引用本文: 王輝, 王茜, 張輝, 史偉, 賴振權, 崔逸爽, 李琪佳, 王志強. 帶蒂筋膜瓣包裹國產多孔鉭修復兔橈骨節段性骨缺損實驗研究. 中國修復重建外科雜志, 2017, 31(10): 1200-1207. doi: 10.7507/1002-1892.201611048 復制
由各種創傷、腫瘤及先天性疾病造成的骨缺損,尤其是長骨節段性骨缺損,一直是骨科治療領域亟待解決的難題。近年來,對骨移植替代材料逐漸深入的研究與發展,為骨組織的修復重建提供了新的思路和方法。目前常用的可降解材料雖然具有與松質骨相似的微觀三維立體多孔結構,適合于骨的長入和礦化,但其力學強度不足,限制了其在關節、脊柱及肢體等負重部位骨缺損中的應用[1]。多孔鉭金屬憑借其良好的機械性能、抗疲勞性、生物相容性、三維多孔結構、高孔隙率、低彈性模量、高摩擦系數、抗腐蝕性、骨傳導性及低細菌黏附性等特點,廣泛應用于關節、脊柱及肢體負重部位骨缺損的修復[2-6]。目前臨床上應用的多孔鉭骨移植替代材料由美國 Zimmer 公司生產,由于其價格昂貴,難以在臨床中廣泛推廣。因此,多孔鉭材料國產化一直是國內科研工作者攻關的課題。由重慶潤澤醫療器械有限公司聯合國內多家科研機構自主研發的國產多孔鉭材料,經過前期體內、外實驗,已證實具有良好的生物相容性[3, 7-10]。為了進一步增強國產多孔鉭體內骨傳導性,本研究嘗試采用帶蒂筋膜瓣包裹多孔鉭修復兔橈骨節段性骨缺損,通過影像學、組織形態學及生物力學等方法,檢測其骨缺損的修復能力,為今后國產多孔鉭應用于臨床提供實驗依據。
1 材料與方法
1.1 實驗動物及主要材料、儀器
6~8 月齡新西蘭大白兔 60 只,雌雄不限,體質量 2.5~3.0 kg,由華北理工大學動物實驗中心提供。
多孔鉭棒(重慶潤澤醫療器械有限公司),外觀呈深灰色,表面及橫斷面可見均勻分布的孔徑為 400~600 μm 的蜂窩狀孔隙,孔隙率為 65%~80%。采用粉末澆注高溫煅燒技術,制成直徑為 3.5 mm,高 15~25 mm 的多孔圓柱體(圖 1)。

微型擺鋸(北京骨科研究所);光學顯微鏡(Olympus 公司,日本);數字化 X 線機(Siemens 公司,德國);ElectroForce 3200 生物力學試驗機(BOSE 公司,美國);explore Locus SP Micro-CT、Micview 三維重建處理軟件及 ABA 專用骨骼分析軟件(通用公司,美國);Leica RM-2145 組織切片機、Leica SP 1600 硬組織切片機(Leica 公司,德國)。
1.2 兔橈骨節段性骨缺損模型建立
取新西蘭大耳白兔 60 只,術前禁食 12 h 后,以 10% 水合氯醛(3 mL/kg)緩慢腹腔注射麻醉。取右前肢橈側中段長約 3.5 cm 切口,以橈骨弧頂為中心,用微型擺鋸低速截骨 1.5 cm,生理鹽水連續冷卻降溫,徹底切除骨缺損處及斷端兩側骨膜及尺橈骨間骨間膜,注意保證斷端平整,徹底止血,無菌生理鹽水反復沖洗傷口,建立兔橈骨節段性骨缺損模型(圖 2a)。

a. 兔橈骨節段性骨缺損模型;b. 骨缺損處植入多孔鉭棒;c. 實驗組多孔鉭棒表面筋膜包裹;d. 閉合切口
Figure2. Surgical proceduresa. The model of segmental bone defects in rabbit’s radius; b. The porous tantalum implanted in bone defect; c. The porous tantalum encapsulated with pedicled fascial flap in experimental group; d. Closed incision
1.3 實驗分組及方法
將實驗動物隨機分為兩組,每組 30 只,實驗組為多孔鉭棒+筋膜包裹組,對照組為單純多孔鉭棒組。將長 15 mm、直徑 3.5 mm 的圓柱形多孔鉭棒分別以嵌插方式植入兩組右側橈骨骨缺損處(圖 2b)。其中實驗組筋膜瓣制備及固定:于切口周圍皮下筋膜組織層銳性切取約 30 mm×25 mm 大小富含毛細血管網的薄層帶蒂筋膜瓣,保留寬度為 30 mm 蒂部,將筋膜瓣穿過肌肉隧道,轉移至骨缺損處,環形包裹嵌插至橈骨骨缺損處的植入物,并將筋膜用 7-0 顯微縫合線固定于遠、近端周圍骨膜組織上(圖 2c)[11]。為預防感染,材料植入后再次生理鹽水沖洗,局部噴灑青霉素注射液,用肌肉包裹覆蓋缺損區域,依次用 5-0 可吸收線間斷逐層縫合傷口,不作內、外固定(圖 2d)。術后立即肌肉注射青霉素 40 萬 U/只,連續 3 d,傷口處涂抹聚維酮碘溶液消毒,同時術后即刻行 X 線片檢查,確認植入物位置是否良好。
1.4 觀測指標
1.4.1 一般情況 術后觀察實驗動物飲食、日常活動能力、傷口愈合情況(如有無腫脹、分泌物、植入物排出)、動物死亡情況及實驗前后體質量變化。
