引用本文: 石永新, 李富琴, 譚文甫, 劉金華. 股骨近端防旋髓內釘與鎖定加壓接骨板治療老年外側壁薄弱型股骨粗隆間骨折療效比較. 中國修復重建外科雜志, 2014, 28(10): 1199-1203. doi: 10.7507/1002-1892.20140260 復制
隨著人均壽命的提高,老年股骨粗隆間骨折已成為臨床常見外傷之一。目前,對于此類損傷首選手術治療,以減少長期臥床導致的相關并發癥,降低死亡率,提高患者生活質量[1]。外側壁薄弱型股骨粗隆間骨折是累及小粗隆和部分大粗隆的順行不穩定骨折,相當于AO骨折分型中的A2.2及A2.3型;該類骨折的股骨外側壁皮質完整,但大粗隆已部分破裂,外側壁殘留的部分骨皮質薄弱,術中易發生再骨折。目前,外側壁薄弱型股骨粗隆間骨折的手術方式及內固定選擇尚無統一標準。2009年5月-2012年8月,我們對收治的外側壁薄弱型股骨粗隆間骨折老年患者分別采用股骨近端防旋髓內釘(proximal femoral nail anti-rotation,PFNA)與鎖定加壓接骨板(locking compression plate,LCP)治療。現回顧分析患者臨床資料,比較兩種內固定方法的療效,為臨床治療方法選擇提供參考。報告如下。
1 臨床資料
1.1 患者選擇標準
納入標準:①年齡≥65歲;②閉合骨折,具有手術指征的外側壁薄弱型股骨粗隆間骨折;③骨折至手術時間≤14 d;④術前各項檢查及綜合評估表明患者可耐受手術;⑤術前骨密度及CT檢查提示不適合行關節置換;⑥術前生活能自理,術后可配合醫師治療。排除標準:①病理性骨折;②嚴重骨質疏松不適合內固定患者;③術前及術后1個月有鄰近部位手術史。
2009年5月-2012年8月,共69例患者符合選擇標準納入研究。其中36例采用PFNA治療(PFNA組),33例采用LCP治療(LCP組)。
1.2 一般資料
PFNA組:男17例,女19例;年齡65~96歲,平均78.3歲。致傷原因:摔傷33例,交通事故傷3例。均為單側股骨粗隆間骨折;左側16例,右側20例。骨折按AO分型:A2.2型25例,A2.3型11例。合并橈骨遠端骨折3例,坐骨支骨折2例;冠心病8例,高血壓7例,肺部炎癥9例,糖尿病10例。傷后至手術時間4~14 d,平均7.5 d。
LCP組:男19例,女14例;年齡67~92歲,平均78.5歲。致傷原因:摔傷23例,交通事故傷10例。均為單側股骨粗隆間骨折;左側20例,右側13例。骨折按AO分型:A2.2型20例,A2.3型13例。合并冠心病9例,高血壓8例,肺部炎癥6例,糖尿病11例。傷后至手術時間3~12 d,平均6.8 d。
兩組患者性別、年齡、致傷原因、骨折側別及AO分型等一般資料比較,差異均無統計學意義(P>0.05),具有可比性。
1.3 手術方法
術前30 min靜脈給予頭孢2代抗生素預防感染。兩組手術均由同一組醫師完成。椎管內麻醉下,患者仰臥于牽引手術臺上;C臂X線機透視下閉合復位,正、側位透視明確骨折復位良好后行內固定手術。
