主動脈壁間血腫(intramural hematoma,IMH)累及升主動脈時,定義為A型主動脈壁間血腫[1]。IMH的病因目前認為與主動脈壁內滋養血管破裂或動脈粥樣斑塊進展引起的內膜破裂有關。有部分A型血腫患者破口或潰瘍位于降主動脈,血流經破口或潰瘍逆撕至主動脈弓或升主動脈,形成血腫。目前將此類壁間血腫患者定義為逆撕A型血腫(retrograde type A intramural hematoma,re-TAIMH)[2]。
對于re-TAIMH患者選擇何種手術方式仍存在爭議。對于升主動脈或弓部存在明顯破口的壁間血腫患者,目前還是以開胸人工血管置換為主。但對于破口存在于降主動脈的逆撕A型血腫患者,血管內主動脈修復術已嶄露頭角,并在部分入選患者中成功應用[3]。與B型夾層修復類似,該技術的核心思想是阻斷潰瘍或血流流入的破口。覆蓋左鎖骨下動脈(left subclavical artery,LSA)遠端破口的支架移植物能夠防止IMH的進展從而促使血腫快速吸收消退。本研究中,我們報道了使用單分支支架治療破口或潰瘍位于主動脈弓遠端的逆撕A型壁間血腫,早期取得了不錯的臨床療效,現報道如下。
1 資料與方法
1.1 患者一般信息
回顧性分析2020年7月—2022年11月香港大學深圳醫院心血管外科診斷為逆撕A型血腫患者的臨床資料。納入標準:(1)所有患者均基于CT血管造影診斷為逆撕A型血腫;(2)升主動脈最大血腫厚度≤10 mm。排除標準:(1)患者要求保守治療或放棄治療;(2)原發性破口或潰瘍位于升主動脈或主動脈弓。共納入10例re-TAIMH患者,均接受單分支支架腔內支架隔絕術。其中男9例、女1例,年齡為32~66(47±10.4)歲;見表1。

1.2 手術方法
手術在DSA手術室進行,所有患者給予全身麻醉。術前通過測量患者主動脈弓相關參數選擇合適的支架。LSA前緣主動脈直徑、LSA開口直徑、LSA與左頸總動脈的距離、LSA后緣與原發破口的距離、遠端錨定區直徑等來選擇支架型號。支架移植物直徑選取oversize 5%左右的分支支架。由經驗豐富的外科醫生使用術前計算機斷層掃描血管造影(computed tomography angiography,CTA)測量。基于這些測量,為10例患者選擇合適的支架,見表2。

手術細節:(1)所有患者均給予全身麻醉,暴露左側肱動脈和右側股動脈(右側股動脈若夾層累及則選擇左側股動脈);(2)右側腹股溝穿入6-F股鞘,在透視下將導絲和豬尾導管推進升主動脈。分別行髂動脈,升主動脈造影,確認導管在真腔;(3)左側肱動脈置入7-F橈鞘,經股動脈抓捕建立分支軌道;(4)再次動脈造影以識別近端原發性破口位置,并再次測量LSA開口前緣主動脈直徑,以選擇合適的支架;(5)經右股動脈置入超硬導絲,送入覆膜支架輸送裝置,控制血壓100 mm Hg,釋放支架主體及分支;(6)支架釋放后,再次進行主動脈造影以顯示破口或潰瘍部位是否被很好地隔絕,是否有任何內漏發生,并評估分支部分和其他主動脈弓血管的通暢程度。每例患者術后均給予阿司匹林口服(100 mg qd),所有手術均由具有足夠TEVAR經驗的資深醫生執行。上訴步驟見圖1。

a:首先為分支段建立牽引導線導管,主干線置入超硬導絲;b:將Castor裝置推進至主動脈弓內適當位置,同步牽拉出分支路段牽引導管和牽引線,外鞘留在降主動脈內;c:將分支部分拉入左鎖骨下動脈,并撤出軟鞘;d:主體和分支段支架展開
1.3 隨訪