1.4.2 X線片觀察 分別于術后當日及 4、8、16 周將實驗動物麻醉后,在相同條件(100 mA、50 kV、10 ms)和投照距離(75 cm)行右側橈骨正位 DR 數字 X 線片檢查,觀察骨缺損修復情況。
1.4.3 HE染色觀察 兩組分別于術后 4、8、16 周采用空氣栓塞法各處死 3 只動物,以骨缺損區為中心截取長 2.5 cm 骨組織標本,經 4% 多聚甲醛固定、5% 硝酸-甲醛脫鈣液脫鈣后取出多孔鉭棒。自來水沖洗除酸、常規脫水,透明,浸蠟,包埋;用 Leica RM-2145 組織切片機切片,厚度 4 μm,在標本中心處縱向冠狀面切取 2~3 片;經鋪片、貼片、烘片、脫蠟、脫水后,行 HE 染色,光鏡下觀察兩組植入物與宿主骨界面新骨生成情況。
1.4.4 甲苯胺藍染色觀察 兩組分別于術后 4、8、16 周同上法各處死 3 只動物并截取長 2.5 cm 骨組織標本,經 4% 多聚甲醛固定、梯度乙醇脫水、包埋液包埋后,Leica SP 1600 硬組織切片機沿平行于多孔鉭棒的縱軸切片,厚度約 150 μm;再磨片至 20 μm 厚,干燥,脫塑;行甲苯胺藍染色,光鏡下觀察兩組植入物與宿主骨界面及孔隙內的新骨生成情況。
1.4.5 生物力學測試 術后 16 周每組同上法各處死 6 只動物,取植入物新鮮標本,完整剔凈軟組織,在生物力學試驗機上用夾具將橈骨兩端固定,于植入物中點施加載荷,作三點彎曲生物力學測定。試驗參數:夾具跨度 50 mm,速度 10 mm/min,最大壓力負荷 1 000 N。測量時保持各標本位置一致,并保持標本濕潤狀態,勻速加載,直至骨折。記錄兩組標本最大載荷力,并通過以下公式計算出兩組標本抗彎曲強度:Fmax×3×L/2bh2。其中 Fmax 為最大載荷力,L 為橈骨夾具跨度,b、h 分別為橈骨中點施加負荷處橫截面的寬度及高度。
1.4.6 Micro-CT檢測 術后 16 周每組同上法各處死 6 只動物,以植入物為中心,截取長度為 2.5 cm 帶尺、橈骨的組織塊。使用 Micro-CT 機對標本進行掃描,用 Micview 軟件進行三維重建;然后選取橈骨缺損植骨部位設定為分析感興趣區域(region of interest,ROI);采用 MicroviewABA2.1.2 軟件定量分析骨缺損處新生骨體積分數(bone volume fraction,BV/TV)。最后采用 Overlay 疊加的方法以不同顏色來復合顯示各個標本骨缺損區域內的植入材料和新生骨。
1.5 統計學方法
采用 SPSS20.0 統計軟件進行分析。數據以均數±標準差表示,組間比較采用獨立樣本t 檢驗;檢驗水準 α=0.05。
2 結果
2.1 一般情況
術后 2 h 內動物逐漸蘇醒,回籠飼養;術后 3~7 d 精神狀態好轉,食量增加,術側肢體逐漸部分負重活動;2 周后肢體活動基本恢復正常,跛行消失,體質量恢復至術前水平。術后切口均 Ⅰ 期愈合,無感染、植入物脫出現象;手術動物全部成活。
2.2 X 線片觀察
術后當日,可見兩組植入物位置良好,無明顯位移;術后 4 周,兩組骨缺損處植入物影像清晰,植入物與宿主骨結合牢固無松動,界面密度減低,其中實驗組界面周圍少量低密度云霧狀影像;術后 8 周,兩組界面周圍均可見云霧狀骨痂形成,密度明顯增高,植入物位置良好,實驗組骨痂形成多于對照組;術后 16 周,兩組界面骨結合牢固,未見植入物松動、折斷及移位現象,骨折線消失,實驗組骨痂塑形好于對照組。見圖 3。

a. 實驗組術后當日;b. 實驗組術后 4 周;c. 實驗組術后 8 周;d. 實驗組術后 16 周;e. 對照組術后當日;f. 對照組術后 4 周;g. 對照組術后 8 周;h. 對照組術后 16 周
Figure3. X-ray films observation at each time point after operation in 2 groupsa. At the day after operation in experimental group; b. At 4 weeks after operation in experimental group; c. At 8 weeks after operation in experimental group; d. At 16 weeks after operation in experimental group; e. At the day after operation in control group; f. At 4 weeks after operation in control group; g. At 8 weeks after operation in control group; h. At 16 weeks after operation in control group
