為了分析胰腺實性假乳頭狀瘤(SPTP)的CT表現,并與病理結果對照,提高對該病的診斷率,回顧性分析23例經手術病理證實的SPTP患者的臨床、CT及病理資料。23例患者中,女21例(91.3%),男2例(8.7%)。最常見癥狀為腹部不適伴鈍痛12例(52.2%),其他包括體檢發現胰腺包塊9例(39.1%),惡心嘔吐2例(8.7%)。1例女性患者共有2處病灶,24例腫瘤中,位于胰頭6例(25.0%),胰頸3例(12.5%),胰體8例(33.3%),胰尾7例(29.2%);腫瘤最長徑2.1~20.1 cm,平均6.4 cm;9例以實性成分為主(37.5%),10例囊、實性成分比例相仿(41.7%),5例以囊性成分為主(20.8%)。9例患者的病灶伴鈣化(39.1%)。2例患者的病灶伴出血(8.7%)。1例患者伴肝內膽管擴張(4.3%)。1例患者出現肝轉移(4.3%)。CT增強掃描24例腫瘤實性成分動脈期輕度強化,門脈期持續強化,其強化程度不及正常胰腺組織,囊性成分各期均未見強化。24例鏡下見假乳頭狀結構以及出血、壞死或囊性變。總之,SPTP的CT表現具有一定的特征性,反映其病理特征,結合臨床表現有助于做出正確的診斷及鑒別診斷。
引用本文: 鄭興菊, 譚顯政, 伍兵. 胰腺實性假乳頭狀瘤的CT表現與病理對照分析. 生物醫學工程學雜志, 2014, 31(1): 107-112. doi: 10.7507/1001-5515.20140021 復制
引言
胰腺實性假乳頭狀瘤(solid pseudopapillary tumor of pancreas,SPTP)是一種少見的胰腺腫瘤,約占胰腺原發腫瘤1%~6%,胰腺囊性腫瘤的10%~15%[1-3]。臨床上,SPTP的手術切除率高,預后較好,因此,術前準確診斷十分重要。目前,國內外對該腫瘤的報道逐漸增多[4-5],由于SPTP與胰腺其他囊實性腫瘤的影像學表現存在較多相似之處,術前診斷較為困難。本文回顧性分析23例患者共24例腫瘤經手術及病理證實為SPTP的CT表現,以期提高對該病的診斷正確率及鑒別診斷水平。
1 資料和方法
1.1 一般資料
回顧性分析四川大學華西醫院放射科2009年3月-2012年9月期間經手術病理證實的23例胰腺實性假乳頭瘤患者,術前均行CT平掃加增強掃描。23例患者中,女21例(91.3%),男2例(8.7%),年齡14~50歲,平均34.5歲,其中30歲以下9例(39.1%),30歲以上14例(60.1%)。1例女性患者有2處病灶。12例患者腹部不適伴鈍痛(52.2%),9例患者體檢發現胰腺包塊(39.1%),2例患者出現惡心嘔吐(8.7%)。實驗室檢查:3例CA19-9升高(13.0%),1例CA15-3升高(4.3%),1例CEA升高(4.3%)。
1.2 CT掃描技術
采用Philips Brilliance 16 CT(10例)、Philips Brilliance 64 CT(6例)或Siemens Somatom Definition CT(7例)掃描。層厚5 mm,層間距5 mm,矩陣512×512,全部患者均行平掃及雙期增強掃描。對比劑采用非離子型碘帕醇注射液75~100 mL(1.5 mL/kg),經肘靜脈由高壓注射器團注,速率2~3 mL/s,延遲時間動脈期為25 s,門靜脈期為60 s。
2 結果
2.1 CT表現
2.1.1 腫塊的部位、大小和形態
23例患者中除1例為多發(2處病灶)外(見圖 1),其余均為單發。24例病灶,其中位于胰頭6例(25.0%),胰頸3例(12.5%),胰體8例(33.3%),胰尾7例(29.2%);腫塊最長徑2.1~20.11 cm(平均6.4 cm);病灶呈類圓形者11例(45.8%),橢圓形者6例(25.0%),不規則者7例(29.2%)。