PFNA組:于股骨大轉子頂點縱軸中線稍偏后向近端作長3~5 cm切口,顯露大轉子頂點。于頂點插入導針,透視明確導針位于髓腔中央后開孔,根據髓腔直徑植入合適型號的PFNA主釘,透視下確定主釘深度,以螺旋刀片孔平小轉子中下緣水平為準。安裝瞄準器,調整前傾角,植入螺旋刀片導針至股骨頭下0.5~1.0 cm處。透視確認螺旋刀片導針位置,正位位于股骨頭頸中線偏下且距下緣皮質有足夠距離(超過螺旋刀片半徑),側位位于股骨頭頸正中或稍偏后,確定螺旋刀片不會穿出皮質。在導針上測量所需螺旋刀片長度,開孔,打入螺旋刀片,正側位透視下見螺旋刀片至股骨頭下0.5~1.0 cm處,予以鎖定加壓,定位器下植入遠端螺釘。沖洗并縫合切口。
LCP組:于大轉子頂點及其外側作縱切口,長8~10 cm,保留骨膜,顯露大粗隆外側。放置LCP,先打入拉力螺釘將接骨板貼近骨組織,透視下明確鋼板位置良好后,打入股骨頸導針,正、側位透視見導針位置良好,在股骨頸導針上測量鎖定釘深度,植入鎖定釘,鋼板遠骨折端打入2~3枚鎖定釘。沖洗并留置負壓引流后,縫合切口。
1.4 術后處理
兩組術前無肺部炎癥患者術后常規靜脈注射頭孢2代抗生素48 h,預防感染;術前合并肺部炎癥患者術后根據呼吸內科會診意見使用抗生素。術后24 h給予口服利伐沙班聯合物理方法,預防下肢深靜脈血栓形成。LCP組術后2~3 d引流量<10 mL/d后拔出引流管。
麻醉清醒后即指導患者行肌肉收縮鍛煉。PFNA組于5~7 d后在助行器輔助下下地行走,8~15周X線片復查有骨痂形成后,逐漸負重行走;LCP組術后3?d允許坐起,8~12周開始下地部分負重行走,待X線片示骨折愈合后完全負重行走。
1.5 療效評價指標
記錄兩組切口長度、手術時間、透視次數、術中出血量及術后患者下地活動時間。術后復查血常規,計算總出血量[2];觀察早期(3個月內)及晚期(12個月以上)并發癥發生情況。X線片復查骨折愈合情況,記錄愈合時間。采用Harris評分[3]評價髖關節功能。
1.6 統計學方法
采用SPSS17.0統計軟件進行分析。計量資料以均數±標準差表示,組間比較采用t檢驗;計數資料比較采用χ2檢驗;檢驗水準α=0.05。
2 結果
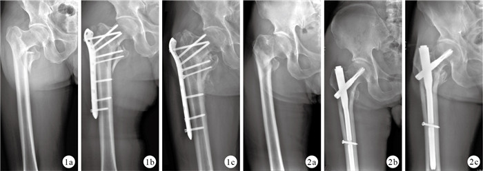
PFNA組切口長度、手術時間、術中出血量及下地活動時間均顯著優于LCP組,但術中透視次數顯著多于LCP組,比較差異均有統計學意義(P<0.05);兩組總出血量比較,差異無統計學意義(t=—1.686,P=0.096)。見表 1。兩組患者均獲隨訪,PFNA組隨訪時間12~24個月,平均18.3個月;LCP組15~30個月,平均19.1個月。X線片復查示,PFNA組骨折均愈合,愈合時間(12.667±2.527)周。LCP組1例骨折未愈合,與患者術后3周即下地部分負重行走,導致骨折移位有關,行人工全髖關節置換;其余患者骨折均愈合,愈合時間(13.364±1.194)周。兩組骨折愈合時間比較,差異無統計學意義(t=—1.443,P=0.154)。見圖 1、2。術后12個月PFNA組Harris評分為(84.611±7.076)分,LCP組為(81.785±7.500)分,兩組比較差異無統計學意義(t=1.626,P=0.109)。