2.3 HE染色觀察
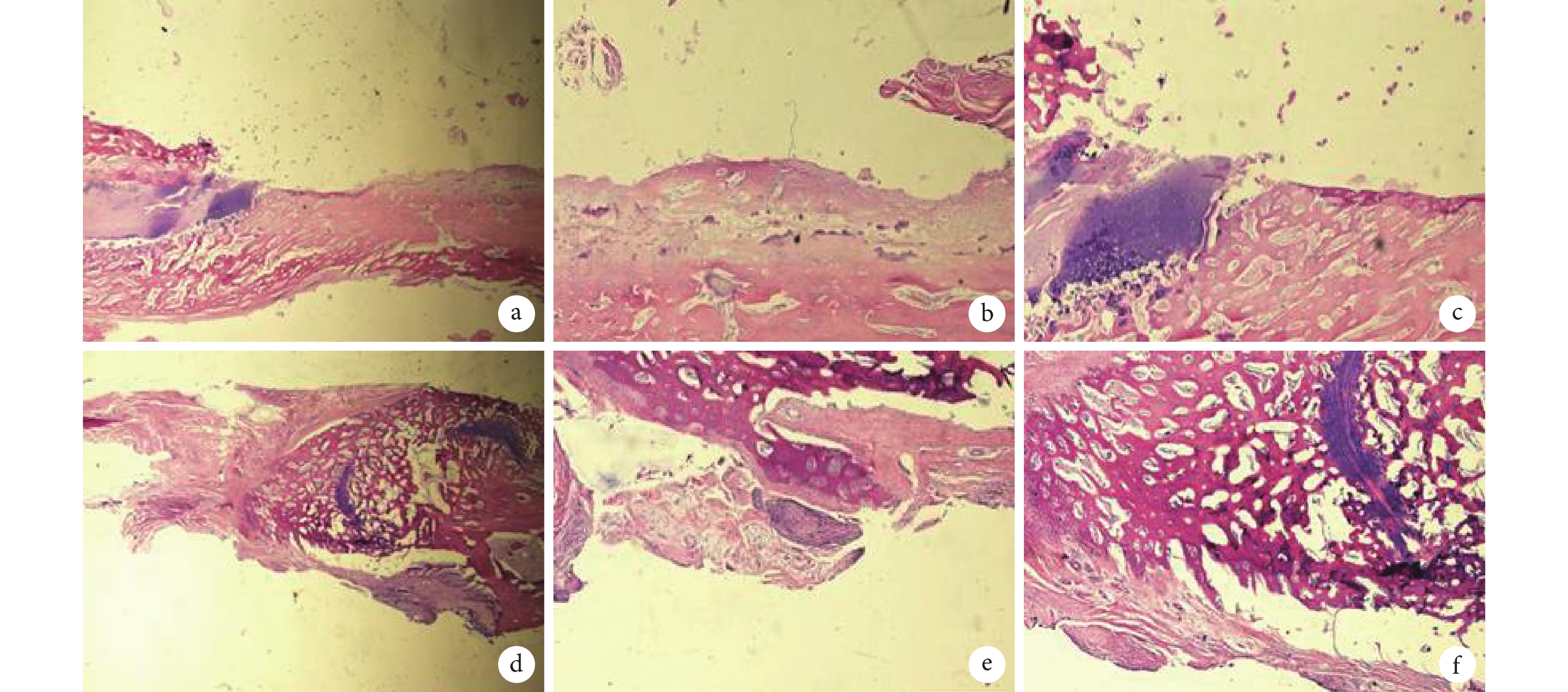
術后 4 周,實驗組鉭-骨界面纖維結締組織膜較薄,其間有大量成纖維細胞、大量新生毛細血管和新生軟骨基質生成,以及新生軟骨化骨生成;對照組鉭-骨界面纖維結締組織膜較實驗組稍厚,其間可見增生的毛細血管、成纖維細胞及部分軟骨化骨。術后 8 周,實驗組鉭-骨界面纖維膜基本消失,軟骨化骨明顯增多,毛細血管及成纖維細胞減少,大量成骨細胞增生,新生骨與界面緊密接觸;對照組鉭-骨界面纖維膜基本消失,新生軟骨化骨增多并長入宿主骨內,仍可見較多小血管。術后 16 周,實驗組鉭-骨界面已形成了片狀軟骨化骨,同時呈編織狀的骨小梁結構形成,部分區域骨小梁增粗形成了片狀骨,界面纖維膜消失,新生骨與宿主骨融合;對照組鉭-骨界面同樣形成了編織狀的骨小梁結構,小梁彎曲狀排列,界面纖維膜消失。見圖 4。

a. 實驗組術后 4 周;b.實驗組術后 8 周;c. 實驗組術后 16 周;d. 對照組術后 4 周;e. 對照組術后 8 周;f. 對照組術后 16 周
Figure4. HE staining observation at each time point after operation in 2 groups (×100)a. At 4 weeks after operation in experimental group; b. At 8 weeks after operation in experimental group; c. At 16 weeks after operation in experimental group; d. At 4 weeks after operation in control group; e. At 8 weeks after operation in control group; f. At 16 weeks after operation in control group
2.4 甲苯胺藍染色觀察
術后 4 周,實驗組鉭-骨界面結合較緊密,鉭棒孔洞內可見少量藍染新生骨組織從邊緣長入,并見小血管長入;對照組鉭-骨界面緊密結合,但二者之間可見薄層結締組織膜,可見小血管形成但未見明顯新骨長入。術后 8 周,實驗組鉭-骨界面及鉭棒孔洞內可見新生骨組織長入并伴隨大量小血管長入,多孔鉭周邊也見薄層新生骨組織包繞;對照組呈條索狀新生骨小梁向多孔鉭深層長入,充滿孔洞,同時伴有纖維組織及血管長入。術后 16 周,實驗組骨缺損區域多孔鉭孔隙內部更深層已被新骨填充大部分,鉭-骨界面無縫隙;對照組新生骨已充滿多孔鉭孔洞大部分,并與孔洞壁緊密結合,孔洞內仍可見纖維及血管。見圖 5。

a. 實驗組術后 4 周;b.實驗組術后 8 周;c. 實驗組術后 16 周;d. 對照組術后 4 周;e. 對照組術后 8 周;f. 對照組術后 16 周
Figure5. Toluidine blue staining observation at each time point after operation in 2 groups (×200)a. At 4 weeks after operation in experimental group; b. At 8 weeks after operation in experimental group; c. At 16 weeks after operation in experimental group; d. At 4 weeks after operation in control group; e. At 8 weeks after operation in control group; f. At 16 weeks after operation in control group
2.5 生物力學測試
術后 16 周,兩組三點彎曲試驗測定結果顯示,實驗組最大載荷力和抗彎曲強度分別為(96.54±7.21)N、(91.26±1.76)MPa,均明顯大于對照組[分別為(82.65±5.65)N、(78.53±1.16)MPa],差異有統計學意義(t=3.715,P=0.004;t=14.801,P=0.000)。
2.6 Micro-CT 檢測
術后 16 周 Micro-CT 冠狀面、橫斷面掃描及三維重建圖像可見兩組材料與骨界面及周圍表面孔隙內均有骨組織生長,界面骨結合牢固;兩組材料均未出現斷裂;其中實驗組新生骨痂明顯多于對照組。見圖 6。定量分析示,實驗組新生骨 BV/TV 為 32.63%±3.56%,顯著高于對照組的 25.07%±4.34%,差異有統計學意義(t=3.299,P=0.008)。

從左至右分別為冠狀面、橫斷面掃描及三維重建圖像a. 實驗組;b. 對照組
