引用本文: 張洪偉, 干昌平, 朱達, 武忠. 起源于二尖瓣瓣環的心臟粘液瘤一例. 中國胸心血管外科臨床雜志, 2014, 21(5): 603-603. doi: 10.7507/1007-4848.20140172 復制
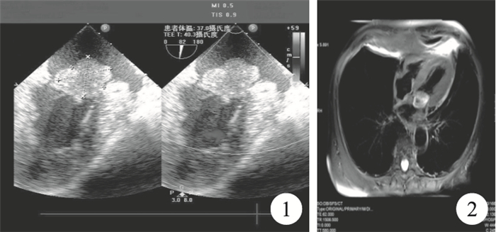
臨床資料??患者,男,63歲,活動后疲乏、氣促20余d入院。入院查體:體溫36.4℃,脈搏84次/分,呼吸18次/分,血壓128/92 mm Hg。神志清楚,心律齊,心尖區聞及雙期雜音。心電圖示竇性心律,左心室高電壓。術前經食管超聲心動圖(TEE)檢查示左心房內異常團塊回聲大小約2.0 cm×3.0 cm×1.5 cm,稍弱回聲,附著于二尖瓣前葉根部,基底較寬,團塊部分與二尖瓣前葉粘連,舒張期部分團塊隨心臟運動進入二尖瓣口(圖 1)。心臟磁共振成像(MRI)示:左心房內見等T1稍長T2信號腫塊影,大小約3.1 cm×2.6 cm×1.8 cm,邊界較清楚,腫塊基底部附著于二尖瓣,心臟電影序列見腫塊經二尖瓣口進入左心室(圖 2)。

在全身麻醉淺低溫體外循環下行左心房腫塊切除術,術中見:左心房占位大小約3.0 cm×2.5 cm×2.0 cm,暗紅色膠凍樣,腫瘤基底部位于二尖瓣前瓣環,部分性梗阻二尖瓣,與二尖瓣瓣葉及腱索無粘連。切開右心房及房間隔,完整切除左心房占位,徹底沖洗心腔,檢查二尖瓣開閉良好。術后病理診斷:心臟粘液瘤。患者術后恢復順利,無栓塞等并發癥,痊愈出院。隨訪3個月,復查超聲心動圖無腫瘤復發,二尖瓣開閉正常。
討論??粘液瘤好發于房間隔上與卵圓窩對應的部位[1],極少數起源于二尖瓣,僅有少數個案報道[2]。由于腫瘤隨心動周期出入于二尖瓣口易發生相對性瓣膜狹窄或關閉不全,甚至造成血流梗阻,患者常常出現心力衰竭、呼吸困難等表現。起源于二尖瓣的左心房粘液瘤由于靠近二尖瓣口,更容易阻塞瓣口,本例因瘤體阻塞二尖瓣口出現胸悶、心悸等,并在相應瓣膜聽診區發現心臟雜音。
術前TEE不受胸壁、肋骨和肺的阻隔,能精確獲取腫瘤解剖定位,評估瓣膜狹窄或反流程度,并可以指導體外循環建立過程中的靜脈插管[1]。心臟MRI可提供平面上不重疊的心臟、縱隔及肺等胸部結構的切面影像,顯示出超聲不易察覺的情況以及腫瘤與毗鄰心臟結構的關系,并與其他心臟腫瘤鑒別。所以對于生長位置不典型或定性診斷存疑的心臟腫瘤,心臟MRI尤為有用。
對于與二尖瓣關系密切的左心房粘液瘤,手術中應注意保護二尖瓣瓣葉及瓣下結構,若二尖瓣瓣環明顯擴大,或瓣膜組織被腫瘤嚴重累及,則需行瓣膜成形或置換術。本例左心房粘液瘤基底部附著于二尖瓣前瓣環,與瓣葉及瓣下結構并無粘連,術中得以完整切除腫瘤,無需二尖瓣成形或置換。
臨床資料??患者,男,63歲,活動后疲乏、氣促20余d入院。入院查體:體溫36.4℃,脈搏84次/分,呼吸18次/分,血壓128/92 mm Hg。神志清楚,心律齊,心尖區聞及雙期雜音。心電圖示竇性心律,左心室高電壓。術前經食管超聲心動圖(TEE)檢查示左心房內異常團塊回聲大小約2.0 cm×3.0 cm×1.5 cm,稍弱回聲,附著于二尖瓣前葉根部,基底較寬,團塊部分與二尖瓣前葉粘連,舒張期部分團塊隨心臟運動進入二尖瓣口(圖 1)。心臟磁共振成像(MRI)示:左心房內見等T1稍長T2信號腫塊影,大小約3.1 cm×2.6 cm×1.8 cm,邊界較清楚,腫塊基底部附著于二尖瓣,心臟電影序列見腫塊經二尖瓣口進入左心室(圖 2)。

在全身麻醉淺低溫體外循環下行左心房腫塊切除術,術中見:左心房占位大小約3.0 cm×2.5 cm×2.0 cm,暗紅色膠凍樣,腫瘤基底部位于二尖瓣前瓣環,部分性梗阻二尖瓣,與二尖瓣瓣葉及腱索無粘連。切開右心房及房間隔,完整切除左心房占位,徹底沖洗心腔,檢查二尖瓣開閉良好。術后病理診斷:心臟粘液瘤。患者術后恢復順利,無栓塞等并發癥,痊愈出院。隨訪3個月,復查超聲心動圖無腫瘤復發,二尖瓣開閉正常。
討論??粘液瘤好發于房間隔上與卵圓窩對應的部位[1],極少數起源于二尖瓣,僅有少數個案報道[2]。由于腫瘤隨心動周期出入于二尖瓣口易發生相對性瓣膜狹窄或關閉不全,甚至造成血流梗阻,患者常常出現心力衰竭、呼吸困難等表現。起源于二尖瓣的左心房粘液瘤由于靠近二尖瓣口,更容易阻塞瓣口,本例因瘤體阻塞二尖瓣口出現胸悶、心悸等,并在相應瓣膜聽診區發現心臟雜音。
術前TEE不受胸壁、肋骨和肺的阻隔,能精確獲取腫瘤解剖定位,評估瓣膜狹窄或反流程度,并可以指導體外循環建立過程中的靜脈插管[1]。心臟MRI可提供平面上不重疊的心臟、縱隔及肺等胸部結構的切面影像,顯示出超聲不易察覺的情況以及腫瘤與毗鄰心臟結構的關系,并與其他心臟腫瘤鑒別。所以對于生長位置不典型或定性診斷存疑的心臟腫瘤,心臟MRI尤為有用。
對于與二尖瓣關系密切的左心房粘液瘤,手術中應注意保護二尖瓣瓣葉及瓣下結構,若二尖瓣瓣環明顯擴大,或瓣膜組織被腫瘤嚴重累及,則需行瓣膜成形或置換術。本例左心房粘液瘤基底部附著于二尖瓣前瓣環,與瓣葉及瓣下結構并無粘連,術中得以完整切除腫瘤,無需二尖瓣成形或置換。