比較差異有統計學意義(P<0.05)。結果見表 4。

模型組肺勻漿及血漿中PAI-1含量于造模后逐漸增加,第7 d達到高峰,于28 d時有所下降。治療組肺勻漿及血漿中PAI-1含量較對照組高,但較模型組低。在3、7、14 d時各組間比較差異有統計學意義(P<0.05),在28 d時以上各指標于各組間比較差異無統計學意義(P>0.05)。結果見表 5。

討論
隨著對肺纖維化機制的深入研究以及相關分子生物學技術的發展,纖溶系統的作用越來越受到重視。纖溶系統主要包括t-PA、u-PA、纖溶酶原、PAI-1等,纖溶酶原在纖溶酶原激活物(PA)催化下轉變為纖溶酶,后者具有胰蛋白酶樣作用,能夠降解多種細胞外基質(ECM)成分。正常肺泡腔內存在以u-PA為主的纖溶作用,可預防外界有害物質損傷肺組織后肺泡腔內纖維蛋白的形成。研究發現間質性肺疾病患者肺泡灌洗液中纖溶酶原激活物含量及活性下降,纖溶抑制物PAI-1濃度升高[8]。對PAI-l缺陷的小鼠進行氣管內注入博萊霉素,發現膠原沉積不明顯,小鼠肺纖維化程度較輕;反之,過度表達PAI-1的小鼠肺纖維化明顯加重[9]。而采用腺病毒攜帶u-PA基因轉染小鼠或采用給小鼠靜脈注射u-PA或氣管灌注u-PA的方法建立特異性表達肺u-PA的小鼠模型,發現過度表達肺特異性u-PA可減輕博萊霉素所致的鼠肺纖維化,降低小鼠的死亡率[10]。
在纖溶系統成分缺失的大鼠肺纖維化模型中,缺失t-PA、u-PA的大鼠肺纖維化程度明顯加重[11],國內外研究均發現u-PA能減輕肺纖維化程度[9-12],表明纖溶功能的抑制與肺間質纖維化關系密切。進一步研究發現PAI-1可通過抑制纖溶、調節細胞轉移和粘附,以及與玻連蛋白(VN)結合抑制肺泡上皮的功能等途徑促進肺間質纖維化[13]。PAI-1在急性肺損傷患者血漿中同樣明顯升高,經雙變量分析發現其與死亡率有極高的相關性[14],說明PAI-1在肺損傷中扮演重要角色。
本研究顯示博萊霉素誘導大鼠肺纖維化模型組u-PA、t-PA含量在肺組織勻漿及血漿中均逐漸減少,于第7 d降至最低,而PAI-1含量于造模后逐漸增加,第7 d達到高峰,證實在博萊霉素造成的肺損傷過程中纖溶系統失去了平衡,反映了凝血功能增加和纖溶系統受抑制的一種病理狀態。模型組大鼠肺組織內u-PA、t-PA含量的減少和PAI-1含量的增加主要發生于肺泡炎時期,說明在肺纖維化的早期纖溶系統的作用更突出。而模型組血漿中u-PA、t-PA含量的減少和PAI-1的升高提示博萊霉素造成的肺損傷除引起肺內凝血與纖溶系統反應失衡外,肺外也存在相似反應,但是沒有肺內明顯,這與人類肺損傷會造成全身炎癥反應相似。
激動素在體外及體內均有抗凝作用[5],推測可能通過促進纖溶系統的活性而對肺纖維化具有一定的治療作用。本實驗治療組在造模第1 d即腹腔注射激動素,與模型組比較明顯降低了早期肺組織及血漿中PAI-1的含量,提高了大鼠損傷肺組織和血漿u-PA、t-PA的含量,減輕了博萊霉素造成的肺泡炎和肺纖維化,證實了這一推測。但與對照組比較,治療組大鼠的肺泡炎及肺纖維化程度差異仍有統計學意義,提示抗凝治療不能完全對抗博萊霉素造成的肺損傷和肺纖維化,從另一個側面反映了肺纖維化發病機制的復雜,但至少提示抗凝治療是非常有效的抗纖維化途徑之一。
抗凝藥物治療肺損傷類疾病在動物實驗模型中應用較多,比如急性肺損傷、急性呼吸窘迫綜合征和肺間質纖維化,均取得了陽性結果,但在人類相關疾病應用較少。Kubo等[15]對5家醫院的56例患者進行了前瞻性、隨機、非盲抗凝治療研究,比較單純應用潑尼松治療組與應用華法林或低分子肝素抗凝與潑尼松聯合治療組的效果,發現抗凝治療可降低急性加重的特發性肺間質纖維化(IPF)患者的病死率。這項研究是IPF臨床試驗中顯效明顯的一項成果。從肺間質纖維化發病機制看,針對凝血、纖溶系統異常進行干預治療有可能成為治療間質性肺疾病的新靶標。但是抗凝干預用于人類疾病治療仍面臨著巨大挑戰,特別是可能引起出血這一最常見而嚴重的并發癥,限制了其臨床應用。激動素作為一種植物激素,具有抗凝、促進纖溶的活性作用,動物實驗中未發現出血傾向及其他不良反應,有望應用于人類肺纖維化的治療。
