引用本文: 黃子星, 宋彬. 腹膜腔的影像解剖與臨床實踐. 中國普外基礎與臨床雜志, 2021, 28(10): 1360-1364. doi: 10.7507/1007-9424.202108059 復制
腹膜腔是由腹膜圍成的一個形態不規則的腔隙,并且它被腹膜反折形成的網膜、系膜、韌帶及腹腔內的器官分隔形成了眾多的間隙、隱窩、陷凹等區域,因此,對腹膜腔的認識一直以來是很困難的。在 CT、MRI 等斷層影像技術被引入解剖研究后,對腹膜腔解剖有了進一步認識的機會[1-3]。但從臨床實踐來看,對于低年資放射科醫生來說,在斷層影像上準確識別腹膜腔各間隙結構并從解剖基礎去解釋腹膜腔病變的表現以及病變在腹膜腔各間隙播散蔓延的特點是比較困難的。普外科醫生對腹膜腔的實體解剖形態較為熟悉,但是對腹膜腔在斷層影像上的表現認識相對陌生。腹腔內化療的廣泛開展也促使腫瘤科醫生必須了解腹膜腔結構的特點。因此,筆者現就腹膜腔主要的影像解剖及臨床實踐要點進行闡述,以期幫助低年資放射科醫生、普外科醫生及腫瘤科醫生能進一步理解腹膜腔結構的影像表現。
1 腹腔與腹膜腔
腹腔(abdominal cavity)指小骨盆上口以上由腹壁及橫膈圍成的腔[2]。腹膜腔(peritoneal cavity)是壁層腹膜與臟層腹膜圍成的潛在間隙[2]。男性的腹膜腔是一個封閉的解剖空間,而女性的腹膜腔可以借由生殖道與外界相通。腹膜腔是腹腔的一部分,它是一個連續的整體空間,而腹膜的反折結構(韌帶、網膜、系膜等)[4]和腹腔器官共同把腹膜腔分成各個間隙(圖1)。目前一些腹膜腔間隙的命名與邊界定義在學術界尚未達成完全一致[2-3, 5-6],筆者現將此從臨床影像實踐更容易理解的角度出發進行介紹。

2 腹膜腔的影像解剖
腹膜腔分為大小兩個部分,即大囊(greater sac)和小囊(lesser sac)。小囊即網膜囊,亦稱小腹膜腔;小囊以外的腹膜腔為大囊,亦稱大腹膜腔,二者通過網膜孔相交通[2]。在生理情況下,腹膜腔內只有少量滑液,是個相對扁平的空間,影像學檢查很難將其清晰地可視化呈現;在疾病情況下,如積液、腫瘤、出血等可以把腹膜腔形態襯托出來。腹膜腔以橫結腸和橫結腸系膜為界分為結腸上區(supramesocolic compartment)和結腸下區(inframesocolic compartment),且二間之間是相互通連的。
2.1 結腸上區的主要腹膜腔間隙
結腸上區位于橫膈和橫結腸及橫結腸系膜之間,以肝鐮狀韌帶為界又被分為右結腸上區和左結腸上區(圖2a、2b)。結腸上區的解剖較為復雜,并且對于結腸上區各腹膜腔間隙的命名也并未達成完全一致[2-3, 5-6]。

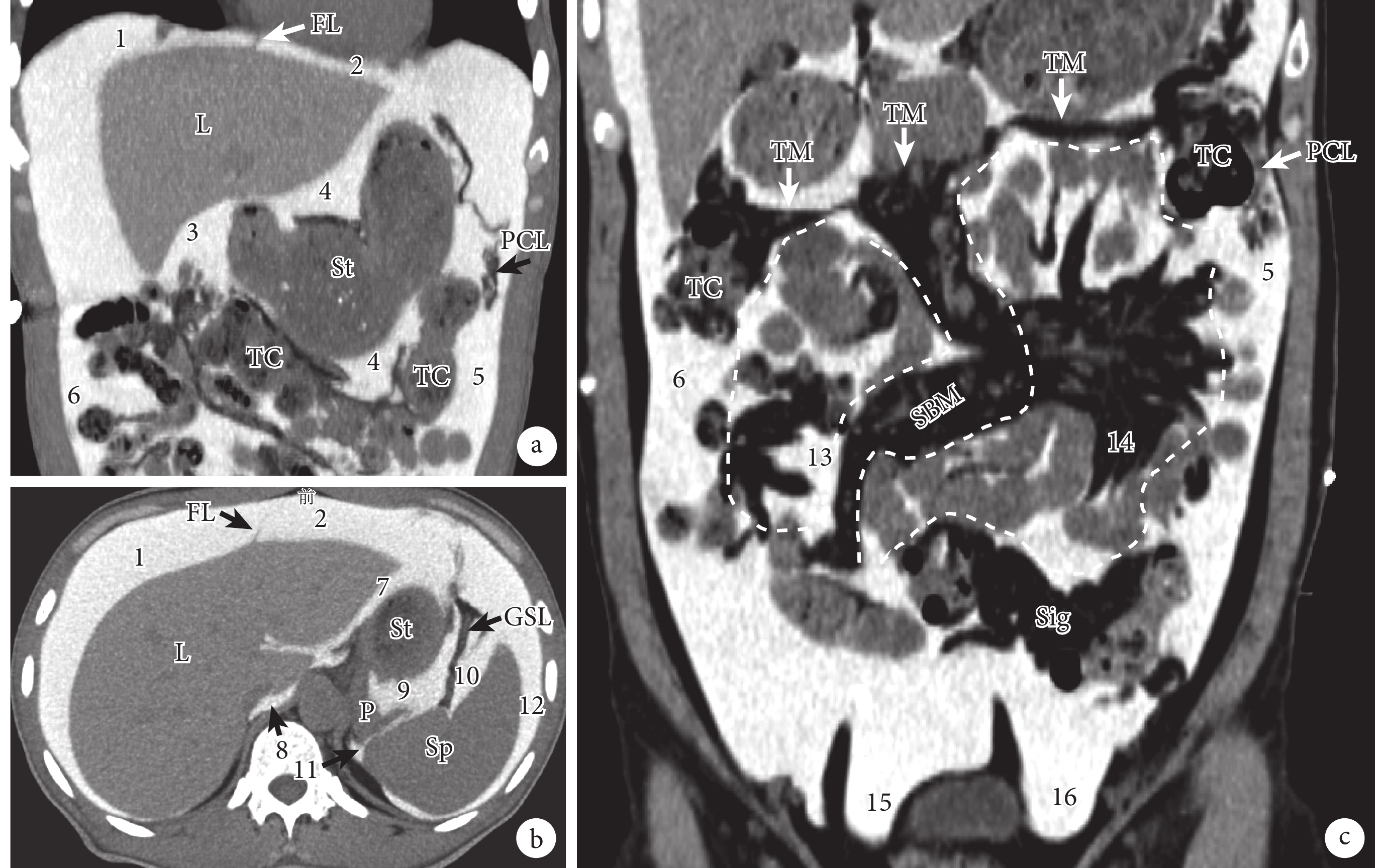
a、b:結腸上區的主要腹膜腔間隙;c:結腸下區的主要腹膜腔間隙。1:右肝上間隙;2:左肝上間隙;3:右肝下間隙;4:網膜囊;5:左結腸旁溝;6:右結腸旁溝;7:左肝下間隙;8:網膜囊上隱窩;9:網膜囊脾隱窩;10:胃脾隱窩;11:脾腎隱窩;12:脾外側間隙(脾周圍隱窩);13:右結腸下間隙;14:左結腸下間隙;15:右直腸旁窩;16:左直腸旁窩;FL:鐮狀韌帶;L:肝臟;St:胃;PCL:膈結腸韌帶;TC:橫結腸;GSL:胃脾韌帶;P:胰腺;Sp:脾臟;TM:橫結腸系膜;SBM:小腸系膜;Sig:乙狀結腸
2.1.1 右結腸上區