Figure6. Micro-CT at 16 weeks after operation in 2 groups (light blue was tantalum, yellow was new bone)From left to right for coronal, cross-sectional, and three-dimensional reconstruction images a. Experimental group; b. Control group
3 討論
目前,自體骨移植術是治療骨缺損最有效的方法。然而,對于大范圍骨缺損,自體骨有時不能滿足骨量需求,同時自體骨移植術供區取骨后往往造成一定并發癥,從而限制了其臨床應用[12]。多孔骨替代材料由于具有與天然骨相似的三維空間結構,現已成為較理想的骨替代材料。研究表明,多孔結構能夠促進組織向植入物內部長入,加速植入物與宿主骨之間的骨傳導及骨整合,能有效增強植入物的穩定性[13-14]。大的連通孔及孔徑能為血管長入材料及血管管腔的發育成熟提供更大空間,使骨組織工程支架材料迅速地再血管化,從而促進新生骨組織的生長和發育[15]。本研究所采用的多孔鉭支架材料是經粉末澆注高溫煅燒技術制備,呈三維立體結構,具有與骨骼相近的彈性模量(2.8~3.2 GPa)、較高的孔隙率(65%~80%)、適合骨組織長入的孔徑(400~600 μm)及連通小孔(50~200 μm)、良好的抗腐蝕性及高表面摩擦力等優點,符合理想骨移植替代材料的基本要求。判斷一種骨替代材料研發成功與否,不僅要求對其進行基礎理化性能和體外生物相容性等實驗評估,還必須將其植入體內骨缺損部位,檢測其體內生物相容性、骨傳導、骨誘導能力,進而評價其骨缺損修復能力。因此,本實驗在前期體外實驗評定基礎上,將支架材料植入動物體內節段性骨缺損部位,以評估其骨修復能力。
對于動物模型的選擇,結合大量國內外文獻[16-17],我們最終選擇采用 1.5 cm 的兔橈骨骨缺損模型,此模型是用于驗證骨移植材料有效性及安全性的常用模型,并且廣泛應用于節段性骨缺損修復的體內動物實驗中[18-20]。
骨替代材料移植修復過程主要由再血管化、骨再生、骨整合幾個基本環節組成,其中再血管化是最基本的環節[21]。帶蒂筋膜瓣包裹植入物后可使其表面豐富的毛細血管從各個方向長入多孔材料接觸面,增加了材料血供,可使血液中的營養物質、氧氣及成骨細胞前體細胞進入骨缺損處,為骨再生及骨整合提供了有利條件。同時,筋膜瓣作為屏障膜包裹植入物,使骨缺損區形成一個成骨空間,可將成纖維細胞、上皮細胞、纖維蛋白等物質阻擋在其外側,而成骨細胞及成骨因子則在成骨空間內大量積聚,使血液中的營養物質、氧氣及成骨細胞前體細胞進入骨缺損處,促使成骨細胞活躍、加快局部新骨形成,提高了多孔材料的骨整合能力。此外,豐富的血運還可以提高骨缺損部位抗感染能力,是臨床上常用的治療骨缺損、骨髓炎的方法之一。
本研究中我們采用以下措施,避免了外在因素對結果的影響:① 兩組選擇的新西蘭大耳白兔在月齡及體質量上完全相同,并且為同一批次動物。② 實驗條件相同,均在同一間清潔級手術室完成,嚴格按照無菌操作。③ 實驗時橈骨截斷部位及斷端骨間膜、骨膜切除范圍完全按照經典術式操作方法,避免骨缺損自行愈合,排除了實驗部位及骨膜和骨間膜對骨缺損愈合的影響。④ 手術操作均為同一位高年資醫師操作,標本采集也為同一操作者完成,二者均不知曉對方操作情況,排除人為因素對實驗結果的影響。此外,由于筋膜菲薄并且非常柔軟,對多孔鉭起不到限制作用,可以排除此方面對實驗結果的干擾。因此,本研究不存在其他因素對實驗結果的影響,兩組實驗差異僅為有無使用帶血管筋膜瓣所致。
影像學分析結果顯示,無論是二維 X 線片上,還是三維 Micro-CT 重建圖像上,實驗組骨痂形成時間均早于對照組,骨痂形成量多于對照組,說明早期的血管化直接影響了骨缺損修復全過程。此結果與既往研究結果一致[22]。
我們通過脫鈣組織切片 HE 染色及不脫鈣硬組織切片甲苯胺藍染色光鏡下觀察發現,實驗組早期界面有大量新生毛細血管和新生軟骨基質生成,并向孔隙內部生長,且形成的纖維組織膜明顯薄于對照組,說明筋膜瓣作為屏障具有阻擋纖維組織的能力,同時還增加了材料表面血供,促進了成骨細胞分化、黏附與增殖,加快新骨生成。
此外,生物力學測試也是檢驗骨移植材料體內研究的一項重要指標。通過三點彎曲試驗可評估植入物與宿主骨界面的力學性能。本研究結果顯示,術后 16 周實驗組最大載荷力和抗彎曲強度均高于對照組,說明筋膜包裹后可加快植入物與宿主骨界面骨痂生長速度及后期新骨塑形,提高了骨缺損部位的力學穩定性。這一點與既往研究相一致[23]。
綜上述,應用筋膜瓣包裹國產多孔鉭修復兔節段性骨缺損,無論是骨痂生成速度,還是骨痂生長的質和量均得到明顯提高,有利于骨缺損的修復。經前期實驗已證實[8-9],國產多孔鉭通過帶蒂筋膜瓣促進其再血管化,而更好地發揮其良好的促成骨作用。但本研究動物體內多孔鉭植入實驗僅觀察到術后 16 周,對于大段骨缺損來說,雖然骨塑形已基本完成,但還需更長時間觀察骨形成變化,將在接下來實驗中進一步補充、完善。此外,對于材料內血管化的定量分析及機制等還需進一步研究。
