腔道衰竭和腔道氣道瘺是食管切除后罕見的并發癥,但可導致災難性的后果,死亡率非常高。存活者的住院時間會延長,期間遭受更多的醫療干預,經歷更久的時間來恢復經口進食。高度警惕有助于早期診斷。腔道衰竭常需要一段時間的近端食管轉位及階段性重建。腔道氣道瘺可經內鏡修復但失敗率高,很多患者需要手術修復以關閉瘺口,并且填充血管豐富的組織以減少復發。
引用本文: ShariL. Meyerson, ChristopherK. Mehta. 并發癥處理Ⅱ:腔道衰竭和腔道氣道瘺. 中國胸心血管外科臨床雜志, 2016, 23(2): 113-118. doi: 10.7507/1007-4848.20160026 復制
1 概述
盡管明確并不常見,腔道壞死和腔道氣道瘺仍是食管切除術后最擔心的兩種并發癥。二者的死亡率都很高,并可導致腔道毀棄,需要額外的手術重建胃腸道的連續性。而存活者的治療一般均包括延長的ICU和住院時間,以及更多額外的干預和措施。
2 腔道衰竭
目前有許多評價系統用來分類吻合口瘺。其中常用的是Lerut等設計的一套系統(表 1)[1]。在這套系統及其他系統中,最嚴重的級別均包括胃腔道局部壞死導致的外瘺。據報道,胃腔道壞死的發生率為0.5%~3.2%[2-4]。Orringer和同事回顧了1 085例經膈食管切除且以胃腔替代的患者,報道的缺血發生率為2.6%[5]。Ramage及其同事回顧了155例微創食管切除的患者,腔道壞死的發病率也同樣為2.6%[6]。
2.1 高危因素
胃腔道壞死的高危因素可以分為患者相關因素,技術因素以及術后護理。解剖學因素如食管缺少漿膜層以及肌層縱行分布,一般與吻合口瘺相關,但與腔道壞死并不一定相關[7]。清楚腔道的血供非常重要。絕大部分胃腔道由右胃網膜動脈直接供血,其余腔道部分由粘膜下微血管交通支網供血[8]。吻合口有必要建在腔道這些最易缺血的部分。這在移動腔道時非常重要,不但能保留大體血供,還可以避免黏膜下血管叢的損傷。
患者相關危險因素包括消化性潰瘍,既往外照射史,以及嚴重營養不良[9]。消化性潰瘍可引起作為吻合口的腔道區域的局部炎癥。外照射可導致局部纖維化以及胃的微血管網減少,并且可影響腔道的血管形成。在食管腫瘤患者中,嚴重營養不良并非罕見,因為在尋求診治前長短不一的時間段里,患者會嘗試去調整飲食,適應逐漸進展的吞咽困難。嚴重營養不良的患者在食管切除術之前,可經空腸造口術留置飼養管進行營養支持而獲益。有趣的是,糖尿病和圍手術期應用激素與吻合口障礙并無相關性,盡管非常明確它們與創傷愈合欠佳相關[10-11]。盡管年齡是復雜手術死亡率及發病率的相關高危因素,但并沒有證據表明其與腔道壞死或其他吻合口并發癥相關[12]。
技術因素包括胃的移動,重建及放置腔道以及吻合技術。胃用來作為良性和惡性疾病最常見的腔道有如下原因:相對易于移動,僅需要腸吻合口,由相當固定的右胃網膜動脈供血。胃必須根據血供謹慎移動,整個腔道均依賴于這些血供。移動過程中減少對腔道的損傷非常重要,尤其是最近端。Orringer及其同事在一系列超過1 000例患者的研究中,顯示不能充分移動胃腔(而非不恰當的吻合口創建)是導致胃管壞死最可能的原因[5]。腔道的寬度也很重要。Pierie及合作者表明建立過窄的胃管可因血供減少而導致底部壞死[13]。另一方面,腔道過寬也可能在胸腔內顯得多余或通過胸腔入口時受壓。Liebermann-Meffert及同事報道建立胃管腔道理想的寬度是4~5 cm[8]。
在一些放置新食管的常規路徑中,后縱隔路徑可以使腔道排列最佳,張力最小[14]。當右胸腔和縱隔不能放置時,腔道可置于胸骨下,但增加了腔道被鎖骨頭壓迫的風險。皮下放置僅適用于某些極端情況,其缺點是需要更長的長度且增加腔道損傷的幾率[15]。如果后縱隔路徑不可行,胸骨下可作為第二選擇,同時需切除鎖骨頭及部分胸骨柄以避免壓迫。