PFNA組6例(16.7%)發生早期并發癥,其中切口脂肪液化2例,延遲愈合3例,局部皮膚軟組織壞死1例;LCP組3例(9.1%)發生早期并發癥,其中切口延遲愈合2例,淺層感染1例(細菌培養為表皮葡萄球菌);以上切口并發癥經換藥、抗感染等對癥治療后均愈合。兩組早期并發癥發生率比較,差異無統計學意義(χ2=0.871,P=0.481)。其余患者切口均Ⅰ期愈合,無早期相關并發癥發生。
PFNA組2例(5.6%)發生晚期并發癥,為髖關節輕度疼痛,外展髖關節時明顯,但疼痛可忍受,未作特殊治療,進一步隨訪中。LCP組3例(9.1%)發生晚期并發癥,其中1例內固定失敗,行人工全髖關節置換;1?例出現創傷性關節炎,1例殘留髖關節不明原因疼痛,疼痛可忍受,均未作特殊治療,進一步隨訪中。兩組晚期并發癥發生率比較,差異無統計學意義(χ2=0.320,P=0.665)。
3 討論
外側壁在解剖上是指股外側肌嵴以遠的股骨近端外側皮質,即小粗隆平面以上的股骨外側皮質[4]。2004年Gotfried[5]首先提出“股骨粗隆外側壁”的概念,并將股骨近端解剖結構由既往的4?部分增加到5?部分,包括股骨頭頸、股骨干、大粗隆、小粗隆、外側壁。Im等[6]和Palm等[7]進一步證實了其臨床價值,恢復大粗隆外側壁的完整性在股骨粗隆間骨折治療中起著重要作用。由于動力髖螺釘存在拉力螺釘及側板套筒均較粗大、鉆孔時使用的鉆頭亦粗大、頸干角設計均為135°等設計缺陷,術中及術后易發生外側壁破裂,將術前的順粗隆間骨折(A2型)惡化為反斜形或橫形粗隆間骨折(A3型)。近側的股骨頭頸骨塊由于失去了外側壁的支撐阻擋,將沿拉力螺釘的滑動軸發生過度滑動,導致近側股骨頭頸骨塊不可控地向外退縮塌陷,遠側股骨干相對內移,從而使骨折復位丟失,甚至拉力螺釘從股骨頭內切出或是鋼板螺釘拔除斷裂而導致治療失敗。對于外側壁薄弱型老年股骨粗隆間骨折患者,目前偏向于使用PFNA [8]或LCP[9]固定,而具體哪種療效更佳尚不確定,為此我們進行了比較分析。
PFNA屬于髓內固定,尤其適用于伴骨質疏松的老年患者[10],其優點可歸納為:①髓內固定,微創操作,術中無需剝離股外側肌,保持肌肉的完整對保護外側壁具有重要意義,術后髖外展功能恢復良好[11]。②主釘承擔了大部分應力的傳導,大大降低了外側壁承擔的張應力,患者術后早期即可下地行走。本研究中PFNA組患者均于術后5~7?d下地行走,未出現內固定失敗。③螺旋刀片可對骨折進行加壓固定,固定牢固,且不會影響骨折端血運。但PFNA治療外側壁薄弱型股骨粗隆間骨折也存在一些不足:①由于反復定位及主釘的插入,對近端皮膚軟組織及肌肉有一定損傷,術后早期切口并發癥增多。PFNA組16.7%患者出現切口并發癥,主要表現為切口脂肪液化、延遲愈合等,高于LCP組的9.1%。因此在后期手術切口縫合前,我們均進行再次清創,未再出現切口并發癥。②選擇大粗隆頂點進針后,擴頂端皮質時強行擴開、植入主釘時暴力捶擊、使用螺旋刀片前定位導針反復多次定位對外側壁的破壞,以及暴力捶擊打入螺旋刀片等不正確操作均可能導致外側壁破裂,將外側壁完整型骨折變為外側壁破裂型。雖然PFNA近端粗大的髓內釘軸桿可代替外側壁對股骨頭頸的支撐作用,阻擋股骨頭頸骨塊的外移及塌陷[11],但患者功能恢復時間會相對延長,且由于外側壁移位導致的臀中肌力矩改變,患者術后出現髖關節外展功能受限幾率增加。③透視下反復定位使患者及醫師術中射線暴露時間增加,PFNA組術中透視次數顯著多于LCP組。④存在術中發生螺旋刀片冷焊接而改用其他內固定[12]、術后螺旋刀片切出[13-14]、不能解決外側壁頂端骨塊移位等問題[15]。
