術前合并冠狀動脈(冠脈)病變的Stanford A型主動脈夾層對大多數心臟外科醫生來說仍然是一項挑戰,有研究[1-2]指出合并冠脈低灌注或嚴重冠脈病變的Stanford A型主動脈夾層患者術后院內死亡率超過50%。手術治療是Stanford A型主動脈夾層的首選治療方案[3-5],影響手術的冠脈相關因素包括冠脈受夾層累及的程度、冠脈狹窄程度、是否植入支架等。對于冠脈支架植入術后的A 型主動脈夾層患者,相關研究并不多見,針對此類患者現總結報道如下。
1 資料與方法
1.1 臨床資料
從2016年4月—2019年7月首都醫科大學附屬北京安貞醫院連續收治1 246例Stanford A型主動脈夾層患者。納入標準:(1) CT血管造影(CT angiography,CTA)確診為Stanford A型主動脈夾層;(2)術前CTA可見冠脈支架;(3) 接受體外循環手術的。排除標準:(1)保守治療;(2)術前主動脈破裂死亡的。最終共納入19例患者,其中男16例、女3例,平均年齡35~66(54±7)歲。所用患者均術前詳細記錄經皮冠狀動脈介入治療(percutaneous coronary intervention,PCI)原因及治療過程,并經主動脈CTA及超聲心動圖確診Stanford A型主動脈夾層。
19例換這種急性期11例,亞急性及慢性期8例,行急診手術14例,擇期手術5例。本組患者中在PCI時導致的醫源性主動脈夾層6例,其中3例是我院PCI時發生的;急性主動脈夾層誤診為急性冠脈綜合征(acute coronary syndrome,ACS)并行PCI治療患者9例,均為外院首診;4例為冠心病既往PCI患者。19例患者中AC型(DeBakey Ⅰ型)主動脈夾層15例,AS型(DeBakey Ⅱ型)4例;支架位于右冠脈者8例,左冠脈者8例,兩側者3例;14例急診手術患者術前48 h內服用了血小板抑制劑;見表1。


1.2 手術方式
全部患者經體外循環直視下手術,AC型中急診11例,其中Bentall+孫氏手術4例,升主動脈置換+孫氏手術2例,Bentall+部分弓置換1例,升主動脈置換+部分弓置換4例;擇期手術4例,Bentall+孫氏手術3例,升主動脈置換+孫氏手術1例。對于AC型主動脈夾層本中心的處理原則是首選行孫氏手術,但是術前綜合判斷患者年齡、全身狀態、破口位置、出血風險等,選擇部分弓置換同樣合理。主動脈根部的處理是難點,結合主動脈根部及冠脈受累的情況,選擇不同的處理方式,包括Bentall、封閉冠脈開口遠端搭橋、冠脈開口成形等。本組4例取出右冠開口的支架;7例同期行冠脈旁路移植術,1例同期行二尖瓣置換術。
1.3 隨訪
術后通過門診、電話進行隨訪。患者于術前、出院前、術后3個月、6個月、術后每年行主動脈CTA、UCG檢查。
1.4 統計學分析
計數資料使用例數和百分比表示。服從正態分布的計量資料使用均數士標準差(±s)表示,組間比較采用χ2 檢驗或Fisher精確概率法。P≤0.05為差異有統計學意義。使用SPSS 22. 0統計軟件(IBM Corp,Armonk,NY)進行數據處理。