該區內主要有右肝上間隙(right suprahepatic space)和右肝下間隙(right subhepatic space)。① 右肝上間隙[1, 6],國外學者常稱其為右膈下間隙(right subphrenic space)[2, 5],位于膈和肝右葉的前表面、上表面和右外側面之間,左界是肝鐮狀韌帶,后界是冠狀韌帶的上層。② 右肝下間隙位于肝右葉下表面與橫結腸及橫結腸系膜之間,其上界是冠狀韌帶的下層,后界是右腎上極前方的腹膜壁層,內側界是結腸肝曲、橫結腸系膜、十二指腸降段外側方的腹膜壁層[2]。右肝下間隙以十二指腸為界又分為前后兩部分,后部分也叫肝腎隱窩(hepatorenal pouch)或 Morison 隱窩[5],肝腎隱窩是仰臥時腹膜腔最低處。右肝上間隙和右肝下間隙之間在前方可繞過肝右三角韌帶的外側或繞過肝前緣相互通連,但在后方被冠狀韌帶、肝裸區及肝右三角韌帶阻擋并不直接通連。
2.1.2 左結腸上區
該區內主要有左肝上間隙(left suprahepatic space)、左肝下間隙(left subhepatic space)和脾周間隙。① 左肝上間隙[1, 6],國外學者常稱其為左膈下間隙(left subphrenic space)[2, 5],位于膈、肝左葉的前表面和上表面、胃前上表面和脾的膈面之間,其右界是肝鐮狀韌帶。左肝上間隙被肝左三角韌帶分隔為左肝上前間隙和左肝上后間隙。但是關于肝左三角韌帶的解剖過去充滿爭議,國外學者[2, 5, 7-8]認為,肝左三角韌帶位置靠后或長度很短,并不能有效把左肝上間隙劃分為前后兩個間隙;但國內閔鵬秋團隊[9-10]通過較大樣本量的尸體解剖研究發現,肝左三角韌帶實際是比較長的,在肝左葉上方由內前向外后走行于肝表面與橫膈之間,離開肝左外葉外側緣以后還可繼續附著于膈下而形成游離段,因此,可以有效將左肝上間隙劃分為前后兩個間隙;國內劉樹偉等[11]的研究也認為,肝左三角韌帶可以將左肝上間隙分隔為前后兩個間隙。左肝上前間隙位于肝與橫膈之間、鐮狀韌帶左側方直到肝左外葉外側緣、肝左三角韌帶前層前方直到肝左外葉前緣的范圍;左肝上后間隙指肝左三角韌帶后層后方、向后下在肝左外葉的后面直到肝后緣的范圍[1]。但在通常情況下,CT 和 MRI 圖像上辨別肝左三角韌帶是很困難的,當左肝上間隙有大量積液或積血時,在矢狀位層面可以辨識肝左三角韌帶,從而判斷病變位于左肝上前間隙還是左肝上后間隙。② 左肝下間隙,也稱為肝胃隱窩(gastrohepatic recess),位于肝胃韌帶、胃前壁、胃結腸韌帶與肝左外葉臟面之間,右側界為肝周韌帶,左側界為胃體前壁,上方起自肝左外葉肝后緣處,下方止于橫結腸及其系膜[1]。③ 脾周間隙,此又分為胃脾隱窩(gastrosplenic recess)、脾腎隱窩(splenorenal recess)和脾周圍隱窩(perisplenic recess)即脾外側間隙[1]。“脾周間隙”是國內學者的提法[1, 6, 12],國外學者并沒有“脾周間隙”這個術語,而是將這幾個隱窩歸于左膈下間隙,同時國內也有學者將網膜囊脾隱窩歸于脾周間隙。胃脾隱窩為胃脾韌帶在脾門處的反折形成的凹陷;脾腎隱窩為脾腎韌帶在脾門處的反折形成的凹陷;脾外側間隙為脾與橫膈、脅腹壁之間的間隙,其下分也被稱為脾結腸隱窩(splenocolic recess)[13]。左肝上前間隙前下方越過左外葉肝前緣直接與左肝下間隙相通,左肝上后間隙向外后直接與脾腎隱窩相通。
2.1.3 網膜囊(omental bursa)