張力也是預防吻合口并發癥的關鍵因素。選擇吻合口的位置時,需考慮恰當的腔道長度。例如,如果是需要切除近端胃的胃食管結合部的巨大腫瘤,頸部吻合口需承受巨大的張力,則需選擇胸廓內吻合口以減少瘺的發生。有些外科醫生為了降低吻合口張力,嘗試用縫合的方式將腔道沿著錐前筋膜固定,但這可能增加吻合口瘺和胃管底部壞死的風險,應當避免[16]。
有多種吻合技術用來預防瘺和壞死。Law等比較了單層手工吻合與環形端端吻合器吻合,發現二者在瘺的發生率上無差異[17]。Heitmiller及同事報道采用雙層手工頸部吻合時,吻合口瘺的發生率為0.8%[18]。Orringer及同事傾向一種半機械性吻合。一種內鏡用直線切割縫合器用來建立胃食管邊-邊吻合的后壁,前壁則采用單層手工吻合[19]。據他們報道,采用這種方式后,吻合口瘺的發生率明顯降低,自13%~3%。完全吻合器吻合可以采用一下幾種方式:胃前壁端-側吻合,胃后壁端-側吻合,環形吻合器端端吻合,三角線性吻合器端端吻合。一項吻合方式的回顧性研究表明,瘺的發生率最高的是單層手工縫合,狹窄率發生最低的是現行吻合器技術[20]。盡管缺乏共識,所有胃食管吻合技術的一個很重要的目的是容和黏膜以保障吻合口足夠血供。
導致胃腔道壞死的危險因素,一般均適用于使用結腸或空腸,只有少許不同。結腸間置需要至少建立3個吻合口而不是1個,盡管大多數缺血并發癥與胃食管吻合口相關,但也可見于胃腔道。據報道,結腸間置所致的腔道壞死發生率為2.4%~18%,遠高于胃腔道的相關報道[3, 21-22]。類似的,報道的空腸腔道的壞死率高達14.1%[23]。使用結腸和空腸之間的差異,尤其是手術技術的差異,下面會有敘述。
手術后管理也可引起腔道缺血。有報道術后低血壓增加缺血及最終壞死的風險[16]。這可能是由于一些常用的血管加壓藥引起的內臟血管收縮。管腔擴張也可以通過增加管壁張力,對抗毛細血管灌注壓,進而導致灌注下降。為防止這種情況的出現,很多外科醫生完成操作后會常規留置鼻胃管。
2.2 診斷
腔道壞死常反映繼發于吻合口瘺和內臟缺血的縱隔炎和膿毒癥。癥狀和體征包括發熱、胸痛、心動過速、氣促、少尿、低血壓、酸中毒,以及胃管引流出“咖啡樣”物。腔道壞死常為術后早期事件,極少發生于手術后7 d以后[24]。對于所有吻合口瘺,診斷的關鍵是警惕臨床狀態的改變。起始單純的心動過速、發熱,可迅速進展為血流動力學不穩定和多器官系統衰竭。只要初始診斷有懷疑吻合口瘺,均需進行引流,對于頸部食管吻合術來說,就要頸部切開。如果這樣做未能緩解發熱及全身癥狀,則有內鏡、手術指征來明確有無腔道壞死并治療。如果懷疑胸腔內吻合口瘺,則需要食管造影以明確。如果內鏡下黏膜有鵝卵石樣改變,也是缺血性的特征表現。需進一步用內鏡來評估腔道,評估吻合口及新建腔道壞死的范圍。鏡下如有腔道缺血、壞死的證據,則需立即手術治療。內鏡是一項安全的操作,損傷胃腔的風險很低。Page及同事研究了100例食管切除的患者,術后1周內常規行內鏡檢查,沒有胃管、吻合口損傷的風險[25]。CT在其中診斷的作用較小,只能描述大的吻合口瘺,但最常顯示的是縱隔內氣體和液體積聚,而這些可能是術后的正常表現,并不能確診瘺[26]。
2.3 治療
小的吻合口瘺選擇非手術治療。如有足夠的引流和營養,瘺一般會愈合。但是腔道壞死則需急診手術治療。檢查腔道和吻合口,腔道和周圍縱隔的壞死組織需要清除,且需充分的區域引流。如果缺陷不是很深大,可放置一條T管以制造一個可控制的瘺。如果缺陷很大并伴有嚴重的腔道壞死,失活的食管和胃腔道組織需切除,剩余的腔道重新納入腹腔。大部分可能出現膿毒癥的患者的表現包括血流動力學不穩定,常用的保守治療措施包括近端轉位。該情況下不建議重新建立一條新的腔道[27]。近端轉位通過建立臨時的頸部食管切口及空腸切開喂養,膿毒癥緩解后進一步行食管重建。建立頸部食管切口時,須保留盡量長的食管余端,以利于將來重建時保持胃腸腔道的連續性。
