引用本文: 荊玉龍, 張樹棟, 韓紫音, 孫濤. 骨科機器人輔助股骨頸動力交叉釘系統治療新鮮股骨頸骨折的近期療效. 中國修復重建外科雜志, 2022, 36(8): 946-950. doi: 10.7507/1002-1892.202203093 復制
股骨頸骨折是臨床較常見的骨折類型,老年患者多為低能量損傷,而年輕患者則多為高能量損傷,早期手術治療已基本達成共識[1-2]。對于年輕患者及預期生存壽命較長的老年患者,微創保髖治療已成為最重要的治療方式。股骨頸骨折內固定方式雖經過多年更新迭代及應用探索,但仍無最佳固定方式,術后骨不連及股骨頭壞死發生率依然較高[3]。股骨頸動力交叉釘系統(femoral neck system,FNS)是一種新的股骨頸骨折內固定系統,與既往常用內固定方式相比,兼具了軸向滑動加壓以及抗旋功能,即使是Pauwels Ⅲ型不穩定骨折也能提供較好的抗剪切應力。FNS是通過組件組合成單一內固定,組件的相互鎖定準確程度以及導針植入位置會直接影響固定效果[4]。近年來,骨科機器人的應用為骨折微創精準治療奠定了良好基礎[5]。目前,已有用其輔助空心螺釘內固定治療股骨頸骨折的報道,結果顯示在微創及術中調整內固定物次數方面具有明顯優勢[6-8]。2020年4月我院開始應用FNS治療新鮮股骨頸骨折,并于同年5月開始用骨科機器人輔助手術。現回顧性分析采用骨科機器人輔助及傳統徒手操作兩種方式實施手術的患者臨床資料,探討骨科機器人輔助操作的優勢及早期療效。報告如下。
1 臨床資料
1.1 患者選擇標準
納入標準:① 年齡<65歲的各類型股骨頸骨折以及>65歲的GardenⅠ、Ⅱ型股骨頸骨折;② 受傷至手術時間不超過3周;③ 骨科機器人輔助下或傳統徒手植入方式行FNS內固定;④ 傷前髖關節功能良好。排除合并同側股骨干骨折者。
2020年4月—2021年9月,共74例患者符合選擇標準納入研究。其中,骨科機器人輔助手術(試驗組)31例,傳統徒手操作(對照組)43例。
1.2 一般資料
試驗組:男11例,女20例;年齡29~70歲,平均55.2歲。致傷原因:低能量損傷(各種原因跌倒)20例;高能量損傷11例,其中交通事故傷8例,高處墜落傷3例。受傷至手術時間2~20 d,平均6 d。骨折側別:左側13例,右側18例。骨折分型:頭下型16例,經頸型15例;Garden分型:非移位型(Ⅰ+Ⅱ)12例,移位型(Ⅲ+Ⅳ)19例;Pauwels分型:Ⅰ型7例,Ⅱ型5例,Ⅲ型19例。
對照組:男14例,女29例;年齡28~81歲,平均55歲。致傷原因:低能量損傷(各種原因跌倒)35例;高能量損傷8例,其中交通事故傷3例,高處墜落傷5例。受傷至手術時間2~19 d,平均6 d。骨折側別:左側20例,右側23例。骨折分型:頭下型14例,經頸型29例;Garden分型:非移位型(Ⅰ+Ⅱ)18例,移位型(Ⅲ+Ⅳ)25例;Pauwels分型:Ⅰ型6例,Ⅱ型11例,Ⅲ型26例。
兩組患者性別、年齡、致傷原因、受傷至手術時間、骨折側別及分型等一般資料比較,差異均無統計學意義(P>0.05)。
1.3 手術方法
1.3.1 骨折復位
兩組手術均由副高級職稱以上醫師完成。試驗組采用全身麻醉,對照組采用全身麻醉或椎管內麻醉;患者仰臥于骨科牽引床。兩組均先行閉合復位,C臂X線機正側位透視明確股骨頸復位滿意后行內固定。除試驗組1例患者閉合復位失敗,采用髖關節直接前入路行切開復位,其余患者均閉合復位成功。
