引用本文: 靳睿, 張玉潔, 華佳佳, 丁建光, 常紅敏, 李傳寶. 吲達帕胺致雙眼葡萄膜滲漏綜合征1例. 中華眼底病雜志, 2023, 39(11): 930-932. doi: 10.3760/cma.j.cn511434-20221206-00644 復制
患者男,18歲。因雙眼突然視力下降2 d,于2022年4月至濟寧醫學院附屬醫院眼科就診。1個月前體檢測得血壓145/95 mm Hg(1 mm Hg=0.133 kPa),未治療;1周前復查血壓150/90 mm Hg,口服吲達帕胺片(2.5 mg/次,1次/d)控制血壓。眼部檢查:右眼、左眼視力均為0.02、矯正視力分別為0.6、1.0。右眼、左眼眼壓分別為12、14 mm Hg;眼軸分別為23.57、23.50 mm;中央晶體厚度分別為3.94、4.10 mm。雙眼眼前節除周邊前房略淺外,其余未見明顯異常。超聲生物顯微鏡(UBM)檢查,雙眼睫狀體脫離,睫狀突水腫、前旋,房角略窄,右眼、左眼鞏膜突后2 mm鞏膜的平均厚度分別約為0.482、0.475 mm(圖1)。眼部超聲檢查,雙眼球壁略厚(圖2)。眼底檢查,雙眼黃斑區視網膜見放射狀皺褶(圖3)。熒光素眼底血管造影(FFA)檢查,早期雙眼視網膜散在小片狀遮蔽熒光,隨造影時間的延長,小片狀遮蔽熒光部分消失,未見其他異常熒光(圖4)。黃斑光相干斷層掃描(OCT)檢查,雙眼脈絡膜增厚(圖5)。血、尿常規、凝血常規、紅細胞沉降率、人類白細胞抗原-B27、抗中性粒細胞抗體、抗核抗體、三抗體(梅毒、人類免疫缺陷病毒、丙肝)、血管緊張素Ⅱ測定等實驗室檢查及心臟彩色超聲、胸部CT、腎上腺CT、雙腎、腎動脈彩色超聲等全身輔助檢查均無異常。診斷:雙眼葡萄膜滲漏綜合征(UES)。
圖1
吲達帕胺致雙眼葡萄膜滲漏綜合征患者雙眼12點時鐘位超聲生物顯微鏡像 1A、1B分別示右眼、左眼,全周睫狀體上腔見帶狀無回聲區、睫狀突水腫,周邊虹膜與睫狀突接觸,睫狀突前旋,房角開放、略窄
圖2
吲達帕胺致雙眼葡萄膜滲漏綜合征患者雙眼超聲像 2A示右眼,周邊球壁增厚;2B示左眼,周邊球壁略增厚
圖3
吲達帕胺致雙眼葡萄膜滲漏綜合征患者雙眼彩色眼底像 3A、3B分別示右眼、左眼,雙眼黃斑區視網膜見放射狀皺褶
圖4
吲達帕胺致雙眼葡萄膜滲漏綜合征患者雙眼熒光素眼底血管造影早期像 4A、4B分別示右眼、左眼,上下血管弓周圍視網膜散在小片狀遮蔽熒光
圖5
吲達帕胺致雙眼葡萄膜滲漏綜合征患者雙眼黃斑光相干斷層掃描像 5A、5B分別示右眼、左眼,雙眼脈絡膜增厚,右眼、左眼脈絡膜厚度分別為474、470 μm