CT平掃示胰頭及胰尾分別見不規則腫塊影(白箭),以實性成分為主,腫塊內見點狀、小片狀鈣化
Figure1. SPTP at the head and tail of the pancreasCT plain scan showed 2 irregular masses. One was at head and another was at tail of the pancreas (white arrow),they were mostly solid component. The punctiform and schistose calcification of the tumors also shown
2.1.2 腫塊的CT表現
24例病灶平掃表現為囊實性混合性腫塊。9例以實性成分為主(37.5%);10例囊、實性成分比例相仿(41.7%),5例以囊性成分為主(20.8%),表現為病灶內囊、實性成分交錯分布;或實性成分分布在病變周邊,部分呈乳頭狀或壁結節樣突起或呈云絮樣“漂浮”于囊性成分中(見圖 2)。

(a)胰體部SPTP,門靜脈期,腫塊內實性成分與囊性成分交錯分布,實性成分區見點狀鈣化(黑箭頭);(b)胰尾部SPTP,門靜脈期,腫塊內實性成分呈乳頭狀突起(黑箭);(c)胰頭部SPTP,動脈期,腫塊內實性成分呈云絮樣“漂浮”于囊性成分中(白箭)
Figure2. Distribution of solid and cystic part of SPTP(a) SPTP at the body of the pancreas,in portal phase,the solid and cystic part of the mass was cross distribution. Punctiform calcification of the solid components also shown (black arrow); (b) SPTP at the tail of the pancreas,papillary structures were displayed in solid part during portal phase (black arrow); (c) SPTP at the head of the pancreas,the solid parts showed “floating clouds” in arterial phase (white arrow)
4例可見分隔(16.7%),為病灶內條狀或弧形線狀軟組織密度影(見圖 3)。

門靜脈期,腫塊內分隔明顯強化(白箭)
Figure3. SPTP at the head of the pancreasIn portal phase,the separator of the mass showed obvious enhanced (white arrow)
24例病灶包膜完整(100%),包膜厚度2~7 mm。9例患者的病灶伴鈣化(39.1%),為近包膜下和囊實混雜區的點狀、線狀或不規則形鈣化(見圖 1、2)。2例患者的病灶伴出血(8.7%),CT表現為片狀高密度區(見圖 4)。

CT平掃,腫塊內見片狀高密度出血區(白箭)
Figure4. SPTP at the tail of the pancreasCT plain scan showed schistose of hemorrhage in the mass (white arrow)
CT平掃腫塊實性部分CT值為30~57 HU,囊性成分CT值為19~45 HU;增強掃描動脈期腫塊實性部分輕度強化,CT值為52~87 HU;門脈期持續強化,CT值為65~115 HU,強化程度不及正常胰腺組織;包膜及分隔均有輕中度強化;囊性成分增強各期未見強化。10例直徑>7.0 cm腫塊對毗鄰結果推擠明顯,其中1例患者出現肝內膽管擴張(4.3%)(見圖 5)。

1例患者出現肝轉移(4.3%)。23例患者均未見區域淋巴結增大。結果如表 1所示。

2.2 手術所見及病理特征
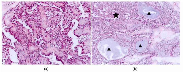
術中見腫塊突出于胰腺輪廓,呈類圓形、橢圓形或不規則形,24例腫塊中6例質硬(25.0%),10例質中(41.7%),8例質軟(33.3%)。腫塊剖視見囊實性結構,部分有分隔,囊腔內見大量渾濁、粘稠的液體,呈褐色或咖啡色,實性部分灰白、灰紅色,呈魚肉狀。鏡下表現:腫瘤由囊性區、假乳頭區及實性區以不同比例混合而成。囊性區見大小不等的腔隙結構。假乳頭區顯示特征性分支狀乳頭結構,含纖維血管軸心,乳頭軸心部分伴有黏液變性。實性區腫瘤細胞排列呈片狀、巢狀,圓形或卵圓形,胞質豐富、嗜酸性,細胞核圓,異形性小,染色質細膩,核分裂象罕見,部分細胞見核溝(見圖 6)。

