引用本文: 干昌平, 彭玲, 梁終磊, 宋海波, 阮偉強, 賃可. 經皮穿刺右心室封堵干下型室間隔缺損一例. 中國胸心血管外科臨床雜志, 2016, 23(7): 749-750. doi: 10.7507/1007-4848.20160179 復制
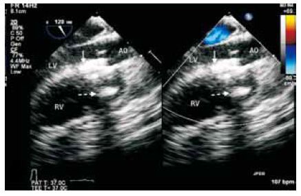
臨床資料?患兒,男,3歲。因“體檢發現心臟雜音1+年”入院。入院查體可于胸骨左緣第2至第3肋間聞及全收縮期III/6級雜音。入院后心臟彩色超聲心動圖提示“先天性心臟病:室間隔缺損(干下型)”,彩色超聲心動圖檢查未發現明顯主動脈瓣脫垂或反流,患兒其他術前檢查均無特殊。結合我院長期應用胸骨旁小切口經心室穿刺封堵室間隔缺損的經驗[1-2],為取得更好的微創治療效果,故采用經皮穿刺右心室封堵的方法完成該病例的治療。患兒術前經胸超聲心動圖檢查需明確右心室流出道有無明顯冠狀動脈分支分布,全身麻醉后再次行食管超聲檢查確認診斷并測量室間隔缺損大小。我們選取胸骨左緣第3肋間,穿刺前外科醫生以手指按壓肋間隙擬穿刺部位并結合食管超聲圖像明確穿刺點。為避免損傷乳內動脈,穿刺點貼近胸骨邊緣。取20 G鞘管穿刺針穿刺皮膚,在食管超聲連續引導下穿刺進入肺動脈瓣下右心室流出道,拔出針芯交換引導鋼絲進入右心室并通過室間隔缺損進入左心室。取出穿刺針鞘管,經鋼絲引導經皮穿刺置入6F輸送鞘并按照以往報道的經心室穿刺干下型室間隔缺損封堵技術完成室間隔缺損封堵[1]。食管超聲確認封堵無殘余分流及主動脈瓣反流等問題后,釋放封堵器。與以往技術不同之處在于,封堵器釋放后并不立即撤出穿刺輸送鞘管,需保持鞘管尖端位于右心室流出道內(圖 1),并再次通過輸送鞘管置入一枚5 mm膜周部室間隔缺損封堵器(上海形狀記憶合金有限公司)。該封堵器左傘盤先于右心室流出道內釋放(圖 2),并回拉使其緊貼右心室流出道穿刺處內壁(圖 3),接著于心臟外釋放右傘盤,完成對穿刺點的封堵(圖 4)。確認該創道封堵器兩傘盤位置后完成釋放,取出鋼纜,經鞘管注入液體明膠(Surgiflo,美國)填充心臟外右傘盤,并一邊緩緩取出鞘管一邊注入液體明膠填充皮下及胸壁創道。封堵結束后胸壁僅見一針道創口,無需縫合(圖 5)。患兒術后恢復良好,圍術期及1年隨訪期內均未發現心包積液、殘余分流、主動脈瓣反流、右室流出道梗阻或心律失常。





討論?干下型室間隔缺損因其與主動脈瓣關系密切,易繼發主動脈瓣脫垂及反流而需要早期處理[3]。傳統開胸體外循環手術創傷大,而射線下經皮穿刺介入導管封堵又因技術難度極大而一般被認為不適用于干下型室間隔缺損。過去數年間,本中心利用劍突下或胸骨旁小切口經心室穿刺封堵該類缺損已經取得了較好的療效,將干下型室間隔缺損的微創治療帶入了V 2.0時代,但2 cm左右的手術切口仍有改進的空間。受近年來再次手術患者經皮穿刺左心室心尖技術的啟發[4],我們創新性得將以上兩種技術結合起來,于2015年初在國際范圍內首次完成了非再次手術的干下型室間隔缺損經皮穿刺右心室治療并取得成功,隨訪1年效果滿意。在右心室流出道無明顯冠狀動脈分布的情況下,連續食管超聲檢查可以很好地分辨穿刺路徑與相關解剖結構的關系,安全引導經皮右心室穿刺。封堵完成后,選擇使用封堵器完成右心室創道關閉具有可行性,在熟練操作的情況下安全可靠,本例未見封堵器移位、心包積液或心臟壓塞等明顯并發癥發生。