1.6 倫理審查
本研究通過首都醫科大學附屬北京安貞醫院倫理委員會批準。
2 結果
2.1 早期結果
15例AC型患者均在中低溫(25℃)單側選擇性腦灌注下完成手術,平均體外循環(205±40)min,心肌阻斷時間(118±38)min,選擇性腦灌注時間(19±6)min。4例AS型患者均在淺低溫下常規體外循環完成手術。本組30 d住院死亡1例,主因術前合并臟器灌注不良,術后死于多臟器功能衰竭;術后主要并發癥包括二次開胸止血1例;有創呼吸機使用超過72 h 7例;神經系統并發癥2例;一過性急性腎功能衰竭使用透析治療2例;18例患者經治療后痊愈出院;見表2。


2.2 隨訪結果
平均隨訪30(18~56)個月。隨訪率100.0%,其中因肺部感染死亡1例;17例生存患者中1例因冠脈吻合口漏行二次漏修補,1例因遠端夾層新發破口行胸主動脈腔內修復術,1例因左主干支架閉塞急診行PCI,1例髂動脈閉塞行股股轉流。
3 討論
體外循環下的直視手術依然是治療急性Stanford A型主動脈夾層的主要方法,臨床中發現合并冠脈支架植入的主動脈夾層患者逐漸增多,但是相關研究并不多見,手術時機和手術方式的選擇是許多心臟外科醫生面臨的問題。本文總結了近年來在我中心治療的合并冠脈支架植入的Stanford A型主動脈夾層患者,對其病因、手術時機、手術技術等進行討論。
根據本組19例患者的資料分析,合并冠脈支架植入的Stanford A型主動脈夾層的患者大概可以分為三類。第一類是冠心病患者在PCI的過程中突發主動脈夾層,這類多歸為醫源性主動脈夾層;第二類是急性主動脈夾層被誤診為ACS進行急診PCI;第三類是冠心病患者既往有PCI病史,突發的主動脈夾層。三類患者中第一類與第三類患者都是合并冠心病的患者,術前冠脈造影對指導是否需要同期行搭橋手術有重要的意義,但是往往第三類患者術前缺少冠脈造影資料。而第二類患者有的是冠脈基本正常,但冠脈開口被夾層累及,被誤以為開口狹窄而行冠脈支架植入術;一種是冠脈有狹窄而植入支架,但延誤了主動脈夾層的診斷。針對不同類型的患者,相應的手術時機和手術方式亦不相同,下面將進行討論。
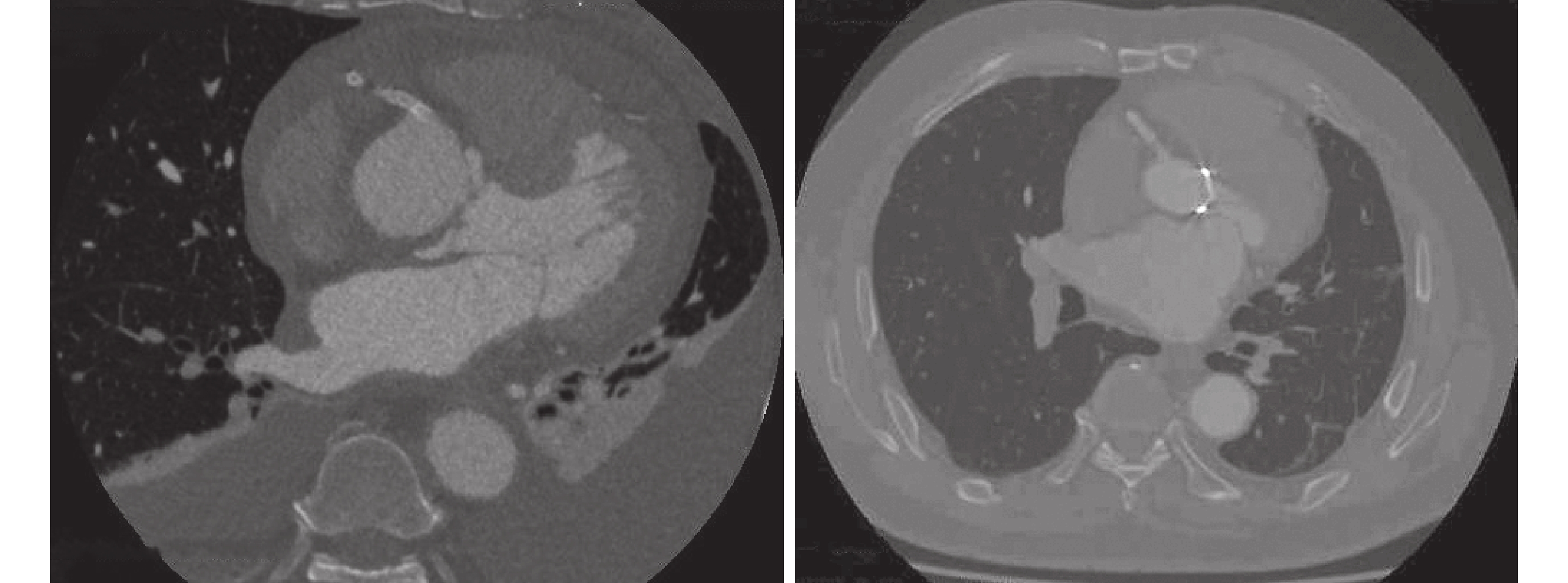
導管相關的醫源性主動脈夾層發生率不高,國外報告發生率在0.039%[6],我中心報道的一組病例發生率為0.03%[7],與國外文獻基本一致。針對冠脈介入操作所造成的主動脈病變,不同中心處理的方式有所不同。Dunning等[8]總結了9例冠脈介入相關性主動脈夾層,將其簡化分為3型。I型是夾層僅局限于主動脈竇;Ⅱ型是累及升主動脈但不超過4 cm;Ⅲ型也是最嚴重的一種類型,累及范圍超過4 cm。針對不同類型,作者提出了不同的治療方案。Ⅰ型與Ⅱ型保守治療效果理想,但Ⅲ型保守治療效果不佳。本組6例醫源性主動脈夾層均屬于Ⅲ型;見圖1。術前均應用了2種血小板抑制劑,經手術治療后均順利康復出院。PCI相關醫源性主動脈夾層的患者雖然術前應用血小板抑制劑再加上急性心肌缺血的風險,如果進行體外循環手術可能帶來災難性的后果;但是對于Ⅲ型的患者,手術治療仍然是有必要的。結合我中心的經驗,我們建議局限的主動脈夾層或主動脈壁內血腫先采取保守治療的措施,如果觀察期間出現明顯胸痛等癥狀或灌注不良等情況應該及時手術治療;對于廣泛受累的Stanford A型主動脈夾層要積極手術治療。