1.3.2 骨折內固定
試驗組:本組采用第3代天璣骨科機器人(北京天智航醫療科技股份有限公司)輔助手術。① 在固定于手術床的麻醉架上安放機器人示蹤器并妥善固定,C臂X線機透視復位后的股骨頸正側位圖像,上傳至主機工作站,編輯患者資料后,在正側位圖像上規劃FNS系統主導針位置(正位位于股骨頸中下1/3,導針與股骨近端外側皮質成角130°;側位位于股骨頸中央)以及防旋導針位置(股骨頸上1/3)。② 機械臂定位主導針位置后,在機械臂套筒引導下,經皮置入主導針至透視顯示針尖距離軟骨下骨約5 mm并測深,調整機械臂定位位置并經皮置入防旋導針;以主導針進針點為中心作縱切口,切開皮膚至股骨近端外側皮質。③ 開孔擴髓,在FNS體外瞄準器引導下依次植入長度合適的FNS滑動螺釘、遠端鎖定螺釘及加壓螺釘,根據術中情況加壓固定,C臂X線機透視確認復位及固定效果滿意后,逐層關閉切口,不放置引流。見圖1。

a. 股骨頸骨折復位后C臂X線機采集正側位影像;b、c. 于正側位圖像規劃主導針、防旋導針位置;d、e. 機械臂引導下置入導針;f、g. 植入FNS;h. 切口長度
Figure1. Schematic diagram of orthopedic robot-assisted FNS fixation of femoral neck fracturesa. Anteroposterior and lateral images collected by C-arm X-ray machine after femoral neck fracture reduction; b, c. The positions of key-guide needle and anti-rotation needle were planned based on the anteroposterior and lateral images; d, e. The guide needles were implanted with the assistance of robot arm; f, g. FNS was implanted; h. Incision length
對照組:C臂X線機透視復位后股骨頸正側位圖像,大致定位進針點;以此點為中心作縱切口,切開皮膚、皮下組織達股骨近端外側皮質,在角度導向器引導下置入FNS系統主導針;股骨頸正側位透視下調整導針至滿意位置,必要時延長切口,于股骨頸上1/3區域經皮置入防旋導針。其余操作同試驗組第 ③ 步。
1.4 術后處理及療效評價指標
兩組患者術后處理方法一致。術后第1天開始主動屈髖訓練,待切口腫脹滲液消退后患者扶雙拐患肢不負重下地活動;6周內避免患髖極度外旋、外展、內收訓練。
記錄骨折固定時間(術中骨折復位后至切口縫合結束)、有創固定時間(內固定切口切開至切口縫合結束)、主導針置入次數、切口長度、術中出血量。術后定期隨訪,觀察骨折愈合情況,采用Harris評分評價髖關節功能恢復程度。
1.5 統計學方法
采用SPSS20.0統計軟件進行分析。計量資料進行正態性檢驗,符合正態分布時數據以均數±標準差表示,組間比較采用獨立樣本t檢驗;不符合正態分布時以M(Q1,Q3)表示,組間比較用Mann-Whitney U檢驗。檢驗水準α=0.05。