給予患者雙眼妥布霉素地塞米松滴眼液、眼膏及阿托品眼用凝膠局部點眼1周。治療過程中停用吲達帕胺片,更換降血壓藥物。1周后復診,右眼、左眼視力均為0.6,矯正視力均為1.0。右眼、左眼眼壓分別為18、19 mm Hg。UBM檢查,雙眼睫狀體及周邊脈絡膜脫離消退,前房加深,房角增寬(圖6)。眼底檢查,雙眼黃斑區視網膜皺褶消退(圖7)。黃斑OCT檢查,雙眼脈絡膜厚度較前變薄(圖8)。3周后復診,雙眼視力1.0。雙眼眼前節及眼底檢查均未見異常。
圖6
吲達帕胺致雙眼葡萄膜滲漏綜合征患者治療后3周雙眼12點時鐘位超聲生物顯微鏡像 6A、6B分別示右眼、左眼,雙眼全周睫狀體恢復正常,周邊虹膜與睫狀突間隙變寬,房角加寬,前房加深
圖7
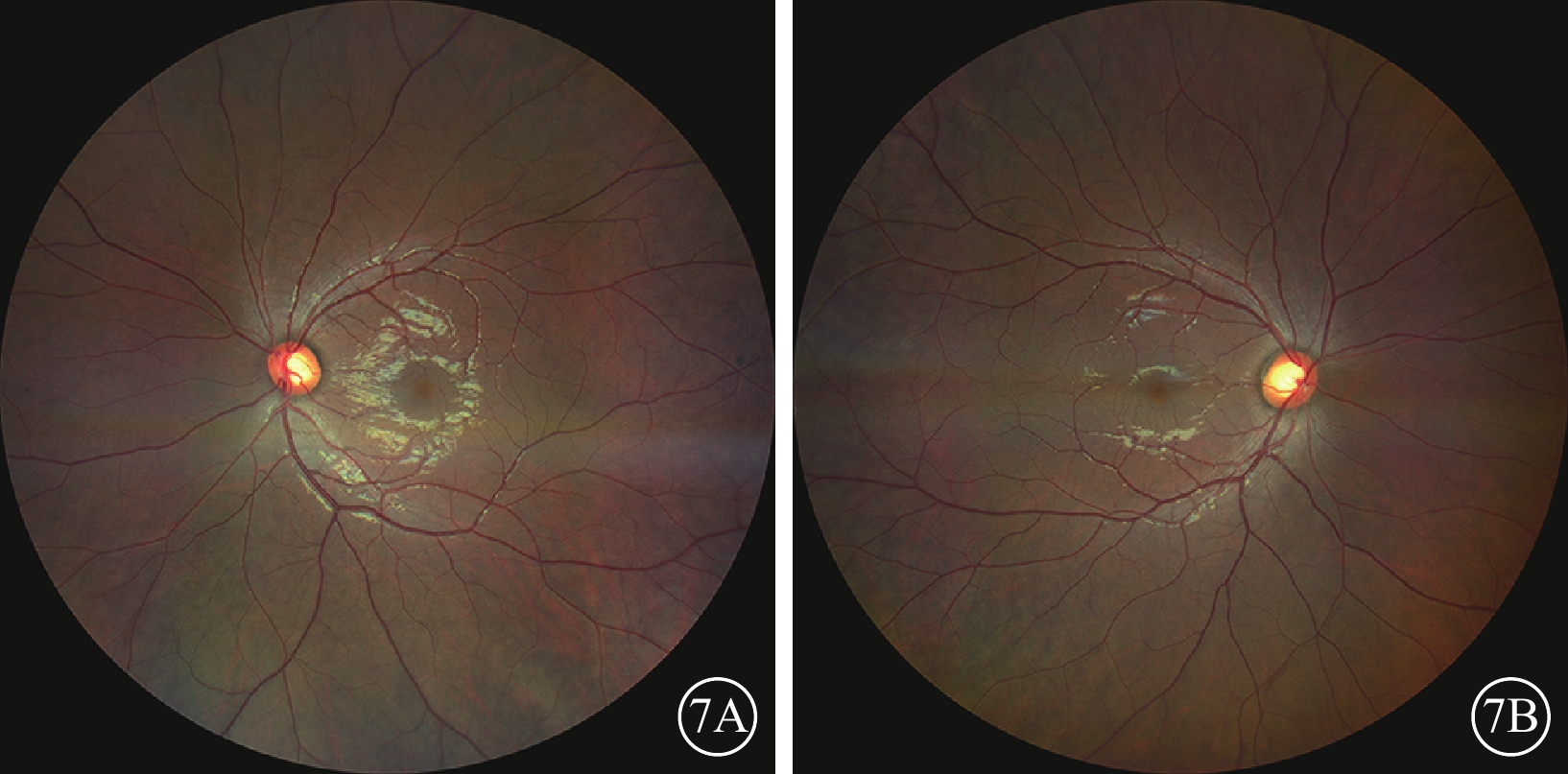
吲達帕胺致雙眼葡萄膜滲漏綜合征患者治療后3周雙眼彩色眼底像 7A、7B分別示右眼、左眼,雙眼黃斑區視網膜放射狀皺褶消退
圖8
吲達帕胺致雙眼葡萄膜滲漏綜合征患者治療后3周雙眼黃斑光相干斷層掃描像 8A、8B分別示右眼、左眼,雙眼脈絡膜變薄,右眼、左眼脈絡膜厚度分別為359、399 μm
討論 UES是指特發性的漿液性睫狀體、脈絡膜和視網膜脫離[1]。UES可分為3種類型:1型,真性小眼球伴鞏膜異常;2型,眼軸正常、鞏膜異常;3型,眼軸及鞏膜均正常[2]。1型、2型UES可能與鞏膜異常有關;而3型UES發病機制更為復雜,眼部疾病、手術、全身疾病及藥物使用等因素均可誘發3型UES[3-12]。本例患者雙眼視力突然下降、無眼紅、眼痛,無球結膜及鞏膜淺層血管充血;眼部超聲檢查未見明顯T征及球壁不均勻增厚,不支持鞏膜炎;裂隙燈顯微鏡、眼底檢查及超聲檢查均未見明顯眼前后節炎癥反應;FFA檢查未見“針尖樣”強熒光、多“湖樣”熒光素積存、視盤著染;OCT檢查未見多發性神經上皮層脫離;其多項眼部檢查結果不符合Vogt-Koyanagi-Harada綜合征及其他葡萄膜炎疾病的表現。輔助檢查未見與腫瘤相關的陽性體征,可排除眼部腫瘤。其紅細胞沉降率、抗核抗體等相關實驗室檢查結果正常,排除了風濕免疫科相關疾病。UBM檢查前部鞏膜未見明顯異常回聲,測量前部鞏膜厚度在正常范圍內,不考慮鞏膜厚度異常引起的UES。考慮本例患者發病前5 d開始口服吲達帕胺片,停藥后癥狀和體征逐漸緩解,并較快恢復正常,綜合分析患者的病情,考慮UES的發生與口服吲達帕胺片密切相關。