此是一個不規則的潛在間隙,從冠狀位可以看出網膜囊大部分位于結腸上區左分,因此有學者將網膜囊劃分到左結腸上區,即以胃為分界把左肝下間隙分為左肝下前間隙(肝胃隱窩)和左肝下后間隙(網膜囊)。但是網膜囊并不與左結腸上區的間隙直接相通,而是通過網膜孔與右肝下間隙相通,因此,也有學者把網膜囊劃分到右結腸上區,把網膜囊歸在左結腸上區還是歸在右結腸上區其實并不重要,在臨床實踐中重要的是掌握網膜囊的邊界和范圍。網膜囊的邊界可以通過一些標志性的器官或結構去確定,覆蓋在這些標志性器官或結構上的壁層腹膜或臟層腹膜就是網膜囊的壁,前壁由小網膜的腹膜后層、覆蓋在胃后壁和十二指腸上部的腹膜以及大網膜前層的后上部(胃結腸韌帶)組成;后壁為橫結腸系膜及位于胰、左腎、左腎上腺前方的腹膜后壁;上壁為覆蓋在肝尾狀葉及膈下的腹膜;下壁為橫結腸的腹膜臟層及橫結腸系膜;左壁為覆蓋在脾臟前方的腹膜(胃脾韌帶和脾腎韌帶);右壁為肝十二指腸韌帶。網膜孔位于下腔靜脈前方、肝門三聯(即門靜脈、肝動脈和膽總管)的后方,網膜囊通過網膜孔與右肝下間隙相通。不規則形狀的網膜囊又可分為 4 個部分:前庭、上隱窩、下隱窩、脾隱窩。前庭位于小網膜和胰腺之間;上隱窩位于肝尾狀葉內側與膈肌之間;下隱窩位于胃后壁與胰腺之間,下方為橫結腸及其系膜;脾隱窩位于胃脾韌帶和脾腎韌帶之間,是下隱窩向上突出形成。
2.2 結腸下區的主要腹膜腔間隙
結腸下區位于橫結腸及橫結腸系膜下方,其以小腸系膜根部、降結腸和升結腸為界分為左、右結腸旁溝及左、右結腸下間隙(圖2c)。左、右結腸旁溝(paracolic gutter)分別是位于降結腸和升結腸旁邊的后腹壁上的腹膜凹陷(隱窩),并且大部分位于結腸的外側。左結腸旁溝向上受到膈結腸韌帶部分阻擋,向下與盆腔相通;右結腸旁溝向上通向右肝下間隙、右肝上間隙,向下與盆腔相通。左、右結腸下間隙(infracolic space),國內解剖學界稱之為腸系膜竇。右結腸下間隙位于小腸系膜根部與升結腸之間,由盲腸、升結腸、闌尾系膜和左側的小腸系膜限定;左結腸下間隙位于小腸系膜根部與降結腸之間,其下方開口與盆腔相通。
2.3 盆腔的主要間隙
盆腔的間隙是腹膜腔延續至盆部的部分,包括有多個隱窩。膀胱旁隱窩(paravesical fossae)和直腸旁隱窩(pararectal fossae)是男女性盆腔皆有的隱窩。男性另有直腸膀胱陷凹(rectovesical pouch),女性另有膀胱子宮陷凹(vesicouterine pouch)和直腸子宮陷凹(rectouterine pouch)。
2.4 腹膜腔其他的隱窩或窩
腹膜窩或隱窩一般是指在腹膜皺襞之間或皺襞與腹、盆壁之間的凹陷。除了前面所提到的隱窩,腹膜腔內還有眾多的隱窩或窩,這些隱窩或窩有時是內疝發生的部位[2]。常見的隱窩有十二指腸隱窩、盲腸隱窩、乙狀結腸間隱窩。
3 臨床實踐要點
典型腹膜腔疾病 CT 圖見圖3。疾病在腹膜腔內的播散是受到腹膜反折結構、各間隙結構的形態以及腹膜腔壓力的影響[14]。重力引導液體向下流動,而呼吸和膈下的負壓可以促使液體向上流動,胃腸的蠕動又可以影響腹膜腔液體的橫向流動。病理性的液體首先出現在病變的周圍(如肝破裂處、胃腸穿孔處等),其次就是流動到右膈下間隙(即右肝上間隙)以及流動到盆腔的陷凹,尤其是仰臥位時更容易聚集在肝腎隱窩和盆腔的陷凹。由于膈結腸韌帶可以部分阻擋病變由左側結腸旁溝向左結腸上區蔓延,而右肝上間隙、右肝下間隙、右結腸旁溝三者之間沒有阻擋的結構且右結腸旁溝較為寬大,所以下腹盆腔的病理性液體(感染、腫瘤等)經右結腸旁溝流向右肝上間隙及右肝下間隙較為容易,而不容易流動到左側。左肝上間隙的積液或積血往往是由于局部的手術所引起的,并且由于鐮狀韌帶的阻擋,左側少量的液體并不會流動到右側。而在站立位時,病理性液體由右側進入盆腔是十分容易的,這可以解釋為什么胃癌患者常常需要肛檢以幫助判斷有無早期的腹膜轉移(直腸膀胱陷凹、直腸子宮陷凹)以及女性胃癌患者為什么容易出現 Krukenberg 瘤。