胃腔壞死后,食管重建最常用的選擇包括結腸間置和空腸皮瓣作為自由或“高動力”的腔道。結腸間置的優點包括相當穩定的動脈血供,可以替換相當長度的壞死食管腔道。缺點包括可能存在的內臟血管病變和需要三個切口。使用空腸作為腔道,其優點包括與食管相近的管腔大小,內臟血管病變很少累及的動脈血供,有助于食物團移動的活躍蠕動。然而,空腸腔道并不如結腸應用的廣泛,因為其血管解剖限定了只能用于替代短段食管。已經證實,微血管豐富而“高動力”的空腸腔道可以降低缺血并發癥的發生率,并且可滿足長段食管重建,但技術性要求更高,故很多外科醫生并不青睞[28]。
2.4 預后
盡管腔道壞死罕見,但卻可能是災難性的并發癥。尤其當壞死診斷不及時時,住院患者的死亡率可達90%[4]。Iannettoni報道了6例胃尖壞死的患者。2例(33%)住院期間死亡[16]。Schuchert等報道的死亡率相近,3例胃尖壞死患者中有1例死于圍手術期[29]。盡管他們能夠保留腔道,上述兩組的幸存者最終均狹窄,并需要多次擴張。
3 消化道氣道瘺
食管切除術后,氣道和新的食管之間的良性瘺是漢奸但潛在致命的并發癥。報道的腔道氣道瘺發病率是0.04%~0.3%。和腔道壞死類似,易于發生在術后的相對早期階段[30]。腔道和氣道毗鄰的解剖關系可能與瘺的形成相關。如果采用Lvor Lewis方式切除食管,則吻合口恰好位于奇靜脈頭側,氣道膜部的后方。該部位的瘺可能波及到氣管遠端,隆突,右主支氣管或左主支氣管。如果采用經膈或Mckeown方式,吻合口則位于食管頸部,位于器官膜部稍偏左。瘺還可以發生在吻合口以外的部位,瘺可源自沿整個腔道長度的吻合線,進食管道部位或胃潰瘍穿孔部位[31-34]。
3.1 病因
腔道氣道瘺常發生于存在吻合口瘺的情況下。腸內容物和唾液瘺出所致的局部炎癥可引起周圍組織壞死,并進一步侵及氣道。氣道本身可以有或者沒有易致瘺形成的基礎損傷薄弱點。氣道損傷最常見于食管在胸腔內的移動:直接創傷或不恰當的能量源(如電刀)應用。當腫瘤位于隆突水平或之上時,尤其容易發生氣道損傷[35]。氣管插管時也能出現難預料的氣道損傷。在隆突水平,圍繞氣管的廣泛剝離可以破壞局部血供導致缺血。已有報道,徹底的上縱隔淋巴結清掃,導致與食管重疊的氣道膜部去血管化,尤其與瘺的形成相關[36]。Maruyama及同事的研究表明,腔道氣道瘺與3組淋巴結或超過60個淋巴結的全部淋巴結切除相關[37]。還有沿腔道全長度的胃吻合線引起的慢性刺激導致氣道損傷的報道。新的輔助治療可導致先前組織的損傷、缺血。Heitmiller及同事證實,新的輔助化療和新食管瘺風險增加相關[18]。Bartels及同事發現新輔助放療的相關性甚至更強[35]。
即使沒有基礎氣道損傷,吻合口瘺的引流不充分,可局部釋放胃的消化酶而引起炎癥,并可進入氣道形成瘺。在術后長期機械通氣的某些患者,氣管內或氣管切開插管的氣囊壓力是另一個可以導致瘺的慢性因素[38-39]。吻合口瘺成功愈合的患者,可能需要長期治療以預防狹窄。隨著支架在治療吻合口瘺后狹窄方面越來越廣泛的應用,已有支架侵入氣道導致瘺的報道[40]。另外,還有內鏡下擴張吻合口狹窄導致瘺的文獻報道[30]。
3.2 診斷
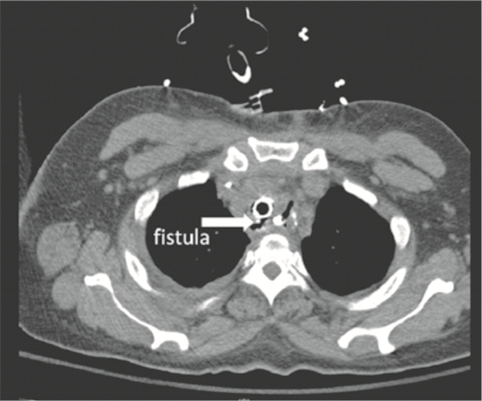