(a)腫瘤細胞沿纖維血管軸心排列形成假乳頭狀結構(HE×200);(b)囊變區(黑三角)和實質區腫瘤細胞(黑五星)(HE×100)
Figure6. HE staining(a) tumor cells surrounded fiber blood vessels so as to form pesudopapillary (HE×200); (b) the cystic component (black triangle) and tumor cells in solid component (black pentagram) (HE×100)
1例患者伴肝轉移(4.3%),肝內轉移灶鏡檢可見特征性假乳頭狀結構。手術清掃的淋巴結及切除的脾臟未見腫瘤累及。
3 討論
3.1 SPTP概述
胰腺實性假乳頭狀瘤由Frantz[6]于1959年首次報道,因此又稱Frantz瘤,1996年WHO正式將其命名為胰腺實性假乳頭狀瘤,2000年,WHO將其定義為一種胰腺上皮性外分泌性腫瘤,由形態較一致的、排列呈巢狀或乳頭狀的腫瘤細胞構成,是一種惡性潛能未定的腫瘤[7]。SPTP的組織起源尚不明確,有學者推測期可能來源于胚胎發生過程中與胰腺連接的生殖脊原基相關細胞[8],因此該病多見于女性。
3.2 SPTP的臨床特征
SPTP好發于青春期及青年女性,有明顯的性別趨勢,男性和老年女性少見。SPTP可發生于胰腺的任何部位,多位于胰頭和胰體尾部。本組23例患者中,女性21例(91.3%),男性2例(8.7%),男女之比為1∶10.5;24例腫瘤全部發生于胰腺內,以胰頭、胰體尾部多見,腫瘤體積大者突出于胰腺輪廓外,向相對空虛的區域生長,對毗鄰結構的推擠明顯。臨床癥狀及體征無特異性,常以中上腹部隱痛不適或發現胰腺包塊就診,部分患者為體檢時偶然發現,無任何臨床癥狀。以往文獻[9]報道的SPTP實驗室檢查為正常,腫瘤標志物在正常范圍內,但亦有研究[10]出現CEA和CA19-9升高。本組研究中,3例患者出現CA19-9升高(13.0%),1例患者出現CEA增高(4.3%),1例患者出現CA15-3增高(4.3%),提示血清腫瘤標志物水平不是有效診斷SPTP的標志,血清腫瘤標志物水平的升高并不能排除SPTP的可能性。SPTP預后較好,手術切除是首選治療方法,術后可長期生存[9, 11]。
3.3 SPTP的CT表現及病理學基礎
SPTP的CT表現與病理特征關系密切,其CT表現主要取決于腫瘤內囊實性成分的比例和分布。病理上,病灶內實性成分由較豐富的腫瘤細胞組成,部分細胞圍繞周圍的小血管形成假乳頭狀結構,囊性部分為出血、壞死或囊變。以囊性為主及囊實性成分比例相仿的病灶,表現為病灶內囊、實性成分交錯分布;或實性成分分布在病變周邊,部分呈乳頭狀或壁結節樣突起;或呈云絮樣“漂浮”于囊性成分中。CT上顯示呈稍低或等密度的實性部分與呈稍低或低密度的囊性部分。由于實性部分含有血管,因此增強掃描動脈期輕度強化,門脈期則進一步強化,而囊性成分始終無強化。以實性成分為主的SPTP,病灶表現為稍低密度或等密度,增強掃描輕中度、均勻或不均勻性強化。SPTP的強化程度不及正常胰腺實質[12]。文獻[13]報道SPTP的實性部分有延遲強化的特點。腫瘤包膜大多完整,本組24例病灶包膜均完整。有研究[13-14]認為包膜不完整的SPTP伴有轉移,因此應將包膜是否完整及是否受侵作為判斷腫瘤侵襲性的重要依據。但本組1例出現肝轉移的病灶其包膜完整,因此包膜完整性與腫瘤侵襲性的關系需要更多病例研究證明。SPTP可出現鈣化[7, 12, 15],本組9例患者出現鈣化,鈣化率約39.1%,鈣化多為囊壁周邊或外周區域的實性部分,呈斑點狀、點條狀或不規則狀。若病灶伴出血,則CT顯示為高密度影,本組2例CT顯示有片狀高密度區(8.7%),提示出血,與術后病理相符。SPTP對毗鄰結構的影響多表現為推擠,一般分界較清。SPTP鮮有肝內外膽管或胰管的擴張,本組1例患者出現肝內膽管擴張(4.3%),考慮為該例腫塊較大,位于胰頸,向上生長達肝門層面,病灶壓迫肝門膽管,致肝內膽管擴張;本組未見胰管擴張的病例。
3.4 SPTP的鑒別診斷
3.4.1 胰腺囊腺瘤