a:一病例的左結腸下間隙的積液(星號)被小腸系膜根部阻擋不能流入右側結腸下間隙;b:一病例的回腸遠端穿孔,穿孔處有游離積氣(白箭),盆腔有腹膜炎,蔓延至右側肝周間隙(星號),并且蔓延至左側結腸旁溝(三角形)被膈結腸韌帶(箭頭)阻擋未能進入左側肝周間隙和脾周間隙;c:一病例的腹膜腔各間隙多發轉移瘤;d:一病例的胃癌在膀胱直腸陷凹的轉移(箭頭),同時期結腸上區尚未出現腹膜轉移(B:膀胱,R:直腸)
左肝下間隙與右肝下間隙之間可經肝圓韌帶后方相互交通,從而使左、右結腸上區相互通連。在外傷常見的脾破裂情況下,脾周的積血可因體位關系經肝圓韌帶后方進入右肝下間隙,最后積聚于肝腎隱窩,在臨床實踐中對提示脾外傷有重要意義。
少量的腹腔積液可以被較為固定的腹膜反折結構和器官限制住邊界。當腹膜局部粘連時也會限制積液的流動。臟層腹膜約占整個腹膜表面的 70%。由于空腸系膜和回腸系膜構成了臟層腹膜的最大部分,因此腸穿孔進入右側或左側結腸下間隙在臨床上總是導致嚴重的彌漫性腹膜炎。一些小的感染性物質如闌尾切除術后遺留的糞石或膽囊切除術后脫落的小結石,可能因此會移行滯留在肝周間隙,隨后形成膿腫,并可能導致反復發熱,其影像診斷往往具有迷惑性。
網膜囊的積液往往是胃后壁或十二指腸后壁穿孔直接引起的,而不是大腹膜腔的液體經網膜孔進入。急性胰腺炎時,具有腐蝕性的炎性滲出液或壞死性集聚可能會破壞后壁腹膜進入腹膜腔,也容易出現網膜囊積液,并且可以借網膜囊進入右側膈下、右側肝下、右側結腸旁溝,或者向下破壞橫結腸系膜、小腸系膜根部進入結腸下間隙,在右側結腸下間隙會被下方的系膜阻擋,在左側結腸下間隙則會很容易進入盆腔。在臨床中容易混淆的是把胰周的積液當作網膜囊積液。
腹內疝可發生在腹膜內和腹膜外腸段的交界處,特別是進入左側十二指腸旁隱窩。當結腸暫時或永久性地進入肝臟和膈肌之間(即膈下間隙)時被稱為 Chilaiditi 綜合征(間位結腸綜合征),以右側膈下多見。
棘球蚴病是牧區常見的寄生蟲感染,肝臟邊緣的棘球蚴病灶發生破裂時破入肝臟周圍的間隙,棘球蚴沿腹膜腔四處播散,從而感染其他器官。
女性的腹膜腔由于可以借由生殖道與外界相通,因此病原體也可以沿著這條路徑進入到腹膜腔,導致輸卵管卵巢膿腫或腹膜炎。
腹腔熱灌注化療已成為治療卵巢癌、胃癌或結直腸癌腹膜轉移瘤的首選治療方法[15-17]。如今減瘤手術聯合腹腔熱灌注化療從根本上改變了腹膜惡性腫瘤患者的治療方式,改善了闌尾、結直腸和卵巢腫瘤以及腹膜間皮瘤的預后[18-19]。顯然,這些方法的治療效果將取決于化療藥液是否能充分分布到腹膜腔各間隙結構中,以到達所有病灶的腹膜表面。顯而易見的是,如果腹膜腔有粘連,必然導致藥液不能全覆蓋腹膜表面,會降低治療效果。有充分的證據[20-21]表明,腹膜中的特定區域不能使用單孔化療進行治療,因此,可置入 2 根腹膜內導管,如 1 根在結腸上區,另 1 根在結腸下區,可以改善藥物分布的均勻性。
4 要點總結
腹膜腔是壁層腹膜與臟層腹膜之間的空間間隙;腹膜反折結構與腹腔器官共同把腹膜腔分隔出眾多的間隙,大部分間隙之間是可以相互交通的,這是一些病變(感染、腫瘤等)在腹膜腔內播散的解剖學基礎;腹膜腔的形態現狀是制定腹膜疾病局部區域治療策略的解剖條件。
重要聲明
利益沖突聲明:本文全體作者閱讀并理解了《中國普外基礎與臨床雜志》的政策聲明,我們沒有相互競爭的利益。