LCP治療外側壁薄弱型股骨粗隆間骨折的優勢主要有:①設計接近股骨粗隆解剖形態,接骨板可緊貼骨表面,具有良好的貼附性;②鎖定釘的框架分布結構使固定更牢靠,穩定性增強,并減少拔釘及螺釘切出幾率[16];③直視下操作,減少了導針反復使用對股骨頸骨量的破壞;④術中透視次數少,減少了射線暴露對患者及醫師的危害。但是,LCP同樣存在以下不足:①因LCP放置于大粗隆外側,術中需切斷股外側肌在股骨大粗隆止點部分,完全顯露股骨大粗隆,手術切口長,軟組織損傷較大,且手術時間較長。②開放性手術使術中出血量較PFNA顯著增加。③由于LCP提供的是偏心固定,所以患者下地負重時間較PFNA延長,過早下地負重可能造成內固定失敗及骨折移位。LCP組1?例患者出現內固定失敗,分析原因為LCP加壓作用弱,骨折端的分離未完全糾正,且患者下地負重時間過早。④LCP對骨折端的加壓固定依靠大粗隆下方的加壓螺釘完成,過度加壓會影響骨膜血運,而加壓不夠則無法減小骨折端分離,對于骨折疏松患者易出現內固定失敗。
綜上述,我們認為PFNA和LCP治療外側壁薄弱型股骨粗隆間骨折均具有良好療效。治療時需注意:LCP本身無加壓作用,其加壓固定依靠近端拉力螺釘完成,所以骨折良好復位較PFNA更重要;但無需追求解剖復位而增加對血運破壞,以免導致骨折不愈合。PFNA術畢時切口需再次清創,以利切口愈合,減少相關并發癥發生。無論使用PFNA還是LCP,正、側位螺旋刀片或螺釘均應位于股骨頸內良好位置,并且尖頂距<25 mm[17]。
隨著人均壽命的提高,老年股骨粗隆間骨折已成為臨床常見外傷之一。目前,對于此類損傷首選手術治療,以減少長期臥床導致的相關并發癥,降低死亡率,提高患者生活質量[1]。外側壁薄弱型股骨粗隆間骨折是累及小粗隆和部分大粗隆的順行不穩定骨折,相當于AO骨折分型中的A2.2及A2.3型;該類骨折的股骨外側壁皮質完整,但大粗隆已部分破裂,外側壁殘留的部分骨皮質薄弱,術中易發生再骨折。目前,外側壁薄弱型股骨粗隆間骨折的手術方式及內固定選擇尚無統一標準。2009年5月-2012年8月,我們對收治的外側壁薄弱型股骨粗隆間骨折老年患者分別采用股骨近端防旋髓內釘(proximal femoral nail anti-rotation,PFNA)與鎖定加壓接骨板(locking compression plate,LCP)治療。現回顧分析患者臨床資料,比較兩種內固定方法的療效,為臨床治療方法選擇提供參考。報告如下。
1 臨床資料
1.1 患者選擇標準
納入標準:①年齡≥65歲;②閉合骨折,具有手術指征的外側壁薄弱型股骨粗隆間骨折;③骨折至手術時間≤14 d;④術前各項檢查及綜合評估表明患者可耐受手術;⑤術前骨密度及CT檢查提示不適合行關節置換;⑥術前生活能自理,術后可配合醫師治療。排除標準:①病理性骨折;②嚴重骨質疏松不適合內固定患者;③術前及術后1個月有鄰近部位手術史。