分為漿液性囊腺瘤和黏液性囊腺瘤。好發于40~70歲中老年女性,男女比例為1∶(4-8),胰體尾部多見。前者在CT上常顯示為均質性低密度腫塊,類圓形或分葉狀,有時可見點狀及星芒狀鈣化,為其特征性表現,增強掃描腫塊彌漫性強化,邊界清楚,其內可見蜂巢樣或放射樣相互交織的間隔。后者常顯示為較大的單房厚壁囊腫,邊界清楚,密度接近于水,囊內可見分隔,病灶有時呈多囊狀,囊壁厚薄不均;囊內見多發附壁結節,增強掃描囊壁、分隔及附壁結節強化明顯,可出現腫瘤浸潤和遠處轉移。
3.4.2 胰島細胞瘤
分為功能性胰島細胞瘤和非功能性胰島細胞瘤,胰尾好發,胰體、頭部次之,常見于20~50歲,男女發病無差異。前者有相應的內分泌癥狀,如胰島素瘤會出現低血糖,胃泌素瘤會出現嚴重的消化性潰瘍等,因臨床癥狀明顯,就診時腫瘤多較小,CT平掃易漏診,增強掃描動脈期病灶均勻顯著強化,接近同層腹主動脈,門脈期強化程度減低,但仍高于正常胰腺組織。后者不引起內分泌癥狀,就診時腫塊較大,可見壞死液化,強化不均勻,但強化仍明顯,淋巴結腫大較多見,可發生肝轉移。
3.4.3 胰腺假性囊腫
多有胰腺炎病史,囊腫多與主胰管想通,CT常顯示為光滑薄壁囊腫,圓形或類圓形,無附壁結節,增強掃描囊壁無強化。結合臨床病史,不難鑒別。
3.4.4 胰腺癌
常見于40~60歲以上的中老年男性,臨床癥狀多表現為上腹部疼痛不適,部分患者出現消化不良,部分患者可出現黃疸。實驗室檢查血清中CA19-9、CEA等腫瘤標志物可升高。CT平掃腫塊邊界不清,形態多不規則,由于為腫瘤缺乏血供,增強掃描腫塊輕度強化,不及正常胰腺組織,易引起胰管、膽總管及肝內外膽管可見擴張,伴腫瘤遠側胰腺實質的萎縮,腫瘤惡性程度高,常侵犯周圍結構,肝轉移和腹膜后淋巴結腫大常見。
總之,SPTP是發生于胰腺的囊實性腫瘤,多為單發,好發于青春期及青年女性,根據特征性的CT表現,結合臨床資料,多能做出正確診斷。
引言
胰腺實性假乳頭狀瘤(solid pseudopapillary tumor of pancreas,SPTP)是一種少見的胰腺腫瘤,約占胰腺原發腫瘤1%~6%,胰腺囊性腫瘤的10%~15%[1-3]。臨床上,SPTP的手術切除率高,預后較好,因此,術前準確診斷十分重要。目前,國內外對該腫瘤的報道逐漸增多[4-5],由于SPTP與胰腺其他囊實性腫瘤的影像學表現存在較多相似之處,術前診斷較為困難。本文回顧性分析23例患者共24例腫瘤經手術及病理證實為SPTP的CT表現,以期提高對該病的診斷正確率及鑒別診斷水平。
1 資料和方法
1.1 一般資料
回顧性分析四川大學華西醫院放射科2009年3月-2012年9月期間經手術病理證實的23例胰腺實性假乳頭瘤患者,術前均行CT平掃加增強掃描。23例患者中,女21例(91.3%),男2例(8.7%),年齡14~50歲,平均34.5歲,其中30歲以下9例(39.1%),30歲以上14例(60.1%)。1例女性患者有2處病灶。12例患者腹部不適伴鈍痛(52.2%),9例患者體檢發現胰腺包塊(39.1%),2例患者出現惡心嘔吐(8.7%)。實驗室檢查:3例CA19-9升高(13.0%),1例CA15-3升高(4.3%),1例CEA升高(4.3%)。
1.2 CT掃描技術
采用Philips Brilliance 16 CT(10例)、Philips Brilliance 64 CT(6例)或Siemens Somatom Definition CT(7例)掃描。層厚5 mm,層間距5 mm,矩陣512×512,全部患者均行平掃及雙期增強掃描。對比劑采用非離子型碘帕醇注射液75~100 mL(1.5 mL/kg),經肘靜脈由高壓注射器團注,速率2~3 mL/s,延遲時間動脈期為25 s,門靜脈期為60 s。
2 結果
2.1 CT表現
2.1.1 腫塊的部位、大小和形態
23例患者中除1例為多發(2處病灶)外(見圖 1),其余均為單發。24例病灶,其中位于胰頭6例(25.0%),胰頸3例(12.5%),胰體8例(33.3%),胰尾7例(29.2%);腫塊最長徑2.1~20.11 cm(平均6.4 cm);病灶呈類圓形者11例(45.8%),橢圓形者6例(25.0%),不規則者7例(29.2%)。