臨床表現因嚴重程度各異,從輕度至危及生命的膿毒癥而不同。瘺最常見的早起癥狀是咳出進食物以及誤吸胃內容物引起的呼吸困難。這些可進展為反復吸入性肺炎及膿毒血癥。有些患者在早期可有少許表現,其他患者則表現為失代償期的化學性伴/不伴細菌性肺炎。食管造影可表現為口服的造影劑進入氣道,但在瘺較小時可能沒有診斷價值。如果臨床高度懷疑或食管造影顯示有瘺,則需進一步內鏡確診。內鏡需觀察上段食管,吻合口,腔道及氣道。吻合口和胃吻合線是瘺的常見部位,需仔細觀察,但有時食管側小的瘺口難以明確。腔道內重疊的黏膜可以遮蔽小的開口。在氣道側可以更好地確診瘺以及瘺的大小和部位。除非患者處于術后的早期階段,否則很重要的一點是,均需瘺活檢以明確是腫瘤復發還是良性病變。如果仍處于術后早期階段,需行CT檢查來明確周圍有沒有液體積聚,如果有,則需要引流。瘺本身偶爾可經CT確診(圖 1),但因敏感性和特異性均不高,故診斷不能依賴CT。

3.3 治療
恰當的治療腔道氣道瘺需要考慮瘺的大小和部位以及患者癥狀的嚴重程度。癥狀輕微的患者,首選內鏡下修復。很多內鏡下技術已被嘗試直接封閉瘺口,包括用伴或不伴薇喬網塞的纖維膠或放置金屬夾[41]。這些措施更適用于瘺管細長者,已有報道預后良好[42-43]。不幸的是,即使上述理想的瘺,這些措施也可能封閉不全或易早期復發[44]。另一種內鏡下措施是用自膨脹支架覆蓋瘺,該支架可以使周圍組織在開口處重塑和瘢痕化。Boyd和Rubio綜述了已發表的該技術經驗,得出結論是覆蓋支架可以在初始更成功的封閉瘺,且能進一步防止氣道損耗,但長期成功率無差異[45]。在該綜述中,有75%的病例初始封閉成功,最常見的失敗原因是支架周圍滲漏導致的愈合不佳。在腔道側放置支架常有困難,因為腔道直徑大,容易導致支架移位以及支架遠端周圍的反流。當瘺位于腔道體部而不死吻合口處時,這點尤為重要。瘺氣道側的直徑對放置支架來說更理想,使壁周邊接觸良好。支架治療的復發率高(39%),必須對患者密切管理以防瘺復發和增大。有種觀點認為,支架過大,則其輻射狀的壓力會導致局部組織缺血,實際上增大瘺而不是愈合瘺。最近有些研究表明,用消化內鏡和氣管鏡在消化道和氣道內分別放置一枚自膨脹支架,可以用來治療食管切除后良性和惡性瘺[46]。這項措施盡管能提高初始愈合率,但之家之間的組織更容易出現壓力性缺血和壞死。這項支架措施封閉瘺口的成功率差異較大,但仍不失為一種臨時處理急性期患者的有用工具。瘺封閉后才易于進一步治療相關的肺炎、按需選擇營養方式,選擇單期重建修復而非急診手術干預。對內鏡和手術封閉后瘺復發的患者,文獻報道的最后一項內鏡措施是放置心臟間隔封堵器[47]。該封堵器有兩個中間相連的自膨脹鎳鈦合金盤片組成,經胃鏡通道由導絲送入。中間的聯接部置于瘺內,兩側的盤片分別封閉瘺兩端。
手術干預需要個體化評估,取決于瘺的位置及周圍組織的質量。想要成功修復需遵循以下原則:清創,引流非存活組織,首先修復氣道和腔道缺陷,氣道、腔道之間置入富血管組織以防瘺復發。包括網膜、心包、胸膜、心包脂肪墊以及肋間肌等多種來源的富血管組織均可成功應用。氣道缺陷如果足夠小,不影響管腔,則可首先關閉。如果缺陷太大,則可用自體組織或生物網,先進行氣道膜部重建,并以富血管組織加固。Bakhos及同事采用肋間肌瓣成功的將瘺修復[31]。Kron及同事描述了一種方法,用心包片修復氣管膜部,然后用背闊肌瓣填充以隔離氣道和腔道[32]。Reams及同事報道,如果難以獲得充分的局部組織,采用內置填充片的生物網可能會有幫助[48]。腔道比氣道更長、更柔軟,故常被首先關閉。罕見的情況下,胃腔可能難以存活,這時應視為胃腔壞死,需切除并治療。Buskens和同事報道的6例食管切除后良性氣道-新食管瘺的患者中,2例患者保守治療,1例患者經右側頸部切口行瘺部分切除,3例患者經部分胃切除后結腸代食管而預后良好[30]。如果食管的連續性中斷,可采用階段重建的方式,先近端食管轉位,然后與結腸重建復位。
4 總結