2 結果
所有患者均順利完成手術,均采用外側單切口植入FNS,無神經血管損傷及切口并發癥發生。試驗組有創固定時間、術中出血量、主導針置入次數以及切口長度均優于對照組,差異有統計學意義(P<0.05);骨折固定時間組間差異無統計學意義(P>0.05)。見表1。

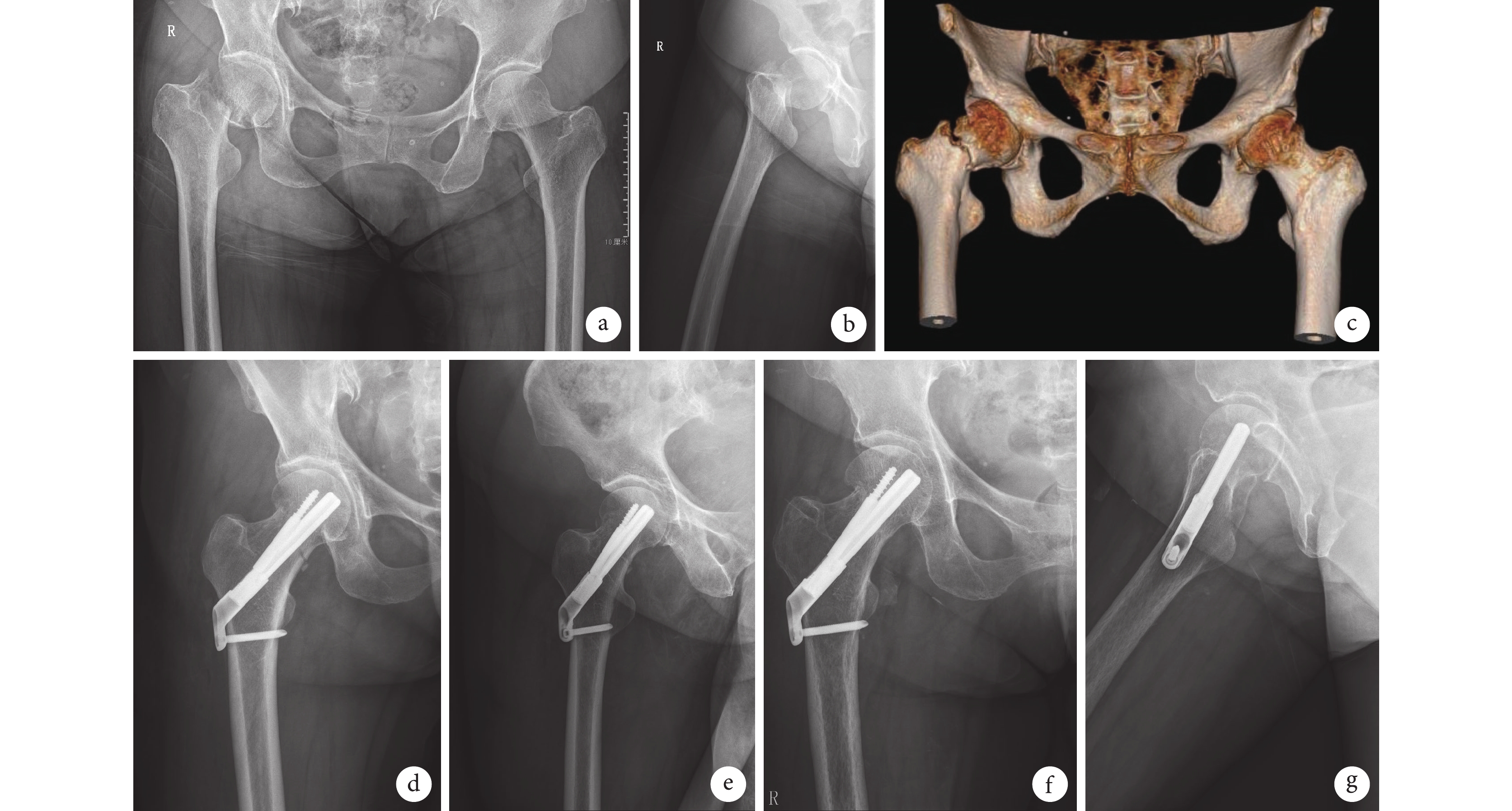
術后兩組患者均獲隨訪,隨訪時間4~16個月,平均7個月。試驗組1例術中切開復位者骨折不愈合,股骨頸短縮>1 cm,末次隨訪時尚未出現螺釘切出,未作特殊處理,進一步隨訪中;其余患者骨折均愈合。試驗組及對照組骨折愈合時間分別為(17.6±1.9)、(18.2±1.9)周,組間比較差異無統計學意義(t=0.957,P=0.345)。末次隨訪時,試驗組Harris評分為(82.4±5.8)分,高于對照組(79.0±7.7)分,但差異無統計學意義(t=?1.483,P=0.147)。見圖2。

a~c. 術前正側位X線片及CT三維重建; d、e. 術后1 d正側位X線片;f、g. 術后7個月正側位X線片示骨折愈合
Figure2. A 57-year-old female patient with right femoral neck fracture (Garden type Ⅲ, Pauwels type Ⅲ) in the trial groupa-c. Anteroposterior and lateral X-ray films and three-dimensional CT before operation; d, e. Anteroposterior and lateral X-ray films at 1 day after operation; f, g. Anteroposterior and lateral X-ray films showed the fracture healing at 7 months after operation
3 討論
解剖復位及有效固定是股骨頸骨折后保髖治療獲得良好療效的關鍵[2,9],約59%患者可通過閉合復位達到滿意效果[10];常用內固定方式較多,包括空心螺釘、動力髖螺釘、鋼板聯合螺釘等方法,且療效無明顯差異[11]。FNS是近年出現的一種新的內固定系統,研究顯示相比于既往內固定方式,在手術時間方面具有優勢,但在骨折愈合方面優勢不明顯[12-15]。在FNS系統設計理念中,滑動螺釘與加壓螺釘成角植入,兩螺釘遠端分散,占據較大股骨頭頸空間以求獲得更好的防旋性能,因此主導針在股骨頸正側位位置需要極其精準;同時其角度鋼板鎖定螺釘要求盡可能鎖定于股骨干中央,角度鋼板盡可能與股骨近端外側皮質貼附。有學者提出FNS植入位置不當可能導致遠端鎖定螺釘切割股骨干皮質,進而導致骨折[16]。在傳統徒手操作手術中,首先大致定位主導針在皮膚的進針點,切開皮膚至骨膜,應用130° 導向器打入主導針,這一過程往往需要反復透視調整,有時為了調整導針位置,不得不將切口延長以利于FNS的植入。研究發現,反復術中透視、調整等操作可能影響最終治療效果[17-18]。近年來,隨著計算機導航的興起,越來越多的機器人輔助技術應用于骨科手術,通過更加精準地分析所獲得的圖像資料,按照設計的內固定位置、方向、長度等參數實施精準定位及精準導向,能最大程度防止徒手操作導致的偏差,減少甚至避免因調整內固定物導致的多次操作[5, 19]。