CT平掃示胰頭及胰尾分別見不規則腫塊影(白箭),以實性成分為主,腫塊內見點狀、小片狀鈣化
Figure1. SPTP at the head and tail of the pancreasCT plain scan showed 2 irregular masses. One was at head and another was at tail of the pancreas (white arrow),they were mostly solid component. The punctiform and schistose calcification of the tumors also shown
2.1.2 腫塊的CT表現
24例病灶平掃表現為囊實性混合性腫塊。9例以實性成分為主(37.5%);10例囊、實性成分比例相仿(41.7%),5例以囊性成分為主(20.8%),表現為病灶內囊、實性成分交錯分布;或實性成分分布在病變周邊,部分呈乳頭狀或壁結節樣突起或呈云絮樣“漂浮”于囊性成分中(見圖 2)。

(a)胰體部SPTP,門靜脈期,腫塊內實性成分與囊性成分交錯分布,實性成分區見點狀鈣化(黑箭頭);(b)胰尾部SPTP,門靜脈期,腫塊內實性成分呈乳頭狀突起(黑箭);(c)胰頭部SPTP,動脈期,腫塊內實性成分呈云絮樣“漂浮”于囊性成分中(白箭)
Figure2. Distribution of solid and cystic part of SPTP(a) SPTP at the body of the pancreas,in portal phase,the solid and cystic part of the mass was cross distribution. Punctiform calcification of the solid components also shown (black arrow); (b) SPTP at the tail of the pancreas,papillary structures were displayed in solid part during portal phase (black arrow); (c) SPTP at the head of the pancreas,the solid parts showed “floating clouds” in arterial phase (white arrow)
4例可見分隔(16.7%),為病灶內條狀或弧形線狀軟組織密度影(見圖 3)。

門靜脈期,腫塊內分隔明顯強化(白箭)
Figure3. SPTP at the head of the pancreasIn portal phase,the separator of the mass showed obvious enhanced (white arrow)
24例病灶包膜完整(100%),包膜厚度2~7 mm。9例患者的病灶伴鈣化(39.1%),為近包膜下和囊實混雜區的點狀、線狀或不規則形鈣化(見圖 1、2)。2例患者的病灶伴出血(8.7%),CT表現為片狀高密度區(見圖 4)。

CT平掃,腫塊內見片狀高密度出血區(白箭)
Figure4. SPTP at the tail of the pancreasCT plain scan showed schistose of hemorrhage in the mass (white arrow)
CT平掃腫塊實性部分CT值為30~57 HU,囊性成分CT值為19~45 HU;增強掃描動脈期腫塊實性部分輕度強化,CT值為52~87 HU;門脈期持續強化,CT值為65~115 HU,強化程度不及正常胰腺組織;包膜及分隔均有輕中度強化;囊性成分增強各期未見強化。10例直徑>7.0 cm腫塊對毗鄰結果推擠明顯,其中1例患者出現肝內膽管擴張(4.3%)(見圖 5)。