隨著診療手段的提高主動脈夾層誤診率也在不斷降低,但是仍有部分主動脈夾層患者得不到及時準確的診斷,目前誤診為主動脈夾層的排在第一位的就是ACS[9]。因為誤診為ACS而予以負荷劑量的血小板抑制劑或者溶栓甚至急診PCI都給后期治療到來了更多的挑戰[10]。術前應用血小板抑制劑必然導致手術出血的風險增加,因此手術時機的選擇目前還存在爭議,本中心的一項回顧性研究[11]表示術前血小板抑制劑并沒有增加術后出血及并發癥的發生率,因此術前抗血小板治療的急性Stanford A型主動脈夾層也應該盡早手術。在術中或術后使用魚精蛋白是否安全同樣是很多專家關心的問題,本組19例患者均沒有觀察到因魚精蛋白導致的急性冠脈缺血事件的發生,因此魚精蛋白的使用是相對安全的,術中應當盡量止血徹底,術后出血不多的情況下常規抗血小板治療,避免支架內血栓形成[12]。
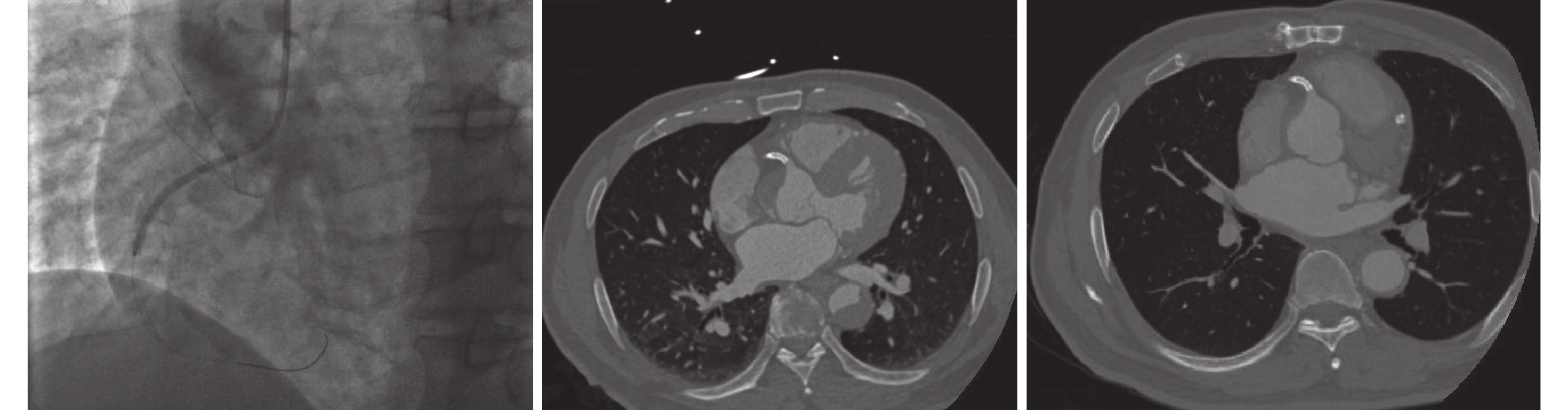
合并冠脈支架植入的Stanford A型主動脈夾層手術中冠脈的處理仍然是一大難題,根據我們的經驗,前面提到的三類患者中第三類冠心病患者既往PCI病史的多數術前沒有相關的冠脈檢查,手術中需要通過心臟復跳的情況來判斷是否需要搭橋。第一和第二類患者因為術前冠脈造影檢查能夠準確了解冠脈病變情況,對術中冠脈處理有積極的指導意義。根據我們的經驗,第一類患者是術中同期行旁路移植術最多的,這與患者本身合并冠脈病變有關,同時往往因夾層累及導致冠脈病變更加嚴重。而第二類患者往往不合并冠心病,多為主動脈夾層累及冠脈開口所致,文獻[13-14]報道Stanford A型主動脈夾層累及冠脈的發生率約為6%~19%,Neri等[15]將其分為三型:A型:局限于冠脈開口的內膜剝離;B型:內膜剝離至冠脈內,冠脈假腔形成(假腔多位于冠脈上方);C型:冠脈內膜套筒樣剝離并離斷。B型與C型更容易被誤診為ACS而行PCI,雖然支架在一定程度上可能緩解了心肌灌注不良的情況,但是給手術造成了一定的難度,本組有4例患者術中取出了位于右冠開口的支架;見圖2。我們的經驗是可根據支架釋放的位置和時間長短選擇是否取出支架,結合主動脈根部受累的情況選擇升主動脈置換或者Bentall手術;見圖3。無法重建冠脈開口的則選擇縫閉冠脈開口后行旁路移植術。


合并PCI的Stanford A型主動脈夾層患者手術風險大,術后并發癥發生率高,醫源性主動脈夾層同期行冠脈旁路移植的概率大,對于廣泛受累的 Stanford A型主動脈夾層應當積極手術治療。
利益沖突:無。