由各種創傷、腫瘤及先天性疾病造成的骨缺損,尤其是長骨節段性骨缺損,一直是骨科治療領域亟待解決的難題。近年來,對骨移植替代材料逐漸深入的研究與發展,為骨組織的修復重建提供了新的思路和方法。目前常用的可降解材料雖然具有與松質骨相似的微觀三維立體多孔結構,適合于骨的長入和礦化,但其力學強度不足,限制了其在關節、脊柱及肢體等負重部位骨缺損中的應用[1]。多孔鉭金屬憑借其良好的機械性能、抗疲勞性、生物相容性、三維多孔結構、高孔隙率、低彈性模量、高摩擦系數、抗腐蝕性、骨傳導性及低細菌黏附性等特點,廣泛應用于關節、脊柱及肢體負重部位骨缺損的修復[2-6]。目前臨床上應用的多孔鉭骨移植替代材料由美國 Zimmer 公司生產,由于其價格昂貴,難以在臨床中廣泛推廣。因此,多孔鉭材料國產化一直是國內科研工作者攻關的課題。由重慶潤澤醫療器械有限公司聯合國內多家科研機構自主研發的國產多孔鉭材料,經過前期體內、外實驗,已證實具有良好的生物相容性[3, 7-10]。為了進一步增強國產多孔鉭體內骨傳導性,本研究嘗試采用帶蒂筋膜瓣包裹多孔鉭修復兔橈骨節段性骨缺損,通過影像學、組織形態學及生物力學等方法,檢測其骨缺損的修復能力,為今后國產多孔鉭應用于臨床提供實驗依據。
1 材料與方法
1.1 實驗動物及主要材料、儀器
6~8 月齡新西蘭大白兔 60 只,雌雄不限,體質量 2.5~3.0 kg,由華北理工大學動物實驗中心提供。
多孔鉭棒(重慶潤澤醫療器械有限公司),外觀呈深灰色,表面及橫斷面可見均勻分布的孔徑為 400~600 μm 的蜂窩狀孔隙,孔隙率為 65%~80%。采用粉末澆注高溫煅燒技術,制成直徑為 3.5 mm,高 15~25 mm 的多孔圓柱體(圖 1)。

微型擺鋸(北京骨科研究所);光學顯微鏡(Olympus 公司,日本);數字化 X 線機(Siemens 公司,德國);ElectroForce 3200 生物力學試驗機(BOSE 公司,美國);explore Locus SP Micro-CT、Micview 三維重建處理軟件及 ABA 專用骨骼分析軟件(通用公司,美國);Leica RM-2145 組織切片機、Leica SP 1600 硬組織切片機(Leica 公司,德國)。
1.2 兔橈骨節段性骨缺損模型建立
取新西蘭大耳白兔 60 只,術前禁食 12 h 后,以 10% 水合氯醛(3 mL/kg)緩慢腹腔注射麻醉。取右前肢橈側中段長約 3.5 cm 切口,以橈骨弧頂為中心,用微型擺鋸低速截骨 1.5 cm,生理鹽水連續冷卻降溫,徹底切除骨缺損處及斷端兩側骨膜及尺橈骨間骨間膜,注意保證斷端平整,徹底止血,無菌生理鹽水反復沖洗傷口,建立兔橈骨節段性骨缺損模型(圖 2a)。

a. 兔橈骨節段性骨缺損模型;b. 骨缺損處植入多孔鉭棒;c. 實驗組多孔鉭棒表面筋膜包裹;d. 閉合切口
Figure2. Surgical proceduresa. The model of segmental bone defects in rabbit’s radius; b. The porous tantalum implanted in bone defect; c. The porous tantalum encapsulated with pedicled fascial flap in experimental group; d. Closed incision
1.3 實驗分組及方法
將實驗動物隨機分為兩組,每組 30 只,實驗組為多孔鉭棒+筋膜包裹組,對照組為單純多孔鉭棒組。將長 15 mm、直徑 3.5 mm 的圓柱形多孔鉭棒分別以嵌插方式植入兩組右側橈骨骨缺損處(圖 2b)。其中實驗組筋膜瓣制備及固定:于切口周圍皮下筋膜組織層銳性切取約 30 mm×25 mm 大小富含毛細血管網的薄層帶蒂筋膜瓣,保留寬度為 30 mm 蒂部,將筋膜瓣穿過肌肉隧道,轉移至骨缺損處,環形包裹嵌插至橈骨骨缺損處的植入物,并將筋膜用 7-0 顯微縫合線固定于遠、近端周圍骨膜組織上(圖 2c)[11]。為預防感染,材料植入后再次生理鹽水沖洗,局部噴灑青霉素注射液,用肌肉包裹覆蓋缺損區域,依次用 5-0 可吸收線間斷逐層縫合傷口,不作內、外固定(圖 2d)。術后立即肌肉注射青霉素 40 萬 U/只,連續 3 d,傷口處涂抹聚維酮碘溶液消毒,同時術后即刻行 X 線片檢查,確認植入物位置是否良好。
1.4 觀測指標
1.4.1 一般情況 術后觀察實驗動物飲食、日常活動能力、傷口愈合情況(如有無腫脹、分泌物、植入物排出)、動物死亡情況及實驗前后體質量變化。