1例患者出現肝轉移(4.3%)。23例患者均未見區域淋巴結增大。結果如表 1所示。

2.2 手術所見及病理特征
術中見腫塊突出于胰腺輪廓,呈類圓形、橢圓形或不規則形,24例腫塊中6例質硬(25.0%),10例質中(41.7%),8例質軟(33.3%)。腫塊剖視見囊實性結構,部分有分隔,囊腔內見大量渾濁、粘稠的液體,呈褐色或咖啡色,實性部分灰白、灰紅色,呈魚肉狀。鏡下表現:腫瘤由囊性區、假乳頭區及實性區以不同比例混合而成。囊性區見大小不等的腔隙結構。假乳頭區顯示特征性分支狀乳頭結構,含纖維血管軸心,乳頭軸心部分伴有黏液變性。實性區腫瘤細胞排列呈片狀、巢狀,圓形或卵圓形,胞質豐富、嗜酸性,細胞核圓,異形性小,染色質細膩,核分裂象罕見,部分細胞見核溝(見圖 6)。

(a)腫瘤細胞沿纖維血管軸心排列形成假乳頭狀結構(HE×200);(b)囊變區(黑三角)和實質區腫瘤細胞(黑五星)(HE×100)
Figure6. HE staining(a) tumor cells surrounded fiber blood vessels so as to form pesudopapillary (HE×200); (b) the cystic component (black triangle) and tumor cells in solid component (black pentagram) (HE×100)
1例患者伴肝轉移(4.3%),肝內轉移灶鏡檢可見特征性假乳頭狀結構。手術清掃的淋巴結及切除的脾臟未見腫瘤累及。
3 討論
3.1 SPTP概述
胰腺實性假乳頭狀瘤由Frantz[6]于1959年首次報道,因此又稱Frantz瘤,1996年WHO正式將其命名為胰腺實性假乳頭狀瘤,2000年,WHO將其定義為一種胰腺上皮性外分泌性腫瘤,由形態較一致的、排列呈巢狀或乳頭狀的腫瘤細胞構成,是一種惡性潛能未定的腫瘤[7]。SPTP的組織起源尚不明確,有學者推測期可能來源于胚胎發生過程中與胰腺連接的生殖脊原基相關細胞[8],因此該病多見于女性。
3.2 SPTP的臨床特征
SPTP好發于青春期及青年女性,有明顯的性別趨勢,男性和老年女性少見。SPTP可發生于胰腺的任何部位,多位于胰頭和胰體尾部。本組23例患者中,女性21例(91.3%),男性2例(8.7%),男女之比為1∶10.5;24例腫瘤全部發生于胰腺內,以胰頭、胰體尾部多見,腫瘤體積大者突出于胰腺輪廓外,向相對空虛的區域生長,對毗鄰結構的推擠明顯。臨床癥狀及體征無特異性,常以中上腹部隱痛不適或發現胰腺包塊就診,部分患者為體檢時偶然發現,無任何臨床癥狀。以往文獻[9]報道的SPTP實驗室檢查為正常,腫瘤標志物在正常范圍內,但亦有研究[10]出現CEA和CA19-9升高。本組研究中,3例患者出現CA19-9升高(13.0%),1例患者出現CEA增高(4.3%),1例患者出現CA15-3增高(4.3%),提示血清腫瘤標志物水平不是有效診斷SPTP的標志,血清腫瘤標志物水平的升高并不能排除SPTP的可能性。SPTP預后較好,手術切除是首選治療方法,術后可長期生存[9, 11]。
3.3 SPTP的CT表現及病理學基礎