預防缺血性并發癥最好的辦法是早期識別可能的患者危險因素,手術中謹慎移動腔道,以及積極的術后護理。診斷依賴于術后階段高度警惕患者的異常表現,如膿毒癥、反復肺炎、咳出進食物。腔道壞死需要手術干預,盡量清除失活組織,常在控制縱隔膿毒癥后需要食管轉位及階段性重建。腔道氣道瘺因臨床表現各異而診斷有難度。缺陷的大小、部位,結合癥狀的嚴重程度決定合適的治療方案。即使這些并發癥得到理想的診斷和治療,死亡率還是很高,生存者可能會經受長期的反復干預。
1 概述
盡管明確并不常見,腔道壞死和腔道氣道瘺仍是食管切除術后最擔心的兩種并發癥。二者的死亡率都很高,并可導致腔道毀棄,需要額外的手術重建胃腸道的連續性。而存活者的治療一般均包括延長的ICU和住院時間,以及更多額外的干預和措施。
2 腔道衰竭
目前有許多評價系統用來分類吻合口瘺。其中常用的是Lerut等設計的一套系統(表 1)[1]。在這套系統及其他系統中,最嚴重的級別均包括胃腔道局部壞死導致的外瘺。據報道,胃腔道壞死的發生率為0.5%~3.2%[2-4]。Orringer和同事回顧了1 085例經膈食管切除且以胃腔替代的患者,報道的缺血發生率為2.6%[5]。Ramage及其同事回顧了155例微創食管切除的患者,腔道壞死的發病率也同樣為2.6%[6]。
2.1 高危因素
胃腔道壞死的高危因素可以分為患者相關因素,技術因素以及術后護理。解剖學因素如食管缺少漿膜層以及肌層縱行分布,一般與吻合口瘺相關,但與腔道壞死并不一定相關[7]。清楚腔道的血供非常重要。絕大部分胃腔道由右胃網膜動脈直接供血,其余腔道部分由粘膜下微血管交通支網供血[8]。吻合口有必要建在腔道這些最易缺血的部分。這在移動腔道時非常重要,不但能保留大體血供,還可以避免黏膜下血管叢的損傷。
患者相關危險因素包括消化性潰瘍,既往外照射史,以及嚴重營養不良[9]。消化性潰瘍可引起作為吻合口的腔道區域的局部炎癥。外照射可導致局部纖維化以及胃的微血管網減少,并且可影響腔道的血管形成。在食管腫瘤患者中,嚴重營養不良并非罕見,因為在尋求診治前長短不一的時間段里,患者會嘗試去調整飲食,適應逐漸進展的吞咽困難。嚴重營養不良的患者在食管切除術之前,可經空腸造口術留置飼養管進行營養支持而獲益。有趣的是,糖尿病和圍手術期應用激素與吻合口障礙并無相關性,盡管非常明確它們與創傷愈合欠佳相關[10-11]。盡管年齡是復雜手術死亡率及發病率的相關高危因素,但并沒有證據表明其與腔道壞死或其他吻合口并發癥相關[12]。
技術因素包括胃的移動,重建及放置腔道以及吻合技術。胃用來作為良性和惡性疾病最常見的腔道有如下原因:相對易于移動,僅需要腸吻合口,由相當固定的右胃網膜動脈供血。胃必須根據血供謹慎移動,整個腔道均依賴于這些血供。移動過程中減少對腔道的損傷非常重要,尤其是最近端。Orringer及其同事在一系列超過1 000例患者的研究中,顯示不能充分移動胃腔(而非不恰當的吻合口創建)是導致胃管壞死最可能的原因[5]。腔道的寬度也很重要。Pierie及合作者表明建立過窄的胃管可因血供減少而導致底部壞死[13]。另一方面,腔道過寬也可能在胸腔內顯得多余或通過胸腔入口時受壓。Liebermann-Meffert及同事報道建立胃管腔道理想的寬度是4~5 cm[8]。
在一些放置新食管的常規路徑中,后縱隔路徑可以使腔道排列最佳,張力最小[14]。當右胸腔和縱隔不能放置時,腔道可置于胸骨下,但增加了腔道被鎖骨頭壓迫的風險。皮下放置僅適用于某些極端情況,其缺點是需要更長的長度且增加腔道損傷的幾率[15]。如果后縱隔路徑不可行,胸骨下可作為第二選擇,同時需切除鎖骨頭及部分胸骨柄以避免壓迫。
張力也是預防吻合口并發癥的關鍵因素。選擇吻合口的位置時,需考慮恰當的腔道長度。例如,如果是需要切除近端胃的胃食管結合部的巨大腫瘤,頸部吻合口需承受巨大的張力,則需選擇胸廓內吻合口以減少瘺的發生。有些外科醫生為了降低吻合口張力,嘗試用縫合的方式將腔道沿著錐前筋膜固定,但這可能增加吻合口瘺和胃管底部壞死的風險,應當避免[16]。