通過電話或門診對患者進行隨訪。隨訪內容包括患者一般情況,術后是否出現術后相關并發,雙上肢血壓等情況。術后常規口服阿司匹林100 mg/d,抗血小板3~6個月。隨訪方案除患者自身門診隨訪外,在患者術后1個月、3個月、6 個月和12個月以及之后每年至少一次對患者定期隨訪,除一般體格檢查外,復查主動脈CTA,評估支架通暢情況,是否存在內漏,分支狹窄或閉塞,記錄患者術前升主動脈血腫厚度,術后血腫吸收情況,降主動脈假腔直徑或血腫厚度及術后情況,以評價術后血管重建情況。
1.4 統計學分析
數據采用SPSS 17.0進行統計分析。連續變量表示為平數±標準差(±s),分類變量表示為百分比(%)。組之間的連續變量使用雙側t檢驗進行比較。P≤0.05為差異有統計學意義。
1.5 倫理審查
本研究經香港大學深圳醫院倫理委員會批準(hkuszh2023079)。
2 結果
2.1 圍術期結果
所有患者在在入院后積極控制心率和血壓(P:60~70/min;BP:100~120/60~70 mm Hg)。術后即刻主動脈造影顯示,所有患者均成功封堵了病變,術中造影顯示支架通暢,未發生內漏。術后未發生腦卒中、急性心肌梗死、腎功能衰竭或左上肢缺血等嚴重并發癥。2、5號患者因破口緊鄰LSA,LSA與左頸總動脈(left common carotid,LCCA)距離較短,為延長錨定距離。將分支支架分支部分置入LCCA。2號患者在分支后預開窗0.5 cm×0.5 cm,開窗孔正對LSA,為避免內漏經開窗孔置入10 mm×40 mm Fluency plus覆膜支架(巴德醫療,美國)(圖2)。5號患者分支后開窗1 cm×1 cm,開窗孔正對LSA,術中造影開窗孔對位良好,未見內漏,遂未置入支架。術后造影均未出現弓部分支狹窄或閉塞。

a、b:顯示破口緊鄰LSA,LSA與LCCA之間距離較短,升主動脈及弓部為壁間血腫表現;c:術中造影提示病變位于LSA遠端緊鄰LSA開口,術中放置單分支支架于LCCA中,分支后開窗,避免LSA封堵,延長錨定區;d:在開窗部位置入支架;e:術后隨訪復查升主動脈血腫吸收,支架通暢,位置形態良好,未見內漏
2.2 隨訪結果
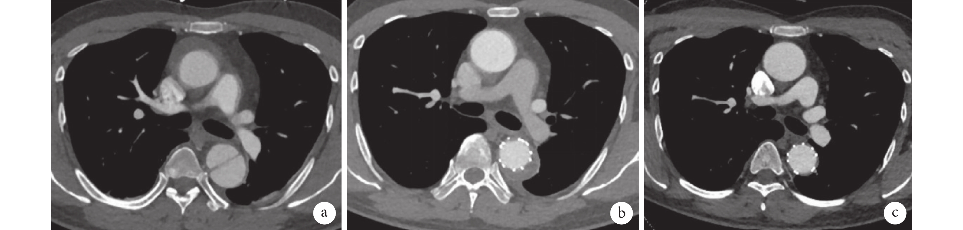
平均隨訪5~28(21±7)個月。隨訪期間未發現截癱、神經系統并發癥、腎衰竭、左上肢缺血、夾層破裂等并發癥。復查CTA提示支架形態良好,無支架移位及內漏發生。所有患者IMH完全或幾乎完全吸收,降主動脈假腔或血腫縮小(圖3)。1例患者(9)支架近端新發破口,并在TEVAR術后1周接受開放手術。截至最后一次隨訪主動脈CTA,所有患者升主動脈血腫、降主動脈血腫或假腔厚度均顯著降低(表3、圖4)。No.9患者術前CTA提示主動脈弓部未見明確破口或潰瘍,行單分支支架置入,術中支架通暢,未見內漏,術后患者持續胸痛不緩解,術后1周復查主動脈CTA提示小彎側支架近端新發破口,再次行開胸手術置換升主動脈及部分主動脈弓(圖5),術后患者恢復情況良好。此并發癥出現可能有以下原因:(1)該患者入院時因存在血壓下降,胸腔積液,存在持續性胸痛不緩解,擔心血管有破裂風險,在發病第1 d即接受了急診支架型腔內修復術(TEVAR)手術治療,患者急性期手術,血腫內膜可能不穩定,易破裂有關。(2)患者有夾層家族史,父親因夾層去世,不排除有血管壁先天性質量問題。(3)患者LSA近端直徑測量27 mm,因急診手術缺貨,術中不得已選取了較大型號支架(32 mm),oversize過大導致內膜撕裂。

a:提升升主動脈血腫,降主動脈夾層改變;b:術后1個月復查主動脈CTA提示升主動脈血腫完全吸收,降主動脈真腔擴張,假腔血栓化縮小;c:術后6個月復查主動脈CTA提示升主動脈,降主動脈血腫完全吸收