肺間質纖維化是多種間質性肺疾病的共同結局,皮質激素、免疫抑制劑、細胞毒藥物仍是其主要的治療藥物,但不足30%的患者有治療反應,且不良反應大[1-2],因此尋找新的、效果好、不良反應小的治療肺間質纖維化的藥物一直是呼吸學界的研究熱點。探索治療肺間質纖維化的新藥依賴于對其發病機制的認識,近年研究發現肺纖維化的形成是肺臟損傷與修復反應失衡的結果,其中凝血纖溶系統異常起重要作用,凝血活性增強或纖溶活性降低都可導致纖維蛋白異常沉積和降解抑制,促進肺纖維化形成[3-4]。激動素(Kinetin)是一種植物激素,體外及體內研究證實激動素具有抗凝作用[5],提示激動素可能對肺纖維化有治療作用。我們利用博萊霉素A5(BLM-A5)建立大鼠肺纖維化模型,觀察激動素對肺纖維化的治療效果及可能作用機制,以期尋求一種治療肺纖維化的途徑。
對象與方法
一 材料
實驗動物Wistar大鼠由哈爾濱醫科大學第二臨床醫學院動物中心提供。博萊霉素A5(BLM-A5,哈爾濱博萊制藥有限公司),羥脯氨酸試劑盒(HYP,南京建成生物工程研究所),尿激酶型纖溶酶原激活物(u-PA)、組織型纖溶酶原激活物(t-PA)、纖溶酶原激活物抑制因子1(PAI-1)相關ELISA試劑盒由上海裕平生物科技有限公司提供。
二 方法
1.實驗動物及分組:雌性Wistar大鼠60只,體重170~220 g,隨機分為對照組、模型組和治療組,每組20只。肺纖維化造模方法參考文獻[6]。10%水合氯醛腹腔內注射麻醉后將大鼠仰位固定于操作臺,備皮,無菌條件下縱向剪開頸部皮膚分離肌肉,暴露氣管;模型組與治療組大鼠經穿刺向氣管內注入BLM-A5(5 mg/kg),對照組在相同條件下注入等體積生理鹽水;注藥后立即將動物直立旋轉1~2 min,使藥液在肺內均勻分布;治療組于灌注BLM-A5的第1 d開始腹腔注入0.5%激動素(0.5 mL/100 g),每日1次。
2.檢測指標:各組動物分別于實驗第3、7、14、28 d抽取靜脈血分離血漿行相關檢測,經腹主動脈放血法隨機處死5只,取材測定下述指標。
(1)肺組織勻漿中各項指標檢測:取大鼠右肺用組織勻漿器在冰浴下制成10%勻漿,3000 r/min離心10 min,取上清分別測定HYP、u-PA、t-PA、PAI-1含量,檢測方法按相關試劑盒說明進行。
(2)組織病理學觀察:取實驗鼠左肺置于10%甲醛中固定,制備石蠟切片,分別進行蘇木精-伊紅(HE)及猩紅(Masson)染色,在光學顯微鏡下依據Szapiel等[7]的方法確定肺泡炎及肺纖維化程度。采用雙盲法,由2名經驗豐富的病理學專家進行觀察和評價。肺泡炎及肺纖維化程度均分為4級,無肺泡炎或無纖維化(-);輕度肺泡炎或纖維化(+),受累面積少于全20%;中度肺泡炎或肺纖維化(),受累面積占全肺20%~50%;重度肺泡炎或纖維化(),受累面積大于全肺50%;分別記為1、2、3、4分。
三 統計學處理
用SPSS 13.0統計軟件包進行統計分析,計量數據以
結果
一 肺組織病理學變化
肺組織病理切片經HE染色、Masson染色半定量結果分析。對照組肺泡結構基本正常,肺泡間隔可見少量藍染的膠原纖維。模型組于第3 d肺泡炎已很明顯,肺泡腔內可見大量的炎癥細胞浸潤;至第7 d最嚴重,肺泡腔已被炎細胞充滿,肺泡基本結構消失;至14 d肺泡炎較前減輕,但藍染的膠原纖維增多,肺泡間隔增寬,肺纖維化開始明顯,在28 d最重;與對照組比較各時點肺泡炎與肺纖維化評分均顯著提高。治療組肺泡結構存在,但肺泡間隔增寬,肺泡間隔及肺泡腔內有少量炎細胞浸潤,肺泡間隔藍染的膠原纖維與對照組比較顯著增多,但明顯少于模型組;肺泡炎、肺纖維化評分較對照組明顯,較模型組減輕(P<0.05)。結果見表 1和圖 1、圖 2。