作者貢獻:郭世超負責數據收集、數據分析、論文撰寫;孫立忠、朱俊明負責研究設計、手術實施、論文審核;喬志鈺、里程楠負責數據分析。
術前合并冠狀動脈(冠脈)病變的Stanford A型主動脈夾層對大多數心臟外科醫生來說仍然是一項挑戰,有研究[1-2]指出合并冠脈低灌注或嚴重冠脈病變的Stanford A型主動脈夾層患者術后院內死亡率超過50%。手術治療是Stanford A型主動脈夾層的首選治療方案[3-5],影響手術的冠脈相關因素包括冠脈受夾層累及的程度、冠脈狹窄程度、是否植入支架等。對于冠脈支架植入術后的A 型主動脈夾層患者,相關研究并不多見,針對此類患者現總結報道如下。
1 資料與方法
1.1 臨床資料
從2016年4月—2019年7月首都醫科大學附屬北京安貞醫院連續收治1 246例Stanford A型主動脈夾層患者。納入標準:(1) CT血管造影(CT angiography,CTA)確診為Stanford A型主動脈夾層;(2)術前CTA可見冠脈支架;(3) 接受體外循環手術的。排除標準:(1)保守治療;(2)術前主動脈破裂死亡的。最終共納入19例患者,其中男16例、女3例,平均年齡35~66(54±7)歲。所用患者均術前詳細記錄經皮冠狀動脈介入治療(percutaneous coronary intervention,PCI)原因及治療過程,并經主動脈CTA及超聲心動圖確診Stanford A型主動脈夾層。
19例換這種急性期11例,亞急性及慢性期8例,行急診手術14例,擇期手術5例。本組患者中在PCI時導致的醫源性主動脈夾層6例,其中3例是我院PCI時發生的;急性主動脈夾層誤診為急性冠脈綜合征(acute coronary syndrome,ACS)并行PCI治療患者9例,均為外院首診;4例為冠心病既往PCI患者。19例患者中AC型(DeBakey Ⅰ型)主動脈夾層15例,AS型(DeBakey Ⅱ型)4例;支架位于右冠脈者8例,左冠脈者8例,兩側者3例;14例急診手術患者術前48 h內服用了血小板抑制劑;見表1。


1.2 手術方式
全部患者經體外循環直視下手術,AC型中急診11例,其中Bentall+孫氏手術4例,升主動脈置換+孫氏手術2例,Bentall+部分弓置換1例,升主動脈置換+部分弓置換4例;擇期手術4例,Bentall+孫氏手術3例,升主動脈置換+孫氏手術1例。對于AC型主動脈夾層本中心的處理原則是首選行孫氏手術,但是術前綜合判斷患者年齡、全身狀態、破口位置、出血風險等,選擇部分弓置換同樣合理。主動脈根部的處理是難點,結合主動脈根部及冠脈受累的情況,選擇不同的處理方式,包括Bentall、封閉冠脈開口遠端搭橋、冠脈開口成形等。本組4例取出右冠開口的支架;7例同期行冠脈旁路移植術,1例同期行二尖瓣置換術。
1.3 隨訪
術后通過門診、電話進行隨訪。患者于術前、出院前、術后3個月、6個月、術后每年行主動脈CTA、UCG檢查。
1.4 統計學分析