a:提示主動脈弓部未見明確破口;b:手術置入單分支支架,造影提示支架形態良好,未見內漏;c:術后1周復查,發現小彎側出現破口,后開胸行升主動脈及部分主動脈弓人工血管置換手術。
3 討論
目前對于逆撕A型IMH的治療報道較少, 對該病的處理尚缺乏共識。A型IMH具有較高的腦部并發癥及死亡風險。對于A型血腫患者選擇保守治療或外科手術治療仍存在爭議[4-5]。部分學者主張開胸手術,利用人工血管替換病變的主動脈,其能徹底的修補病變血管,對于年輕患者是較好的選擇[6-7]。但開放手術創傷大,術后并發癥發生率和死亡率較高,對于年齡較大、基礎疾病多的患者,手術風險仍然較大[8]。與傳統的開放式手術治療相比,TEVAR具有創傷少、手術時間短、輸血少等優點[9]。有研究[10]對比開放手術與TEVAR手術治療逆撕A型血腫的療效,研究發現兩種手術方式,5年全因死亡率、再干預率和主動脈相關死亡率差異均無統計學意義,但TEVAR在降低術后并發癥發生率和更好地改善降主動脈重塑方面效果更好。一些研究[11-12]已證實了TEVAR治療逆撕A型血腫的成功經驗,早期、中期結果令人滿意,患者術后死亡率及不良事件發生率低。本研究的重點是使用castor單分支支架治療此類患者,對破口或夾層內膜靠近LSA的患者,應用castor單分支支架以期達到更理想的封閉病變的目的。
既往研究[13]表明,開窗和煙囪技術可能適用于治療某些主動脈弓部的病變,同時保證患者大腦和上肢的血液供應。然而,煙囪技術存在支架間內漏和腦梗塞的風險[14],尤其是當夾層破口靠近分支動脈開口的情況下。不僅如此,當使用開窗技術治療主動脈弓部病變時,由于主動脈弓的天然彎曲以及弓部分支動脈的位置多變,開窗孔較難與分支動脈開口準確對齊,增加分支血管閉塞風險。單分支主動脈覆膜支架只需一次導入、釋放,操作相對簡單,無需開窗或煙囪手術等復雜操作,且分支支架一體化的設計可避免既往手術中主體支架與煙囪小支架之間的縫隙可能導致的內漏。
TEAVR的理想近端錨定區應在健康的主動脈段內,這是共識。正如一些研究人員所示,放置在IMH上可能會增加TEVAR后逆撕A型主動脈夾層(Retrograde type A aortic dissection,RAAD)的風險[15],對于行TEVAR的逆撕A型IMH患者,新的RAAD的形成是較嚴重的并發癥之一,不容忽視[16]。TEVAR后逆撕TAAD的危險因素包括支架移植物尺寸過大、使用頂端帶有裸支架的支架、主動脈弓擴張等[17]。在進行TEVAR時,選擇合適的支架對于防止IMH進展為AD非常重要,在我們的研究中,我們所有患者盡量選擇支架5%左右的oversize,以減少支架對血腫的支撐與損傷。1例患者因急診手術選擇了大號支架,后面出現了支架近端破口,提示較大型號的支架對血腫患者內膜損傷的可能性。
對于病變靠近LSA,錨定區不足的患者,我們可以通過覆蓋LSA來獲得足夠的錨定區。然而部分患者在LSA覆蓋后會出現左上肢無力、脊髓缺血和后腦卒中的風險。因此,目前越來越多的研究建議將LSA血運重建作為TEVAR期間的關鍵手術,特別是在神經事件高風險的患者中[18]。目前,處理LSA血運重建的方法有雜交手術,即先進行頸動脈-鎖骨下動脈搭橋或轉流,再置入支架封閉LSA開口。然而,這種技術也存在較高的神經系統并發癥[19]。Castor支架一體式的設計模式,保證了分支血供,避免了由于拼接而帶來的內漏風險,且支架分支錨定在LSA內,能夠更牢固地錨定在血管內,避免支架移位的風險。其符合正常解剖的單分支設計能夠最大程度地覆蓋血腫部位,特別是病變位于大彎側的患者,能夠更大程度地覆蓋破口區域,促進血腫的吸收,且主體支架前端無裸支架段,減少了支架對主動脈弓部血管壁的損傷。