有多種吻合技術用來預防瘺和壞死。Law等比較了單層手工吻合與環形端端吻合器吻合,發現二者在瘺的發生率上無差異[17]。Heitmiller及同事報道采用雙層手工頸部吻合時,吻合口瘺的發生率為0.8%[18]。Orringer及同事傾向一種半機械性吻合。一種內鏡用直線切割縫合器用來建立胃食管邊-邊吻合的后壁,前壁則采用單層手工吻合[19]。據他們報道,采用這種方式后,吻合口瘺的發生率明顯降低,自13%~3%。完全吻合器吻合可以采用一下幾種方式:胃前壁端-側吻合,胃后壁端-側吻合,環形吻合器端端吻合,三角線性吻合器端端吻合。一項吻合方式的回顧性研究表明,瘺的發生率最高的是單層手工縫合,狹窄率發生最低的是現行吻合器技術[20]。盡管缺乏共識,所有胃食管吻合技術的一個很重要的目的是容和黏膜以保障吻合口足夠血供。
導致胃腔道壞死的危險因素,一般均適用于使用結腸或空腸,只有少許不同。結腸間置需要至少建立3個吻合口而不是1個,盡管大多數缺血并發癥與胃食管吻合口相關,但也可見于胃腔道。據報道,結腸間置所致的腔道壞死發生率為2.4%~18%,遠高于胃腔道的相關報道[3, 21-22]。類似的,報道的空腸腔道的壞死率高達14.1%[23]。使用結腸和空腸之間的差異,尤其是手術技術的差異,下面會有敘述。
手術后管理也可引起腔道缺血。有報道術后低血壓增加缺血及最終壞死的風險[16]。這可能是由于一些常用的血管加壓藥引起的內臟血管收縮。管腔擴張也可以通過增加管壁張力,對抗毛細血管灌注壓,進而導致灌注下降。為防止這種情況的出現,很多外科醫生完成操作后會常規留置鼻胃管。
2.2 診斷
腔道壞死常反映繼發于吻合口瘺和內臟缺血的縱隔炎和膿毒癥。癥狀和體征包括發熱、胸痛、心動過速、氣促、少尿、低血壓、酸中毒,以及胃管引流出“咖啡樣”物。腔道壞死常為術后早期事件,極少發生于手術后7 d以后[24]。對于所有吻合口瘺,診斷的關鍵是警惕臨床狀態的改變。起始單純的心動過速、發熱,可迅速進展為血流動力學不穩定和多器官系統衰竭。只要初始診斷有懷疑吻合口瘺,均需進行引流,對于頸部食管吻合術來說,就要頸部切開。如果這樣做未能緩解發熱及全身癥狀,則有內鏡、手術指征來明確有無腔道壞死并治療。如果懷疑胸腔內吻合口瘺,則需要食管造影以明確。如果內鏡下黏膜有鵝卵石樣改變,也是缺血性的特征表現。需進一步用內鏡來評估腔道,評估吻合口及新建腔道壞死的范圍。鏡下如有腔道缺血、壞死的證據,則需立即手術治療。內鏡是一項安全的操作,損傷胃腔的風險很低。Page及同事研究了100例食管切除的患者,術后1周內常規行內鏡檢查,沒有胃管、吻合口損傷的風險[25]。CT在其中診斷的作用較小,只能描述大的吻合口瘺,但最常顯示的是縱隔內氣體和液體積聚,而這些可能是術后的正常表現,并不能確診瘺[26]。
2.3 治療
小的吻合口瘺選擇非手術治療。如有足夠的引流和營養,瘺一般會愈合。但是腔道壞死則需急診手術治療。檢查腔道和吻合口,腔道和周圍縱隔的壞死組織需要清除,且需充分的區域引流。如果缺陷不是很深大,可放置一條T管以制造一個可控制的瘺。如果缺陷很大并伴有嚴重的腔道壞死,失活的食管和胃腔道組織需切除,剩余的腔道重新納入腹腔。大部分可能出現膿毒癥的患者的表現包括血流動力學不穩定,常用的保守治療措施包括近端轉位。該情況下不建議重新建立一條新的腔道[27]。近端轉位通過建立臨時的頸部食管切口及空腸切開喂養,膿毒癥緩解后進一步行食管重建。建立頸部食管切口時,須保留盡量長的食管余端,以利于將來重建時保持胃腸腔道的連續性。