1.4.2 X線片觀察 分別于術后當日及 4、8、16 周將實驗動物麻醉后,在相同條件(100 mA、50 kV、10 ms)和投照距離(75 cm)行右側橈骨正位 DR 數字 X 線片檢查,觀察骨缺損修復情況。
1.4.3 HE染色觀察 兩組分別于術后 4、8、16 周采用空氣栓塞法各處死 3 只動物,以骨缺損區為中心截取長 2.5 cm 骨組織標本,經 4% 多聚甲醛固定、5% 硝酸-甲醛脫鈣液脫鈣后取出多孔鉭棒。自來水沖洗除酸、常規脫水,透明,浸蠟,包埋;用 Leica RM-2145 組織切片機切片,厚度 4 μm,在標本中心處縱向冠狀面切取 2~3 片;經鋪片、貼片、烘片、脫蠟、脫水后,行 HE 染色,光鏡下觀察兩組植入物與宿主骨界面新骨生成情況。
1.4.4 甲苯胺藍染色觀察 兩組分別于術后 4、8、16 周同上法各處死 3 只動物并截取長 2.5 cm 骨組織標本,經 4% 多聚甲醛固定、梯度乙醇脫水、包埋液包埋后,Leica SP 1600 硬組織切片機沿平行于多孔鉭棒的縱軸切片,厚度約 150 μm;再磨片至 20 μm 厚,干燥,脫塑;行甲苯胺藍染色,光鏡下觀察兩組植入物與宿主骨界面及孔隙內的新骨生成情況。
1.4.5 生物力學測試 術后 16 周每組同上法各處死 6 只動物,取植入物新鮮標本,完整剔凈軟組織,在生物力學試驗機上用夾具將橈骨兩端固定,于植入物中點施加載荷,作三點彎曲生物力學測定。試驗參數:夾具跨度 50 mm,速度 10 mm/min,最大壓力負荷 1 000 N。測量時保持各標本位置一致,并保持標本濕潤狀態,勻速加載,直至骨折。記錄兩組標本最大載荷力,并通過以下公式計算出兩組標本抗彎曲強度:Fmax×3×L/2bh2。其中 Fmax 為最大載荷力,L 為橈骨夾具跨度,b、h 分別為橈骨中點施加負荷處橫截面的寬度及高度。
1.4.6 Micro-CT檢測 術后 16 周每組同上法各處死 6 只動物,以植入物為中心,截取長度為 2.5 cm 帶尺、橈骨的組織塊。使用 Micro-CT 機對標本進行掃描,用 Micview 軟件進行三維重建;然后選取橈骨缺損植骨部位設定為分析感興趣區域(region of interest,ROI);采用 MicroviewABA2.1.2 軟件定量分析骨缺損處新生骨體積分數(bone volume fraction,BV/TV)。最后采用 Overlay 疊加的方法以不同顏色來復合顯示各個標本骨缺損區域內的植入材料和新生骨。
1.5 統計學方法
采用 SPSS20.0 統計軟件進行分析。數據以均數±標準差表示,組間比較采用獨立樣本t 檢驗;檢驗水準 α=0.05。
2 結果
2.1 一般情況
術后 2 h 內動物逐漸蘇醒,回籠飼養;術后 3~7 d 精神狀態好轉,食量增加,術側肢體逐漸部分負重活動;2 周后肢體活動基本恢復正常,跛行消失,體質量恢復至術前水平。術后切口均 Ⅰ 期愈合,無感染、植入物脫出現象;手術動物全部成活。
2.2 X 線片觀察
術后當日,可見兩組植入物位置良好,無明顯位移;術后 4 周,兩組骨缺損處植入物影像清晰,植入物與宿主骨結合牢固無松動,界面密度減低,其中實驗組界面周圍少量低密度云霧狀影像;術后 8 周,兩組界面周圍均可見云霧狀骨痂形成,密度明顯增高,植入物位置良好,實驗組骨痂形成多于對照組;術后 16 周,兩組界面骨結合牢固,未見植入物松動、折斷及移位現象,骨折線消失,實驗組骨痂塑形好于對照組。見圖 3。

a. 實驗組術后當日;b. 實驗組術后 4 周;c. 實驗組術后 8 周;d. 實驗組術后 16 周;e. 對照組術后當日;f. 對照組術后 4 周;g. 對照組術后 8 周;h. 對照組術后 16 周
Figure3. X-ray films observation at each time point after operation in 2 groupsa. At the day after operation in experimental group; b. At 4 weeks after operation in experimental group; c. At 8 weeks after operation in experimental group; d. At 16 weeks after operation in experimental group; e. At the day after operation in control group; f. At 4 weeks after operation in control group; g. At 8 weeks after operation in control group; h. At 16 weeks after operation in control group
2.3 HE染色觀察