TEVAR應用于逆撕A型IMH的最佳時機仍然是一個有爭議的問題,血管內治療的時機對患者的預后和生存非常重要。有研究[20-21]表明,及時干預可以為逆撕A型IMH取得良好的結果。也有學者[22]提出對于病情穩定的患者,適當延遲干預可以降低TEVAR并發癥的風險。原因如下:第一,急性期主動脈壁脆弱,急診支架置入容易造成血管壁的損傷。其次,適當延遲干預可以再次復查主動脈CTA,確保升主動脈中沒有不易發現的局灶性小的內膜破口,否則可能需要進行開放手術[23]。根據我們的經驗,我們試圖穩定血壓和控制胸痛;情況允許的情況,大約1~2周,我們復查主動脈CTA以評估血腫的演變,觀察主動脈壁破口及血腫厚度及范圍是否有進展。這種方法能夠進一步明確破口位置,以完全覆蓋血腫破口所在的胸主動脈部分。期間我們會按時行心臟超聲檢查,觀察升主動脈血腫情況,對于血腫持續增厚,患者癥狀持續不緩解患者,盡早復查主動脈CTA,盡早手術干預。
4 總結
對于原發破口在主動脈弓以遠的逆撕A型血腫患者,應用Castor單分支支架治療該類疾病是一種可行、安全、有效的治療選擇。術前仔細評估,篩選合適的患者,術中選擇合適的支架型號及適宜的手術時機是手術成功的關鍵。大樣本量及遠期療效有待進一步研究證實。
本研究得到了深圳市醫療衛生三名工程“復旦大學附屬中山醫院王春生教授心血管外科團隊”項目資助,特此致謝!
作者貢獻:陳白浪負責數據采集和初稿撰寫;王贊鑫和魏民新負責論文設計和全文審校;莊賢勉和劉海兵負責文獻檢索和論文修改;陳瑤和張銳負責數據整理。
主動脈壁間血腫(intramural hematoma,IMH)累及升主動脈時,定義為A型主動脈壁間血腫[1]。IMH的病因目前認為與主動脈壁內滋養血管破裂或動脈粥樣斑塊進展引起的內膜破裂有關。有部分A型血腫患者破口或潰瘍位于降主動脈,血流經破口或潰瘍逆撕至主動脈弓或升主動脈,形成血腫。目前將此類壁間血腫患者定義為逆撕A型血腫(retrograde type A intramural hematoma,re-TAIMH)[2]。
對于re-TAIMH患者選擇何種手術方式仍存在爭議。對于升主動脈或弓部存在明顯破口的壁間血腫患者,目前還是以開胸人工血管置換為主。但對于破口存在于降主動脈的逆撕A型血腫患者,血管內主動脈修復術已嶄露頭角,并在部分入選患者中成功應用[3]。與B型夾層修復類似,該技術的核心思想是阻斷潰瘍或血流流入的破口。覆蓋左鎖骨下動脈(left subclavical artery,LSA)遠端破口的支架移植物能夠防止IMH的進展從而促使血腫快速吸收消退。本研究中,我們報道了使用單分支支架治療破口或潰瘍位于主動脈弓遠端的逆撕A型壁間血腫,早期取得了不錯的臨床療效,現報道如下。
1 資料與方法
1.1 患者一般信息
回顧性分析2020年7月—2022年11月香港大學深圳醫院心血管外科診斷為逆撕A型血腫患者的臨床資料。納入標準:(1)所有患者均基于CT血管造影診斷為逆撕A型血腫;(2)升主動脈最大血腫厚度≤10 mm。排除標準:(1)患者要求保守治療或放棄治療;(2)原發性破口或潰瘍位于升主動脈或主動脈弓。共納入10例re-TAIMH患者,均接受單分支支架腔內支架隔絕術。其中男9例、女1例,年齡為32~66(47±10.4)歲;見表1。