本研究中試驗組通過骨科機器人輔助操作,模擬主導針位置,在機械臂引導下,平均1次經皮將主導針置入最佳位置,這是徒手操作難以達到的。主導針快速精準置入減少了透視次數,也減少了傳統手術中為達滿意內固定位置反復調整導針帶來的骨質破壞,尤其是對于骨量減少的中老年患者,反復穿入導針引起進針區骨質點狀缺損,使導針無法置入合適位置,進而影響內固定物植入準確性。這種細微的變化可能無法從X線片數據精確分析,但會影響遠期療效。此外,導針經皮置入后再作切口完成后續手術步驟,切口長度中位數僅2.5 cm,達到了進一步微創效果。在手術時間方面,試驗組術中機器人操作雖占用了一定時間,但骨折固定用時與對照組相當,而且有創固定時間平均縮短達10 min,術中出血量減少約12 mL。這有益于年齡較大、尤其是全身臟器功能代償能力較差患者的術后早期恢復,提升了圍術期安全性。
綜上述,與徒手操作相比,骨科機器人輔助FNS治療股骨頸骨折不僅能獲得相似的近期療效,在切口長度、術中出血量、主導針置入次數、有創固定時間方面也具有優勢,可以實現精準植入FNS,更適用于年齡較大患者。但本研究納入病例較少,患者隨訪時間較短,療效評估有一定局限性,遠期股骨頭壞死發生情況也需進一步隨訪觀察。
利益沖突 在課題研究和文章撰寫過程中不存在利益沖突;經費支持沒有影響文章觀點和對研究數據客觀結果的統計分析及其報道
倫理聲明 研究方案經煙臺市煙臺山醫院醫學倫理委員會批準(煙山倫準2022016號)
作者貢獻聲明 荊玉龍:科研設計、實施及撰寫文章;張樹棟、韓紫音:患者隨訪及資料收集、分析;張樹棟、孫濤:對文章創新點、觀點及思路提供指導
股骨頸骨折是臨床較常見的骨折類型,老年患者多為低能量損傷,而年輕患者則多為高能量損傷,早期手術治療已基本達成共識[1-2]。對于年輕患者及預期生存壽命較長的老年患者,微創保髖治療已成為最重要的治療方式。股骨頸骨折內固定方式雖經過多年更新迭代及應用探索,但仍無最佳固定方式,術后骨不連及股骨頭壞死發生率依然較高[3]。股骨頸動力交叉釘系統(femoral neck system,FNS)是一種新的股骨頸骨折內固定系統,與既往常用內固定方式相比,兼具了軸向滑動加壓以及抗旋功能,即使是Pauwels Ⅲ型不穩定骨折也能提供較好的抗剪切應力。FNS是通過組件組合成單一內固定,組件的相互鎖定準確程度以及導針植入位置會直接影響固定效果[4]。近年來,骨科機器人的應用為骨折微創精準治療奠定了良好基礎[5]。目前,已有用其輔助空心螺釘內固定治療股骨頸骨折的報道,結果顯示在微創及術中調整內固定物次數方面具有明顯優勢[6-8]。2020年4月我院開始應用FNS治療新鮮股骨頸骨折,并于同年5月開始用骨科機器人輔助手術。現回顧性分析采用骨科機器人輔助及傳統徒手操作兩種方式實施手術的患者臨床資料,探討骨科機器人輔助操作的優勢及早期療效。報告如下。
1 臨床資料
1.1 患者選擇標準
納入標準:① 年齡<65歲的各類型股骨頸骨折以及>65歲的GardenⅠ、Ⅱ型股骨頸骨折;② 受傷至手術時間不超過3周;③ 骨科機器人輔助下或傳統徒手植入方式行FNS內固定;④ 傷前髖關節功能良好。排除合并同側股骨干骨折者。