胃腔壞死后,食管重建最常用的選擇包括結腸間置和空腸皮瓣作為自由或“高動力”的腔道。結腸間置的優點包括相當穩定的動脈血供,可以替換相當長度的壞死食管腔道。缺點包括可能存在的內臟血管病變和需要三個切口。使用空腸作為腔道,其優點包括與食管相近的管腔大小,內臟血管病變很少累及的動脈血供,有助于食物團移動的活躍蠕動。然而,空腸腔道并不如結腸應用的廣泛,因為其血管解剖限定了只能用于替代短段食管。已經證實,微血管豐富而“高動力”的空腸腔道可以降低缺血并發癥的發生率,并且可滿足長段食管重建,但技術性要求更高,故很多外科醫生并不青睞[28]。
2.4 預后
盡管腔道壞死罕見,但卻可能是災難性的并發癥。尤其當壞死診斷不及時時,住院患者的死亡率可達90%[4]。Iannettoni報道了6例胃尖壞死的患者。2例(33%)住院期間死亡[16]。Schuchert等報道的死亡率相近,3例胃尖壞死患者中有1例死于圍手術期[29]。盡管他們能夠保留腔道,上述兩組的幸存者最終均狹窄,并需要多次擴張。
3 消化道氣道瘺
食管切除術后,氣道和新的食管之間的良性瘺是漢奸但潛在致命的并發癥。報道的腔道氣道瘺發病率是0.04%~0.3%。和腔道壞死類似,易于發生在術后的相對早期階段[30]。腔道和氣道毗鄰的解剖關系可能與瘺的形成相關。如果采用Lvor Lewis方式切除食管,則吻合口恰好位于奇靜脈頭側,氣道膜部的后方。該部位的瘺可能波及到氣管遠端,隆突,右主支氣管或左主支氣管。如果采用經膈或Mckeown方式,吻合口則位于食管頸部,位于器官膜部稍偏左。瘺還可以發生在吻合口以外的部位,瘺可源自沿整個腔道長度的吻合線,進食管道部位或胃潰瘍穿孔部位[31-34]。
3.1 病因
腔道氣道瘺常發生于存在吻合口瘺的情況下。腸內容物和唾液瘺出所致的局部炎癥可引起周圍組織壞死,并進一步侵及氣道。氣道本身可以有或者沒有易致瘺形成的基礎損傷薄弱點。氣道損傷最常見于食管在胸腔內的移動:直接創傷或不恰當的能量源(如電刀)應用。當腫瘤位于隆突水平或之上時,尤其容易發生氣道損傷[35]。氣管插管時也能出現難預料的氣道損傷。在隆突水平,圍繞氣管的廣泛剝離可以破壞局部血供導致缺血。已有報道,徹底的上縱隔淋巴結清掃,導致與食管重疊的氣道膜部去血管化,尤其與瘺的形成相關[36]。Maruyama及同事的研究表明,腔道氣道瘺與3組淋巴結或超過60個淋巴結的全部淋巴結切除相關[37]。還有沿腔道全長度的胃吻合線引起的慢性刺激導致氣道損傷的報道。新的輔助治療可導致先前組織的損傷、缺血。Heitmiller及同事證實,新的輔助化療和新食管瘺風險增加相關[18]。Bartels及同事發現新輔助放療的相關性甚至更強[35]。
即使沒有基礎氣道損傷,吻合口瘺的引流不充分,可局部釋放胃的消化酶而引起炎癥,并可進入氣道形成瘺。在術后長期機械通氣的某些患者,氣管內或氣管切開插管的氣囊壓力是另一個可以導致瘺的慢性因素[38-39]。吻合口瘺成功愈合的患者,可能需要長期治療以預防狹窄。隨著支架在治療吻合口瘺后狹窄方面越來越廣泛的應用,已有支架侵入氣道導致瘺的報道[40]。另外,還有內鏡下擴張吻合口狹窄導致瘺的文獻報道[30]。
3.2 診斷
臨床表現因嚴重程度各異,從輕度至危及生命的膿毒癥而不同。瘺最常見的早起癥狀是咳出進食物以及誤吸胃內容物引起的呼吸困難。這些可進展為反復吸入性肺炎及膿毒血癥。有些患者在早期可有少許表現,其他患者則表現為失代償期的化學性伴/不伴細菌性肺炎。食管造影可表現為口服的造影劑進入氣道,但在瘺較小時可能沒有診斷價值。如果臨床高度懷疑或食管造影顯示有瘺,則需進一步內鏡確診。內鏡需觀察上段食管,吻合口,腔道及氣道。吻合口和胃吻合線是瘺的常見部位,需仔細觀察,但有時食管側小的瘺口難以明確。腔道內重疊的黏膜可以遮蔽小的開口。在氣道側可以更好地確診瘺以及瘺的大小和部位。除非患者處于術后的早期階段,否則很重要的一點是,均需瘺活檢以明確是腫瘤復發還是良性病變。如果仍處于術后早期階段,需行CT檢查來明確周圍有沒有液體積聚,如果有,則需要引流。瘺本身偶爾可經CT確診(圖 1),但因敏感性和特異性均不高,故診斷不能依賴CT。