1.2 手術方法
手術在DSA手術室進行,所有患者給予全身麻醉。術前通過測量患者主動脈弓相關參數選擇合適的支架。LSA前緣主動脈直徑、LSA開口直徑、LSA與左頸總動脈的距離、LSA后緣與原發破口的距離、遠端錨定區直徑等來選擇支架型號。支架移植物直徑選取oversize 5%左右的分支支架。由經驗豐富的外科醫生使用術前計算機斷層掃描血管造影(computed tomography angiography,CTA)測量。基于這些測量,為10例患者選擇合適的支架,見表2。

手術細節:(1)所有患者均給予全身麻醉,暴露左側肱動脈和右側股動脈(右側股動脈若夾層累及則選擇左側股動脈);(2)右側腹股溝穿入6-F股鞘,在透視下將導絲和豬尾導管推進升主動脈。分別行髂動脈,升主動脈造影,確認導管在真腔;(3)左側肱動脈置入7-F橈鞘,經股動脈抓捕建立分支軌道;(4)再次動脈造影以識別近端原發性破口位置,并再次測量LSA開口前緣主動脈直徑,以選擇合適的支架;(5)經右股動脈置入超硬導絲,送入覆膜支架輸送裝置,控制血壓100 mm Hg,釋放支架主體及分支;(6)支架釋放后,再次進行主動脈造影以顯示破口或潰瘍部位是否被很好地隔絕,是否有任何內漏發生,并評估分支部分和其他主動脈弓血管的通暢程度。每例患者術后均給予阿司匹林口服(100 mg qd),所有手術均由具有足夠TEVAR經驗的資深醫生執行。上訴步驟見圖1。

a:首先為分支段建立牽引導線導管,主干線置入超硬導絲;b:將Castor裝置推進至主動脈弓內適當位置,同步牽拉出分支路段牽引導管和牽引線,外鞘留在降主動脈內;c:將分支部分拉入左鎖骨下動脈,并撤出軟鞘;d:主體和分支段支架展開
1.3 隨訪
通過電話或門診對患者進行隨訪。隨訪內容包括患者一般情況,術后是否出現術后相關并發,雙上肢血壓等情況。術后常規口服阿司匹林100 mg/d,抗血小板3~6個月。隨訪方案除患者自身門診隨訪外,在患者術后1個月、3個月、6 個月和12個月以及之后每年至少一次對患者定期隨訪,除一般體格檢查外,復查主動脈CTA,評估支架通暢情況,是否存在內漏,分支狹窄或閉塞,記錄患者術前升主動脈血腫厚度,術后血腫吸收情況,降主動脈假腔直徑或血腫厚度及術后情況,以評價術后血管重建情況。
1.4 統計學分析
數據采用SPSS 17.0進行統計分析。連續變量表示為平數±標準差(±s),分類變量表示為百分比(%)。組之間的連續變量使用雙側t檢驗進行比較。P≤0.05為差異有統計學意義。
1.5 倫理審查
本研究經香港大學深圳醫院倫理委員會批準(hkuszh2023079)。
2 結果
2.1 圍術期結果
所有患者在在入院后積極控制心率和血壓(P:60~70/min;BP:100~120/60~70 mm Hg)。術后即刻主動脈造影顯示,所有患者均成功封堵了病變,術中造影顯示支架通暢,未發生內漏。術后未發生腦卒中、急性心肌梗死、腎功能衰竭或左上肢缺血等嚴重并發癥。2、5號患者因破口緊鄰LSA,LSA與左頸總動脈(left common carotid,LCCA)距離較短,為延長錨定距離。將分支支架分支部分置入LCCA。2號患者在分支后預開窗0.5 cm×0.5 cm,開窗孔正對LSA,為避免內漏經開窗孔置入10 mm×40 mm Fluency plus覆膜支架(巴德醫療,美國)(圖2)。5號患者分支后開窗1 cm×1 cm,開窗孔正對LSA,術中造影開窗孔對位良好,未見內漏,遂未置入支架。術后造影均未出現弓部分支狹窄或閉塞。