2020年4月—2021年9月,共74例患者符合選擇標準納入研究。其中,骨科機器人輔助手術(試驗組)31例,傳統徒手操作(對照組)43例。
1.2 一般資料
試驗組:男11例,女20例;年齡29~70歲,平均55.2歲。致傷原因:低能量損傷(各種原因跌倒)20例;高能量損傷11例,其中交通事故傷8例,高處墜落傷3例。受傷至手術時間2~20 d,平均6 d。骨折側別:左側13例,右側18例。骨折分型:頭下型16例,經頸型15例;Garden分型:非移位型(Ⅰ+Ⅱ)12例,移位型(Ⅲ+Ⅳ)19例;Pauwels分型:Ⅰ型7例,Ⅱ型5例,Ⅲ型19例。
對照組:男14例,女29例;年齡28~81歲,平均55歲。致傷原因:低能量損傷(各種原因跌倒)35例;高能量損傷8例,其中交通事故傷3例,高處墜落傷5例。受傷至手術時間2~19 d,平均6 d。骨折側別:左側20例,右側23例。骨折分型:頭下型14例,經頸型29例;Garden分型:非移位型(Ⅰ+Ⅱ)18例,移位型(Ⅲ+Ⅳ)25例;Pauwels分型:Ⅰ型6例,Ⅱ型11例,Ⅲ型26例。
兩組患者性別、年齡、致傷原因、受傷至手術時間、骨折側別及分型等一般資料比較,差異均無統計學意義(P>0.05)。
1.3 手術方法
1.3.1 骨折復位
兩組手術均由副高級職稱以上醫師完成。試驗組采用全身麻醉,對照組采用全身麻醉或椎管內麻醉;患者仰臥于骨科牽引床。兩組均先行閉合復位,C臂X線機正側位透視明確股骨頸復位滿意后行內固定。除試驗組1例患者閉合復位失敗,采用髖關節直接前入路行切開復位,其余患者均閉合復位成功。
1.3.2 骨折內固定
試驗組:本組采用第3代天璣骨科機器人(北京天智航醫療科技股份有限公司)輔助手術。① 在固定于手術床的麻醉架上安放機器人示蹤器并妥善固定,C臂X線機透視復位后的股骨頸正側位圖像,上傳至主機工作站,編輯患者資料后,在正側位圖像上規劃FNS系統主導針位置(正位位于股骨頸中下1/3,導針與股骨近端外側皮質成角130°;側位位于股骨頸中央)以及防旋導針位置(股骨頸上1/3)。② 機械臂定位主導針位置后,在機械臂套筒引導下,經皮置入主導針至透視顯示針尖距離軟骨下骨約5 mm并測深,調整機械臂定位位置并經皮置入防旋導針;以主導針進針點為中心作縱切口,切開皮膚至股骨近端外側皮質。③ 開孔擴髓,在FNS體外瞄準器引導下依次植入長度合適的FNS滑動螺釘、遠端鎖定螺釘及加壓螺釘,根據術中情況加壓固定,C臂X線機透視確認復位及固定效果滿意后,逐層關閉切口,不放置引流。見圖1。

a. 股骨頸骨折復位后C臂X線機采集正側位影像;b、c. 于正側位圖像規劃主導針、防旋導針位置;d、e. 機械臂引導下置入導針;f、g. 植入FNS;h. 切口長度
Figure1. Schematic diagram of orthopedic robot-assisted FNS fixation of femoral neck fracturesa. Anteroposterior and lateral images collected by C-arm X-ray machine after femoral neck fracture reduction; b, c. The