臨床資料?患兒,男,3歲。因“體檢發現心臟雜音1+年”入院。入院查體可于胸骨左緣第2至第3肋間聞及全收縮期III/6級雜音。入院后心臟彩色超聲心動圖提示“先天性心臟病:室間隔缺損(干下型)”,彩色超聲心動圖檢查未發現明顯主動脈瓣脫垂或反流,患兒其他術前檢查均無特殊。結合我院長期應用胸骨旁小切口經心室穿刺封堵室間隔缺損的經驗[1-2],為取得更好的微創治療效果,故采用經皮穿刺右心室封堵的方法完成該病例的治療。患兒術前經胸超聲心動圖檢查需明確右心室流出道有無明顯冠狀動脈分支分布,全身麻醉后再次行食管超聲檢查確認診斷并測量室間隔缺損大小。我們選取胸骨左緣第3肋間,穿刺前外科醫生以手指按壓肋間隙擬穿刺部位并結合食管超聲圖像明確穿刺點。為避免損傷乳內動脈,穿刺點貼近胸骨邊緣。取20 G鞘管穿刺針穿刺皮膚,在食管超聲連續引導下穿刺進入肺動脈瓣下右心室流出道,拔出針芯交換引導鋼絲進入右心室并通過室間隔缺損進入左心室。取出穿刺針鞘管,經鋼絲引導經皮穿刺置入6F輸送鞘并按照以往報道的經心室穿刺干下型室間隔缺損封堵技術完成室間隔缺損封堵[1]。食管超聲確認封堵無殘余分流及主動脈瓣反流等問題后,釋放封堵器。與以往技術不同之處在于,封堵器釋放后并不立即撤出穿刺輸送鞘管,需保持鞘管尖端位于右心室流出道內(圖 1),并再次通過輸送鞘管置入一枚5 mm膜周部室間隔缺損封堵器(上海形狀記憶合金有限公司)。該封堵器左傘盤先于右心室流出道內釋放(圖 2),并回拉使其緊貼右心室流出道穿刺處內壁(圖 3),接著于心臟外釋放右傘盤,完成對穿刺點的封堵(圖 4)。確認該創道封堵器兩傘盤位置后完成釋放,取出鋼纜,經鞘管注入液體明膠(Surgiflo,美國)填充心臟外右傘盤,并一邊緩緩取出鞘管一邊注入液體明膠填充皮下及胸壁創道。封堵結束后胸壁僅見一針道創口,無需縫合(圖 5)。患兒術后恢復良好,圍術期及1年隨訪期內均未發現心包積液、殘余分流、主動脈瓣反流、右室流出道梗阻或心律失常。





討論?干下型室間隔缺損因其與主動脈瓣關系密切,易繼發主動脈瓣脫垂及反流而需要早期處理[3]。傳統開胸體外循環手術創傷大,而射線下經皮穿刺介入導管封堵又因技術難度極大而一般被認為不適用于干下型室間隔缺損。過去數年間,本中心利用劍突下或胸骨旁小切口經心室穿刺封堵該類缺損已經取得了較好的療效,將干下型室間隔缺損的微創治療帶入了V 2.0時代,但2 cm左右的手術切口仍有改進的空間。受近年來再次手術患者經皮穿刺左心室心尖技術的啟發[4],我們創新性得將以上兩種技術結合起來,于2015年初在國際范圍內首次完成了非再次手術的干下型室間隔缺損經皮穿刺右心室治療并取得成功,隨訪1年效果滿意。在右心室流出道無明顯冠狀動脈分布的情況下,連續食管超聲檢查可以很好地分辨穿刺路徑與相關解剖結構的關系,安全引導經皮右心室穿刺。封堵完成后,選擇使用封堵器完成右心室創道關閉具有可行性,在熟練操作的情況下安全可靠,本例未見封堵器移位、心包積液或心臟壓塞等明顯并發癥發生。