a、b:顯示破口緊鄰LSA,LSA與LCCA之間距離較短,升主動脈及弓部為壁間血腫表現;c:術中造影提示病變位于LSA遠端緊鄰LSA開口,術中放置單分支支架于LCCA中,分支后開窗,避免LSA封堵,延長錨定區;d:在開窗部位置入支架;e:術后隨訪復查升主動脈血腫吸收,支架通暢,位置形態良好,未見內漏
2.2 隨訪結果
平均隨訪5~28(21±7)個月。隨訪期間未發現截癱、神經系統并發癥、腎衰竭、左上肢缺血、夾層破裂等并發癥。復查CTA提示支架形態良好,無支架移位及內漏發生。所有患者IMH完全或幾乎完全吸收,降主動脈假腔或血腫縮小(圖3)。1例患者(9)支架近端新發破口,并在TEVAR術后1周接受開放手術。截至最后一次隨訪主動脈CTA,所有患者升主動脈血腫、降主動脈血腫或假腔厚度均顯著降低(表3、圖4)。No.9患者術前CTA提示主動脈弓部未見明確破口或潰瘍,行單分支支架置入,術中支架通暢,未見內漏,術后患者持續胸痛不緩解,術后1周復查主動脈CTA提示小彎側支架近端新發破口,再次行開胸手術置換升主動脈及部分主動脈弓(圖5),術后患者恢復情況良好。此并發癥出現可能有以下原因:(1)該患者入院時因存在血壓下降,胸腔積液,存在持續性胸痛不緩解,擔心血管有破裂風險,在發病第1 d即接受了急診支架型腔內修復術(TEVAR)手術治療,患者急性期手術,血腫內膜可能不穩定,易破裂有關。(2)患者有夾層家族史,父親因夾層去世,不排除有血管壁先天性質量問題。(3)患者LSA近端直徑測量27 mm,因急診手術缺貨,術中不得已選取了較大型號支架(32 mm),oversize過大導致內膜撕裂。

a:提升升主動脈血腫,降主動脈夾層改變;b:術后1個月復查主動脈CTA提示升主動脈血腫完全吸收,降主動脈真腔擴張,假腔血栓化縮小;c:術后6個月復查主動脈CTA提示升主動脈,降主動脈血腫完全吸收



a:提示主動脈弓部未見明確破口;b:手術置入單分支支架,造影提示支架形態良好,未見內漏;c:術后1周復查,發現小彎側出現破口,后開胸行升主動脈及部分主動脈弓人工血管置換手術。
3 討論
目前對于逆撕A型IMH的治療報道較少, 對該病的處理尚缺乏共識。A型IMH具有較高的腦部并發癥及死亡風險。對于A型血腫患者選擇保守治療或外科手術治療仍存在爭議[4-5]。部分學者主張開胸手術,利用人工血管替換病變的主動脈,其能徹底的修補病變血管,對于年輕患者是較好的選擇[6-7]。但開放手術創傷大,術后并發癥發生率和死亡率較高,對于年齡較大、基礎疾病多的患者,手術風險仍然較大[8]。與傳統的開放式手術治療相比,TEVAR具有創傷少、手術時間短、輸血少等優點[9]。有研究[10]對比開放手術與TEVAR手術治療逆撕A型血腫的療效,研究發現兩種手術方式,5年全因死亡率、再干預率和主動脈相關死亡率差異均無統計學意義,但TEVAR在降低術后并發癥發生率和更好地改善降主動脈重塑方面效果更好。一些研究[11-12]已證實了TEVAR治療逆撕A型血腫的成功經驗,早期、中期結果令人滿意,患者術后死亡率及不良事件發生率低。本研究的重點是使用castor單分支支架治療此類患者,對破口或夾層內膜靠近LSA的患者,應用castor單分支支架以期達到更理想的封閉病變的目的。
既往研究[13]表明,開窗和煙囪技術可能適用于治療某些主動脈弓部的病變,同時保證患者大腦和上肢的血液供應。然而,煙囪技術存在支架間內漏和腦梗塞的風險[14],尤其是當夾層破口靠近分支動脈開口的情況下。不僅如此,當使用開窗技術治療主動脈弓部病變時,由于主動脈弓的天然彎曲以及弓部分支動脈的位置多變,開窗孔較難與分支動脈開口準確對齊,增加分支血管閉塞風險。單分支主動脈覆膜支架只需一次導入、釋放,操作相對簡單,無需開窗或煙囪手術等復雜操作,且分支支架一體化的設計可避免既往手術中主體支架與煙囪小支架之間的縫隙可能導致的內漏。