2009年5月-2012年8月,共69例患者符合選擇標準納入研究。其中36例采用PFNA治療(PFNA組),33例采用LCP治療(LCP組)。
1.2 一般資料
PFNA組:男17例,女19例;年齡65~96歲,平均78.3歲。致傷原因:摔傷33例,交通事故傷3例。均為單側股骨粗隆間骨折;左側16例,右側20例。骨折按AO分型:A2.2型25例,A2.3型11例。合并橈骨遠端骨折3例,坐骨支骨折2例;冠心病8例,高血壓7例,肺部炎癥9例,糖尿病10例。傷后至手術時間4~14 d,平均7.5 d。
LCP組:男19例,女14例;年齡67~92歲,平均78.5歲。致傷原因:摔傷23例,交通事故傷10例。均為單側股骨粗隆間骨折;左側20例,右側13例。骨折按AO分型:A2.2型20例,A2.3型13例。合并冠心病9例,高血壓8例,肺部炎癥6例,糖尿病11例。傷后至手術時間3~12 d,平均6.8 d。
兩組患者性別、年齡、致傷原因、骨折側別及AO分型等一般資料比較,差異均無統計學意義(P>0.05),具有可比性。
1.3 手術方法
術前30 min靜脈給予頭孢2代抗生素預防感染。兩組手術均由同一組醫師完成。椎管內麻醉下,患者仰臥于牽引手術臺上;C臂X線機透視下閉合復位,正、側位透視明確骨折復位良好后行內固定手術。
PFNA組:于股骨大轉子頂點縱軸中線稍偏后向近端作長3~5 cm切口,顯露大轉子頂點。于頂點插入導針,透視明確導針位于髓腔中央后開孔,根據髓腔直徑植入合適型號的PFNA主釘,透視下確定主釘深度,以螺旋刀片孔平小轉子中下緣水平為準。安裝瞄準器,調整前傾角,植入螺旋刀片導針至股骨頭下0.5~1.0 cm處。透視確認螺旋刀片導針位置,正位位于股骨頭頸中線偏下且距下緣皮質有足夠距離(超過螺旋刀片半徑),側位位于股骨頭頸正中或稍偏后,確定螺旋刀片不會穿出皮質。在導針上測量所需螺旋刀片長度,開孔,打入螺旋刀片,正側位透視下見螺旋刀片至股骨頭下0.5~1.0 cm處,予以鎖定加壓,定位器下植入遠端螺釘。沖洗并縫合切口。
LCP組:于大轉子頂點及其外側作縱切口,長8~10 cm,保留骨膜,顯露大粗隆外側。放置LCP,先打入拉力螺釘將接骨板貼近骨組織,透視下明確鋼板位置良好后,打入股骨頸導針,正、側位透視見導針位置良好,在股骨頸導針上測量鎖定釘深度,植入鎖定釘,鋼板遠骨折端打入2~3枚鎖定釘。沖洗并留置負壓引流后,縫合切口。
1.4 術后處理
兩組術前無肺部炎癥患者術后常規靜脈注射頭孢2代抗生素48 h,預防感染;術前合并肺部炎癥患者術后根據呼吸內科會診意見使用抗生素。術后24 h給予口服利伐沙班聯合物理方法,預防下肢深靜脈血栓形成。LCP組術后2~3 d引流量<10 mL/d后拔出引流管。
麻醉清醒后即指導患者行肌肉收縮鍛煉。PFNA組于5~7 d后在助行器輔助下下地行走,8~15周X線片復查有骨痂形成后,逐漸負重行走;LCP組術后3?d允許坐起,8~12周開始下地部分負重行走,待X線片示骨折愈合后完全負重行走。
1.5 療效評價指標
記錄兩組切口長度、手術時間、透視次數、術中出血量及術后患者下地活動時間。術后復查血常規,計算總出血量[2];觀察早期(3個月內)及晚期(12個月以上)并發癥發生情況。X線片復查骨折愈合情況,記錄愈合時間。采用Harris評分[3]評價髖關節功能。