作者貢獻聲明:黃子星負責文獻檢索、文獻分析總結及文章撰寫;宋彬負責選題、文稿審閱,對本文總體學術負責。 致謝:感謝閔鵬秋教授對本文提出的寶貴建議。
腹膜腔是由腹膜圍成的一個形態不規則的腔隙,并且它被腹膜反折形成的網膜、系膜、韌帶及腹腔內的器官分隔形成了眾多的間隙、隱窩、陷凹等區域,因此,對腹膜腔的認識一直以來是很困難的。在 CT、MRI 等斷層影像技術被引入解剖研究后,對腹膜腔解剖有了進一步認識的機會[1-3]。但從臨床實踐來看,對于低年資放射科醫生來說,在斷層影像上準確識別腹膜腔各間隙結構并從解剖基礎去解釋腹膜腔病變的表現以及病變在腹膜腔各間隙播散蔓延的特點是比較困難的。普外科醫生對腹膜腔的實體解剖形態較為熟悉,但是對腹膜腔在斷層影像上的表現認識相對陌生。腹腔內化療的廣泛開展也促使腫瘤科醫生必須了解腹膜腔結構的特點。因此,筆者現就腹膜腔主要的影像解剖及臨床實踐要點進行闡述,以期幫助低年資放射科醫生、普外科醫生及腫瘤科醫生能進一步理解腹膜腔結構的影像表現。
1 腹腔與腹膜腔
腹腔(abdominal cavity)指小骨盆上口以上由腹壁及橫膈圍成的腔[2]。腹膜腔(peritoneal cavity)是壁層腹膜與臟層腹膜圍成的潛在間隙[2]。男性的腹膜腔是一個封閉的解剖空間,而女性的腹膜腔可以借由生殖道與外界相通。腹膜腔是腹腔的一部分,它是一個連續的整體空間,而腹膜的反折結構(韌帶、網膜、系膜等)[4]和腹腔器官共同把腹膜腔分成各個間隙(圖1)。目前一些腹膜腔間隙的命名與邊界定義在學術界尚未達成完全一致[2-3, 5-6],筆者現將此從臨床影像實踐更容易理解的角度出發進行介紹。

2 腹膜腔的影像解剖
腹膜腔分為大小兩個部分,即大囊(greater sac)和小囊(lesser sac)。小囊即網膜囊,亦稱小腹膜腔;小囊以外的腹膜腔為大囊,亦稱大腹膜腔,二者通過網膜孔相交通[2]。在生理情況下,腹膜腔內只有少量滑液,是個相對扁平的空間,影像學檢查很難將其清晰地可視化呈現;在疾病情況下,如積液、腫瘤、出血等可以把腹膜腔形態襯托出來。腹膜腔以橫結腸和橫結腸系膜為界分為結腸上區(supramesocolic compartment)和結腸下區(inframesocolic compartment),且二間之間是相互通連的。
2.1 結腸上區的主要腹膜腔間隙
結腸上區位于橫膈和橫結腸及橫結腸系膜之間,以肝鐮狀韌帶為界又被分為右結腸上區和左結腸上區(圖2a、2b)。結腸上區的解剖較為復雜,并且對于結腸上區各腹膜腔間隙的命名也并未達成完全一致[2-3, 5-6]。

a、b:結腸上區的主要腹膜腔間隙;c:結腸下區的主要腹膜腔間隙。1:右肝上間隙;2:左肝上間隙;3:右肝下間隙;4:網膜囊;5:左結腸旁溝;6:右結腸旁溝;7:左肝下間隙;8:網膜囊上隱窩;9:網膜囊脾隱窩;10:胃脾隱窩;11:脾腎隱窩;12:脾外側間隙(脾周圍隱窩);13:右結腸下間隙;14:左結腸下間隙;15:右直腸旁窩;16:左直腸旁窩;FL:鐮狀韌帶;L:肝臟;St:胃;PCL:膈結腸韌帶;TC:橫結腸;GSL:胃脾韌帶;P:胰腺;Sp:脾臟;TM:橫結腸系膜;SBM:小腸系膜;Sig:乙狀結腸
2.1.1 右結腸上區