TEAVR的理想近端錨定區應在健康的主動脈段內,這是共識。正如一些研究人員所示,放置在IMH上可能會增加TEVAR后逆撕A型主動脈夾層(Retrograde type A aortic dissection,RAAD)的風險[15],對于行TEVAR的逆撕A型IMH患者,新的RAAD的形成是較嚴重的并發癥之一,不容忽視[16]。TEVAR后逆撕TAAD的危險因素包括支架移植物尺寸過大、使用頂端帶有裸支架的支架、主動脈弓擴張等[17]。在進行TEVAR時,選擇合適的支架對于防止IMH進展為AD非常重要,在我們的研究中,我們所有患者盡量選擇支架5%左右的oversize,以減少支架對血腫的支撐與損傷。1例患者因急診手術選擇了大號支架,后面出現了支架近端破口,提示較大型號的支架對血腫患者內膜損傷的可能性。
對于病變靠近LSA,錨定區不足的患者,我們可以通過覆蓋LSA來獲得足夠的錨定區。然而部分患者在LSA覆蓋后會出現左上肢無力、脊髓缺血和后腦卒中的風險。因此,目前越來越多的研究建議將LSA血運重建作為TEVAR期間的關鍵手術,特別是在神經事件高風險的患者中[18]。目前,處理LSA血運重建的方法有雜交手術,即先進行頸動脈-鎖骨下動脈搭橋或轉流,再置入支架封閉LSA開口。然而,這種技術也存在較高的神經系統并發癥[19]。Castor支架一體式的設計模式,保證了分支血供,避免了由于拼接而帶來的內漏風險,且支架分支錨定在LSA內,能夠更牢固地錨定在血管內,避免支架移位的風險。其符合正常解剖的單分支設計能夠最大程度地覆蓋血腫部位,特別是病變位于大彎側的患者,能夠更大程度地覆蓋破口區域,促進血腫的吸收,且主體支架前端無裸支架段,減少了支架對主動脈弓部血管壁的損傷。
TEVAR應用于逆撕A型IMH的最佳時機仍然是一個有爭議的問題,血管內治療的時機對患者的預后和生存非常重要。有研究[20-21]表明,及時干預可以為逆撕A型IMH取得良好的結果。也有學者[22]提出對于病情穩定的患者,適當延遲干預可以降低TEVAR并發癥的風險。原因如下:第一,急性期主動脈壁脆弱,急診支架置入容易造成血管壁的損傷。其次,適當延遲干預可以再次復查主動脈CTA,確保升主動脈中沒有不易發現的局灶性小的內膜破口,否則可能需要進行開放手術[23]。根據我們的經驗,我們試圖穩定血壓和控制胸痛;情況允許的情況,大約1~2周,我們復查主動脈CTA以評估血腫的演變,觀察主動脈壁破口及血腫厚度及范圍是否有進展。這種方法能夠進一步明確破口位置,以完全覆蓋血腫破口所在的胸主動脈部分。期間我們會按時行心臟超聲檢查,觀察升主動脈血腫情況,對于血腫持續增厚,患者癥狀持續不緩解患者,盡早復查主動脈CTA,盡早手術干預。
4 總結
對于原發破口在主動脈弓以遠的逆撕A型血腫患者,應用Castor單分支支架治療該類疾病是一種可行、安全、有效的治療選擇。術前仔細評估,篩選合適的患者,術中選擇合適的支架型號及適宜的手術時機是手術成功的關鍵。大樣本量及遠期療效有待進一步研究證實。
本研究得到了深圳市醫療衛生三名工程“復旦大學附屬中山醫院王春生教授心血管外科團隊”項目資助,特此致謝!
作者貢獻:陳白浪負責數據采集和初稿撰寫;王贊鑫和魏民新負責論文設計和全文審校;莊賢勉和劉海兵負責文獻檢索和論文修改;陳瑤和張銳負責數據整理。