術后 4 周,實驗組鉭-骨界面纖維結締組織膜較薄,其間有大量成纖維細胞、大量新生毛細血管和新生軟骨基質生成,以及新生軟骨化骨生成;對照組鉭-骨界面纖維結締組織膜較實驗組稍厚,其間可見增生的毛細血管、成纖維細胞及部分軟骨化骨。術后 8 周,實驗組鉭-骨界面纖維膜基本消失,軟骨化骨明顯增多,毛細血管及成纖維細胞減少,大量成骨細胞增生,新生骨與界面緊密接觸;對照組鉭-骨界面纖維膜基本消失,新生軟骨化骨增多并長入宿主骨內,仍可見較多小血管。術后 16 周,實驗組鉭-骨界面已形成了片狀軟骨化骨,同時呈編織狀的骨小梁結構形成,部分區域骨小梁增粗形成了片狀骨,界面纖維膜消失,新生骨與宿主骨融合;對照組鉭-骨界面同樣形成了編織狀的骨小梁結構,小梁彎曲狀排列,界面纖維膜消失。見圖 4。

a. 實驗組術后 4 周;b.實驗組術后 8 周;c. 實驗組術后 16 周;d. 對照組術后 4 周;e. 對照組術后 8 周;f. 對照組術后 16 周
Figure4. HE staining observation at each time point after operation in 2 groups (×100)a. At 4 weeks after operation in experimental group; b. At 8 weeks after operation in experimental group; c. At 16 weeks after operation in experimental group; d. At 4 weeks after operation in control group; e. At 8 weeks after operation in control group; f. At 16 weeks after operation in control group
2.4 甲苯胺藍染色觀察
術后 4 周,實驗組鉭-骨界面結合較緊密,鉭棒孔洞內可見少量藍染新生骨組織從邊緣長入,并見小血管長入;對照組鉭-骨界面緊密結合,但二者之間可見薄層結締組織膜,可見小血管形成但未見明顯新骨長入。術后 8 周,實驗組鉭-骨界面及鉭棒孔洞內可見新生骨組織長入并伴隨大量小血管長入,多孔鉭周邊也見薄層新生骨組織包繞;對照組呈條索狀新生骨小梁向多孔鉭深層長入,充滿孔洞,同時伴有纖維組織及血管長入。術后 16 周,實驗組骨缺損區域多孔鉭孔隙內部更深層已被新骨填充大部分,鉭-骨界面無縫隙;對照組新生骨已充滿多孔鉭孔洞大部分,并與孔洞壁緊密結合,孔洞內仍可見纖維及血管。見圖 5。

a. 實驗組術后 4 周;b.實驗組術后 8 周;c. 實驗組術后 16 周;d. 對照組術后 4 周;e. 對照組術后 8 周;f. 對照組術后 16 周
Figure5. Toluidine blue staining observation at each time point after operation in 2 groups (×200)a. At 4 weeks after operation in experimental group; b. At 8 weeks after operation in experimental group; c. At 16 weeks after operation in experimental group; d. At 4 weeks after operation in control group; e. At 8 weeks after operation in control group; f. At 16 weeks after operation in control group
2.5 生物力學測試
術后 16 周,兩組三點彎曲試驗測定結果顯示,實驗組最大載荷力和抗彎曲強度分別為(96.54±7.21)N、(91.26±1.76)MPa,均明顯大于對照組[分別為(82.65±5.65)N、(78.53±1.16)MPa],差異有統計學意義(t=3.715,P=0.004;t=14.801,P=0.000)。
2.6 Micro-CT 檢測
術后 16 周 Micro-CT 冠狀面、橫斷面掃描及三維重建圖像可見兩組材料與骨界面及周圍表面孔隙內均有骨組織生長,界面骨結合牢固;兩組材料均未出現斷裂;其中實驗組新生骨痂明顯多于對照組。見圖 6。定量分析示,實驗組新生骨 BV/TV 為 32.63%±3.56%,顯著高于對照組的 25.07%±4.34%,差異有統計學意義(t=3.299,P=0.008)。

從左至右分別為冠狀面、橫斷面掃描及三維重建圖像a. 實驗組;b. 對照組
Figure6. Micro-CT at 16 weeks after operation in 2 groups (light blue was tantalum, yellow was new bone)From left to right for coronal, cross-sectional, and three-dimensional reconstruction images a. Experimental group; b. Control group