吲達帕胺是一種磺胺類利尿劑,用于治療高血壓,同其他磺胺及其衍生物一樣,對眼部有一定的副作用,UES是其中之一[8-13]。吲達帕胺引起UES的作用機制不明。多數學者認為,吲達帕胺可以刺激前列腺素E2的合成,后者可以使血管擴張、血管通透性增加,導致組織水腫[10-12]。特別是睫狀后長動脈充血,血管通透性增加,引起睫狀體和脈絡膜的淤血、水腫,渦靜脈回流受阻,液體積聚于睫狀體和脈絡膜上腔,導致睫狀體和脈絡膜脫離。脈絡膜淤血、增厚,影響脈絡膜毛細血管的灌注,FFA表現為小片狀、“島嶼狀”遮蔽熒光[13]。長期的睫狀體和脈絡膜脫離影響視網膜色素上皮的代謝和功能,破壞血視網膜外屏障,繼發滲出性視網膜脫離[2]。但是,藥物相關性UES較少發生滲出性視網膜脫離,這可能與該病發病急、視力下降明顯,患者能夠及時就診和治療有關。同時,睫狀體脫離、睫狀突水腫和前旋還可促使晶狀體虹膜隔前移,影響屈光狀態,造成急性近視的發生[10]。另外,睫狀突水腫、前旋,使房角變窄甚至閉鎖,誘發急性閉角型青光眼的發生[12]。急性近視和急性閉角型青光眼是患者就診的主要原因。本例患者因發病時間短,尚無明顯的脈絡膜脫離。因此,我們推測,吲達帕胺所致的UES,睫狀體脫離要早于脈絡膜脫離,UBM檢查有助于疾病的早期診斷。
UES治療手段包括保守治療和手術治療[3, 14-15]。藥物引起的UES,首先應停用相關藥物,部分患者停藥后癥狀和體征逐漸消退,部分需聯合其他治療[13]。本例患者停用吲哚帕胺并給予抗炎、散瞳治療,視力恢復正常。
患者男,18歲。因雙眼突然視力下降2 d,于2022年4月至濟寧醫學院附屬醫院眼科就診。1個月前體檢測得血壓145/95 mm Hg(1 mm Hg=0.133 kPa),未治療;1周前復查血壓150/90 mm Hg,口服吲達帕胺片(2.5 mg/次,1次/d)控制血壓。眼部檢查:右眼、左眼視力均為0.02、矯正視力分別為0.6、1.0。右眼、左眼眼壓分別為12、14 mm Hg;眼軸分別為23.57、23.50 mm;中央晶體厚度分別為3.94、4.10 mm。雙眼眼前節除周邊前房略淺外,其余未見明顯異常。超聲生物顯微鏡(UBM)檢查,雙眼睫狀體脫離,睫狀突水腫、前旋,房角略窄,右眼、左眼鞏膜突后2 mm鞏膜的平均厚度分別約為0.482、0.475 mm(圖1)。眼部超聲檢查,雙眼球壁略厚(圖2)。眼底檢查,雙眼黃斑區視網膜見放射狀皺褶(圖3)。熒光素眼底血管造影(FFA)檢查,早期雙眼視網膜散在小片狀遮蔽熒光,隨造影時間的延長,小片狀遮蔽熒光部分消失,未見其他異常熒光(圖4)。黃斑光相干斷層掃描(OCT)檢查,雙眼脈絡膜增厚(圖5)。血、尿常規、凝血常規、紅細胞沉降率、人類白細胞抗原-B27、抗中性粒細胞抗體、抗核抗體、三抗體(梅毒、人類免疫缺陷病毒、丙肝)、血管緊張素Ⅱ測定等實驗室檢查及心臟彩色超聲、胸部CT、腎上腺CT、雙腎、腎動脈彩色超聲等全身輔助檢查均無異常。診斷:雙眼葡萄膜滲漏綜合征(UES)。