該區內主要有右肝上間隙(right suprahepatic space)和右肝下間隙(right subhepatic space)。① 右肝上間隙[1, 6],國外學者常稱其為右膈下間隙(right subphrenic space)[2, 5],位于膈和肝右葉的前表面、上表面和右外側面之間,左界是肝鐮狀韌帶,后界是冠狀韌帶的上層。② 右肝下間隙位于肝右葉下表面與橫結腸及橫結腸系膜之間,其上界是冠狀韌帶的下層,后界是右腎上極前方的腹膜壁層,內側界是結腸肝曲、橫結腸系膜、十二指腸降段外側方的腹膜壁層[2]。右肝下間隙以十二指腸為界又分為前后兩部分,后部分也叫肝腎隱窩(hepatorenal pouch)或 Morison 隱窩[5],肝腎隱窩是仰臥時腹膜腔最低處。右肝上間隙和右肝下間隙之間在前方可繞過肝右三角韌帶的外側或繞過肝前緣相互通連,但在后方被冠狀韌帶、肝裸區及肝右三角韌帶阻擋并不直接通連。
2.1.2 左結腸上區
該區內主要有左肝上間隙(left suprahepatic space)、左肝下間隙(left subhepatic space)和脾周間隙。① 左肝上間隙[1, 6],國外學者常稱其為左膈下間隙(left subphrenic space)[2, 5],位于膈、肝左葉的前表面和上表面、胃前上表面和脾的膈面之間,其右界是肝鐮狀韌帶。左肝上間隙被肝左三角韌帶分隔為左肝上前間隙和左肝上后間隙。但是關于肝左三角韌帶的解剖過去充滿爭議,國外學者[2, 5, 7-8]認為,肝左三角韌帶位置靠后或長度很短,并不能有效把左肝上間隙劃分為前后兩個間隙;但國內閔鵬秋團隊[9-10]通過較大樣本量的尸體解剖研究發現,肝左三角韌帶實際是比較長的,在肝左葉上方由內前向外后走行于肝表面與橫膈之間,離開肝左外葉外側緣以后還可繼續附著于膈下而形成游離段,因此,可以有效將左肝上間隙劃分為前后兩個間隙;國內劉樹偉等[11]的研究也認為,肝左三角韌帶可以將左肝上間隙分隔為前后兩個間隙。左肝上前間隙位于肝與橫膈之間、鐮狀韌帶左側方直到肝左外葉外側緣、肝左三角韌帶前層前方直到肝左外葉前緣的范圍;左肝上后間隙指肝左三角韌帶后層后方、向后下在肝左外葉的后面直到肝后緣的范圍[1]。但在通常情況下,CT 和 MRI 圖像上辨別肝左三角韌帶是很困難的,當左肝上間隙有大量積液或積血時,在矢狀位層面可以辨識肝左三角韌帶,從而判斷病變位于左肝上前間隙還是左肝上后間隙。② 左肝下間隙,也稱為肝胃隱窩(gastrohepatic recess),位于肝胃韌帶、胃前壁、胃結腸韌帶與肝左外葉臟面之間,右側界為肝周韌帶,左側界為胃體前壁,上方起自肝左外葉肝后緣處,下方止于橫結腸及其系膜[1]。③ 脾周間隙,此又分為胃脾隱窩(gastrosplenic recess)、脾腎隱窩(splenorenal recess)和脾周圍隱窩(perisplenic recess)即脾外側間隙[1]。“脾周間隙”是國內學者的提法[1, 6, 12],國外學者并沒有“脾周間隙”這個術語,而是將這幾個隱窩歸于左膈下間隙,同時國內也有學者將網膜囊脾隱窩歸于脾周間隙。胃脾隱窩為胃脾韌帶在脾門處的反折形成的凹陷;脾腎隱窩為脾腎韌帶在脾門處的反折形成的凹陷;脾外側間隙為脾與橫膈、脅腹壁之間的間隙,其下分也被稱為脾結腸隱窩(splenocolic recess)[13]。左肝上前間隙前下方越過左外葉肝前緣直接與左肝下間隙相通,左肝上后間隙向外后直接與脾腎隱窩相通。
2.1.3 網膜囊(omental bursa)