3 討論
目前,自體骨移植術是治療骨缺損最有效的方法。然而,對于大范圍骨缺損,自體骨有時不能滿足骨量需求,同時自體骨移植術供區取骨后往往造成一定并發癥,從而限制了其臨床應用[12]。多孔骨替代材料由于具有與天然骨相似的三維空間結構,現已成為較理想的骨替代材料。研究表明,多孔結構能夠促進組織向植入物內部長入,加速植入物與宿主骨之間的骨傳導及骨整合,能有效增強植入物的穩定性[13-14]。大的連通孔及孔徑能為血管長入材料及血管管腔的發育成熟提供更大空間,使骨組織工程支架材料迅速地再血管化,從而促進新生骨組織的生長和發育[15]。本研究所采用的多孔鉭支架材料是經粉末澆注高溫煅燒技術制備,呈三維立體結構,具有與骨骼相近的彈性模量(2.8~3.2 GPa)、較高的孔隙率(65%~80%)、適合骨組織長入的孔徑(400~600 μm)及連通小孔(50~200 μm)、良好的抗腐蝕性及高表面摩擦力等優點,符合理想骨移植替代材料的基本要求。判斷一種骨替代材料研發成功與否,不僅要求對其進行基礎理化性能和體外生物相容性等實驗評估,還必須將其植入體內骨缺損部位,檢測其體內生物相容性、骨傳導、骨誘導能力,進而評價其骨缺損修復能力。因此,本實驗在前期體外實驗評定基礎上,將支架材料植入動物體內節段性骨缺損部位,以評估其骨修復能力。
對于動物模型的選擇,結合大量國內外文獻[16-17],我們最終選擇采用 1.5 cm 的兔橈骨骨缺損模型,此模型是用于驗證骨移植材料有效性及安全性的常用模型,并且廣泛應用于節段性骨缺損修復的體內動物實驗中[18-20]。
骨替代材料移植修復過程主要由再血管化、骨再生、骨整合幾個基本環節組成,其中再血管化是最基本的環節[21]。帶蒂筋膜瓣包裹植入物后可使其表面豐富的毛細血管從各個方向長入多孔材料接觸面,增加了材料血供,可使血液中的營養物質、氧氣及成骨細胞前體細胞進入骨缺損處,為骨再生及骨整合提供了有利條件。同時,筋膜瓣作為屏障膜包裹植入物,使骨缺損區形成一個成骨空間,可將成纖維細胞、上皮細胞、纖維蛋白等物質阻擋在其外側,而成骨細胞及成骨因子則在成骨空間內大量積聚,使血液中的營養物質、氧氣及成骨細胞前體細胞進入骨缺損處,促使成骨細胞活躍、加快局部新骨形成,提高了多孔材料的骨整合能力。此外,豐富的血運還可以提高骨缺損部位抗感染能力,是臨床上常用的治療骨缺損、骨髓炎的方法之一。
本研究中我們采用以下措施,避免了外在因素對結果的影響:① 兩組選擇的新西蘭大耳白兔在月齡及體質量上完全相同,并且為同一批次動物。② 實驗條件相同,均在同一間清潔級手術室完成,嚴格按照無菌操作。③ 實驗時橈骨截斷部位及斷端骨間膜、骨膜切除范圍完全按照經典術式操作方法,避免骨缺損自行愈合,排除了實驗部位及骨膜和骨間膜對骨缺損愈合的影響。④ 手術操作均為同一位高年資醫師操作,標本采集也為同一操作者完成,二者均不知曉對方操作情況,排除人為因素對實驗結果的影響。此外,由于筋膜菲薄并且非常柔軟,對多孔鉭起不到限制作用,可以排除此方面對實驗結果的干擾。因此,本研究不存在其他因素對實驗結果的影響,兩組實驗差異僅為有無使用帶血管筋膜瓣所致。
影像學分析結果顯示,無論是二維 X 線片上,還是三維 Micro-CT 重建圖像上,實驗組骨痂形成時間均早于對照組,骨痂形成量多于對照組,說明早期的血管化直接影響了骨缺損修復全過程。此結果與既往研究結果一致[22]。
我們通過脫鈣組織切片 HE 染色及不脫鈣硬組織切片甲苯胺藍染色光鏡下觀察發現,實驗組早期界面有大量新生毛細血管和新生軟骨基質生成,并向孔隙內部生長,且形成的纖維組織膜明顯薄于對照組,說明筋膜瓣作為屏障具有阻擋纖維組織的能力,同時還增加了材料表面血供,促進了成骨細胞分化、黏附與增殖,加快新骨生成。
此外,生物力學測試也是檢驗骨移植材料體內研究的一項重要指標。通過三點彎曲試驗可評估植入物與宿主骨界面的力學性能。本研究結果顯示,術后 16 周實驗組最大載荷力和抗彎曲強度均高于對照組,說明筋膜包裹后可加快植入物與宿主骨界面骨痂生長速度及后期新骨塑形,提高了骨缺損部位的力學穩定性。這一點與既往研究相一致[23]。
綜上述,應用筋膜瓣包裹國產多孔鉭修復兔節段性骨缺損,無論是骨痂生成速度,還是骨痂生長的質和量均得到明顯提高,有利于骨缺損的修復。經前期實驗已證實[8-9],國產多孔鉭通過帶蒂筋膜瓣促進其再血管化,而更好地發揮其良好的促成骨作用。但本研究動物體內多孔鉭植入實驗僅觀察到術后 16 周,對于大段骨缺損來說,雖然骨塑形已基本完成,但還需更長時間觀察骨形成變化,將在接下來實驗中進一步補充、完善。此外,對于材料內血管化的定量分析及機制等還需進一步研究。