計數資料使用例數和百分比表示。服從正態分布的計量資料使用均數士標準差(±s)表示,組間比較采用χ2 檢驗或Fisher精確概率法。P≤0.05為差異有統計學意義。使用SPSS 22. 0統計軟件(IBM Corp,Armonk,NY)進行數據處理。
1.6 倫理審查
本研究通過首都醫科大學附屬北京安貞醫院倫理委員會批準。
2 結果
2.1 早期結果
15例AC型患者均在中低溫(25℃)單側選擇性腦灌注下完成手術,平均體外循環(205±40)min,心肌阻斷時間(118±38)min,選擇性腦灌注時間(19±6)min。4例AS型患者均在淺低溫下常規體外循環完成手術。本組30 d住院死亡1例,主因術前合并臟器灌注不良,術后死于多臟器功能衰竭;術后主要并發癥包括二次開胸止血1例;有創呼吸機使用超過72 h 7例;神經系統并發癥2例;一過性急性腎功能衰竭使用透析治療2例;18例患者經治療后痊愈出院;見表2。


2.2 隨訪結果
平均隨訪30(18~56)個月。隨訪率100.0%,其中因肺部感染死亡1例;17例生存患者中1例因冠脈吻合口漏行二次漏修補,1例因遠端夾層新發破口行胸主動脈腔內修復術,1例因左主干支架閉塞急診行PCI,1例髂動脈閉塞行股股轉流。
3 討論
體外循環下的直視手術依然是治療急性Stanford A型主動脈夾層的主要方法,臨床中發現合并冠脈支架植入的主動脈夾層患者逐漸增多,但是相關研究并不多見,手術時機和手術方式的選擇是許多心臟外科醫生面臨的問題。本文總結了近年來在我中心治療的合并冠脈支架植入的Stanford A型主動脈夾層患者,對其病因、手術時機、手術技術等進行討論。
根據本組19例患者的資料分析,合并冠脈支架植入的Stanford A型主動脈夾層的患者大概可以分為三類。第一類是冠心病患者在PCI的過程中突發主動脈夾層,這類多歸為醫源性主動脈夾層;第二類是急性主動脈夾層被誤診為ACS進行急診PCI;第三類是冠心病患者既往有PCI病史,突發的主動脈夾層。三類患者中第一類與第三類患者都是合并冠心病的患者,術前冠脈造影對指導是否需要同期行搭橋手術有重要的意義,但是往往第三類患者術前缺少冠脈造影資料。而第二類患者有的是冠脈基本正常,但冠脈開口被夾層累及,被誤以為開口狹窄而行冠脈支架植入術;一種是冠脈有狹窄而植入支架,但延誤了主動脈夾層的診斷。針對不同類型的患者,相應的手術時機和手術方式亦不相同,下面將進行討論。
導管相關的醫源性主動脈夾層發生率不高,國外報告發生率在0.039%[6],我中心報道的一組病例發生率為0.03%[7],與國外文獻基本一致。針對冠脈介入操作所造成的主動脈病變,不同中心處理的方式有所不同。Dunning等[8]總結了9例冠脈介入相關性主動脈夾層,將其簡化分為3型。I型是夾層僅局限于主動脈竇;Ⅱ型是累及升主動脈但不超過4 cm;Ⅲ型也是最嚴重的一種類型,累及范圍超過4 cm。針對不同類型,作者提出了不同的治療方案。Ⅰ型與Ⅱ型保守治療效果理想,但Ⅲ型保守治療效果不佳。本組6例醫源性主動脈夾層均屬于Ⅲ型;見圖1。術前均應用了2種血小板抑制劑,經手術治療后均順利康復出院。PCI相關醫源性主動脈夾層的患者雖然術前應用血小板抑制劑再加上急性心肌缺血的風險,如果進行體外循環手術可能帶來災難性的后果;但是對于Ⅲ型的患者,手術治療仍然是有必要的。結合我中心的經驗,我們建議局限的主動脈夾層或主動脈壁內血腫先采取保守治療的措施,如果觀察期間出現明顯胸痛等癥狀或灌注不良等情況應該及時手術治療;對于廣泛受累的Stanford A型主動脈夾層要積極手術治療。