1.6 統計學方法
采用SPSS17.0統計軟件進行分析。計量資料以均數±標準差表示,組間比較采用t檢驗;計數資料比較采用χ2檢驗;檢驗水準α=0.05。
2 結果
PFNA組切口長度、手術時間、術中出血量及下地活動時間均顯著優于LCP組,但術中透視次數顯著多于LCP組,比較差異均有統計學意義(P<0.05);兩組總出血量比較,差異無統計學意義(t=—1.686,P=0.096)。見表 1。兩組患者均獲隨訪,PFNA組隨訪時間12~24個月,平均18.3個月;LCP組15~30個月,平均19.1個月。X線片復查示,PFNA組骨折均愈合,愈合時間(12.667±2.527)周。LCP組1例骨折未愈合,與患者術后3周即下地部分負重行走,導致骨折移位有關,行人工全髖關節置換;其余患者骨折均愈合,愈合時間(13.364±1.194)周。兩組骨折愈合時間比較,差異無統計學意義(t=—1.443,P=0.154)。見圖 1、2。術后12個月PFNA組Harris評分為(84.611±7.076)分,LCP組為(81.785±7.500)分,兩組比較差異無統計學意義(t=1.626,P=0.109)。


PFNA組6例(16.7%)發生早期并發癥,其中切口脂肪液化2例,延遲愈合3例,局部皮膚軟組織壞死1例;LCP組3例(9.1%)發生早期并發癥,其中切口延遲愈合2例,淺層感染1例(細菌培養為表皮葡萄球菌);以上切口并發癥經換藥、抗感染等對癥治療后均愈合。兩組早期并發癥發生率比較,差異無統計學意義(χ2=0.871,P=0.481)。其余患者切口均Ⅰ期愈合,無早期相關并發癥發生。
PFNA組2例(5.6%)發生晚期并發癥,為髖關節輕度疼痛,外展髖關節時明顯,但疼痛可忍受,未作特殊治療,進一步隨訪中。LCP組3例(9.1%)發生晚期并發癥,其中1例內固定失敗,行人工全髖關節置換;1?例出現創傷性關節炎,1例殘留髖關節不明原因疼痛,疼痛可忍受,均未作特殊治療,進一步隨訪中。兩組晚期并發癥發生率比較,差異無統計學意義(χ2=0.320,P=0.665)。
3 討論
外側壁在解剖上是指股外側肌嵴以遠的股骨近端外側皮質,即小粗隆平面以上的股骨外側皮質[4]。2004年Gotfried[5]首先提出“股骨粗隆外側壁”的概念,并將股骨近端解剖結構由既往的4?部分增加到5?部分,包括股骨頭頸、股骨干、大粗隆、小粗隆、外側壁。Im等[6]和Palm等[7]進一步證實了其臨床價值,恢復大粗隆外側壁的完整性在股骨粗隆間骨折治療中起著重要作用。由于動力髖螺釘存在拉力螺釘及側板套筒均較粗大、鉆孔時使用的鉆頭亦粗大、頸干角設計均為135°等設計缺陷,術中及術后易發生外側壁破裂,將術前的順粗隆間骨折(A2型)惡化為反斜形或橫形粗隆間骨折(A3型)。近側的股骨頭頸骨塊由于失去了外側壁的支撐阻擋,將沿拉力螺釘的滑動軸發生過度滑動,導致近側股骨頭頸骨塊不可控地向外退縮塌陷,遠側股骨干相對內移,從而使骨折復位丟失,甚至拉力螺釘從股骨頭內切出或是鋼板螺釘拔除斷裂而導致治療失敗。對于外側壁薄弱型老年股骨粗隆間骨折患者,目前偏向于使用PFNA [8]或LCP[9]固定,而具體哪種療效更佳尚不確定,為此我們進行了比較分析。