3.3 治療
恰當的治療腔道氣道瘺需要考慮瘺的大小和部位以及患者癥狀的嚴重程度。癥狀輕微的患者,首選內鏡下修復。很多內鏡下技術已被嘗試直接封閉瘺口,包括用伴或不伴薇喬網塞的纖維膠或放置金屬夾[41]。這些措施更適用于瘺管細長者,已有報道預后良好[42-43]。不幸的是,即使上述理想的瘺,這些措施也可能封閉不全或易早期復發[44]。另一種內鏡下措施是用自膨脹支架覆蓋瘺,該支架可以使周圍組織在開口處重塑和瘢痕化。Boyd和Rubio綜述了已發表的該技術經驗,得出結論是覆蓋支架可以在初始更成功的封閉瘺,且能進一步防止氣道損耗,但長期成功率無差異[45]。在該綜述中,有75%的病例初始封閉成功,最常見的失敗原因是支架周圍滲漏導致的愈合不佳。在腔道側放置支架常有困難,因為腔道直徑大,容易導致支架移位以及支架遠端周圍的反流。當瘺位于腔道體部而不死吻合口處時,這點尤為重要。瘺氣道側的直徑對放置支架來說更理想,使壁周邊接觸良好。支架治療的復發率高(39%),必須對患者密切管理以防瘺復發和增大。有種觀點認為,支架過大,則其輻射狀的壓力會導致局部組織缺血,實際上增大瘺而不是愈合瘺。最近有些研究表明,用消化內鏡和氣管鏡在消化道和氣道內分別放置一枚自膨脹支架,可以用來治療食管切除后良性和惡性瘺[46]。這項措施盡管能提高初始愈合率,但之家之間的組織更容易出現壓力性缺血和壞死。這項支架措施封閉瘺口的成功率差異較大,但仍不失為一種臨時處理急性期患者的有用工具。瘺封閉后才易于進一步治療相關的肺炎、按需選擇營養方式,選擇單期重建修復而非急診手術干預。對內鏡和手術封閉后瘺復發的患者,文獻報道的最后一項內鏡措施是放置心臟間隔封堵器[47]。該封堵器有兩個中間相連的自膨脹鎳鈦合金盤片組成,經胃鏡通道由導絲送入。中間的聯接部置于瘺內,兩側的盤片分別封閉瘺兩端。
手術干預需要個體化評估,取決于瘺的位置及周圍組織的質量。想要成功修復需遵循以下原則:清創,引流非存活組織,首先修復氣道和腔道缺陷,氣道、腔道之間置入富血管組織以防瘺復發。包括網膜、心包、胸膜、心包脂肪墊以及肋間肌等多種來源的富血管組織均可成功應用。氣道缺陷如果足夠小,不影響管腔,則可首先關閉。如果缺陷太大,則可用自體組織或生物網,先進行氣道膜部重建,并以富血管組織加固。Bakhos及同事采用肋間肌瓣成功的將瘺修復[31]。Kron及同事描述了一種方法,用心包片修復氣管膜部,然后用背闊肌瓣填充以隔離氣道和腔道[32]。Reams及同事報道,如果難以獲得充分的局部組織,采用內置填充片的生物網可能會有幫助[48]。腔道比氣道更長、更柔軟,故常被首先關閉。罕見的情況下,胃腔可能難以存活,這時應視為胃腔壞死,需切除并治療。Buskens和同事報道的6例食管切除后良性氣道-新食管瘺的患者中,2例患者保守治療,1例患者經右側頸部切口行瘺部分切除,3例患者經部分胃切除后結腸代食管而預后良好[30]。如果食管的連續性中斷,可采用階段重建的方式,先近端食管轉位,然后與結腸重建復位。
4 總結
預防缺血性并發癥最好的辦法是早期識別可能的患者危險因素,手術中謹慎移動腔道,以及積極的術后護理。診斷依賴于術后階段高度警惕患者的異常表現,如膿毒癥、反復肺炎、咳出進食物。腔道壞死需要手術干預,盡量清除失活組織,常在控制縱隔膿毒癥后需要食管轉位及階段性重建。腔道氣道瘺因臨床表現各異而診斷有難度。缺陷的大小、部位,結合癥狀的嚴重程度決定合適的治療方案。即使這些并發癥得到理想的診斷和治療,死亡率還是很高,生存者可能會經受長期的反復干預。