隨著診療手段的提高主動脈夾層誤診率也在不斷降低,但是仍有部分主動脈夾層患者得不到及時準確的診斷,目前誤診為主動脈夾層的排在第一位的就是ACS[9]。因為誤診為ACS而予以負荷劑量的血小板抑制劑或者溶栓甚至急診PCI都給后期治療到來了更多的挑戰[10]。術前應用血小板抑制劑必然導致手術出血的風險增加,因此手術時機的選擇目前還存在爭議,本中心的一項回顧性研究[11]表示術前血小板抑制劑并沒有增加術后出血及并發癥的發生率,因此術前抗血小板治療的急性Stanford A型主動脈夾層也應該盡早手術。在術中或術后使用魚精蛋白是否安全同樣是很多專家關心的問題,本組19例患者均沒有觀察到因魚精蛋白導致的急性冠脈缺血事件的發生,因此魚精蛋白的使用是相對安全的,術中應當盡量止血徹底,術后出血不多的情況下常規抗血小板治療,避免支架內血栓形成[12]。
合并冠脈支架植入的Stanford A型主動脈夾層手術中冠脈的處理仍然是一大難題,根據我們的經驗,前面提到的三類患者中第三類冠心病患者既往PCI病史的多數術前沒有相關的冠脈檢查,手術中需要通過心臟復跳的情況來判斷是否需要搭橋。第一和第二類患者因為術前冠脈造影檢查能夠準確了解冠脈病變情況,對術中冠脈處理有積極的指導意義。根據我們的經驗,第一類患者是術中同期行旁路移植術最多的,這與患者本身合并冠脈病變有關,同時往往因夾層累及導致冠脈病變更加嚴重。而第二類患者往往不合并冠心病,多為主動脈夾層累及冠脈開口所致,文獻[13-14]報道Stanford A型主動脈夾層累及冠脈的發生率約為6%~19%,Neri等[15]將其分為三型:A型:局限于冠脈開口的內膜剝離;B型:內膜剝離至冠脈內,冠脈假腔形成(假腔多位于冠脈上方);C型:冠脈內膜套筒樣剝離并離斷。B型與C型更容易被誤診為ACS而行PCI,雖然支架在一定程度上可能緩解了心肌灌注不良的情況,但是給手術造成了一定的難度,本組有4例患者術中取出了位于右冠開口的支架;見圖2。我們的經驗是可根據支架釋放的位置和時間長短選擇是否取出支架,結合主動脈根部受累的情況選擇升主動脈置換或者Bentall手術;見圖3。無法重建冠脈開口的則選擇縫閉冠脈開口后行旁路移植術。


合并PCI的Stanford A型主動脈夾層患者手術風險大,術后并發癥發生率高,醫源性主動脈夾層同期行冠脈旁路移植的概率大,對于廣泛受累的 Stanford A型主動脈夾層應當積極手術治療。
利益沖突:無。
作者貢獻:郭世超負責數據收集、數據分析、論文撰寫;孫立忠、朱俊明負責研究設計、手術實施、論文審核;喬志鈺、里程楠負責數據分析。