positions of key-guide needle and anti-rotation needle were planned based on the anteroposterior and lateral images; d, e. The guide needles were implanted with the assistance of robot arm; f, g. FNS was implanted; h. Incision length
對照組:C臂X線機透視復位后股骨頸正側位圖像,大致定位進針點;以此點為中心作縱切口,切開皮膚、皮下組織達股骨近端外側皮質,在角度導向器引導下置入FNS系統主導針;股骨頸正側位透視下調整導針至滿意位置,必要時延長切口,于股骨頸上1/3區域經皮置入防旋導針。其余操作同試驗組第 ③ 步。
1.4 術后處理及療效評價指標
兩組患者術后處理方法一致。術后第1天開始主動屈髖訓練,待切口腫脹滲液消退后患者扶雙拐患肢不負重下地活動;6周內避免患髖極度外旋、外展、內收訓練。
記錄骨折固定時間(術中骨折復位后至切口縫合結束)、有創固定時間(內固定切口切開至切口縫合結束)、主導針置入次數、切口長度、術中出血量。術后定期隨訪,觀察骨折愈合情況,采用Harris評分評價髖關節功能恢復程度。
1.5 統計學方法
采用SPSS20.0統計軟件進行分析。計量資料進行正態性檢驗,符合正態分布時數據以均數±標準差表示,組間比較采用獨立樣本t檢驗;不符合正態分布時以M(Q1,Q3)表示,組間比較用Mann-Whitney U檢驗。檢驗水準α=0.05。
2 結果
所有患者均順利完成手術,均采用外側單切口植入FNS,無神經血管損傷及切口并發癥發生。試驗組有創固定時間、術中出血量、主導針置入次數以及切口長度均優于對照組,差異有統計學意義(P<0.05);骨折固定時間組間差異無統計學意義(P>0.05)。見表1。

術后兩組患者均獲隨訪,隨訪時間4~16個月,平均7個月。試驗組1例術中切開復位者骨折不愈合,股骨頸短縮>1 cm,末次隨訪時尚未出現螺釘切出,未作特殊處理,進一步隨訪中;其余患者骨折均愈合。試驗組及對照組骨折愈合時間分別為(17.6±1.9)、(18.2±1.9)周,組間比較差異無統計學意義(t=0.957,P=0.345)。末次隨訪時,試驗組Harris評分為(82.4±5.8)分,高于對照組(79.0±7.7)分,但差異無統計學意義(t=?1.483,P=0.147)。見圖2。

a~c. 術前正側位X線片及CT三維重建; d、e. 術后1 d正側位X線片;f、g. 術后7個月正側位X線片示骨折愈合
Figure2. A 57-year-old female patient with right femoral neck fracture (Garden type Ⅲ, Pauwels type Ⅲ) in the trial groupa-c. Anteroposterior and lateral X-ray films and three-dimensional CT before operation; d, e. Anteroposterior and lateral X-ray films at 1 day after operation; f, g. Anteroposterior and lateral X-ray films showed the fracture healing at 7 months after operation