PFNA屬于髓內固定,尤其適用于伴骨質疏松的老年患者[10],其優點可歸納為:①髓內固定,微創操作,術中無需剝離股外側肌,保持肌肉的完整對保護外側壁具有重要意義,術后髖外展功能恢復良好[11]。②主釘承擔了大部分應力的傳導,大大降低了外側壁承擔的張應力,患者術后早期即可下地行走。本研究中PFNA組患者均于術后5~7?d下地行走,未出現內固定失敗。③螺旋刀片可對骨折進行加壓固定,固定牢固,且不會影響骨折端血運。但PFNA治療外側壁薄弱型股骨粗隆間骨折也存在一些不足:①由于反復定位及主釘的插入,對近端皮膚軟組織及肌肉有一定損傷,術后早期切口并發癥增多。PFNA組16.7%患者出現切口并發癥,主要表現為切口脂肪液化、延遲愈合等,高于LCP組的9.1%。因此在后期手術切口縫合前,我們均進行再次清創,未再出現切口并發癥。②選擇大粗隆頂點進針后,擴頂端皮質時強行擴開、植入主釘時暴力捶擊、使用螺旋刀片前定位導針反復多次定位對外側壁的破壞,以及暴力捶擊打入螺旋刀片等不正確操作均可能導致外側壁破裂,將外側壁完整型骨折變為外側壁破裂型。雖然PFNA近端粗大的髓內釘軸桿可代替外側壁對股骨頭頸的支撐作用,阻擋股骨頭頸骨塊的外移及塌陷[11],但患者功能恢復時間會相對延長,且由于外側壁移位導致的臀中肌力矩改變,患者術后出現髖關節外展功能受限幾率增加。③透視下反復定位使患者及醫師術中射線暴露時間增加,PFNA組術中透視次數顯著多于LCP組。④存在術中發生螺旋刀片冷焊接而改用其他內固定[12]、術后螺旋刀片切出[13-14]、不能解決外側壁頂端骨塊移位等問題[15]。
LCP治療外側壁薄弱型股骨粗隆間骨折的優勢主要有:①設計接近股骨粗隆解剖形態,接骨板可緊貼骨表面,具有良好的貼附性;②鎖定釘的框架分布結構使固定更牢靠,穩定性增強,并減少拔釘及螺釘切出幾率[16];③直視下操作,減少了導針反復使用對股骨頸骨量的破壞;④術中透視次數少,減少了射線暴露對患者及醫師的危害。但是,LCP同樣存在以下不足:①因LCP放置于大粗隆外側,術中需切斷股外側肌在股骨大粗隆止點部分,完全顯露股骨大粗隆,手術切口長,軟組織損傷較大,且手術時間較長。②開放性手術使術中出血量較PFNA顯著增加。③由于LCP提供的是偏心固定,所以患者下地負重時間較PFNA延長,過早下地負重可能造成內固定失敗及骨折移位。LCP組1?例患者出現內固定失敗,分析原因為LCP加壓作用弱,骨折端的分離未完全糾正,且患者下地負重時間過早。④LCP對骨折端的加壓固定依靠大粗隆下方的加壓螺釘完成,過度加壓會影響骨膜血運,而加壓不夠則無法減小骨折端分離,對于骨折疏松患者易出現內固定失敗。
綜上述,我們認為PFNA和LCP治療外側壁薄弱型股骨粗隆間骨折均具有良好療效。治療時需注意:LCP本身無加壓作用,其加壓固定依靠近端拉力螺釘完成,所以骨折良好復位較PFNA更重要;但無需追求解剖復位而增加對血運破壞,以免導致骨折不愈合。PFNA術畢時切口需再次清創,以利切口愈合,減少相關并發癥發生。無論使用PFNA還是LCP,正、側位螺旋刀片或螺釘均應位于股骨頸內良好位置,并且尖頂距<25 mm[17]。