圖1
吲達帕胺致雙眼葡萄膜滲漏綜合征患者雙眼12點時鐘位超聲生物顯微鏡像 1A、1B分別示右眼、左眼,全周睫狀體上腔見帶狀無回聲區、睫狀突水腫,周邊虹膜與睫狀突接觸,睫狀突前旋,房角開放、略窄
圖2
吲達帕胺致雙眼葡萄膜滲漏綜合征患者雙眼超聲像 2A示右眼,周邊球壁增厚;2B示左眼,周邊球壁略增厚
圖3
吲達帕胺致雙眼葡萄膜滲漏綜合征患者雙眼彩色眼底像 3A、3B分別示右眼、左眼,雙眼黃斑區視網膜見放射狀皺褶
圖4
吲達帕胺致雙眼葡萄膜滲漏綜合征患者雙眼熒光素眼底血管造影早期像 4A、4B分別示右眼、左眼,上下血管弓周圍視網膜散在小片狀遮蔽熒光
圖5
吲達帕胺致雙眼葡萄膜滲漏綜合征患者雙眼黃斑光相干斷層掃描像 5A、5B分別示右眼、左眼,雙眼脈絡膜增厚,右眼、左眼脈絡膜厚度分別為474、470 μm
給予患者雙眼妥布霉素地塞米松滴眼液、眼膏及阿托品眼用凝膠局部點眼1周。治療過程中停用吲達帕胺片,更換降血壓藥物。1周后復診,右眼、左眼視力均為0.6,矯正視力均為1.0。右眼、左眼眼壓分別為18、19 mm Hg。UBM檢查,雙眼睫狀體及周邊脈絡膜脫離消退,前房加深,房角增寬(圖6)。眼底檢查,雙眼黃斑區視網膜皺褶消退(圖7)。黃斑OCT檢查,雙眼脈絡膜厚度較前變薄(圖8)。3周后復診,雙眼視力1.0。雙眼眼前節及眼底檢查均未見異常。
圖6
吲達帕胺致雙眼葡萄膜滲漏綜合征患者治療后3周雙眼12點時鐘位超聲生物顯微鏡像 6A、6B分別示右眼、左眼,雙眼全周睫狀體恢復正常,周邊虹膜與睫狀突間隙變寬,房角加寬,前房加深
圖7
吲達帕胺致雙眼葡萄膜滲漏綜合征患者治療后3周雙眼彩色眼底像 7A、7B分別示右眼、左眼,雙眼黃斑區視網膜放射狀皺褶消退
圖8
吲達帕胺致雙眼葡萄膜滲漏綜合征患者治療后3周雙眼黃斑光相干斷層掃描像 8A、8B分別示右眼、左眼,雙眼脈絡膜變薄,右眼、左眼脈絡膜厚度分別為359、399 μm