二 肺組織勻漿HYP水平的變化
與對照組比較,模型組肺組織勻漿的HYP含量于BLM-A5注射后第7 d開始上升,第28 d時最高。治療組肺組織勻漿HYP水平較對照組高,但較模型組明顯減低,各組之間比較差異均有統計學意義(P<0.01或P<0.05),與形態學肺纖維化觀察結果相一致。結果見表 2。

三 肺組織勻漿及血漿中u-PA、t-PA、PAI-1的變化
u-PA含量在模型組肺組織勻漿及血漿中均逐漸減少,于第7 d降至最低,于28 d時有所恢復。在治療組肺組織勻漿及血漿中u-PA含量亦下降,較對照組低,但較模型組高。各組之間于第3、7、14 d時比較差異有統計學意義(P<0.05)。結果見表 3。

t-PA含量在模型組肺組織勻漿及血漿中均逐漸減少,于第7 d降至最低,于28 d時有所恢復。治療組肺組織勻漿及血漿中t-PA含量亦下降,較對照組低,但較模型組高。各組之間于第3、7、14 d時比較差異有統計學意義(P<0.05)。結果見表 4。

模型組肺勻漿及血漿中PAI-1含量于造模后逐漸增加,第7 d達到高峰,于28 d時有所下降。治療組肺勻漿及血漿中PAI-1含量較對照組高,但較模型組低。在3、7、14 d時各組間比較差異有統計學意義(P<0.05),在28 d時以上各指標于各組間比較差異無統計學意義(P>0.05)。結果見表 5。