此是一個不規則的潛在間隙,從冠狀位可以看出網膜囊大部分位于結腸上區左分,因此有學者將網膜囊劃分到左結腸上區,即以胃為分界把左肝下間隙分為左肝下前間隙(肝胃隱窩)和左肝下后間隙(網膜囊)。但是網膜囊并不與左結腸上區的間隙直接相通,而是通過網膜孔與右肝下間隙相通,因此,也有學者把網膜囊劃分到右結腸上區,把網膜囊歸在左結腸上區還是歸在右結腸上區其實并不重要,在臨床實踐中重要的是掌握網膜囊的邊界和范圍。網膜囊的邊界可以通過一些標志性的器官或結構去確定,覆蓋在這些標志性器官或結構上的壁層腹膜或臟層腹膜就是網膜囊的壁,前壁由小網膜的腹膜后層、覆蓋在胃后壁和十二指腸上部的腹膜以及大網膜前層的后上部(胃結腸韌帶)組成;后壁為橫結腸系膜及位于胰、左腎、左腎上腺前方的腹膜后壁;上壁為覆蓋在肝尾狀葉及膈下的腹膜;下壁為橫結腸的腹膜臟層及橫結腸系膜;左壁為覆蓋在脾臟前方的腹膜(胃脾韌帶和脾腎韌帶);右壁為肝十二指腸韌帶。網膜孔位于下腔靜脈前方、肝門三聯(即門靜脈、肝動脈和膽總管)的后方,網膜囊通過網膜孔與右肝下間隙相通。不規則形狀的網膜囊又可分為 4 個部分:前庭、上隱窩、下隱窩、脾隱窩。前庭位于小網膜和胰腺之間;上隱窩位于肝尾狀葉內側與膈肌之間;下隱窩位于胃后壁與胰腺之間,下方為橫結腸及其系膜;脾隱窩位于胃脾韌帶和脾腎韌帶之間,是下隱窩向上突出形成。
2.2 結腸下區的主要腹膜腔間隙
結腸下區位于橫結腸及橫結腸系膜下方,其以小腸系膜根部、降結腸和升結腸為界分為左、右結腸旁溝及左、右結腸下間隙(圖2c)。左、右結腸旁溝(paracolic gutter)分別是位于降結腸和升結腸旁邊的后腹壁上的腹膜凹陷(隱窩),并且大部分位于結腸的外側。左結腸旁溝向上受到膈結腸韌帶部分阻擋,向下與盆腔相通;右結腸旁溝向上通向右肝下間隙、右肝上間隙,向下與盆腔相通。左、右結腸下間隙(infracolic space),國內解剖學界稱之為腸系膜竇。右結腸下間隙位于小腸系膜根部與升結腸之間,由盲腸、升結腸、闌尾系膜和左側的小腸系膜限定;左結腸下間隙位于小腸系膜根部與降結腸之間,其下方開口與盆腔相通。
2.3 盆腔的主要間隙
盆腔的間隙是腹膜腔延續至盆部的部分,包括有多個隱窩。膀胱旁隱窩(paravesical fossae)和直腸旁隱窩(pararectal fossae)是男女性盆腔皆有的隱窩。男性另有直腸膀胱陷凹(rectovesical pouch),女性另有膀胱子宮陷凹(vesicouterine pouch)和直腸子宮陷凹(rectouterine pouch)。
2.4 腹膜腔其他的隱窩或窩
腹膜窩或隱窩一般是指在腹膜皺襞之間或皺襞與腹、盆壁之間的凹陷。除了前面所提到的隱窩,腹膜腔內還有眾多的隱窩或窩,這些隱窩或窩有時是內疝發生的部位[2]。常見的隱窩有十二指腸隱窩、盲腸隱窩、乙狀結腸間隱窩。
3 臨床實踐要點
典型腹膜腔疾病 CT 圖見圖3。疾病在腹膜腔內的播散是受到腹膜反折結構、各間隙結構的形態以及腹膜腔壓力的影響[14]。重力引導液體向下流動,而呼吸和膈下的負壓可以促使液體向上流動,胃腸的蠕動又可以影響腹膜腔液體的橫向流動。病理性的液體首先出現在病變的周圍(如肝破裂處、胃腸穿孔處等),其次就是流動到右膈下間隙(即右肝上間隙)以及流動到盆腔的陷凹,尤其是仰臥位時更容易聚集在肝腎隱窩和盆腔的陷凹。由于膈結腸韌帶可以部分阻擋病變由左側結腸旁溝向左結腸上區蔓延,而右肝上間隙、右肝下間隙、右結腸旁溝三者之間沒有阻擋的結構且右結腸旁溝較為寬大,所以下腹盆腔的病理性液體(感染、腫瘤等)經右結腸旁溝流向右肝上間隙及右肝下間隙較為容易,而不容易流動到左側。左肝上間隙的積液或積血往往是由于局部的手術所引起的,并且由于鐮狀韌帶的阻擋,左側少量的液體并不會流動到右側。而在站立位時,病理性液體由右側進入盆腔是十分容易的,這可以解釋為什么胃癌患者常常需要肛檢以幫助判斷有無早期的腹膜轉移(直腸膀胱陷凹、直腸子宮陷凹)以及女性胃癌患者為什么容易出現 Krukenberg 瘤。