3 討論
解剖復位及有效固定是股骨頸骨折后保髖治療獲得良好療效的關鍵[2,9],約59%患者可通過閉合復位達到滿意效果[10];常用內固定方式較多,包括空心螺釘、動力髖螺釘、鋼板聯合螺釘等方法,且療效無明顯差異[11]。FNS是近年出現的一種新的內固定系統,研究顯示相比于既往內固定方式,在手術時間方面具有優勢,但在骨折愈合方面優勢不明顯[12-15]。在FNS系統設計理念中,滑動螺釘與加壓螺釘成角植入,兩螺釘遠端分散,占據較大股骨頭頸空間以求獲得更好的防旋性能,因此主導針在股骨頸正側位位置需要極其精準;同時其角度鋼板鎖定螺釘要求盡可能鎖定于股骨干中央,角度鋼板盡可能與股骨近端外側皮質貼附。有學者提出FNS植入位置不當可能導致遠端鎖定螺釘切割股骨干皮質,進而導致骨折[16]。在傳統徒手操作手術中,首先大致定位主導針在皮膚的進針點,切開皮膚至骨膜,應用130° 導向器打入主導針,這一過程往往需要反復透視調整,有時為了調整導針位置,不得不將切口延長以利于FNS的植入。研究發現,反復術中透視、調整等操作可能影響最終治療效果[17-18]。近年來,隨著計算機導航的興起,越來越多的機器人輔助技術應用于骨科手術,通過更加精準地分析所獲得的圖像資料,按照設計的內固定位置、方向、長度等參數實施精準定位及精準導向,能最大程度防止徒手操作導致的偏差,減少甚至避免因調整內固定物導致的多次操作[5, 19]。
本研究中試驗組通過骨科機器人輔助操作,模擬主導針位置,在機械臂引導下,平均1次經皮將主導針置入最佳位置,這是徒手操作難以達到的。主導針快速精準置入減少了透視次數,也減少了傳統手術中為達滿意內固定位置反復調整導針帶來的骨質破壞,尤其是對于骨量減少的中老年患者,反復穿入導針引起進針區骨質點狀缺損,使導針無法置入合適位置,進而影響內固定物植入準確性。這種細微的變化可能無法從X線片數據精確分析,但會影響遠期療效。此外,導針經皮置入后再作切口完成后續手術步驟,切口長度中位數僅2.5 cm,達到了進一步微創效果。在手術時間方面,試驗組術中機器人操作雖占用了一定時間,但骨折固定用時與對照組相當,而且有創固定時間平均縮短達10 min,術中出血量減少約12 mL。這有益于年齡較大、尤其是全身臟器功能代償能力較差患者的術后早期恢復,提升了圍術期安全性。
綜上述,與徒手操作相比,骨科機器人輔助FNS治療股骨頸骨折不僅能獲得相似的近期療效,在切口長度、術中出血量、主導針置入次數、有創固定時間方面也具有優勢,可以實現精準植入FNS,更適用于年齡較大患者。但本研究納入病例較少,患者隨訪時間較短,療效評估有一定局限性,遠期股骨頭壞死發生情況也需進一步隨訪觀察。
利益沖突 在課題研究和文章撰寫過程中不存在利益沖突;經費支持沒有影響文章觀點和對研究數據客觀結果的統計分析及其報道
倫理聲明 研究方案經煙臺市煙臺山醫院醫學倫理委員會批準(煙山倫準2022016號)
作者貢獻聲明 荊玉龍:科研設計、實施及撰寫文章;張樹棟、韓紫音:患者隨訪及資料收集、分析;張樹棟、孫濤:對文章創新點、觀點及思路提供指導