SPTP的CT表現與病理特征關系密切,其CT表現主要取決于腫瘤內囊實性成分的比例和分布。病理上,病灶內實性成分由較豐富的腫瘤細胞組成,部分細胞圍繞周圍的小血管形成假乳頭狀結構,囊性部分為出血、壞死或囊變。以囊性為主及囊實性成分比例相仿的病灶,表現為病灶內囊、實性成分交錯分布;或實性成分分布在病變周邊,部分呈乳頭狀或壁結節樣突起;或呈云絮樣“漂浮”于囊性成分中。CT上顯示呈稍低或等密度的實性部分與呈稍低或低密度的囊性部分。由于實性部分含有血管,因此增強掃描動脈期輕度強化,門脈期則進一步強化,而囊性成分始終無強化。以實性成分為主的SPTP,病灶表現為稍低密度或等密度,增強掃描輕中度、均勻或不均勻性強化。SPTP的強化程度不及正常胰腺實質[12]。文獻[13]報道SPTP的實性部分有延遲強化的特點。腫瘤包膜大多完整,本組24例病灶包膜均完整。有研究[13-14]認為包膜不完整的SPTP伴有轉移,因此應將包膜是否完整及是否受侵作為判斷腫瘤侵襲性的重要依據。但本組1例出現肝轉移的病灶其包膜完整,因此包膜完整性與腫瘤侵襲性的關系需要更多病例研究證明。SPTP可出現鈣化[7, 12, 15],本組9例患者出現鈣化,鈣化率約39.1%,鈣化多為囊壁周邊或外周區域的實性部分,呈斑點狀、點條狀或不規則狀。若病灶伴出血,則CT顯示為高密度影,本組2例CT顯示有片狀高密度區(8.7%),提示出血,與術后病理相符。SPTP對毗鄰結構的影響多表現為推擠,一般分界較清。SPTP鮮有肝內外膽管或胰管的擴張,本組1例患者出現肝內膽管擴張(4.3%),考慮為該例腫塊較大,位于胰頸,向上生長達肝門層面,病灶壓迫肝門膽管,致肝內膽管擴張;本組未見胰管擴張的病例。
3.4 SPTP的鑒別診斷
3.4.1 胰腺囊腺瘤
分為漿液性囊腺瘤和黏液性囊腺瘤。好發于40~70歲中老年女性,男女比例為1∶(4-8),胰體尾部多見。前者在CT上常顯示為均質性低密度腫塊,類圓形或分葉狀,有時可見點狀及星芒狀鈣化,為其特征性表現,增強掃描腫塊彌漫性強化,邊界清楚,其內可見蜂巢樣或放射樣相互交織的間隔。后者常顯示為較大的單房厚壁囊腫,邊界清楚,密度接近于水,囊內可見分隔,病灶有時呈多囊狀,囊壁厚薄不均;囊內見多發附壁結節,增強掃描囊壁、分隔及附壁結節強化明顯,可出現腫瘤浸潤和遠處轉移。
3.4.2 胰島細胞瘤
分為功能性胰島細胞瘤和非功能性胰島細胞瘤,胰尾好發,胰體、頭部次之,常見于20~50歲,男女發病無差異。前者有相應的內分泌癥狀,如胰島素瘤會出現低血糖,胃泌素瘤會出現嚴重的消化性潰瘍等,因臨床癥狀明顯,就診時腫瘤多較小,CT平掃易漏診,增強掃描動脈期病灶均勻顯著強化,接近同層腹主動脈,門脈期強化程度減低,但仍高于正常胰腺組織。后者不引起內分泌癥狀,就診時腫塊較大,可見壞死液化,強化不均勻,但強化仍明顯,淋巴結腫大較多見,可發生肝轉移。
3.4.3 胰腺假性囊腫
多有胰腺炎病史,囊腫多與主胰管想通,CT常顯示為光滑薄壁囊腫,圓形或類圓形,無附壁結節,增強掃描囊壁無強化。結合臨床病史,不難鑒別。
3.4.4 胰腺癌
常見于40~60歲以上的中老年男性,臨床癥狀多表現為上腹部疼痛不適,部分患者出現消化不良,部分患者可出現黃疸。實驗室檢查血清中CA19-9、CEA等腫瘤標志物可升高。CT平掃腫塊邊界不清,形態多不規則,由于為腫瘤缺乏血供,增強掃描腫塊輕度強化,不及正常胰腺組織,易引起胰管、膽總管及肝內外膽管可見擴張,伴腫瘤遠側胰腺實質的萎縮,腫瘤惡性程度高,常侵犯周圍結構,肝轉移和腹膜后淋巴結腫大常見。
總之,SPTP是發生于胰腺的囊實性腫瘤,多為單發,好發于青春期及青年女性,根據特征性的CT表現,結合臨床資料,多能做出正確診斷。