討論 UES是指特發性的漿液性睫狀體、脈絡膜和視網膜脫離[1]。UES可分為3種類型:1型,真性小眼球伴鞏膜異常;2型,眼軸正常、鞏膜異常;3型,眼軸及鞏膜均正常[2]。1型、2型UES可能與鞏膜異常有關;而3型UES發病機制更為復雜,眼部疾病、手術、全身疾病及藥物使用等因素均可誘發3型UES[3-12]。本例患者雙眼視力突然下降、無眼紅、眼痛,無球結膜及鞏膜淺層血管充血;眼部超聲檢查未見明顯T征及球壁不均勻增厚,不支持鞏膜炎;裂隙燈顯微鏡、眼底檢查及超聲檢查均未見明顯眼前后節炎癥反應;FFA檢查未見“針尖樣”強熒光、多“湖樣”熒光素積存、視盤著染;OCT檢查未見多發性神經上皮層脫離;其多項眼部檢查結果不符合Vogt-Koyanagi-Harada綜合征及其他葡萄膜炎疾病的表現。輔助檢查未見與腫瘤相關的陽性體征,可排除眼部腫瘤。其紅細胞沉降率、抗核抗體等相關實驗室檢查結果正常,排除了風濕免疫科相關疾病。UBM檢查前部鞏膜未見明顯異常回聲,測量前部鞏膜厚度在正常范圍內,不考慮鞏膜厚度異常引起的UES。考慮本例患者發病前5 d開始口服吲達帕胺片,停藥后癥狀和體征逐漸緩解,并較快恢復正常,綜合分析患者的病情,考慮UES的發生與口服吲達帕胺片密切相關。
吲達帕胺是一種磺胺類利尿劑,用于治療高血壓,同其他磺胺及其衍生物一樣,對眼部有一定的副作用,UES是其中之一[8-13]。吲達帕胺引起UES的作用機制不明。多數學者認為,吲達帕胺可以刺激前列腺素E2的合成,后者可以使血管擴張、血管通透性增加,導致組織水腫[10-12]。特別是睫狀后長動脈充血,血管通透性增加,引起睫狀體和脈絡膜的淤血、水腫,渦靜脈回流受阻,液體積聚于睫狀體和脈絡膜上腔,導致睫狀體和脈絡膜脫離。脈絡膜淤血、增厚,影響脈絡膜毛細血管的灌注,FFA表現為小片狀、“島嶼狀”遮蔽熒光[13]。長期的睫狀體和脈絡膜脫離影響視網膜色素上皮的代謝和功能,破壞血視網膜外屏障,繼發滲出性視網膜脫離[2]。但是,藥物相關性UES較少發生滲出性視網膜脫離,這可能與該病發病急、視力下降明顯,患者能夠及時就診和治療有關。同時,睫狀體脫離、睫狀突水腫和前旋還可促使晶狀體虹膜隔前移,影響屈光狀態,造成急性近視的發生[10]。另外,睫狀突水腫、前旋,使房角變窄甚至閉鎖,誘發急性閉角型青光眼的發生[12]。急性近視和急性閉角型青光眼是患者就診的主要原因。本例患者因發病時間短,尚無明顯的脈絡膜脫離。因此,我們推測,吲達帕胺所致的UES,睫狀體脫離要早于脈絡膜脫離,UBM檢查有助于疾病的早期診斷。
UES治療手段包括保守治療和手術治療[3, 14-15]。藥物引起的UES,首先應停用相關藥物,部分患者停藥后癥狀和體征逐漸消退,部分需聯合其他治療[13]。本例患者停用吲哚帕胺并給予抗炎、散瞳治療,視力恢復正常。