a:一病例的左結腸下間隙的積液(星號)被小腸系膜根部阻擋不能流入右側結腸下間隙;b:一病例的回腸遠端穿孔,穿孔處有游離積氣(白箭),盆腔有腹膜炎,蔓延至右側肝周間隙(星號),并且蔓延至左側結腸旁溝(三角形)被膈結腸韌帶(箭頭)阻擋未能進入左側肝周間隙和脾周間隙;c:一病例的腹膜腔各間隙多發轉移瘤;d:一病例的胃癌在膀胱直腸陷凹的轉移(箭頭),同時期結腸上區尚未出現腹膜轉移(B:膀胱,R:直腸)
左肝下間隙與右肝下間隙之間可經肝圓韌帶后方相互交通,從而使左、右結腸上區相互通連。在外傷常見的脾破裂情況下,脾周的積血可因體位關系經肝圓韌帶后方進入右肝下間隙,最后積聚于肝腎隱窩,在臨床實踐中對提示脾外傷有重要意義。
少量的腹腔積液可以被較為固定的腹膜反折結構和器官限制住邊界。當腹膜局部粘連時也會限制積液的流動。臟層腹膜約占整個腹膜表面的 70%。由于空腸系膜和回腸系膜構成了臟層腹膜的最大部分,因此腸穿孔進入右側或左側結腸下間隙在臨床上總是導致嚴重的彌漫性腹膜炎。一些小的感染性物質如闌尾切除術后遺留的糞石或膽囊切除術后脫落的小結石,可能因此會移行滯留在肝周間隙,隨后形成膿腫,并可能導致反復發熱,其影像診斷往往具有迷惑性。
網膜囊的積液往往是胃后壁或十二指腸后壁穿孔直接引起的,而不是大腹膜腔的液體經網膜孔進入。急性胰腺炎時,具有腐蝕性的炎性滲出液或壞死性集聚可能會破壞后壁腹膜進入腹膜腔,也容易出現網膜囊積液,并且可以借網膜囊進入右側膈下、右側肝下、右側結腸旁溝,或者向下破壞橫結腸系膜、小腸系膜根部進入結腸下間隙,在右側結腸下間隙會被下方的系膜阻擋,在左側結腸下間隙則會很容易進入盆腔。在臨床中容易混淆的是把胰周的積液當作網膜囊積液。
腹內疝可發生在腹膜內和腹膜外腸段的交界處,特別是進入左側十二指腸旁隱窩。當結腸暫時或永久性地進入肝臟和膈肌之間(即膈下間隙)時被稱為 Chilaiditi 綜合征(間位結腸綜合征),以右側膈下多見。
棘球蚴病是牧區常見的寄生蟲感染,肝臟邊緣的棘球蚴病灶發生破裂時破入肝臟周圍的間隙,棘球蚴沿腹膜腔四處播散,從而感染其他器官。
女性的腹膜腔由于可以借由生殖道與外界相通,因此病原體也可以沿著這條路徑進入到腹膜腔,導致輸卵管卵巢膿腫或腹膜炎。
腹腔熱灌注化療已成為治療卵巢癌、胃癌或結直腸癌腹膜轉移瘤的首選治療方法[15-17]。如今減瘤手術聯合腹腔熱灌注化療從根本上改變了腹膜惡性腫瘤患者的治療方式,改善了闌尾、結直腸和卵巢腫瘤以及腹膜間皮瘤的預后[18-19]。顯然,這些方法的治療效果將取決于化療藥液是否能充分分布到腹膜腔各間隙結構中,以到達所有病灶的腹膜表面。顯而易見的是,如果腹膜腔有粘連,必然導致藥液不能全覆蓋腹膜表面,會降低治療效果。有充分的證據[20-21]表明,腹膜中的特定區域不能使用單孔化療進行治療,因此,可置入 2 根腹膜內導管,如 1 根在結腸上區,另 1 根在結腸下區,可以改善藥物分布的均勻性。
4 要點總結
腹膜腔是壁層腹膜與臟層腹膜之間的空間間隙;腹膜反折結構與腹腔器官共同把腹膜腔分隔出眾多的間隙,大部分間隙之間是可以相互交通的,這是一些病變(感染、腫瘤等)在腹膜腔內播散的解剖學基礎;腹膜腔的形態現狀是制定腹膜疾病局部區域治療策略的解剖條件。
重要聲明
利益沖突聲明:本文全體作者閱讀并理解了《中國普外基礎與臨床雜志》的政策聲明,我們沒有相互競爭的利益。
作者貢獻聲明:黃子星負責文獻檢索、文獻分析總結及文章撰寫;宋彬負責選題、文稿審閱,對本文總體學術負責。 致謝:感謝閔鵬秋教授對本文提出的寶貴建議。