討論
隨著對肺纖維化機制的深入研究以及相關分子生物學技術的發展,纖溶系統的作用越來越受到重視。纖溶系統主要包括t-PA、u-PA、纖溶酶原、PAI-1等,纖溶酶原在纖溶酶原激活物(PA)催化下轉變為纖溶酶,后者具有胰蛋白酶樣作用,能夠降解多種細胞外基質(ECM)成分。正常肺泡腔內存在以u-PA為主的纖溶作用,可預防外界有害物質損傷肺組織后肺泡腔內纖維蛋白的形成。研究發現間質性肺疾病患者肺泡灌洗液中纖溶酶原激活物含量及活性下降,纖溶抑制物PAI-1濃度升高[8]。對PAI-l缺陷的小鼠進行氣管內注入博萊霉素,發現膠原沉積不明顯,小鼠肺纖維化程度較輕;反之,過度表達PAI-1的小鼠肺纖維化明顯加重[9]。而采用腺病毒攜帶u-PA基因轉染小鼠或采用給小鼠靜脈注射u-PA或氣管灌注u-PA的方法建立特異性表達肺u-PA的小鼠模型,發現過度表達肺特異性u-PA可減輕博萊霉素所致的鼠肺纖維化,降低小鼠的死亡率[10]。
在纖溶系統成分缺失的大鼠肺纖維化模型中,缺失t-PA、u-PA的大鼠肺纖維化程度明顯加重[11],國內外研究均發現u-PA能減輕肺纖維化程度[9-12],表明纖溶功能的抑制與肺間質纖維化關系密切。進一步研究發現PAI-1可通過抑制纖溶、調節細胞轉移和粘附,以及與玻連蛋白(VN)結合抑制肺泡上皮的功能等途徑促進肺間質纖維化[13]。PAI-1在急性肺損傷患者血漿中同樣明顯升高,經雙變量分析發現其與死亡率有極高的相關性[14],說明PAI-1在肺損傷中扮演重要角色。
本研究顯示博萊霉素誘導大鼠肺纖維化模型組u-PA、t-PA含量在肺組織勻漿及血漿中均逐漸減少,于第7 d降至最低,而PAI-1含量于造模后逐漸增加,第7 d達到高峰,證實在博萊霉素造成的肺損傷過程中纖溶系統失去了平衡,反映了凝血功能增加和纖溶系統受抑制的一種病理狀態。模型組大鼠肺組織內u-PA、t-PA含量的減少和PAI-1含量的增加主要發生于肺泡炎時期,說明在肺纖維化的早期纖溶系統的作用更突出。而模型組血漿中u-PA、t-PA含量的減少和PAI-1的升高提示博萊霉素造成的肺損傷除引起肺內凝血與纖溶系統反應失衡外,肺外也存在相似反應,但是沒有肺內明顯,這與人類肺損傷會造成全身炎癥反應相似。
激動素在體外及體內均有抗凝作用[5],推測可能通過促進纖溶系統的活性而對肺纖維化具有一定的治療作用。本實驗治療組在造模第1 d即腹腔注射激動素,與模型組比較明顯降低了早期肺組織及血漿中PAI-1的含量,提高了大鼠損傷肺組織和血漿u-PA、t-PA的含量,減輕了博萊霉素造成的肺泡炎和肺纖維化,證實了這一推測。但與對照組比較,治療組大鼠的肺泡炎及肺纖維化程度差異仍有統計學意義,提示抗凝治療不能完全對抗博萊霉素造成的肺損傷和肺纖維化,從另一個側面反映了肺纖維化發病機制的復雜,但至少提示抗凝治療是非常有效的抗纖維化途徑之一。
抗凝藥物治療肺損傷類疾病在動物實驗模型中應用較多,比如急性肺損傷、急性呼吸窘迫綜合征和肺間質纖維化,均取得了陽性結果,但在人類相關疾病應用較少。Kubo等[15]對5家醫院的56例患者進行了前瞻性、隨機、非盲抗凝治療研究,比較單純應用潑尼松治療組與應用華法林或低分子肝素抗凝與潑尼松聯合治療組的效果,發現抗凝治療可降低急性加重的特發性肺間質纖維化(IPF)患者的病死率。這項研究是IPF臨床試驗中顯效明顯的一項成果。從肺間質纖維化發病機制看,針對凝血、纖溶系統異常進行干預治療有可能成為治療間質性肺疾病的新靶標。但是抗凝干預用于人類疾病治療仍面臨著巨大挑戰,特別是可能引起出血這一最常見而嚴重的并發癥,限制了其臨床應用。激動素作為一種植物激素,具有抗凝、促進纖溶的活性作用,動物實驗中未發現出血傾向及其他不良反應,有望應用于人類肺纖維化的治療。